Submitted:
11 July 2023
Posted:
12 July 2023
You are already at the latest version
Abstract
Keywords:
1. Introduction
2. Materials and Methods

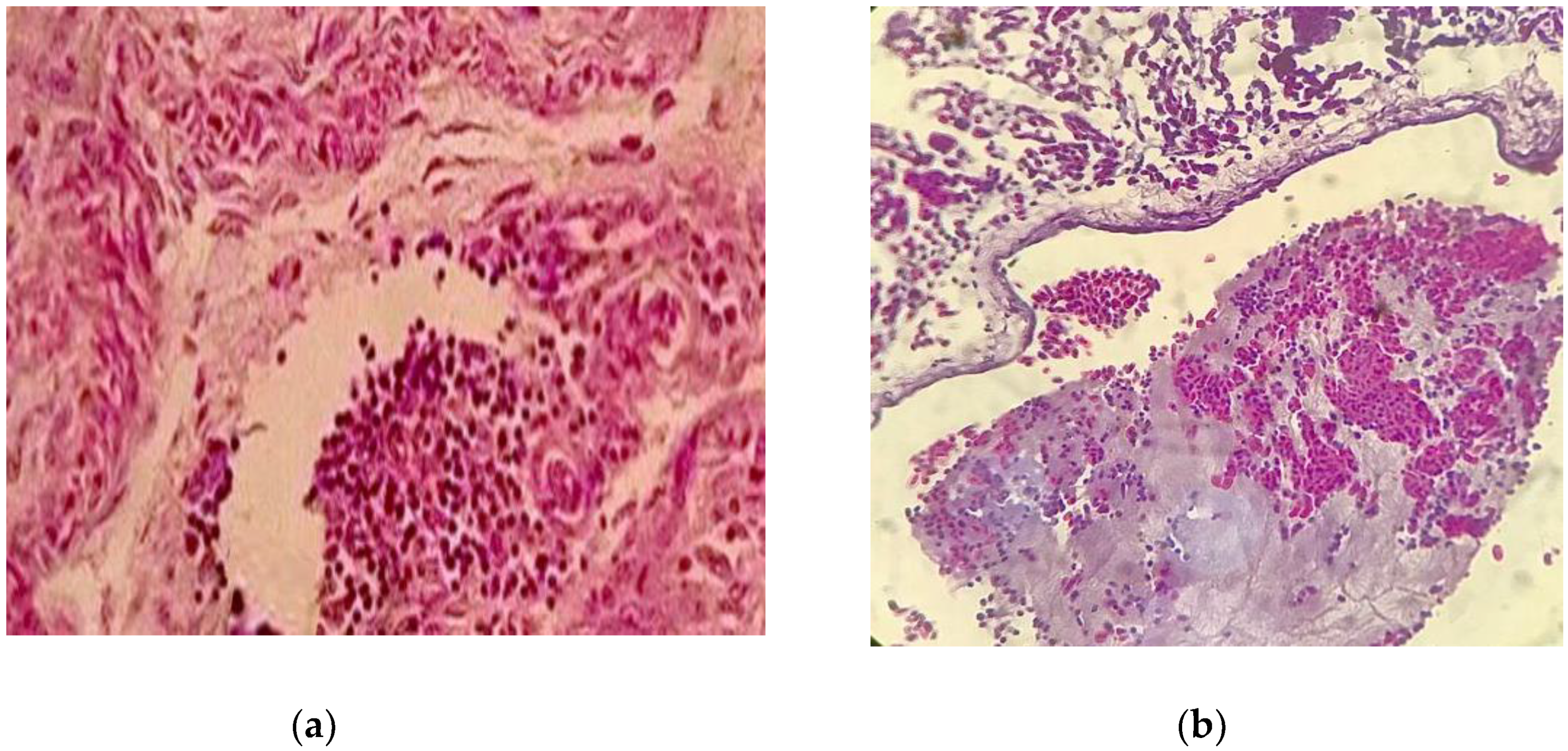
3. Results


4. Discussion
5. Conclusions
Author Contributions
Institutional Review Board Statement
Informed Consent Statement
Data Availability Statement
Acknowledgments
Conflicts of Interest
References
- McClure, C. J. W.; Schulwitz, S. E.; Anderson, D. L.; Robinson, B. W.; Mojica, E. K. Therrien, J. F.; Oleyar, M. D.; Johnson, J. Commentary: defining raptors and birds of prey. J. Raptor Res. 2019, 53, 419-430. [CrossRef]
- Comitê Brasileiro de Registros Ornitológicos (CBRO). Available online: http://www.cbro.org.br/listas (accessed on 01 March 2023).
- Enríquez, P. L.; Eisermann, K.; Mikkola, H.; Motta-Junior, J. C. A review of the Systematics of Neotropical Owls (Strigiformes). In Neotropical Owls; Enriquez, P. (eds); Springer: Cham, 2017, pp. 7-19. [CrossRef]
- Silva, A. S.; Zanette, R. A.; Lara, V. M.; Gressler, L. T.; Carregaro, A. B.; Santurio, J. M; Monteiro, S. G. Gastrointestinal parasites of owls (Strigiformes) kept in captivity in the Southern region of Brazil. Parasitol. Res. 2009, 104, 485-487. [CrossRef]
- Andery, D. A.; Ferreira Junior, F. C.; Araújo, A. V.; Vilela, D. A. R.; Marques, M. V. R.; Marin, S. Y.; Horta, R. S.; Ortiz, M. C.; Resende, J. S.; Martins, N. R. S. Health assessment of raptors in triage in Belo Horizonte, Mg, Brazil. Braz. J. Poult. Sc. 2013, 15, 247-256. [CrossRef]
- Motta-Junior, J. C. Diet of breeding Tropical Screech-Owls (Otus choliba) in Southeastern Brazil. J. Raptor Res. 2002, 36, 332-334.
- Costa, I. A.; Coelho, C. D.; Bueno, C.; Ferreira, I.; Freire, R. B. Ocorrência de parasitos gastrointestinais em aves silvestres no município de Seropédica, Rio de Janeiro, Brasil. Cien. Anim. Bras. 2010, 11, 914-922. [CrossRef]
- Catão-Dias, J. L. Doenças e seus impactos sobre a biodiversidade. Cien. Cult. 2003, 55, 32-34.
- Guilherme, E.; Souza, I.R. Nestling development of the tropical screech-owl (Megascops choliba): a successful case report from the southwestern Amazon. Acta Amaz. 2017, 47, 269-272. [CrossRef]
- Von Matter, S.; Straube, F.C.; Accordi, I.A.; Piacentini, V.d.Q.; Cândido Júnior, J.F. Ornitologia e Conservação: Ciência Aplicada, Técnicas de Pesquisa e Levantamento. Technical Books Editora: Rio de Janeiro, Brasil, 2010, 516p.
- Hoffman, R. P. Diagnóstico de parasitismo veterinário. Editora Sulina: Porto Alegre, Brasil, 1987, 156p.
- Majó, N.; Dolz, R. Atlas de la necropsia aviar; Bellaterra: SERVET, Espanha, 2010; pp. 6-22.
- Nunes, C. S.; Cinsa, L. A. Príncipios do processamento histológico de rotina. Rev. Interd. Est.s Exp. 2016, 8, 31-40.
- Faust, E. C.; D’Antoni, J. S.; Odom, V.; Miller, M. J.; Peres, C.; Sawitz, W.; Thomen, L. F.; Tobie, J.; Walker, J. H. A critical study of clinical laboratory technics for the diagnosis of protozoan cysts and helminth eggs in feces. Amer. J. Trop. Med. 1938, 18, 169-183. [CrossRef]
- Krone, O.; Cooper, J. E. Parasitic Diseases. In Birds of Prey: Health & Disease, 3th ed.; Cooper, J. E.; Blackwell: Malden, United States of America, 2002, pp. 105-120.
- Königová, A.; Molnár, L.; Hrcková, G.; Várady, M. The first report of serratospiculiasis in Great Tit (Parus major) in Slovakia. Helmint. 2013, 50, 254-260. [CrossRef]
- Cardoso, S. P.; Blume, G. R.; Barbosa, C. H. G.; Batista, J. S.; Pereira, F. M. A. M.; Reis Junior, J. L.; Sant’Ana, F. J. F. Aerossaculite por diplotrianídeos em aves estrigiformes do Distrito Federal. VIII Encontro Nacional de Diagnóstico Veterinário e III Encontro Internacional de Sanidade de Animais de Produção, Cuiabá, Brasil, 10-13 de Novembro de 2014.
- Al-Timimi, F.; Nolosco, P.; Al-Timimi, P. Incidence and treatment of serratospiculosis in falcons from Saudi Arabia. Vet. Rec. 2009, 165, 408-410. [CrossRef]
- Dolinská, S.; Drutovic, D.; Mlynárcik, P.; Königová, A.; Molnár, L.; Dolinská, M. U.; Strkolcová, G.; Várady, M. Molecular evidence of infection with air saic nematodes in the great tit (Parus major) and the captive-bred gyrfalcon (Falco rusticolus). Parasito. Res. 2018, 117, 3851-3856. [CrossRef]
- Azmanis, P. N.; Krautwald-Junghanns, M. E.; Schmidt, V. Suspected toxicity by biological waste and air saic nematode infestation in a free-living peregrine falcon (Falco peregrinus). J. Hel. Vet.y Med. Soc. 2017, 65, 243-256. [CrossRef]
- Gomez-Puerta, L. A.; Ospina, P. A.; Ramirez, M. G.; Cribillero, N. G. Primer registro de Serratospiculum tendo (Nematoda: Diplotrianidae) para el Perú. Rev. Per. Biol. 2014, 21, 111-114. [CrossRef]
- Ibarra, J.; Merra y Sierra, R. L.; Neira, G.; Ibaceta, D. E. J.; Saggese, M. D. Air sac nematode (Serratospiculum tendo) infection in a Austral Peregrine Falcon (Falco peregrinus cassini) in Argentina. J. Wild. Dis. 2019, 55, 179-182. [CrossRef]
- Tarello, W. Serratospiculosis in falcons from Kuwait: incidence, pathogenicity and treatment with merlasomine and ivermectin. Paras. 2006, 13, 59-63. [CrossRef]
- Sterner, M. C.; Cole, R. A. Diplotrianea, Serratospiculum and Serratospiculoides. In Parasitic Diseases of Wild Birds, Atkinson, C. T.; Thomas, N. J.; Hunter, D. B.; Blackwell: Iowa, United States of America, 2008, pp. 434-439. [CrossRef]
- Cooper, J. E. Nutritional diseases, including poisoning in captive birds. In Birds of Prey: Health & Disease, 3th ed.; Cooper, J. E.; Blackwell: Malden, United States of America, 2002, pp. 143-162.
- Maiorki, K. M.; Fukumoto, N. M. Colibacilose Aviária: Revisão de Literatura. Braz. J. Develop., 2021, 7, 99696-99707. [CrossRef]
- Padial, B. E.; Donnaruma, T. L.; Sater, L. M. A.; Lima, T. G.; Lopez, E. Q. Diagnóstico e reabilitação de Ara-piranga, Ara macao (Linnaeus, 1758), diagnosticada com Escherichia coli, em cativeiro na Fazenda Palmares, Santa Cruz das Palmeiras, SP, Brasil – relato de caso. Braz. J. An. Envir. Res. 2020, 3, 4179-4187. [CrossRef]
- Giacopello, C.; Foti, M.; Mascetti, A.; Grosso, F.; Ricciardi, D.; Fisichella,V.; Lo Piccolo, F. Antimicrobial resistance patterns of Enterobacteriaceae in European wild birds species admitted in a wildlife rescue centre. Vet. Ital. 2016, 52, 139-144.
- Miller, E. A.; Ponder, J. B.; Wilette, M.; Johnson, T. J.; VanderWaal, K. L. Merging metagenomics and spatial epidemiology to understand the distribution of antimicrobial resistence genes from Enterobacteriaceae in wild owls. Appl. Envir. Microb. 2020, 86. [CrossRef]
- Pinto, A.; Simões, R.; Oliveira, M.; Vaz-Pires, P.; Brandão, R.; Costa, P. M. Multidrug resistance in wild bird populations: importance of the food chain. J. Zoo Wild. Med 2015, 46, 723-731. [CrossRef]
- Vidal, A.; Baldomá, L.; Molina-López, R. A.; Martin, M.; Darwich, L. Microbiological diagnosis and antimicrobial sensitivity profiles in diseased free-living raptors. Avian Path. 2017, 46, 442-450. [CrossRef]
- Caliendo, V.; McKinney, P. Fungal airsacculitis associated with serratospiculiasis in captive falcons of United Arab Emirates. Vet Re. 2013, 173, 143. [CrossRef]
Disclaimer/Publisher’s Note: The statements, opinions and data contained in all publications are solely those of the individual author(s) and contributor(s) and not of MDPI and/or the editor(s). MDPI and/or the editor(s) disclaim responsibility for any injury to people or property resulting from any ideas, methods, instructions or products referred to in the content. |
© 2023 by the authors. Licensee MDPI, Basel, Switzerland. This article is an open access article distributed under the terms and conditions of the Creative Commons Attribution (CC BY) license (http://creativecommons.org/licenses/by/4.0/).