Submitted:
17 April 2024
Posted:
17 April 2024
You are already at the latest version
Abstract
Keywords:
1. Introduction
2. Results
2.1. p53 Can Either Activate or Repress SOCS1 Expression Depending on the Cell Line
2.2. Treatment with A+N Attenuates Phosphorylation of STAT1 Initiated by IFNα1
2.3. p53 Attenuates the Phosphorylation of STAT1 Initiated by IFNα1
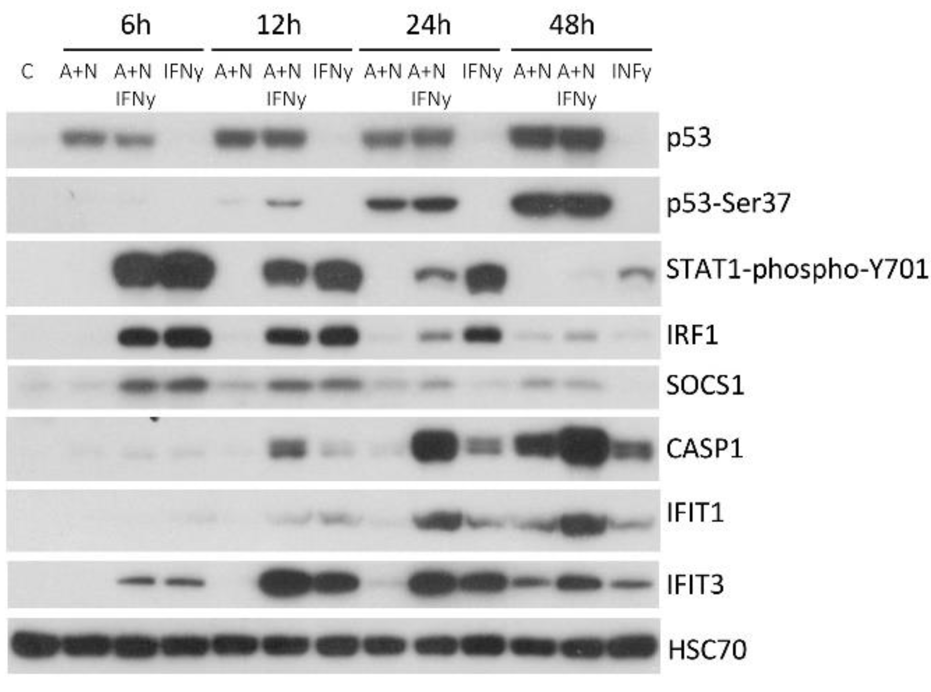
2.4. Treatment with A+N Reduces Phosphorylation of STAT1 but Does Not Reduce the Expression of Most Tested Interferon-Stimulated Genes
2.5. p53 and IFNγ Synergize in the Activation of a Subset of Interferon-Stimulated Genes
2.6. The Synergy between A+N and IFN-γ in Activation of CASP1 Is Cell-Type Specific
3.7. Actinomycin D and Nutlin-3a Can Sensitize both p53 Proficient and p53-Deficient Cells to the Killing Effect of NK-92 Cells
3. Discussion
4. Materials and Methods
4.1. Cell Culture and Treatment
4.2. Generation of p53-Deficient Cells
4.3. Western Blotting
4.4. Gene Expression Analysis by Semi-Quantitative Real-Time PCR
4.5. Killing of Cancer Cells by NK-92 Cells
Supplementary Materials
Author Contributions
Funding
Institutional Review Board Statement
Informed Consent Statement
Data Availability Statement
Acknowledgments
Conflicts of Interest
References
- Baker SJ, Vogelstein B. p53: a tumor suppressor hiding in plain sight. J Mol Cell Biol. 2019 Jul 19;11(7):536-538. PMID: 31276589; PMCID: PMC6736432. [CrossRef]
- Aloni-Grinstein R, Charni-Natan M, Solomon H, Rotter V. p53 and the Viral Connection: Back into the Future ‡. Cancers (Basel). 2018 Jun 4;10(6):178. PMID: 29866997; PMCID: PMC6024945. [CrossRef]
- Levine AJ. The many faces of p53: something for everyone. J Mol Cell Biol. 2019 Jul 19;11(7):524-530. PMID: 30925588; PMCID: PMC6736316. [CrossRef]
- Fischer M, Schwarz R, Riege K, DeCaprio JA, Hoffmann S. TargetGeneReg 2.0: a comprehensive web-atlas for p53, p63, and cell cycle-dependent gene regulation. NAR Cancer. 2022 Mar 23;4(1):zcac009. PMID: 35350773; PMCID: PMC8946727. [CrossRef]
- Uxa S, Bernhart SH, Mages CFS, Fischer M, Kohler R, Hoffmann S, Stadler PF, Engeland K, Müller GA. DREAM and RB cooperate to induce gene repression and cell-cycle arrest in response to p53 activation. Nucleic Acids Res. 2019 Sep 26;47(17):9087-9103. PMID: 31400114; PMCID: PMC6753476. [CrossRef]
- Łasut-Szyszka B, Gdowicz-Kłosok A, Małachowska B, Krześniak M, Będzińska A, Gawin M, Pietrowska M, Rusin M. Transcriptomic and proteomic study of cancer cell lines exposed to actinomycin D and nutlin-3a reveals numerous, novel candidates for p53-regulated genes. Chem Biol Interact. 2024 Apr 1;392:110946. Epub 2024 Mar 7. PMID: 38460933. [CrossRef]
- Philips RL, Wang Y, Cheon H, Kanno Y, Gadina M, Sartorelli V, Horvath CM, Darnell JE Jr, Stark GR, O’Shea JJ. The JAK-STAT pathway at 30: Much learned, much more to do. Cell. 2022 Oct 13;185(21):3857-3876. PMID: 36240739; PMCID: PMC9815833. [CrossRef]
- Sakamoto H, Kinjyo I, Yoshimura A. The janus kinase inhibitor, Jab/SOCS-1, is an interferon-gamma inducible gene and determines the sensitivity to interferons. Leuk Lymphoma. 2000 Jun;38(1-2):49-58. PMID: 10811447. [CrossRef]
- Sharma J, Larkin J 3rd. Therapeutic Implication of SOCS1 Modulation in the Treatment of Autoimmunity and Cancer. Front Pharmacol. 2019 Apr 11;10:324. PMID: 31105556; PMCID: PMC6499178. [CrossRef]
- Krześniak M, Zajkowicz A, Gdowicz-Kłosok A, Głowala-Kosińska M, Łasut-Szyszka B, Rusin M. Synergistic activation of p53 by actinomycin D and nutlin-3a is associated with the upregulation of crucial regulators and effectors of innate immunity. Cell Signal. 2020 May;69:109552. Epub 2020 Feb 4. PMID: 32032660; PMCID: PMC7126238. [CrossRef]
- Bulavin DV, Saito S, Hollander MC, Sakaguchi K, Anderson CW, Appella E, Fornace AJ Jr. Phosphorylation of human p53 by p38 kinase coordinates N-terminal phosphorylation and apoptosis in response to UV radiation. EMBO J. 1999 Dec 1;18(23):6845-54. PMID: 10581258; PMCID: PMC1171747. [CrossRef]
- Horisberger MA, Gunst MC. Interferon-induced proteins: identification of Mx proteins in various mammalian species. Virology. 1991 Jan;180(1):185-90. PMID: 1984648. [CrossRef]
- Łasut-Szyszka B, Małachowska B, Gdowicz-Kłosok A, Krześniak M, Głowala-Kosińska M, Zajkowicz A, Rusin M. Transcriptome Analysis of Cells Exposed to Actinomycin D and Nutlin-3a Reveals New Candidate p53-Target Genes and Indicates That CHIR-98014 Is an Important Inhibitor of p53 Activity. Int J Mol Sci. 2021 Oct 14;22(20):11072. PMID: 34681730; PMCID: PMC8538697. [CrossRef]
- Ma W, Huang G, Wang Z, Wang L, Gao Q. IRF7: role and regulation in immunity and autoimmunity. Front Immunol. 2023 Aug 10;14:1236923. PMID: 37638030; PMCID: PMC10449649. [CrossRef]
- Wang B, Lam TH, Soh MK, Ye Z, Chen J, Ren EC. Influenza A Virus Facilitates Its Infectivity by Activating p53 to Inhibit the Expression of Interferon-Induced Transmembrane Proteins. Front Immunol. 2018 May 31;9:1193. PMID: 29904383; PMCID: PMC5990591. [CrossRef]
- Song LL, Alimirah F, Panchanathan R, Xin H, Choubey D. Expression of an IFN-inducible cellular senescence gene, IFI16, is up-regulated by p53. Mol Cancer Res. 2008 Nov;6(11):1732-41. Epub 2008 Oct 30. PMID: 18974396. [CrossRef]
- Klingemann H. The NK-92 cell line-30 years later: its impact on natural killer cell research and treatment of cancer. Cytotherapy. 2023 May;25(5):451-457. Epub 2023 Jan 6. PMID: 36610812. [CrossRef]
- Łasut-Szyszka B, Rusin M. The Wheel of p53 Helps to Drive the Immune System. Int J Mol Sci. 2023 Apr 21;24(8):7645. PMID: 37108808; PMCID: PMC10143509. [CrossRef]
- Carlsen L, Zhang S, Tian X, De La Cruz A, George A, Arnoff TE, El-Deiry WS. The role of p53 in anti-tumor immunity and response to immunotherapy. Front Mol Biosci. 2023 Aug 1;10:1148389. PMID: 37602328; PMCID: PMC10434531. [CrossRef]
- Zhang J, Li H, Yu JP, Wang SE, Ren XB. Role of SOCS1 in tumor progression and therapeutic application. Int J Cancer. 2012 May 1;130(9):1971-80. Epub 2012 Jan 11. PMID: 22025331. [CrossRef]
- Beaurivage C, Champagne A, Tobelaim WS, Pomerleau V, Menendez A, Saucier C. SOCS1 in cancer: An oncogene and a tumor suppressor. Cytokine. 2016 Jun;82:87-94. Epub 2016 Jan 19. PMID: 26811119. [CrossRef]
- Cheriyath V, Leaman DW, Borden EC. Emerging roles of FAM14 family members (G1P3/ISG 6-16 and ISG12/IFI27) in innate immunity and cancer. J Interferon Cytokine Res. 2011 Jan;31(1):173-81. Epub 2010 Oct 12. PMID: 20939681; PMCID: PMC6468951. [CrossRef]
- Muñoz-Fontela C, Macip S, Martínez-Sobrido L, Brown L, Ashour J, García-Sastre A, Lee SW, Aaronson SA. Transcriptional role of p53 in interferon-mediated antiviral immunity. J Exp Med. 2008 Aug 4;205(8):1929-38. Epub 2008 Jul 28. PMID: 18663127; PMCID: PMC2525597. [CrossRef]
- Castro F, Cardoso AP, Gonçalves RM, Serre K, Oliveira MJ. Interferon-Gamma at the Crossroads of Tumor Immune Surveillance or Evasion. Front Immunol. 2018 May 4;9:847. PMID: 29780381; PMCID: PMC5945880. [CrossRef]
- Sekrecka A, Kluzek K, Sekrecki M, Boroujeni ME, Hassani S, Yamauchi S, Sada K, Wesoly J, Bluyssen HAR. Time-dependent recruitment of GAF, ISGF3 and IRF1 complexes shapes IFNα and IFNγ-activated transcriptional responses and explains mechanistic and functional overlap. Cell Mol Life Sci. 2023 Jun 22;80(7):187. PMID: 37347298; PMCID: PMC10287828. [CrossRef]
- Kim EJ, Lee JM, Namkoong SE, Um SJ, Park JS. Interferon regulatory factor-1 mediates interferon-gamma-induced apoptosis in ovarian carcinoma cells. J Cell Biochem. 2002;85(2):369-80. PMID: 11948692. [CrossRef]
- Fernandes-Alnemri T, Wu J, Yu JW, Datta P, Miller B, Jankowski W, Rosenberg S, Zhang J, Alnemri ES. The pyroptosome: a supramolecular assembly of ASC dimers mediating inflammatory cell death via caspase-1 activation. Cell Death Differ. 2007 Sep;14(9):1590-604. Epub 2007 Jun 29. PMID: 17599095; PMCID: PMC3345951. [CrossRef]
- Trapani JA, Browne KA, Dawson MJ, Ramsay RG, Eddy RL, Show TB, White PC, Dupont B. A novel gene constitutively expressed in human lymphoid cells is inducible with interferon-gamma in myeloid cells. Immunogenetics. 1992;36(6):369-76. PMID: 1526658. [CrossRef]
- Martini M, Testi MG, Pasetto M, Picchio MC, Innamorati G, Mazzocco M, Ugel S, Cingarlini S, Bronte V, Zanovello P, Krampera M, Mosna F, Cestari T, Riviera AP, Brutti N, Barbieri O, Matera L, Tridente G, Colombatti M, Sartoris S. IFN-gamma-mediated upmodulation of MHC class I expression activates tumor-specific immune response in a mouse model of prostate cancer. Vaccine. 2010 Apr 30;28(20):3548-57. Epub 2010 Mar 19. PMID: 20304037. [CrossRef]
- Braun MW, Iwakuma T. Regulation of cytotoxic T-cell responses by p53 in cancer. Transl Cancer Res. 2016 Dec;5(6):692-697. PMID: 28944167; PMCID: PMC5607642. [CrossRef]
- Müller M, Strand S, Hug H, Heinemann EM, Walczak H, Hofmann WJ, Stremmel W, Krammer PH, Galle PR. Drug-induced apoptosis in hepatoma cells is mediated by the CD95 (APO-1/Fas) receptor/ligand system and involves activation of wild-type p53. J Clin Invest. 1997 Feb 1;99(3):403-13. PMID: 9022073; PMCID: PMC507813. [CrossRef]
- Selleck WA, Canfield SE, Hassen WA, Meseck M, Kuzmin AI, Eisensmith RC, Chen SH, Hall SJ. IFN-gamma sensitization of prostate cancer cells to Fas-mediated death: a gene therapy approach. Mol Ther. 2003 Feb;7(2):185-92. PMID: 12597906. [CrossRef]
- Harvat BL, Seth P, Jetten AM. The role of p27Kip1 in gamma interferon-mediated growth arrest of mammary epithelial cells and related defects in mammary carcinoma cells. Oncogene. 1997 May 1;14(17):2111-22. PMID: 9160891. [CrossRef]
- Fan Z, Chen R, Yin W, Xie X, Wang S, Hao C. Effects of AIM2 and IFI16 on Infectious Diseases and Inflammation. Viral Immunol. 2023 Sep;36(7):438-448. Epub 2023 Aug 16. PMID: 37585649. [CrossRef]
- Textor S, Fiegler N, Arnold A, Porgador A, Hofmann TG, Cerwenka A. Human NK cells are alerted to induction of p53 in cancer cells by upregulation of the NKG2D ligands ULBP1 and ULBP2. Cancer Res. 2011 Sep 15;71(18):5998-6009. Epub 2011 Jul 15. PMID: 21764762. [CrossRef]
- Li H, Lakshmikanth T, Garofalo C, Enge M, Spinnler C, Anichini A, Szekely L, Kärre K, Carbone E, Selivanova G. Pharmacological activation of p53 triggers anticancer innate immune response through induction of ULBP2. Cell Cycle. 2011 Oct 1;10(19):3346-58. Epub 2011 Oct 1. PMID: 21941086. [CrossRef]
- Cifaldi L, Locatelli F, Marasco E, Moretta L, Pistoia V. Boosting Natural Killer Cell-Based Immunotherapy with Anticancer Drugs: a Perspective. Trends Mol Med. 2017 Dec;23(12):1156-1175. Epub 2017 Nov 10. PMID: 29133133. [CrossRef]












Disclaimer/Publisher’s Note: The statements, opinions and data contained in all publications are solely those of the individual author(s) and contributor(s) and not of MDPI and/or the editor(s). MDPI and/or the editor(s) disclaim responsibility for any injury to people or property resulting from any ideas, methods, instructions or products referred to in the content. |
© 2024 by the authors. Licensee MDPI, Basel, Switzerland. This article is an open access article distributed under the terms and conditions of the Creative Commons Attribution (CC BY) license (http://creativecommons.org/licenses/by/4.0/).