Submitted:
12 October 2024
Posted:
15 October 2024
You are already at the latest version
Abstract

Keywords:
1. Introduction
2. Materials and Methods
2.1. Materials
2.2. Protein Slot Blotting
2.3. SDS-PAGE electrophoresis
2.4. Western Blotting
3. Results
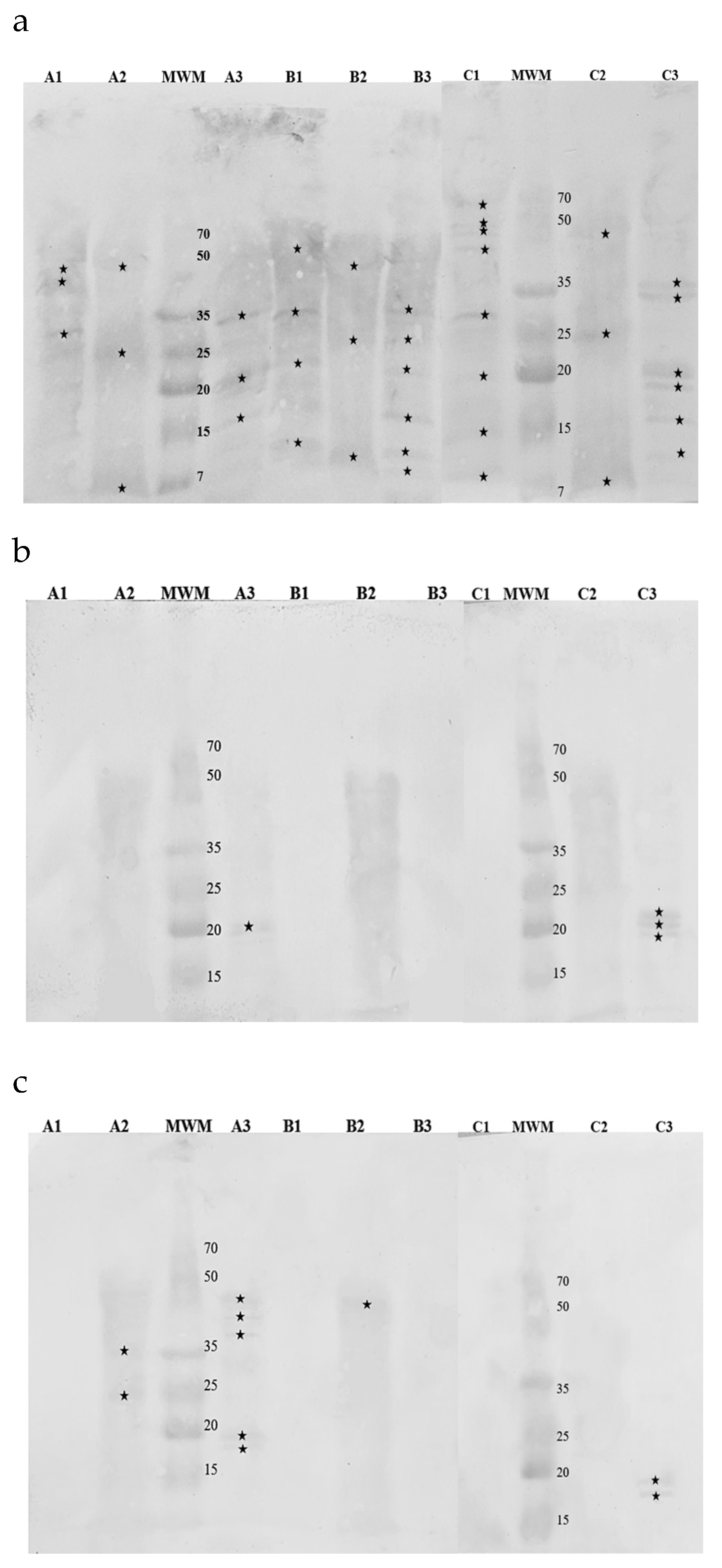
3.1. SDS-PAGE Electrophoresis
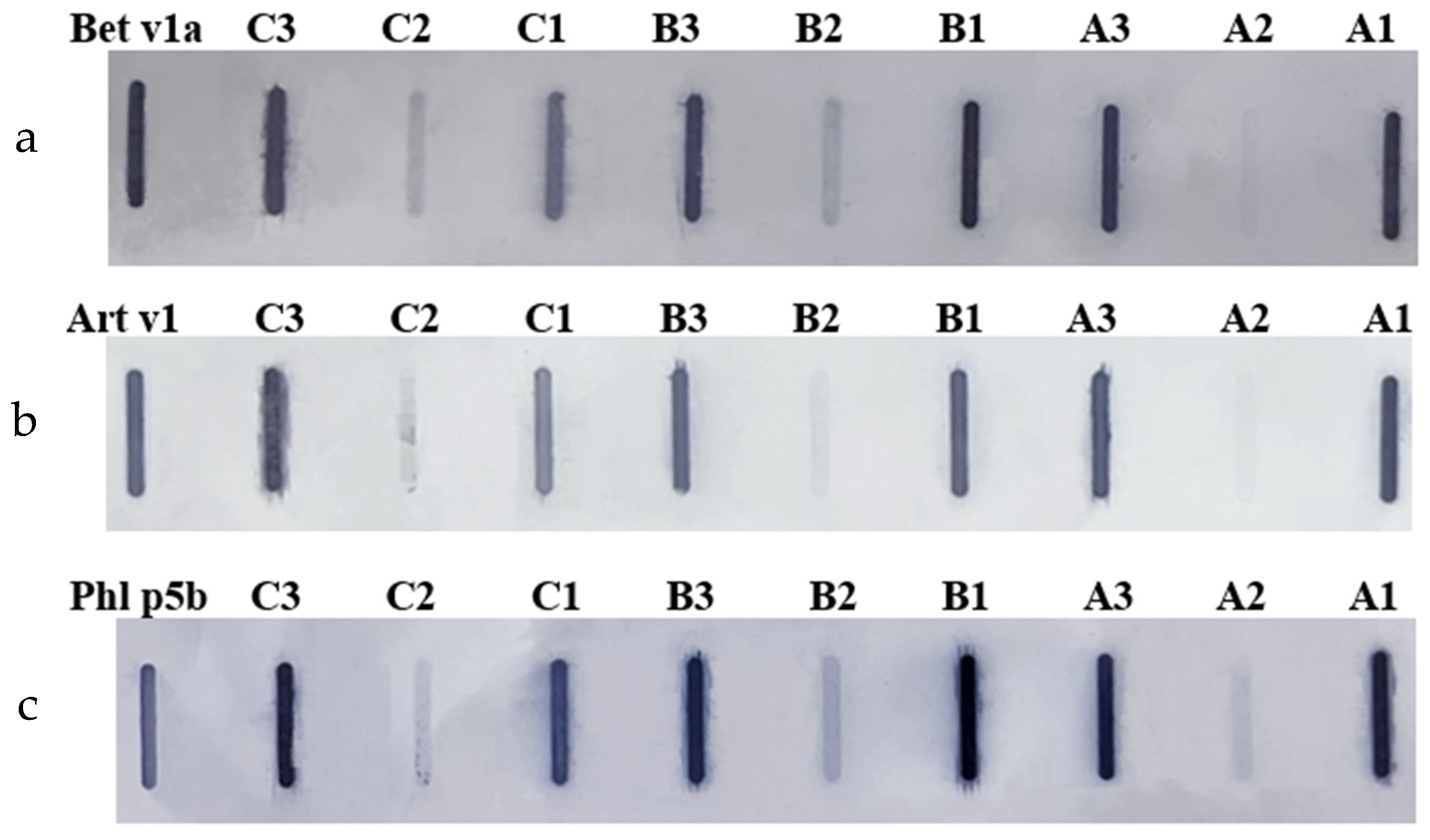
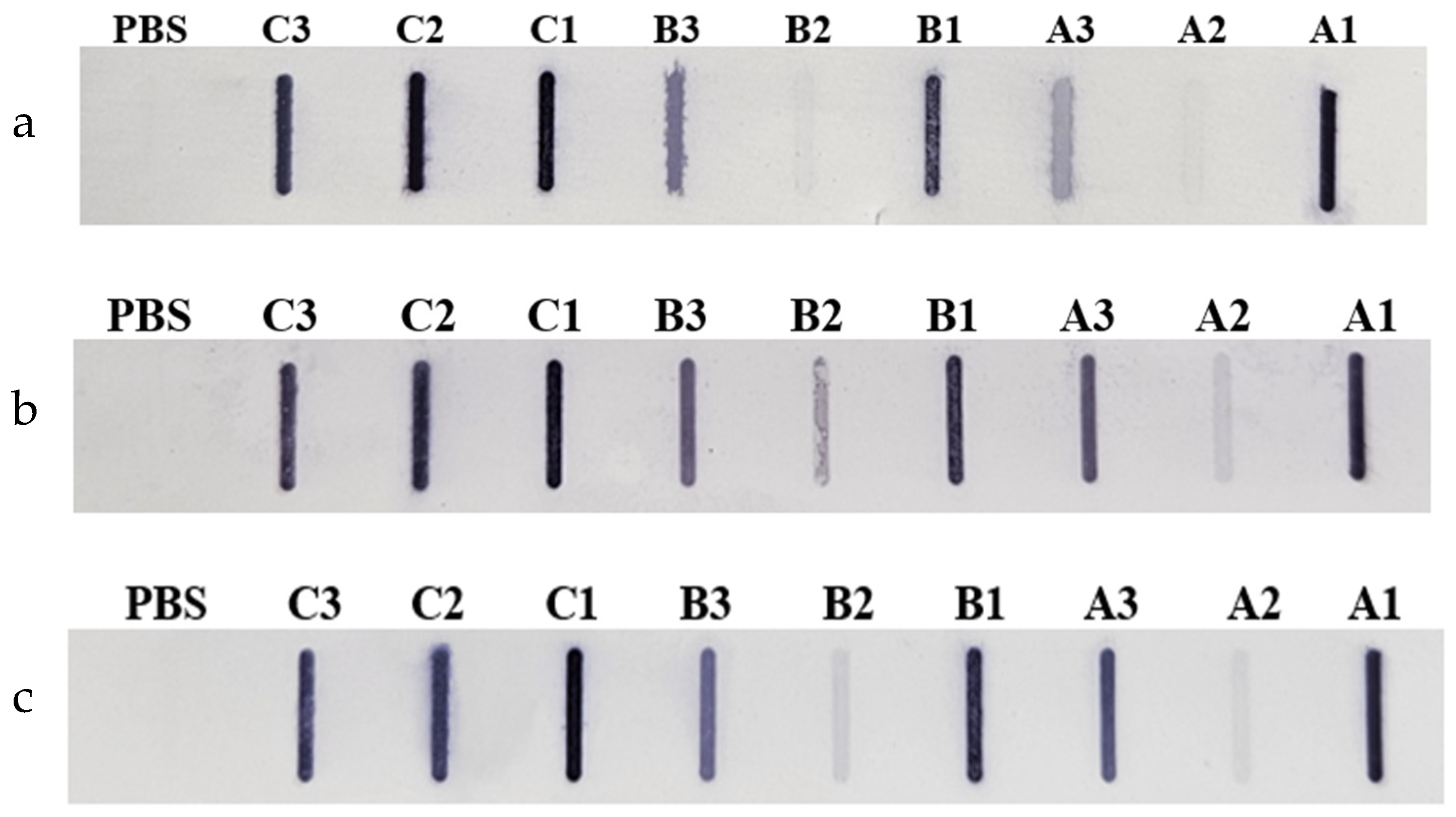
3.2. Assessment of Hop Immunoreactivity Using Slot Blot
3.3. Identification of Immunoreactive Fractions by Western Blotting
4. Discussion
5. Conclusions
Author Contributions
Funding
Institutional Review Board Statement
Informed Consent Statement
Data Availability Statement
Conflicts of Interest
References
- Vazquez-Cervantes, G.I.; Ortega, D.R.; Blanco Ayala, T.; Pérez de la Cruz, V.; Esquivel, D.F.G.; Salazar, A.; Pineda, B. Redox and Anti-Inflammatory Properties from Hop Components in Beer-Related to Neuroprotection. Nutrients 2021, 13, 2000. [Google Scholar] [CrossRef]
- Carbone, K.; Gervasi, F. An Updated Review of the Genus Humulus: A Valuable Source of Bioactive Compounds for Health and Disease Prevention. Plants 2022, 11, 3434. [Google Scholar] [CrossRef] [PubMed]
- Maroo, N.; Hazra, A.; Das, T. Efficacy and Safety of a Polyherbal Sedative-Hypnotic Formulation NSF-3 in Primary Insomnia in Comparison to Zolpidem: A Randomized Controlled Trial. Indian J. Pharmacol. 2013, 45, 34. [Google Scholar] [CrossRef] [PubMed]
- Franco, L.; Sánchez, C.; Bravo, R.; Rodríguez, A.B.; Barriga, C.; Romero, E.; Cubero, J. The Sedative Effect of Non-Alcoholic Beer in Healthy Female Nurses. PLoS ONE 2012, 7, e37290. [Google Scholar] [CrossRef]
- Sun, S.; Wang, X.; Yuan, A.; Liu, J.; Li, Z.; Xie, D.; Zhang, H.; Luo, W.; Xu, H.; Liu, J.; et al. Chemical Constituents and Bioactivities of Hops (Humulus Lupulus L.) and Their Effects on Beer-Related Microorganisms. Food Energy Secur. 2022, 11, e367. [Google Scholar] [CrossRef]
- Wu, C.-N.; Sun, L.-C.; Chu, Y.-L.; Yu, R.-C.; Hsieh, C.-W.; Hsu, H.-Y.; Hsu, F.-C.; Cheng, K.-C. Bioactive Compounds with Anti-Oxidative and Anti-Inflammatory Activities of Hop Extracts. Food Chem. 2020, 330, 127244. [Google Scholar] [CrossRef]
- Aghamiri, V.; Mirghafourvand, M.; Mohammad-Alizadeh-Charandabi, S.; Nazemiyeh, H. The Effect of Hop ( Humulus Lupulus L. ) on Early Menopausal Symptoms and Hot Flashes: A Randomized Placebo-Controlled Trial. Complement. Ther. Clin. Pract. 2016, 23, 130–135. [Google Scholar] [CrossRef]
- Gerhauser, C.; Alt, A.; Heiss, E.; Gamal-Eldeen, A.; Klimo, K.; Knauft, J.; Neumann, I.; Scherf, H.-R.; Frank, N.; Bartsch, H.; et al. Cancer Chemopreventive Activity of Xanthohumol, a Natural Product Derived from Hop. Mol. Cancer Ther. 2002, 1, 959–969. [Google Scholar] [PubMed]
- Bartmańska, A.; Wałecka-Zacharska, E.; Tronina, T.; Popłoński, J.; Sordon, S.; Brzezowska, E.; Bania, J.; Huszcza, E. Antimicrobial Properties of Spent Hops Extracts, Flavonoids Isolated Therefrom, and Their Derivatives. Mol. J. Synth. Chem. Nat. Prod. Chem. 2018, 23, 2059. [Google Scholar] [CrossRef]
- Garcia, A. Occupational Rhinoconjunctivitis Due to Hops Exposure in a Brewery Worker*1. J. Allergy Clin. Immunol. 2004, 113, S62. [Google Scholar] [CrossRef]
- Śpiewak, R.; Gora, A.; Dutkiewicz, J. Work-Related Skin Symptoms and Type I Allergy among Eastern-Polish Farmers Growing Hops and Other Crops. Ann. Agric. Environ. Med. 2001, 8, 51–56. [Google Scholar] [PubMed]
- Spiewak, R.; Dutkiewicz, J. Occupational Airborne and Hand Dermatitis to Hop (Humulus Lupulus) with Non-Occupational Relapses. Ann. Agric. Environ. Med. 2003, 9, 249–252. [Google Scholar]
- Jeong, K.Y.; Sang, M.; Lee, Y.S.; Gadermaier, G.; Ferreira, F.; Park, J.-W. Characterization of Hum j 6, a Major Allergen From Humulus Japonicus Pollen, the Primary Cause of Weed Pollinosis in East Asia. Allergy Asthma Immunol. Res. 2023, 15, 767–778. [Google Scholar] [CrossRef]
- Wang, Y.; Tan, L.-X.; Xu, Z.-Q.; Jiao, Y.-X.; Zhu, D.-X.; Yang, Y.-S.; Wei, J.-F.; Sun, J.-L.; Tian, M. Identification and Characterization of Natural PR-1 Protein as Major Allergen from Humulus Japonicus Pollen. Mol. Immunol. 2023, 153, 170–180. [Google Scholar] [CrossRef]
- Jeong, K.Y.; Han, I.S.; Choi, S.Y.; Lee, J.H.; Lee, J.S.; Hong, C.S.; Park, J.W. Allergenicity of Recombinant Profilins from Japanese Hop, Humulus Japonicus. J. Investig. Allergol. Clin. Immunol. 2013, 23, 345–350. [Google Scholar] [PubMed]
- Hao, G.; Zheng, Y.; Gjesing, B.; Kong, X.; Wang, J.; Song, Z.; Lai, X.; Zhong, N.; Spangfort, M.D. Prevalence of Sensitization to Weed Pollens of Humulus Scandens, Artemisia Vulgaris, and Ambrosia Artemisiifolia in Northern China. J. Zhejiang Univ. Sci. B 2013, 14, 240–246. [Google Scholar] [CrossRef]
- WHO/IUIS Allergen Nomenclature Home Page. Available online: https://allergen.org/ (accessed on 11 August 2024).
- Jeong, K.Y.; Lee, J.; Mistrello, G.; Park, K.H.; Park, J.-W. IgE Cross-Reactivity between Humulus Japonicus and Humulus Lupulus. Yonsei Med. J. 2018, 59, 852. [Google Scholar] [CrossRef]
- Oh, J.-W. Pollen Allergy in a Changing Planetary Environment. Allergy Asthma Immunol. Res. 2022, 14, 168–181. [Google Scholar] [CrossRef]
- Muehlmeier, G.; Maier, H. Polysensitisation to Pollen Due to Profilin and Calcium-Binding Protein: Distribution of IgE Antibodies to Marker Allergens in Grass and Birch Pollen Allergic Rhinitis Patients in Southern Germany. Eur. Arch. Otorhinolaryngol. 2014, 271, 719–725. [Google Scholar] [CrossRef]
- Werfel, T.; Asero, R.; Ballmer-Weber, B.K.; Beyer, K.; Enrique, E.; Knulst, A.C.; Mari, A.; Muraro, A.; Ollert, M.; Poulsen, L.K.; et al. Position Paper of the EAACI: Food Allergy Due to Immunological Cross-Reactions with Common Inhalant Allergens. Allergy 2015, 70, 1079–1090. [Google Scholar] [CrossRef]
- Hauser, M.; Roulias, A.; Ferreira, F.; Egger, M. Panallergens and Their Impact on the Allergic Patient. Allergy Asthma Clin. Immunol. Off. J. Can. Soc. Allergy Clin. Immunol. 2010, 6, 1. [Google Scholar] [CrossRef]
- Asero, R.; Mistrello, G.; Amato, S. Detection of Panallergens in Commercial Pollen Extracts for Allergen Immunotherapy. Ann. Allergy. Asthma. Immunol. 2016, 117, 180–185. [Google Scholar] [CrossRef]
- García-Ramírez, B.; Mares-Mejía, I.; Rodríguez-Hernández, A.; Cano-Sánchez, P.; Torres-Larios, A.; Ortega, E.; Rodríguez-Romero, A. A Native IgE in Complex with Profilin Provides Insights into Allergen Recognition and Cross-Reactivity. Commun. Biol. 2022, 5, 748. [Google Scholar] [CrossRef] [PubMed]
- Dramburg, S.; Hilger, C.; Santos, A.F.; de Las Vecillas, L.; Aalberse, R.C.; Acevedo, N.; Aglas, L.; Altmann, F.; Arruda, K.L.; Asero, R.; et al. EAACI Molecular Allergology User’s Guide 2.0. Pediatr. Allergy Immunol. Off. Publ. Eur. Soc. Pediatr. Allergy Immunol. 2023, 34 (Suppl 28), e13854. [Google Scholar] [CrossRef]
- San Nicoló, M.; Braun, T.; Eder, K.; Berghaus, A.; Gröger, M. Clinical Relevance of IgE to Profilin and/or Polcalcin in Pollen-Sensitized Patients. Int. Arch. Allergy Immunol. 2016, 169, 101–107. [Google Scholar] [CrossRef] [PubMed]
- Aglas, L.; Soh, W.T.; Kraiem, A.; Wenger, M.; Brandstetter, H.; Ferreira, F. Ligand Binding of PR-10 Proteins with a Particular Focus on the Bet v 1 Allergen Family. Curr. Allergy Asthma Rep. 2020, 20, 25. [Google Scholar] [CrossRef]
- Wawrzeńczyk, A.; Rawicka, E.; Napiórkowska-Baran, K.; Alska, E.; Bartuzi, Z. Cross-Reactive Aeroallergens – the Main Cause of Food Allergy. Food Agric. Immunol. 2023, 34, 1–9. [Google Scholar] [CrossRef]
- Darnhofer, B.; Tomin, T.; Liesinger, L.; Schittmayer, M.; Tomazic, P.V.; Birner-Gruenberger, R. Comparative Proteomics of Common Allergenic Tree Pollens of Birch, Alder, and Hazel. Allergy 2021, 76, 1743–1753. [Google Scholar] [CrossRef]
- Guryanova, S.V.; Finkina, E.I.; Melnikova, D.N.; Bogdanov, I.V.; Bohle, B.; Ovchinnikova, T.V. How Do Pollen Allergens Sensitize? Front. Mol. Biosci. 2022, 9, 900533. [Google Scholar] [CrossRef]
- McKenna, O.E.; Asam, C.; Araujo, G.R.; Roulias, A.; Goulart, L.R.; Ferreira, F. How Relevant Is Panallergen Sensitization in the Development of Allergies? Pediatr. Allergy Immunol. 2016, 27, 560–568. [Google Scholar] [CrossRef]
- Wagner, W.; Buczyłko, K.; Wagner, A.; Szwed-Kowalska, A.; Stasiak, A. Higher Risk for Sensitization to Commonly Consumed Herbs among Adults and Youngsters Suffering from Birch, Mugwort or Grass Pollinosis. Int. J. Environ. Res. Public. Health 2022, 20, 33. [Google Scholar] [CrossRef] [PubMed]
- Mastrorilli, C.; Cardinale, F.; Giannetti, A.; Caffarelli, C. Pollen-Food Allergy Syndrome: A Not so Rare Disease in Childhood. Medicina (Mex.) 2019, 55, 641. [Google Scholar] [CrossRef] [PubMed]
- Bartra, J.; Sastre, J.; del Cuvillo, A.; Montoro, J.; Jáuregui, I.; Dávila, I.; Ferrer, M.; Mullol, J.; Valero, A. From Pollinosis to Digestive Allergy. J. Investig. Allergol. Clin. Immunol. 2009, 19 Suppl 1, 3–10. [Google Scholar]
- Gratacós Gómez, A.; Gómez Torrijos, E. Eosinophilic Esophagitis Due to Aeroallergens: A Systematic Review and Update. J. Investig. Allergol. Clin. Immunol. 2022, 32, 438–450. [Google Scholar] [CrossRef] [PubMed]
- The Global Asthma Report 2022. Int. J. Tuberc. Lung Dis. 2022, 26, 1–104. [CrossRef]
- Siekierzynska, A.; Piasecka-Kwiatkowska, D.; Litwinczuk, W.; Burzynska, M.; Myszka, A.; Karpinski, P.; Zygala, E.; Piorecki, N.; Springer, E.; Sozanski, T. Molecular and Immunological Identification of Low Allergenic Fruits among Old and New Apple Varieties. Int. J. Mol. Sci. 2021, 22. [Google Scholar] [CrossRef]
- Bradford, M.M. A Rapid and Sensitive Method for the Quantitation of Microgram Quantities of Protein Utilizing the Principle of Protein-Dye Binding. Anal. Biochem. 1976, 72, 248–254. [Google Scholar] [CrossRef]
- Laemmli, U.K. Cleavage of Structural Proteins during the Assembly of the Head of Bacteriophage T4. Nature 1970, 227, 680–685. [Google Scholar] [CrossRef]
- Wu, L.; Hou, X.; Luo, W.; Hu, H.; Zheng, X.; Chen, Y.; Cheng, Z.J.; Huang, C.; Sun, B. Three Patterns of Sensitization to Mugwort, Timothy, Birch and Their Major Allergen Components Revealed by Latent Class Analysis. Mol. Immunol. 2022, 145, 59–66. [Google Scholar] [CrossRef]
- Almeida, E.; Caeiro, E.; Todo-Bom, A.; Duarte, A.; Gazarini, L. Sensitization to Grass Allergens: Phl P1, Phl P5 and Phl P7 Phl P12 in Adult and Children Patients in Beja (Southern Portugal). Allergol. Immunopathol. (Madr.) 2019, 47, 579–584. [Google Scholar] [CrossRef]
- Zhang, Q.; Xi, G.; Yin, J. Artemisia Sieversiana Pollen Allergy and Immunotherapy in Mice. Am. J. Transl. Res. 2021, 13, 13654–13664. [Google Scholar] [PubMed]
- Cosi, V.; Gadermaier, G. The Role of Defensins as Pollen and Food Allergens. Curr. Allergy Asthma Rep. 2023, 23, 277–285. [Google Scholar] [CrossRef]
- Li Ying; An Yusan; Hao Yun; Zhang Luo; Ouyang Yuhui Prevalence of Sensitization to Specific Allergens in Allergic Patients in Beijing, China: A 7-Year Retrospective Study. Asian Pac. J. Allergy Immunol. 2023. [CrossRef]
- Pablos, I.; Egger, M.; Vejvar, E.; Reichl, V.; Briza, P.; Zennaro, D.; Rafaiani, C.; Pickl, W.; Bohle, B.; Mari, A.; et al. Similar Allergenicity to Different Artemisia Species Is a Consequence of Highly Cross-Reactive Art v 1-Like Molecules. Medicina (Mex.) 2019, 55, 504. [Google Scholar] [CrossRef] [PubMed]
- Ukleja-Sokołowska, N.; Lis, K.; Graczyk, M.; Bartuzi, M.; Bartuzi, Z. The Use of Inhibition Assay in Api g 7 Suspected Allergy in a Female Patient with Anaphylaxis: A Case Report. Int. J. Immunopathol. Pharmacol. 2024, 38, 03946320231223004. [Google Scholar] [CrossRef]
- Göbl, C.; Focke-Tejkl, M.; Najafi, N.; Schrank, E.; Madl, T.; Kosol, S.; Madritsch, C.; Dorofeeva, Y.; Flicker, S.; Thalhamer, J.; et al. Flexible IgE Epitope-Containing Domains of Phl p 5 Cause High Allergenic Activity. J. Allergy Clin. Immunol. 2017, 140, 1187–1191. [Google Scholar] [CrossRef] [PubMed]
- Maglio, O.; Saldanha, J.W.; Vrtala, S.; Spitzauer, S.; Valenta, R.; Pastore, A. A Major IgE Epitope-Containing Grass Pollen Allergen Domain from Phl p 5 Folds as a Four-Helix Bundle. Protein Eng. Des. Sel. 2002, 15, 635–642. [Google Scholar] [CrossRef]
- Biedermann, T.; Winther, L.; Till, S.J.; Panzner, P.; Knulst, A.; Valovirta, E. Birch Pollen Allergy in Europe. Allergy 2019, 74, 1237–1248. [Google Scholar] [CrossRef]





| Serum | Allergens | Class of allergy |
|---|---|---|
| 1 | Birch pollen Hazel pollen Grass mix pollen |
6 2 1 |
| 2 | Mugwort pollen Grape Apple Peanuts Walnut Strawberries |
4 3 3 2 2 2 |
| 3 | Grass pollen mix Bovine serum albumin Pork |
2 2 1 |
| Plant part | Hop cultivar | ||
|---|---|---|---|
| Marynka | Lubelski | Magnum | |
| Stalk | 92 ± 4.1b | 81 ± 5.6c | 58 ± 4.2e |
| Leaves | 40 ± 2.9f | 53 ± 2.3e | 72 ± 3.5d |
| Cones | 87 ± 3.1c | 119 ± 4.4a | 96 ± 3.7b |
Disclaimer/Publisher’s Note: The statements, opinions and data contained in all publications are solely those of the individual author(s) and contributor(s) and not of MDPI and/or the editor(s). MDPI and/or the editor(s) disclaim responsibility for any injury to people or property resulting from any ideas, methods, instructions or products referred to in the content. |
© 2024 by the authors. Licensee MDPI, Basel, Switzerland. This article is an open access article distributed under the terms and conditions of the Creative Commons Attribution (CC BY) license (http://creativecommons.org/licenses/by/4.0/).