Submitted:
10 April 2024
Posted:
11 April 2024
You are already at the latest version
Abstract
Keywords:
1. Introduction
2. Materials and Methods
2.1. Animals, Experimental design, and Management
2.2. Sample Collection
2.3. Measurements of Cashmere Fiber Performance
2.4. Calculations of Hair Follicle Population
2.5. Statistical Analysis
3. Results
3.1. Cashmere Fiber Yield, Staple Length, and Diameter in Cashmere Goats Aged 2 to 7 Years Old
3.2. Population of Active Secondary Hair Follicles in Cashmere Goats Aged 2 to 7 Years Old
3.3. Relationship between Population of Primary and Secondary Hair Follicles and Cashmere Fiber Diameter in Cashmere Goats Aged 2 to 7 Years
3.4. Serum Antioxidant Capacity and Oxidative Damage in Cashmere Goats Aged 2-7 Years Old
3.5. Association between Antioxidant Capacity and Active Secondary Hair Follicle Population in Cashmere Goats Aged 2 to 7 Years Old
4. Discussion
5. Conclusions
Author Contributions
Funding
Institutional Review Board Statement
Informed Consent Statement
Data Availability Statement
Acknowledgments
Conflicts of Interest
References
- Zhou, H.M.; Allain, D.; Li, J.Q.; Zhang, W.G.; Yu, X.C. Genetic parameters of production traits of Inner Mongolia cashmere goats in China. J. Anim. Breed. Genet. 2002, 119, 385–390. [Google Scholar] [CrossRef]
- Zhou, H.M.; Allain, D.; Li, J.Q.; Zhang, W.G.; Yu, X.C. Effects of non-genetic factors on production traits of Inner Mongolia cashmere goats in China. Small Ruminant Res. 2003, 47, 85–89. [Google Scholar] [CrossRef]
- Haiying, L.; Zhihai, J.; Chunwang, Y. Research of relation between age and production characters of cashmere in Inner Mongolia white cashmere goats. Journal of China Agricultural University 2007, 12, 37–40. [Google Scholar]
- Zhou, J.J.; Tang, P.R.; Wang, Z.X.; Wei, Y.L.; Meng, R.Q.; Wang, Z.Y.; Zhang, W.G.; Zhang, Y.J.; Su, R.; Liu, Z.H.; Wang, R.J.; Li, J.Q. Study on the Variation of Cashmere Yields of Inner Mongolia White Cashmere Goats. China Animal Husbandry and Veterinary Medicine 2013, 40, 169–175. [Google Scholar]
- Ren, J.; Liu, K.K.; Ma, D.; Feng, B.; Zhang, Y. Relationship Between Age and Cashmere Performance of Shanbei White Cashmere Goat. Journal of Animal Science and Veterinary Medicine 2012, 31, 48–50. [Google Scholar]
- Tan, L.; Gao, W.D.; Wei, Q.Y.; Tian, X.E.; Wang, Y.J.; Chen, Y.L. Study on Body Index Changes with Age for Shaanbei White Cashmere Goat. Journal of Domestic Animal Ecology 2012, 33, 35–38. [Google Scholar]
- Dang, S.B.; Wu, Z.Y.; Liu, S.H.; Zhang, W. Effects of lmplantation Melatonin on Cashmere Production Performance of lnner Mongolian Cashmere Goats at Different Ages. Chinese Journal of Animal Science 2019, 55, 107–109+118. [Google Scholar]
- Ma, N.; Li, Y.J.; Song, Y.Q.; Song, X.C. Genetic Parameter Estimates of Follicle Traits in Liaoning Cashmere Goat. Journal of Jilin Agricultural University 2005, 27, 323–327. [Google Scholar]
- Wang, H.B.; Gao, Y.Q. Research progress on the structure of hair follicles on the skin of cashmere goats and their relationship with cashmere production. Journal of Anhui Agricultural Sciences 2008, 36, 12701–12703. [Google Scholar]
- Shi, L.; Qu, L.; Liu, J.W.; Zhu, H.J.; Li, L.P.; Huang, S. Hair Follicle Structure and the Correlation Analysis Between Characteristic Parameters and Cashmere Production Traits in Shanbei White Cashmere Goat. China Animal Husbandry and Veterinary Medicine 2018, 10, 2814–2822. [Google Scholar]
- Zhang, C.L. Periodic Variety of Hair Follicles About Inner Mongolia ARBAS White Cashmere Goats and Characteristic of KAP6 cDNA, Hohhot: Inner Mongolia Agricultural University, 2003.
- Li, Y.R.; Fang, W.B.; Li, C.Q.; Yi, J.; Zhang, Y.J.; Li, J.Q. Histomorphology Research of the Secondary Follicle Cycling of Inner Mongolia Cashmere Goat. Scientia Agricultura Sinica 2008, 11, 3920–3926. [Google Scholar]
- Li, C.Q.; Yin, J.; Zhang, Y.J.; Guo, Z.C.; Zhang, W.G.; Gao, A.Q.; Li, Y.R.; Lai, S.Y.; Li, J.Q. Comparative Study on Ski n and Hair Follicles Cycling bet ween Inner Mongolia and Liaoning Cash mere Goats. Chinese Journal of Animal and Veterinary Sciences 2005, 7, 674–679. [Google Scholar]
- Yang, C.H.; Duan, C.H.; Wu, Z.Y.; Li, Y.; Luan, Y.Y.; Fu, X.; Zhang, C.X.; Zhang, W. Effects of melatonin administration to cashmere goats on cashmere production and hair follicle characteristics in two consecutive cashmere growth cycles. Domest. Anim. Endocrinol. 2021, 74, 106534. [Google Scholar] [CrossRef] [PubMed]
- Zhang, H.; Davies, K.J.; Forman, H.J. Oxidative stress response and Nrf2 signaling in aging. Free Radical. Bio. Med. 2015, 88, 314–336. [Google Scholar]
- Huang, W.Y.; Huang, Y.C.; Huang, K.S.; Chan, C.C.; Chiu, H.Y.; Tsai, R.Y.; Chan, J.Y.; Lin, S.J. Stress-induced premature senescence of dermal papilla cells compromises hair follicle epithelial-mesenchymal interaction. J. Dermatol. Sci. 2017, 86, 114–122. [Google Scholar] [CrossRef] [PubMed]
- Diao, X.; Duan, C.; Yao, L.; Qin, J.; He, L.; Zhang, W. Melatonin Promotes the Development of Secondary Hair Follicles in Adult Cashmere Goats by Activating the Keap1-Nrf2 Signaling Pathway and Inhibiting the Inflammatory Transcription Factors NFκB and AP-1. Int. J. Mol. Sci. 2023, 24, 3403. [Google Scholar] [CrossRef] [PubMed]
- Yang, C.H.; Xu, J.H.; Ren, Q.C.; Duan, T.; Mo, F.; Zhang, W. Melatonin promotes secondary hair follicle development of early postnatal cashmere goat and improves cashmere quantity and quality by enhancing antioxidant capacity and suppressing apoptosis. Journal of Pineal Research 2019, 67, e12569. [Google Scholar] [CrossRef] [PubMed]
- Peterson, A.D.; Gherardi, S.G. Measurement of cashmere yield and mean fibre diameter using the optical fibre diameter analyser. Aust. J. Exp. Agr. 1996, 36, 429–435. [Google Scholar] [CrossRef]
- Nixon, A.J. A method for determining the activity state of hair follicles. Biotech. Histochem. 1993, 68, 316–325. [Google Scholar] [CrossRef]
- Cohen, J. Statistical power analysis for the behavioral sciences. London: Routledge, 2013.
- Zhao, J.; Li, H.; Zhou, R.; Ma, G.; Dekker, J.D.; Tucker, H.O.; Yao, Z.J.; Guo, X. Foxp1 regulates the proliferation of hair follicle stem cells in response to oxidative stress during hair cycling. PLoS One 2015, 10, e0131674. [Google Scholar] [CrossRef]
- Papaccio, F.; D’ Arino, A.; Caputo, S.; Bellei, B. Focus on the contribution of oxidative stress in skin aging. Antioxidants 2022, 11, 1121. [Google Scholar] [CrossRef] [PubMed]
- He, M.C.; Zhang, J.J.; Gao, B.; Shi, F.Y.; Xie, W.Z.; Wang, Y.R. Effect of Birth Type and Age on Main Economic Traits of Longdong Cashmere Goats. Journal of Animal Science and Veterinary Medicine 2019, 38, 14–16. [Google Scholar]
- Feng, P.; Ji, Z.X.; Gao, Y.; Yan, H.L.; Qu, L. Regression analysis of body size, weight, and cashmere production in Shaanbei white cashmere goats. Heilongjiang Animal Science and Veterinary Medicine 2011, 1, 42–44. [Google Scholar]
- Li, J.; Xing, W.; Gegen, T.; Zhang, C.; Ren, Y.; Yang, C. Effect of Fasted Live-Weight Gain during the Cashmere Non-Growing Period on Cashmere Production Performance and Secondary Hair Follicle Activity of Cashmere Goats. Animals 2023, 13, 3519. [Google Scholar] [CrossRef] [PubMed]
- Wang, L.; Peng, L.Q.; Zhang, W.B.; Zhang, Z.Y.; Yang, W.Y.; Ding, L.; Tang, S.M.; Wu, H.Y. Initiation and development of skin follicles in the inner mongolian cashmere got. Acta Veterinaria et Zootechnica Sinica 1996, 27, 524–530. [Google Scholar]
- Sun, H.Z.; Hou, X.Z.; Hong, M. A Study on the Development and Activity Changes of Skin Follicles in Inner Mongolia Albas White Cashmere Goat. Inner Mongolian Journal of Animal Sciences and Pro 1998, 4, 3–6. [Google Scholar]
- Zhang, C.L.; Li, J.Q.; Yin, J.; Zhang, Y.B.; Miao, X. Study on Hair Follicles Periodical Variety in Inner Mongolia Arbas White Cashmere Goats. Chinese Journal of Animal Science 2005, 9, 10–13. [Google Scholar]
- He, M.C.; He, Z.; Zhao, C.Y.; Xu, K.B.; Fang, C.C.; Wang, Y.R.; Li, J.L.; Yang, J.X.; Gou, X.Z. Study on Development of Skin and Hair Follicle in Longdong Cashmere Goat. Journal of Animal Science and Veterinary Medicine 2011, 30, 16–17+21. [Google Scholar]
- Chang, Q. Study on Skin Follicle Morphogenesis, Development and Annual Cycle Changes of Liaoning Cashmere Goats. Changchun: Jilin Agricultural University, 2011.
- Xie, D.X.; Liu, S.H.; Yang, C.H.; Zhang, W. Relationship between Early Production Traits and Cashmere Production Performance at the Age of One Year in Inner Mongolia Cashmere Goats. Chinese Journal of Animal Science 2020, 56, 209–212. [Google Scholar]
- Morinaga, H.; Mohri, Y.; Grachtchouk, M.; Asakawa, K.; Matsumura, H.; Oshima, M.; Takayama, N.; Kato, T.; Nishimori, Y.; Sorimachi, Y. Obesity accelerates hair thinning by stem cell-centric converging mechanisms. Nature 2021, 595, 266–271. [Google Scholar] [CrossRef]
- Peterle, L.; Sanfilippo, S.; Borgia, F.; Cicero, N.; Gangemi, S. Alopecia Areata: A review of the role of oxidative stress, possible biomarkers, and potential novel therapeutic approaches. Antioxidants 2023, 12, 135. [Google Scholar] [CrossRef] [PubMed]
- Li, W.W.; Zhang, W.; Xia, X.H.; Wang, Y.L.; Wang, H.J. Comparative study on renal ischemia-reperfusion in experimental rats of different ages. Journal of North China Coal Medical College 2008, 10, 738–739. [Google Scholar]
- Hou, G. The aging-related oxidative stress status of intervertebral disc in normal aging rats. Guangzhou: Southern Medical University, 2010.
- Öztürk, G.; Akbulut, K.G.; Güney, Ş.; Acuna-Castroviejo, D. Age-related changes in the rat brain mitochondrial antioxidative enzyme ratios: Modulation by melatonin. Exp. Gerontol. 2012, 47, 706–711. [Google Scholar] [CrossRef] [PubMed]
- Zhao, X.J. The effects of oxidative stress and chronic inflammation on the aging of testicular Leydig cells and the underlying mechanisms. Shijiazhuang: Hebei Medical University, 2013.
- Liu, X.T. Attenuation of the Oxidative Stress in the Ovaries of the Aging Laying Chickens. Hangzhou: Zhejiang University, 2018.
- Liu, B. Effects and mechanism of dietary selenium and DHA on improving the quality of meat and egg from aged laying hens. Wuxi: Jiangnan University, 2021.
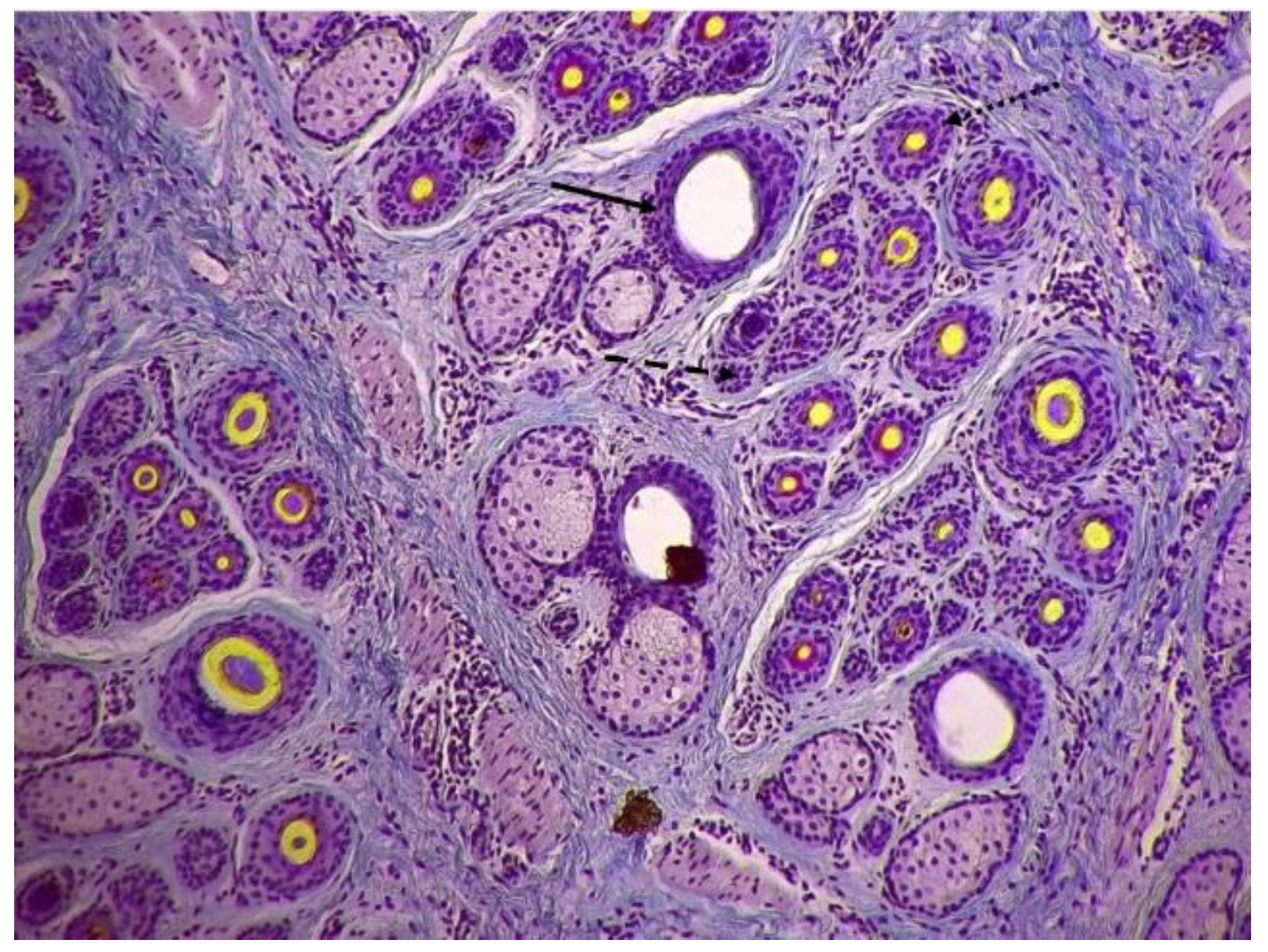
this symbol indicates the inactive secondary hair follicle;
this symbol indicates the active secondary hair follicle.
this symbol indicates the inactive secondary hair follicle;
this symbol indicates the active secondary hair follicle.





| Item | PFDI | PFN | SFDI | SFN | S:P | ASFDI | ASFN | Sf:P | PASF |
|---|---|---|---|---|---|---|---|---|---|
| Cashmere fiber diameter | 0.164 | 0.155 | -0.374 | -0.348 | -0.330 | -0.376 | -0.328 | -0.370 | -0.397 |
| P value | 0.283 | 0.310 | 0.023 | 0.032 | 0.033 | 0.018 | 0.036 | 0.024 | 0.010 |
| Item | ASFDI | ASFN | PASF | Sf:P |
|---|---|---|---|---|
| SOD | 0.462(0.030) | 0.432(0.045) | 0.421(0.051) | 0.594(0.020) |
| GSH-Px | 0.462(0.030) | 0.434(0.044) | 0.456(0.033) | 0.555(0.039) |
| TAOC | 0.412(0.045) | 0.489(0.040) | 0.378(0.069) | 0.556(0.039) |
| MDA | -0.510(0.013) | -0.490(0.018) | -0.445(0.033) | -0.575(0.010) |
Disclaimer/Publisher’s Note: The statements, opinions and data contained in all publications are solely those of the individual author(s) and contributor(s) and not of MDPI and/or the editor(s). MDPI and/or the editor(s) disclaim responsibility for any injury to people or property resulting from any ideas, methods, instructions or products referred to in the content. |
© 2024 by the authors. Licensee MDPI, Basel, Switzerland. This article is an open access article distributed under the terms and conditions of the Creative Commons Attribution (CC BY) license (http://creativecommons.org/licenses/by/4.0/).