Preprint
Review

This version is not peer-reviewed.

Successful Needle Aspiration of a Traumatic Pneumothorax: a Case Report and Literature Review.

A peer-reviewed article of this preprint also exists.

Submitted:

28 February 2024

Posted:

29 February 2024

You are already at the latest version

Abstract
Traumatic pneumothorax (PTX) occurs in up to 50% of patients with severe polytrauma and chest injuries. Patients with traumatic PTX with clinical signs of tension physiology and hemodynamic instability are typically treated with an urgent decompressive thoracostomy, tube thoracostomy, or needle decompression. There is recent evidence that non-breathless patients with hemodynamically stable traumatic PTX can be managed conservatively through observation or a percutaneous pigtail catheter. We present here a 52-year-old woman who presented to the emergency department with 55 mm traumatic PTX. Following aspiration of 1500 ml of air, clinical improvement was immediately observed, allowing the patient to be discharged shortly thereafter. In hemodynamically stable patients with posttraumatic PTX, without specific risk factors or oxygen desaturation, observation or simple needle aspiration can be a reasonable approach. We aimed in this article to review the available literature on needle aspiration and conservative treatment of traumatic pneumothorax. A total of 12 studies were selected out of 190 articles on traumatic PTX, where conservative treatment versus chest tube decompression was compared. Our case report demonstrated that even a large PTX in a hemodynamically stable patient without other risk conditions, can be successfully treated conservatively with simple needle aspiration to avoid tube thoracostomy complications.
Keywords: 
;  ;  ;  ;  ;  

1. Introduction

Traditionally, thoracic injury accounts for approximately 25% of trauma-related mortality, with up to 40–50% of these patients likely to have a pneumothorax (PTX) [1]. PTX is defined as the presence of air in the pleural space, and is broadly classified as spontaneous or non-spontaneous secondary to trauma or iatrogenic. The most common clinical practice is to use chest tubes for traumatic pneumothoraces to prevent further enlargement, that can result in tension physiology and severe hypotension from obstructive shock. In ventilated trauma patients in the pre-hospital setting with impending tension PTX, bilateral finger thoracostomy starting on the side with the suspected tension PTX is a valuable temporary measure followed by definitive tube thoracostomy when the patient arrives in the trauma center and is stabilized.
In patients with a traumatic pneumothorax, current Advanced Trauma Life Support (ATLS) guidelines recommend chest tube placement, with the caveat that asymptomatic patients with small pneumothoraces who are not ventilated may be managed with observation or aspiration at the discretion of the providing physician. While observation and aspiration are both acceptable options accoding to ATLS guidelines, they are considered at risk of inducing a tension pneumothorax [2]. However, chest drain insertion in a traumatic pneumothorax is not without risk and complications such as malpositioning, malfunction and empyema are reported with a frequency ranging from 1 to 25 %. Some severe and potentially fatal complications such as injuries to the heart and great vessels, spleen, liver and perforation of the oesophagus have also been reported [3,4,5]. According to the majority of studies in which patients were conservatively treated, traumatic pneumothoraces were described as “small”, or “minimal”, or “moderate” and chest drains were always used to treat those described as “large”, or “complete”, or “total”. Furthermore, patients with chest blunt trauma have also been reported to experience occult pneumothorax in 7.8% of cases, and in the majority of non-ventilated patients with occult pneumothorax a conservative approach has been reported [6,7]. Although current data on observation versus chest tube placement are conflicting and difficult to interpret due to different patient populations studied [8,9,10], recent studies have suggested that conservative management for patients with traumatic penumothoraces is a possible option for small-moderate traumatic pneuomothoraces, as defined by the 35-millimeter rule, and patients with a PTX less than 35 mm can be treated by initial observation regardless of the mechanism of injury [11]. Some of these patients can benefit from needle aspiration. Nevertheless, in traumatic PTX needle aspiration versus conventional chest tube insertion has never been prospectively evaluated. Only a few prospective randomised controlled trials have been performed comparing conservative and non-conservative management of traumatic pneumothoraces using chest drains. Herein, we present a case of large pneumothorax in a blunt chest trauma patient that resolved with needle aspiration. We aimed also to conduct a systematic review summarizing the existing evidence on needle aspiration in traumatic pneumothorax as well as the available evidence supporting conservative management in traumatic PTX.

2. Case presentation

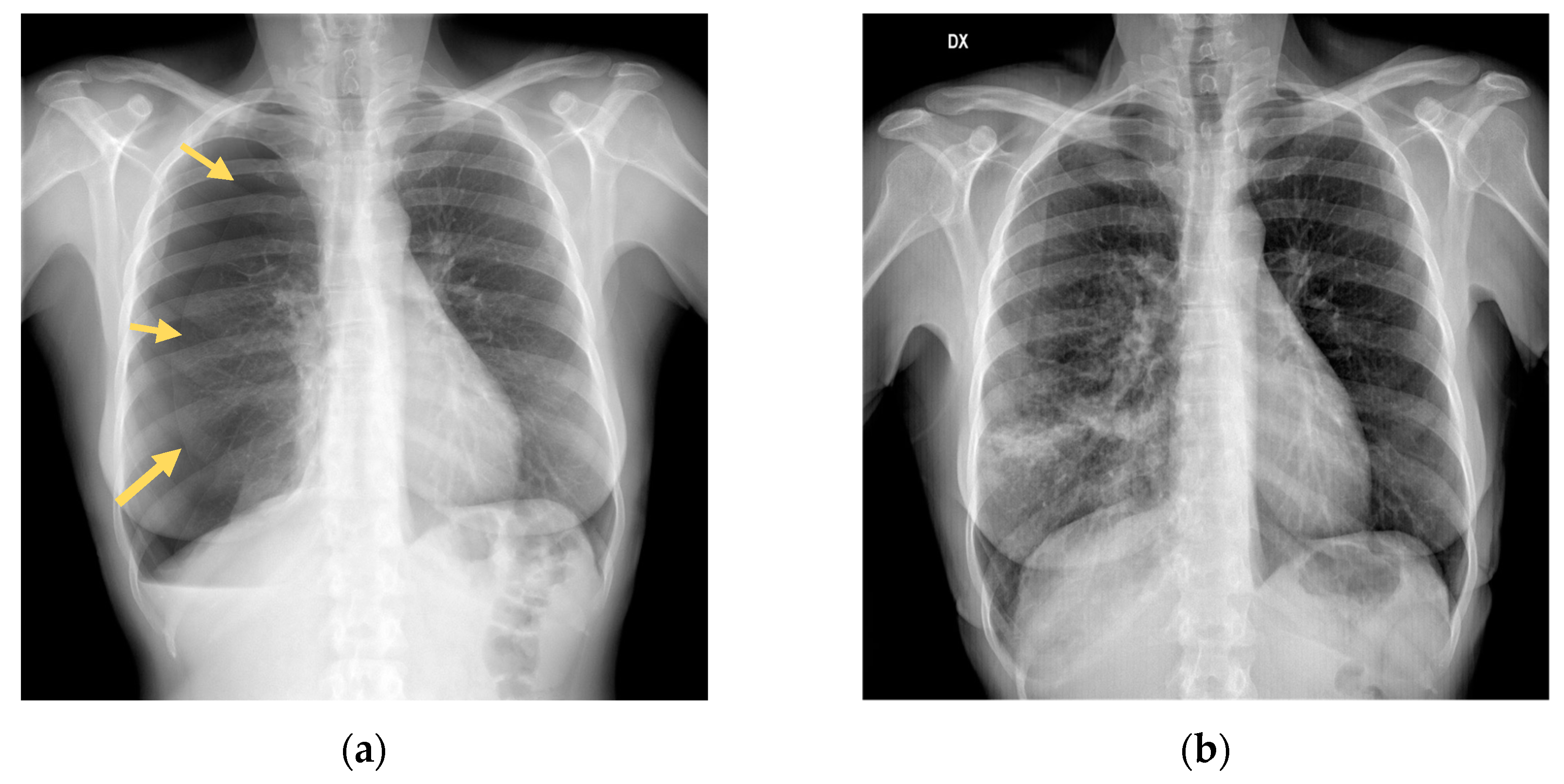
Following a car accident, a 52-year-old Italian woman with no significant past medical or surgical history presented to the local French Emergency Department (ED). Diagnostic workup with chest x-ray and CT revealed one non-displaced rib fracture in her right fifth rib, as well as a right-sided pneumothorax, and fracture of the transverse processes of T11-T12-L1-L2. The patient refused admission despite medical advice to accept hospitalization and returned to Italy, where she immediately presented to our Emergency Department. She complained of pain in her right chest and tenderness on palpation of the dorsal spine (Visual Analog Scale score 6). A repeated chest x-ray revealed a right-sided pneumothorax measuring 55 mm. (Figure 1a). The patient’s blood pressure was 135/86, her heart rate was 71/minute; she was eupneic with a respiratory rate of 18/min with an oxygen saturation of 96%. We decided to perform needle aspiration after multidisciplinary discussions with our trauma surgeons. A 14 Fr cannula was inserted under local anaesthesia in the second intercostal space near the midclavicular line in a sterile field. A total of 1500 ml of air was aspirated. The patient was admitted to our medical unit for close observation. Serial chest x-rays performed on day-1 and 2 demonstrated a significant reduction in pneumothorax size. (Figure 1b). The patient was discharged after 4 days with a chest x-ray showing a 5 mm right pneumothorax. Follow-up at 10 days by chest x-ray showed complete resolution of the pneumothorax flap.

3. Materials and Methods

Research methodology

This literature review adheres to the Preferred Reporting Items for Systematic Reviews and Meta-Analysis (PRISMA) guidelines (see Figure 2, PRISMA flow chart diagram). The search was conducted across three databases, including Metacrawler, PubMed, and EMBASE from January 1976 to October 2023. Our search employed the following MeSH terms, including “Pneumothorax” AND “Truama” AND “Conservative Management”.
A preliminary review registration in PROSPERO database was considered unnecessary due to scarcity of data due to the limited number of articles available on the subject with only a few controlled prospective trials making a meta-analysis impossible.
To ensure that only articles dealing with conservative management of pneumothorax secondary to trauma were included in this review, we meticulously removed duplicate data entries. Additionally, we excluded all articles that did not include all three MeSH terms. Only peer-reviewed English articles were considered.

Technical details of pneumothorax needle aspiration

The following equipment is usually required for pneumothorax needle aspiration: sterile drapes, sterile gauzes and gloves, antiseptic solution (e.g., 2% chlorhexadine), 5-10 mls of 1% or 2% lidocaine, 5 ml of physiological solution, 10 ml syringe (x2), 16-18-gauge cannula (or a specific device for needle aspiration), 3-way tap, extension cable, 50 ml Luer-Lock syringe.
Ideally, the patient should lie supine with the trunk raised 15 degrees. In supine patients, the air can be suctioned out from the second intercostal space above the rib to avoid the neurovascular bundle. An ultrasound check with linear probe could be useful to exclude the presence of anatomical variants of mammary artery, which usually is located more medially. The skin and subcutaneous tissues are injected with lidocaine using a 10 ml syringe. When air is aspirated then the pleural space is reached. The pleural space is then infiltrated and the needle is retracted while infiltrating the superficial planes. A 16 or 18 Gauge cannula is then connected to another 10 ml syringe containing 5 ml of physiological solution (if there are no specific needle aspiration devices) and insert it at 90 degrees. Advance a few millimeters and remove the needle, leaving the plastic sheath behind. Being cautious not to kink it, connect the cannula to the extension cable, the 3-way tap and the 50 ml Luer-Lock syringe and start to aspirate counting how many mls of air are suctioned (use the 3-way tap to throw the aspirated air into the environment) until resistance is felt. Once this is done, retract the cannula a little bit and continue aspirating and counting. As soon as there is no more air to suction, remove the cannula and apply the dressing. When more than 2.5 liters of air (50 syringes) are aspirated, the procedure is considered failed.

4. Results

As a result of our search, we found 190 articles using the 3 MeSH terms “Pneumothorax” AND “Trauma” AND “Conservative Management”. However, 178 papers were excluded for the following reasons: 1) The articles did not address traumatic pneumothoraces and conservative management simultaneously, 2) the articles were linked to other severe injuries, including vascular, abdominal, and tracheobronchial, 3) the articles were referred to penetrating types of chest injuries, 4) the articles were referred to iatrogenic injuries. A meticulous analysis was conducted of 22 relevant publications evaluating conservative treatment for patients with traumatic PTX. We selected 12 articles [12,13,14,15,16,17,18,19,20,21,22,23] where needle aspiration was also discussed as a conservative treatment option. We summarized all data extracted from these 12 studies in Table 1, which includes the first author, the year of publication, the study reference, patient groups, study type, outcomes, and study weaknesses.

5. Discussion

Despite conservative management and needle aspiration of spontaneous pneumothorax was described 58 years ago [24] in some patients without hospital admission, a practice originally suggested by the experience with artificial pneumothorax when treating pulmonary tuberculosis, conservative management of traumatic PTX is a relatively recent treatment option.
Traumatic PTX can commonly be seen in severe traumatized patients with blunt chest trauma following motor vehicle collisions. A pneumothorax is diagnosed with a combination of physical exam findings and imaging. Most patients’ primary complaint is shortness of breath, due to pain during inspiration, usually caused by a fractured rib.
Traditionally, traumatic PTXs are managed with chest tubes, but several studies have questioned if conservative management can also be utilized in selected patients. The 10th edition of ATLS: Advanced Trauma Life Support states that “any traumatic PTX is best treated with a chest tube.” because of the possibility of the development of a tension pneumothorax.
Although the same guidelines state that a physician can observe occult PTXs, they do not provide precise guidelines regarding size or other parameters [2]. Although effective, chest tubes are invasive procedures associated with increased morbidity, extended hospital stays, and complications ranging from malpositioning, infection, re-expansion pulmonary edema and many other life-threatening complications such as cardiovascular, spleen, liver and esophageal injuries.
Although trauma physicians can accurately detect traumatic pneumothoraxes with chest x-rays, an eFAST (extended Focused Assessment with Sonography in Trauma) has become the mainstay in the initial assessment of trauma patients. The advent of CT imaging has increased the identification of occult PTXs, defined as a PTX detected on CT but not suspected on clinical evaluation or chest x-rays. This increased sensitivity has led surgeons to question whether tube decompression is really necessary for small PTXs and some Authors have suggested that this CT finding of occult PTX does not impact patient outcome, and therefore no treatment can be necessary other than a period of observation [7,13,14].
Recent studies have confirmed that hemodynamically stable patients with small PTXs can be observed. Mahmood et al. [7] examined blunt trauma patients with occult PTX and, among the 85% managed conservatively (no tube thoracostomy), 3.9% eventually required chest tube placement in the course of their hospital care.
In 2019, Eddine BZS and Coll [11] developed the “35-mm rule,” providing evidence that observation can be safe for the management of PTXs < 35 mm on CT scan imaging. This retrospective study looked at 288 patients with blunt and penetrating trumatic PTX < 35 mm. Sizing was performed by measuring the distance between the parietal and visceral pleura in the largest air pocket. In the same study, 257 patients (89.0%) were successfully monitored until discharge. Although the 35-mm rule was limited to patients requiring CT scans, there was general agreement that some sort of objective measurement of the pneumothorax should be used to guide decisions.
Another retrospective observational study on 602 patients [17] reviewed the prospectively collected Trauma Audit and Research Network (TARN) database to identify patients with traumatic pneumothoraces. Investigators used multivariable Cox regression analysis to determine which factors were independently predictive of failure of conservative management. Demographic, injury, management, and pneumothorax characteristics were obtained from the database, with pneumothorax size determined by chest radiograph and CT imaging. From a total of 602 patients with traumatic pneumothorax identified from the database, 277 (46%) were initially managed conservatively without needle decompression, chest tube insertion, or chest surgery. Of the 277 patients managed conservatively, 252 (90%) did not require subsequent intervention, including the majority (56/62, 90%) of patients requiring positive pressure ventilation (PPV). There was no difference in the risk of failure of conservative treatment between ventilated and non-ventilated patients. Failure of conservative management was not predicted by initial size of pneumothorax, injury severity score (ISS), presence of rib fractures or bilateral versus unilateral pneumothoraces. Hemothorax (>2cm) alone predicted failure of conservative treatment. In the same study the authors concluded that, when deemed clinically safe by the treating physician, the majority of conservatively managed patients with traumatic pneumothorax can be successfully treated without need for a chest drain, regardless of ventilatory status [17].
Authors acknowledge that their study lacked a high percentage of penetrating chest wall injuries (5%), possibly affecting generalizability and due to the retrospective nature without a control group over decision to intervene, the implications of this study should be cautiously accepted. However, based on these two large retrospective studies [11,17] there seems to be a clear shift toward a more conservative approach to the management of traumatic PTX. In addition, several RCTs and a Cochrane [25] study have become available in patients with a first spontaneous PTX supporting aspiration rather than a chest tube or small catheter thoracostomy. These RCTs have shown elevated efficacy rates, shorter hospital stays, and fewer complications in patients with primary spontaneous pneumothorax using aspiration as initial treatment despite an immediate success rate for chest tube insertion being observed, but with a longer hospital stay.
Despite this growing consensus on conservative management of small traumatic PTXs, there are no specific indications for conservative management in hemodynamically stable patients with significant traumatic PTXs. In consideration of the previous studies, we concluded that simple needle aspiration could be appropriate for our patient with significant PTX, in hemodynamically stable conditions after more than 12 hours from the car accident. An additional consideration in this decision was the multidisciplinary discussion with trauma team surgeons who also recommended a conservative strategy with needle aspiration as the first approach.
It is important to note that our case report does not provide direct evidence that traumatic pneumothoraces should be managed conservatively, but rather that those pneumothoraces deemed safe for conservative management by the treating physician have a low risk of requiring subsequent interventions.
To the best of our knowledge, our case report is the first reported case in the literature of a patient with a large traumatic pneumothorax with complete resolution after needle aspiration.
We would like to acknowledge some limitations of our systematic review by addressing some points which can provide a comprehensive understanding of the research landscape in traumatic pneumothorax. Limitations of this review may be attributed to the inclusion criteria and search strings selected for this review. These criteria limit the inclusion of other potentially relevant research. There could be several reasons why a relatively small number of articles (twelve) specifically address conservative management in patients with traumatic pneumothorax. Difficulties conducting prospective comparative studies in trauma settings can be challenging due to the urgency and severity of cases since ethical considerations, patient consent, and logistical issues may restrict the number of high-quality prospective studies in this field. The limited literature and unique characteristics of the subject matter required flexibility in the review process. For this reason, we avoided a preliminary registration in the PROSPERO database. This is usually an excellent tool to prevent review duplication and bias. However, a preliminary review registration could not accommodate the dynamic nature of ongoing reviews on some emerging topics where data scarcity exists. We aimed to minimize biases by adhering to a transparent and replicable methodology, thus enhancing our review’s reliability and validity. We also tried to systematically search and screen all relevant articles, extracted data using predefined criteria synthesizing the findings in a structured manner. While recognizing the limitations, which we have acknowledged and discussed thoroughly, we are confident that our review can meet the criteria of a systematic review. This is based on the defined methodology and adherence to PRISMA guidelines.
Modern management of traumatic PTX is shifting toward more conservative management practices (smaller catheters or observation) [26,27,28]. The traditional mantra calling for large-bore chest tubes as first-line approaches to traumatic PTX is challenged by recent literature demonstrating that pigtail catheters can be equally efficacious alternatives. For these reasons, it is reasonable to adopt a noninvasive approach with observation or needle aspiration for patients in stable conditions under the assumption that trauma patients may benefit from this shift because it reduces their length of stay, complications, and pain.

6. Conclusions

Our review of conservative management comparing needle aspiration and tube thoracostomy for traumatic pneumothorax highlights the nuanced considerations involved in selecting the most appropriate intervention. The simple needle aspiration procedure appears to be a viable and safe alternative, particularly in non-ventilated or non-positive pressure ventilated patients, when hemodynamics remain stable, dyspnea is not present, and there are no other risk factors for chronic lung diseases underlying. To mitigate potential complications associated with tube thoracostomy, a patient-centric approach should be utilized in the management of a traumatic pneumothorax, favoring needle aspiration in select cases as a possible therapeutic option.

Author Contributions

Conceptualization: GB, PA, MA, SPBC, SG; methodology: SG, DF, MC, LB; formal analysis: PA, SC, SG; investigation: LB, DF, MC; data curation MC, LB, DF; original draft preparation GB, PA; writing—review and editing: PA, GB; supervision SC, SG. All authors have read and agreed to the published version of the manuscript.”

Funding

This research received no external funding.

Institutional Review Board Statement

Not applicable.

Informed Consent Statement

The case report contains no identifiable information, ensuring the complete anonymity of the patient and the clinical data are reported in the absence of identifiable information.

Data Availability Statement

Not applicable.

Conflicts of Interest

The authors declare no conflict of interest.

References

  1. Baumann, M.H.; Noppen, M. Pneumothorax. Respirology 2004, 9, 157–164. [Google Scholar] [CrossRef] [PubMed]
  2. American College of Surgeons. Committee on Trauma. ATLS: Advanced Trauma and Life Support. 10th Edition Student Course Manual, Chicago, IL, 2018. ISBN:9780996826235, 0996826238.
  3. Daly, R.C.; Mucha, P.; Pairolero, P.C.; Famell, M.B. The risk of percutaneous chest tube thoracostomy for blunt thoracic trauma. Ann Emerg Med 1985, 14, 865–870. [Google Scholar] [CrossRef] [PubMed]
  4. Kesieme EB; Dongo A; Ezemba N; Irekpita E; Jebbin N; Kesieme C. Tube thoracostomy: complications and its management. Pulm Med. 2012, 2012:256878. doi: 10.1155/2012/256878. Epub 2011 Oct 16. PMID: 22028963; PMCID: PMC3195434. [CrossRef]
  5. Menger R; Telford G, Kim P; Bergey MR; Foreman J; Sarani B; Pascual J; Reilly P; Schwab CW; Sims CA. Complications following thoracic trauma managed with tube thoracostomy. Injury 2012, 43, 46–50. [Google Scholar] [CrossRef] [PubMed]
  6. Wall, S.D.; Federle, M.P.; Jeffrey, R.B.; Brett, C.M. CT diagnosis of unsuspected pneumothorax after blunt abdominal trauma. AJR Am J Roentgenol. 1983, 141, 919–921. [Google Scholar] [CrossRef] [PubMed]
  7. Mahmood I; Younis B; Ahmed K; Mustafa F; El-Menyar A; Alabdallat M; Parchani A; Peralta R; Nabir S; Ahmed N; Al-Thani H. Occult pneumothorax in patients presenting with blunt chest trauma: an observational analysis. Qatar Med J. 2020, 2020(1):10. doi: 10.5339/qmj.2020.10. PMID: 32206592; PMCID: PMC7075257. [CrossRef]
  8. Zarogoulidis P; Kioumis I; Pitsiou G; Porpodis K; Lampaki S; Papaiwannou A; Katsikogiannis N; Zaric B; Branislav P; Secen N; Dryllis G; Machairiotis N; Rapti A; Zarogoulidis K. Pneumothorax: from definition to diagnosis and treatment. J Thorac Dis. 2014, Oct; 6 (Suppl 4): S372-6. doi: 10.3978/j.issn.2072-1439.2014.09.24. PMID: 25337391; PMCID: PMC4203989. [CrossRef]
  9. Tanizaki S; Maeda S; Sera M; Nagai H; Hayashi M; Azuma H; Kano KI; Watanabe H; Ishida H. Small tube thoracostomy (20-22 Fr) in emergent management of chest trauma. Injury 2017, 48,1884-1887. Epub 2017 Jun 23. PMID: 28673640. Injury. [CrossRef]
  10. Sahota H; Hinton J; Worley E; Milner A; Kay E; Badger S. A critical appraisal on whether a traumatic pneumothorax should be managed conservatively. Clin Med (Lond). 2016, Jun 1;16 Suppl 3(Suppl 3):s35. PMID: 27252339; PMCID: PMC4989954. [CrossRef]
  11. Eddine BZS; Boyle KA; Dodgion CM; Davis CS; Webb TP; Juern JS; Milia DJ; Carver TW; Beckman MA; Codner PA; Trevino C; de Moya MA. Observing pneumothoraces: the 35-millimeter rule is safe for both blunt and penetrating chest trauma. J Trauma Acute Care Surg. 2019, 86, 557–864 [CrossRef]
  12. Johnson, G. Traumatic pneumothorax: is a chest drain always necessary? Journal of accident & emergency medicine. [CrossRef]
  13. Banks KC; Mooney CM; Mazzolini K; Browder TD; Victorino GP. Comparison of outcomes between observation and tube thoracostomy for small traumatic pneumothoraces. Am J Emerg Med. 2023, 66, 36–39. [Google Scholar] [CrossRef] [PubMed]
  14. Partyka C; Lawrie K; Bliss J. Clinical outcomes of traumatic pneumothoraces undergoing conservative management following detection by prehospital physicians. Injury 2023, 54:110886. Injury. [CrossRef] [PubMed]
  15. Anderson DE; Kocik VI; Rizzo JA; Fisher AD; Mould-Millman NK; April MD; Schauer SG. A Narrative Review of Traumatic Pneumothorax Diagnoses and Management. Med J (Ft Sam Houst Tex), 2023, Jan- Mar;(Per 23-1/2/3):3-10. PMID: 36607292. [PubMed]
  16. Mattila S; Laustela E; Tala P. Penetrating and perforating thoracic injuries. Scand J Thorac Cardiovasc Surg.1981;15:105-10. PMID: 7268332. [CrossRef] [PubMed]
  17. Walker SP; Barratt SL; Thompson J; Maskell NA. Conservative Management In Traumatic Pneumothoraces: An Observational Study. Chest. 2018; 153(4):946-953. [CrossRef]
  18. Ramirez MAG; Delos Santos NC; Doble FC; Baltazar EA; Talens ES, De Castro EC; Baquir ATD. Comparative study between manual aspiration and closed tube thoracostomy in the management of pneumothorax secondary to trauma: A prospective randomized control trial done in a tertiary hospital specialized in trauma. J. Am Coll Surg. 2012, 215 (3):p S100-S101. [CrossRef]
  19. Kirkpatrick AW; Rizoli S; Ouellet JF; Roberts DJ; Sirois M; Ball CG; Xiao ZJ; Tiruta C; Meade M; Trottier V; Zhu G; Chagnon F; Tien H. Canadian Trauma Trials Collaborative and the Research Committee of the Trauma Association of Canada. Occult pneumothoraces in critical care: a prospective multicenter randomized controlled trial of pleural drainage for mechanically ventilated trauma patients with occult pneumothoraces. J Trauma Acute Care Surg. 2013 74, 747-54; discussion 754-5. [CrossRef] [PubMed]
  20. Obeid FN; Shapiro MJ; Richardson HH; Horst HM; Bivins BA. Catheter aspiration for simple pneumothorax (CASP) in the outpatient management of simple traumatic pneumothorax. J Trauma 1985, 25, 882-6. PMID: 4032514. [CrossRef] [PubMed]
  21. Panjwani, A. Panjwani A. Management of pneumothorax with oxygen therapy: a case series. Chest Disease Reports 2017, 7(1). [CrossRef]
  22. Delius RE; Obeid FN; Horst HM; Sorensen VJ; Fath JJ; Bivins BA. Catheter aspiration for simple pneumothorax. Experience with 114 patients. Arch Surg. 1989, 124, 833-6. PMID: 2742485. [CrossRef]
  23. Tran J; Haussner ; Shah K. Traumatic Pneumothorax: A Review of Current Diagnostic Practices And Evolving Management. J Emerg Med. 2021, 61(5):517-528. Epub 2021 Aug 29. PMID: 34470716. [CrossRef] [PubMed]
  24. Stradling P; Poole G. Conservative management of spontaneous pneumothorax. Thorax 1966, 21:145-149. PMID: 5935842; PMCID: PMC1019017. [CrossRef]
  25. Carson-Chahoud KV; Wakai A; van Agteren JE; Smith BJ, McCabe G, Brinn MP, O'Sullivan R. Simple aspiration versus intercostal tube drainage for primary spontaneous pneumothorax in adults. Cochrane Database Syst Rev. 2017;9: CD004479. PMID: 28881006; PMCID: PMC6483783. [CrossRef]
  26. Gerhardy BC; Liebenberg P; Simpson G. Conservative management of traumatic pneumothoraces: A retrospective cohort study. Emerg Med Australas. 2022,34:194-198. Epub 2021 Aug 25. PMID: 34433229. [CrossRef] [PubMed]
  27. Shah K, Tran J; Schmidt L. Traumatic pneumothorax: updates in diagnosis and management in the emergency department. Emerg Med Pract. 2022 15;25(5, Suppl 1):1-28. PMID: 35467819. [PubMed]
  28. Foley J, Walker S; Carlton E. Large-bore versus small-bore chest drains in traumatic haemopneumothorax: an international survey of current practice. Emerg Med J. 2023, 40:651-652. [CrossRef] [PubMed]
Figure 1. a) Initial chest X-ray shows a right pneumothorax of 55 mm; (b) Chest X ray evaluation, after needle aspiration, shows expansion of lung parenchyma with reduction of pneumothorax.
Figure 1. a) Initial chest X-ray shows a right pneumothorax of 55 mm; (b) Chest X ray evaluation, after needle aspiration, shows expansion of lung parenchyma with reduction of pneumothorax.
Preprints 100122 g001
Figure 2. PRISMA flow chart diagram.
Figure 2. PRISMA flow chart diagram.
Preprints 100122 g002
Table 1. Data of twelve selected papers [12,13,14,15,16,17,18,19,20,21,22,23] on conservative management of PTX are summarized in the table, including the first author, the year of publication, study reference, patient groups, type of study, and outcomes. (LOS: length of stay, RCT: randomized clinical trial; RD respiratory distress).
Table 1. Data of twelve selected papers [12,13,14,15,16,17,18,19,20,21,22,23] on conservative management of PTX are summarized in the table, including the first author, the year of publication, study reference, patient groups, type of study, and outcomes. (LOS: length of stay, RCT: randomized clinical trial; RD respiratory distress).
Preprints 100122 i001
Disclaimer/Publisher’s Note: The statements, opinions and data contained in all publications are solely those of the individual author(s) and contributor(s) and not of MDPI and/or the editor(s). MDPI and/or the editor(s) disclaim responsibility for any injury to people or property resulting from any ideas, methods, instructions or products referred to in the content.
Copyright: This open access article is published under a Creative Commons CC BY 4.0 license, which permit the free download, distribution, and reuse, provided that the author and preprint are cited in any reuse.
Prerpints.org logo

Preprints.org is a free preprint server supported by MDPI in Basel, Switzerland.

Subscribe

Disclaimer

Terms of Use

Privacy Policy

Privacy Settings

© 2026 MDPI (Basel, Switzerland) unless otherwise stated