Submitted:
05 March 2025
Posted:
07 March 2025
You are already at the latest version
Abstract
Keywords:
1. Introduction
- to be referred to an epilepsy center,
- to be recommended for surgery,
- to become seizure free following surgery.
2. Methods
3. Electroencephalogram (EEG) to Confirm Clinical Epilepsy Diagnosis- Options When the First EEG Is Normal
3.1. Repeat EEG Recordings, Longer EEG Duration
3.2. Sleep, Sleep Deprivation and Sleep Induction
3.3. Timing of EEG Recording
3.4. Extra Electrodes Outside 10-20 Electrode Array
3.5. Interventions with Activation Procedures
3.6. Activating Medications
4. Normal MRI in a Patient with Epilepsy - How to Increase the Yield?
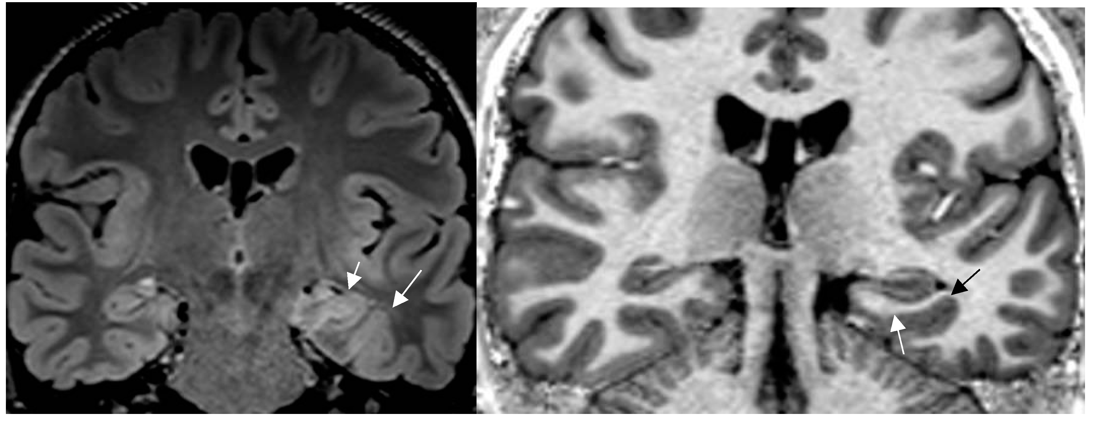
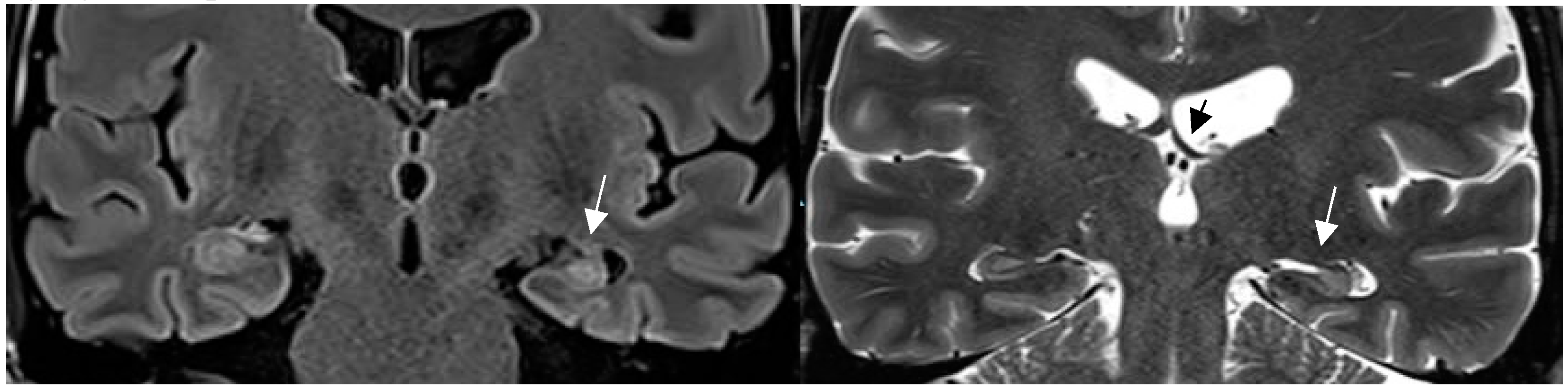
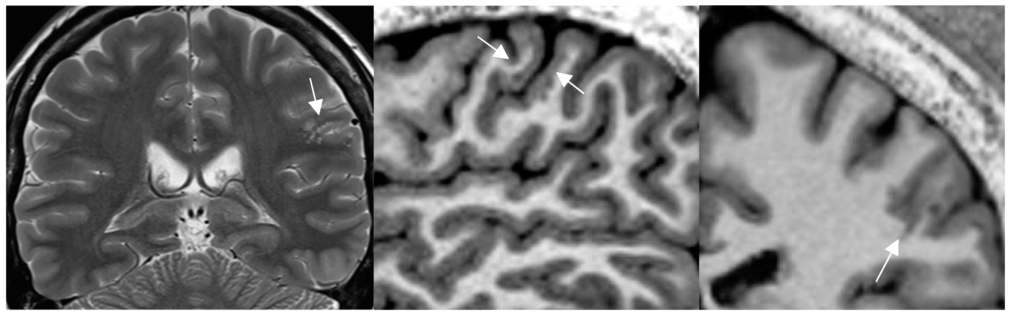
4.1. Pathologies Likely to Be Missed on Brain MRI in Patients with Epilepsy

4.2. A standardized Epilepsy Specific Protocol Provides Superior Diagnostic Yield
4.3. Expert Readers Take Advantage of the Added Value of an Epilepsy Specific Protocol

4.4. Increased MRI Field Strength and Receive Coils Improve Lesion Recognition by Enhanced Signal and Spatial Resolution

4.5. New MR Sequences Display Tissue Properties for Improved Visualization of Lesions


4.6. Postprocessing by Morphometric Analysis Improves Focal Lesion Detection Beyond Visual Analysis

4.7. Postprocessing by Quantitative Analysis of Signal Intensity, Volumetry Enhances Temporal Lesion Identification

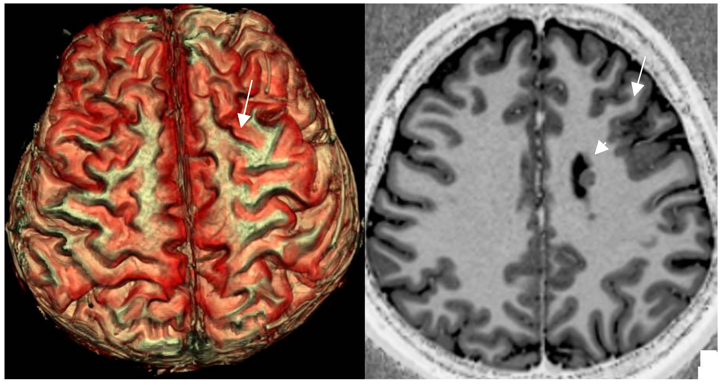
4.8. Postprocessing by 3D Surface Rendering Technique to Improve Comprehension of Superficially Located Lesions

4.9. MR Fingerprinting Exploits Tissue Properties to Reflect “Activity“ of a Lesion
4.10. MR Perfusion Exploits Blood Flow to Identify Interictal Laterality of a Focus
4.11. Contrast Administration Is of Limited Gain with Respect to Lesion Detection But May Contribute to Characterization of an Abnormality

4.12. New Entities: Knowledge Shapes Perception


5. Conclusion
| Measure | Comment |
|---|---|
| Repeat routine EEG |
|
| Longer EEG recording |
|
| Include sleep |
|
| Sleep deprivation |
|
| Optimize timing of EEG |
|
| Extra electrodes |
|
| Optimize hyperventilation |
|
| Optimize photic stimulation |
|
| Include reflex seizure precipitants during EEG |
|
| A : core sequences | B: additional sequences with evidence of gain |
| isotropic sagittal ≤ 1mm 3D T1 sequ. eg MPRAGE | isotropic sagittal ≤ 1mm 3D T1 IR sequ. eg MP2RAGE (may replace MPRAGE) |
| isotropic sagittal ≤ 1mm 3D FLAIR sequ. no interslice gap | axial hemosiderin sensitive susceptability weighted sequ. SWI displayed as MIP |
| high resolution (eg, 0.4 × 0.4 × < 2 mm) coronal 2D T2 images | diffusion weighted sequ. 2.5 - 3mm when deemed appropriate by change of semiology/seizure frequency ± MR lesion: |
| isotropic ≤ 1mm 3D T1 MPRAGE Gd enhanced (0.2mmol/KG) |
Authors’ contributions
Funding
Acknowledgments
Conflicts of Interest
References
- Abou-Khalil B, Spalice A, T. M. Maximizing EEG methodology in Photosensitivity: do’s and don’ts. In: Kasteleijn-Nolst Trenité D, editor. The importance of photosensitivity for Epilepsy: Springer; 2021. p. 349-59.
- Aellen J, Abela, E, Buerki SE, Kottke R, Springer E, Schindler K, Weisstanner C, El-Koussy M, Schroth G, Wiest R, Verma RK. Focal hemodynamic patterns of status epilepticus detected by susceptibility weighted imaging (SWI). Eur Radiol 2014 24:2980–2988. [CrossRef]
- Agarwal A, Bathla G, Soni N, Desai A, Middlebrooks E, Patel V, Gupta V, Vibhuteet P. Updates from the International League Against Epilepsy Classification of Epilepsy (2017) and Focal Cortical Dysplasias (2022): Imaging Phenotype and Genetic Characterization. [CrossRef]
- Aguglia U, Gambardella A, Le Piane E, De Sarro GB, Zappia M, Quattrone A. Chlorpromazine versus sleep deprivation in activation of EEG in adult-onset partial epilepsy. J Neurol 1994;241(10):605-10. [CrossRef]
- Ahmed R, Rubinger L, Cristina Go, Drake JM, Rutka JT, Snead OC, Widjaja E. Utility of additional dedicated high-resolution 3T MRI in children with medically refractory focal epilepsy. Epilepsy research 2018; 143:113-119. [CrossRef]
- Andrijauskis D, Woolf G, Kuehne A, Al-Dasuqi K, Silva CT, Payabvash S, Malhotra A. AJNR Am J Neuroradiol, 2023; 44 : 1208-1211. [CrossRef]
- Ashrafi MR, Mohebbi H, Mohamadi M, Azizi E, Zamani GR, Tavasoli A, et al. Clonidine Versus Chlo- ral Hydrate for Recording Sleep EEG in Children. Iran J Child Neurol 2020;14(1):85-92.
- Bach Justesen A, Eskelund Johansen AB, Martinussen NI, Wasserman D, Terney D, Meritam P, et al. Added clinical value of the inferior temporal EEG electrode chain. Clin Neurophysiol 2018;129(1):291-5. [CrossRef]
- Baldin E, Hauser WA, Buchhalter JR, Hesdorffer DC, Ottman R. Yield of epileptiform electroencepha- logram abnormalities in incident unprovoked seizures: a population-based study. Epilepsia 2014;55(9):1389-98. [CrossRef]
- Baldin E, Hauser WA, Buchhalter JR, Hesdorffer DC, Ottman R. Utility of EEG Activation Procedures in Epilepsy: A Population-Based Study. J Clin Neurophysiol 2017;34(6):512-9.
- Barba C, Blümcke I, Winawer MR et al. Clinical Features, Neuropathology, and Surgical Outcome in Patients With Refractory Epilepsy and Brain Somatic Variants in the SLC35A2 Gene. Neurology 2023;100 100 (5) e528-e542.
- Bartolini E, Cosottini M, Costagli M, Barba, L, Tassi R, Spreafico R, Garbelli L, Biagi A, Buccoliero F, Guerrini GR. Ultra-high-field targeted imaging of focal cortical dysplasia: the intracortical black line sign in type IIb. AJNR Am J Neuroradiol 2019;40:2137–42. [CrossRef]
- Beniczky S, Guaranha MS, Conradsen I, Singh MB, Rutar V, Lorber B, et al. Modulation of epileptiform EEG discharges in juvenile myoclonic epilepsy: an investigation of reflex epileptic traits. Epilepsia 2012;53(5):832-9. [CrossRef]
- Bernasconi A, Cendes F, Theodore WH, Gill RS, Koepp MJ, Hogan RE, Jackson GD, Federico P, Labate A, Vaudano AE Blümcke I, Ryvlin P, Bernasconi N.Recommendations for the use of structural magnetic resonance imaging in the care of patients with epilepsy: A consensus report from the International League Against Epilepsy Neuroimaging Task Force. Epilepsia 2019;60:1266-1272. [CrossRef]
- Bulus E, Abanoz Y, Gulen Abanoz Y, Yeni SN. The Effect of Cognitive Tasks During Electroenceph- alography Recording in Patients With Reflex Seizures. Clin EEG Neurosci 2022;53(1):54-60.
- Burkholder DB, Britton JW, Rajasekaran V, Fabris RR, Cherian PJ, Kelly-Williams KM, et al. Routine vs extended outpatient EEG for the detection of interictal epileptiform discharges. Neurology 2016;86(16):1524-30. [CrossRef]
- Cianfoni A . Caulo M , Cerase A et al. Seizure-induced brain lesions: A wide spectrum of variably reversible MRI abnormalities. Eur J Radiol 2013,11: 1964-1972.
- Coan AC Morita ME, de Campos DM, Yassuda CL, Cendes F. Amygdala enlargement in patients with mesial temporal lobe epilepsy without hippocampal sclerosis. Front Neurol. 2013;4:166-170.
- Coan AC, Kubota B, Bergo FPG, Campos BM, Cende F. 3T MRI Quantification of Hippocampal Volume and Signal in Mesial Temporal Lobe Epilepsy Improves Detection of Hippocampal Sclerosis AJNR 2014; 35:77–88.
- Craciun L, Varga ET, Mindruta I, Meritam P, Horvath Z, Terney D, et al. Diagnostic yield of five minutes compared to three minutes hyperventilation during electroencephalography. Seizure 2015;30:90-2. [CrossRef]
- Czarnetzki C, Spinelli, L, Huppertz HJ , Schaller K, Momjian S, Lobrinus J, Vargas MI, garibotto V, Vulliemoz S, Seeck M Yield of non-invasive imaging in MRI-negative focal epilepsy. J Neurol 2024; 271: 995–100. [CrossRef]
- Delil S, Senel GB, Demiray DY, Yeni N. The role of sleep electroencephalography in patients with new onset epilepsy. Seizure 2015;31:80-3. [CrossRef]
- Demerath Th, Kaller CP, Heers M, Staack A, Schwarzwald R, Kober T, Reisert M, Schulze-Bonhage A, Huppertz HJ, Urbach H. Fully automated detection of focal cortical dysplasia: Comparison of MPRAGE and MP2RAGE sequences. Epilepsia 2022; 63: , 1-258, 1-e34. [CrossRef]
- Dhamija K, Chaudhry N, Puri V. Modulation of epileptiform EEG discharges in patients with JME.
- Doppelbauer A, Zeitlhofer J, Zifko U, Baumgartner C, Mayr N, Deecke L. Occurrence of epileptiform activity in the routine EEG of epileptic patients. Acta Neurol Scand 1993;87(5):345-52. [CrossRef]
- Faulkner HJ, Arima H, Mohamed A. Latency to first interictal epileptiform discharge in epilepsy with outpatient ambulatory EEG. Clin Neurophysiol 2012;123(9):1732-5. [CrossRef]
- Fong CY,Tay CG,Ong LC,Lai NM.Chloral hydrate as sedating agent for neurodiagnostic procedure in children.Cochrane database Syst Rev 2017;11(11):CD011786.
- Fountain NB, Kim JS, Lee SI. Sleep deprivation activates epileptiform discharges independent of the activating effects of sleep. J Clin Neurophysiol 1998;15(1):69-75. [CrossRef]
- Galazzo IB, Mattoli MV, Pizzini FB, De Vita E, Barnes A, Duncan JS, Jäger HR, Golay X,Bomanji JB, Koepp M, Groves AM, Fraioli F. Cerebral metabolism and perfusion in MR-negative individuals with refractory focal epilepsy assessed by simultaneous acquisition of 18F-FDG PET and arterial spin labeling. NeuroImage Clinical, 2016; 11: 648-657. [CrossRef]
- Haddad N, Melikyan G, Alarcon G, Shaheen Y, Siddiqi M, Ali E, et al. 24-Hour video EEG in the evaluation of the first unprovoked seizure.Clin Neurophysiol Pract 2021;6:123-8. [CrossRef]
- Hainc N, McAndrews MP, Valiante T. Andrade DM, Wennberg R, Krings T.Imaging in medically refractory epilepsy at 3 Tesla: a 13-year tertiary adult epilepsy center experience. Insights into Imaging (2022)13:9. [CrossRef]
- Hwan Yim S, Ho Cho K, Ho Choi Y, Ihn Kim H, Cho YJ, Heo K. Nasopharyngeal electrodes in temporal lobe epilepsy: A reappraisal of their diagnostic utility. Clin Neurophysiol 2021;132(7):1741-51.
- Kaleyias J, Kothare SV, Pelkey M, Harrison G, Legido A, Khurana DS. Achieving sleep state during EEG in children :sequences of activating procedures .Clin Neurophysiol 2006;117(7):1582-4.
- Kasteleijn-Nolst Trenite D, Rubboli G, Hirsch E, Martins da Silva A, Seri S, Wilkins A, et al. Methodology of photic stimulation revisited : updated European algorithm for visual stimulation in the EEG laboratory. Epilepsia 2012;53 (1):16-24.
- Kirchberger K, Schmitt H, Hummel C, Peinemann A, Pauli E, Kettenmann B, Stefan H. Clonidine- and methohexital-induced epileptiform discharges detected by magnetoencephalography (MEG) in patients with localization-related epilepsies. Epilepsia 1998;39(10):1104-12. [CrossRef]
- Kishk NA Shamloul R, Moawad MK et al. Cost-effectiveness of HARNESS-MRI protocol in focal drug-resistant epilepsy in a limited-resources course- an Egyptian study. Clinical Neurology and Neurosurgery 2023; 233.
- Labate A, Ambrosio R, Gambardella A, Sturniolo M, Pucci F, Quattrone A. Usefulness of a morning routine EEG recording in patients with juvenile myoclonic epilepsy. Epilepsy Res 2007;77(1):17-21. [CrossRef]
- Leach JP, Stephen LJ, Salveta C, Brodie MJ. Which electroencephalography (EEG) for epilepsy? The relative usefulness of different EEG protocols in patients with possible epilepsy. J Neurol Neurosurg Psychiatry 2006;77(9):1040-2.
- Lee RK, Burns J, Ajam AA, Broder JS, Chakraborty S, Chong ST, Kendi AT, Ledbetter NL, Liebeskind DS, Pannell JS, Pollock JM, Rosenow JM, Shaines MD, Shih RY, Slavin K, Utukuri PS, Corey AS.Expert Panel on Neurological Imaging . ACR Appropriateness Criteria® Seizures and Epilepsy. Journal of the American College of Radiology, 2020 suppl. 17: S293-304. [CrossRef]
- Llaurado A, Santamarina E, Fonseca E, Olive M, Requena M, Sueiras M, et al. How soon should ur- gent EEG be performed following a first epileptic seizure? Epilepsy Behav 2020;111:107315.
- Losey TE, Uber-Zak L. Time to first interictal epileptiform discharge in extended recording EEGs. J Clin Neurophysiol 2008;25(6):357-60. [CrossRef]
- Ma D, Jones St E, Deshmane A, Sakaie K, Pierre EY, Larvie M, McGivney D, Blümcke I, Krishnan B, Lowe M, Gulani V, Najm I, Griswold MA, Wang I. Development of high-resolution 3D MR fingerprinting for detection and characterization of epileptic lesions. JMRI 2019; 49 1333-1346. [CrossRef]
- Magro D, Tosto F, Laterza V et al. The Dark side of the White Matter. Diffuse subcortical White matter hypointensity on T2/FLAIR: A systematic review of a frequently underrecognized sign.
- Mariajoseph F, Muthusamy S, Amokutowa S, Seneviratne U. Seizure-induced reversible MRI abnormalities in status epilepticus: A systematic review. Seizure 2021;92:166-173. [CrossRef]
- Matsuoka H, Takahashi T, Sasaki M, Matsumoto K, Yoshida S, Numachi Y, et al. Neuropsychological EEG activation in patients with epilepsy. Brain 2000;123 ( Pt 2):318-30. [CrossRef]
- Matsuoka H, Nakamura M, Ohno T, Shimabukuro J, Suzuki T, Numachi Y, Awata S. The role of cogni- tive-motor function in precipitation and inhibition of epileptic seizures. Epilepsia 2005;46 Suppl 1:17-20.
- Mellerio C,Roca P, Chassoux F, Daniere F, Cachia A, Lion St, Naggara O, devaux B, Meder JF, Oppenheim C. The Power Button Sign: A newly described central sulcal pattern on surface rendering MR Images of type 2 focal cortical dysplasia. Radiology 2015; 274: 500-507. [CrossRef]
- Mendes Coelho VC, Morita-Sherman M, Yasuda CL et al. Magnetic resonance imaging findings and clinical characteristics in mild malformation of cortical development with oligodendroglial hyperplasia and epilepsy in a predominantly adult cohort. Epilepsia 2021; 62 :1429-1441. [CrossRef]
- Middlebrooks EH, Lin C, Westerhold E, Okromelidze L, Vibhute P, Grewal SS, Gupta V. Improved detection of focal cortical dysplasia using a novel 3D imaging sequence: Edge-Enhancing Gradient Echo (3D-EDGE) MRI. NeuroImage: Clinical 2020; 28: 10244. [CrossRef]
- Modur PN, Rigdon B. Diagnostic yield of sequential routine EEG and extended outpatient video-EEG monitoring. Clin Neurophysiol 2008;119(1):190-6. [CrossRef]
- Narayanan JT, Labar DR, Schaul N. Latency to first spike in the EEG of epilepsy patients. Seizure 2008;17(1):34-41. [CrossRef]
- Oner AY, Eryurt B, Ucar M, Capraz I, Kurt G, Bilir E, Tali T. pASL versus DSC perfusion MRI in lateralizing temporal lobe epilepsy. Acta Radiologica. 2015;56:477-481.
- Ontiveros S, Novy J, Jequier-Gygax M, Rossetti AO. Yield of Outpatient Sleep EEG for Epileptiform Alterations' Detection in Children. J Clin Neurophysiol 2016;33(1):72-5.
- Phal PM, Usmanov A, Nesbit GM, Anderson JC, Spencer D, Wang P, Helwig PA, Roberts C, Hamilton BE. Qualitative Comparison of 3-T and 1.5-T MRI in the Evaluation of Epilepsy AJR 2008; 191:890–895.
- Rados M , Mouthaan B, Barsi P, Carmichael D, Heckemann RA, Kelemen A, Kobulashivili T, Kuchukhidze G, Marusic P, Minkin K, Tisdall M, Trinka E, Veersema T, Vos SB, Wagner J, Braun K, van Eijsden P. Diagnostic value of MRI in the presurgical evaluation of patients with epilepsy: influence of field strength and sequence selection: a systematic review and meta-analysis from the E-PILEPSY Consortium. Epileptic Disorders 2022; 24: 323-342.
- Ranji-Burachaloo S, Sarraf P, Rahimian E, Shakiba S, Javadian N, Faraji P, Tafakhor A. The Role of Susceptibility-Weighted Imaging and Dedicated MRI Protocols in the Diagnostic Evaluation of Patients with Drug-Resistant Epilepsy. Arch Neurosci. 2019.
- Roupakiotis SC, Gatzonis SD, Triantafyllou N, Mantouvalos V, Chioni A, Zournas C, Siafakas A. The usefulness of sleep and sleep deprivation as activating methods in electroencephalographic recording: contribution to a long-standing discussion. Seizure 2000;9(8):580-4.
- Rowan AJ, Veldhuisen RJ, Nagelkerke NJ. Comparative evaluation of sleep deprivation and sedated sleep EEGs as diagnostic aids in epilepsy. Electroencephalogr Clin Neurophysiol 1982;54(4):357-64.
- Rozenblat T, Kraus D, Mahajnah M, Goldberg-Stern H, Watemberg N. Absence seizure provocation during routine EEG: Does position of the child during hyperventilation affect the diagnostic yield? Seizure 2020;79:86-9.
- Salinsky M, Kanter R, Dasheiff RM. Effectiveness of multiple EEGs in supporting the diagnosis of epilepsy: an operational curve. Epilepsia 1987;28(4):331-4.
- Samudra N, Armour E, Gonzalez H et al. Epilepsy with anterior temporal encephaloceles: Baseline characteristics,post-surgical outcomes, and comparison to mesial temporal sclerosis Epilepsy & Behavior 2023; 139. [CrossRef]
- Scheffer IE, Berkovic S, Capovilla G,Conolly MB, French J, Guilhoto L, Hirsch E, Jain S, mathern GW, Moshe SL, Nordli DR, Perucca E, Tomson T, Wiebe S, Zhang Y-H, Zuberiet SM. ILAE classification of the epilepsies: position paper of the ILAE Commission for Classification and Terminology. Epilepsia 2017;58:512–21.
- Seeck M, Koessler L, Bast T, Leijten F, Michel C, Baumgartner C, et al. The standardized EEG electrode array of the IFCN. Clin Neurophysiol 2017;128(10):2070-7.
- Shakhatreh L, Janmohamed M, Baker AA, Willard A, Laing J, Rychkova M, et al. Interictal and seizure-onset EEG patterns in malformations of cortical development: A systematic review. Neurobiol Dis 2022;174:105863.
- So EL, Ruggles KH, Ahmann PA, Trudeau P, Weatherford K. Yield of sphenoidal recording in sleep- deprived outpatients. J Clin Neurophysiol 1994;11(2):226-30.
- Sperling MR, Engel J, Jr. Electroencephalographic recording from the temporal lobes: a comparison of ear, anterior temporal, and nasopharyngeal electrodes. Ann Neurol 1985;17(5):510-3.
- Sperling MR, Mendius JR, Engel J, Jr. Mesial temporal spikes: a simultaneous comparison of sphe- noidal, nasopharyngeal, and ear electrodes. Epilepsia 1986;27(1):81-6.
- Sperling MR, Guina L. The necessity for sphenoidal electrodes in the presurgical evaluation of tem- poral lobe epilepsy: pro position. J Clin Neurophysiol 2003;20(5):299-304.
- Téllez-Zentenoa JF, Lizbeth Hernández Ronquillo L, Moien-Afshari F, Wiebe S. Surgical outcomes in lesional and non-lesional epilepsy: A systematic review and meta-analysis. Epilepsy Research 2010; 89: 310—318.
- Urbach H,Heers M, Altenmüller DM, Schulze-Bonhage A, Staack AM, Bast T, reisert M, Schwarzwald R, kaller C, Huppertz HJ, Demerath T. “Within a minute” detection of focal cortical dysplasia. Diagnostic Neuroradiology 2022; 64: 715-726.
- Vaudano AE Ballerini A, Zucchini F, Micalizz E, Scolastico S, Talami F, Giovannini G, Pugnaghi M, Orlando N, Biagioli, N, Cioclu MC, Vallone St, Genovese M, Todeschini A, Cavalleri F, Malagoli M, Meletti St. Impact of an optimized epilepsy surgery imaging protocol for focal epilepsy: A monocentric prospective study. Epileptic Disorders 2023;25 :45-46.
- von Oertzen J, Urbach H, Jungbluth S, M Kurthen M, Reuber M, Fernandez G, Elger CE. Standard magnetic resonance imaging is inadequate for patients with refractory focal epilepsy. J Neurol Neurosurg Psychiatry 2002;73:643–647.
- Wang ZI, Alexopoulos AV, Jones St E, Jaisani Z, Najm IM, Prayson RA. The pathology of magnetic-resonance-imaging-negative epilepsy. Mod Pathol Off J U S Can Acad Pathol Inc 2013;26:1051–8.
- Wang ZI, Bernasconi A, Bernhardt B, Blumenfeldt H, Cendes F, Chinvarun Y, Jackson G, Morgan V, Rampp St, Vaudano AE, Federico P. MRI essentials in epileptology: a review from the ILAE Imaging Taskforce. Epileptic Disorders 2020; 22: 42 -437.
- Wehner T, Weckesser PH, Schulz St. et al. Factors influencing the detection of treatable epileptogenic lesions on MRI. A randomized prospective study. Neurol. Res. Pract. 3, 41 (2021).
- Werhahn KJ, Hartl E, Hamann K, Breimhorst M, Noachtar S. Latency of interictal epileptiform dis- charges in long-term EEG recordings in epilepsy patients. Seizure 2015;29:20-5.
Disclaimer/Publisher’s Note: The statements, opinions and data contained in all publications are solely those of the individual author(s) and contributor(s) and not of MDPI and/or the editor(s). MDPI and/or the editor(s) disclaim responsibility for any injury to people or property resulting from any ideas, methods, instructions or products referred to in the content. |
© 2025 by the authors. Licensee MDPI, Basel, Switzerland. This article is an open access article distributed under the terms and conditions of the Creative Commons Attribution (CC BY) license (http://creativecommons.org/licenses/by/4.0/).