1. Introduction
Infections with enterohemorrhagic
Escherichia coli (EHEC) are the most prominent cause of pathogen-induced hemolytic uremic syndrome (HUS), the latter comprised of microangiopathic anemia, thrombocytopenia, and acute renal failure [
1]. HUS is a life-threatening condition, especially in childhood, with a mortality rate of 3-5% [
1,
2]. The major virulence factors involved in EHEC-associated hemolytic uremic syndrome (eHUS) are Shiga toxins (Stxs) [
3,
4]. Currently, the diagnosis of such EHEC infections is determined by examining the patient’s stool for Stx and culturing the causative bacteria [
1,
5,
6,
7].
Following oral transmission, EHEC colonizes the gut and releases Stxs, which subsequently transfer to the bloodstream to reach its target organs, primarily the kidneys [
3,
8]. Consequently, Stxs bind to globotriaosylceramide Gb3Cer or Gb4Cer receptors, found on human kidney cells and in other organs, including intestine and brain [
9,
10,
11,
12], resulting in the internalization of Stxs and consequent inhibition of protein synthesis [
13]. Therefore, Stxs are classified as ribosome-inactivating proteins and in addition are further categorized into two immunologically distinct types, Stx1 and Stx2. The latter, and in particular the Stx2a subtype, is frequently linked to severe disease progression in humans [
14,
15].
Stxs have an AB5 structure consisting of a single enzymatically active A subunit (~32 kDa) and five non-covalently bound B subunits (each ~7.7 kDa). While the B-pentamer is responsible for the binding to respective receptors, the A subunit is responsible for the inhibition of protein synthesis within targeted cells [
16,
17]. During intracellular trafficking, the Stx A subunit is cleaved into two fragments, A1 (~27.5 kDa) and A2 (~4.5 kDa). Nevertheless, the A1 and A2 fragments remain linked via a disulfide bridge until its reduction in the endoplasmic reticulum (ER), enabling the A1 fragment to eventually translocate to the cytosol where it functions as a protein synthesis inhibitor. Furin, an intracellular protease, has been proposed to be the main enzyme responsible for the cleavage of the A subunit [
18]. Nonetheless, further proteases including trypsin, calpain, and mouse pancreatic elastase have been demonstrated to induce cleavage of Stxs [
17,
19,
20]. Interestingly, mouse pancreatic elastase, highly homologous to human chymotrypsin-like elastase 3B (CELA3B), was reported to additionally induce cleavage of the Stx2d A2 fragment, resulting in increased virulence of the toxin in mice [
21,
22]. However, this effect has not been observed for other Stx subtypes.
Recently, the structure of the Stx2a A subunit, and in particular whether it had been cleaved or not, was proven to determine the toxin’s interaction with human blood components and the deriving functional consequences. While both toxin forms (cleaved and uncleaved) are fully active in intoxicating sensitive cells, their properties in blood change somewhat. Uncleaved Stx2a was found to bind to neutrophils and to allow the formation of platelet-leukocyte complexes involved in the pathogenesis of HUS, whereas the cleaved form is unable to determine these effects. Conversely, only cleaved Stx2a was able to bind complement regulator factor H (fH). [
23]
The assessment of the binding behaviour of Stx2a has emphasized the importance of achieving an accurate characterization of the structure of Stx2a from the moment of its synthesis until reaching the target cells. Thereby, understanding the structure – function relationship of Stxs during EHEC infections and its role in eHUS pathogenesis may eventually aid in the development of efficient preventative or therapeutic strategies. Thus, the main aim of the study was to investigate whether the cleavage of Stx2a A subunit could potentially occur prior reaching the target cells, with special focus on the intestine. To this end, Stx2a structure was characterized after exposure to specific host factors in vitro.
2. Materials and Methods
2.1. Stx2a Production and Purification
Stx2a production and purification was performed as described earlier [
23] with two modifications including eliminating the sonication step and performing all purification steps at 4°C instead of room temperature (RT) in order to obtain uncleaved Stx2a. The purity of the protein was evaluated by SDS-PAGE.
2.2. Sampling and Fractioning of Stool
Stool from healthy human volunteers (n=12, 0-99 years) was kindly donated and collected in accordance with the guideline of the Declaration of Helsinki after written consent was given by donors or their legal guardians. After collection, stool samples were stored at 4°C until further processing. Stool samples were diluted 25% (w/v) in 0.9% NaCl and thoroughly mixed. Subsequently, stool suspension was centrifuged (687 g, 5 min, RT) and the supernatant was sterile-filtered (0.2 µm; Sartorius, Göttingen, Germany), and stored at -80°C until further analysis.
Size exclusion chromatography was used to fractionate sterile-filtered supernatant from stool of healthy individuals. Fractionation was performed with an ACQUITY Arc system (Waters Corp, Milford, MA, USA) equipped with a 2998 PDA detector and a WFM-A fraction collector. Separation was performed within 10 min on a XBridge Protein BEH SEC 200 Å column (2.5 µm, 4.6 x 300 mm; Waters Corp, Milford, MA, USA) at 35°C with isocratic solvent composition of 150 mM NaCl and 25 mM Na3PO4 at pH 7.4. The flow rate for the separation was set to 0.7 mL/min with an injection volume of 5 µL. Detection was performed at 280 nm. Each major peak was collected in a separate vial for further analysis. Fractions were recovered in the buffer described above and kept at -80°C until further analysis.
Residue stool samples, from pediatric patients admitted to the Center for HUS Prevention, Control and Management at Pediatric Nephrology, Dialysis and Transplant Unit, Fondazione IRCCS Ca' Granda, Ospedale Maggiore Policlinico, Milan, Italy with a confirmed EHEC infection suffering from different disease progressions including bloody diarrhea and eHUS (n=12) were collected in respect to the guideline of the Declaration of Helsinki and after written consent was given by the patient’s legal guardian. Stool samples were sent to our institution. Solid samples (n=2) and one liquid sample with too little volume were excluded to maintain comparability between patient samples. Remaining liquid stool samples (n=9) were diluted 1:10 in 0.9% NaCl. Subsequently, patient samples were treated and analyzed equally as samples derived from healthy individuals.
2.3. Cleavage of Stx2a A Subunit by Trypsin or Furin
Artificial cleavage of Stx2a A subunit was induced by incubation of Stx2a with trypsin or furin (both Sigma-Aldrich, St. Louis, MO, USA) as described previously [
23]. Artificially cleaved Stxs were used to localize the cleavage site, after SDS-PAGE separation, by mass spectrometry analysis of amino acid sequence, as described in Section 2.7. Trypsin-cleaved (T-cl.) Stx2a served as a positive control for immunoblotting.
2.4. Incubation of Stx2a with Human Stool Supernatant or Its Fractions with or without Protease Inhibitors
Stored sterile-filtered supernatants of human stool were diluted 1:20 (v/v) in 0.9% NaCl. In absence of any protease inhibitors, diluted supernatants or their fractions (10 µL) were supplemented with Stx2a (0.3µg in 1% (w/v) bovine serum albumin (BSA) / phosphate buffered saline (PBS)) and incubated (10, 15 or 30 min as indicated, 37°C) with continuous shaking. Stx2a or T-cl. Stx2a (both 0.3-0.8 µg) in 0.9% NaCl (10 µL) were treated equally and used as controls. In the setup including protease inhibitors, prior to the addition of Stx2a, 1 µL of 10, 20 or 200 mM 4-(2-Aminoethyl)-benzolsulfonylfluorid (AEBSF) (Sigma-Aldrich), 0.5 mM Bestatin (Sigma-Aldrich), 0.16 mM E-64 (Sigma-Aldrich), 0.1 mM Pepstatin A (Sigma-Aldrich), 0.2 mM Leupeptin (Merck), 0.0008 mM Aprotinin (Merck) or protease inhibitor cocktail (Sigma-Aldrich) was added to diluted stool supernatants (10 µL) and incubated (10-15 min, 37°C, shaking). After this pre-incubation, Stx2a was added and samples were treated under the same conditions as the setup without protease inhibitors. Samples were separated by SDS-PAGE and the structure of the Stx2a A subunit was successively assessed by Western blot as described in Section 2.6.
In order to assess the exact cleavage site of Stx2a A subunit after contact with human stool components, sterile-filtered human stool supernatant were diluted 1:2 or 1:4 (v/v) in 0.9% NaCl (20 µL) and incubated (2 h, 37°C, shaking) with Stx2a (5 µg). After SDS-PAGE separation, the localization of the cleavage site was analyzed by mass spectrometric analysis of the amino acid sequence, as explained in Section 2.7.
2.5. Incubation of Stx2a with Recombinant CELA3B
To investigate the structure of Stx2a A subunit under the influence of CELA3B, 0.125, 1, or 2 µg of recombinant human CELA3B (Cloud-Clone, Houston, TX, USA) diluted in buffer (20 mM Tris-HCl 150 mM NaCl pH 8) was incubated with Stx2a (0.3 µg) in 1% BSA in PBS (w/v) (2 or 16 h, 37°C, shaking). Stx2a diluted only in buffer incubated under the same conditions served as the control. Samples were separated in an SDS-PAGE and the structure of the Stx2a A subunit was subsequently assessed by Western blot, as described in Section 2.6.
In order to assess the exact cleavage site of Stx2a A subunit after contact with recombinant human CELA3B (Cloud-Clone), Stx2a (5 g) was incubated with CELA3B (2 µg) (2 h, 37°C). After SDS-PAGE separation, the mapping of the amino acids, where cleavage took place, was analyzed by mass spectrometry, as explained in Section 2.7.
2.6. Determination of the Structure of Stx2a A Subunit by Immunoblotting
Stx2a exposed to CELA3B, human stool supernatants or fractions of the stool samples was separated by electrophoresis (SDS-PAGE) using in-house 16% polyacrylamide gels under reducing conditions. Next, transfer of proteins to polyvinylidene fluoride (PVDF) membranes (Bio-Rad, Hercules, CA, USA) was performed using the Trans-Blot® Turbo™ Transfer System (Bio-Rad). Membranes were blocked (5% BSA in TBST (w/v), 1h, RT) and incubated with non-commercialized mouse polyclonal antibodies against Stx2a (1:7.5 (v/v) with 0.5% BSA in TBST (w/v), gifted by Prof. Dr. Peter Garred, Copenhagen, Denmark (overnight, 4°C, rolling). After washing, horseradish peroxidase (HRP)-conjugated rabbit anti-mouse IgG antibody (Dako, Santa Clara, CA, USA), diluted 1:2500 (v/v) in 5% BSA TBST (w/v), was applied to the membranes (1 h, RT, shaking). Lastly, using ImageQuant LAS 4000 (GE Healthcare, Munich, Germany), the bands corresponding to the A subunit of Stx2a were detected by enhanced chemiluminescence (ECL) after applying the respective substrates (Bio-Rad). Stx2a A subunit cleavage (presence or absence) was interpreted based on the protein's migration compared to the prestained protein ladder (Bio-Rad) as well as to the reference proteins, Stx2a and T-cl. Stx2a.
2.7. Identification of the Cleavage Position of the A Subunit of Stx2a by Components Present in Human Stool
Stx2a exposed to trypsin, furin, CELA3B, or distinct human stool supernatants was separated by electrophoresis (SDS-PAGE) using home-made 16% polyacrylamide gels under reducing conditions. After electrophoresis, gels were incubated with Coomassie brilliant blue staining solution (25 mL, 1 h, RT) followed by Coomassie-distaining solution (25 mL, overnight, RT, solution exchanged after first 1-2 h). Coomassie stained gel bands harbouring Stx2a A subunit or A1 fragment were excised from SDS-PAGE gels, reduced with dithiothreitol, alkylated with iodoacetamide and digested with trypsin (Promega, Waldorf, Germany) or chymotrypsin (Sigma-Aldrich) as previously described [
24]. Digested samples were analyzed using an UltiMate 3000 RSCLnano-HPLC system coupled to a Q Exactive HF or an Orbitrap Eclipse mass spectrometer (both Thermo Scientific, Bremen, Germany) via Nanospray Flex ionization source. The peptides were separated on a homemade fritless fused-silica micro-capillary column (100 µm i.d. x 280 µm o.d. x 16 cm length) packed with 2.4 µm reversed-phase C18 material. Solvents for HPLC were 0.1% formic acid (solvent A) and 0.1% formic acid in 85% acetonitrile (solvent B). The gradient profile was as follows: 0-4 min, 4% B; 4-57 min, 4-35% B; 57-62 min, 35-100% B, and 62-67 min, 100 % B. The flow rate was 300 nl/min.
The Q Exacitve HF mass spectrometer was operated as described before [
25].
The Orbitrap Eclipse mass spectrometer was operated in the data dependent mode with a cycle time of one second. Survey full scan MS spectra were acquired from 375 to 1500 m/z at a resolution of 240,000 with an isolation window of 1.2 mass-to-charge ratio (m/z), a maximum injection time (IT) of 50 ms, and automatic gain control (AGC) target 400 000. The MS2 spectra were measured in the Orbitrap analyzer at a resolution of 15,000 with a maximum IT of 22 ms, and AGC target or 50 000. The selected isotope patterns were fragmented by higher-energy collisional dissociation with normalized collision energy of 28.
Data Analysis was performed using Proteome Discoverer 2.5 (Thermo Scientific) with search engine Sequest. Enzyme specificity was set to semi-specific or unspecific, and the raw files were searched against Uniprot human database (20,528 entries), and a database containing shigatoxin and the most common protein contaminants like keratins, BSA, trypsin, etc. (536 sequences). Precursor and fragment mass tolerance was set to 10 ppm and 0.02 Da, respectively, and up to two missed cleavages were allowed. Carbamidomethylation of cysteine and oxidation of methionine were set as variable modification.
2.8. Detection of Chymotrypsin-Like Elastase 3B (CELA3B) by Immunoblotting
Stored sterile-filtered supernatant of human stool was diluted 1:5 in 0.9% NaCl. CELA3B in human stool supernatants was separated by electrophoresis (SDS-PAGE) using in-house 16% polyacrylamide gels under non-reducing conditions. Next, transfer of proteins to polyvinylidene fluoride (PVDF) membranes (Bio-Rad, Hercules, CA, USA) was performed. Membranes were blocked (5% BSA in TBST (w/v), 1h, RT) and incubated with mouse monoclonal antibodies against CELA3B (2 µg/mL; Sigma-Aldrich) in 0.5% BSA in TBST (w/v) (overnight, 4°C, rolling). After washing, horseradish peroxidase (HRP)-conjugated rabbit anti-mouse IgG antibody (Dako, Santa Clara, CA, USA), diluted 1:2500 (v/v) in 5% BSA TBST (w/v), was applied to the membranes (1 h, RT, shaking). Bands corresponding to CELA3B were detected by enhanced chemiluminescence (ECL) after applying the respective substrate (Bio-Rad) using the ImageQuant LAS 4000 (GE Healthcare). Recombinant human CELA3B (Cloud-Clone) was used as control.
4. Discussion
It has been proven that the cleavage of the Stx A subunit is essential for most Stx subtypes to acquire the most potent toxicity [
18,
20,
26,
27]. Despite the first report presenting trypsin as the enzyme responsible for
in vitro cleavage of Stx A subunit [
17], it has been presumed that
in vivo cleavage actually occurs intracellularly. Hereby, furin, among other serine proteases, was found to be the most prominent mediator of Stx A subunit cleavage within cells [
18]. A recent finding by us demonstrated that the Stx2a A subunit can also be cleaved during its purification [
23]. Hence, prompting the urge to investigate whether Stx2a A subunit cleavage can actually also occur extracellularly during a natural EHEC infection, before the target cells are reached. This research question is considered especially important as it has been observed that variations in Stx2a A subunit structure are responsible for some of the toxin’s reported biological properties. The latter including Stx’s ability to bind to human neutrophils, induction of platelet-leukocyte complex formation, or delay of onset of its complement inhibitory effects by binding to the complement regulatory protein factor H [
23]. These findings highlighted the importance of the characterization of the Stx2a structure in related studies as well as the need for a standardized purification protocol.
In order to analyze whether bacteria from human microbiota could induce Stx2a A subunit cleavage, we performed pilot studies regarding the structure of the Stx2a A subunit following incubation with culture supernatants of certain bacteria found in the human microbiota, such as
Bacteroides thetaiotaomicron or
Enterococcus faecalis. The obtained results, however, did not demonstrate an ability of these bacterial cultures to facilitate Stx2a A subunit cleavage (data not shown), but it is important to keep in mind that isolated cultures and the lack of host factors may not accurately reflect
in vivo environments, where there is a clear interplay between the gut microbiota and host gene expression that subsequently affects host pathways [
28]. Thus, future research involving the human microbiome should be performed considering these aspects.
In the main body of this study, the structure of the Stx2a A subunit was characterized after exposure to human stool supernatants; a noninvasive method that is thought to be quite representative of the intestinal environment. Results demonstrated that stool components from healthy individuals of different age, including children and adults (n=12) had the ability to completely cleave Stx2a A subunit. In the same setting, addition of serine protease inhibitors, including AEBSF, Leupeptin, and Aprotinin, proved to inhibit Stx2a A subunit cleavage, while other non-serine protease inhibitors against different groups of proteases did not. Conclusively, the cleavage-inducing component(s) in stool was(were) proposed to belong to the family of serine proteases. Thereafter, size exclusion chromatography was performed with supernatant of healthy human stool and the fraction identified to be capable of cleaving Stx2a A subunit (fraction 5) was subsequently investigated using mass spectrometry. Out of a pool of hundreds of proteins identified within this fraction, trypsin was one of the most abundant ones. Since trypsin has previously been shown to induce Stx2 cleavage [
17], it was concluded that stool-derived trypsin was the most likely candidate responsible for the observed enzymatic cleavage of Stx2a A subunit.
Garred and colleagues determined that artificial cleavage by furin of Stx2a occurred after the second Arg of the amino acid motif R-X-X-R [
18]. This motif was found to be located between cysteine (Cys/C) residues forming a disulfide bond which links the A subunit fragments, A1 and A2, once they are generated. In the present study, similar results were obtained by artificial induction of cleavage with trypsin, however, the cleavage was identified to occur after the first Arg/R of the R-X-X-R motif. Nevertheless, this was expected since specific cleavage locations by enzymes other than furin have already been considered [
20]. Surprisingly, analysis of the exact amino acid position of the Stx2a A subunit cleavage after its incubation with human stool identified two distinct cleavage positions. Whereas one position corresponded to cleavage by trypsin (after the first Arg/R), the second occurred after Ala/A, an amino acid embedded just before the R-X-X-R motif (
Figure 4). The stool fraction content identified by mass spectrometry, i.e., the list of most abundant proteins in the fraction, together with the characterized cleavage position after Ala/A, proposed the serine protease CELA3B as another potential candidate responsible for inducing Stx2a A subunit cleavage in the human intestine. O’Brien’s group previously demonstrated that mouse elastase, which is highly homologous to human CELA3B, is able to cleave Stx2d subtype [
21,
22]. Their studies simultaneously showed that elastase found in human or mouse mucus enhanced the toxicity of Stx2d for Vero cells by 10- to 1000-fold [
21], without affecting the cytotoxicity of Stx1, Stx2, Stx2c, and Stx2e [
22]. Consequently, Melton-Celsa and co-workers hypothesized that increased cytotoxicity of Stx2d, caused by mouse elastase, occurred due to the deletion of two amino acids at the C-terminus of the Stx2d A2 fragment by improving the binding or enhancing avidity of Stx2d to Gb3 receptors, or alternatively by influencing Stx2d intracellular trafficking [
22].
The current study demonstrated that human recombinant CELA3B is capable of inducing cleavage of the Stx2a A subunit. However, with the current experimental setting, only a partial cleavage of Stx2a was achieved using recombinant CELA3B. Thus, the exact localization of the cleavage site on an amino acid level induced by CELA3B could not be confirmed and remains to be assessed in the future. It is not possible to exclude that the partially achieved cleavage of the Stx2a A subunit was related to incubation conditions, low enzymatic activity of the commercially available CELA3B (not tested by CELA3B manufacturer), or the lack of crucial cofactors, such as calcium or zinc, in the buffers [
29,
30].
Trypsin as well as pancreatic elastase, both present in stool and proposed to cleave Stx2a A subunit, belong to the family of serine proteases which are ubiquitously present in the host’s intestine. Therefore, cleavage of Stx2a A subunit could potentially occur directly in the gut after Stx secretion by EHEC by the cooperative action of these serine proteases.
Investigations regarding the presence of the potential cleaver CELA3B in human stool supernatants lead to the detection of CELA3B in all tested samples derived from healthy individuals (n=9). This is not at all surprising, as human CELA3B is a pancreatic enzyme and is, as other serine proteases, involved in digestive processes within the intestine. Excretion of elastases in stool is frequently used for clinical assays in order to determine pancreatic function [
31,
32]. Interestingly, amounts of CELA3B detected in individual samples seemed to differ, speculating that the amount of CELA3B present in the human intestine might potentially correlate with the extent of Stx2a cleavage. Further studies are required to prove this hypothesis. Furthermore, stool from patients suffering from an EHEC infection (n=9) showed an overall ability to cleave Stx2a A to a certain extent, independent of the patient’s clinical presentation, including bloody diarrhea and eHUS. Therefore, it is proposed that the exact cleavage position, or the amount of cleavage, rather than the mere ability of a Stx2a A subunit to be cleaved, could be one of the key determinants of Stx2a pathogenicity, thereby impacting eHUS development. However, in future studies asymptomatic patients and those with a mild disease progression should be included as control groups. Additional investigations examining potential variations between the cleaved Stx2a by various enzymes should be carried out, as cleavage at various amino acid positions may potentially affect the biological features of Stx2a, as is the case for Stx2d [
21,
22]. Interestingly, a report on fecal serine protease activity in inflammatory bowel disease demonstrated a 10-fold increase in trypsin-like, elastase-like, and cathepsin G-like proteolytic activity [
33]. Thus, it is important to consider that the extent of Stx2a A subunit cleavage induced by a given individual could vary due to the different concentrations of cleavage-responsible enzymes in its stool. Furthermore, sampling conditions and time point of infections might have been different for individual patients. A novel approach that could be considered for future studies would be the use of human intestinal organoids to evaluate not only the tissue response to Stxs, as reported by Pradhan and colleagues [
34], but also the Stx2a structure after contact with those organoids. Moreover, for a better understanding of the Stx2a structure in circulation, and after its interaction with host factors, the generation of monoclonal antibodies capable of discriminating between Stx2a structures (uncleaved and cleaved) would be beneficial. Since application of antibodies against Stxs have also been discussed as therapeutic measurements [
35], newly invented antibodies discriminating the structure of Stx2a might even open new potential treatment approaches.
Author Contributions
Conceptualization, S.K., S.H., M.B., D.O.-H. and R.W.; methodology, S.K., K.L., and B.S.; software, S.K. and S.H.; validation, S.K. and S.H.; formal analysis, S.K. and S.H.; investigation, S.K., V.F., K.L., B.S., L.K., H.T. and E.V.; resources, K.L., B.S. and G.A.; data curation, S.K.; writing—original draft preparation, S.H.; writing—review and editing, S.K., S.H., M.M., X.H., B.S., M.B., D.O.-H. and R.W.; visualization, S.K. and S.H.; supervision, D.O.-H. and R.W.; project administration, S.K., D.O.-H. and R.W.; funding acquisition, R.W. All authors have read and agreed to the published version of the manuscript.
Figure 1.
Structure of Shiga toxin 2a (Stx2a) after exposure to stool specimens of healthy individuals. This representative immunoblot shows the structure of Stx2a after its incubation (10 min) with sterile-filtered supernatant derived from human stool (SF-SN HS) with or without a protease inhibitor cocktail (PI). Pure Stx2a and trypsin-cleaved (T-cl.) Stx2a served as references. Bands showcasing the whole A subunit or the A1 fragment of Stx2a are indicated by arrows (the A2 fragment (~4.5 kDa) would be too short to be detected). Molecular weight (MW) is indicated in kilodaltons (kDa) based on the migration of the molecular markers.
Figure 1.
Structure of Shiga toxin 2a (Stx2a) after exposure to stool specimens of healthy individuals. This representative immunoblot shows the structure of Stx2a after its incubation (10 min) with sterile-filtered supernatant derived from human stool (SF-SN HS) with or without a protease inhibitor cocktail (PI). Pure Stx2a and trypsin-cleaved (T-cl.) Stx2a served as references. Bands showcasing the whole A subunit or the A1 fragment of Stx2a are indicated by arrows (the A2 fragment (~4.5 kDa) would be too short to be detected). Molecular weight (MW) is indicated in kilodaltons (kDa) based on the migration of the molecular markers.
Figure 2.
Structure of Shiga toxin (Stx) 2a after exposure to stool of healthy individuals in the presence of various protease inhibitors. This representative immunoblot shows the structure of Stx2a after its incubation (10 min) with sterile-filtered supernatant derived from human stool (SF-SN HS) with or without a protease inhibitor cocktail (PI), AEBSF (10 mM), Bestatin (0.5 mM), E-64 (0.16 mM) or Pepstatin A (0.1 mM). Pure Stx2a and trypsin-cleaved (T-cl.) Stx2a served as references. Bands showcasing the whole A subunit or the A1 fragment of Stx2a are indicated by arrows. Molecular weight (MW) is indicated in kilodaltons (kDa) based on the migration of the molecular markers.
Figure 2.
Structure of Shiga toxin (Stx) 2a after exposure to stool of healthy individuals in the presence of various protease inhibitors. This representative immunoblot shows the structure of Stx2a after its incubation (10 min) with sterile-filtered supernatant derived from human stool (SF-SN HS) with or without a protease inhibitor cocktail (PI), AEBSF (10 mM), Bestatin (0.5 mM), E-64 (0.16 mM) or Pepstatin A (0.1 mM). Pure Stx2a and trypsin-cleaved (T-cl.) Stx2a served as references. Bands showcasing the whole A subunit or the A1 fragment of Stx2a are indicated by arrows. Molecular weight (MW) is indicated in kilodaltons (kDa) based on the migration of the molecular markers.
Figure 3.
Structure of Shiga toxin (Stx) 2a after exposure to fractions of stool supernatant of a healthy individual. This representative immunoblot shows the structure of Stx2a after its incubation (30 min) with selected fractions (Fr. 3 to 8) of sterile-filtered supernatant derived from human stool (SF-SN HS). Pure Stx2a and trypsin-cleaved (T-cl.) Stx2a served as references. Bands showcasing the whole A subunit or the A1 fragment of Stx2a are indicated by arrows. Molecular weight (MW) is indicated in kilodaltons (kDa) based on the migration of the molecular markers.
Figure 3.
Structure of Shiga toxin (Stx) 2a after exposure to fractions of stool supernatant of a healthy individual. This representative immunoblot shows the structure of Stx2a after its incubation (30 min) with selected fractions (Fr. 3 to 8) of sterile-filtered supernatant derived from human stool (SF-SN HS). Pure Stx2a and trypsin-cleaved (T-cl.) Stx2a served as references. Bands showcasing the whole A subunit or the A1 fragment of Stx2a are indicated by arrows. Molecular weight (MW) is indicated in kilodaltons (kDa) based on the migration of the molecular markers.
Figure 4.
Amino acid sequence of Shiga toxin 2a (Stx2a) A subunit and the identified cleavage sites induced by specific enzymes or components present in human stool. The amino acid sequence of the A subunit of Stx2a with highlighted signal peptide (purple) is displayed. Cleavage of Shiga toxin 2a (Stx2a) A subunit results in the generation of two fragments, A1 and A2, which are hold together by a disulfide bond (SS-bond) located between the two cysteine residues (highlighted in grey). The conserved amino acid motif, where cleavage of Stx2a A subunit was postulated to occur, is highlighted in yellow whereas the located cleavage sites induced by furin, trypsin or components present in stool from healthy human donors are respectively indicated with arrows. *Furthermore, cleavage site potentially induced by chymotrypsin-like elastase 3B (CELA3B) is also depicted.
Figure 4.
Amino acid sequence of Shiga toxin 2a (Stx2a) A subunit and the identified cleavage sites induced by specific enzymes or components present in human stool. The amino acid sequence of the A subunit of Stx2a with highlighted signal peptide (purple) is displayed. Cleavage of Shiga toxin 2a (Stx2a) A subunit results in the generation of two fragments, A1 and A2, which are hold together by a disulfide bond (SS-bond) located between the two cysteine residues (highlighted in grey). The conserved amino acid motif, where cleavage of Stx2a A subunit was postulated to occur, is highlighted in yellow whereas the located cleavage sites induced by furin, trypsin or components present in stool from healthy human donors are respectively indicated with arrows. *Furthermore, cleavage site potentially induced by chymotrypsin-like elastase 3B (CELA3B) is also depicted.
Figure 5.
Structure of Shiga toxin 2a (Stx2a) after incubation with recombinant CELA3B. This representative immunoblot shows the structure of the A subunit of Shiga toxin 2a (Stx2a) after incubation (2 h) of Stx2a with different concentrations of chymotrypsin-like elastase 3B (CELA3B). Pure Stx2a incubated under the same conditions without CELA3B was used as a reference. Stx2a was detected with a polyclonal mouse anti-Stx2a. Arrows indicate the Stx2a bands corresponding to the whole A subunit or the A1 fragment. Molecular weight (MW) is indicated in kilodaltons (kDa) based the on migration of the molecular marker.
Figure 5.
Structure of Shiga toxin 2a (Stx2a) after incubation with recombinant CELA3B. This representative immunoblot shows the structure of the A subunit of Shiga toxin 2a (Stx2a) after incubation (2 h) of Stx2a with different concentrations of chymotrypsin-like elastase 3B (CELA3B). Pure Stx2a incubated under the same conditions without CELA3B was used as a reference. Stx2a was detected with a polyclonal mouse anti-Stx2a. Arrows indicate the Stx2a bands corresponding to the whole A subunit or the A1 fragment. Molecular weight (MW) is indicated in kilodaltons (kDa) based the on migration of the molecular marker.
Figure 6.
CELA3B was present in sterile filtered supernatant of human stool derived from heathy individuals. This representative immunoblot shows the presence of chymotrypsin-like elastase 3B (CELA3B) in tested samples (n=6), however for some in very low amounts (n=2). Recombinant CELA3B served as reference. The band showcasing CELA3B is indicated by arrow. Molecular weight (MW) is indicated in kilodaltons (kDa) based on the migration of the molecular marker.
Figure 6.
CELA3B was present in sterile filtered supernatant of human stool derived from heathy individuals. This representative immunoblot shows the presence of chymotrypsin-like elastase 3B (CELA3B) in tested samples (n=6), however for some in very low amounts (n=2). Recombinant CELA3B served as reference. The band showcasing CELA3B is indicated by arrow. Molecular weight (MW) is indicated in kilodaltons (kDa) based on the migration of the molecular marker.
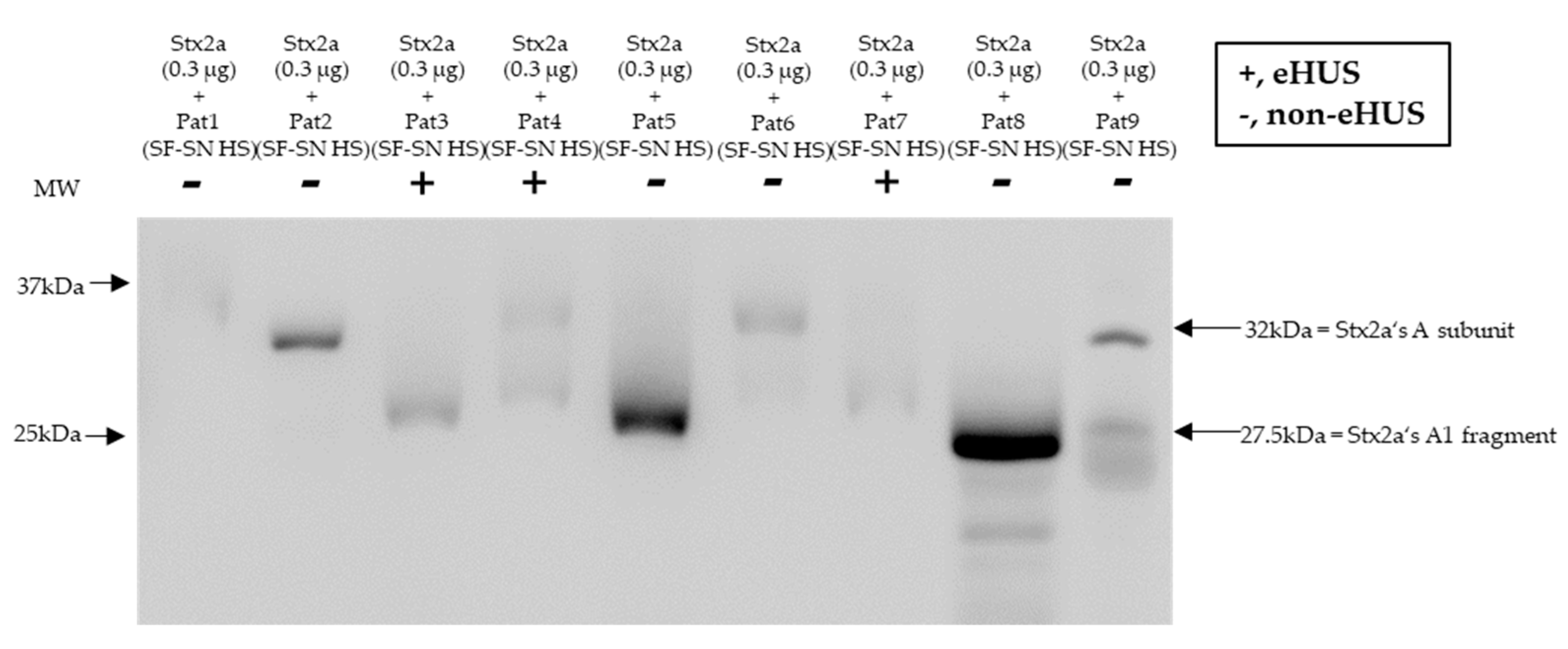
Figure 7.
Cleavage of Shiga toxin 2a (Stx2a) by stool supernatant from patients with an EHEC infection. Immunoblots show the structure of Stx2a after its incubation (30 min) with sterile-filtered supernatant derived from human stool (SF-SN HS) of EHEC-patients (n=9), including EHEC-associated hemolytic uremic syndrome (eHUS) cases (n=3). Pure Stx2a and trypsin-cleaved (T-cl.) Stx2a served as references. Bands showcasing the whole A subunit or the A1 fragment of Stx2a are indicated by arrows. Molecular weight (MW) is indicated in kilodaltons (kDa) based the on migration of the molecular marker.
Figure 7.
Cleavage of Shiga toxin 2a (Stx2a) by stool supernatant from patients with an EHEC infection. Immunoblots show the structure of Stx2a after its incubation (30 min) with sterile-filtered supernatant derived from human stool (SF-SN HS) of EHEC-patients (n=9), including EHEC-associated hemolytic uremic syndrome (eHUS) cases (n=3). Pure Stx2a and trypsin-cleaved (T-cl.) Stx2a served as references. Bands showcasing the whole A subunit or the A1 fragment of Stx2a are indicated by arrows. Molecular weight (MW) is indicated in kilodaltons (kDa) based the on migration of the molecular marker.
Table 1.
Top 10 proteins present in fraction 5 of the first analyzed human stool supernatant. Mass spectrometry was performed on the proteins present in fraction 5 of human stool supernatant fractionated by gel-filtration. The 10 most abundant proteins, of several identified are listed.
Table 1.
Top 10 proteins present in fraction 5 of the first analyzed human stool supernatant. Mass spectrometry was performed on the proteins present in fraction 5 of human stool supernatant fractionated by gel-filtration. The 10 most abundant proteins, of several identified are listed.
| Abundance |
Protein |
 |
1 |
Carboxypeptidase A1 |
| 2 |
Carboxypeptidase B |
| 3 |
Chymotrypsin-like elastase 3B (CELA3B) |
| 4 |
Lithostathine-1-alpha |
| 5 |
Immunoglobulin heavy constant alpha |
| 6 |
Deleted in malignant brain tumors 1 protein |
| 7 |
Keratin, type II cytoskeletal 1 |
| 8 |
Cadherin-related family member |
| 9 |
Trypsin-2 |
| |
10 |
Keratin, type I cytoskeletal 9 |