Submitted:
11 October 2023
Posted:
12 October 2023
You are already at the latest version
Abstract
Keywords:
Introduction
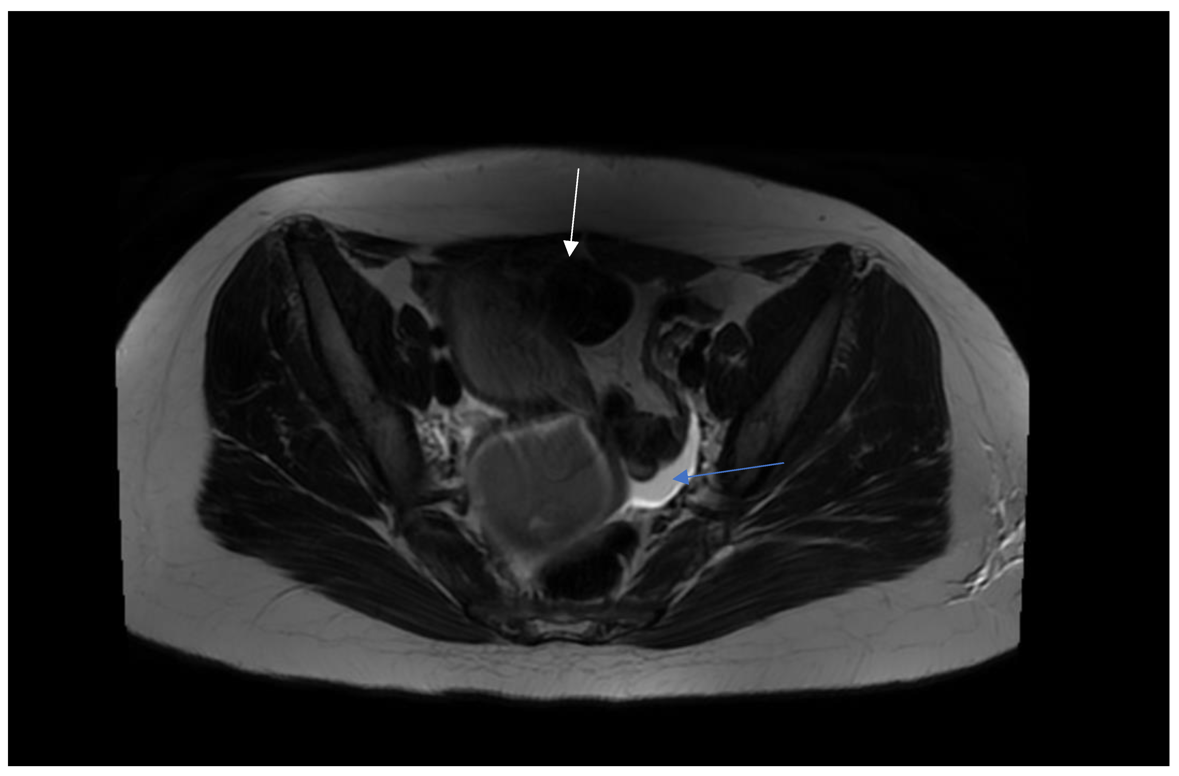
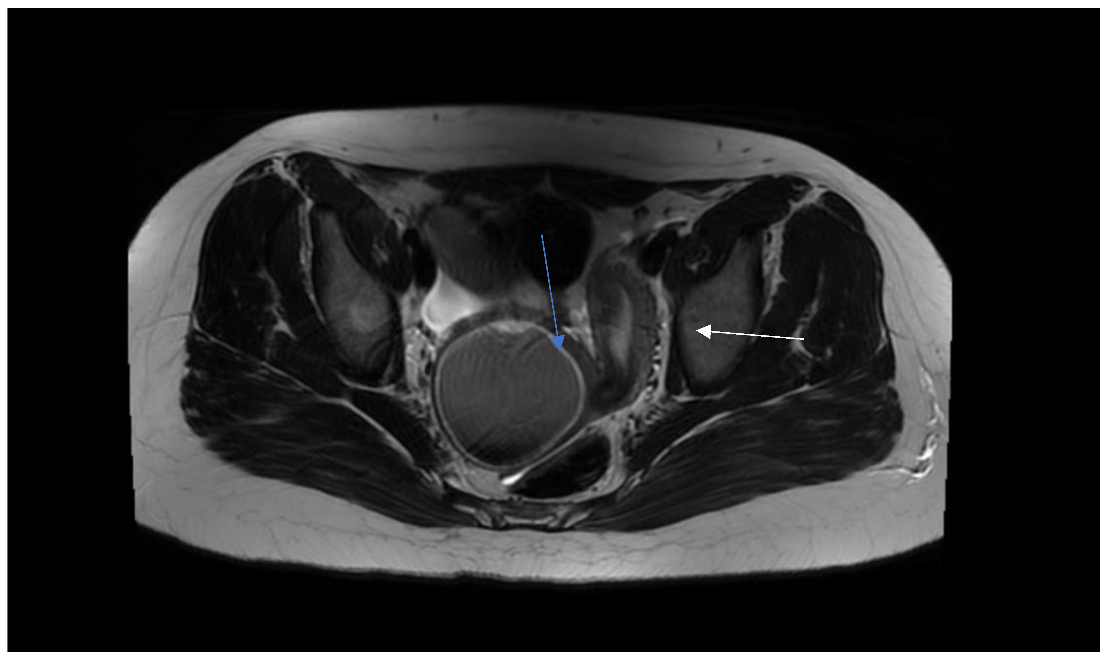
Case report
Family History
Preoperative Management
Surgical Technique
Follow- Up










| Diagnostic and treatment flow-chart of OHVIRA syndrome |
|
Step 1. Preoperative management Patients age (mostly occurs in young females), accurate history: time of first period, gradually increased symptoms, the appearance of symptoms during menarche, symptoms increase with each subsequent period, recurrent UTI, urinary disorders [8,9]. Perform physical examination. Next to the transabdominal US, transperineal and transrectal US can be useful in emergency situations to accurately access the place of abnormality [10]. MRI imaging should be considered as "gold standard in the diagnostic process [11]. Plan of the surgery and step by step proceeding is important while operating patients with urogenital abnormalities. As interdisciplinary collaboration of urologist and gynecologist is often necessary to treat correctly these patients. |
|
Step 2. Preoperative management Preoperative counselling with patients, often with psychological assist is essential to support families. The information about future family planning and chanced of spontaneous pregnancy should be given precisely before the surgery [12]. However, hormonal therapy with continuous oral contraceptives should be considered in pre-operative management to give a time for preoperative preparation [13]. |
|
Step 3 Surgical management Surgery is necessary when acute abdominal symptoms are present. “Wait and see” approach is only possible when the clinical situation allows it. Perform laparoscopy and vaginoscopy in order to achieve the correct diagnosis and treat concomitant hematosalpinx and endometriosis [14]. Intraoperative US is helpful to evaluate the place of resection. Unnecessary lengthening the time to diagnosis, contributes to unindentent consequence. |
|
Step 4 Postoperative management The insertion of uterine catheter filled with saline into a place of stenosis allow to avoid the risk of possible restenosis [15]. Continuous oral contraceptives are recommended to avoid possible consequences like the risk of restenosis. |
|
Step 5 Postoperative management Pharmacological treatment with non-steroidal anti-inflammatory drugs (NSAIDS) should be avoided as they can cause the damage of renal structure [12]. |
|
Step 6 Follow- up At 6-12 month after the surgery, urologist re-counselling should be made to decide if the patient requires other imaging tests like uro-scintigraphy to evaluate the function of heathy kidney [2]. |
Discussion
Conclusion
References
- Kagan, M.; Pleniceanu, O.; Vivante, A. The genetic basis of congenital anomalies of the kidney and urinary tract. Pediatr Nephrol. 2022, 37, 2231–2243. [Google Scholar] [CrossRef]
- Rodriguez, M.M. Congenital Anomalies of the Kidney and the Urinary Tract (CAKUT). Fetal Pediatr Pathol. 2014, 33, 293–320. [Google Scholar] [CrossRef]
- Capone, V.P.; Morello, W.; Taroni, F.; Montini, G. Genetics of Congenital Anomalies of the Kidney and Urinary Tract: The Current State of Play. Int J Mol Sci. 2017, 18, 796. [Google Scholar] [CrossRef]
- Salo, J.; Ikäheimo, R.; Tapiainen, T.; Uhari, M. Childhood urinary tract infections as a cause of chronic kidney disease. Pediatrics. 2011, 128, 840–847. [Google Scholar] [CrossRef]
- Van Dam, M.J.C.M.; Zegers, B.S.H.J.; Schreuder, M.F. Case Report: Uterine Anomalies in Girls With a Congenital Solitary Functioning Kidney. Front Pediatr. 2021, 9, 791499. [Google Scholar] [CrossRef]
- Gungor Ugurlucan, F.; Dural, O.; Yasa, C.; Kirpinar, G.; Akhan, S.E. Diagnosis, management, and outcome of obstructed hemivagina and ipsilateral renal agenesis (OHVIRA syndrome): Is there a correlation between MRI findings and outcome? Clin Imaging. 2020, 59, 172–178. [Google Scholar] [CrossRef]
- Sleiman, Z.; Wehbe, G.S.; Rassy, E.E.; Zreik, T.; Bitar, R.; Samaha, M.; et al. A novel surgical intervention for an uncommon entity: Laparoscopy-assisted resection of a vaginal septum in obstructed hemivagina and ipsilateral renal anomaly syndrome. J Laparoendosc Adv Surg Tech A. 2019, 29, 714–716. [Google Scholar] [CrossRef]
- Smith, N.A.; Laufer, M.R. Obstructed hemivagina and ipsilateral renal anomaly (OHVIRA) syndrome: Management and follow-up. Fertil Steril. 2007, 87, 918–922. [Google Scholar] [CrossRef]
- Kim, S.J.; Shim, S.Y.; Cho, H.H.; Park, M.H.; Lee, K.A. Prenatal Diagnosis of Fetal Obstructed Hemivagina and Ipsilateral Renal Agenesis (OHVIRA) Syndrome. Medicina (Kaunas). 2023, 59, 703. [Google Scholar] [CrossRef]
- Sijmons, A.; Broekhuizen, S.; van der Tuuk, K.; Verhagen, M.; Besouw, M. OHVIRA syndrome: Early recognition prevents genitourinary complications. Ultrasound. 2023, 31, 61–64. [Google Scholar] [CrossRef]
- Zhang, H.; Ning, G.; Fu, C.; Bao, L.; Guo, Y. Herlyn-Werner-Wun- derlich syndrome: Diverse presentations and diagnosis on MRI. Clin Radiol 2020, 75, 480–e17e25. [Google Scholar] [CrossRef]
- Gungor Ugurlucan, F.; Bastu, E.; Gulsen, G.; Kurek Eken, M.; Akhan, S.E. OHVIRA syndrome presenting with acute abdomen: A case report and review of the literature. Clin Imaging. 2014, 38, 357–359. [Google Scholar] [CrossRef] [PubMed]
- Cobec, I.M.; Rempen, A. OHVIRA-syndrome (Obstructed hemivagina with ipsilateral renal anomaly) as differential diagnosis of acute lower abdominal pain. Ann Ital Chir. 2023, 12, S2239253X23038720. [Google Scholar] [PubMed]
- Boyraz, G.; Karalo€k, A.; Turan, T.; et al. Herlyn-Werner- Wunderlich syndrome; laparoscopic treatment of obstructing longitudinal vaginal septum in patients with hematocolpos - a different technique for virgin patients. J Turk Ger Gynecol Assoc. 2020, 21, 303–304. [Google Scholar] [CrossRef] [PubMed]
- Zhang, J.; Zhang, M.; Zhang, Y.; Liu, H.; Yuan, P.; Peng, X.; et al. Proposal of the 3O (Obstruction, Ureteric Orifice, and Outcome) subclassification system associated with obstructed hemivagina and ipsilateral renal anomaly (OHVIRA). J Pediatr Adolesc Gynecol. 2020, 33, 307–313. [Google Scholar] [CrossRef]
- Mandava, A.; Prabhakar, R.R.; Smitha, S. OHVIRA syndrome (obstructed hemivagina and ipsilateral renal anomaly) with uterus didelphys, an unusual presentation. J Pediatr Adolesc Gynecol. 2012, 25, e23–e25. [Google Scholar] [CrossRef] [PubMed]
- Arakaki, R.; Yoshida, K.; Imaizumi, J.; Kaji, T.; Kato, T.; Iwasa, T. Obstructed hemivagina and ipsilateral renal agenesis (OHVIRA) syndrome: A case report. Int J Surg Case Rep. 2023, 107, 108368. [Google Scholar] [CrossRef]
- Gündüz, R.; Ağaçayak, E.; Evsen, M.S. OHVIRA syndrome presenting with acute abdomen findings treated with minimally invasive method: Three case reports. Acta Chir Belg. 2022, 122, 275–278. [Google Scholar] [CrossRef] [PubMed]
- Prada Arias, M.; Muguerza Vellibre, R.; Montero Sánchez, M.; Vázquez Castelo JLArias González, M.; Rodríguez Costa, A. Uterus didelphys with obstructed hemivagina and multicystic dysplastic kidney. Eur J Pediatr Surg. 2005, 15, 441–445. [Google Scholar] [CrossRef]
- Gilsanz, V.; Cleveland, R.H.; Reid, B.S. Duplication of the müllerian ducts and genitourinary malformations. Part II: Analysis of malformations. Radiology. 1982, 144, 797–801. [Google Scholar]
- Zarfati, A.; Lucchetti, M.C. OHVIRA (Obstructed Hemivagina and Ipsilateral Renal Anomaly or Herlyn-Werner-Wunderlich syndrome): Is it time for age-specific management? J Pediatr Surg. 2022, 57, 696–701. [Google Scholar] [CrossRef]
- Karout, S.; Soubra, L.; Rahme, D.; Karout, L.; Khojah, H.M.J.; Itani, R. Prevalence, risk factors, and management practices of primary dysmenorrhea among young females. BMC Womens Health. 2021, 21, 392. [Google Scholar] [CrossRef]
- Bascietto, F.; Liberati, M.; Marrone, L.; Khalil, A.; Pagani, G.; Gustapane, S.; Leombroni, M.; Buca, D.; Flacco, M.E.; Rizzo, G.; Acharya, G.; Manzoli, L.; D'Antonio, F. Outcome of fetal ovarian cysts diagnosed on prenatal ultrasound examination: Systematic review and meta-analysis. Ultrasound Obstet Gynecol. 2017, 50, 20–31. [Google Scholar] [CrossRef]
- Yu, J.-H.; Lee, S.-R.; Choi, H.; Kim, K.-S.; Kang, B.-M. A New Case of Herlyn–Werner–Wunderlich Syndrome: Uterine Didelphys with Unilateral Cervical Dysgenesis, Vaginal Agenesis, Cervical Distal Ureteral Remnant Fistula, Ureterocele, and Renal Agenesis in a Patient with Contralateral Multicystic Dysplastic Kidney. Diagnostics 2022, 12, 83. [Google Scholar]
- Benagiano, G.; Bianchi, P.; Guo, S.W. Endometriosis in adolescent and young women. Minerva ObstetGynecol. 2021, 73, 523–535. [Google Scholar] [CrossRef] [PubMed]
- Güdücü, N.; Sidar, G.; İşçi, H.; Yiğiter, A.B.; Dünder, İ. The utility of transrectal ultrasound in adolescents when transabdominal or transvaginal ultrasound is not feasible. J Pediatr Adolesc Gynecol. 2013, 26, 265–268. [Google Scholar] [CrossRef] [PubMed]
- Kamal, E.M.; Lakhdar, A.; Baidada, A. Management of a transverse vaginal septum complicated with hematocolpos in an adolescent girl: Case report. Int J Surg Case Rep. 2020, 77, 748–752. [Google Scholar] [CrossRef]
- Kupesić, S.; Kurjak, A.; Skenderovic, S.; Bjelos, D. Screening for uterine abnormalities by three-dimensional ultrasound improves perinatal outcome. J Perinat Med. 2002, 30, 9–17. [Google Scholar] [CrossRef] [PubMed]
- Cheng, C.; Subedi, J.; Zhang, A.; Johnson, G.; Zhao, X.; Xu, D.; Guan, X. Vaginoscopic Incision of Oblique Vaginal Septum in Adolescents with OHVIRA Syndrome. Sci Rep. 2019, 9, 20042. [Google Scholar] [CrossRef]
- Blanton, E.N.; Rouse, D.J. Trial of labor in women with transverse vaginal septa. Obstet. Gynecol. 2003, 101 (5 Pt 2), 1110–1112. [Google Scholar]
- Van Bijsterveldt, C.; Willemsen, W. Treatment of patients with a congenital transversal vaginal septum or a partial aplasia of the vagina. The vaginal pull-through versus the push-through technique. J. Pediatr. Adolesc. Gynecol. 2009, 22, 157–161. [Google Scholar] [CrossRef] [PubMed]
- Kudela, G.; Wiernik, A.; Drosdzol-Cop, A.; Machnikowska-Sokołowska, M.; Gawlik, A.; Hyla-Klekot, L.; Gruszczyńska, K.; Koszutski, T. Multiple variants of obstructed hemivagina and ipsilateral renal anomaly (OHVIRA) syndrome - one clinical center case series and the systematic review of 734 cases. J Pediatr Urol. 2021, 17, 653–e1. [Google Scholar] [CrossRef] [PubMed]
- Kriplani, A.; Dalal, V.; Kachhawa, G.; Mahey, R.; Yadav, V.; Kriplani, I. Minimally Invasive Endoscopic Approach for Management of OHVIRA Syndrome. J Obstet Gynaecol India. 2019, 69, 350–355. [Google Scholar] [CrossRef] [PubMed]
- Bajaj, S.K.; Misra, R.; Thukral, B.B.; Gupta, R. OHVIRA: Uterus didelphys, blind hemivagina and ipsilateral renal agenesis: Advantage MRI. J Hum Reprod Sci. 2012, 5, 67–70. [Google Scholar] [CrossRef]
- Samanta, A.; Rahman, S.M.; Vasudevan, A.; Banerjee, S. A novel combination of OHVIRA syndrome and likely causal variant in UMOD gene. CEN Case Rep. 2023, 12, 249–253. [Google Scholar] [CrossRef] [PubMed]
- Chan, E.S.; Stefanovici, C. Obstructed Hemivagina and Ipsilateral Renal Anomaly (OHVIRA) - A Fetal Autopsy Case. J Pediatr Adolesc Gynecol. 2022, 35, 593–596. [Google Scholar] [CrossRef] [PubMed]
- Saleem, S.N. MR imaging diagnosis of uterovaginal anomalies: Current state of the art. Radiographics. 2003, 23, e13. [Google Scholar] [CrossRef]
- Kim, Y.N.; Han, J.H.; Lee, Y.S.; Lee, I.; Han, S.W.; Seo, S.K.; Yun, B.H. Comparison between prepubertal and postpubertal patients with obstructed hemivagina and ipsilateral renal anomaly syndrome. J Pediatr Urol. 2021, 17, 652–e1. [Google Scholar] [CrossRef]
- Paul, P.G.; Sudhakar, M.; Shah, M.; Chowdary, V.S.; Paul, G. Vaginoscopic Management of OHVIRA (Obstructive Hemivagina and Ipsilateral Renal Agenesis). J Minim Invasive Gynecol. 2023, 30, 361–362. [Google Scholar] [CrossRef]
Disclaimer/Publisher’s Note: The statements, opinions and data contained in all publications are solely those of the individual author(s) and contributor(s) and not of MDPI and/or the editor(s). MDPI and/or the editor(s) disclaim responsibility for any injury to people or property resulting from any ideas, methods, instructions or products referred to in the content. |
© 2023 by the authors. Licensee MDPI, Basel, Switzerland. This article is an open access article distributed under the terms and conditions of the Creative Commons Attribution (CC BY) license (http://creativecommons.org/licenses/by/4.0/).
