Submitted:
18 August 2023
Posted:
12 September 2023
You are already at the latest version
Abstract

Keywords:
1. Introduction
2. Materials and Methods
2.1. Ethical Approval
2.2. Challenge virus
2.3. Birds' management, experimental design, and evaluation parameters
2.3.1. Clinical observation and performance parameters
2.3.2. Histopathological assessment
2.3.3. Evaluation of the virus shedding
2.3.4. Serological evaluation
2.3.5. Cytokines analysis
3.4.6. Statistical analysis
3. Results
3.1. Clinical observation and performance parameters
3.2. Histopathology
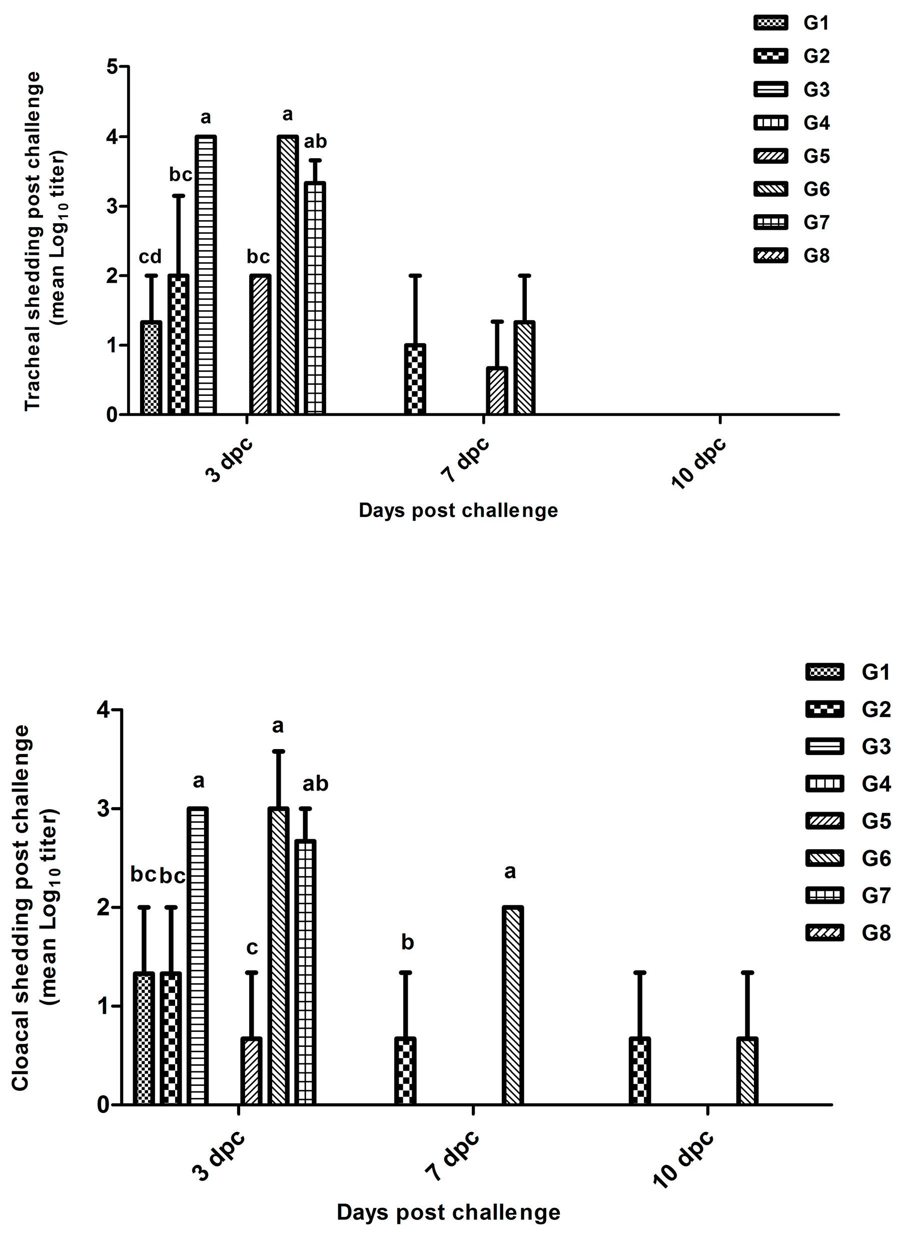
3.3. Virus shedding
3.4. Serology
3.5. Cytokines
4. Discussion
5. Conclusions
Supplementary Materials
Author Contributions
Funding
Institutional Review Board Statement (Ethical approval)
Data Availability Statement
Conflicts of Interest
References
- Miller, P.J.; Koch, G. Newcastle Disease. In Diseases of Poultry, 14th edition, Swayne, D. (Ed). John Wiley & Sons, Inc. Wiley Blackwell, Ames, IA, USA, 2020, pp. 112-129.
- Elfatah, K.S.A., Elabasy, M.A., El-Khyate, F., Elmahallawy, E.K., Mosad, S.M., El-Gohary, A.F., Abdo, W., Al-Brakati, A., Seadawy, M.G., Tahoon, A.E., El-Gohary, A.E. Molecular characterization of velogenic Newcastle disease virus (Sub-genotype VII.1.1) from wild birds, with assessment of its pathogenicity in susceptible chickens. Animals, 2021, 11(2), 505. [CrossRef]
- ICTV, International committee on taxonomy of viruses. Virus Taxonomy, 2019, Available at https://talk.ictvonline.org/taxonomy/.
- Dimitrov, H., Choi, K.S., Chvala, I., Diel, D.G., Durr, P.A., Ferreira, H.L., Fusaro, A., Gil, P., Goujgoulova, G.V., Grund, C., Hicks, J.T., Joannis, T.M., Torchetti, M.K., Kolosov, S., Lambrecht, B., Lewis, N.S., Liu, H., McCullough, S., Miller, P.J., Monne, I., Muller, C.P., Munir, M., Reischak, D., Sabra, M., Samal, S.K., de Almeida, R.S., Shittu, I., Snoeck, C.J., Suarez, D.L., van Borm, S., Wang, Z., Wong, F.Y.K. Updated unified phylogenetic classification system and revised nomenclature for Newcastle disease virus. Infec. Gen. Evol., 2019, 74, 103917. [CrossRef]
- Afonso, C.L. Virulence during Newcastle disease viruses cross species adaptation. Viruses, 2021, 13(1), 252. [CrossRef]
- Miller, P.J., Afonso, C.L., El Attrache, J., Dorsey, K.M., Courtney, S.C., Guo, Z., Kapczynski, D.R. Effects of Newcastle disease virus vaccine antibodies on the shedding and transmission of challenge viruses. Dev. Comp. Immunol., 2013, 41(4), 505-513. [CrossRef]
- Miller, P.J., Haddas, R., Simanov, L., Lublin, A., Rehmani, S.F., Wajid, A., Bibi, T., Ahmad, S., Khan, T., Yaqub, T., Setiyaningsih, S., Afonso, C.L. Identification of new subgenotypes of virulent Newcastle disease virus with potential panzootic features. Infect. Gen. Evol., 2015, 29, 216-229. [CrossRef]
- Elbestawy, A.R., Ellakany, H.F., Abd El-Hamid, H.S., Zedan, R.E., Gado, A.R., Sedeik, M.E., Abd El-Hack, M.E., Saadeldin, I.M., Alowaimer, A.N., Ba-Awadh, H.A., Swelum, A.A. Muscovy ducks infected with velogenic Newcastle disease virus (genotype VIId) act as carriers to infect in-contact chickens. Poult. Sci., 2019, 98(10), 4441-4448. [CrossRef]
- Ellakany, H.F., Elbestawy, A.R., Abd El-Hamid, H.S., Zedan, R.E., Gado, A.R., Taha, A.E., Soliman, M.A., Abd El-Hack, M.E., Swelum, A.A., Saadeldin, I.M., Ba-Awadh, H., Hussein, E.O.S. Role of pigeons in the transmission of Avian Avulavirus (Newcastle disease-genotype VIId) to chickens. Animals, 2019a, 9(6), 338. [CrossRef]
- Abd-Ellatieff, H.A., Abd El Aziem, A.N., Elbestawy, A.R., Goda, A.R., Belih, S.M., Ellakany, H.F., Abd El-Hamid, H.S., Yanai, T., AbouRawash, A.A., El-Habashi, N. Efficacy of vaccination against infection with velogenic Newcastle disease virus genotypes VI and VII 1.1 strains in Japanese quails. J. Comp. Path. 2021, 186, 35-50. [CrossRef]
- Lee, Y.J., Sung, H.W., Choi, J.G., Lee, E.K., Yoon, H., Kim, J.H., Song, C.S. Protection of chickens from Newcastle disease with a recombinant baculovirus subunit vaccine expressing the fusion and hemagglutinin-neuraminidase proteins. J. Vet. Sci. 2008, 9(3), 301-308. [CrossRef]
- Kim, S.H., Wanasen, N., Paldurai, A., Xiao, S., Collins, P.L., Samal, S.K. Newcastle disease virus fusion protein is the major contributor to protective immunity of genotype-matched vaccine. PLoS One, 2013, 8(8), e74022. [CrossRef]
- Liu, J., Zhu, J., Xu, H., Li, J., Hu, Z., Hu, S., Wang, X., Liu, X. Effects of the HN antigenic difference between the vaccine strain and the challenge strain of Newcastle Disease virus on virus shedding and transmission. Viruses, 2017, 9(8), 225. [CrossRef]
- Dimitrov, K.M., Afonso, C.L., Yu, Q., Miller, P.J. Newcastle disease vaccines-A solved problem or a continuous challenge? Vet. Microbiol., 2017, 206, 126-136. [CrossRef]
- Miller, P.J., King, D.J., Afonso, C.L., Suarez, D.L. Antigenic differences among Newcastle disease virus strains of different genotypes used in vaccine formulation affect viral shedding after a virulent challenge. Vaccine, 2007, 25(41), 7238-7246. [CrossRef]
- Dortmans, J.C.F.M., Peeters, B.P.H., Koch, G. Newcastle disease virus outbreaks: Vaccine mismatch or inadequate application? Vet. Microbiol., 2012, 160(1-2), 17-22. [CrossRef]
- Miller, P.J., Estevez, C., Yu, Q., Suarez, D.L., King, D.J. Comparison of viral shedding following vaccination with inactivated and live Newcastle disease vaccines formulated with wild-type and recombinant viruses. Avian Dis., 2009, 53(1), 39-49. [CrossRef]
- Yang, H.M., Zhao, J., Xue, J., Yang, Y.L., Zhang, G.Z. Antigenic variation of LaSota and genotype VII Newcastle disease virus (NDV) and their efficacy against challenge with velogenic NDV. Vaccine, 2017, 35(1), 27-32. [CrossRef]
- Shahar, E., Haddas, R., Goldenberg, D., Lublin, A., Bloch, I., Hinenzon, N.B., Pitcovski, J. Newcastle disease virus: is an updated attenuated vaccine needed? Avian Pathol., 2018, 47(5), 467-478. [CrossRef]
- Abdoshah, M., Hassanzadeh, M., Masoudi, S., Ashtari, A., Yousefi, A.R., Nasr, M.P. Thermoresistant Newcastle disease vaccine effectively protects SPF, native, and commercial chickens in challenge with virulent virus. Vet. Med. Sci., 2022, 8(4), 1539-1546. [CrossRef]
- Hassanzadeh, M., Abdoshah, M., Yousefi, A.R., Moluki, I., Haghshenas, F. Evaluation of virulence and phylogenetic study of Newcastle disease virus isolated from 295 broiler poultry farms in Mazandaran province. Iran. Vet. J. 2022, In press. [CrossRef]
- Qureshi, M.A., Heggen, C.L., Hussain, I. Avian macrophage: effector functions in health and disease. Dev. Comp. Immunol., 2000, 24, 103–119.
- Ellakany, H.F., Abd El-Hamid, H.S., Nasef, S.A., Elbestawy, A.R., Nasr, S.M., Abd El Aziz, M.N., Gado, A.R., Zedan, R.E., Yonis, A.E. Evaluation of the protection of commercial live and inactivated NDV vaccines against Newcastle virus genotype VIId circulating in the field. Daman. J. Vet. Sci., 2019b, 1(1), 17-20. [CrossRef]
- Reed, L.J., Muench, L.H. A simple method of estimating fifty percent end points. Amer. J. Hyg., 1938, 27, 493-497.
- World Organization for Animal Health, WOAH, OIE. Newcastle disease (infection with Newcastle disease virus). Manual of diagnostic tests and vaccines for terrestrial animals, chapter 3.3.14., 2021a.
- Aviagen, R. Broiler Nutrition Specifications (All plant-protein based feeds). 2022. USA. Available online, https://aviagen.com/assets/Tech_Center/Ross_Broiler/Ross-PlantProteinBasedBroilerNutritionSpecifications2022-EN.pdf.
- NRC. Nutrient requirements of poultry. 10th Revised Edition. National Academy Press, Washington, DC, USA, 2016.
- Bancroft, J.D., Layton, C. The hematoxylin and eosin. In Theory and Practice of Histological Techniques. SK Suvarna, C Layton and JD Bancroft, eds. 7th ed. ElSevier, Churchill Livingstone, Pennsylvania, USA, 2013, pp. 179-220.
- Gibson-Corley, K.N., Olivier, A.K., Meyerholz, D.K. Principles for valid histopathologic scoring in research. Vet. Pathol. 2013, 50 (6), 1007-1015. [CrossRef]
- Wise, M.G., Suarez, D.L., Seal, B.S., Pedersen, J.C., Senne, D.A., King, D.J., Kapczynski, D.R., Spackman, E.E. Development of a real-time reverse-transcription PCR for detection of Newcastle disease virus RNA in clinical samples. J. Clin. Microbiol., 2004, 42 (1), 329-338. [CrossRef]
- World Organization for Animal Health, WOAH, OIE. Avian Influenza (including infection with high pathogenicity avian influenza viruses). Manual of diagnostic tests and vaccines for terrestrial animals, chapter 3.3.4. 2021b.
- Kaiser, P., Rothwell, L., Goodchild, M., Bumstead, N. The chicken proinflammatory cytokines interleukin-1beta and interleukin-6: differences in gene structure and genetic location compared with their mammalian orthologues. Anim. Genet., 2004, 35, 169-175. doi: 10.1111/j.1365-2052.2004.01121.x.
- Yu, X., Rui, L., Shao, Q., Liu, H., Lu, Y., Zhang, Y., Li, Z. Changes of CD4+CD25+ cells ratio in immune organs from chickens challenged with infectious bursal disease virus strains with varying virulences. Viruses, 2015, 7, 1357. doi: 10.3390/v7031357.
- Huang, X., Sang, S., Yuan, Z., Duan, Q., Guo, X., Zhang, H., Zhao, C. Magnetoelastic immunosensor via antibody immobilization for the specific detection of lysozymes. ACS Sensors, 2021, 6(11), 3933-3939. [CrossRef]
- Ariaans, M.P., Matthijs, M.G.R., van Haarlem, D., van de Haar, P., van Eck, J.H.H., Hensen, E.J., Vervelde, L. The role of phagocytic cells in enhanced susceptibility of broilers to colibacillosis after infectious bronchitis virus infection. Vet. Immunol. Immunopathol. 2008, 123, 240-250. doi: 10.1016/j.vetimm.2008.02.003.
- Hong, Y.H., Lillehoj, H.S., Lee, S.H., Dalloul, R.A., Lillehoj, E.P. Analysis of chicken cytokine and chemokine gene expression following Eimeria acervulina and Eimeria tenella infections. Vet. Immunol. Immunopathol. 2006a, 114, 209-223.
- Hong, Y.H., Lillehoj, H.S., Lillehoj, E.P., Lee, S.H. Changes in immune-related gene expression and intestinal lymphocyte subpopulations following Eimeria maxima infection of chickens. Vet. Immunol. Immunopathol., 2006b, 114, 259-272.
- Adams, S.C., Xing, Z., Li, J., Cardona, C.J. Immune-related gene expression in response to H11N9 low pathogenic avian influenza virus infection in chicken and Pekin duck peripheral blood mononuclear cells. Mol. Immunol., 2009, 46, 1744-1749.
- SAS. SAS User’s Guide Statistics. 2004, Cary, NC: SAS Institute, Inc.
- Westbury, H. Newcastle disease virus: An evolving pathogen? Avian Pathol., 2001, 30(1), 5-11. [CrossRef]
- Kim, J.Y., Kye, S.J., Lee, H.J., Gaikwad, S., Lee, H.S., Jung, S.C., Choi, K.S. Development of a highly immunogenic Newcastle disease virus chicken vaccine strain of duck origin. Poult. Sci. 2016, 95(4), 790-797. [CrossRef]
- Hu, Z., Hu, S., Meng, C., Wang, X., Zhu, J., Liu, X. Generation of a genotype VII Newcastle disease virus vaccine candidate with high yield in embryonated chicken eggs. Avian Dis., 2011, 55(3), 391-397. [CrossRef]
- Cheng, Y., Sheng, D., Li, X., Hong, S., Guo, L., Zhao, S., Yuan, Y., Xue, J., Tian, H., Ren, Y., Liu, W., Tian, K. Efficacy of a recombinant genotype VII vaccine against challenge with velogenic Newcastle disease virus. J. Vac. Immunol., 2016, 2(1), 019-022.
- Mahmoud, N.K., El-Deeb, A.H., Emara, M.M., Abd El-Khaleck, M.A., Hussein, H.A. Genotypes II and VIId-based inactivated Newcastle disease vaccine reduces virus shedding. Virus dis., 2019, 30(3), 453-461. [CrossRef]
- Palya, V., Kiss, I., Tatár-Kis, T., Mató, T., Felföldi, B., Gardin, Y. Advancement in vaccination against Newcastle disease: recombinant HVT NDV provides high clinical protection and reduces challenge virus shedding with the absence of vaccine reactions. Avian Dis., 2012, 56(2), 282-287. [CrossRef]
- Palya, V., Tatár-Kis, T., Mato, T., Felfoldi, B., Kovacs, E., Gardin, Y. Onset and long-term duration of immunity provided by a single vaccination with a turkey herpesvirus vector ND vaccine in commercial layers. Vet. Immunol. Immunopathol., 2014, 158(1-2), 105-115. [CrossRef]
- Palya, V., Tatár-Kis, T., Arafa, A.S.A., Felföldi, B., Mató, T., Setta, A. Efficacy of a turkey herpesvirus vectored Newcastle disease vaccine against genotype VII.1.1 virus: challenge route affects shedding pattern. Vaccines, 2021, 9(1), 37. [CrossRef]
- Tatar-Kis, T., Fischer, E.A.J., Cazaban, C., Walko-Kovacs, E., Homonnay, Z.G., Velkers, F.C., Palya, V., Stegeman, J.A. A herpesvirus of turkey-based vector vaccine reduces transmission of Newcastle disease virus in commercial broiler chickens with maternally derived antibodies. Vaccines, 2020, 8(4), 614. [CrossRef]
- Sultan, H.A., Elfeil, W.K., Nour, A.A., Tantawy, L., Kamel, E.G., Eed, E.M., El Askary, A., Talaat, S. Efficacy of the Newcastle disease virus genotype VII.1.1-matched vaccines in commercial broilers. Vaccines, 2021, 10(1), 29. https:// doi.org/10.3390/vaccines10010029.
- Sultan, H.A., Talaat, S., Elfeil, W.K., Selim, K., Kutkat, M.A., Amer, S.A., Choi, K.S.. Protective efficacy of the Newcastle disease virus genotype VII–matched vaccine in commercial layers. Poult. Sci., 2020, 99, 1275–1286.
- Dewidar, A.A.A., Kilany, W.H., El-Sawah, A.A., Shany, S.A.S., Dahshan, A.H.M., Hisham, I., Elkady, M.F., Ali, A. Genotype VII.1.1-based Newcastle disease virus vaccines afford better protection against field isolates in commercial broiler chickens. Animals, 2022, 12, 1696. [CrossRef]
- Bello, M.B., Mahamud, S.N.A., Yusoff, K., Ideris, A., Hair-Bejo, M., Peeters, B.P.H., Omar, A.R. Development of an effective and stable genotype-matched live attenuated Newcastle disease virus vaccine based on a novel naturally recombinant Malaysian isolate using reverse genetics. Vaccines, 2020, 8(2), 270. [CrossRef]
- Kapczynski, D.R., Afonso, C.L., Miller, P.J. Immune responses of poultry to Newcastle disease virus. Dev. Comp. Immunol., 2013, 41(3): 447-453. [CrossRef]
- Cardenas-Garcia, S., Dunwoody, R.P., Marcano, V., Diel, D.G., Williams, R.J., Jr. Gogal, R.M., Brown, C.C., Miller, P.J., Afonso, C.L. Effects of chicken interferon gamma on Newcastle disease virus vaccine immunogenicity. PLoS One, 2016, 11(7), e0159153. [CrossRef]
- Merz, D.C., Scheid, A., Choppin, P. Importance of antibodies to the fusion glycoprotein of paramyxoviruses in the prevention of spread of infection. J. Exp. Med., 1980, 151(2), 275-288. [CrossRef]
- Boursnell, M., Green, P., Samson, A., Campbell, J., Deuter, A., Peters, R., Millar, N., Emmerson, P., Binns, M. A recombinant fowlpox virus expressing the hemagglutinin-neuraminidase gene of Newcastle disease virus (NDV) protects chickens against challenge NDV. Virology, 1990, 178(1), 297-300. [CrossRef]
- Naohiro, K., Masahiro, N., Mitsuru, O., Chieko, K., Yoshiharu, M., Takeshi, M. Protective effect of individual glycoproteins of Newcastle disease virus expressed in insect cells: the fusion protein derived from an avirulent strain had lower protective efficacy. Virus Res., 1994, 32(3), 373-379. [CrossRef]
- Reynolds, D., Maraqa, A. Protective immunity against Newcastle disease: the role of antibodies specific to Newcastle disease virus polypeptides. Avian Dis. 2000, 44(1), 138-144. [CrossRef]
- Tabatabaeizadeh, S.E. Immunoinformatic analysis and antibody epitope comparison of Newcastle disease virus classical vaccines with a virus involved in the fifth NDV panzootic. Mapping Intimacies, (Res. Square), 2021, 1-16. DOI: 10.21203/rs.3.rs-456948/v1.
- Chambers, P., Nesbit, M., Yusoff, K., Millar, N., Samson, A., Emmerson, P. Location of a neutralizing epitope for the haemagglutinin-neuraminidase glycoprotein of Newcastle disease virus. J. Gen. Virol., 1988, 69(8), 2115-2122. [CrossRef]
- Toyoda, T., Gotoh, B., Sakaguchi, T., Kida, H., Nagai, Y. Identification of amino acids relevant to three antigenic determinants on the fusion protein of Newcastle disease virus that are involved in fusion inhibition and neutralization. J. Virol., 1988, 62(11), 4427-4430. [CrossRef]
- Neyt, C., Geliebter, J., Slaoui, M., Morales, D., Meulemans, G., Burny, A. Mutations located on both F1 and F2 subunits of the Newcastle disease virus fusion protein confer resistance to neutralization with monoclonal antibodies. J. Virol., 1989, 63(2), 952-954. [CrossRef]
- Iorio, R.M., Syddall, R.J., Sheehan, J.P., Bratt, M.A., Glickman, R.L., Riel, A.M. Neutralization map of the hemagglutinin-neuraminidase glycoprotein of Newcastle disease virus: domains recognized by monoclonal antibodies that prevent receptor recognition. J. Virol., 1991, 65(9), 4999-5006. [CrossRef]
- Iorio, R.M., Glickman, R.L., Sheehan, J.P. Inhibition of fusion by neutralizing monoclonal antibodies to the haemagglutinin-neuraminidase glycoprotein of Newcastle disease virus. J. Gen. Virol., 1992, 73(5), 1167-1176. [CrossRef]
- Gong, Y., Cui, Z. Epitope variation in the Newcastle disease virus HN gene under antibody immune selective pressure in cell culture. Sci. China Life Sci., 2011, 54(5), 474-479. [CrossRef]
- Gu, M., Liu, W., Xu, L., Cao, Y., Yao, C., Hu, S., Liu, X. Positive selection in the hemagglutinin neuraminidase gene of Newcastle disease virus and its effect on vaccine efficacy. Virol. J., 2011, 8, 150. [CrossRef]
- Liu, M., Shen, X., Li, J., Yu, Y., Fan, J., Jia, X., Dai, Y. Efficacy of Newcastle disease LaSota vaccine-induced hemagglutination inhibition antibodies against challenges with heterologous virulent strains of genotypes VII and IX. Vet. Immunol. Immunopathol., 2023, 259, 110591. [CrossRef]








| Chicken groups (Number) | Age (days) | ||||
| Vaccination | Challenge | ||||
| 4 | 8 | 15 | 28 | ||
| G1 | 25 | PAMP H9 | V4 | V4 | vND-VII.1.1 |
| G2 | 25 | PAMP H9 | LaSota | LaSota | vND-VII.1.1 |
| G3 | 25 | PAMP H9 | - | - | vND-VII.1.1 |
| G4 | 25 | PAMP H9 | - | - | - |
| G5 | 25 | - | V4 | V4 | vND-VII.1.1 |
| G6 | 25 | - | LaSota | LaSota | vND-VII.1.1 |
| G7 | 25 | - | - | - | vND-VII.1.1 |
| G8 | 25 | - | - | - | - |
| Groups | Organ histopathological lesion score | ||||||
|---|---|---|---|---|---|---|---|
| Trachea | Lung | Thymus glands | Spleen | Bursa of Fabricius | |||
| Hemorrhage | Mucosal hyperplasia and metaplasia | Hemorrhage | Congestion | Necrosis and lymphoid depletion | Necrosis and multifocal lymphoid depletion | Necrosis and lymphoid depletion | |
| 1 | 0.3±0.153de | 0.5±0.167d | 0.30±0.153de | 0.6±0.221c | 0.3±0.153de | 0.6±0.163c | 0.3±0.153de |
| 2 | 2.1±0.233c | 2.5±0.269c | 2.0±0.258c | 3.1±0.233ab | 1.8±0.249c | 2.2±0.2b | 1.7±0.213bc |
| 3 | 2.8±0.2bc | 3.5±0.167ab | 3.4±0.163ab | 2.6±0.163b | 2.5±0.167bc | 3.2±0.327a | 3.3±0.213a |
| 4 | 0.0±0.0e | 0.0±0.0d | 0.0±0.0e | 0.0±0.0c | 0.0±0.0e | 0.0±0.0c | 0.0±0.0e |
| 5 | 1.0±0.149de | 0.6±0.163d | 0.9±0.180d | 0.8±0.249c | 1.0±0.0d | 0.7±0.260c | 1.0±0.258cd |
| 6 | 3.0±0.333ab | 2.9±0.233bc | 2.8±0.291b | 2.9±0.233ab | 3.2±0.249ab | 3.0±0.211ab | 2.4±0.163b |
| 7 | 3.8±0.133ab | 3.9±0.1a | 3.7±0.153a | 3.5±0.167a | 3.7±0.213a | 3.5±0.167a | 3.8±0.2a |
| 8 | 0.0±0.0e | 0.0±0.0d | 0.0±0.0e | 0.0±0.0c | 0.0±0.0e | 0.0±0.0c | 0.0±0.0e |
| Groups | HI titers for ND | HI titers for LPAIV-H9N2 | ||||||||
| Age (days) | Age (days) | |||||||||
| 7 | 14 | 21 | 28 | 35 | 7 | 14 | 21 | 28 | 35 | |
| 1 | 7.38±1.017a | 3.13±0.350bcd | 4.63±0.420a | 4.75±0.366a | 8.00±0.327c | 7.00±0.000b | 4.00±0.267ab | 2.13±0.295ab | 3.25±0.881ab | 7.25±0.559a |
| 2 | 6.88±0.854ab | 3.00±0.000cd | 2.13±0.227bc | 4.13±0.515a | 10.63±0.263ab | 11.13±0.515a | 4.00±0.189ab | 1.63±0.324abc | 1.63±0.460bcd | 6.00±0.567a |
| 3 | 6.50±0.756ab | 3.75±0.313abc | 1.75±0.164c | 1.00±0.000b | 0.00±0.000d (NA) | 6.75±0.412b | 4.13±0.125a | 1.75±0.164abc | 5.00±0.500a | 0.00±0.000b(NA) |
| 4 | 4.50±0.189b | 3.13±0.125bcd | 2.63±0.653bc | 1.38±0.183b | 0.13±0.125d | 7.63±0.625b | 3.75±0.164ab | 1.00±0.000c | 2.88±0.350bc | 6.88±0.833a |
| 5 | 4.63±0.375ab | 3.00±0.000cd | 4.25±0.164a | 5.25±0.313a | 9.38±0.596b | 7.75±0.366b | 3.25±0.164b | 1.75±0.313abc | 1.25±0.164cd | 1.25±0.491b |
| 6 | 5.00±0.378ab | 4.25±0.164a | 4.63±0.460a | 2.13±0.125b | 11.00±0.378a | 7.00±0.000b | 4.00±0.189ab | 1.38±0.183bc | 1.00±0.000cd | 0.25±0.250b |
| 7 | 5.13±0.295ab | 2.63±0.263d | 2.63±0.324bc | 1.50±0.189b | 0.00±0.000d (NA) | 7.00±0.000b | 3.88±0.125ab | 2.13±0.227ab | 0.88±0.125d | 0.13±0.125b(NA) |
| 8 | 5.25±0.412ab | 4.13±0.295ab | 3.63±0.183ab | 1.00±0.000b | 0.38±0.183d | 8.13±0.441b | 3.88±0.227ab | 2.63±0.263a | 1.13±0.125b | 0.13±0.125b |
| Age (days) | Groups | ||||||||
| 1 | 2 | 3 | 4 | 5 | 6 | 7 | 8 | ||
| IL1β (pg/ml) |
17 | 280.2±7.838a | 220±4.899d | 274.2±1.960ab | 237.8±13.962cd | 256.6±0.980abc | 243.2±0.735bcd | 260.8±11.758abc | 263.4±0.245abc |
| 21 | 312.2±15.432bc | 376.8±1.715ab | 349.2±22.780abc | 410.8±0.490a | 256.2±46.50c | 377±3.674ab | 406.2±7.838ab | 374.4±22.290ab | |
| 28 | 364.8±13.962ab | 264.6±5.144c | 323.2±0.735a | 306±2.449ab | 256.4±1.470c | 268.6±9.553bc | 258.2±14.207c | 290.6±9.553abc | |
| 31 | 284.4±8.328 | 319.6±18.126 | 318.4±20.576 | 263.8±37.232 | 299.2±7.838 | 255.2±4.164 | 281.4±0.980 | 303.8±6.200 | |
| CD4 (ng/ml) |
17 | 4.4±0.245b | 5.0±0.0ab | 5.0±0.0ab | 4.6±0.245b | 4.4±0.245b | 5.0±0.0ab | 5.0±0.0ab | 5.6±0.245a |
| 21 | 5.0±0.0bc | 6.0±0.0a | 5.6±0.245ab | 6.0±0.0a | 4.6±0.245c | 4.6±0.245c | 5.0±0.0bc | 5.0±0.0bc | |
| 28 | 5.0±0.0c | 5.0±0.0c | 5.0±0.0c | 5.6±0.245bc | 5.2±0.2c | 6.0±0.0ab | 5.6±0.245bc | 6.4±0.245a | |
| 31 | 5.6±0.245b | 5.6±0.245b | 5.0±0.0b | 5.4±0.245b | 6.0±0.0ab | 5.0±0.0b | 6.0±0.0ab | 7.2±0.735a | |
| LYZ (ng/ml) |
17 | 112.2±1.715b | 113.8±0.735ab | 116.6±0.980ab | 115±1.225ab | 115±2.449ab | 111.4±0.980b | 115.6±0.245ab | 119.2±0.490a |
| 21 | 112.2±0.735cd | 115±0.0bc | 109.6±1.470d | 113.4±0.245c | 111.6±0.980cd | 120.6±0.245a | 112.2±0.735cd | 118.2±0.490ab | |
| 28 | 107.2±1.715c | 109±0.0bc | 111.4±2.694bc | 113.8±0.490ab | 106.4±0.245c | 109.2±0.490bc | 111.8±0.800bc | 119.8±1.715a | |
| 31 | 104.4±0.980c | 116.4±0.245bc | 113.4±2.694bc | 117.4±0.490bc | 113.2±0.490bc | 119.8±7.838ab | 132.6±3.429a | 123±0.0ab | |
| NO (μmol/L) |
17 | 62.2±1.715b | 63.8±0.735ab | 66.6±0.980ab | 65±1.225ab | 65±2.449ab | 61.4±0.980b | 65.6±0.245ab | 69.2±0.490a |
| 21 | 62.2±0.735cd | 65±0.0bc | 59.6±1.470d | 63.4±0.245c | 61.6±0.980cd | 70.6±0.245a | 62.2±0.735cd | 68.2±0.490ab | |
| 28 | 57.2±1.715c | 59±0.0bc | 61.4±2.694bc | 63.8±0.490ab | 56.8±0.374c | 59.2±0.490bc | 61.8±0.800bc | 69.8±1.715a | |
| 31 | 54.4±0.980c | 66.4±0.245bc | 63.4±2.694bc | 67.4±0.980bc | 63.2±0.490bc | 69.8±7.838ab | 82.6±3.429a | 73±0.0ab | |
Disclaimer/Publisher’s Note: The statements, opinions and data contained in all publications are solely those of the individual author(s) and contributor(s) and not of MDPI and/or the editor(s). MDPI and/or the editor(s) disclaim responsibility for any injury to people or property resulting from any ideas, methods, instructions or products referred to in the content. |
© 2023 by the authors. Licensee MDPI, Basel, Switzerland. This article is an open access article distributed under the terms and conditions of the Creative Commons Attribution (CC BY) license (https://creativecommons.org/licenses/by/4.0/).
