Submitted:
24 March 2025
Posted:
25 March 2025
You are already at the latest version
Abstract
Keywords:
1. Introduction
2. Materials and Methods
2.1. Virus and Cells
2.2. Construction of Recombinant Baculoviruses
2.3. Acquisition of Recombinant Baculovirus
2.4. Indirect Immunofluorescence Assay (IFA) analysis of Recombinant Baculoviruses
2.5. Generation and Purification of FPLV-VP2-VLPs
2.6. Antigenicity Analysis of FPLV-VP2-VLPs
2.7. Hemagglutinin Activity Analysis of FPLV-VP2-VLPs
2.8. Transmission Electron Microscopy
2.9. Animal Immunization and Challenge
2.10. Statistical Analysis
3. Results
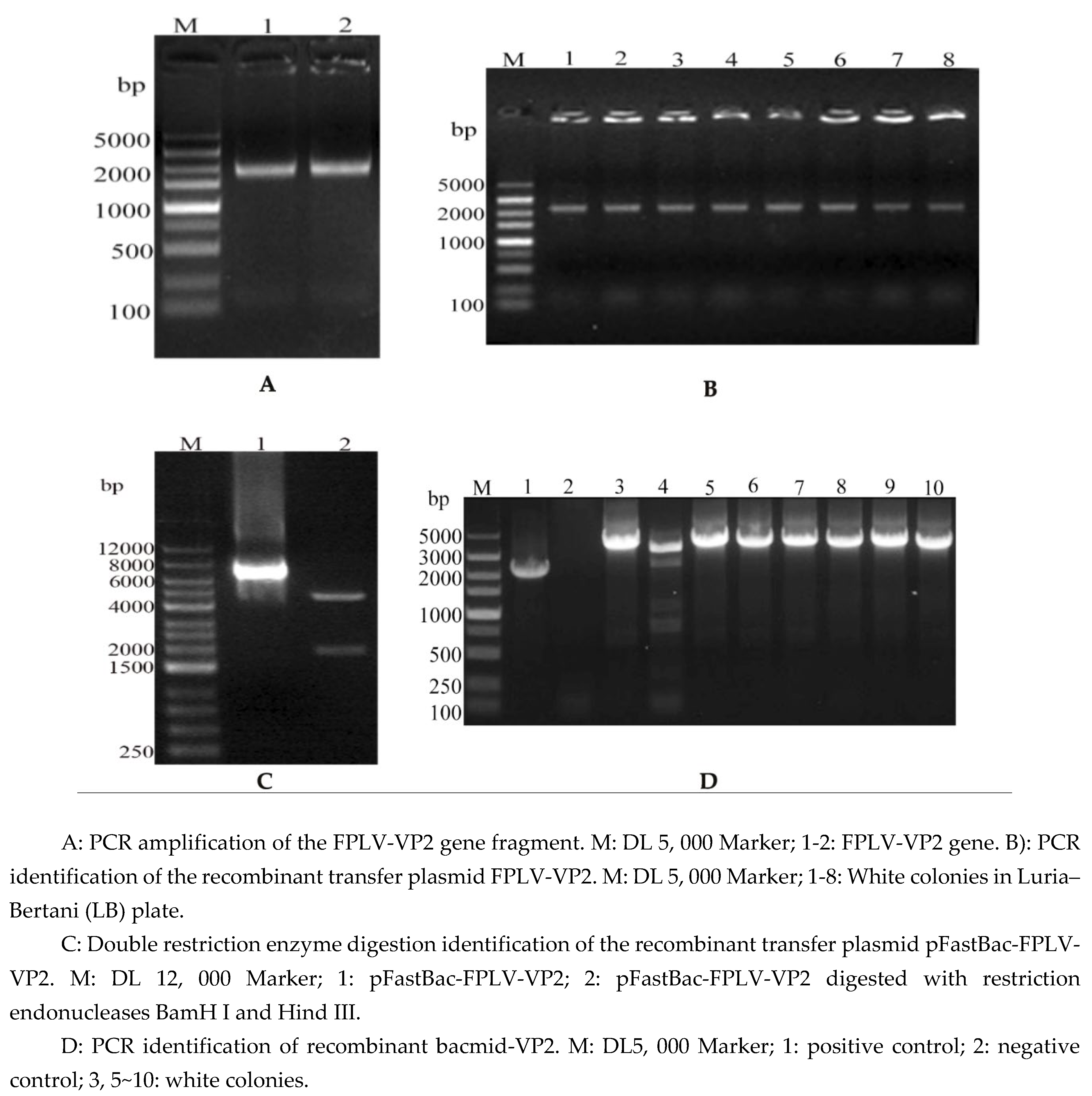
3.1. Construction and Identification of rBacmid-VP2
3.2. Analysis of FPLV-VP2-VLPs
3.3. Indirect Immunofluorescence Assay
3.4. Change in Hemagglutination Inhibition (HI) Antibody after vaccination
3.5. Clinical characteristic of Cats after Challenge
3.6. Safety Evaluation of Vaccines
4. Discussion
5. Conclusions
Author Contributions
Funding
Institutional Review Board Statement
Informed Consent Statement
Data Availability Statement
Acknowledgments
Conflicts of Interest
Abbreviations
| dpc | Days Post Challenge |
| dpv | Days Post Vaccination |
| VLPs | Virus-like Particles |
References
- Gendreau, L.A. Sulphanilamide in Feline Distemper. Can J Comp Med Vet Sci 1941, 5, 56–57.
- Hindle, E.; Findlay, G.M. Studies on Feline Distemper. Journal of Comparative Pathology and Therapeutics 1932, 45, 11–26.
- Leasure EE, L.H. Feline Infectious Enteritis. North Am Vet 1934, 15, 30–34.
- O’Reilly, K.J. Study of an Attenuated Strain of Feline Infectious Enteritis (Panleucopaenia) Virus. I. Spread of Vaccine Virus from Cats Affected with Feline Respiratory Disease. J Hyg (Lond) 1971, 69, 627–635.
- Fairweather, J. Epidemic among Cats in Delhi, Resembling Cholera. The Lancet 1876, 108, 115–117.
- Verge J, C.N. La Gastroenterite Infectieuse Des Chats Est Elle Due a Uvirus Filtrable? In Proceedings of the Comptes rendus des seances de la Societe de biologie (Paris); 1928; Vol. 99, pp. 312–314.
- Csiza, C.K.; De Lahunta, A.; Scott, F.W.; Gillespie, J.H. Spontaneous Feline Ataxia. Cornell Vet 1972, 62, 300–322.
- Kruse, B.D.; Unterer, S.; Horlacher, K.; Sauter-Louis, C.; Hartmann, K. Prognostic Factors in Cats with Feline Panleukopenia. Journal of veterinary internal medicine 2010, 24, 1271–1276.
- Jacobson, L.S.; Janke, K.J.; Ha, K.; Giacinti, J.A.; Weese, J.S. Feline Panleukopenia Virus DNA Shedding Following Modified Live Virus Vaccination in a Shelter Setting. The Veterinary Journal 2022, 279, 105783.
- Stone, A.E.; Brummet, G.O.; Carozza, E.M.; Kass, P.H.; Petersen, E.P.; Sykes, J.; Westman, M.E. 2020 AAHA/AAFP Feline Vaccination Guidelines. J Feline Med Surg 2020, 22, 813–830.
- Squires, R.A.; Crawford, C.; Marcondes, M.; Whitley, N. 2024 Guidelines for the Vaccination of Dogs and Cats - Compiled by the Vaccination Guidelines Group (VGG) of the World Small Animal Veterinary Association (WSAVA). J Small Anim Pract 2024, 65, 277–316.
- Cao, L.; Chen, Q.; Ye, Z.; Li, J.; Zhang, Y.; Wang, Y.; Chen, L.; Chen, Z.; Jin, J.; Cao, S.; et al. Epidemiological Survey of Feline Viral Infectious Diseases in China from 2018 to 2020. Animal Research and One Health 2023, 1, 233–241.
- Pan, S.; Jiao, R.; Xu, X.; Ji, J.; Guo, G.; Yao, L.; Kan, Y.; Xie, Q.; Bi, Y. Molecular Characterization and Genetic Diversity of Parvoviruses Prevalent in Cats in Central and Eastern China from 2018 to 2022. Front Vet Sci 2023, 10, 1218810.
- Wang, J.; Yan, Z.; Liu, H.; Wang, W.; Liu, Y.; Zhu, X.; Tian, L.; Zhao, J.; Peng, Q.; Bi, Z. Prevalence and Molecular Evolution of Parvovirus in Cats in Eastern Shandong, China, between 2021 and 2022. Transboundary and Emerging Diseases 2024, 2024, 5514806.
- Chen, X.; Wang, J.; Zhou, Y.; Yue, H.; Zhou, N.; Tang, C. Circulation of Heterogeneous Carnivore Protoparvovirus 1 in Diarrheal Cats and Prevalence of an A91S Feline Panleukopenia Virus Variant in China. Transbound Emerg Dis 2022, 69, e2913–e2925.
- Gupta, R.; Arora, K.; Roy, S.S.; Joseph, A.; Rastogi, R.; Arora, N.M.; Kundu, P.K. Platforms, Advances, and Technical Challenges in Virus-like Particles-Based Vaccines. Front Immunol 2023, 14, 1123805.
- Zhang, L.; Xu, W.; Ma, X.; Sun, X.; Fan, J.; Wang, Y. Virus-like Particles as Antiviral Vaccine: Mechanism, Design, and Application. Biotechnol Bioprocess Eng 2023, 28, 1–16.
- Chackerian, B. Virus-like Particles- Flexible Platforms for Vaccine Development. 2007.
- Barrs, V.R. Feline Panleukopenia: A Re-Emergent Disease. Vet Clin North Am Small Anim Pract 2019, 49, 651–670.
- Li, L.; Liu, Z.; Liang, R.; Yang, M.; Yan, Y.; Jiao, Y.; Jiao, Z.; Hu, X.; Li, M.; Shen, Z.; et al. Novel Mutation N588 Residue in the NS1 Protein of Feline Parvovirus Greatly Augments Viral Replication. J Virol 2024, 98, e0009324.
- Chambers, A.C.; Aksular, M.; Graves, L.P.; Irons, S.L.; Possee, R.D.; King, L.A. Overview of the Baculovirus Expression System. Curr Protoc Protein Sci 2018, 91, 5.4.1-5.4.6.
- Wang, Z.; Jiang, Y.; Xin, T.; Yuan, W.; Guo, X.; Zhou, H.; Zhu, H.; Jia, H. Genetic Characterization and Evolutionary Analysis of Canine Parvovirus in Tangshan, China. Arch Virol 2022, 167, 2263–2269.
- Gao, T.; Gao, C.; Wu, S.; Wang, Y.; Yin, J.; Li, Y.; Zeng, W.; Bergmann, S.M.; Wang, Q. Recombinant Baculovirus-Produced Grass Carp Reovirus Virus-Like Particles as Vaccine Candidate That Provides Protective Immunity against GCRV Genotype II Infection in Grass Carp. Vaccines (Basel) 2021, 9.
- Jin, H.; Xia, X.; Liu, B.; Fu, Y.; Chen, X.; Wang, H.; Xia, Z. High-Yield Production of Canine Parvovirus Virus-like Particles in a Baculovirus Expression System. Arch Virol 2016, 161, 705–710.
- Jiao, C.; Zhang, H.; Liu, W.; Jin, H.; Liu, D.; Zhao, J.; Feng, N.; Zhang, C.; Shi, J. Construction and Immunogenicity of Virus-Like Particles of Feline Parvovirus from the Tiger. Viruses 2020, 12.
- Pereira, S.T.; Gamba, C.O.; Horta, R.S.; Cunha, R.M. de C.; Lavalle, G.E.; Cassali, G.D.; Araújo, R.B. Histomorphological and Immunophenotypic Characterization of Feline Injection Site-Associated Sarcoma. Acta Scientiae Veterinariae 2021, 49.
- Brearley, M.J. Vaccine-Associated Feline Sarcoma—an Emerging Problem. Journal of Feline Medicine & Surgery 1999, 1, 5–6.






| Groups | Vaccine | Number of cats | Number of Diseased Cats | Protection Rate |
|---|---|---|---|---|
| Group I | FPLV-VLPs vaccine (Seppic adjuvant) |
3 | 0 | 3/3(100%) |
| Group II | FPLV killed vaccine (Seppic adjuvant) |
3 | 0 | 3/3(100%) |
| Group III | Commercial vaccine (Fel-O-Vax® PCT) |
3 | 2 | 1/3(33%) |
| Group IV | Minimum essential medium | 3 | 3 | 0/3(0%) |
![]() |
Disclaimer/Publisher’s Note: The statements, opinions and data contained in all publications are solely those of the individual author(s) and contributor(s) and not of MDPI and/or the editor(s). MDPI and/or the editor(s) disclaim responsibility for any injury to people or property resulting from any ideas, methods, instructions or products referred to in the content. |
© 2025 by the authors. Licensee MDPI, Basel, Switzerland. This article is an open access article distributed under the terms and conditions of the Creative Commons Attribution (CC BY) license (http://creativecommons.org/licenses/by/4.0/).
