Submitted:
19 May 2023
Posted:
22 May 2023
You are already at the latest version
Abstract
Keywords:
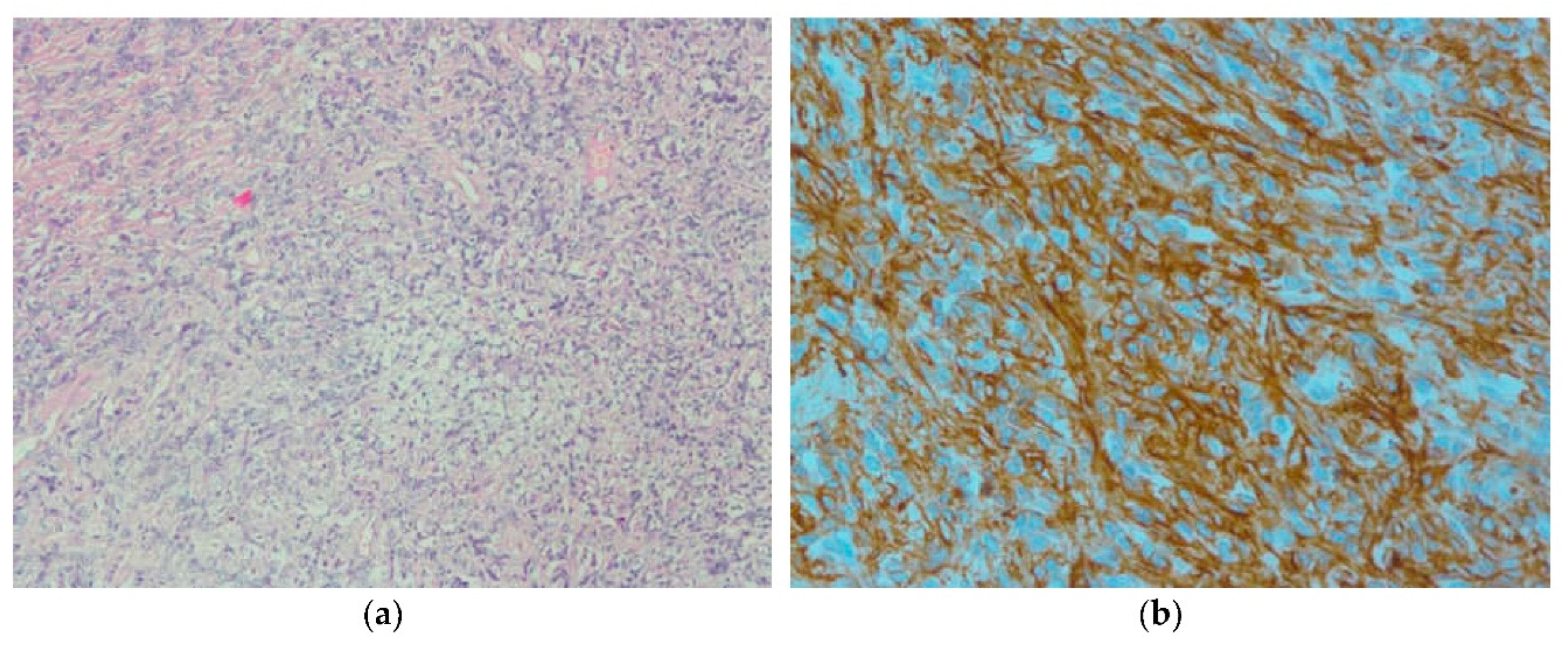
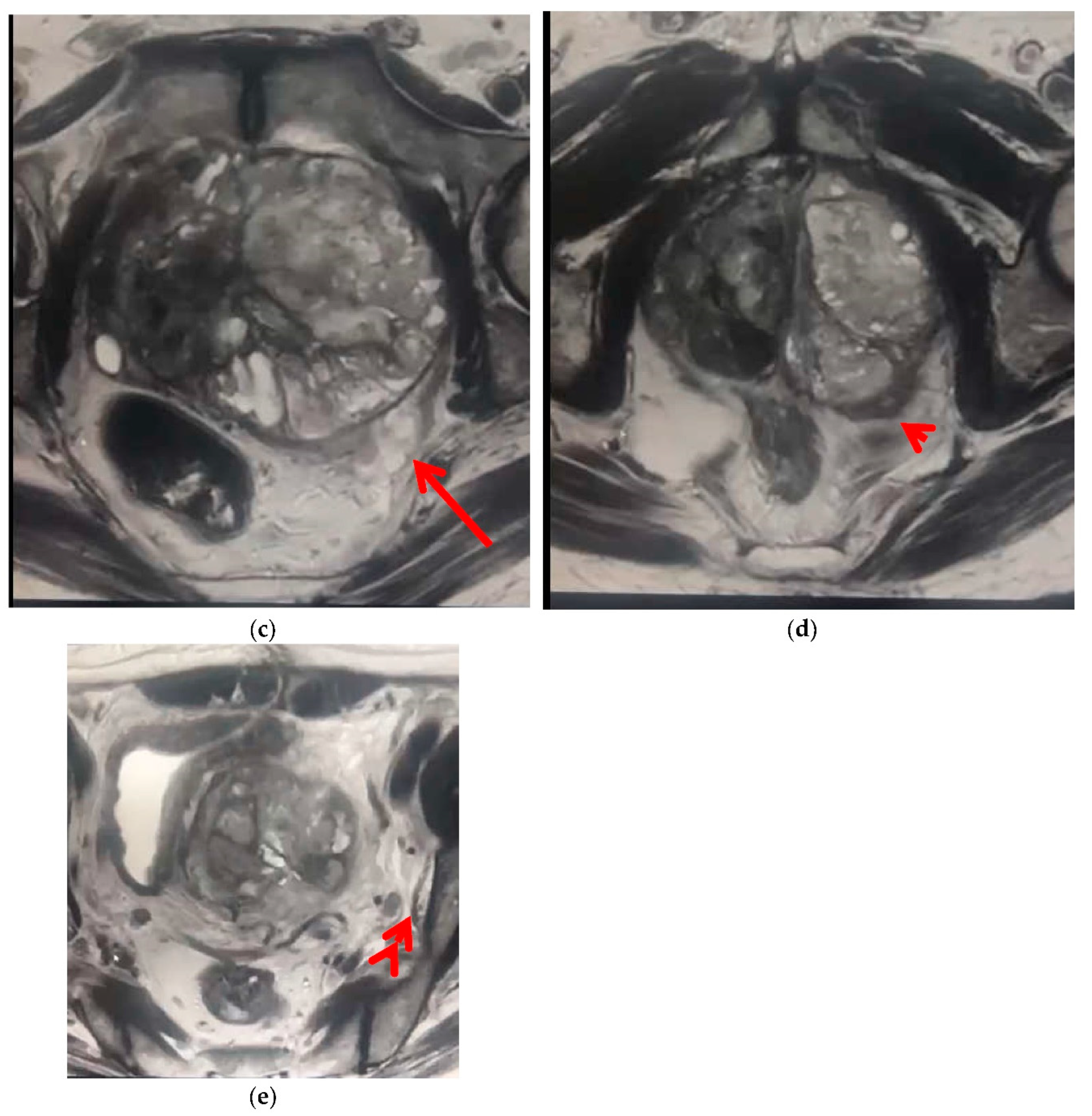
Figures:





Author Contributions
Funding
Institutional Review Board Statement
Informed Consent Statement
Conflicts of Interest
Abbreviations
References
- Jeremy Jones: prostatic sarcoma: Radiopaedia (2021). 20 Sep .
- Weiping Yang, MB, Ailian Liu, MD∗, Jingjun Wu, MMed, Miao Niu, MB: Prostatic stromal sarcoma A case report and literature review .Medicine (2018) 97:18(e0495).
- Hansel DE, Herawi M, Montgomery E, EpsteinJI. :Spindle cell lesions of the adult prostate. Pathol 2007; 20:148–158.
- Linda C. Chu, Hillary M. Ross,Tamara L. Lotan & Katarzyna J. Macura: Prostatic Stromal Neoplasms: Differential Diagnosis of Cystic and Solid Prostatic and Periprostatic Masses. AJR:200, June 2013 W571.
- Herawi M, Epstein JI. Specialized stromal tumors of the prostate: a clinic-pathologic study of 50 cases. Am J Surg Pathol 2006; 30:694–704.
- Andrea Molinari: Prostatic cancer, radiopaedia (2022) on 03 December.
- Rhiannon Van Loenhout, Frank Zijta, Robin Smithuis and Ivo Schoots: Prostatic cancer. . PI-RADS, version 2 .Radiology assistant.
- David Bonekamp, MD, PhD • Michael A. Jacobs, PhD • Riham El-Khouli, MD • Dan Stoianovici, PhD • Katarzyna J. Macura, MD, PhD: Advancements in MR Imaging of the Prostate: From Diagnosis to Interventions. Radiographics, (2011), May-Jume. Volume 31 Number 3.
- JINXING YU, MD, ANN S FULCHER, MD, SARAH G WINKS, MD, MARY A TURNER, MD, RYAN D CLAYTON, MD, MICHAEL BROOKS, MD and SEAN LI, MD: Diagnosis of typical and atypical transition zone prostate cancer and its mimics at multiparametric prostate MRI.BJR (2017),February.
- Haas GP, Sakr WA. Epidemiology of prostate cancer. CA Cancer J Clin 1997; 47: 273–87.
- Kitzing YX, Prando A, Varol C, Karczmar GS, Maclean F, Oto A. Benign conditions that mimic prostate carcinoma: MR imaging features with histopathologic correlation. Radiographics 2016; 36: 162–75.
- Akin O, Sala E, Moskowitz CS. Transition zone prostate cancers: features, detection, localization, and staging at endorectal MR imaging. Radiology 2006; 239: 784–92.
- American College of Radiology. MR prostate imaging reporting and data system version 2.0, 2015 [Cited 20 July 2015].
- Ren FY, Lu JP, Wang J, Ye JJ, Shao CW, Wang MJ. Adult prostate sarcoma: radiological-clinical correlation. Clin Radiol 2009; 64:171–177.
- Bittencourt LK, Barentsz JO, de Miranda LC, Gasparetto EL. Prostate MRI: diffusion weighted imaging at 1.5T correlates better with prostatectomy Gleason grades than TRUS-guided biopsies in peripheral zone tumours. Eur Radiol 2012; 22: 468–75. doi:.
- Li H, Sugimura K, Kaji Y. Conventional MRI capabilities in the diagnosis of prostate cancer in the transition zone. AJR Am J Roentgenol 2006; 186: 729–42.
- Quick CM, Gokden N, Sangoi AR, BrooksJD, McKenney JK. The distribution of PAX-2 Immune-reactivity in the prostate gland, seminal vesicle, and ejaculatory duct: comparison with prostatic adenocarcinoma and discussion of prostatic zonal embryogenesis. Hum Pathol 2010; 41: 1145–9.
- Herawi M, Epstein JI. Specialized stromal tumors of the prostate: a clinicopathologic study of 50 cases. Am J Surg Pathol 2006; 30:694–704.
- Hansel DE, Herawi M, Montgomery E, Epstein JI. Spindle cell lesions of the adult prostate. Mod Pathol 2007; 20:148–158.
- Gaudin PB, Rosai J, Epstein JI. Sarcomas and related proliferative lesions of specialized prostatic stroma: a clinicopathologic study of 22 cases. Am J Surg Pathol 1998; 22:148–162.
Disclaimer/Publisher’s Note: The statements, opinions and data contained in all publications are solely those of the individual author(s) and contributor(s) and not of MDPI and/or the editor(s). MDPI and/or the editor(s) disclaim responsibility for any injury to people or property resulting from any ideas, methods, instructions or products referred to in the content. |
© 2024 by the authors. Licensee MDPI, Basel, Switzerland. This article is an open access article distributed under the terms and conditions of the Creative Commons Attribution (CC BY) license (https://creativecommons.org/licenses/by/4.0/).