Submitted:
18 July 2024
Posted:
19 July 2024
You are already at the latest version
Abstract
Keywords:
1. Introduction
2. Materials and Methods
2.1. Materials
- -
- natural therapeutic factors specific for Techirghiol ecosystem: mud from the bottom of the lake and hypersaline water of Techirghiol Lake, as they are described in balneal law [10] ;
- -
- facilities for treatment of Techirghiol Balneal and Rehabilitation Sanatorium: bathes tubs, beds, swimming pool, solarium (beach in front side of lake and its` facilities) as they are described in methodological norms [11] and applied according to therapeutic protocol;
- -
- laboratory reagents, fixators, solvents, specific dyestuffs, microtome, research microscope, equipped with automatic expometer and video camera, soft of image analysis LUCIA© G;
- -
- IBM computer, SPSS statistics software version 23,
- -
- facilities of Emergency Unit from Constanta University Emergency Clinical Hospital.
2.2. Development of the Study
- ⮚
- Cold Mud Ointment: Applied outdoors during the summer season, combined with heliotherapy and immersion in the lake’s water.
- ⮚
- Mud Pack: Applied indoors year-round, using hyperthermal mud (42°C) for 20-30 minutes.
- ⮚
- Mud Bath: Applied indoors year-round, using thermally neutral mud (38°C) for 20-30 minutes, alternating with thermally neutral hypersaline water baths (37°C) as part of a ten-day balneal course, within a twelve-day stay at the thermal station.
- Cardiovascular conditions (recent myocardial infarction or cardiovascular surgery), heart failure, uncontrolled hypertension, vasodilatory medication.
- Skin conditions (psoriasis, eczema).
- Chronic inflammatory conditions (rheumatoid arthritis, ankylosing spondylitis, lupus).
- Neurological conditions (multiple sclerosis, hemiparesis following a recent stroke).
- Muscular conditions (Duchenne Muscular Dystrophy, Juvenile Dermatomyositis).
- Chronic organ failure (kidney, lung).
- Clinical and/or biological signs of inflammation.
- Cropping, samples numbering and fixation.
3. Results
3.1. Participants
- -
- Heating under sun radiation,
- -
- Cooling by immersion in the lake’s water,
- -
- Heating under sun radiation,
- -
- Cooling by applying cold mud,
- -
- Heating under sun radiation, and
- -
- Cooling by immersion in the lake to remove the mud.
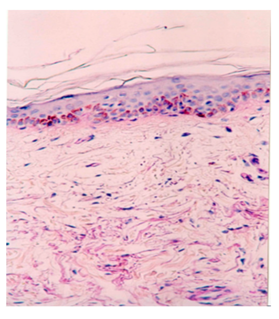
3.2. Histologic Aspect in Dermis and Muscle
3.2.1. Dermis
3.2.2. Muscle
3.3. Number of Angiogenesis Vessels/Microscopic field
3.3.1. In the Dermis
3.3.2. Muscle
3.4. Comparison between Angiogenesis Vessels in Dermis and Muscle Tissue
4. Discussion
5. Conclusions
Author Contributions
Funding
Institutional Review Board Statement
Informed Consent Statement
Data Availability Statement
Conflicts of Interest
References
- Carbajo, J.M.; Maraver, F. Sulphurous Mineral Waters: New Applications for Health. Evidence-Based Complement. Altern. Med. 2017, 2017, 1–11. [Google Scholar] [CrossRef] [PubMed]
- Carretero, M. Clay minerals and their beneficial effects upon human health. A review. Appl. Clay Sci. 2002, 21, 155–163. [Google Scholar] [CrossRef]
- Gomes, C.; Carretero, M.I.; Pozo, M.; Maraver, F.; Cantista, P.; Armijo, F.; Legido, J.L.; Teixeira, F.; Rautureau, M.; Delgado, R. Peloids and pelotherapy: Historical evolution, classification and glossary. Appl. Clay Sci. 2013, 75-76, 28–38. [Google Scholar] [CrossRef]
- Pozo, M.; Carretero, M.I.; Maraver, F.; Pozo, E.; Gómez, I.; Armijo, F.; Rubí, J.A.M. Composition and physico-chemical properties of peloids used in Spanish spas: A comparative study. Appl. Clay Sci. 2013, 83-84, 270–279. [Google Scholar] [CrossRef]
- Mulkern R, McDannold N, Hynynen K et al. Temperature distribution change in low back muscles during applied topical heat: A magnetic resonance thermometry study. 22 May 1999; -28.
- Reid, R.W.; Foley, J.M.; Prior, B.M.; Weingand, K.W.; Meyer, R.A. MILD TOPICAL HEAT INCREASES POPLITEAL BLOOD FLOW AS MEASURED BY MRI. Med. Sci. Sports Exerc. 1999, 31, S208. [Google Scholar] [CrossRef]
- Koch EN, Gibson OR, Khir AW, González-Alonso J Regional thermal hyperemia in the human leg: evidence of the importance of thermosensitive mechanisms in the control of the peripheral circulation. Physiol Rep 9:14953. [CrossRef]
- Egginton, S.; Zhou, A.-L.; Brown, M.; O Hudlická, O. Unorthodox angiogenesis in skeletal muscle. Cardiovasc. Res. 2001, 49, 634–646. [Google Scholar] [CrossRef]
- Bush, R.L.; Pevec, W.C.; Ndoye, A.; Cheung, A.T.; Sasse, J.; Pearson, D.N. Regulation of new blood vessel growth into ischemic skeletal muscle. J. Vasc. Surg. 1998, 28, 919–928. [Google Scholar] [CrossRef] [PubMed]
- law 343/31st, May, 2002.
- Norms for application of balneal law approved by Decision No. 1154 of 23 July 2004.
- Framework Contract 2021 – 2022 approved June, the 28th 2021 and;
- Leiva-Cepas, et All (2018). Laboratory methodology for the histological study of skeletal muscle. Archivos de Medicina del Deporte. 35. 254-262.
- Kolarsick, P.A.J.B.; Kolarsick, M.A.M.; Goodwin, C.A.-B. Anatomy and Physiology of the Skin. J. Dermatol. Nurses' Assoc. 2011, 3, 203–213. [Google Scholar] [CrossRef]
- Mooventhan, A.; Nivethitha, L. Scientific evidence-based effects of hydrotherapy on various systems of the body. North Am. J. Med Sci. 2014, 6, 199–209. [Google Scholar] [CrossRef] [PubMed]
- Mortensen, S.P.; Saltin, B. Regulation of the skeletal muscle blood flow in humans. Exp. Physiol. 2014, 99, 1552–1558. [Google Scholar] [CrossRef] [PubMed]
- Zhu, C.; Liu, Q.; Li, X.; Wei, R.; Ge, T.; Zheng, X.; Li, B.; Liu, K.; Cui, R. Hydrogen sulfide: A new therapeutic target in vascular diseases. Front. Endocrinol. 2022, 13, 934231. [Google Scholar] [CrossRef] [PubMed]
- Behera, J.; Tyagi, S.C.; Tyagi, N. Role of hydrogen sulfide in the musculoskeletal system. Bone 2019, 124, 33–39. [Google Scholar] [CrossRef] [PubMed]
- Bunescu R.; et al. Studii şi cercetări de balneologie şi fizioterapie. Ed. Medicală Bucureşti 1967. Vol. IX pag. 485 - 486.
- Agirbiceanu T. Et al, Studii şi cercetări de balneologie şi fizioterapie”, vol VI, Ed. Medicală Bucureşti, 1964;
- Wang, M.-J.; Cai, W.-J.; Li, N.; Ding, Y.-J.; Chen, Y.; Zhu, Y.-C. The Hydrogen Sulfide Donor NaHS Promotes Angiogenesis in a Rat Model of Hind Limb Ischemia. Antioxidants Redox Signal. 2010, 12, 1065–1077. [Google Scholar] [CrossRef] [PubMed]
- Streeter, E.; Ng, H.H.; Hart, J.L. Hydrogen sulfide as a vasculoprotective factor. Med Gas Res. 2013, 3, 9–9. [Google Scholar] [CrossRef] [PubMed]







| Number of patients | Limit of age max-min |
Mean age +/- SD | |
| Witness plot | 5 | 64 to 38 | 55 +/- 12.27 |
| Mud wrapping plot | 10 | 69 to 49 | 60.4 +/- 7.5 |
| Mud bath plot | 10 | 73 to 42 | 60.9 +/- 11.24 |
| Cold mud ointment plot | 10 | 64 to 36 | 48.6 +/- 8.8 |
| Total | 35 | 73 to 36 | 56.4 +/- 10.76 |
| Patient number ID | 1 | 2 | 3 | 4 | 5 | 6 | 7 | 8 | 9 | 10 |
| witness plot | 4 | 3 | 5 | 4 | 4 | |||||
| mud pack plot | 7 | 6 | 9 | 6 | 8 | 6 | 8 | 7 | 6 | 10 |
| mud bath plot | 4 | 5 | 3 | 6 | 6 | 5 | 7 | 8 | 6 | 9 |
| cold mud ointment plot | 8 | 8 | 8 | 8 | 9 | 7 | 7 | 6 | 10 | 7 |
| Group | N | Mean | SD | Min | Max | P25 | Median | P75 | IQR |
| witness plot | 5 | 4.00 | .71 | 3.00 | 5.00 | 3.50 | 4.00 | 4.50 | 1.00 |
| mud pack plot | 10 | 7.60 | 1.43 | 6.00 | 10.00 | 6.00 | 7.50 | 9.00 | 3.00 |
| mud bath plot | 10 | 5.90 | 1.79 | 3.00 | 9.00 | 4.75 | 6.00 | 7.25 | 2.50 |
| mud cold ointment plot | 10 | 7.50 | 1.27 | 6.00 | 10.00 | 6.75 | 7.00 | 8.25 | 1.50 |
| Patient ID number | 1 | 2 | 3 | 4 | 5 | 6 | 7 | 8 | 9 | 10 |
| witness plot | 2 | 2 | 2 | 2 | 3 | |||||
| Mud pack | 4 | 5 | 7 | 5 | 5 | 5 | 6 | 6 | 5 | 6 |
| Mud bath | 3 | 4 | 3 | 4 | 4 | 2 | 3 | 2 | 3 | 4 |
| Cold mud ointment | 5 | 5 | 7 | 6 | 5 | 5 | 5 | 7 | 6 | 6 |
| Group | N | Mean | SD | Min | Max | P25 | Median | P75 | IQR |
| witness plot | 5 | 2.20 | 0.84 | 1.00 | 3.00 | 1.50 | 2.00 | 3.00 | 1.50 |
| mud pack plot | 10 | 5.40 | 0.84 | 4.00 | 7.00 | 5.00 | 5.00 | 6.00 | 1.00 |
| mud bath plot | 10 | 3.20 | 0.79 | 2.00 | 4.00 | 2.75 | 3.00 | 4.00 | 1.25 |
| cold mud ointment plot | 10 | 5.70 | 0.82 | 5.00 | 7.00 | 5.00 | 5.50 | 6.25 | 1.25 |
| groups | N | Mean Rank | Test Statistics | ||||
| dermis | muscle | dermis | muscle | Mann-Whitney U | Z | P* | |
| mud pack plot | 10 | 10 | 14.65 | 6.35 | 91.50 | 3.212 | 0.001 |
| mud bath plot | 10 | 10 | 14.70 | 6.30 | 92.00 | 3.231 | 0.001 |
| mud cold ointment | 10 | 10 | 14.40 | 6.60 | 89.00 | 3.036 | 0.002 |
Disclaimer/Publisher’s Note: The statements, opinions and data contained in all publications are solely those of the individual author(s) and contributor(s) and not of MDPI and/or the editor(s). MDPI and/or the editor(s) disclaim responsibility for any injury to people or property resulting from any ideas, methods, instructions or products referred to in the content. |
© 2024 by the authors. Licensee MDPI, Basel, Switzerland. This article is an open access article distributed under the terms and conditions of the Creative Commons Attribution (CC BY) license (https://creativecommons.org/licenses/by/4.0/).