Submitted:
22 July 2024
Posted:
24 July 2024
You are already at the latest version
Abstract
Keywords:
1. Introduction
2. Materials and Methods
2.1. Patient Details






2.2. History
2.3. Assessment
2.4. Methods
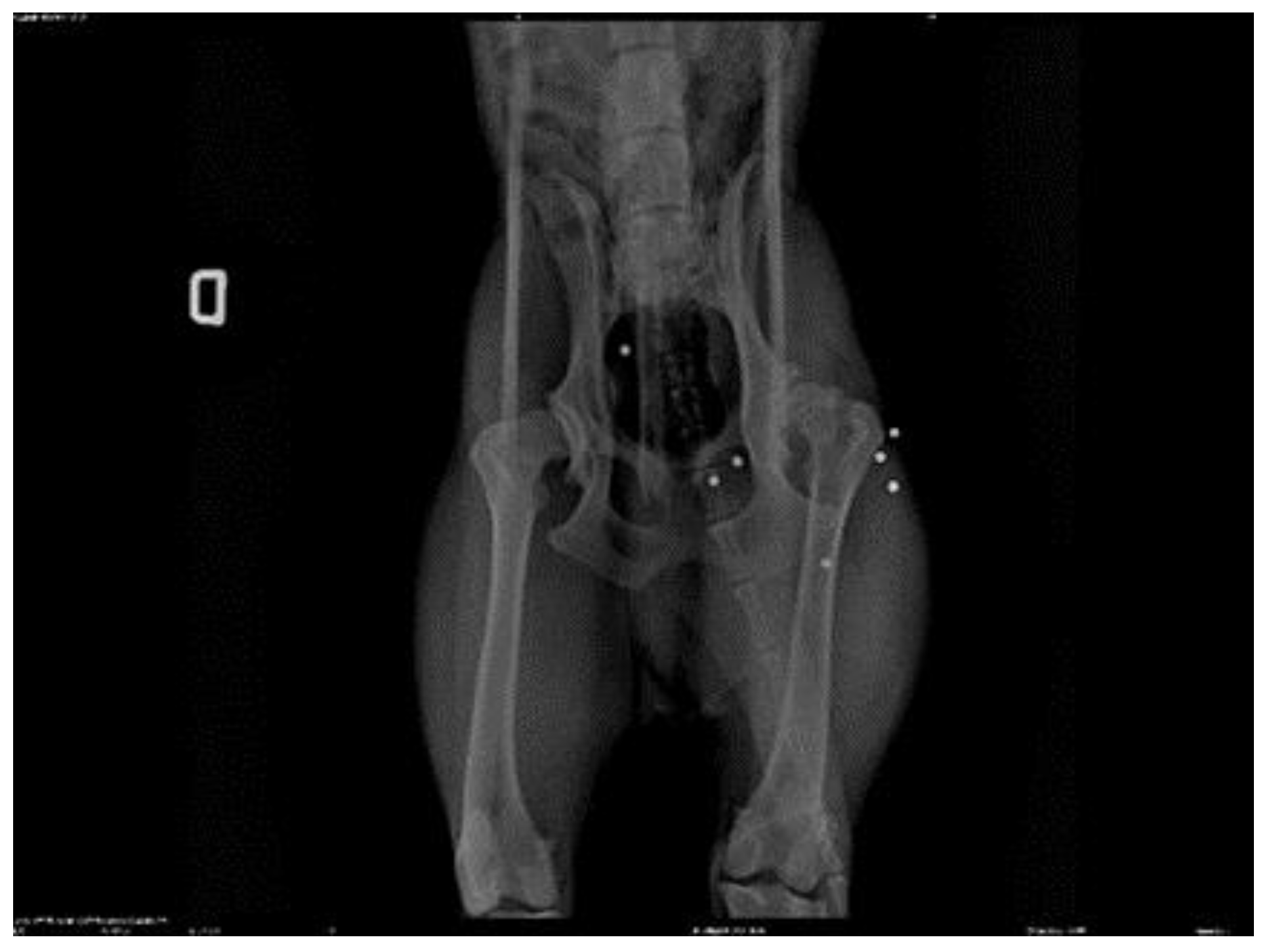
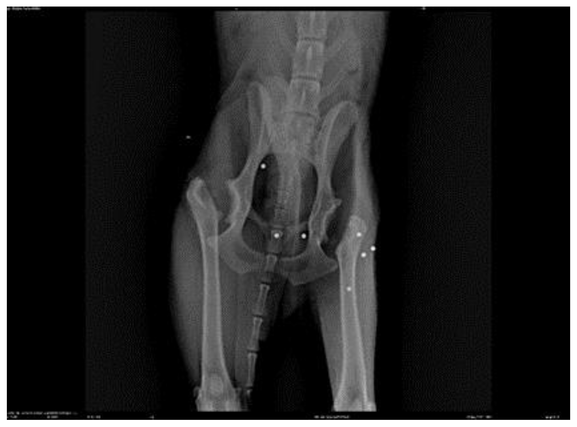
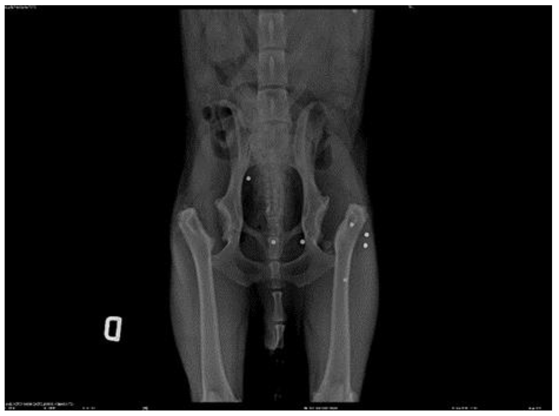
3. Results
4. Discussion
5. Conclusions
- Goniometry of the left coxofemoral joint pre-treatment: flexion 48º extension 158º (normal flexion 50º extension 162º) Post treatment flexion 50º extension 160º
- Goniometry of the right coxofemoral joint pre-treatment: flexion 47º extension 157º (normal flexion 50º extension 162º) Post treatment flexion 50º extension 159º
- Pre-treatment perimeter left thigh 28 cm left thigh 29 cm
Informed Consent Statement
Acknowledgments
Conflicts of Interest
References
- Bettini, C.M. , et al. Incidence of coxofemoral dysplasia in Border Collie dogs. Unipar Veterinary and Zoological Sciences Archive. 2007;10(1):21-25.
- McLaughlin Junior, R.; Tomlinson, J. Radiographic diagnosis of canine hip dysplasia. Veterinary medicine. 1996;91(2):36-47.
- Minto, B.W. , et al. Clinical evaluation of acetabular denervation in dogs with coxofemoral dysplasia treated at the FMVZ Veterinary Hospital - Botucatu - SP. Veterinary and Animal Sciences. 2012;19(1):91-98.
- Mueller, M. , et al. Effects of radial shock wave therapy on limb function of dogs with osteoarthritis of the hip. Veterinary record. 2007;160(1):762–765.
- Morgan, J.P.; Wind, A.; Davidson, A.P. Elbow dysplasia. In: Hereditary diseases of bones and joints in dogs: osteochondrosis, hip dysplasia, elbow dysplasia. Hanover: Schlütersche; 2000. p. 41-94.
- Mostafa, A.A.; Berry, C.R.; Nahla, M.A. Quantitative evaluation of hip morphology to improve the identification of coxofemoral dysplasia in German Shepherd dogs. Am J Vet Res. 2023 Feb;7:1-10. [CrossRef] [PubMed]
- Piermattei, D. Arthroplasty for excision of the coxofemoral joint in dogs and cats. Vet Comp Orthop Traumatol. 2011;24(1):89. [PubMed]
- Rocha, F.P.C. , et al. Coxofemoral dysplasia in dogs. Revista Cientí Eletrônica de Medicina Veterinária. 2008;4(11):1-7.
- Off, W.; Matis, U. Arthroplasty for excision of the coxofemoral joint in dogs and cats. Results of clinical, radiographic and gait analysis of the Department of Surgery, Faculty of Veterinary Medicine, Ludwig-Maximilians-University of Munich, Germany. Vet Comp Orthop Traumatol. 2010;23(5):297-305. [PubMed]
- Virag, Y.; Gumpenberger, M.; Tichy, A.; Lutonsky, C.; Peham, C.; Bockstahler, B. Center of pressure and reaction forces of the soil in Labradors and Golden Retrievers with and without coxofemoral dysplasia at 4, 8 and 12 months of age. Front Vet Sci. 2022 Dec 22;9:1087693. PMCID: PMC9814507. [CrossRef] [PubMed]
- Reusing, M.S.O.; Villanova Júnior, J.A.; Weber, S.H. Efeitos terapêuticos do exercício em esteira aquática e da laserterapia de baixa intensidade em cães com displasia coxofemoral = Therapeutic effects of underwater treadmill exercise and low-level laser therapy in dogs with hip dysplasia. 2019. Available at: link. Accessed July 16, 2023.
- Ali, Q. , et al. Low Energy Laser Effects in Relieving Pain in Patients with Knee Osteoarthritis. International Journal of Medicine and Public Health. 2018;2(1):6-10.
- Roush, J.K.; Unis, M.D.; Wodiske, T.; Baker, S.G. Comparison of four commercial devices to measure limb circumference in dogs. Veter- Comp. Orthop. Traumatol. 2010, 23, 406–410. [Google Scholar] [CrossRef]
- Barr, A.R.S.; Denny, H.R.; Gibbs, C. Clinical hip dysplasia in growing dogs: the long-term results of conservative management. J. Small Anim. Pr. 1987, 28, 243–252. [Google Scholar] [CrossRef]
- Bender, T.; Nagy, G.; Barna, I.; Tefner, I.; Kádas; Géher, P. The effect of physical therapy on beta-endorphin levels. Eur. J. Appl. Physiol. 2007, 100, 371–382. [Google Scholar] [CrossRef]
- Bjordal, J.M.; Couppé, C.; Chow, R.T.; Tunér, J.; Ljunggren, E.A. A systematic review of low level laser therapy with location-specific doses for pain from chronic joint disorders. Aust. J. Physiother. 2003, 49, 107–116. [Google Scholar] [CrossRef]
- Bockstahler, B.; Kräutler, C.; Holler, P.; Kotschwar, A.; Vobornik, A.; Peham, C. Pelvic Limb Kinematics and Surface Electromyography of the Vastus Lateralis, Biceps Femoris, and Gluteus Medius Muscle in Dogs with Hip Osteoarthritis. Veter- Surg. 2011, 41, 54–62. [Google Scholar] [CrossRef] [PubMed]
- Bockstahler, B.A.; Prickler, B.; Lewy, E.; Holler, P.J.; Vobornik, A.; Peham, C. Hind limb kinematics during therapeutic exercises in dogs with osteoarthritis of the hip joints. Am. J. Veter- Res. 2012, 73, 1371–1376. [Google Scholar] [CrossRef] [PubMed]
- Brown, D.C.; Boston, R.C.; Coyne, J.C.; Farrar, J.T. Ability of the Canine Brief Pain Inventory to detect response to treatment in dogs with osteoarthritis. J. Am. Veter- Med Assoc. 2008, 233, 1278–1283. [Google Scholar] [CrossRef]
- Cartlidge, H. Hydrotherapy for the osteoarthritic dog: why might it help and is there any evidence? The Veterinary Nurse. 2015;6(10):600-606. [CrossRef]
- Chauvet, A.; Laclair, J.; A Elliott, D.; German, A.J. Incorporation of exercise, using an underwater treadmill, and active client education into a weight management program for obese dogs. Can. Vet. J. 2011, 52, 491–6. [Google Scholar]
- Collard, F. , et al. Canine hip denervation: Comparison between clinical outcome and gait analysis. Revue de Medecine Veterinaire. 2010;161(6):277.
- Crestani, M.V.; Telöken, M.A.; Gusmão, P.D.F. Impacto femoroacetabular: uma das condições precursoras da osteoartrose do quadril. Rev Bras Ortop. 2006;41(8):285-293.
- Denning, W.E.; Bressel, E.; Dolny, D.G. Underwater Treadmill Exercise as a Potential Treatment for Adults With Osteoarthritis. Int. J. Aquat. Res. Educ. 2010, 4, 9. [Google Scholar] [CrossRef]
- Diniz, R. Hidroterapia. In: Lopes RS, Diniz R, editors. Fisiatria em Pequenos Animais. São Paulo: Editora Inteligente; 2018. p. 156-162.
- Doust, S. , et al. Preliminary study of the hip dysplasia incidence based on clinical and radiographical examination in large breed dogs referred to veterinary teaching hospital of Ferdowsi University of Mashhad. Journal of Veterinary Research. 2018;73(1).
- Duff, R.; Campbell, J. Long term results of excision arthroplasty of the canine hip. Veter- Rec. 1977, 101, 181–184. [Google Scholar] [CrossRef]
- Edge-Hughes, L. Hip and Sacroiliac Disease: Selected Disorders and Their Management with Physical Therapy. Clin. Tech. Small Anim. Pr. 2007, 22, 183–194. [Google Scholar] [CrossRef]
- Ginja, M.; Silvestre, A.; Gonzalo-Orden, J.; Ferreira, A. Diagnosis, genetic control and preventive management of canine hip dysplasia: A review. Veter- J. 2009, 184, 269–276. [Google Scholar] [CrossRef]
- Greshake, R.J.; Ackerman, N. ULTRASOUND EVALUATION OF THE COXOFEMORAL JOINTS OF THE CANINE NEONATE. Veter- Radiol. Ultrasound 1993, 34, 99–104. [Google Scholar] [CrossRef]
- Gusi, N.; Tomas-Carus, P.; Häkkinen, A.; Häkkinen, K.; Ortega-Alonso, A. Exercise in waist-high warm water decreases pain and improves health-related quality of life and strength in the lower extremities in women with fibromyalgia. Arthritis Care Res. 2006, 55, 66–73. [Google Scholar] [CrossRef] [PubMed]
- Harper, T.A. Conservative Management of Hip Dysplasia. Veterinary Clinics: Small Animal Practice. 2017;47(4):807-821. [CrossRef]
- Henrigson, B.; Norberg, I.; Olssons, S. On the Etiology and Pathogenesis of Hip Dysplasia: a Comparative Review. J. Small Anim. Pr. 1966, 7, 673–688. [Google Scholar] [CrossRef] [PubMed]
- Honmura, A.; Yanase, M.; Obata, J.; Haruki, E. Therapeutic effect of Ga-Al-As diode laser irradiation on experimentally induced inflammation in rats. Lasers Surg. Med. 1992, 12, 441–449. [Google Scholar] [CrossRef]
- Jaegger, G.; Marcellin-Little, D.J.; Levine, D. Reliability of goniometry in Labrador Retrievers. Am. J. Veter- Res. 2002, 63, 979–986. [Google Scholar] [CrossRef]
- Cardinet, G.H.; Kass, P.H.; Wallace, L.J.; Guffy, M.M. Association between pelvic muscle mass and canine hip dysplasia. J. Am. Veter- Med Assoc. 1997, 210, 1466–1473. [Google Scholar] [CrossRef]
- Kyriazis, A. Canine hip dysplasia. Part I: Aetiopathogenesis & diagnostic approach. Hellenic Journal of Companion Animal Medicine. 2016;5(1):37.
- König, H.E.; Liebich, H.-G. Anatomia dos Animais Domésticos-: Texto e Atlas Colorido. Artmed Editora; 2016.
- Lewis, G.; Holt, S. The Effects of Low-level Laser Therapy on the Gait of the Osteoarthritic Canine Hindlimb. BVNA Congress 2018. 2018.
- Matera, J.M.; Tatarunas, A.C.; Oliveira, S.M. Uso do laser arseneto de gálio (904nm) após excisão artroplástica da cabeça do fêmur em cães. Acta Cirúrgica Brasileira. 2003;18(2):102-106.
- McCarthy, G.; O’donovan, J.; Jones, B.; McAllister, H.; Seed, M.; Mooney, C. Randomised double-blind, positive-controlled trial to assess the efficacy of glucosamine/chondroitin sulfate for the treatment of dogs with osteoarthritis. Veter- J. 2007, 174, 54–61. [Google Scholar] [CrossRef]
- Mendes, S.; Coutinho, I.; Rebelo, P. Hidroterapia canina. Revista Portuguesa de Ciências Veterinárias. 2015;110(595-596):160-164.
- Millis, D.L.; Levine, D. The Role of Exercise and Physical Modalities in The Treatment of Osteoarthritis. Veter- Clin. North Am. Small Anim. Pr. 1997, 27, 913–930. [Google Scholar] [CrossRef]
- A Morales, J.; Ruiz-Gómez, M.J.; Gil-Carmona, L.; Souvirón, A.; Martínez-Morillo, M. He-Ne laser has no effect on cell cycle phases of human colon adenocarcinoma cells. Rev. Esp. Fisiol. 1995, 51, 43–7. [Google Scholar] [PubMed]
- Pluhar, G.E.; Nielsen, C. Diagnosis and treatment of hind limb muscle strain injuries in 22 dogs. Veter- Comp. Orthop. Traumatol. 2005, 18, 247–253. [Google Scholar] [CrossRef]
- Pereira, F.C.; Parisi, J.R.; Maglioni, C.B.; Machado, G.B.; Barragán-Iglesias, P.; Silva, J.R.T.; Silva, M.L. Antinociceptive effects of low-level laser therapy at 3 and 8 j/cm2 in a rat model of postoperative pain: possible role of endogenous Opioids. Lasers Surg. Med. 2017, 49, 844–851. [Google Scholar] [CrossRef] [PubMed]
- Prankel, S. Hydrotherapy in practice. Practice 2008, 30, 272–277. [Google Scholar] [CrossRef]
- Raghuvir, H. , et al. Treatment of canine hip dysplasia: A review. J Anim Sci Adv. 2013;3(12):589-597.
- Remedios, A.M.; Fries, C.L. Treatment of canine hip dysplasia: a review. Can. Vet. J. 1995, 36, 503–9. [Google Scholar] [PubMed]
- Syrcle, J. Hip Dysplasia: Clinical Signs and Physical Examination Findings. Veterinary Clinics: Small Animal Practice. 2017;47(4):769-775.
- Tai, G.; Tai, M.; Zhao, M. Electrically stimulated cell migration and its contribution to wound healing. Burn. Trauma 2018, 6, 20. [Google Scholar] [CrossRef]
- Upariputti, R.; Vijarnsorn, M.; Niyom, S.; Boonyong, S. Effect of interferential current therapy on ground reaction force in dogs with hip osteoarthritis: A randomized placebo controlled cross-over clinical trial. Thai J. Veter- Med. 2018, 48, 111–116. [Google Scholar] [CrossRef]
- Vince, K.J. Canine hip dysplasia: surgical treatment for the military working dog. Army Med. Dep. J. 2007, 44–50. [Google Scholar]
- Wallace, L.J. Pectineus Tendon Surgery for the Management of Canine Hip Dysplasia. Veter- Clin. North Am. Small Anim. Pr. 1992, 22, 607–621. [Google Scholar] [CrossRef]
- Weigel, J.P.; Cartee, R.E.; Marich, K.W. Preliminary study on the use of ultrasonic transmission imaging to evaluate the hip joint in the immature dog. Ultrasound Med. Biol. 1983, 9, 371–378. [Google Scholar] [CrossRef] [PubMed]
- Wong, E. Swim to Recovery: Canine Hydrotherapy Healing. Veloce Publishing Ltd; 2011.
- Zink, C.; Carr, B.J. What is a canine athlete? Canine sports medicine and rehabilitation. 2018;1-22.
- Zink, C.; Van Dyke, J.B. Canine sports medicine and rehabilitation. John Wiley & Sons; 2018.

![]() |
![]() |
![]() |
![]() |
Disclaimer/Publisher’s Note: The statements, opinions and data contained in all publications are solely those of the individual author(s) and contributor(s) and not of MDPI and/or the editor(s). MDPI and/or the editor(s) disclaim responsibility for any injury to people or property resulting from any ideas, methods, instructions or products referred to in the content. |
© 2024 by the authors. Licensee MDPI, Basel, Switzerland. This article is an open access article distributed under the terms and conditions of the Creative Commons Attribution (CC BY) license (http://creativecommons.org/licenses/by/4.0/).




