Submitted:
31 July 2024
Posted:
31 July 2024
You are already at the latest version
Abstract
Keywords:
1. Introduction
2. Materials and Methods
2.1. Raw Meterials
2.2. Antibacterial Test
2.3. Water Resistance Test
2.4. SEM Image
2.5. Physical Properties
3. Results and Disscusion
3.1. Disintegration Rate
3.2. Sizing Degree and Contact Angle
3.3. Physical Properties
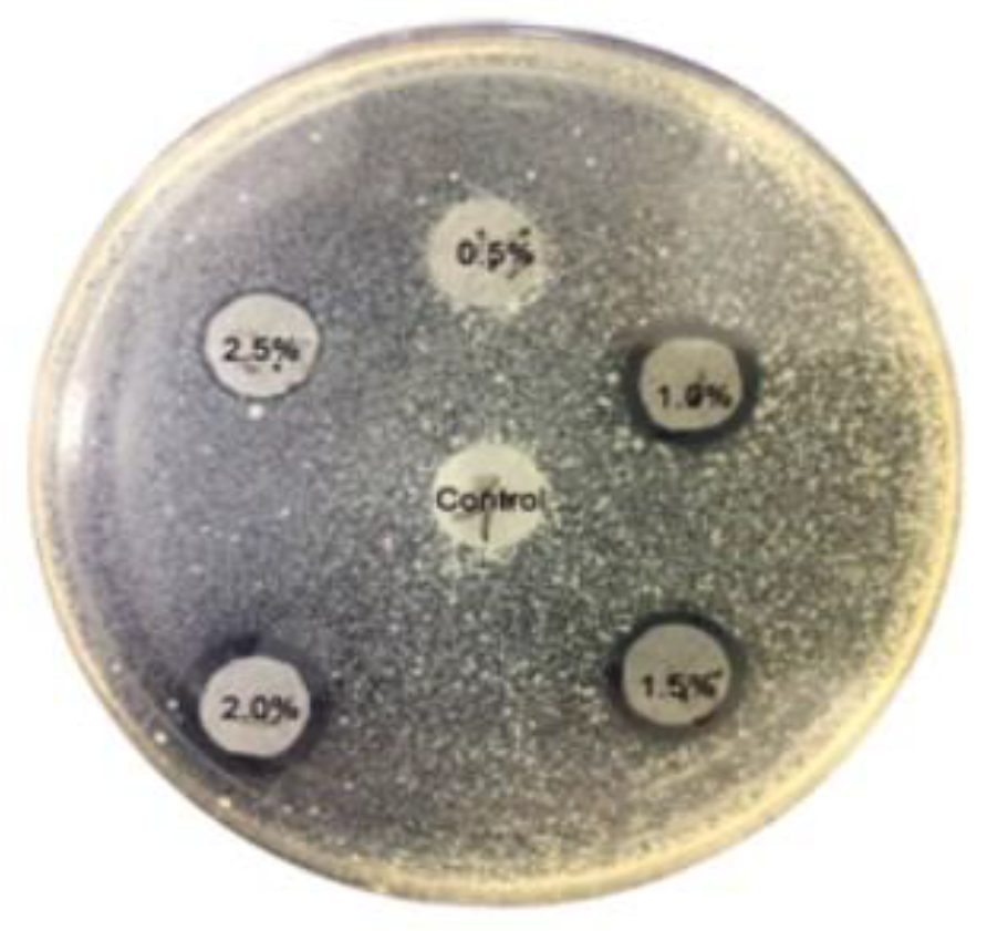
3.4. Antibacterial Test
4. Conclusions
Author Contributions
Funding
Institutional Review Board Statement
Informed Consent Statement
Data Availability Statement
Conflicts of Interest
References
- Hadley, T., Hickey, K., Lix, K., Sharma, S., Berretta, T., & Navessin, T. (2023). Flushed but not forgotten: The rising costs and opportunities of disposable wet wipes. BioResources, 18(1), 2271. [CrossRef]
- Rizan, C., Reed, M., & Bhutta, M. F. (2021). Environmental impact of personal protective equipment distributed for use by health and social care services in England in the first six months of the COVID-19 pandemic. Journal of the Royal Society of Medicine, 114(5), 250-263.
- Roberts, K.P.; Phang, S.C.; Williams, J.B.; Hutchinson, D.J.; Kolstoe, S.E.; Bie, J.; Williams, I.D.; Stringfellow, A.M. Increased personal protective equipment litter as a result of COVID-19 measures. Nature Sustainability 2022, 5, 272–279. [Google Scholar] [CrossRef]
- Imran, M. A., Khan, M. Q., Salam, A., & Ahmad, A. (2020). Cotton in nonwoven products. Cotton Science and Processing Technology: Gene, Ginning, Garment and Green Recycling, 305-332.
- Allison, T.; Ward, B.D.; Harbottle, M.; Durance, I. Do flushed biodegradable wet wipes really degrade? Science of the Total Environment 2023, 164912. [Google Scholar] [CrossRef] [PubMed]
- Atasağun, H. G., & Bhat, G. S. (2020). Advancement in flushable wipes: Modern technologies and characterization. Journal of Industrial Textiles, 49(6), 722-747.
- Joksimovic, D., Khan, A., & Orr, B. (2020). Inappropriate disposal of ‘flushable’consumer products–reasons for concern. Water Science and Technology, 81(1), 102-108.
- Evey, G.A. Paper toilet seat covers: health necessity or environmental detriment? California State Science Fair Project Summary 2015.
- Research Reports. Disposable Toilet Potty Seat Covers Market Size: Analyzing Trends and Projected Outlook for 2023-2030. 2023.
- Sun, K.S.; Lam, T.P.; Tang, W.S.; Chan, H.Y.; Lam, K.F.; Chow, E.C.Y.; Ho, P.L. Improving public toilet environment and hygiene practices in an Asian city: Voices from Hong Kong residents. Asia Pacific Journal of Public Health 2021, 33, 378–387. [Google Scholar] [CrossRef] [PubMed]
- Giannini, M.A.; Nance, D.; McCullers, J.A. Are toilet seats a vector for transmission of methicillin-resistant Staphylococcus aureus? American Journal of Infection Control 2009, 37, 505–506. [Google Scholar] [CrossRef] [PubMed]
- Sharma, D.; Chanchal, M.W. Anti-Odour Finished Disposable Toilet Seat Cover: An Innovative Approach.
- Raipale, N., & Heikkilä, P. (2024). SUSTAFIT–Sustainability Strategies for Nonwovens.
- Abel, O.T.; Ogundana, A.K. International Journal of Innovative Research in Science, Engineering and Technology. International Journal of Innovative Research in Science, Engineering and Technology 2014, 3, 8. [Google Scholar]
- Zhang, C.H.; Yang, F.L.; Wang, W.J.; Chen, B. Preparation and characterization of hydrophilic modification of polypropylene non-woven fabric by dip-coating PVA (polyvinyl alcohol). Separation and Purification Technology 2008, 61, 276–286. [Google Scholar] [CrossRef]
- Pantoja Munoz, L., Gonzalez Baez, A., McKinney, D., & Garelick, H. (2018). Characterisation of “flushable” and “non-flushable” commercial wet wipes using microRaman, FTIR spectroscopy and fluorescence microscopy: to flush or not to flush. Environmental Science and Pollution Research, 25, 20268-20279.
- ISO 12625-17. Tissue paper and tissue products - Part 17: Determination of disintegration in water.
- Park, N.; Lee, J.; Yoo, S.; Woo, K.; Kim, H. Evaluation of water release characteristics of domestically distributed tissue products. Pulp and Paper Technology 2021, 53, 53–63. [Google Scholar]
- Penn, R., Schuetze, M., Jens, A., & Friedler, E. (2018). Tracking and simulation of gross solids transport in sewers. Urban Water Journal, 15(6), 584-591.
- Lee, J.-Y.; Kim, G.-C.; Kim, V.; Sheikh, M.I.; Park, H.-J.; Kim, S.-H.; Sim, S.-W.; Cho, H.-S. Automated test method of sizing degree by analysis of liquid penetration and its surface behavior. Journal of Korea TAPPI 2012, 44, 18–28. [Google Scholar]
- Lee, J.-Y.; Kim, C.-H.; Lee, J.; Nam, H.-G.; Lee, G.-S.; Jo, H.-S.; Park, H.-H. Evaluation of reliability of the automatic system for measuring sizing degree by basis weight variation of paper. Journal of Korea TAPPI 2014, 46, 11–19. [Google Scholar] [CrossRef]
- Song, D.; Kim, C.-H.; Moon, S.-O. Automatic Stöckigt sizing test using an automatic recognition principle of color expression. Appita Journal 2006, 59, 396–400. [Google Scholar]
- De Assis, T., Reisinger, L. W., Pal, L., Pawlak, J., Jameel, H., & Gonzalez, R. W. (2018). Understanding the effect of machine technology and cellulosic fibers on tissue properties–A review. BioResources, 13(2), 4593-4629.
- Korpela, A.; Jaiswal, A.K.; Asikainen, J. Effects of hydrophobic sizing on paper dry and wet-strength properties: A comparative study between AKD sizing of NBSK handsheets and rosin sizing of CTMP handsheets. BioResources 2021, 16, 5350. [Google Scholar] [CrossRef]
- Jin, H., Okayama, T., Arai, R., & Ohtani, H. (2011). Relationship between wettability and sizing degree of paper containing bulking agent. Journal of wood science, 57, 34-39.
- Taniguchi, R., Isogai, A., Onabe, F., & Usuda, M. (1993). Sizing mechanism of alkylketene dimers: Part 3. Appearance of sizing features of AKD-sized sheets. Nordic Pulp & Paper Research Journal, 8(4), 352-357a.
- Lee, J. Y., Kim, C. H., Kwon, S., Lee, M. S., & Min, B. G. (2016). Representative effects of Valley beater and disk refiner on pulp fibers. Journal of Korea TAPPI, 48(5), 37-44.
- Gharehkhani, S.; Sadeghinezhad, E.; Kazi, S.N.; Yarmand, H.; Badarudin, A.; Safaei, M.R.; Zubir, M.N.M. Basic effects of pulp refining on fiber properties—A review. Carbohydrate Polymers 2015, 115, 785–803. [Google Scholar] [CrossRef] [PubMed]
- Rochaeni, H., Irawan, C., Nurfitri, M., Lestari, P. S., & Rosdianan, U. (2018, December). The Influence and The Analysis Of Alkyl Ketene Dimers (AKD) to Paper Resistance in Water Absorption and Chemical Solution Penetration. In International Conference on Science and Technology (ICST 2018) (pp. 298-300). Atlantis Press.
- Kumar, Y. S., Mahavir, S., Santosh, G., Rami Reddy, S., Sarvjeet, S., Reddy, K. P., & Rajinder, S. (2007). An Experience of Alkaline Sizing with AKD. IPPTA, 19(4), 85.
- Atasağun, H. G., & Bhat, G. S. (2020). Assessing the structural, mechanical and dispersible characteristics of flushable nonwovens. Textile research journal, 90(5-6), 581-592.
- Zhang, Y., Xu, Y., Zhao, Y., Huang, C., & Jin, X. (2019). Effects of short-cut fiber type and water-jet pressure sum on wet strength and dispersibility of wood pulp-based wetlaid/spunlace wipes. European Journal of Wood and Wood Products, 77, 33-43.
- Seppänen, R., Tiberg, F., & Valignat, M. P. (2000). Mechanism of internal sizing by alkyl ketene dimers (AKD): The role of the spreading monolayer precursor and autophobicity. Nordic Pulp & Paper Research Journal, 15(5), 452-458.
- Joutsimo, O., Wathén, R., & Tamminen, T. (2005). Effects of fiber deformations on pulp sheet properties and fiber strength. Paperi ja puu, 87(6), 392.
- Wathén, R. (2006). Studies on fiber strength and its effect on paper properties.
- Borodulina, S., Motamedian, H. R., & Kulachenko, A. (2018). Effect of fiber and bond strength variations on the tensile stiffness and strength of fiber networks. International Journal of Solids and Structures, 154, 19-32.
- Min, B. G., Lee, J. Y., Kim, C. H., Park, S. H., Lee, M. S., Gu, H. G., & Lee, C. Y. (2020). New technology for developing a lightweight refiner plate for hardwood kraft pulp fibers. BioResources, 15(4), 9128.
- Ryu, J. H., Kim, C. H., Lee, J. Y., Lee, J. S., Lee, C. H., & Park, J. H. (2022). Study of refining effect of mixed pulps using refiner plates with different bar patterns. Applied Sciences, 12(22), 11445.
- Park, H. H., Kim, C. H., Lee, J. S., & Lee, C. H. (2023). Effects of Refiner Plates with Different Fillings on TMP Properties. Applied Sciences, 13(8), 5091.
- Gu, H. G., Min, B. G., Lee, J. Y., Park, S. H., Lee, M. S., Lee, C. Y., & Kim, C. H. (2021). Mechanical modification of softwood pulp fibers using a novel lightweight vertical bar plate.
- Pasquale, T. R., & Tan, J. S. (2005). Nonantimicrobial effects of antibacterial agents. Clinical infectious diseases, 40(1), 127-135.
- Ahmad, H. (2021). Celluloses as support materials for antibacterial agents: a review. Cellulose, 28(5), 2715-2761.







| Chemical types | Brand name | Addition level (%) 1 | Company |
|---|---|---|---|
| Alkyl ketene dimer | Hercon WI | 0, 0.2, 0.4, 0.6, 0.8., 1.0 | Solenis Korea |
| Retention aid | SR-1700 | 0.2 | Dongjin Industry Co. Ltd., Korea |
| Organic antibacterial agent | Bactocide B-6010 | 0, 0.5, 1, 1.5, 1.5, 2, 2.5 | Ahsung Fine Chemical Co. Ltd, Korea |
Disclaimer/Publisher’s Note: The statements, opinions and data contained in all publications are solely those of the individual author(s) and contributor(s) and not of MDPI and/or the editor(s). MDPI and/or the editor(s) disclaim responsibility for any injury to people or property resulting from any ideas, methods, instructions or products referred to in the content. |
© 2024 by the authors. Licensee MDPI, Basel, Switzerland. This article is an open access article distributed under the terms and conditions of the Creative Commons Attribution (CC BY) license (http://creativecommons.org/licenses/by/4.0/).