Submitted:
31 October 2023
Posted:
01 November 2023
You are already at the latest version
Abstract
Keywords:
Introduction
Materials and methods
- Bacterial cultures
- Samples
- Clearance test
- Double layer plaque assay
- Spot test with Mitomycin induction to detect temperate phages
- Electron Microscopic studies
Result and Discussion
- Screening and Isolation of bacteriophages
- Clearance tests

- Double layer plaque assay
- Induction of phage with mitomycin







- Spot test
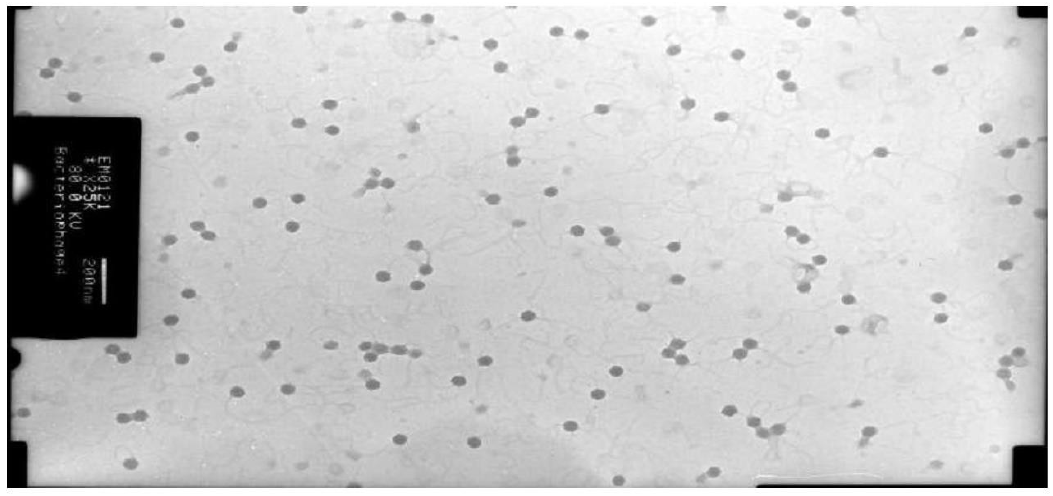
- Electron microscopic studies
Conclusion
References
- Beatriz del Río, María Cruz Martín, Víctor Ladero, Noelia Martínez, Daniel M. Linares, María Fernández and Miguel A. Alvarez (2012). Bacteriophages in Dairy Industry: PCR Methods as Valuable Tools, Bacteriophages, Dr. Ipek Kurtboke (Ed.), InTech. [CrossRef]
- Canchaya C, Proux C, Fournous G, Bruttin A, Brüssow H.(2003). Prophage genomics. Microbiol Mol Biol Rev. 67:238–76. [CrossRef]
- Carine Farenc, Silvia Spinelli, Evgeny Vinogradov, Denise Tremblay, Stéphanie Blangy, Irina Sadovskaya, Sylvain Moineau, and Christian Cambillau (2014). Molecular Insights on the Recognition of a Lactococcus lactis Cell Wall Pellicle by the Phage 1358 Receptor Binding Protein. J Virol. 2014 Jun; 88(12): 7005–7015. [CrossRef]
- D. Lillehaug (1997). An improved plaque assay for poor plaque-producing temperate lactococcal bacteriophages. Journal of Applied Microbiology 1997, 83, 85–90. [CrossRef]
- Dairy reporter, (2016). Yogurt market can hit $1bn by 2021 in India: Report.
- Davidson BE, Powell IB, Hillier AJ. Temperate bacteriophages and lysogeny in lactic acid bacteria. (1990). FEMS Microbiol Rev.7:79–90.
- E. Jończyk, M. Kłak, R. Międzybrodzki, and A. Górski (2011) The influence of external factors on bacteriophages—review Folia Microbiol (Praha). May; 56(3): 191–200. [CrossRef]
- Emond E, Moineau S. Bacteriophages and food fermentations. In: McGrath S, van Sinderen D, eds. (2007). Bacteriophage: Genetics and Molecular Biology. Horizon Scientific Press/Caister Academic Press 2007; 93- 124.
- Global agricultural information network, (2015). USDA Foreign agricultural service. GAIN report number: IN5125 dated 30.09.2015.
- Jarvis, A.W. (1989). Bacteriophages of lactic acid bacteria. J.Dairy Sci. 72:3406-3428. [CrossRef]
- Khakhria R, Duck D, Lior H (1990). Extended phage-typing scheme for Escherichia coli O157:H7.. Dec;105(3):511-20. [CrossRef]
- Mullan, W.M.A. (2002). Plaque formation. [On-line]. Available from:https://www.dairyscience.info/index.php/enumeration-of-lactococcal-bacteriophages/plaque- formation.html. Accessed: 14 June, 2016. Updated January 2015.
- Muyad M. M. (2009). Molecular identification of Pseudomonas auroginosa and its phage effect on those bacterial strain.
- S. Plessas, A. Alexopoulos, C. Voidarou, E. Stavropoulou, E. Bezirtzoglou. (2011). Microbial ecology and quality assurance in food fermentation systems. The case. [CrossRef]
- Silvio B Santos, Carla M Carvalho, Sanna Sillankorva, Ana Nicolau, Eugenio C Ferreira and Joana Azeredo (2009). The use of antibiotics to improve phage detection and enumeration by the double –layer agar technique. BMC Microbiology, 2009, 9: 148. [CrossRef]
- Whitehead and Huntera1 Starter cultures for cheese manufacture: Further attempts to eliminate failures due to bacteriophage (2009). Journal of Dairy Research volume 12 / Issue 01 / January 1941, pp 63-70. [CrossRef]
- Suárez V, Zago M, Quiberoni A, Carminati D, Giraffa G, Reinheimer J.(2008). Lysogeny in Lactobacillus delbrueckii strains and characterization of two new temperate prolate-headed bacteriophages. J Appl Microbiol. 2008;105:1402–11. [CrossRef]
- Suarez, V.B, Quiberoni. A, Binetti, A.G and Reinheimer, J.A (2002). Thermophilic lactic acid bacteria phages isolated from Argentinian Dairy Industries. Journal of Food protection, Vol 65, No.10, 2002, pages 1597-1604. [CrossRef]
- Svenson, U., and A. Christiansson. (1991). Methods for phage monitoring. Bull. FIL-IDF 263(4): 29-39.
- Tammelin A. (1992). Staphylococus aureus surgical wound infection; possibility of preventing wound infection by use of bacteriophages. Nature. 22:26–31.
- V. K. Shiby & H. N. Mishra (2013) Fermented Milks and Milk Products as Functional Foods—A Review, Critical Reviews in Food Science and Nutrition, 53:5, 482-496. [CrossRef]
- Ventura M, Zomer A, Canchaya C, O’Connell-Motherway M, Kuipers O, Turroni F, et al. (2007). Comparative analyses of prophage-like elements present in two Lactococcus lactis strains. Appl Environ Microbiol. 73:7771–80. [CrossRef]
- Whitehead, H.R. (1953). Bacteriophage in cheese manufacture. Bacteriol.Rev.17:109-123.
- X. Zhang,J. Kong,Y. Qu. (2006). Isolation and characterization of a Lactobacillus fermentum temperate bacteriophage from Chinese yogurt. Journal of Applied Microbiology. Volume 102, Issue 2, 607. [CrossRef]


Disclaimer/Publisher’s Note: The statements, opinions and data contained in all publications are solely those of the individual author(s) and contributor(s) and not of MDPI and/or the editor(s). MDPI and/or the editor(s) disclaim responsibility for any injury to people or property resulting from any ideas, methods, instructions or products referred to in the content. |
© 2023 by the authors. Licensee MDPI, Basel, Switzerland. This article is an open access article distributed under the terms and conditions of the Creative Commons Attribution (CC BY) license (http://creativecommons.org/licenses/by/4.0/).