Submitted:
13 April 2025
Posted:
14 April 2025
You are already at the latest version
Abstract
Keywords:
1. Introduction
2. Results
2.1. Clinicopathological Characteristics of included patients
2.2. Expression Patterns According to Disease Stage and Molecular Interrelationships Between Biomarkers
2.3. Co-Expression Analysis of ARID1A and PTEN According to Disease Stage
2.4. Treatment Response and Survival Analysis
3. Discussion
3.1. Distinct Molecular Characteristics of ARID1A and PTEN Expression Patterns in Asian OCCC Cohort: Early Alterations and Stage-Specific Dynamics
3.2. PTEN Loss as an Early Prognostic Indicator in OCCC: Implications for Stage-Specific Therapeutic Strategies
3.3. MMR Deficiency and PI3K-AKT-mTOR Pathway: Molecular Interplay in Immune Evasion
3.4. ARID1A-MMR Relationship: Implications for DNA Repair and Immunotherapy Response
3.5. PTEN-PD-L1 Axis: Targeting Immune Checkpoint Pathways in OCCC
3.6. Limitation
4. Materials and Methods
4.1. Patients and Settings
4.2. Assembling of Tissue Array
4.3. Immunohistochemistry Study of Targeted Biomarkers
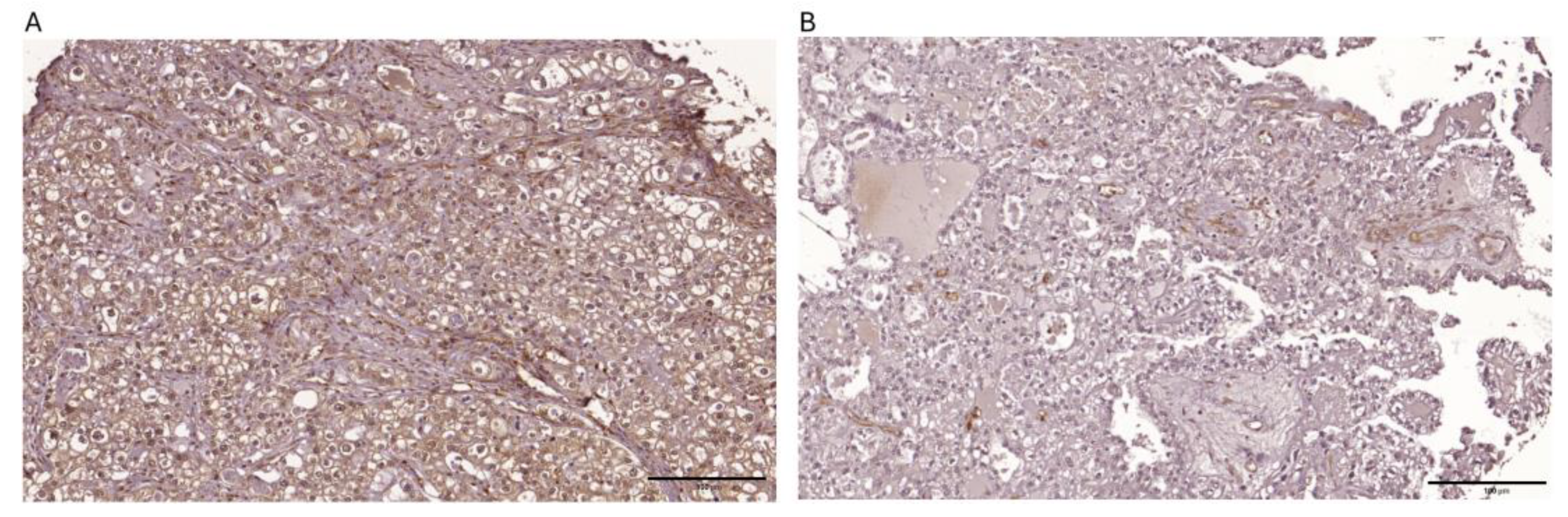
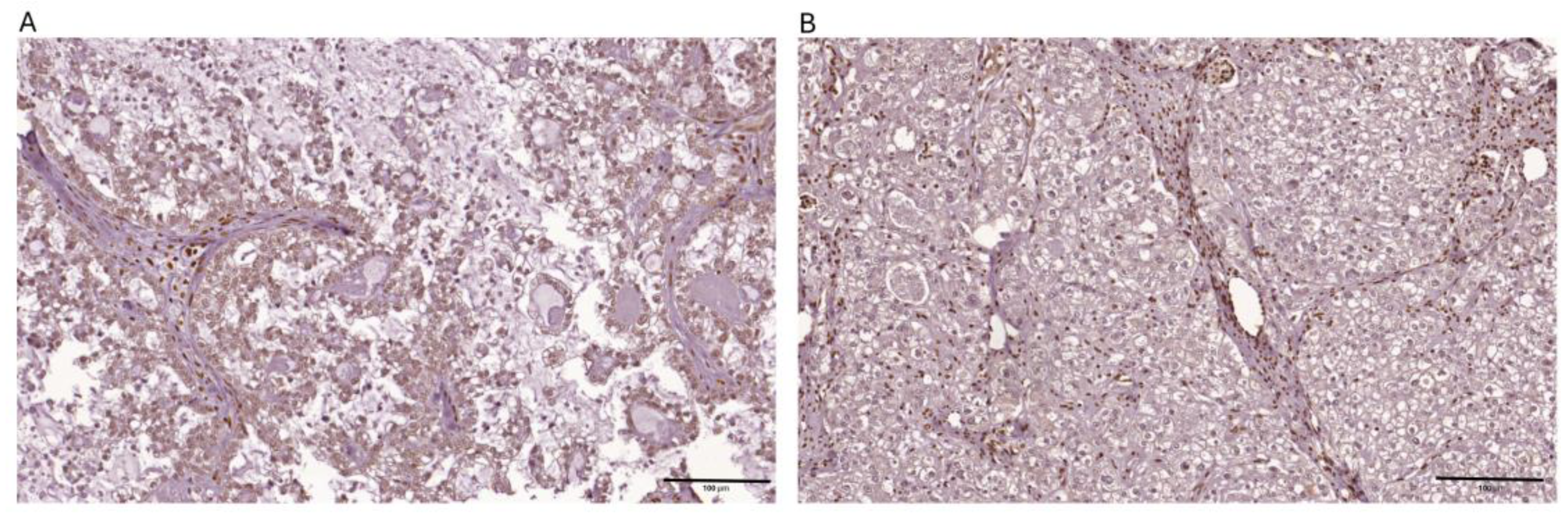
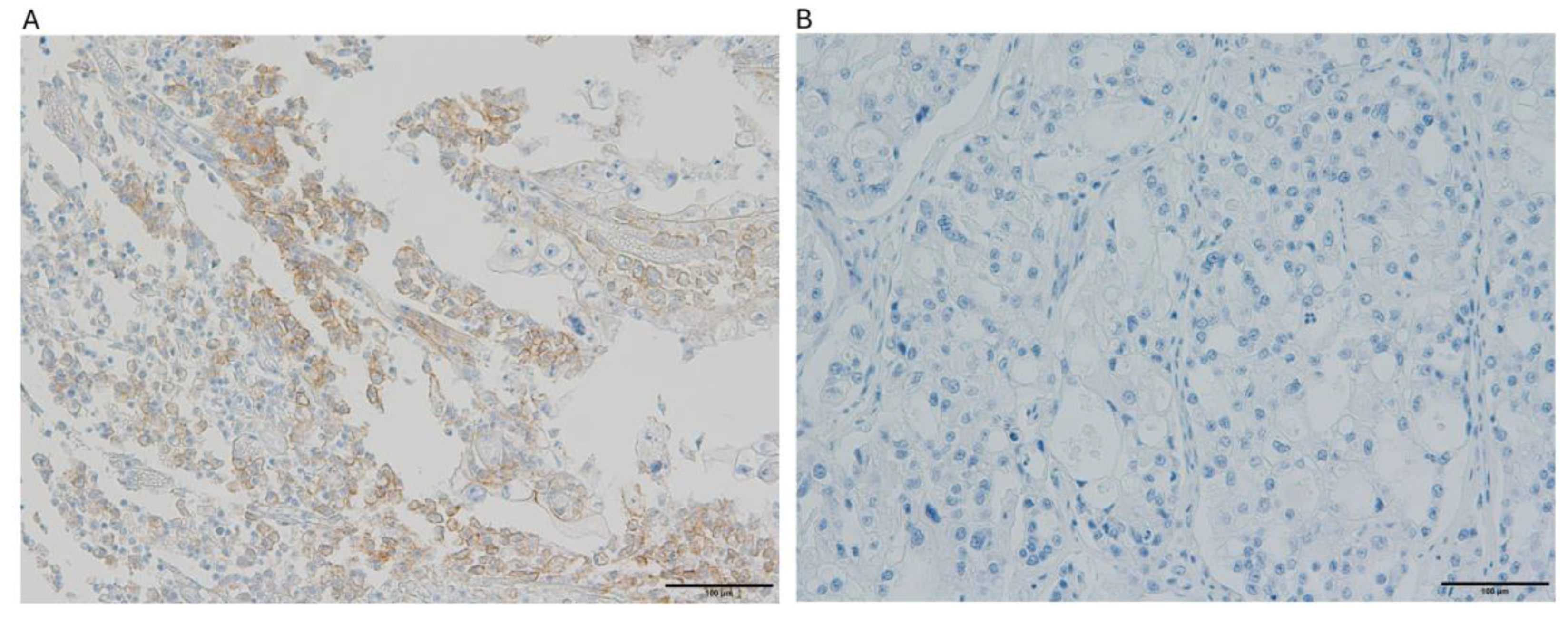
4.4. Definition for ARID1A and PTEN Expressions
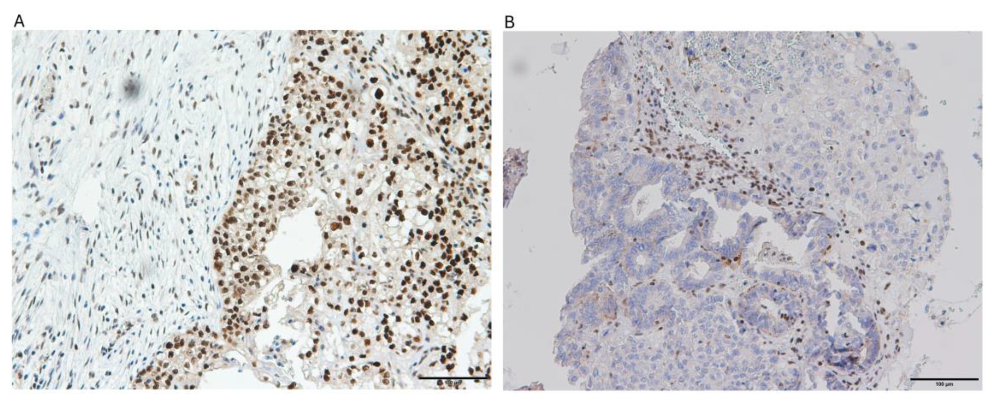
4.5. Definition of Positive PD-L1 and Deficient Expression of MMR Proteins
4.6. Statistical Analysis
5. Conclusions
Author Contributions
Funding
Institutional Review Board Statement
Informed Consent Statement
Data Availability Statement
Acknowledgments
Conflicts of Interest
Abbreviations
| OCCC | Ovarian clear cell carcinoma |
| PTEN | Phosphatase and tensin homolog |
| ARID1A | AT-rich interactive-domain 1A |
| PD-L1 | Programmed Cell Death-Ligand 1 |
| MMR | Mismatch repair |
| IHC | Immunohistochemistry |
| dMMR | Deficient mismatch repair |
| pMMR | Proficient mismatch repair |
| CPS | Combined Positive Score |
| PFS | Progression-free survival |
References
- Chan, J.K. , et al., Do clear cell ovarian carcinomas have poorer prognosis compared to other epithelial cell types? A study of 1411 clear cell ovarian cancers. Gynecol Oncol 2008, 109, 370–376. [Google Scholar] [CrossRef] [PubMed]
- Sugiyama, T. , et al., Randomized Phase III Trial of Irinotecan Plus Cisplatin Compared With Paclitaxel Plus Carboplatin As First-Line Chemotherapy for Ovarian Clear Cell Carcinoma: JGOG3017/GCIG Trial. J Clin Oncol 2016, 34, 2881–2887. [Google Scholar] [CrossRef] [PubMed]
- Martins, F.C. , et al., Clinical and pathological associations of PTEN expression in ovarian cancer: a multicentre study from the Ovarian Tumour Tissue Analysis Consortium. Br J Cancer 2020, 123, 793–802. [Google Scholar] [CrossRef]
- Kim, S.I. , et al., Genomic landscape of ovarian clear cell carcinoma via whole exome sequencing. Gynecol Oncol 2018, 148, 375–382. [Google Scholar] [CrossRef] [PubMed]
- Wiegand, K.C. , et al., ARID1A mutations in endometriosis-associated ovarian carcinomas. N Engl J Med 2010, 363, 1532–1543. [Google Scholar] [CrossRef]
- Khalique, S. , et al., Translational genomics of ovarian clear cell carcinoma. Semin Cancer Biol 2020, 61, 121–131. [Google Scholar] [CrossRef]
- Shen, J. , et al., ARID1A Deficiency Impairs the DNA Damage Checkpoint and Sensitizes Cells to PARP Inhibitors. Cancer Discov 2015, 5, 752–767. [Google Scholar] [CrossRef]
- Matulonis, U.A. , et al., Antitumor activity and safety of pembrolizumab in patients with advanced recurrent ovarian cancer: results from the phase II KEYNOTE-100 study. Ann Oncol 2019, 30, 1080–1087. [Google Scholar] [CrossRef]
- Shen, J. , et al., ARID1A deficiency promotes mutability and potentiates therapeutic antitumor immunity unleashed by immune checkpoint blockade. Nat Med 2018, 24, 556–562. [Google Scholar] [CrossRef]
- Bennett, J.A. , et al., Mismatch Repair Protein Expression in Clear Cell Carcinoma of the Ovary: Incidence and Morphologic Associations in 109 Cases. Am J Surg Pathol 2016, 40, 656–663. [Google Scholar] [CrossRef]
- Fu, M. , et al., Infiltration of CD8(+) cytotoxic T-cells and expression of PD-1 and PD-L1 in ovarian clear cell carcinoma. Sci Rep 2025, 15, 4716. [Google Scholar] [CrossRef] [PubMed]
- Samartzis, E.P. , et al., Loss of ARID1A/BAF250a-expression in endometriosis: a biomarker for risk of carcinogenic transformation? Mod Pathol 2012, 25, 885–892. [Google Scholar] [CrossRef]
- Takano, M., H. Tsuda, and T. Sugiyama, Clear cell carcinoma of the ovary: is there a role of histology-specific treatment? J Exp Clin Cancer Res 2012, 31, 53. [Google Scholar] [CrossRef] [PubMed]
- Friedlander, M.L. , et al., Molecular Profiling of Clear Cell Ovarian Cancers: Identifying Potential Treatment Targets for Clinical Trials. Int J Gynecol Cancer 2016, 26, 648–654. [Google Scholar] [CrossRef]
- Stružinská, I. , et al., A comprehensive molecular analysis of 113 primary ovarian clear cell carcinomas reveals common therapeutically significant aberrations. Diagn Pathol 2023, 18, 72. [Google Scholar] [CrossRef]
- Zhai, Y. , et al., Arid1a inactivation in an Apc- and Pten-defective mouse ovarian cancer model enhances epithelial differentiation and prolongs survival. J Pathol 2016, 238, 21–30. [Google Scholar] [CrossRef] [PubMed]
- Chandler, R.L. , et al., Coexistent ARID1A-PIK3CA mutations promote ovarian clear-cell tumorigenesis through pro-tumorigenic inflammatory cytokine signalling. Nat Commun 2015, 6, 6118. [Google Scholar] [CrossRef]
- Tong, A. , et al., Review the progression of ovarian clear cell carcinoma from the perspective of genomics and epigenomics. Front Genet 2023, 14, 952379. [Google Scholar] [CrossRef]
- Bolton, K.L. , et al., Molecular Subclasses of Clear Cell Ovarian Carcinoma and Their Impact on Disease Behavior and Outcomes. Clin Cancer Res 2022, 28, 4947–4956. [Google Scholar] [CrossRef]
- Chao, A. , et al., Molecular profiling reveals novel therapeutic targets and clonal evolution in ovarian clear cell carcinoma. BMC Cancer 2024, 24, 1403. [Google Scholar] [CrossRef]
- Wijaya, S.T. , et al., Comprehensive characterization of genomic features and clinical outcomes following targeted therapy and secondary cytoreductive surgery in OCCC: a single center experience. J Gynecol Oncol 2024, 35, e69. [Google Scholar] [CrossRef] [PubMed]
- Rahman, M. , et al., Clinicopathologic and biological analysis of PIK3CA mutation in ovarian clear cell carcinoma. Hum Pathol 2012, 43, 2197–2206. [Google Scholar] [CrossRef]
- Lee, S. , et al., Activation of PI3K/Akt pathway by PTEN reduction and PIK3CA mRNA amplification contributes to cisplatin resistance in an ovarian cancer cell line. Gynecol Oncol 2005, 97, 26–34. [Google Scholar] [CrossRef] [PubMed]
- Rinne, N. , et al., Targeting the PI3K/AKT/mTOR pathway in epithelial ovarian cancer, therapeutic treatment options for platinum-resistant ovarian cancer. Cancer Drug Resist 2021, 4, 573–595. [Google Scholar] [PubMed]
- Worley, M.J., Jr. , et al., Molecular changes in endometriosis-associated ovarian clear cell carcinoma. Eur J Cancer 2015, 51, 1831–1842. [Google Scholar] [CrossRef]
- Heong, V. , et al., A multi-ethnic analysis of immune-related gene expression signatures in patients with ovarian clear cell carcinoma. J Pathol 2021, 255, 285–295. [Google Scholar] [CrossRef]
- Wang, Z. , et al., Mutations of PI3K-AKT-mTOR pathway as predictors for immune cell infiltration and immunotherapy efficacy in dMMR/MSI-H gastric adenocarcinoma. BMC Med 2022, 20, 133. [Google Scholar] [CrossRef]
- Bakr, A. , et al., ARID1A regulates DNA repair through chromatin organization and its deficiency triggers DNA damage-mediated anti-tumor immune response. Nucleic Acids Res 2024, 52, 5698–5719. [Google Scholar] [CrossRef]
- Allo, G. , et al., ARID1A loss correlates with mismatch repair deficiency and intact p53 expression in high-grade endometrial carcinomas. Mod Pathol 2014, 27, 255–261. [Google Scholar] [CrossRef]
- Kim, K.J. , et al., Loss of ARID1A Expression in Gastric Cancer: Correlation with Mismatch Repair Deficiency and Clinicopathologic Features. J Gastric Cancer 2015, 15, 201–208. [Google Scholar] [CrossRef]
- Hung, Y.P. , et al., ARID1A mutations and expression loss in non-small cell lung carcinomas: clinicopathologic and molecular analysis. Mod Pathol 2020, 33, 2256–2268. [Google Scholar] [CrossRef] [PubMed]
- Lowenthal, B.M. , et al., Loss of ARID1A expression is associated with DNA mismatch repair protein deficiency and favorable prognosis in advanced stage surgically resected esophageal adenocarcinoma. Hum Pathol 2019, 94, 1–10. [Google Scholar] [CrossRef] [PubMed]
- Cretella, D. , et al., PTEN Alterations as a Potential Mechanism for Tumor Cell Escape from PD-1/PD-L1 Inhibition. Cancers (Basel) 2019, 11. [Google Scholar] [CrossRef]
- Vidotto, T. , et al., Emerging role of PTEN loss in evasion of the immune response to tumours. Br J Cancer 2020, 122, 1732–1743. [Google Scholar] [CrossRef] [PubMed]
- Peng, W. , et al., Loss of PTEN Promotes Resistance to T Cell-Mediated Immunotherapy. Cancer Discov 2016, 6, 202–216. [Google Scholar] [CrossRef]
- Xing, F. , et al., Modulating the tumor microenvironment via oncolytic virus and PI3K inhibition synergistically restores immune checkpoint therapy response in PTEN-deficient glioblastoma. Signal Transduct Target Ther 2021, 6, 275. [Google Scholar] [CrossRef]
- Maxwell, P.J. , et al., Tumor-derived CXCL8 signaling augments stroma-derived CCL2-promoted proliferation and CXCL12-mediated invasion of PTEN-deficient prostate cancer cells. Oncotarget 2014, 5, 4895–4908. [Google Scholar] [CrossRef]
- Bezzi, M. , et al., Diverse genetic-driven immune landscapes dictate tumor progression through distinct mechanisms. Nat Med 2018, 24, 165–175. [Google Scholar] [CrossRef]






| Age, mean (SD) | 50.6 (9.2) |
| Follow-up, months, median (range) | 50 (5-132) |
| FIGO stage, n (%) I II III IV Unknown Concurrent endometriosis Yes No |
36 (52.2) 8 (11.6) 18 (26.1) 6 (8.7) 1 (1.4) 15 (21.7) 54 (78.3) |
| ARID1A expression, n (%) Intact Altered |
41 (51.2) 39 (48.8) |
| PTEN expression, n (%) Strong Weak or loss |
15 (21.7) 54 (78.3) |
| MMR status, n (%) Proficient Deficient |
62 (89.9) 7 (10.1) |
| PD-L1 expression, n (%) Positive Negative |
18 (26.1.) 51 (73.9) |
| Total number n=69, 100% |
pMMR n=62, 89.9% |
dMMR- n=7, 10.1% |
p-value | PD-L1 (+) n=18, 26.1% |
PD-L1 (-) n=51, 73.9% | p-value |
|---|---|---|---|---|---|---|
| Variables | n (%) | n (%) | ||||
| Age Mean (SD) |
50.6 (8.89) |
51.0 (12.3) |
0.903 |
50.2 (7.67) |
50.8 (9.73) |
0.835 |
| FIGO Stage* I/II III/IV |
38 (63.3) 22 (36.7) |
5 (71.4) 2 (28.6) |
1.000 |
11(61.1) 7 (38.9) |
32 (65.3) 17 (34.7) |
0.751 |
| Platinum sensitivity** Sensitive Resistant |
42 (75.0) 14 (25.0) |
4 (66.7) 2 (33.3) |
0.643 |
14 (77.8) 4 (22.2) |
32 (72.7) 12 (27.3) |
0.760 |
| ARID1A expression Retained Loss |
35 (56.5) 27 (43.5) |
1 (14.3) 6 (85.7) |
0.049 |
8 (44.4) 10(55.6) |
28 (54.9) 23 (45.1) |
0.445 |
| PTEN expression Retained Loss |
15 (24.2) 47 (75.8) |
0 (0) 7 (100) |
0.333 |
0 (0) 18 (100) |
15 (29.4) 36 (70.6) |
0.007 |
| PD-L1 expression Positive Negative |
17 (27.4) 45 (72.6) |
1 (14.3) 6 (85.7) |
0.667 |
NA |
NA |
NA |
| MMR status Proficient Deficient |
NA |
NA |
NA |
17 (94.4) 1 (5.6) |
45 (88.2) 6 (11.8) |
0.667 |
| Stage | A+/P+ | A+/P- | A-/P+ | A-/P- | p-value |
|---|---|---|---|---|---|
| Early (n=44) | 3 (6.8) | 16 (36.4) | 5 (11.4) | 20 (45.4) | 1.000 |
| Advanced (n=24) | 6 (25.0) | 10 (41.7) | 0 (0.0) | 8 (33.3) | 0.066 |
| Total* (n=69) | 10 (14.5) | 26 (37.7) | 5 (7.2) | 28 (40.36) | 0.204 |
Disclaimer/Publisher’s Note: The statements, opinions and data contained in all publications are solely those of the individual author(s) and contributor(s) and not of MDPI and/or the editor(s). MDPI and/or the editor(s) disclaim responsibility for any injury to people or property resulting from any ideas, methods, instructions or products referred to in the content. |
© 2025 by the authors. Licensee MDPI, Basel, Switzerland. This article is an open access article distributed under the terms and conditions of the Creative Commons Attribution (CC BY) license (http://creativecommons.org/licenses/by/4.0/).