Submitted:
19 October 2023
Posted:
25 October 2023
You are already at the latest version
Abstract
Keywords:
1. Introduction
2. Photon-Counting Detector – Technical Considerations
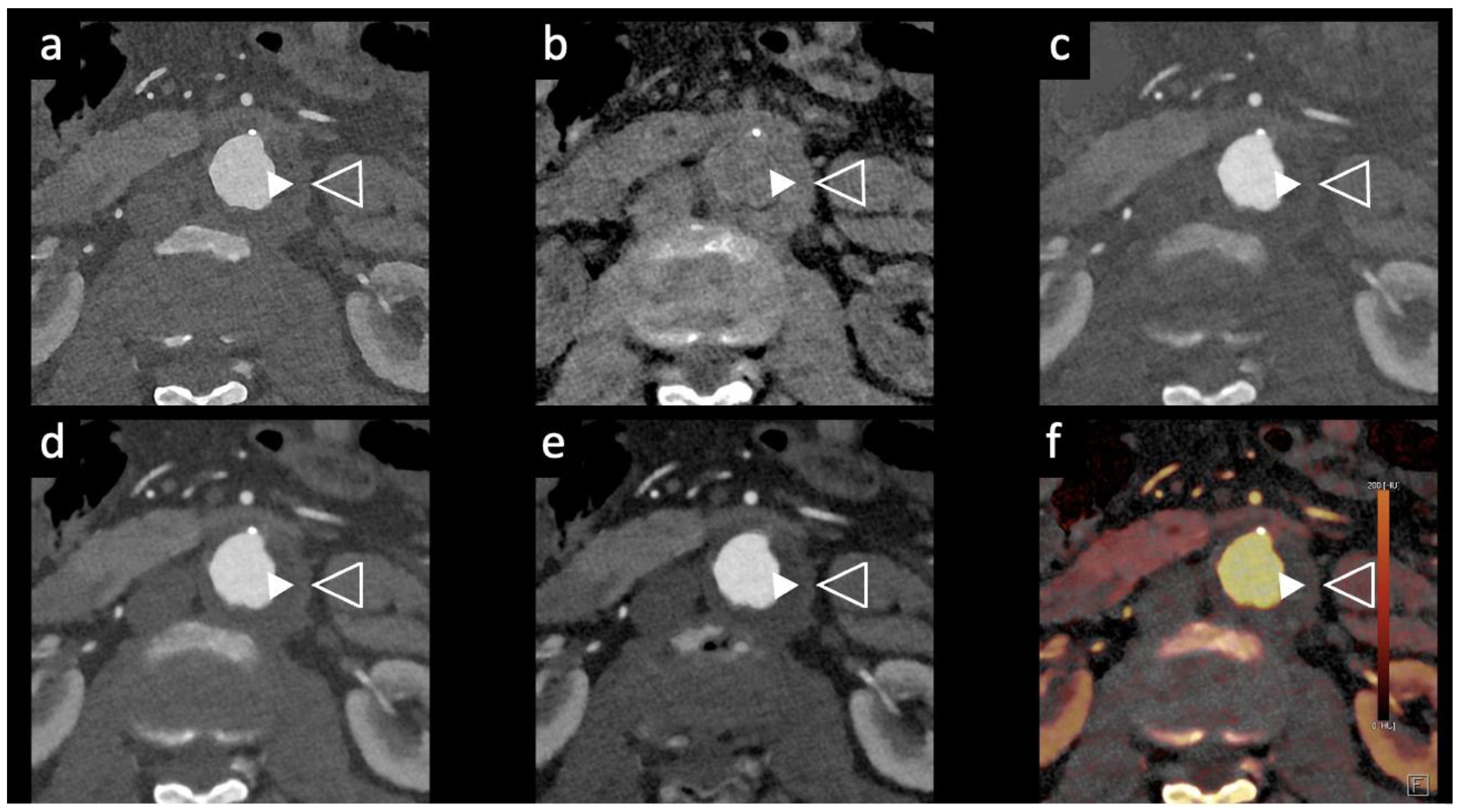
3. Photon-Counting CT - Endoleaks Detection
4. Photon Counting CT Aortic Imaging: Radiation Dose and Contrast Volume Reduction
5. Conclusions and Future Directions
Key Points
- Compared with conventional CT, PCCT has potential advantages in cardiovascular imaging, including improved image quality, reduced artifacts, and lower radiation doses.
- PCCT can improve endoleak detection and characterization after EVAR with reduced radiation exposure using bicolor K-edge imaging and dual contrast agents.
- Low-volume protocols in PCCT can minimize the contrast agent volume, benefiting patients with CKD and those requiring frequent CT imaging.
- Virtual monoenergetic images at optimal energy levels improve contrast-to-noise ratios, resulting in higher image quality and reduced contrast-related risk.
Glossary
| AAA | abdominal aortic aneurysm |
| CAD | coronary artery disease |
| CNR | contrast-to-noise ratio |
| CTA | computed tomography angiography |
| EID | energy-integrating detector |
| ELs | Endoleaks |
| EVAR | Endovascular Aortic Repair |
| PCCT | Photon-Counting CT PCD = Photon-Counting Detector |
| TNC | True Non-Contrast; VMI =Virtual monoenergetic images |
| VNI | Virtual Non-Iodine image |
References
- Pepe, A.; Crimì, F.; Vernuccio, F.; Cabrelle, G.; Lupi, A.; Zanon, C.; Gambato, S.; Perazzolo, A.; Quaia, E. Medical Radiology: Current Progress. Diagnostics 2023, 13 (14), 2439. [CrossRef]
- Meloni, A.; Frijia, F.; Panetta, D.; Degiorgi, G.; De Gori, C.; Maffei, E.; Clemente, A.; Positano, V.; Cademartiri, F. Photon-Counting Computed Tomography (PCCT): Technical Background and Cardio-Vascular Applications. Diagnostics 2023, 13 (4), 645. [CrossRef]
- Zsarnóczay, E.; Varga-Szemes, A.; Emrich, T.; Szilveszter, B.; van der Werf, N. R.; Mastrodicasa, D.; Maurovich-Horvat, P.; Willemink, M. J. Characterizing the Heart and the Myocardium With Photon-Counting CT. Invest Radiol 2023, 58 (7), 505–514. [CrossRef]
- Mastrodicasa, D.; Aquino, G. J.; Ordovas, K. G.; Vargas, D.; Fleischmann, D.; Abbara, S.; Hanneman, K. Radiology: Cardiothoracic Imaging Highlights 2022. Radiol Cardiothorac Imaging 2023, 5 (3). [CrossRef]
- Rajagopal, J. R.; Farhadi, F.; Richards, T.; Nikpanah, M.; Sahbaee, P.; Shanbhag, S. M.; Bandettini, W. P.; Saboury, B.; Malayeri, A. A.; Pritchard, W. F.; Jones, E. C.; Samei, E.; Chen, M. Y. Evaluation of Coronary Plaques and Stents with Conventional and Photon-Counting CT: Benefits of High-Resolution Photon-Counting CT. Radiol Cardiothorac Imaging 2021, 3 (5). [CrossRef]
- Turrion Gomollon, A. M.; Mergen, V.; Sartoretti, T.; Polacin, M.; Nakhostin, D.; Puippe, G.; Alkadhi, H.; Euler, A. Photon-Counting Detector CT Angiography for Endoleak Detection After Endovascular Aortic Repair. Invest Radiol 2023. [CrossRef]
- Dangelmaier, J.; Bar-Ness, D.; Daerr, H.; Muenzel, D.; Si-Mohamed, S.; Ehn, S.; Fingerle, A. A.; Kimm, M. A.; Kopp, F. K.; Boussel, L.; Roessl, E.; Pfeiffer, F.; Rummeny, E. J.; Proksa, R.; Douek, P.; Noël, P. B. Experimental Feasibility of Spectral Photon-Counting Computed Tomography with Two Contrast Agents for the Detection of Endoleaks Following Endovascular Aortic Repair. Eur Radiol 2018, 28 (8), 3318–3325. [CrossRef]
- Cosset, B.; Sigovan, M.; Boccalini, S.; Farhat, F.; Douek, P.; Boussel, L.; Si-Mohamed, S. A. Bicolor K-Edge Spectral Photon-Counting CT Imaging for the Diagnosis of Thoracic Endoleaks: A Dynamic Phantom Study. Diagn Interv Imaging 2023, 104 (5), 235–242. [CrossRef]
- Higashigaito, K.; Euler, A.; Eberhard, M.; Flohr, T. G.; Schmidt, B.; Alkadhi, H. Contrast-Enhanced Abdominal CT with Clinical Photon-Counting Detector CT: Assessment of Image Quality and Comparison with Energy-Integrating Detector CT. Acad Radiol 2022, 29 (5), 689–697. [CrossRef]
- Rau, S.; Soschynski, M.; Schlett, C. L.; Hagar, M. T. Spectral Aortoiliac Photon-Counting CT Angiography with Minimal Quantity of Contrast Agent. Radiol Case Rep 2023, 18 (6), 2180–2182. [CrossRef]
- Decker, J. A.; Bette, S.; Scheurig-Muenkler, C.; Jehs, B.; Risch, F.; Woźnicki, P.; Braun, F. M.; Haerting, M.; Wollny, C.; Kroencke, T. J.; Schwarz, F. Virtual Non-Contrast Reconstructions of Photon-Counting Detector CT Angiography Datasets as Substitutes for True Non-Contrast Acquisitions in Patients after EVAR—Performance of a Novel Calcium-Preserving Reconstruction Algorithm. Diagnostics 2022, 12 (3), 558. [CrossRef]
- Euler, A.; Higashigaito, K.; Mergen, V.; Sartoretti, T.; Zanini, B.; Schmidt, B.; Flohr, T. G.; Ulzheimer, S.; Eberhard, M.; Alkadhi, H. High-Pitch Photon-Counting Detector Computed Tomography Angiography of the Aorta. Invest Radiol 2022, 57 (2), 115–121. [CrossRef]
- Stein, T.; Rau, A.; Russe, M. F.; Arnold, P.; Faby, S.; Ulzheimer, S.; Weis, M.; Froelich, M. F.; Overhoff, D.; Horger, M.; Hagen, F.; Bongers, M.; Nikolaou, K.; Schönberg, S. O.; Bamberg, F.; Weiß, J. Photon-Counting Computed Tomography – Basic Principles, Potenzial Benefits, and Initial Clinical Experience. RöFo - Fortschritte auf dem Gebiet der Röntgenstrahlen und der bildgebenden Verfahren 2023. [CrossRef]
- Tortora, M.; Gemini, L.; D’Iglio, I.; Ugga, L.; Spadarella, G.; Cuocolo, R. Spectral Photon-Counting Computed Tomography: A Review on Technical Principles and Clinical Applications. J Imaging 2022, 8 (4), 112. [CrossRef]
- Leng, S.; Bruesewitz, M.; Tao, S.; Rajendran, K.; Halaweish, A. F.; Campeau, N. G.; Fletcher, J. G.; McCollough, C. H. Photon-Counting Detector CT: System Design and Clinical Applications of an Emerging Technology. RadioGraphics 2019, 39 (3), 729–743. [CrossRef]
- Willemink, M. J.; Persson, M.; Pourmorteza, A.; Pelc, N. J.; Fleischmann, D. Photon-Counting CT: Technical Principles and Clinical Prospects. Radiology 2018, 289 (2), 293–312. [CrossRef]
- Rajendran, K.; Petersilka, M.; Henning, A.; Shanblatt, E. R.; Schmidt, B.; Flohr, T. G.; Ferrero, A.; Baffour, F.; Diehn, F. E.; Yu, L.; Rajiah, P.; Fletcher, J. G.; Leng, S.; McCollough, C. H. First Clinical Photon-Counting Detector CT System: Technical Evaluation. Radiology 2022, 303 (1), 130–138. [CrossRef]
- Aggarwal, S.; Qamar, A.; Sharma, V.; Sharma, A. Abdominal Aortic Aneurysm: A Comprehensive Review. Exp Clin Cardiol 2011, 16 (1), 11–15.
- Wanhainen, A.; Verzini, F.; Van Herzeele, I.; Allaire, E.; Bown, M.; Cohnert, T.; Dick, F.; van Herwaarden, J.; Karkos, C.; Koelemay, M.; Kölbel, T.; Loftus, I.; Mani, K.; Melissano, G.; Powell, J.; Szeberin, Z.; ESVS Guidelines Committee; de Borst, G. J.; Chakfe, N.; Debus, S.; Hinchliffe, R.; Kakkos, S.; Koncar, I.; Kolh, P.; Lindholt, J. S.; de Vega, M.; Vermassen, F.; Document reviewers; Björck, M.; Cheng, S.; Dalman, R.; Davidovic, L.; Donas, K.; Earnshaw, J.; Eckstein, H.-H.; Golledge, J.; Haulon, S.; Mastracci, T.; Naylor, R.; Ricco, J.-B.; Verhagen, H. Editor’s Choice – European Society for Vascular Surgery (ESVS) 2019 Clinical Practice Guidelines on the Management of Abdominal Aorto-Iliac Artery Aneurysms. European Journal of Vascular and Endovascular Surgery 2019, 57 (1), 8–93. [CrossRef]
- Keisler, B.; Carter, C. Abdominal Aortic Aneurysm. Am Fam Physician 2015, 91 (8), 538–543.
- White, G. H.; Yu, W.; May, J.; Chaufour, X.; Stephen, M. S. Endoleak as a Complication of Endoluminal Grafting of Abdominal Aortic Aneurysms: Classification, Incidence, Diagnosis, and Management. Journal of Endovascular Therapy 1997, 4 (2), 152–168. [CrossRef]
- Schlösser, F. J. V.; Muhs, B. E. Endoleaks after Endovascular Abdominal Aortic Aneurysm Repair. Curr Opin Cardiol 2012, 27 (6), 598–603. [CrossRef]
- Gozzo, C.; Caruana, G.; Cannella, R.; Farina, A.; Giambelluca, D.; Dinoto, E.; Vernuccio, F.; Basile, A.; Midiri, M. CT Angiography for the Assessment of EVAR Complications: A Pictorial Review. Insights Imaging 2022, 13 (1), 5. [CrossRef]
- Isselbacher, E. M.; Preventza, O.; Hamilton Black, J.; Augoustides, J. G.; Beck, A. W.; Bolen, M. A.; Braverman, A. C.; Bray, B. E.; Brown-Zimmerman, M. M.; Chen, E. P.; Collins, T. J.; DeAnda, A.; Fanola, C. L.; Girardi, L. N.; Hicks, C. W.; Hui, D. S.; Schuyler Jones, W.; Kalahasti, V.; Kim, K. M.; Milewicz, D. M.; Oderich, G. S.; Ogbechie, L.; Promes, S. B.; Gyang Ross, E.; Schermerhorn, M. L.; Singleton Times, S.; Tseng, E. E.; Wang, G. J.; Woo, Y. J. 2022 ACC/AHA Guideline for the Diagnosis and Management of Aortic Disease: A Report of the American Heart Association/American College of Cardiology Joint Committee on Clinical Practice Guidelines. Circulation 2022, 146 (24). [CrossRef]
- Hong, C.; Heiken, J. P.; Sicard, G. A.; Pilgram, T. K.; Bae, K. T. Clinical Significance of Endoleak Detected on Follow-Up CT After Endovascular Repair of Abdominal Aortic Aneurysm. American Journal of Roentgenology 2008, 191 (3), 808–813. [CrossRef]
- Reginelli, A.; Capasso, R.; Ciccone, V.; Croce, M. R.; Di Grezia, G.; Carbone, M.; Maggialetti, N.; Barile, A.; Fonio, P.; Scialpi, M.; Brunese, L. Usefulness of Triphasic CT Aortic Angiography in Acute and Surveillance: Our Experience in the Assessment of Acute Aortic Dissection and Endoleak. International Journal of Surgery 2016, 33, S76–S84. [CrossRef]
- Lehmkuhl, L.; Andres, C.; Lücke, C.; Hoffmann, J.; Foldyna, B.; Grothoff, M.; Nitzsche, S.; Schmidt, A.; Ulrich, M.; Scheinert, D.; Gutberlet, M. Dynamic CT Angiography after Abdominal Aortic Endovascular Aneurysm Repair: Influence of Enhancement Patterns and Optimal Bolus Timing on Endoleak Detection. Radiology 2013, 268 (3), 890–899. [CrossRef]
- Partovi, S.; Trischman, T.; Rafailidis, V.; Ganguli, S.; Rengier, F.; Goerne, H.; Rajiah, P.; Staub, D.; Patel, I. J.; Oliveira, G.; Ghoshhajra, B. Multimodality Imaging Assessment of Endoleaks Post-Endovascular Aortic Repair. Br J Radiol 2018, 20180013. [CrossRef]
- Stavropoulos, S. W.; Clark, T. W. I.; Carpenter, J. P.; Fairman, R. M.; Litt, H.; Velazquez, O. C.; Insko, E.; Farner, M.; Baum, R. A. Use of CT Angiography to Classify Endoleaks after Endovascular Repair of Abdominal Aortic Aneurysms. Journal of Vascular and Interventional Radiology 2005, 16 (5), 663–667. [CrossRef]
- D’Oria, M.; Mastrorilli, D.; Ziani, B. Natural History, Diagnosis, and Management of Type II Endoleaks after Endovascular Aortic Repair: Review and Update. Ann Vasc Surg 2020, 62, 420–431. [CrossRef]
- Maleux, G.; Poorteman, L.; Laenen, A.; Saint-Lèbes, B.; Houthoofd, S.; Fourneau, I.; Rousseau, H. Incidence, Etiology, and Management of Type III Endoleak after Endovascular Aortic Repair. J Vasc Surg 2017, 66 (4), 1056–1064. [CrossRef]
- Pandey, N.; Litt, H. Surveillance Imaging Following Endovascular Aneurysm Repair. Semin Intervent Radiol 2015, 32 (03), 239–248. [CrossRef]
- Trocciola, S. M.; Dayal, R.; Chaer, R. A.; Lin, S. C.; DeRubertis, B.; Ryer, E. J.; Hynececk, R. L.; Pierce, M. J.; Prince, M.; Badimon, J.; Marin, M. L.; Fuster, V.; Kent, K. C.; Faries, P. L. The Development of Endotension Is Associated with Increased Transmission of Pressure and Serous Components in Porous Expanded Polytetrafluoroethylene Stent-Grafts: Characterization Using a Canine Model. J Vasc Surg 2006, 43 (1), 109–116. [CrossRef]





| Endoleaks detection |
Gomollon et al. Investigative Radiology 2023 [6] |
Retrospective study (110 patients) |
|
|
Cosset et al. Diagnostic and Interventional Imaging 2023 [8] |
Phantom experimental study |
|
|
|
Dangelmaier et al. European Radiology 2018 [8] |
Phantom experimental study |
|
|
| Contrast Volume Reduction |
Higashigaito et al. Radiology Cardiothoracic Imaging 2023[9] |
Prospective study (100 patients) |
|
|
Rau et al. Radiology Case Reports 2023[10] |
Case report (follow-up imaging of AAA) |
|
|
| Radiation Dose Reduction |
Decker et al. Diagnostics 2022[11] |
Retrospective study (20 patients) after EVAR |
|
|
Euler et al. Investigative Radiology 2022[12] |
Prospective study (40 patients) |
|
| Type 1 Endoleak (EL1) | 5-10% | EL1a: leakage from proximal attachment site of the graft[29] |
| EL1b: leakage from distal attachment site of the graft | ||
| EL1c: leakage from back filling due to an incomplete common iliac arterial occlusion | ||
| Type 2 Endoleak (EL2) | 10-40% | Backflow of collateral arteries into the aneurysm sac [30] |
| Type 3 Endoleak (EL3) | 2-4% | Stent graft component separation or EL due to a fabric tear [31] |
| Type 4 Endoleak (EL4) | Almost never seen with new generation grafts | Leakage due to porosity of the graft[32] |
| Type 5 Endoleak (EL5),also known as “endotension” | Diagnosis of exclusion | Expansion of the sac without an apparent EL on imaging33 |
Disclaimer/Publisher’s Note: The statements, opinions and data contained in all publications are solely those of the individual author(s) and contributor(s) and not of MDPI and/or the editor(s). MDPI and/or the editor(s) disclaim responsibility for any injury to people or property resulting from any ideas, methods, instructions or products referred to in the content. |
© 2023 by the authors. Licensee MDPI, Basel, Switzerland. This article is an open access article distributed under the terms and conditions of the Creative Commons Attribution (CC BY) license (http://creativecommons.org/licenses/by/4.0/).
