Submitted:
07 February 2025
Posted:
08 February 2025
You are already at the latest version
Abstract
Keywords:
1. Introduction
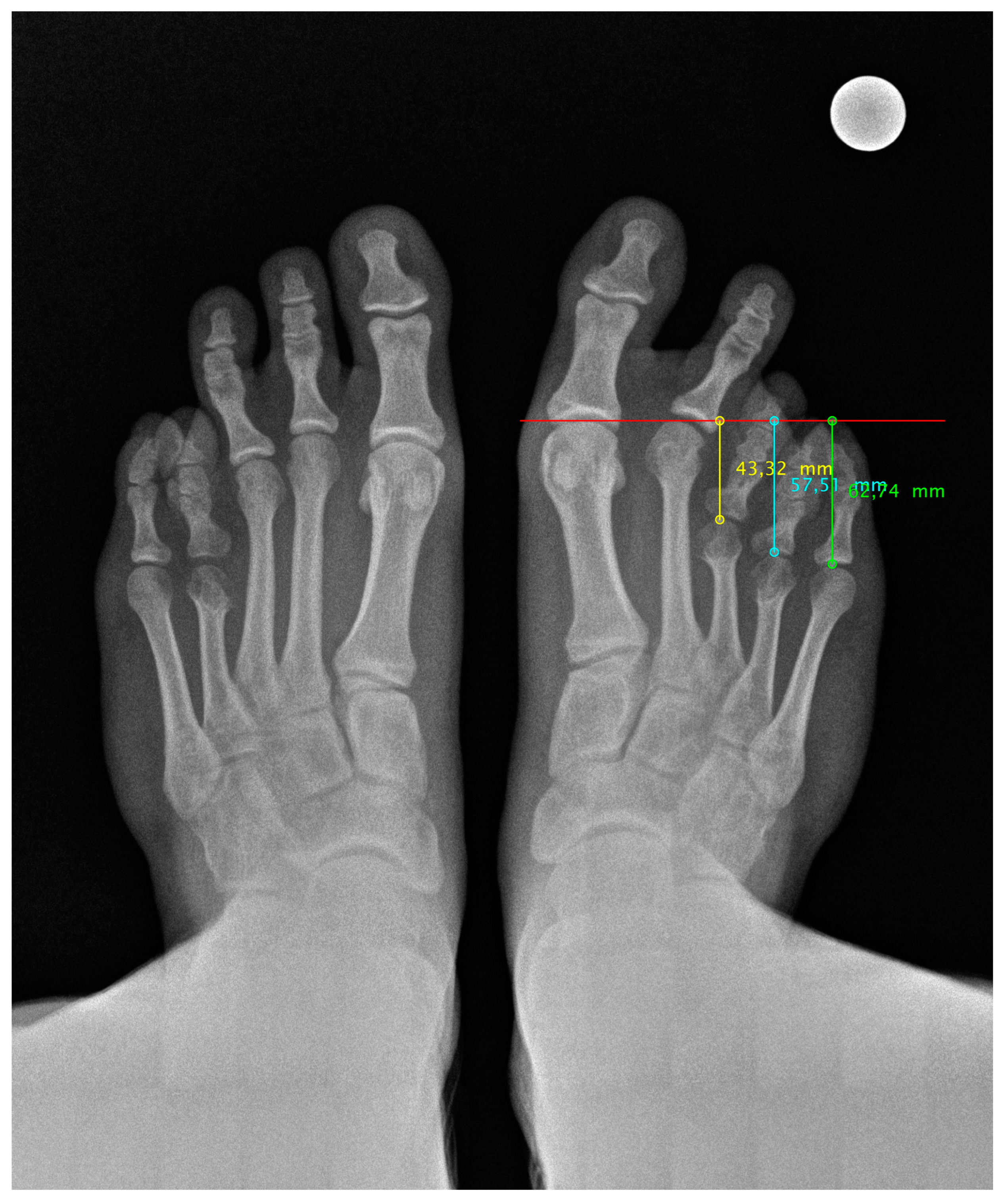
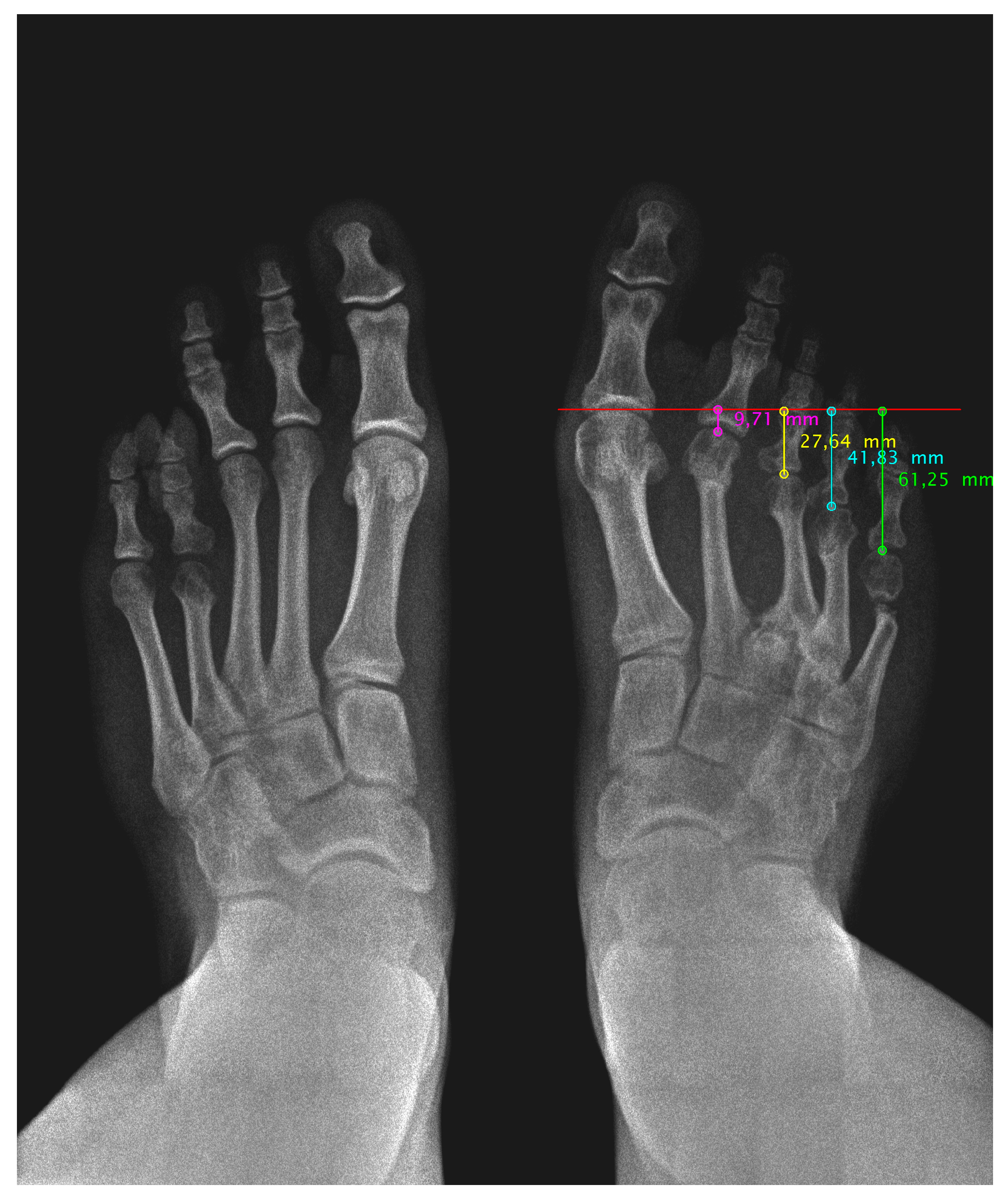
2. Case Report

2.1. Surgical Procedure
2.2. Postsurgical Procedure and Evolution
3. Results


4. Discussion
4.1. One-Stage Elongation
4.2. Gradual Distraction
4.3. Alternative and Combined Techniques
4.4. Limitations
4. Conclusions
Supplementary Materials
Author Contributions
Funding
Institutional Review Board Statement
Informed Consent Statement
Data Availability Statement
Acknowledgments
Conflicts of Interest
References
- Arceri A, Mazzotti A, Zielli SO, Artioli E, Viroli G, Traversari M, et al. What's the evidence on surgical treatment for congenital brachymetatarsia: A systematic review and meta-analysis. J Orthop. 2024;49:107-16.
- Fusini F, Alessandro M, Rava A, Kristijan Z, Felli L, Colò G. Aetiology, diagnosis, and treatment of brachymetatarsia: a narrative review. Musculoskelet Surg. 2021;105:11-9.
- Woo SH, Bang CY, Ahn HC, Kim SJ, Choi JY. Anatomical reconstruction of the fourth brachymetatarsia with one-stage iliac bone and cartilage cap grafting. J Plast Reconstr Aesthet Surg. 2017;70(5):666-72. [CrossRef]
- Kim HS, Lee YS, Jung JH, Shim JS. Complications of distraction osteogenesis in brachymetatarsia: Comparison between the first and fourth brachymetatarsia. Foot Ankle Surg. 2017;25(2):113-8. [CrossRef]
- Davidson RS. Metatarsal lengthening for congenital deformities of the foot. Clin Podiatr Med Surg. 2001;18(4):685-95.
- Peña-Martínez VM, Palacios-Barajas D, Blanco-Rivera JC, Arnaud-Franco Á, Elizondo-Rodríguez JA, Acosta-Olivo C, et al. Results of external fixation and metatarsophalangeal joint fixation with K-wire in brachymetatarsia. Foot Ankle Int. 2018;39(8):942-8. [CrossRef]
- Shecaira AP, Fernandes RMP. Brachymetatarsia: one-stage versus two-stage procedures. Foot Ankle Clin. 2019;24(4):677-87.
- Lamm BM, Gourdine-Shaw MC. Problems, obstacles, and complications of metatarsal lengthening for the treatment of brachymetatarsia. Clin Podiatr Med Surg. 2010;27(4):561-82. [CrossRef]
- Giannini S, Faldini C, Pagkrati S, Luciani D, Leardini A, Marcacci M. One-stage metatarsal lengthening by allograft interposition: a novel approach for congenital brachymetatarsia. Clin Orthop Relat Res. 2010;468:1933-42. [CrossRef]
- Fuiano M, Mosca M, Caravelli S, Di Liddo M, Grassi A, Massimi S, et al. Callus distraction with external fixator for the treatment of congenital brachymetatarsia. Foot Ankle Surg. 2020;26(6):693-8. [CrossRef]
- Urano Y, Kobayashi A. Bone-lengthening for shortness of the fourth toe. J Bone Joint Surg Am. 1978;60(1):91-3. [CrossRef]
- Schimizzi A, Brage M. Brachymetatarsia. Foot Ankle Clin N Am. 2004;9(3):555-70.
- Lee KB, Park HW, Chung JY, Moon ES, Jung ST, Seon JK. Comparison of outcomes of distraction osteogenesis for first and fourth brachymetatarsia. J Bone Joint Surg Am. 2010;92(16):2709-18. [CrossRef]
- Toporowski G, Thiesen R, Gosheger G, et al. Callus distraction for brachymetatarsia: a comparison between an internal device and the external fixator. Foot Ankle Surg. 2022;28:1220-8. [CrossRef]
- Barbier D, Neretin A, Journeau P, Popkov D. Gradual metatarsal lengthening by external fixation: a new classification of complications and a stable technique to minimize severe complications. Foot Ankle Int. 2015;36:1369-77.
- Kim HS, Lee YS, Jung JH, Shim JS. Complications of distraction osteogenesis in brachymetatarsia: comparison between the first and fourth brachymetatarsia. Foot Ankle Surg. 2019;25:113-8. [CrossRef]
- Hung WC, Chen CH, Lin CH, et al. Subacute two-stage metatarsal lengthening with gradual distraction for brachymetatarsia. Foot Ankle Surg. 2023;29:86-9.
- Song HR, Oh CW, Kyung HS, et al. Fourth brachymetatarsia treated with distraction osteogenesis. Foot Ankle Int. 2003;24:706-11. [CrossRef]
- Steedman JT, Peterson HA. Brachymetatarsia of the first metatarsal treated by surgical lengthening. J Pediatr Orthop. 1992;12:780-5.
- Lee WC, Yoo JH, Moon JS. Lengthening of fourth brachymetatarsia by three different surgical techniques. J Bone Joint Surg Br. 2009;91:1472-7. [CrossRef]
- Marcinko DE, Rappaport MJ, Gordon S. Post-traumatic brachymetatarsia. J Foot Surg. 1984;23:451-3.
- Shim JS, Park SJ. Treatment of brachymetatarsia by distraction osteogenesis. J Pediatr Orthop. 2006;26:250-4. [CrossRef]
- Choi IH, Chung MS, Baek GH, et al. Metatarsal lengthening in congenital brachymetatarsia: one-stage lengthening versus lengthening by callotasis. J Pediatr Orthop. 1999;19:660-4.
- Waizy H, Polzer H, Schikora N, et al. One-stage metatarsal interposition lengthening with an autologous fibula graft for treatment of brachymetatarsia. Foot Ankle Spec. 2019;12:330-5.
- Jones MD, Pinegar DM, Rincker SA. Callus distraction versus single-stage lengthening with bone graft for treatment of brachymetatarsia: a systematic review. J Foot Ankle Surg. 2015;54:927-31. [CrossRef]
- Steedman JT, Peterson HA. Brachymetatarsia of the first metatarsal treated by surgical lengthening. J Pediatr Orthop. 1992;12:780-5.
- Hung WC, Chen CH, Lin CH, et al. Subacute two-stage metatarsal lengthening with gradual distraction for brachymetatarsia. Foot Ankle Surg. 2023;29:86-9.
- Lamm BM, Gourdine-Shaw MC. Problems, obstacles, and complications of metatarsal lengthening for the treatment of brachymetatarsia. Clin Podiatr Med Surg. 2010;27(4):561-82. [CrossRef]
- Jones MD, Pinegar DM, Rincker SA. Callus distraction versus single-stage lengthening with bone graft for treatment of brachymetatarsia: a systematic review. J Foot Ankle Surg. 2015;54:927-31. [CrossRef]
- Waizy H, Polzer H, Schikora N, et al. One-stage metatarsal interposition lengthening with an autologous fibula graft for treatment of brachymetatarsia. Foot Ankle Spec. 2019;12:330-5.
- Choi IH, Chung MS, Baek GH, et al. Metatarsal lengthening in congenital brachymetatarsia: one-stage lengthening versus lengthening by callotasis. J Pediatr Orthop. 1999;19:660-4. [CrossRef]
Disclaimer/Publisher’s Note: The statements, opinions and data contained in all publications are solely those of the individual author(s) and contributor(s) and not of MDPI and/or the editor(s). MDPI and/or the editor(s) disclaim responsibility for any injury to people or property resulting from any ideas, methods, instructions or products referred to in the content. |
© 2025 by the authors. Licensee MDPI, Basel, Switzerland. This article is an open access article distributed under the terms and conditions of the Creative Commons Attribution (CC BY) license (http://creativecommons.org/licenses/by/4.0/).