Preprint
Article

This version is not peer-reviewed.

Fractal Geometric Pyramidal – Spiral- Hexagonal Complexes Generated by Ancestral Geology Collision Events Is Expressed in Cancer Tissues

Submitted:

03 September 2024

Posted:

03 September 2024

You are already at the latest version

Abstract
Fractal Geometric Pyramidal - Spiral- Hexagonal complexes ( GPS-H ) are the hereditary product of chaos and is its molecular solution.. Cancer is like a time machine to allowed us as pathologists to discover and document geometric structures that otherwise, we would not know existed. We have been documenting about cancer, geometric ordering complexes that are absolutely perfect made by an elastic geometry that we have called GPS-H complex: P for pyramid, S for spiral and H for hexagonal these structures have their genesis in the intercellular collisions of tumor cells or in extreme cellular damage by collision which generate DNA breakage. The DNA helices breaking generates the pyramidal and spiral component and in the same way, the amplification of the nitrogenous bases generates the hexagonal component. We are documenting, from different geology and biology scenarios, the existence of fractal invariant geometry of ancestral expansion, that generates order and connects these two systems as of the perspective of collision events at molecular , microscopic or macroscopic scales with the identification of geometric pattern that is modulated by the interaction between the electromagnetic field and material systems. The Geology and Biology converge into a single entity mediated by these geometric complexes to generate life platforms From collision and chaos events emerge at the interface of solid- liquids the GPS-H complexes that facilities water Fluid Interaction with basic geometries into a composite geometry leading in all systems and scales to deformation of the solid states . The deformed solid structures, in turn, acts as a moving wall boundary for the fluid and changes the water flow field in this way the balance and order of the system is restored. GPS-H are the hereditary product of chaos and its molecular solution. Based on the data obtained and analyzed, we verified that these GPS-H complexes are not native to the earth, representing a metastatic seeding that originally comes from the outer space and probably was incorporated into the ancestral DNA of the first multicellular organisms in the interphase of geology collsion events so we can trace it to the first multicellular organisms of the edicarian biota As ancient geometry, the pyramids of Egypt represent the most enigmatic and majestic structures built on earth but until know, it is unknown how they built, it us an unresolved mystery. Like enigmatic are the patterns in biology documented and published about cancer and represented by these fractal GPS-H complexes which have a unique particularity, remain invariable, they do not change from a microscopic to a macroscopic or megascopic scale and even over time they remain unchanged, as here it is documented. They have the quantum property of multiples expansions; thus, it is possible to trace them over time and in different dimensional scales. Based on the properties of this unique complex, it is possible to identify an active morphologic fractal connection between the microscopical level of pyramidal complexes seen in cancer and the megastructures of Egypt pyramids by clearly documenting complexes GPS-H from an ancestral universal geometry in these two different pictures The complexes GPS-H are part of a universal functional quantum geometry that generates a precursor order of life platforms They are the replaceable mobile pieces of a geological- biological puzzle that is assembled in time collectively and spatially to give rise to the multicellular platform that generates life on our planet, which shows an existing evident connection between these geometric complexes that jumps systems and dimensions to transfer and encode information between them. Bioengineering and manipulation of these ancestral GPS-H complexes can be used in alternative therapies in cancer , regenerative and rejuvenation medicine.
Keywords: 
;  ;  

Introduction

Cancer is like a time machine to allowed us as pathologists to discover and document structures that otherwise, we would not know existed. We have been documenting about cancer, geometric ordering complexes that are absolutely perfect made by an elastic geometry that we have called GPS-H complex: P for pyramid, S for spiral and H for hexagonal [1–4] these structures have their genesis in the intercellular collisions of tumor cells or in extreme cellular damage by collision which generate DNA breakage as shown in Figure 1.
Figure 1. These GPS-H complexes are incorporate into the DNA cancer strand. Figure 1.
Figure 1. These GPS-H complexes are incorporate into the DNA cancer strand. Figure 1.
Preprints 117092 g001
Figure 1. Visible GPS-H DNA amplification origin with strand breakage. Material captured in ascitis abdominal carcinomatosis. Observe chiral organization with conservation of left hand- right hand parity.
Figure 1. Visible GPS-H DNA amplification origin with strand breakage. Material captured in ascitis abdominal carcinomatosis. Observe chiral organization with conservation of left hand- right hand parity.
Preprints 117092 g002
In cancer, the intercellular collisions generate by tumor cells in disordered growth, determine the DNA amplification and the obvious rupture of its usual architecture as it seen in the picture. As we have documented, DNA amplified, the DNA helices breaking generates the pyramidal and spiral component and in the same way, the amplification of the nitrogenous bases generates the hexagonal component. This global amplification of the DNA allows the recognition of GPS-H complexes, which allow us to observe its structural architecture in a micro and macroscopic level in such a way that a perfect traceability can be made given that the structures, despite the amplification, retain their shape.
This perfect geometry emerges, paradoxically from the chaos of the intercellular collisions of tumor cells. These structures have a unique particularity: they retain their shape which do not change in the transition from the molecular to the micro or macroscopical, they incorporated in the DNA and do not change over time, and they have the property of quantum multiple expansions. So, que can provide perfect traceability in all space-time dimensions. The GPS-H complexes have a clear and unquestionable ancestral origin, due to, we can locate and document them as a part of a morphological structure of the first macroscopic multicellular organism of what is known as Ediacaran Biota, an even earlier, two billion years ago in west Africa in macrofossils unearthed.
Figure 2. Fossil from Ediacaran Biota period of 600 million years: Observe the perfect GPS-H pyramidal spiral pattern. This geometric pattern is identical to the one we document in cancer figures 5, 6, (credit public domain).
Figure 2. Fossil from Ediacaran Biota period of 600 million years: Observe the perfect GPS-H pyramidal spiral pattern. This geometric pattern is identical to the one we document in cancer figures 5, 6, (credit public domain).
Preprints 117092 g003
The GPS-H complexes generated at the biological level in cancer by the collision between tumor cells Have fractal precursors at geological level in collision impact craters events [5,6] on Earth and Mars.
In biology, we have been extensively documenting these complexes in all types of cancers, carcinomas, adenocarcinomas, and sarcomas. We can easily identify them by their shape, made by a pyramid, a spiral and a hexagon perfectly alone and recognizable. They are three separate structures that work in a coordinated mode as a unique complex, they are not decorative figures, they are highly specialized functional structures that can be replicate in space and distance.
How do these complexes originate?
These complexes have their origin in collision events at any scale, be it molecular, microscopic or macroscopic. From collision and chaos events emerge at the interface of solid- liquids the GPS-H complexes that facilities water Fluid Interaction with basic geometries into a composite geometry leading in all systems and scales to deformation of the solid states . The deformed solid structures, in turn, acts as a moving wall boundary for the fluid and changes the water flow field . in this way the balance and order of the system is restored. GPS-H are the hereditary product of chaos and its molecular solution. All the information appears from the pyramid and its base where the acceleration of molecules in collision is extreme and it generates an explosive energy that flows towards the vertices, this energy triangulates the space and configure the spiral of the complex that in its helical form oversees the transmission and transduction of information. At the end of its journey, it encodes again and generates amplified replicates of the pyramid that gave its origin, in a perfect chiral mirror image, self-assembling in a more complex and slender geometry: the hexagon
Figure 3. Biology, GPS-H complex in a colon cancer on the left. Gastric cancer on the right. Observe the pyramidal and spiral component. the GPS-H complexes facilities water Fluid Interaction with basic geometries into a composite geometry leading in all systems and scales to deformation of the solid states changing the water flow field the balance and order of the system is restored.
Figure 3. Biology, GPS-H complex in a colon cancer on the left. Gastric cancer on the right. Observe the pyramidal and spiral component. the GPS-H complexes facilities water Fluid Interaction with basic geometries into a composite geometry leading in all systems and scales to deformation of the solid states changing the water flow field the balance and order of the system is restored.
Preprints 117092 g004
Figure 4. Evidence of microscopic and macroscopic DNA amplification in distinct types of cancer through GPS-H. Pyramidal metastasis quantum multiple expansions.Solid -liquid interphase.
Figure 4. Evidence of microscopic and macroscopic DNA amplification in distinct types of cancer through GPS-H. Pyramidal metastasis quantum multiple expansions.Solid -liquid interphase.
Preprints 117092 g005
Figure 5a. Scheme and documentation of GPS-H complex in a malignant tumor.
Figure 5a. Scheme and documentation of GPS-H complex in a malignant tumor.
Preprints 117092 g006
Figure 5b. The figure shows GPS-H complex capture in the solid- liquid interphase in outer space.
Figure 5b. The figure shows GPS-H complex capture in the solid- liquid interphase in outer space.
Preprints 117092 g007
These complexes are universal, are interconnect, transfer information and we can clearly see them in different systems and dimensions.
Figure 5c. Astrophysics: observe the GPS-H Universal common ancestral organizer captured in the pinguin egg galaxies. NASA image, James’s telescope. This is the same GPS-H Pattern identify for us in malignant tumors under our microscope. The image shows two interacting collision galaxies that lie 326 million light-years from Earth. Penguin and Egg’ image from James Webb Space Telescope (Credit: NASA).
Figure 5c. Astrophysics: observe the GPS-H Universal common ancestral organizer captured in the pinguin egg galaxies. NASA image, James’s telescope. This is the same GPS-H Pattern identify for us in malignant tumors under our microscope. The image shows two interacting collision galaxies that lie 326 million light-years from Earth. Penguin and Egg’ image from James Webb Space Telescope (Credit: NASA).
Preprints 117092 g008
Figure 5d. Biology: GPS-H complex in a pancreas cancer (up), lung (down). Observe the pyramidal spiral hexagon components solid- liquid interphase. Compare this pattern with the GPS-H documented by the James Webb Space Telescope, they are identical “Things which coincide with one another are equal to one another.” Elements, Euclides.
Figure 5d. Biology: GPS-H complex in a pancreas cancer (up), lung (down). Observe the pyramidal spiral hexagon components solid- liquid interphase. Compare this pattern with the GPS-H documented by the James Webb Space Telescope, they are identical “Things which coincide with one another are equal to one another.” Elements, Euclides.
Preprints 117092 g009
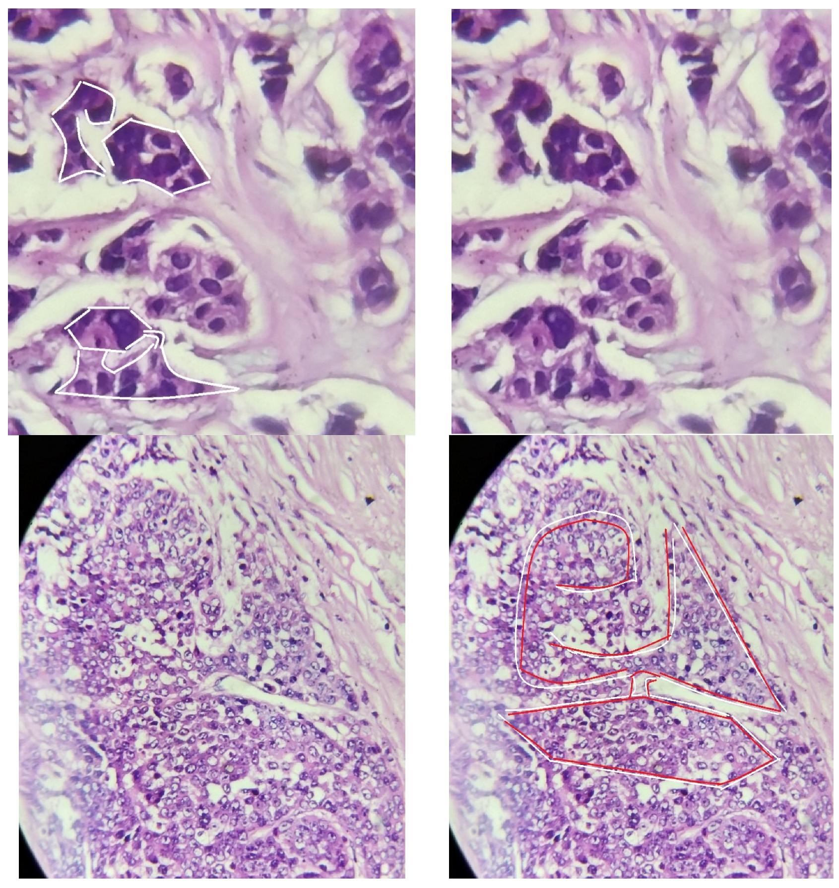
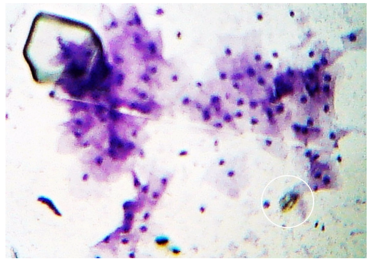
Figure 6. Left side: Microscopic GPS-H captured in malignant cytology smear. Right side: Macroscopic GPS-H Captured in retroperitoneal tumor. solid- liquid interphase.
Figure 6. Left side: Microscopic GPS-H captured in malignant cytology smear. Right side: Macroscopic GPS-H Captured in retroperitoneal tumor. solid- liquid interphase.
Preprints 117092 g010
Figure 7. Sample of GPS-H complex that transfer information from a transmitter to a receptor at a distance that emerges within a malignant endometrial tumor in a 63-year-old patient in white . Observe in the image the3 pyramidal structures with their respective spiral component. an hexagons in white solid- liquid interphase.
Figure 7. Sample of GPS-H complex that transfer information from a transmitter to a receptor at a distance that emerges within a malignant endometrial tumor in a 63-year-old patient in white . Observe in the image the3 pyramidal structures with their respective spiral component. an hexagons in white solid- liquid interphase.
Preprints 117092 g011
We have evidence that the GPS-H complexes were originate in outer space in collision cratering events on Mars and represent a universal geometry.
EVIDENCE
Figure 8. Google, Mars crater shows inside it, three perfectly visible pyramidal structures (with their respective coordinates) with a phenotype amazingly like the perfectly align pyramids of Egypt that show a spiral at their vertices. Observe how simplified copies of these Martian pyramids are replicate at the distance in multi-expansion. In the lower part, it can observe the chiral organization with conservation of the parity of two pyramidal structures inside a circular area. Also, the image shows in the upper right side, the formation of a hexagon that connects with a perfect cephalocaudal organization structure. “Martian embryonic platform”, the pyramids, its spirals and the hexagon are precursor structures of this final formation (marked in red) caudal Cephalus.
Figure 8. Google, Mars crater shows inside it, three perfectly visible pyramidal structures (with their respective coordinates) with a phenotype amazingly like the perfectly align pyramids of Egypt that show a spiral at their vertices. Observe how simplified copies of these Martian pyramids are replicate at the distance in multi-expansion. In the lower part, it can observe the chiral organization with conservation of the parity of two pyramidal structures inside a circular area. Also, the image shows in the upper right side, the formation of a hexagon that connects with a perfect cephalocaudal organization structure. “Martian embryonic platform”, the pyramids, its spirals and the hexagon are precursor structures of this final formation (marked in red) caudal Cephalus.
Preprints 117092 g012
Figure 9. Google Earth image that illustrates in detail the origin of the GPS-H complexes on Mars (Credits. NASA).
Figure 9. Google Earth image that illustrates in detail the origin of the GPS-H complexes on Mars (Credits. NASA).
Preprints 117092 g013aPreprints 117092 g013b
Observe in 1 and 2, two paired pyramidal structures in a chiral mirror image position, which means that they were form simultaneously in close correlation with (3) a perfect hexagon not documented before in interface with (4) the formation of a cephalocaudal structure identical to the previously observed embryonic patterns. The structures are separate but function as an integrated unit.

Material and Methods

This research used recognize patterns as a preconceived algorithm the microscopic model of GPS-H complex, which was discover and identify by us in biology field in cancer, and the macroscopic model identified in the geology collision event on Mars. Our interest is identified these metastatic geometry replica patterns in the surroundings of the Egypt pyramids.
Satellite images were use where a sector scanning done, specifically in an area of 500 to 800 km around the Egypt pyramids to determine if replicated GPS-H complexes in this area could identified.

Results

For the first time, we discovered and documented: a) at the apex of the Cheops pyramid, the best preserved of the three pyramids of Egypt, spirals integrated into the pyramidal structure. b) A perfect hexagon that serves as a structural platform to the previously undocumented sphinx configuration. c) Dozens of simplified fractal copies of Egyptian pyramid scattered in a radius of 800 km around it.
Evidence:
Figure 9. Google Earth image that illustrates the apex of Cheops pyramid, observe the perfectly visible spiral component, never documented before, integrated into the body of the pyramid.
Figure 9. Google Earth image that illustrates the apex of Cheops pyramid, observe the perfectly visible spiral component, never documented before, integrated into the body of the pyramid.
Preprints 117092 g014
Figure 10. Google Earth Image. Observe a panoramic view of the sphinx from higher angle, it can see how the body of sphinx originates as a perfect primitive line that emerges from a hexagonal platform, a find never documented before.
Figure 10. Google Earth Image. Observe a panoramic view of the sphinx from higher angle, it can see how the body of sphinx originates as a perfect primitive line that emerges from a hexagonal platform, a find never documented before.
Preprints 117092 g015
Figure 10a
Figure 11. Cancer GPS-H complex. Cancer is like a time machine for us. from a perfect hexagonal structure, an electromagnetic line emerges that in the distance generates crystals that have cephalocaudal organization primordium of “tumoral embryoid bodies” that we have documented in cancer.
Figure 11. Cancer GPS-H complex. Cancer is like a time machine for us. from a perfect hexagonal structure, an electromagnetic line emerges that in the distance generates crystals that have cephalocaudal organization primordium of “tumoral embryoid bodies” that we have documented in cancer.
Preprints 117092 g016
Figure 11a. The identical pattern repeated in cancer. From a hexagon emerges a white line of electromagnetic energy that generates a crystal which become in an embryoid body in cancer (equivalent to the sphinx).
Figure 11a. The identical pattern repeated in cancer. From a hexagon emerges a white line of electromagnetic energy that generates a crystal which become in an embryoid body in cancer (equivalent to the sphinx).
Preprints 117092 g017
Figure 12. These crystals generated by the hexagon, at the same time preceded by the pyramid and spirals, end up turn into perfect “tumor embryoid platforms”. Material identified in breast cancer (left), ascitic carcinomatosis (right) which represent the sequential product of these GPS-H complexes. solid- liquid interphase.
Figure 12. These crystals generated by the hexagon, at the same time preceded by the pyramid and spirals, end up turn into perfect “tumor embryoid platforms”. Material identified in breast cancer (left), ascitic carcinomatosis (right) which represent the sequential product of these GPS-H complexes. solid- liquid interphase.
Preprints 117092 g018
Figure 13. Malignant Tumor. Observe a hexagon which an electromagnetic line emerges and generates a perfect cephalocaudal organization structure “tumoral embryoid body”.
Figure 13. Malignant Tumor. Observe a hexagon which an electromagnetic line emerges and generates a perfect cephalocaudal organization structure “tumoral embryoid body”.
Preprints 117092 g019
Figure 14. Macroscopic tumoral embryoid platforms documented in malignant tumors as product from the GPS-H geometric precursors activity. Virginal partogenetic tumor embryonic platforms.
Figure 14. Macroscopic tumoral embryoid platforms documented in malignant tumors as product from the GPS-H geometric precursors activity. Virginal partogenetic tumor embryonic platforms.
Preprints 117092 g020
These GPS-H complexes endorse themselves; it is not necessary the uphold of geologists, biologists, or oncologists. The GPS-H found in cancer are support by the findings of the GPS-H in the pyramids and the findings in the pyramids are support with the findings of GPS-H documented in the craters on Mars. These complexes are a life universal common ancestral organizer.
In relation with Egyptian Pyramids:
Geology is Geometry and Geometry is Geology:
We discovered that the geology, which is around the pyramids in a 500km to 800km radius, is saturate by multiple expansions of GPS-H patterns identical to those that we documented in cancer and those observed in the documented impact crater on Mars. The reason for these geometry metastasis replicas at the distance is give under the effect pf electromagnetic activity, vibration and resonance that emits from the Egyptian pyramids. We have a proof that electromagnetic energy affects matter at distance, quantum teleportation evidence. The theorical physicists already sights this possibility in laboratory tests. We are showing it for the first time as a measurable and predictable reality that describes the interaction of electromagnetic radiation with matter. This is not only theorical but is real [7–17].
Below, we documented the GH-S complexes quantum multiple expansions in a 500 km to 800 km action radius around the Egypt pyramids and beyond its borders up to Israel, Jordan, and northern Saudi Arabia.
Figure 15. Google Earth Satellite image that shows remote replicas of GPS-H complexes located in the vicinity of the Egypt pyramids. Pyramidal multiple expansions metastasis quantum teleportation evidence.
Figure 15. Google Earth Satellite image that shows remote replicas of GPS-H complexes located in the vicinity of the Egypt pyramids. Pyramidal multiple expansions metastasis quantum teleportation evidence.
Preprints 117092 g021
Figure 16. Google Earth image. Perfect remote replica of pyramids GPS-H complexes. Multiple expansions metastasis.
Figure 16. Google Earth image. Perfect remote replica of pyramids GPS-H complexes. Multiple expansions metastasis.
Preprints 117092 g022
Figure 17. Google Earth satellite image. GPS-H complex. Observe how a trail of spiral energy emerges from the vertex of the pyramid.
Figure 17. Google Earth satellite image. GPS-H complex. Observe how a trail of spiral energy emerges from the vertex of the pyramid.
Preprints 117092 g023
Figure 18. Pyramidal metastasis.
Figure 18. Pyramidal metastasis.
Preprints 117092 g024
Figure 19. Google Earth Image. Quantum multiple expansions. Pyramidal metastasis evidence: A conglomerate of GPS-H geological replicas observed 800km away from the Egypt pyramids, which generates fractal chiral mirror couples that appeal each other (geobiological attraction of spontaneous ordering). Observe chiral organization with parity conservation located from Egypt to Israel, Jordania, and Saudi Arabia. These pyramids with their respective spirals generate in the area a perfect hexagon documented at the coordinates 28 24 19 N 38 33 05 E, originated in a collision even of an impact crater.
Figure 19. Google Earth Image. Quantum multiple expansions. Pyramidal metastasis evidence: A conglomerate of GPS-H geological replicas observed 800km away from the Egypt pyramids, which generates fractal chiral mirror couples that appeal each other (geobiological attraction of spontaneous ordering). Observe chiral organization with parity conservation located from Egypt to Israel, Jordania, and Saudi Arabia. These pyramids with their respective spirals generate in the area a perfect hexagon documented at the coordinates 28 24 19 N 38 33 05 E, originated in a collision even of an impact crater.
Preprints 117092 g025
We made a scanning with our GPS-H algorithm through Google Earth trying to identify patterns like those documented in this geographic region and it was not possible to find them in any other geographic area on earth. They are unique. This has a unique geobiological superlative meaning. This geographical area has exclusive geological characteristics due to the geometric conglomerate represented by Egypt pyramids and the quantum effect that exert around it over in a distance as wide as 800km.
According to our observation in cancer, we believe that a large collision event occurred in this region at the beginning of time which generated the appearance of the primary structural bases of the Egypt pyramids, remarkably like the pyramids configured inside a crater on Mars.
Based on this architecture guide mold create by nature, the Egyptian architects finished the constructions started by nature. The energy released was so powerful that it spread throughout this geographical area, leaving traces like an epidemic of geological geometry all over the region.
We believe that this perfect geological ordering collision event geometry through the GPS-H complexes certainly generated in this geographic area, a perfect superlative biological event of vital importance:
We consider that this primitive collision event left its traces in the geological hexagon locate at coordinates 28 24 19 N 38 33 05 E which is unique. We have previously documented it, and we are documenting again. [5]
From a hexagon emerges a strange green line with an electromagnetic pattern that runs 120km, this energy generates on each side of it, two “geological embryoid platforms ” or fossils or rock painting formed simultaneously in time and located at 1.8km one from another; in mirror image one white and the other one black. These unique characteristics determine that this site it could have been one of the niches of the first DNA and RNA precursor biomolecules on our planet, which makes it an open laboratory to study the origin of life on earth.
Figure 20. Google Earth image: The hexagon documented in location 28 24 19 N, 38 33 05 E illustrates two “geological embryoid platforms ” or fossils or rock paintings generated by electromagnetic energy (green line). solid- liquid interphase.
Figure 20. Google Earth image: The hexagon documented in location 28 24 19 N, 38 33 05 E illustrates two “geological embryoid platforms ” or fossils or rock paintings generated by electromagnetic energy (green line). solid- liquid interphase.
Preprints 117092 g026
The GPS-H are universal like no other structure, this is the reason we are documenting also inside the collision crater on Mars where it can be observed a “Martian embryoid platform ” identical to both the one structure in cancer and the one structure in geology.
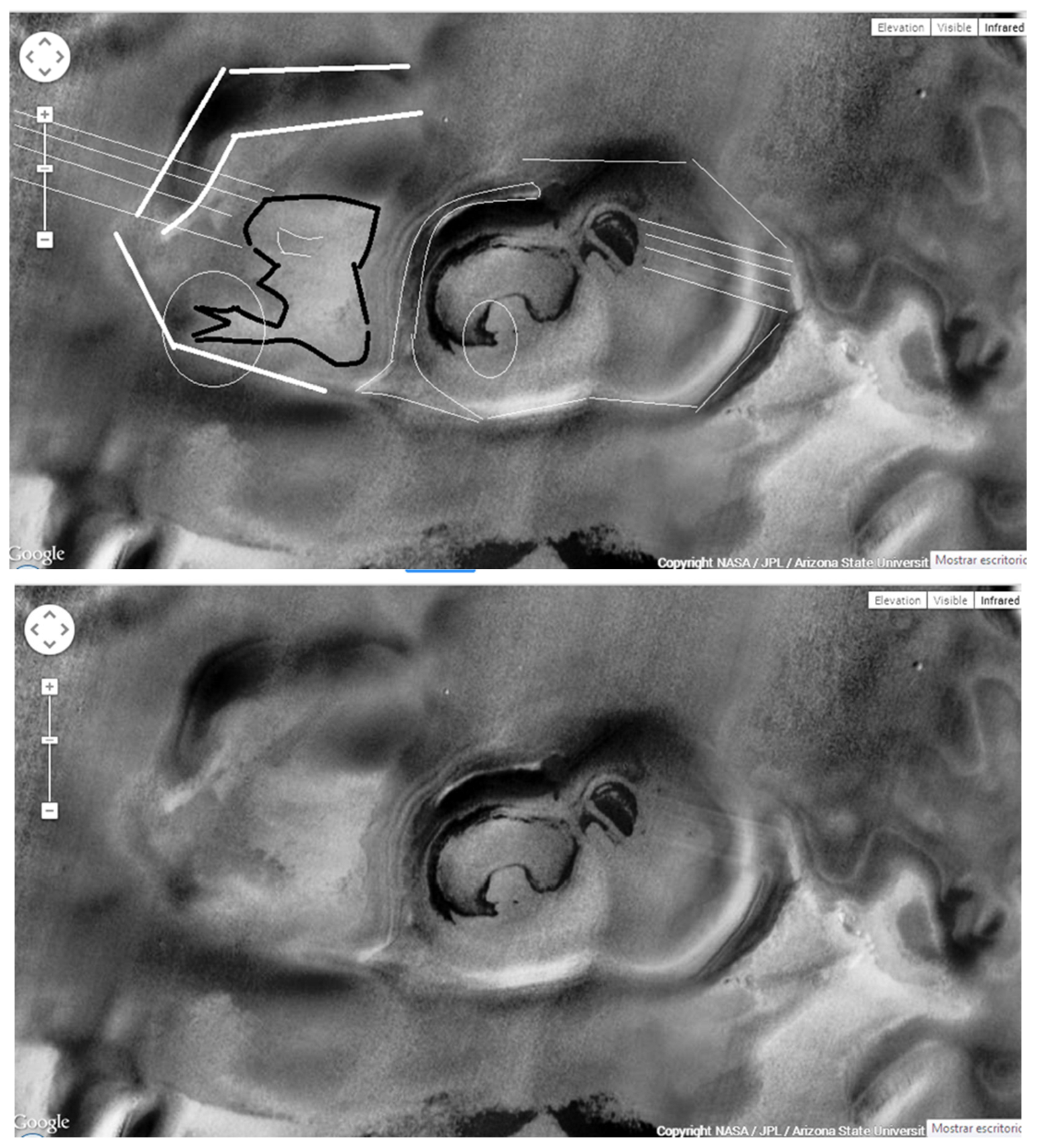
Figure 21. Google infrared Mars image NASA. Impact collision crater with GPS-H complexes where the components: the pyramid, the spiral and the hexagonal pattern in formation clearly identified. Observe two “Martian embryoids bodies” as fossils or rock paintings formed simultaneously in time and located next to each other in mirror image [18,19]. This specific collision crater should be select as the ideal site for NASA astrobiologists to direct their objectives for the search for primitive life on Mars. solid- liquid interphase.
Figure 21. Google infrared Mars image NASA. Impact collision crater with GPS-H complexes where the components: the pyramid, the spiral and the hexagonal pattern in formation clearly identified. Observe two “Martian embryoids bodies” as fossils or rock paintings formed simultaneously in time and located next to each other in mirror image [18,19]. This specific collision crater should be select as the ideal site for NASA astrobiologists to direct their objectives for the search for primitive life on Mars. solid- liquid interphase.
Preprints 117092 g027
The phenotype of these GPS-H complexes is so extraordinarily similar in all collision systems that we consider them to be interconnect, exchanged information among themselves and could be consider as a microscopic and macroscopic guardian of molecular ordering.
Egypt pyramids as geometric GPS-H precursor of biological exaltation.
Another biologic event happened in this geographical area under the influence of the Egypt pyramids and GPS-H complexes two thousand years ago. In the heart of this unique geology of GPS-H complexes in the earth crust, an also unique correlated biological event appeared. It could not different due to the close correlation documented here.in the midst of this geological geometry ordering, a unique special amplified DNA appeared in biology, free of editing errors, capable of self-correction, immortal, capable of correcting and repairing the DNA damaged in others human beings. This uniquely inspired DNA assembled a being, a unique man who changed the history of the world. the perfect geometry of the pyramids of Egypt served as a precursor to the virgin birth of this man with qualities and powers.Geometry prevails over genetics. cancer shows us that this is viable and we document it extensively based on complex geometric GPSH , In tumor biology, cells can transform into virginal parotgene-like embryos platforms
Have we Access today to the DNA of this unique and special man? To see how is it made up? The answer is yes. This man left a mark of suffering and cellular damage and injury on his body. He spilled his blood on a cloak at the time of his death that is preserve today in the “Shroud of Turin.” We analyzed this mantle under the GPS-H algorithm and publishes it [20].
The blood in the shroud of this individual who suffered extensive cellular damage gives us clues of the epigenetic representation of his amplified DNA, when the bands of DNA helices are fractured and injure by cell damage, they emerge from molecular to macroscopic and can be seen macroscopically. As the DNA expands, the electromagnetic energy signals that appear as lines emerging from a hexagonal geometry, they are also amplify. We documented this in cancer (Figures 11 and 13).
In our analysis we identified GPS-H complexes from the amplified DNA in the traces of blood and sweat left and marked by his body on that shroud, which today we understand that come from his amplified DNA. This is how we can identify a perfect hexagon surrounding the structure of the body of this man. It can also observe how from the heart of this hexagon, a perfect line of electromagnetic emission emerges and laterally the pyramidal and spiral GPS-H complex components appear. Compare this hexagon and the straight line of electromagnetic energy with figure11, they have the same phenotype.
That special man who changed the humanity history has in his DNA unique GPS-H phenotype marks that related him with a geological area where he was born within the framework of a unique collision event so spectacular that it was incorporate to the DNA of this individual who made him exceptional. everything connects with everything
Figure 22. Illustrate Turin Shroud image. Clearly observe GPS-H complex: pyramidal, spiral, and hexagonal patterns derivate of DNA epigenetic amplification of this crucified man. Once again, with evidence of electromagnetic lines emerging from the hexagon structure. This pattern repeatedly in different scenarios and systems. solid- liquid interphase.
Figure 22. Illustrate Turin Shroud image. Clearly observe GPS-H complex: pyramidal, spiral, and hexagonal patterns derivate of DNA epigenetic amplification of this crucified man. Once again, with evidence of electromagnetic lines emerging from the hexagon structure. This pattern repeatedly in different scenarios and systems. solid- liquid interphase.
Preprints 117092 g028

Statistical Analysis

From 2600 random inflammatory–immunologic processes analyzed; the authors identified images of triangular chiral counterpart tissue configuration in 312 cases (12%). From 400 cancer processes analyzed, geometric complexes were identified in 216 cases (54%). These percentages show identification of highly ordered structures in more than 50% of the analyzed malignant tumor tissues statistically significant (P = 0.00001) (Table 1).
Table 1.
Preprints 117092 i001
Statistical Analysis 1) Megascopic GPS-H Complexes We identified and documented components of pyramidal spiral, and hexagonal geo-chiral patterns in 126 (70%) of 178 pyramidal panoramic views analyzed (Table 2). These patterns were identical to those observed in cancer geometry metastasis (Table 2).
Table 2.
PPV GPS-H Percent
178 126 70.78%
Abbreviation:
PPV Pyramidal Panoramic View
GPS-H Geometric Pyramidal Spiral Hexagonal complexes

Discussion

From collision and chaos events emerge at the interface of solid- liquids the GPS-H complexes that facilities water Fluid Interaction with basic geometries into a composite geometry leading in all systems and scales to deformation of the solid states . The deformed solid structures, in turn, acts as a moving wall boundary for the fluid and changes the water flow field in this way the balance and order of the system is restored. GPS-H are the hereditary product of chaos and its molecular solution.
The GPS-H complexes generate life platforms , with a chiral organization with parity conservation in all systems in which they participate, this constitutes one of their recognition seals for their identification. They are interconnecting and are functional because they transmit information in a universal network as order guardians. They are a life universal common ancestor organizer that originates in a collision event which generates an invariant geometry, no matter if the event is or not in a molecular, microscopical, macroscopical or megascopic level. They jump in all dimensions and systems and transfer encode information and they are interconnecting with each other in multiple quantum expansions and emerge from chaos states to give order and organization within the system.
In cancer, they generate by intercellular collisions of tumor cells. In geology, they generated in impact collision craters on Earth and Mars, in astrophysics, we see it in the collision of two galaxies (penguin egg image), in our laboratory, we fabricate them experimentally through electromagnetic collision with repetitive evidence of electromagnetic lines that emerge from the hexagonal pattern structure. The pattern repeated in different scenarios and systems, a unique characteristic never documented before in biology or geology (figures 11,12,13, 20, 21, 23).
How do these complexes generate order?
GPS-H complexes facilities Fluid Interaction with basic geometries into a composite geometry leading in all systems and scales to deformation of the solid states The deformed solid structures, in turn, acts as a moving wall boundary for the fluid and changes the flow field in this way the balance and order of the system is restored
Figure 23. GPS-H complexes generated through electromagnetic collisions in an experimental form in our laboratory. The perfect pyramidal, spiral, hexagonal components are clearly observed the classic energy line as well that emerges from the hexagon but the most transcendental and surprising is a “luminescent embryoid body” in the center that emerges from 2 triangles that form an artificially image of chiral mirror organization with parity conservation obtaining this GPS-H complex. We can reproduce it in any disorder and chaos system to reverse it. solid- liquid interphase.
Figure 23. GPS-H complexes generated through electromagnetic collisions in an experimental form in our laboratory. The perfect pyramidal, spiral, hexagonal components are clearly observed the classic energy line as well that emerges from the hexagon but the most transcendental and surprising is a “luminescent embryoid body” in the center that emerges from 2 triangles that form an artificially image of chiral mirror organization with parity conservation obtaining this GPS-H complex. We can reproduce it in any disorder and chaos system to reverse it. solid- liquid interphase.
Preprints 117092 g029
Can we benefit from these GPS-H complexes that generate order?
We can copy these geometric patterns, replicate them, amplified their function through bioengineering and generate organization from these structures that we consider as order guardians.
We can use GPS-H in different scenarios, mainly in cancer, where we have discovered, in regenerative medicine and rejuvenation, but also as organizational structures and use the in future new pandemics that will surely emerge, or eventually we could use them in states of chaos due to an extreme climate change. Nowadays, we have the specific information that was unknow, now all of you most to replicate it in every chaos and disorder system on order to survive and evolve as specie.
The GPS-H complexes are the common thread that link the ancestral with the present, the molecular with the macroscopic, geology and biology, outer space with earth atmosphere. The disorder that means death versus the order that means life.
This information cannot be lost in time because it comes from the outer space ancestral past. It is there, it is real. We are not the authors of this document, we would not be capable, we cannot boast of its authorship. We affirm this with absolutely humility that we are simply intermediaries’ instruments for its spreading, in order to this information is known and reach to the individuals with the greatest capacity of analysis, the most creative ones, the most intellectually capable. There where knowledge is generated, in universities and laboratories. These GPS-H complexes are there. “Use this information.” It is the message we transmit.
specific gene to each collision geometry Fluid Interaction with Geometries basic geometries into a composite geometry. collision geometries for dynamic objects Collision detection is considerably when using the primitive geometries Geology is Geometry and Geometry is Geology Ancient geological dynamics impact neutral biodiversity accumulation and are detectable in phylogenetic reconstructions Geological scenarios
GPS-H complexes facilites Fluid Interaction with basic geometries into a composite geometry leading in cancer to deformation of the solid mas The deformed mass structure, in turn, acts as a moving wall boundary for the fluid and changes the flow field. n this way the order of the system is restored.

References

  1. Diaz, J., Jaramillo, N. and Murillo, M. (2007) Geometric Triangular Chiral Hexagon Crystal-Like Complexes Organization in Pathological Tissues Biological Collision Order. PLoS ONE, 2, e1282. [CrossRef]
  2. Diaz, J. and Murillo, M. (2009) Framework of Collagen Type I Vasoactive Vessels Structuring Invariant Geometric At-tractor in Cancer Tissues: Insight into Biological Mag-netic fields. PLoS ONE, 4, e4506. [CrossRef]
  3. Diaz, J., Murillo, M. and Barrero, A. (2011) Intercellular Cancer Collisions Generate an Ejected Crystal Comet Tail Effect with Fractal Interface Embryoid Body Reassembly Trans-formation. Cancer Management and Research, 3, 143-155.
  4. Diaz, J. and Murillo, M. (2012) Phenotype Characterization of Embryoid Body Structures Generated by a Crystal Comet Effect Tail in an Intercellular Cancer Collision Scenario. Cancer Management and Research, 4, 9-21. [CrossRef]
  5. Diaz, J. (2013) Electromagnetic Field Released in Collision Impact Events Generate in the Matrix Interface Fractal Scalable Invariant Geometric Triangular Chiral Hexagonal Structures. Open Journal of Geology, 3, 187-200. [CrossRef]
  6. Jairo A. Diaz, Karen E. Paris International Journal of Astronomy and Astrophysics Vol.4 No.1. Downloads 8.582 Views Identification of Mosaic Order Area of Geometric Triangular Chiral Hexagonal Complexes in Interphase with Morphology Biosignature Pattern in the Interior of Martian Nested Impact Craters.
  7. Electromagnetic properties of the Great Pyramid: First multipole resonances and energy concentration featured Mikhail Balezin; Kseniia V. Baryshnikova; Polina Kapitanova.
  8. van der Meer BW, Coker G, Chen SYS. Resonance Energy Transfer: Theory and Data. New York, NY: VCH (1994).
  9. On Infinite Field Reactions in Quantum Field TheorySin-Itiro Tomonaga and J. R. OppenheimerPhys. Rev. 74, 224—Published 15 July 1948.
  10. L. W. Alvarez, J. A. Anderson, F. E. Bedwe et al, “Search for hidden chambers in the pyramids,” Science 167, 832–839 (1970). [CrossRef]
  11. Resonance Energy Transfer: From Fundamental Theory to Recent Applications Garth A. Jones* David S. Bradshaw*.
  12. Latt SA, Cheung HT, Blout ER. Energy transfer. A system with relatively fixed donor-acceptor separation. J Am Chem Soc. (1965) 87:995–1003. [CrossRef]
  13. L. W. Alvarez, J. A. Anderson, F. E. Bedwe et al. Search for hiddenchambers in the pyramids. Science 1970, 167, 832–839.
  14. D.L. Andrews, C. Curutchet, G.D. Resonance energy transfer: Beyond the limits. Laser Photonics Rev. 2011, 5, 114–123. [CrossRef]
  15. 10Discovery of a big void in Khufu’s Pyramid by observation of cosmic-ray muons,” Nature 552, 386–390 (2017). [CrossRef]
  16. Electromagnetic properties of the Great Pyramid: First multipole resonances and energy concentration featured Mikhail Balezin; Kseniia V. Baryshnikova; Polina Kapitanova.
  17. Willard DM, Van Orden A. Resonant energy-transfer sensor. Nat Mater. 2003, 2, 575–6. [Google Scholar] [CrossRef]
  18. R. Alaee, C. Rockstuhl, and I. Fernandez-Corbaton. An electromagnetic multipole expansion beyond the long-wavelength approximation. Opt. Commun 2018, 407, 17–21. [CrossRef]
  19. Jairo A Diaz, Mauricio F Murillo, Jhonan A Mendoza, Ana M Barreto, Lina S Poveda, Lina K Sanchez, Laura C Poveda, Katherine T Mora. Human somatic cells acquire the plasticity to generate embryoid-like metamorphosis via the actin cytoskeleton in injured tissues Am J Stem Cells 2016, 5, 53–73.
  20. Sequential development of embryoblast-like memory entities in human cancer tissues: An evolutionary self-repair structure with pluripotentiality Jairo A Diaz, Liliana Sánchez, Luis A Diaz, Mauricio F Murillo, Laura Poveda, Oscar F Suescun, Laura Castro.
  21. Geometric triangular chiral hexagon complexes and clonal embryogenic body organization onthe Turin Shroud crucified man image: A predictable tissue response to injury Jairo A. Diaz. Natural Science Vol.5 No.10, October 10, 2013. [CrossRef]
Disclaimer/Publisher’s Note: The statements, opinions and data contained in all publications are solely those of the individual author(s) and contributor(s) and not of MDPI and/or the editor(s). MDPI and/or the editor(s) disclaim responsibility for any injury to people or property resulting from any ideas, methods, instructions or products referred to in the content.
Copyright: This open access article is published under a Creative Commons CC BY 4.0 license, which permit the free download, distribution, and reuse, provided that the author and preprint are cited in any reuse.
Prerpints.org logo

Preprints.org is a free preprint server supported by MDPI in Basel, Switzerland.

Subscribe

Disclaimer

Terms of Use

Privacy Policy

Privacy Settings

© 2026 MDPI (Basel, Switzerland) unless otherwise stated