Submitted:
27 November 2024
Posted:
28 November 2024
You are already at the latest version
Abstract
Enterohemorrhagic Escherichia coli (EHEC) O157:H7, primarily found in cattle, is a zoonotic pathogen associated with Hemolytic Uremic Syndrome (HUS) in humans that is typically transmitted through contaminated food. Among its many virulence factors, the Type Three Secretion System (T3SS) is responsible for gut colonization. Neonatal calf diarrhea (NCD), in contrast, is primarily caused by pathogens such as enterotoxigenic Escherichia coli (ETEC), Salmonella spp, Bovine Coronavirus (BCoV) and Bovine Rotavirus type A (BRoVA). In this study, we engineered and expressed a chimeric protein combining EspB and Int280γ—two key components of the T3SS—in the membrane of Salmonella dublin and ETEC. We confirmed successful membrane anchorage, stability and preservation of the chimera and assessed its immunogenicity in murine and guinea pig models. Immune response evaluations showed that combining recombinant bacteria did not enhance immunogenicity, indicating either bacterium could be effective in a single formulation. Chimeric expression achieved equivalent immunogenicity to 10 µg of recombinant chimera protein, with similar antibody titers across doses, indicating that a single vaccination may suffice. IgG1 and IgG2a levels, along with Th1, Th2, and Th17 markers, suggest a mixed immune response, providing broad humoral and cellular protection. Additionally, the immune response to BCoV, BRoVA, ETEC and Salmonella antigens remained high and showed no interference with the chimera-specific responses, which could enhance the overall efficacy of an NCD vaccine. The results underscore the robust immunogenicity of the chimera, supporting its potential as a commercially viable and effective vaccine candidate against EHEC O157:H7. This strategy could enhance the valency of NCD vaccines by offering broader protection against calf diarrhea and contribute to public health by reducing the risk of HUS transmission from cattle to humans.
Keywords:
1. Introduction
2. Materials and Methods
2.1. Production of EHEC Recombinant Proteins in ETEC and Salmonella dublin
2.2. Inactivation of Recombinant ETEC and Salmonella dublin
2.3. Cellular Localization of the Chimera Protein Detection
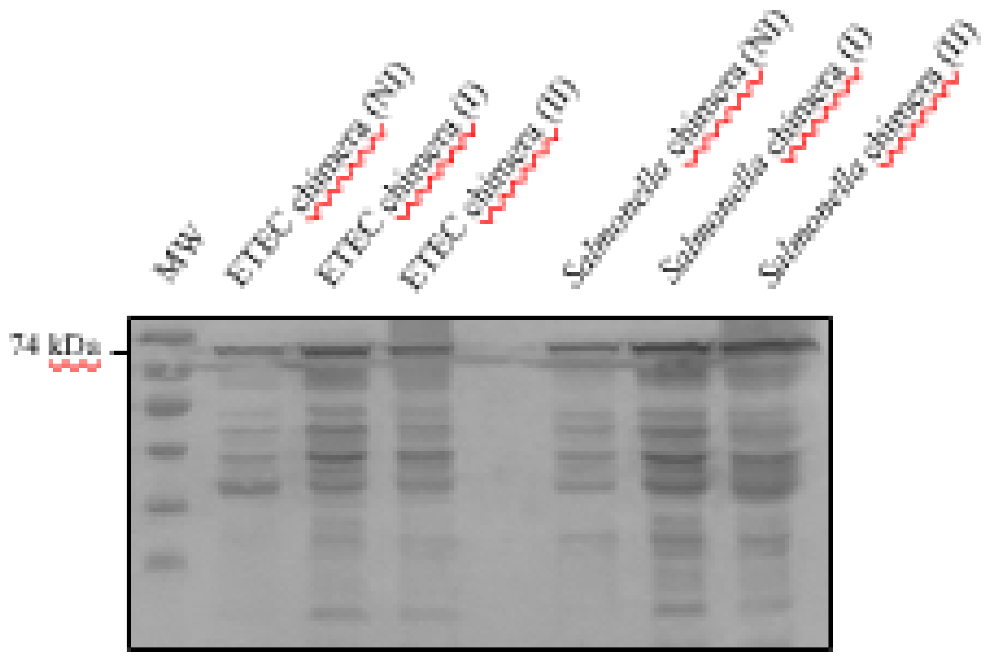
2.4. Western Blot Assay
2.5. Strains and Production of Coronavirus and Rotavirus
2.6. Fluorescent Focus Reduction Assay
2.7. Animal Models and Immunization
| Groups of guinea pigs | Treatments | Details |
|---|---|---|
| Control | Control |
1 mL of PBS |
| Vaccinated | Inactivated ETEC B41 and Salmonella dublin expressing Chimera proteins + BRoVA UK and BCoVB Mebus | 1.108 CFU of inactivated ETEC B41 and Salmonella dublin expressing Chimera proteins resuspended with 1.107 FFU BRoVA UK and BCoVB Mebus |
2.8. IgG Specific Antibody ELISA
2.9. Specific Antibody BCoV and BRoVA ELISA
2.10. Antigen- Specific IL-17, IFN-γ and IL-5 Production by Spleen Cells
2.11. Statistical Analysis.
3. Results
3.1. Design, Cloning and Introduction into Carrier Bacteria of Chimera Protein
3.2. Membrane-Anchoring of Chimeric Protein to ETEC and Salmonella dublin
3.3. Inactivation of Recombinant ETEC and Salmonella dublin and Antigenic Preservation in Vaccine Formulation
3.4. Immune Response of Mice and Guinea Pigs
3.5. Evaluation of Immune Response Against Chimera-Carrying Bacteria
3.6. Antibody Titers Against BRoVA UK and BCoV Mebus
3.7. Antigen-Specific Immune Response Profiles Across Vaccination Groups
4. Discussion
5. Conclusions
Supplementary Materials
Author Contributions
Funding
Institutional Review Board Statement
Acknowledgments
Conflicts of Interest
References
- Palermo, M.S.; Exeni, R.A.; Fernández, G.C. Hemolytic Uremic Syndrome: Pathogenesis and Update of Interventions. Expert Rev Anti Infect Ther 2009, 7, 697–707. [Google Scholar] [CrossRef] [PubMed]
- Nataro, J.P.; Kaper, J.B. Diarrheagenic Escherichia Coli. Clin Microbiol Rev 1998, 11, 142–201. [Google Scholar] [CrossRef] [PubMed]
- Rivas, M.; Chinen, I.; Miliwebsky, E.; Masana, M. Risk Factors for Shiga Toxin-Producing Escherichia Coli-Associated Human Diseases. Microbiol Spectr 2014, 2. [Google Scholar] [CrossRef]
- Naylor, S.W.; Low, J.C.; Besser, T.E.; Mahajan, A.; Gunn, G.J.; Pearce, M.C.; Mckendrick, I.J.; Smith, D.G.E.; Gally, D.L. Lymphoid Follicle-Dense Mucosa at the Terminal Rectum Is the Principal Site of Colonization of Enterohemorrhagic Escherichia Coli O157:H7 in the Bovine Host. Infect. Immun. 2003, 71, 1505–1512. [Google Scholar] [CrossRef] [PubMed]
- Midgley, J.; Desmarchelier, P. Pre-Slaughter Handling of Cattle and Shiga Toxin-Producing Escherichia Coli (STEC). Lett Appl Microbiol 2001, 32, 307–311. [Google Scholar] [CrossRef]
- Matthews, L.; Reeve, R.; Gally, D.L.; Low, J.C.; Woolhouse, M.E.J.; McAteer, S.P.; Locking, M.E.; Chase-Topping, M.E.; Haydon, D.T.; Allison, L.J.; et al. Predicting the Public Health Benefit of Vaccinating Cattle against Escherichia coli O157. Proc Natl Acad Sci U S A 2013, 110, 16265–16270. [Google Scholar] [CrossRef]
- Bretschneider, G.; Berberov, E.M.; Moxley, R.A. Isotype-Specific Antibody Responses against Escherichia coli O157:H7 Locus of Enterocyte Effacement Proteins in Adult Beef Cattle Following Experimental Infection. Vet Immunol Immunopathol 2007, 118, 229–238. [Google Scholar] [CrossRef]
- Rabinovitz, B.C.; Larzábal, M.; Vilte, D.A.; Cataldi, A.; Mercado, E.C. The Intranasal Vaccination of Pregnant Dams with Intimin and EspB Confers Protection in Neonatal Mice from Escherichia coli (EHEC) O157:H7 Infection. Vaccine 2016, 34, 2793–2797. [Google Scholar] [CrossRef]
- Cataldi, A.; Yevsa, T.; Vilte, D. a; Schulze, K.; Castro-Parodi, M.; Larzábal, M.; Ibarra, C.; Mercado, E.C.; Guzmán, C. A Efficient Immune Responses against Intimin and EspB of Enterohaemorragic Escherichia coli after Intranasal Vaccination Using the TLR2/6 Agonist MALP-2 as Adjuvant. Vaccine 2008, 26, 5662–5667. [Google Scholar] [CrossRef]
- Babiuk, S.; Asper, D.; Rogan, D.; Mutwiri, G.; Potter, A. Subcutaneous and Intranasal Immunization with Type III Secreted Proteins Can Prevent Colonization and Shedding of Escherichia coli O157:H7 in Mice. Microb Pathog 2008, 45, 7–11. [Google Scholar] [CrossRef]
- Mayr, U.B.; Haller, C.; Haidinger, W.; Atrasheuskaya, A.; Bukin, E.; Lubitz, W.; Ignatyev, G. Bacterial Ghosts as an Oral Vaccine: A Single Dose of Escherichia coli O157:H7 Bacterial Ghosts Protects Mice against Lethal Challenge. Infect Immun 2005, 73, 4810–4817. [Google Scholar] [CrossRef] [PubMed]
- Iannino, F.; Herrmann, C.K.; Roset, M.S.; Briones, G. Development of a Dual Vaccine for Prevention of Brucella Abortus Infection and Escherichia coli O157:H7 Intestinal Colonization. Vaccine 2015, 33, 2248–2253. [Google Scholar] [CrossRef] [PubMed]
- Fingermann, M.; Avila, L.; De Marco, M.B.; Vázquez, L.; Di Biase, D.N.; Müller, A.V.; Lescano, M.; Dokmetjian, J.C.; Fernández Castillo, S.; Pérez Quiñoy, J.L. OMV-Based Vaccine Formulations against Shiga Toxin Producing Escherichia coli Strains Are Both Protective in Mice and Immunogenic in Calves. Hum Vaccin Immunother 2018, 14, 2208–2213. [Google Scholar] [CrossRef] [PubMed]
- Montero, D.A.; Del Canto, F.; Salazar, J.C.; Céspedes, S.; Cádiz, L.; Arenas-Salinas, M.; Reyes, J.; Oñate, Á.; Vidal, R.M. Immunization of Mice with Chimeric Antigens Displaying Selected Epitopes Confers Protection against Intestinal Colonization and Renal Damage Caused by Shiga Toxin-Producing Escherichia coli. NPJ Vaccines 2020, 5, 1–13. [Google Scholar] [CrossRef]
- Montero, D.A.; Garcia-Betancourt, R.; Vidal, R.M.; Velasco, J.; Palacios, P.A.; Schneider, D.; Vega, C.; Gómez, L.; Montecinos, H.; Soto-Shara, R.; et al. A Chimeric Protein-Based Vaccine Elicits a Strong IgG Antibody Response and Confers Partial Protection against Shiga Toxin-Producing Escherichia coli in Mice. Front Immunol 2023, 14. [Google Scholar] [CrossRef]
- Konadu, E.; Donohue-Rolfe, A.; Calderwood, S.B.; Pozsgay, V.; Shiloach, J.; Robbins, J.B.; Szu, S.C. Syntheses and Immunologic Properties of Escherichia coli O157 O-Specific Polysaccharide and Shiga Toxin 1 B Subunit Conjugates in Mice. Infect Immun 1999, 67, 6191–6193. [Google Scholar] [CrossRef]
- Brunauer, M.; Roch, F.F.; Conrady, B. Prevalence of Worldwide Neonatal Calf Diarrhoea Caused by Bovine Rotavirus in Combination with Bovine Coronavirus, Escherichia coli K99 and Cryptosporidium Spp.: A Meta-Analysis. Animals (Basel) 2021, 11. [Google Scholar] [CrossRef]
- Yang, Z.; Liu, Q.; Wang, Q.; Zhang, Y. Novel Bacterial Surface Display Systems Based on Outer Membrane Anchoring Elements from the Marine Bacterium Vibrio Anguillarum. Appl Environ Microbiol 2008, 74, 4359. [Google Scholar] [CrossRef]
- Vilte, D.A.; Larzábal, M.; Garbaccio, S.; Gammella, M.; Rabinovitz, B.C.; Elizondo, A.M.; Cantet, R.J.C.; Delgado, F.; Meikle, V.; Cataldi, A.; et al. Reduced Faecal Shedding of Escherichia coli O157:H7 in Cattle Following Systemic Vaccination with γ-Intimin C₂₈₀ and EspB Proteins. Vaccine 2011, 29, 3962–3968. [Google Scholar] [CrossRef]
- Tô, T.L.; Ward, L.A.; Yuan, L.; Saif, L.J. Serum and Intestinal Isotype Antibody Responses and Correlates of Protective Immunity to Human Rotavirus in a Gnotobiotic Pig Model of Disease. J Gen Virol 1998, 79 ( Pt 11) Pt 11, 2661–2672. [Google Scholar] [CrossRef]
- Reed, L.J.; Muench, H. A Simple Method of Estimating Fifty per Cent Endpoints. Am J Epidemiol 1938, 27, 493–497. [Google Scholar] [CrossRef]
- Vega, C.; Bok, M.; Chacana, P.; Saif, L.; Fernandez, F.; Parreño, V. Egg Yolk IgY: Protection against Rotavirus Induced Diarrhea and Modulatory Effect on the Systemic and Mucosal Antibody Responses in Newborn Calves. Vet Immunol Immunopathol 2011, 142, 156–169. [Google Scholar] [CrossRef] [PubMed]
- Martorelli, L.; Garimano, N.; Fiorentino, G.A.; Vilte, D.A.; Garbaccio, S.G.; Barth, S.A.; Menge, C.; Ibarra, C.; Palermo, M.S.; Cataldi, A. Efficacy of a Recombinant Intimin, EspB and Shiga Toxin 2B Vaccine in Calves Experimentally Challenged with Escherichia coli O157:H7. Vaccine 2018, 36, 3949–3959. [Google Scholar] [CrossRef] [PubMed]
- Vilte, D.A.; Larzábal, M.; Garbaccio, S.; Gammella, M.; Rabinovitz, B.C.; Elizondo, A.M.; Cantet, R.J.C.; Delgado, F.; Meikle, V.; Cataldi, A.; et al. Reduced Faecal Shedding of Escherichia coli O157:H7 in Cattle Following Systemic Vaccination with γ-Intimin C280 and EspB Proteins. Vaccine 2011, 29, 3962–3968. [Google Scholar] [CrossRef] [PubMed]
- Smith, D.R. Vaccination of Cattle against Escherichia Coli O157 : H7. 2014, 1–11. Correspondence. [CrossRef]
- Potter, A.A.; Klashinsky, S.; Li, Y.; Frey, E.; Townsend, H.; Rogan, D.; Erickson, G.; Hinkley, S.; Klopfenstein, T.; Moxley, R.A.; et al. Decreased Shedding of Escherichia coli O157:H7 by Cattle Following Vaccination with Type III Secreted Proteins. Vaccine 2004, 22, 362–369. [Google Scholar] [CrossRef]
- McNeilly, T.N.; Mitchell, M.C.; Rosser, T.; McAteer, S.; Low, J.C.; Smith, D.G.E.; Huntley, J.F.; Mahajan, A.; Gally, D.L. Immunization of Cattle with a Combination of Purified Intimin-531, EspA and Tir Significantly Reduces Shedding of Escherichia coli O157:H7 Following Oral Challenge. Vaccine 2010, 28, 1422–1428. [Google Scholar] [CrossRef]
- Vilte, D.A.; Larzábal, M.; Cataldi, Á.A.; Mercado, E.C. Bovine Colostrum Contains Immunoglobulin G Antibodies against Intimin, EspA, and EspB and Inhibits Hemolytic Activity Mediated by the Type Three Secretion System of Attaching and Effacing Escherichia coli. Clin Vaccine Immunol 2008, 15, 1208–1213. [Google Scholar] [CrossRef]
- Rabinovitz, B.; Vilte, D.; Larzábal, M.; Abdala, A.; Galarza, R.; Zotta, E.; Ibarra, C.; Mercado, E.; Cataldi, A. Physiopathological Effects of Escherichia coli O157:H7 Inoculation in Weaned Calves Fed with Colostrum Containing Antibodies to EspB and Intimin. Vaccine 2014, 32, 3823–3829. [Google Scholar] [CrossRef]
- Su, Y.L.; Larzábal, M.; Song, H.; Cheng, T.; Wang, Y.; Smith, L.Y.; Cataldi, A.A.; Ow, D.W. Enterohemorrhagic Escherichia coli O157:H7 Antigens Produced in Transgenic Lettuce Effective as an Oral Vaccine in Mice. Theoretical and Applied Genetics 2023, 136, 1–14. [Google Scholar] [CrossRef]










| Groups of mice | Treatments | Details |
|---|---|---|
| 1 | Control |
150 µl of PBS |
| 2 | EspB and Int280γ |
1 µg of EspB and 1 µg of Int280γ dissolved in 150 µl of PBS |
| 3 | Chimera protein (low dose) |
2 µg of Chimera protein dissolved in 150 µl of PBS |
| 4 | Chimera protein (high dose) |
10 µg of Chimera protein dissolved in 150 µl of PBS |
| 5 | Inactivated ETEC B41 expressing Chimera protein | 1.108 CFU of inactivated ETEC B41 expressing Chimera protein resuspended in PBS |
| 6 | Inactivated Salmonella dublin expressing Chimera protein | 1.108 CFU of inactivated Salmonella dublin expressing Chimera protein resuspended in PBS |
| 7 | Inactivated ETEC B41 and Salmonella dublin expressing Chimera protein | 1.108 CFU of inactivated ETEC B41 and Salmonella dublin, both expressing Chimera protein resuspended in PBS |
| 8 | Inactivated ETEC B41 and Salmonella dublin expressing Chimera proteins + BRoVA UK and BCoVB Mebus | 1.108 CFU of inactivated ETEC B41 and Salmonella dublin expressing Chimera proteins resuspended with 1.107 FFU BRoVA UK and BCoVB Mebus |
Disclaimer/Publisher’s Note: The statements, opinions and data contained in all publications are solely those of the individual author(s) and contributor(s) and not of MDPI and/or the editor(s). MDPI and/or the editor(s) disclaim responsibility for any injury to people or property resulting from any ideas, methods, instructions or products referred to in the content. |
© 2024 by the authors. Licensee MDPI, Basel, Switzerland. This article is an open access article distributed under the terms and conditions of the Creative Commons Attribution (CC BY) license (http://creativecommons.org/licenses/by/4.0/).