Submitted:
16 August 2023
Posted:
17 August 2023
You are already at the latest version
Abstract
Keywords:
1. Introduction
2. Materials and Methods
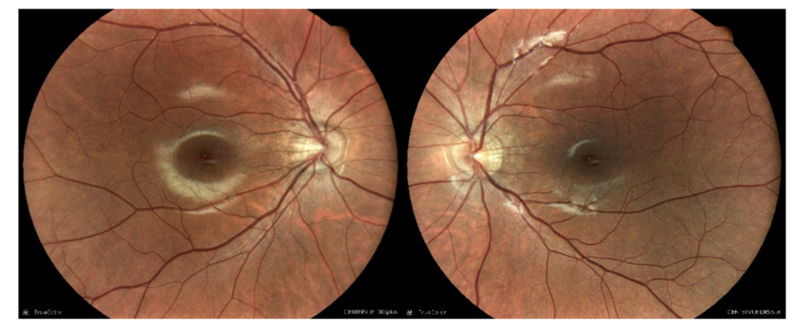
Case Presentation

3. Discussion
Review of Literature
4. Conclusions
Author Contributions
Funding
Institutional Review Board Statement
Informed Consent Statement
Data Availability Statement
Acknowledgments
Conflicts of Interest
References
- Alassaf, A.; Mohamed, K.; Al Otaiby, A.; Al Wraidat, M.; Nashwan, A.J. Optic Neuritis in a Child With Poorly Controlled Type 1 Diabetes Mellitus: A Case Report. Cureus 2023, 15, e33474. [Google Scholar] [CrossRef] [PubMed]
- Tian, Y.; Hu, W.; Yan, Q.; Feng, B. Benefit or Risk in Patient with Type 1 Diabetes Based on Appropriated Dosage of Dapagliflozin: A Case Report. Medicina 2023, 59, 827. [Google Scholar] [CrossRef] [PubMed]
- Li, Y.; Baccouche, B.; Del-Risco, N.; Park, J.; Song, A.; McAnany, J.J.; Kazlauskas, A. The Slow Progression of Diabetic Retinopathy Is Associated with Transient Protection of Retinal Vessels from Death. Int. J. Mol. Sci. 2023, 24, 10869. [Google Scholar] [CrossRef] [PubMed]
- Kim, J.-T.; Na, Y.-J.; Lee, S.-C.; Lee, M.-W. Impact of high myopia on inner retinal layer thickness in type 2 diabetes patients. Sci. Rep. 2023, 13, 1–7. [Google Scholar] [CrossRef]
- Bin Lim, H.; Shin, Y.-I.; Lee, M.W.; Lee, J.-U.; Lee, W.H.; Kim, J.-Y. Association of Myopia with Peripapillary Retinal Nerve Fiber Layer Thickness in Diabetic Patients Without Diabetic Retinopathy. Investig. Opthalmology Vis. Sci. 2020, 61, 30–30. [Google Scholar] [CrossRef]
- Seo, S.; Lee, C.E.; Jeong, J.H.; Park, K.H.; Kim, D.M.; Jeoung, J.W. Ganglion cell-inner plexiform layer and retinal nerve fiber layer thickness according to myopia and optic disc area: a quantitative and three-dimensional analysis. BMC Ophthalmol. 2017, 17, 1–8. [Google Scholar] [CrossRef]
- Harteveld, C.L.; Achour, A.; Arkesteijn, S.J.G.; ter Huurne, J.; Verschuren, M.; Bhagwandien-Bisoen, S.; Schaap, R.; Vijfhuizen, L.; el Idrissi, H.; Koopmann, T.T. The hemoglobinopathies, molecular disease mechanisms and diagnostics. Int. J. Lab. Hematol. 2022, 44, 28–36. [Google Scholar] [CrossRef]
- Russo, R.; Zucchelli, S.; Codrich, M.; Marcuzzi, F.; Verde, C.; Gustincich, S. Hemoglobin is present as a canonical α2β2 tetramer in dopaminergic neurons. Biochim. et Biophys. Acta (BBA) - Proteins Proteom. 2013, 1834, 1939–1943. [Google Scholar] [CrossRef]
- Klonoff, D.C. Hemoglobinopathies and Hemoglobin A1c in Diabetes Mellitus. J. Diabetes Sci. Technol. 2019, 14, 3–7. [Google Scholar] [CrossRef]
- Spandana, R.; Panneerselvam, K.; Mani, S.; Krishnamoorthy, N. An Interesting and Rare Case of Hemoglobin D-Punjab Variant in Tamil Nadu. Cureus 2022, 14, e22668. [Google Scholar] [CrossRef]
- Devi, A.M.S.; Rameshkumar, K.; Sitalakshmi, S. Hb D: A Not So Rare Hemoglobinopathy. Indian J. Hematol. Blood Transfus. 2014, 32, 294–298. [Google Scholar] [CrossRef] [PubMed]
- Surchi, H.; Rea, R. A case of haemoglobinopathy and elevated HbA1c. Pr. Diabetes 2017, 34, 28–29. [Google Scholar] [CrossRef]
- Little, R.R.; Rohlfing, C.L.; Hanson, S.; Connolly, S.; Higgins, T.; Weykamp, C.W.; D'Costa, M.; Luzzi, V.; E Owen, W.; Roberts, W.L. Effects of Hemoglobin (Hb) E and HbD Traits on Measurements of Glycated Hb (HbA1c) by 23 Methods. Clin. Chem. 2008, 54, 1277–1282. [Google Scholar] [CrossRef] [PubMed]
- Lorenzo-Medina, M.; De-La-Iglesia, S.; Ropero, P.; Martin-Alfaro, R.; Quintana-Hidalgo, L. Interference of Hemoglobin D on Measurements of Hemoglobin A1c by the High-Performance Liquid Chromatography HA-8160 in 27 Patients. J. Diabetes Sci. Technol. 2012, 6, 1235–1237. [Google Scholar] [CrossRef]
- Pinés Corrales PJ, Martínez López R, González Cabrera A, Ibáñez Navarro P, Vicente Albiñana Á. Interference of Hb D-Los Angeles on the measurement of glycated hemoglobin. A case report. Endocrinol Diabetes Nutr. 2017 Jan;64(1):57-58.
- Copplestone, S.; Mackay, R.; Brennan, S. Normal glycated haemoglobin in a patient with poorly controlled diabetes mellitus and haemoglobin D Punjab: implications for assessment of control. New Zealand Med J. 2002, 115. [Google Scholar]
- Shukla, A.; Dabadghao, S.; Gupta, S.; Verma, S. Interference of hemoglobin D Punjab on measurements of glycated hemoglobin. Indian J. Pathol. Microbiol. 2015, 58, 572. [Google Scholar] [CrossRef]
- Joseph, I. Wolfsdorf, Katharine C. Garvey, Chapter 49 - Management of Diabetes in Children; Endocrinology: Adult and Pediatric (Seventh Edition), W.B. Saunders, 2016; ISBN 9780323189071. [Google Scholar]
- Hatayama, T.; Umeda, F.; Yamauchi, T.; Ideguchi, H. A diabetic patient in whom Hb Weesp was incidentally detected when her HbA1c level was measured. Diabetol. Int. 2019, 10, 300–302. [Google Scholar] [CrossRef]
- Georgia Kaiafa and others, Is HbA1c an ideal biomarker of well-controlled diabetes?, Postgraduate Medical Journal, Volume 97, Issue 1148, June 2021, Pages 380–383, https://doi.org/10.1136/postgradmedj-2020-138756. [CrossRef]
- Al Harbi, M.; Khandekar, R.; Kozak, I.; Schatz, P. Association between Sickle Cell Trait and the Prevalence and Severity of Diabetic Retinopathy. PLOS ONE 2016, 11, e0159215. [Google Scholar] [CrossRef]
- Dan, A.O.; Ștefănescu-Dima, A.; Bălășoiu, A.T.; Puiu, I.; Mocanu, C.L.; Ionescu, M.; Tănasie, A.C.; Târtea, A.E.; Sfredel, V. Early Retinal Microvascular Alterations in Young Type 1 Diabetic Patients without Clinical Retinopathy. Diagnostics 2023, 13, 1648. [Google Scholar] [CrossRef] [PubMed]
- Handa, S.; Chia, A.; Htoon, H.; Lam, P.; Yap, F.; Ling, Y. Myopia in young patients with type 1 diabetes mellitus. Singap. Med J. 2015, 56, 450–454. [Google Scholar] [CrossRef] [PubMed]
- Cordain, L.; Eaton, S.B.; Miller, J.B.; Lindeberg, S.; Jensen, C. An evolutionary analysis of the aetiology and pathogenesis of juvenile-onset myopia. Acta Ophthalmol. Scand. 2002, 80, 125–135. [Google Scholar] [CrossRef] [PubMed]
- Xiao, Y.; Qian, Y.; Yang, C.; Zou, H. Is myopia accelerated in type 1 diabetes mellitus children? Analyses from the ocular parameters. BMC Ophthalmol. 2023, 23, 1–8. [Google Scholar] [CrossRef] [PubMed]
- Su, R.; Jia, Z.; Fan, F.; Li, J.; Li, K. Clinical Observation of Macular Vessel Density in Type 2 Diabetics with High Myopia. Ophthalmic Res. 2022, 124–130. [Google Scholar] [CrossRef]
- Seget, S.; Włodarczyk, J.; Lutogniewska, W.; Rusak, E.; Dróżdż, M.; Jarosz-Chobot, P. The Use of a Hybrid Closed-Loop System for Glycemic Control in Two Pediatric Patients with Type 1 Diabetes Undergoing Minor Surgery. Healthcare 2023, 11, 587. [Google Scholar] [CrossRef]
- Ştefănescu-Dima, A. .; Corîci, C.A.; Mănescu, M.R.; Sas, T.N.; Iancău, M.; Mocanu, C.L. Posterior vitreous detachment and macular anatomical changes - a tomographic-electroretinographic study. Romanian J. Morphol. Embryol. 2016, 57, 751–758. [Google Scholar]

| Laboratory Test (Units) | Results | Reference Range |
|---|---|---|
| C-reactive protein (CRP) (mg/dL) | 0.09 | < 0.5 |
| Alanine transaminase (ALT) (IU/L) | 11.1 | < 33 |
| Aspartate aminotransferase (AST) (IU/L) | 14.6 | < 32 |
| Total bilirubin (mg/dL) | 0.39 | ≤ 1 |
| Direct bilirubin (mg/dL) | 0.14 | ≤ 0.3 |
| Indirect bilirubin (mg/dL) | 0.25 | ≤ 1 |
| Glycated hemoglobin (Hb A1c) (%) | 6.5 | ≥ 6.5 diabetes mellitus |
| Rheumatoid factor (UI/mL) | < 10 | < 14 |
| Serum Iron (µg/dL) | 51.2 | 33 - 193 |
| Urine Albumin (mg/L) | 8.1 | |
| Urine Creatinine (mg/dL) | 136.4 | |
| Urine Albumin-Creatinine Ratio (uACR) (mg/g) | 5.93 | < 30 |
| Hemoglobin electrophoresis(EDTA Blood/ Capillary electrophoresis) | ||
| Hemoglobin A (%) | 56.6 | 96.7 – 97.8 |
| Hemoglobin A2 (%) | 3 | 2.2 – 3.2 |
| Abnormal Hemoglobin Fractions * | 40.4 | |
| Hemoglobin (g/dL) | 12.7 | 11.7 - 15.5 |
| White blood cells (WBC) (103/µL) | 8.97 | 4 - 10 |
| Red blood cells (RBC) (106/µL) | 4.54 | 3.8 - 5.1 |
| Hematocrit (%) | 37 | 35 - 45 |
| Platelets (103/µL) | 358 | 150 - 450 |
| Thrombin Time (seconds) | 12 | 9.8 - 12.1 |
| INR | 1.04 | |
| Partial Thromboplastin Time (seconds) | 30.9 | 21.6 - 28.7 |
| Ionized Calcium (mg/dL) | 4.04 | 3.82 - 4.82 |
| Serum Calcium (mg/dL) | 9.24 | 8.6 - 10 |
| Total serum protein (g/dL) | 7.14 | 6.6 - 8.7 |
| HDL cholesterol (mg/dL) | 57.2 | ≥ 60 |
| LDL cholesterol (mg/dL) | 89.9 | < 100 |
| Triglyceride (mg/dL) | 12.7 | < 30 |
| Total cholesterol (mg/dL) | 151.2 | < 200 |
| Serum lipids (mg/dL) | 493.7 | 400 - 700 |
| Serum creatinine (mg/dL) | 0.61 | < 1.1 |
| Glomerular filtration rate (ml/min/1.73 m2) | 130 | ≥ 90 |
| Urine white blood cells (/µL) | 100 | negative |
| Urine protein (mg/dL) | negative | negative |
| Urine glucose (mg/dL) | 300 | negative |
| Authors | Article Title | Type of Study/Year Published | Description of Results |
|---|---|---|---|
| Little RR, Rohlfing CL, Hanson S, Connolly S, Higgins T, Weykamp CW, D'Costa M, Luzzi V, Owen WE, Roberts WL. | Effects of hemoglobin (Hb) E and HbD traits on measurements of glycated Hb (HbA1c) by 23 methods [13] | Original research paper/ 2008 | The ion-exchange HPLC methods showed interference from HbD traits, producing artificially low HbA1c results. |
| Lorenzo-Medina M, De-La-Iglesia S, Ropero P, Martin-Alfaro R, Quintana-Hidalgo L. | Interference of Hemoglobin D on Measurements of Hemoglobin A1c by the High-Performance Liquid Chromatography HA-8160 in 27 Patients [14] | Original research paper/ 2012 |
For 16 patients, the HPLC method indicated “abnormal separation,” and no result was given for HbA1c. For the remaining 11 patients, the HbA1c results were abnormally low compared to the patient’s respective fasting glucose concentrations. |
| Pinés Corrales PJ, Martínez López R, González Cabrera A, Ibáñez Navarro P, Vicente Albiñana Á. | Interference of Hb D-Los Angeles on the measurement of glycated hemoglobin. A case report [15] | Case Report/ 2017 |
Patient known with type 2 diabetes for over 25 years treated with insulin for over 15 years was heterozygous for Hb D-Los Angeles. Using the HPLC for the HbA1c assay, HbA1c levels were low compared to those of serum glucose. |
| Copplestone S, Mackay R, Brennan S. | Normal glycated haemoglobin in a patient with poorly controlled diabetes mellitus and haemoglobin D Punjab: implications for assessment of control [16] | Case Report/ 2002 |
The Hb D variant reduces the apparent value for total HbA1c, when assessed by HPLC method. |
| Shukla A, Dabadghao S, Gupta S, Verma S. | Interference of hemoglobin D Punjab on measurements of glycated hemoglobin | Case Report/ 2015 | In this case due to interference of HbD, the results obtained for HbA1c using HPLC were falsely elevated. |
Disclaimer/Publisher’s Note: The statements, opinions and data contained in all publications are solely those of the individual author(s) and contributor(s) and not of MDPI and/or the editor(s). MDPI and/or the editor(s) disclaim responsibility for any injury to people or property resulting from any ideas, methods, instructions or products referred to in the content. |
© 2023 by the authors. Licensee MDPI, Basel, Switzerland. This article is an open access article distributed under the terms and conditions of the Creative Commons Attribution (CC BY) license (http://creativecommons.org/licenses/by/4.0/).