Submitted:
26 February 2024
Posted:
27 February 2024
You are already at the latest version
Abstract
Keywords:
1. Introduction
2. Genetic Mutations in Follicular Cell-Derived Tumors (FDN)
2.1. Revision of the Framework for Benign Lesions
2.2. Low-Risk Tumors
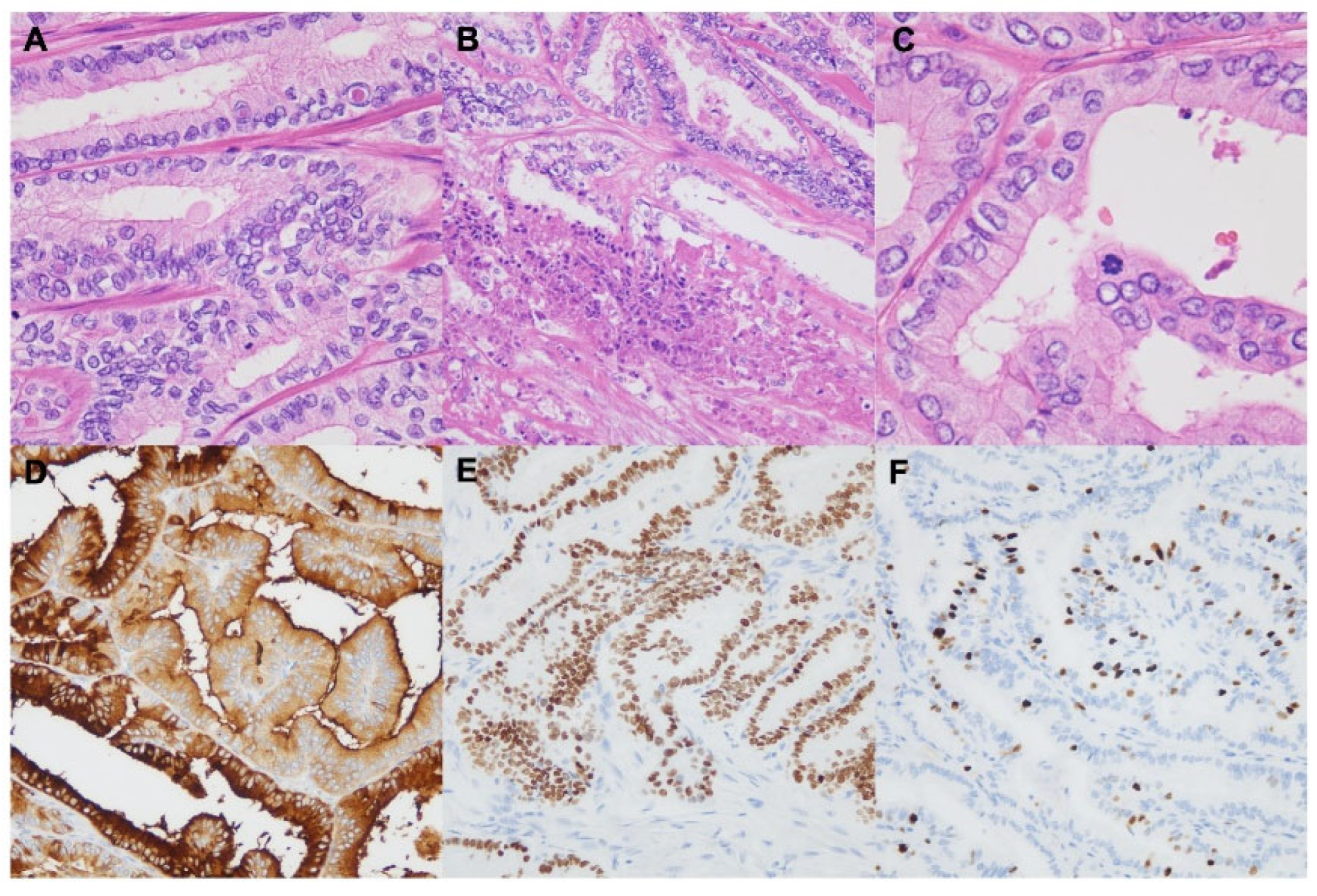
2.3. Subtypes of PTC
2.4. High-Grade Carcinomas
2.5. Changes in the Definition of Anaplastic Thyroid Carcinoma (ATC)
2.6. Oncocytic Adenoma and Carcinoma
2.7. Other Tumors
3. Diagnostic Procedure According to WHO 5th
4. Conclusions
Acknowledgments
Disclosure
References
- The Japan Endocrine Surgery Society and The Japanese Society of Thyroid Pathology, eds. Japanese Society of Endocrine Surgery and Japanese Society of Thyroid Pathology ed. Kanehara Publishing. 2019.
- Lloyd RV, Osamura RY, Klöppel G, et al.: WHO classification of Tumours of Endocrine Organs (4th edition). IARC, Lyon. 2017.
- Asa SL, Baloch ZW, de Krijger RR et al: WHO classification of Tumours of Endocrine Organs (5th edition) [Internet]. IARC, Lyon. 2022.
- Baloch ZW, Asa SL, Barletta JA, et al.: Overview of the 2022 WHO Classification of Thyroid Neoplasms. Endocr Pathol 2022, 33, 27–63. [CrossRef] [PubMed]
- Nikiforov YE, Biddinger PW, Thompson LDR.: Diagnostic pathology and molecular genetics of the thyroid. Wolters Kluwer. 3rd edition. 2020; 347–387.
- The Cancer Genome Atlas Research Network: integrated genomic characterization of papillary thyroid carcinoma. Cell 2014, 159, 676. [CrossRef] [PubMed]
- Palos-Paz F, Perez-Guerra O, Cameselle-Teijeiro J, et al.: Prevalence of mutations in TSHR, GNAS, PRKAR1A and RAS genes in a large series of toxic. Eur J Endocrinol 2008, 159, 623. [CrossRef] [PubMed]
- Ye L, Zhou X, Huan F, et al.: The genetic landscape of benign thyroid nodules revealed by whole exome and transcriptome sequencing. Nat Commun 2017, 8, 15533. [CrossRef] [PubMed]
- Nikiforov YE, Seethala RR, Tallini G, et al.: Nomenclature Revision for Encapsulated Follicular Variant of Papillary Thyroid Carcinoma: A Paradigm Shift to Reduce Over- treatment of Indolent Tumors. JAMA Oncol 2016, 2, 1023. [CrossRef] [PubMed]
- Carney JA, Ryan J, Goellner JR.: Hyalinizing trabecular adenoma of the thyroid gland. Am J Surg Pathol 1987, 11, 583–591.
- Carney JA, Hirokawa M, Lloyd RV, et al: Hyalinizing trabecular tumors of the thyroid gland are almost all benign. Am J Surg Pathol 2008, 32, 1877–1889. [CrossRef] [PubMed]
- Nikiforova MN, Nikitski AV, Panebianco F, et al.: GLIS rearrangement is a genomic hallmark of hyalinizing trabecular tumors of the thyroid gland. Thyroid 2019, 29, 161–173. [CrossRef] [PubMed]
- Vuong HG, Kondo T, Pham TQ, et al.: Prognostic significance of diffuse sclerosing variant papillary thyroid carcinoma: a systematic review and meta- analysis. eur J Endocrinol 2017, 176, 433–441. [CrossRef] [PubMed]
- Volante M, Collini P, Nikiforov YE, et al: Poorly differentiated thyroid carcinoma: the Turin proposal for the use of uniform diagnostic criteria and an algorithmic diagnostic approach. Am J Surg Pathol 2007, 31, 1256–1264. [CrossRef] [PubMed]
- Ito Y, Hirokawa M, Fukushima M, et al: Prevalence and prognostic significance of poor differentiation and tall cell variant in papillary carcinoma. World J Surg 2008, 32, 1535–1543. [CrossRef] [PubMed]
- Alzumaili B, Xu B, Spanheimer PM, et al.: Grading of medullary thyroid carcinoma on the basis of tumor necrosis and high mitotic rate is an independent. Mod Pathol 2020, 33, 1690–1701. [CrossRef] [PubMed]
- Fuchs TL, Nassour AJ, Glover A, et al.: A Proposed Grading Scheme for Medullary Thyroid Carcinoma Based on Proliferative Activity (Ki-67 and Mitotic. Am J Surg Pathol 2020, 44, 1419–1428. [CrossRef] [PubMed]
- Kure S and Ohashi R. Thyroid Hurthle Cell Carcinoma: Clinical, Pathological, and Molecular Features.
- Ganly I, Makarov V, Deraje S, et al.: Integrated Genomic Analysis of Hürthle Cell Cancer Reveals Oncogenic Drivers, Recurrent Mitochondrial Mutations, and Unique Chromosomal Landscapes. Cancer Cell 2018, 34, 256–270. [CrossRef]




![]() |
![]() |
![]() |
Disclaimer/Publisher’s Note: The statements, opinions and data contained in all publications are solely those of the individual author(s) and contributor(s) and not of MDPI and/or the editor(s). MDPI and/or the editor(s) disclaim responsibility for any injury to people or property resulting from any ideas, methods, instructions or products referred to in the content. |
© 2024 by the authors. Licensee MDPI, Basel, Switzerland. This article is an open access article distributed under the terms and conditions of the Creative Commons Attribution (CC BY) license (http://creativecommons.org/licenses/by/4.0/).


