Submitted:
20 April 2023
Posted:
21 April 2023
Read the latest preprint version here
Abstract
Keywords:
1. Introduction
2. Materials and Methods
2.1. Case history, examination and preliminary treatment.
2.2. Detection of canine distemper virus by qRT-PCR.
2.3. Necropsy.
2.4. Toxicological screening.
2.5. Microbiological and mycosis screening.
2.6. Immunohistochemical / histopathological examination.
2.7. The electron-microscopic examination.
3. Results
3.1. Clinical outcome.
3.2. Detection of canine distemper virus by qRT-PCR.
3.3. Necropsy exam.
3.4. Toxicological screening.
3.5. Microbiological and mycosis exam.
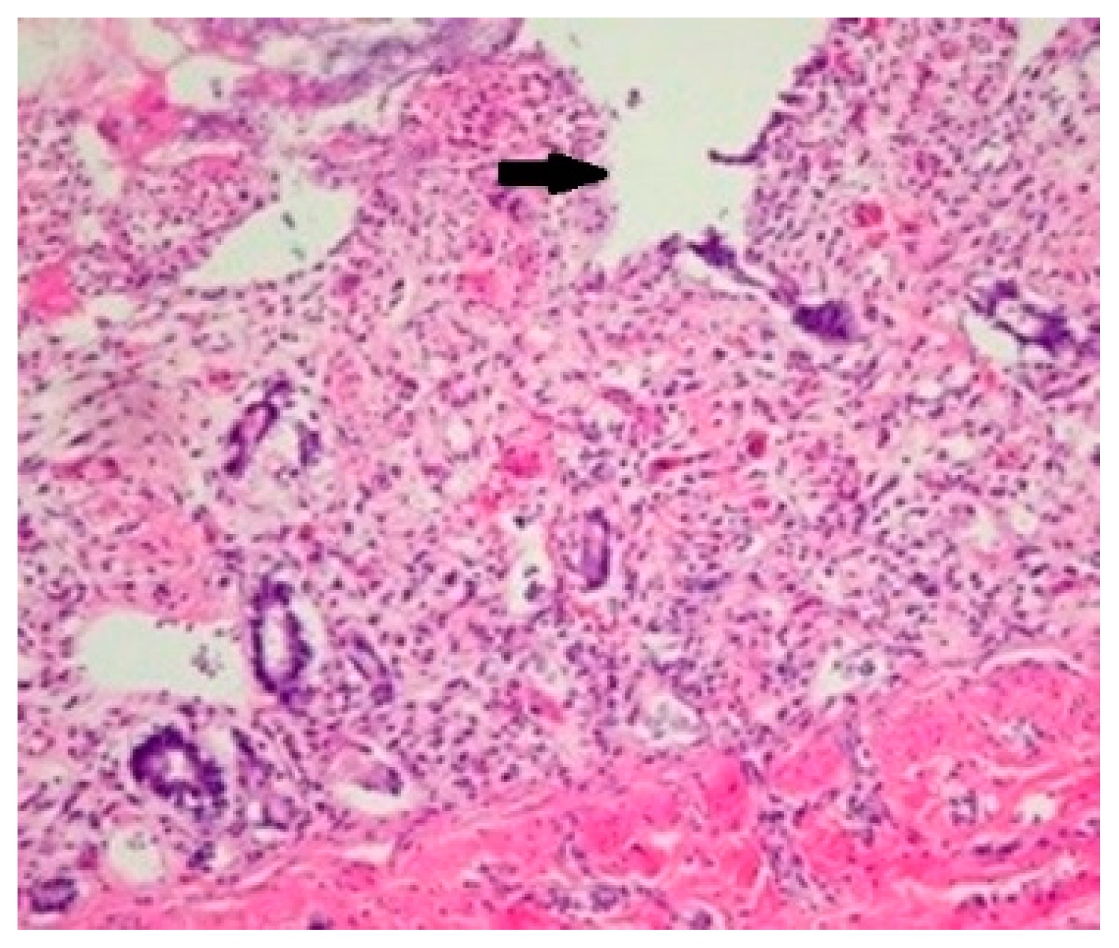
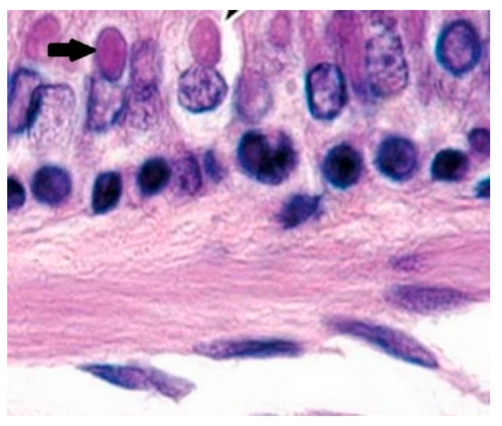
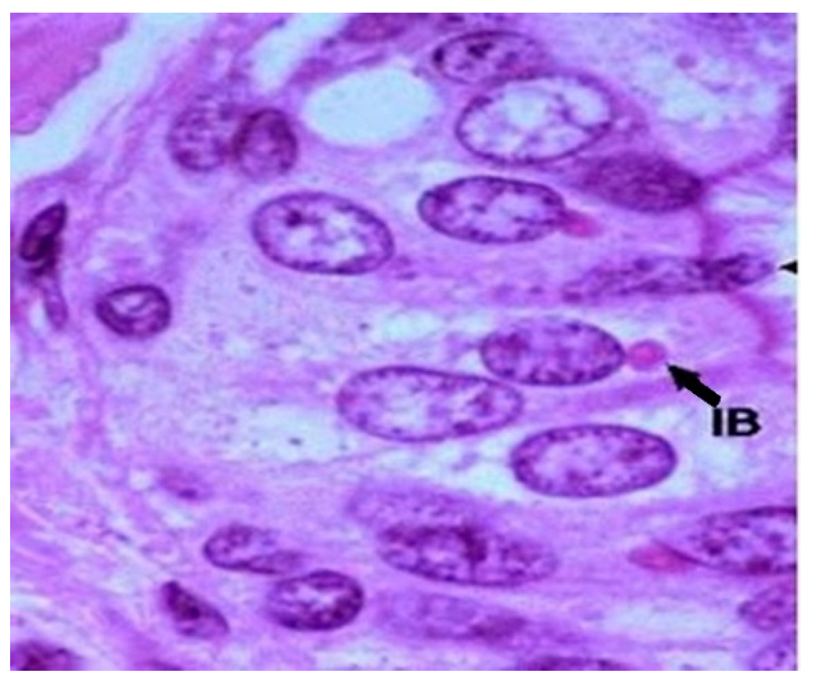
3.6. Immunohistochemical / histopathological examination
3.7. The electron-microscopic examination
4. Discussion
5. Conclusions
Author Contributions
Funding
Institutional Review Board Statement
Data Availability Statement
Acknowledgments
Conflicts of Interest
References
- Hamir, A.N. Pathology of neurologic disorders of raccoons (Procyon lotor). J. Veter-Diagn. Investig. 2011, 23, 873–884. [Google Scholar] [CrossRef] [PubMed]
- Deem, S.L.; Spelman, L.H.; Yates, R.A.; Montali, R.J. Canine distemper in terrestrial carnivores: A review. J. Zoo Wildl. Med. 2000, 31, 441–451. [Google Scholar] [CrossRef] [PubMed]
- Lakatos, B.; Knotek, Z.; Farkas, J.; Ádám, É.; Dobay, O.; Nász, I. Adenovirus Infection in Cats. An Epidemiological Survey in the Czech Republic. Acta Veter-Brno 1999, 68, 275–280. [Google Scholar] [CrossRef]
- Frölich, K.; Czupalla, O.; Haas, L.; Hentschke, J.; Dedek, J.; Fickel, J. Epizootiological investigations of canine distemper virus in free-ranging carnivores from Germany. Veter-Microbiol. 2000, 74, 283–292. [Google Scholar] [CrossRef] [PubMed]
- Munson, L. Feline Morbillivirus infection. In Infectious Diseases of Wild Mammals; Williams, E.S., Barker, I.K., Eds.; Blackwell Publishing: London, UK, 2001; pp. 59–62. [Google Scholar]
- Creevy, K.E.; Evans, J.B. Canine Distemper in MDS Manual–Veterinary Manual; Merck & Co., Inc.: Rahway, NJ, USA.
- Shi, N.; Le, Z.; Xiuhua, Y.; Xiangyu, Z.; Shu, Z.; Daining, Z.; Ming, D. Insight into an Outbreak of Canine Distemper Virus Infection in Masked Palm Civets in China. Front Vet Sci. 2021, 8, 1–6. [Google Scholar] [CrossRef] [PubMed]
- Gutierrez, M.M.; Saenz, J.R. Diversity of susceptible hosts in canine distemper virus infection: A systematic review and data synthesis. BMC Vet Res. 2016, 12, 1–11. [Google Scholar]
- Headley, S.A.; Oliveira, T.E.S.; Pereira, A.H.T.; Moreira, J.R.; Michelazzo, M.M.Z.; Pires, B.G.; Marutani, V.H.B.; Xavier, A.A.C.; Di Santis, G.W.; Garcia, J.L.; et al. Canine morbillivirus (canine distemper virus) with concomitant canine adenovirus, canine parvovirus-2, and Neospora caninum in puppies: A retrospective immunohistochemical study. Sci. Rep. 2018, 8, 1–16. [Google Scholar] [CrossRef]
- Lempp, C.; Spitzbarth, I.; Puff, C.; Cana, A.; Kegler, K.; Techangamsuwan, S.; Baumgärtner, W.; Seehusen, F. New Aspects of the Pathogenesis of Canine Distemper Leukoencephalitis. Viruses 2014, 6, 2571–2601. [Google Scholar] [CrossRef]
- Jamison, R.K.; Lazar, E.C.; Binn, L.N.; Alexander, A.D. Survey for antibodies to canine viruses in selected wild mammals. J. Wildl. Dis. 1973, 9, 2–3. [Google Scholar] [CrossRef]
- Williams, E.S.; Barker, I.K. Infectious Diseases of Wild Mammals, 3rd ed.; Iowa State University Press: Ames, IA, USA, 2001; p. 43. [Google Scholar]
- Cranfield, M.R.; Barker, I.K.; Mehren, K.G.; Rapley, W.A. Canine Distemper in Wild Raccoons (Procyon lotor) at the Metropolitan Toronto Zoo. Can Vet J. 1984, 25, 63–66. [Google Scholar]
- Habermann, R.T.; Herman, C.M.; Williams, F.P. Distemper in raccoons and foxes suspected of having rabies. J Am Vet Med Assoc. 1958, 132, 31–35. [Google Scholar] [PubMed]
- Shabbir, M.Z.; Rabbani, M.; Ahmad, A.; Ahmed, A.; Muhammad, K.; Anwar, I. Comparative evaluation of clinical samples from naturally infected dogs for early detection of canine distemper virus. Turk. J. Veter- Anim. Sci. 2010, 34, 547–552. [Google Scholar] [CrossRef]
- Konjević, D.; Sabočanec, R.; Grabarević, Ž.; Zurbriggen, A.; Bata, I.; Beck, A.; Kurilj, A.G.; Cvitković, D. Canine distemper in Siberian tiger cubs from Zagreb ZOO: Case report. Acta Veter-Brno 2011, 80, 47–50. [Google Scholar] [CrossRef]
- Kazacos, K.R.; Wiriz, W.L.; Burger, P.P.; Chrisimas, C.S. Raccoon ascarid larvae as a cause of fatal central nervous system disease in subhuman primates. J Am Vet Med Assoc. 1981, 179, 1089–1094. [Google Scholar]
- Haines, D.M.; Martin, K.M.; Chelack, B.J.; Sargent, R.A.; Outerbridge, C.A.; Clark, E.G. Immunohistochemical detection of canine distemper virus in haired skin, nasal mucosa, and footpad epithelium: A method for antemortem diagnosis of infection. J. Veter-Diagn. Investig. 1999, 11, 396–399. [Google Scholar] [CrossRef] [PubMed]
- Kadam, R.G.; Karikalan, M.; Siddappa, C.M.; Mahendran, K.; Srivastava, G.; Rajak, K.K.; Bhardwaj, Y.; Varshney, R.; War, Z.A.; Singh, R.; et al. Molecular and pathological screening of canine distemper virus in Asiatic lions, tigers, leopards, snow leopards, clouded leopards, leopard cats, jungle cats, civet cats, fishing cat, and jaguar of different states, India. Infect. Genet. Evol. 2022, 98, 3–7. [Google Scholar] [CrossRef] [PubMed]
- Robinson, V.B.; Newberne, J.W.; Brooks, D.M. Distemper in the American raccoon (Procyon lotor). J Am Vet Med Assoc. 1957, 131, 276–278. [Google Scholar] [PubMed]
- Maurer, K.E.; Nielsen, S.W. Neurologic disorders in the raccoon in northeastern United States. J Am Vet Med Assoc. 1981, 179, 1095–1098. [Google Scholar]
- Wang, J.; Wang, J.; Li, R.; Liu, L.; Yuan, W. Rapid and sensitive detection of canine distemper virus by real-time reverse transcription recombinase polymerase amplification. BMC Veter-Res. 2017, 13, 1–7. [Google Scholar] [CrossRef]
- Elia, G.; Decaro, N.; Martella, V.; Cirone, F.; Lucente, M.S.; Lorusso, E.; Di Trani, L.; Buonavoglia, C. Detection of canine distemper virus in dogs by real-time RT-PCR. J. Virol. Methods 2006, 136, 171–176. [Google Scholar] [CrossRef]
- Rendon-Marin, S.; da Fontoura Budaszewski, R.; Canal, C.W.; Ruiz-Saenz, J. Tropism and molecular pathogenesis of canine distemper virus. Virol. J. 2019, 16, 30. [Google Scholar] [CrossRef] [PubMed]
- Avila, M.; Khosravi, M.; Alves, L.; Ader-Ebert, N.; Bringolf, F.; Zurbriggen, A.; Plemper, R.K.; Plattet, P. Canine Distemper Virus Envelope Protein Interactions Modulated by Hydrophobic Residues in the Fusion Protein Globular Head. J. Virol. 2015, 89, 1445–1451. [Google Scholar] [CrossRef] [PubMed]
- Koutinas, A.F.; Baumgärtner, W.; Tontis, D.; Polizopoulou, Z.; Saridomichelakis, M.N.; Lekkas, S. Histopathology and Immunohistochemistry of Canine Distemper Virus-induced Footpad Hyperkeratosis (Hard Pad Disease) in Dogs with Natural Canine Distemper. Veter-Pathol. 2004, 41, 2–9. [Google Scholar] [CrossRef] [PubMed]
- Duque-Valencia, J.; Sarute, N.; Olarte-Castillo, X.A.; Ruíz-Sáenz, J. Evolution and Interspecies Transmission of Canine Distemper Virus—An Outlook of the Diverse Evolutionary Landscapes of a Multi-Host Virus. Viruses 2019, 11, 582. [Google Scholar] [CrossRef]
- Niederwerder, M., Boyer, N., Canine Distemper: A Recent Uptick in the Number of Positive Raccoon Diagnostic Samples Underscores the Importance of Vaccination in Dogs. https://ksvdl.org/resources/news/diagnostic_insights _for_technicians/october2017/raccoons_CDV.html.
- Beineke, A.; Baumgärtner, W.; Wohlsein, P. Cross-species transmission of canine distemper virus—An update. One Heal. 2015, 1, 49–59. [Google Scholar] [CrossRef]
- Kapil, S.; Yeary, T.J. Canine Distemper Spillover in Domestic Dogs from Urban Wildlife. Veter- Clin. North Am. Small Anim. Pr. 2011, 41, 1069–1086. [Google Scholar] [CrossRef]







| Sample code | Ct value 1 | Results |
|---|---|---|
| 1 (no clinical signs) | 33.8 | positive |
| 2 (no clinical signs) | 31.4 | positive |
| 3 (no clinical signs) | 36.2 | positive |
| 4 (no clinical signs) | 34.5 | positive |
| 5 (no clinical signs) | 32.7 | positive |
| 6 (dead animal) | 19.4 | positive |
| 7 (dead animal) | 21.2 | positive |
Disclaimer/Publisher’s Note: The statements, opinions and data contained in all publications are solely those of the individual author(s) and contributor(s) and not of MDPI and/or the editor(s). MDPI and/or the editor(s) disclaim responsibility for any injury to people or property resulting from any ideas, methods, instructions or products referred to in the content. |
© 2023 by the authors. Licensee MDPI, Basel, Switzerland. This article is an open access article distributed under the terms and conditions of the Creative Commons Attribution (CC BY) license (http://creativecommons.org/licenses/by/4.0/).