Preprint
Case Report

This version is not peer-reviewed.

Similarities of Interspecies Transmission of Canine Distemper Virus Infection in Wild Raccoons (Procyon lotor)

A peer-reviewed article of this preprint also exists.

Submitted:

31 May 2023

Posted:

02 June 2023

You are already at the latest version

Abstract
Canine distemper virus (CDV) is a serious contagious disease of canines, cats and sometimes ra-coons. The study included seven raccoons from Timisoara Zoo. The detection of CDV in all raccoons was accomplished using qRT-PCR, but several other exams were also conducted. Clinically, severe digestive disorders were observed, characterized by diarrhea and repeated hematemesis. Pseudomembranous gastroenteritis, congestion and pulmonary edema were found during the ne-cropsy of two racoons. Immunohistochemically, the brown color was highlighted in the examined sectionsand it was present in the cytoplasm of the cells from the germinal centers of the medullary area. Histopathological examination revealed lymphocyte depletion and intranuclear and intracy-toplasmic inclusions in the intestine. Based on the qRT-PCR assay, laboratory tests and lesions ob-served, it was established that the raccoons got infected with CDV, and two of them died as a result. The necropsy, histological lesions and immunohistochemical results are comparable between dogs and racoons. Through the results obtained, it was concluded that the interspecific infection is possible and the epidemiological risk of infection transmitted by racoons to domestic animals, such as dogs and cats, needs to be examined in the future.
Keywords: 
;  

1. Introduction

Raccoons belong to the family Procyonidae,which includes18 species in total. Procyon lotor is located in a large geographic area of North America. It extends from southern Canada through most of the continental United States and Central America [1]. In the United States, regular outbreaks occur in free-ranging raccoons (Procyon lotor), a species that might have a role in the epidemiology of CDV in domestic dogs in that region [2]. In Europe, particularly in Romania, raccoons are wild animals kept in zoos, but the utilization as pets may be a new trend.
The disease is caused by a single-stranded enveloped RNA virus from the family of Paramyxoviridae, genus Morbillivirus. It was first isolated by Carré in 1905 [3] and still remains one of the main problems for veterinarians and owners due to the high morbidity and mortality rates [4]. Itaffects both wild and domestic animals, with dogs being the most common victims [5,6,7,8,9]. CDV has a broad host range [10], and evidence for the infection has been obtained in several mammalian species in the family’s Canidae(e.g., dog, dingo, fox, coyote, wolf, jackal) [2,6,11], Felidae, Mustelidae (e.g., weasel, ferret, mink, skunk, badger, stoat, marten, otter) [12], Procyonidae (e.g., kinkajou, coati, bassariscus, raccoon, red panda), Ursidae, Viverridae, Hyaenidae etc. The infection has also been described in captive and free-ranging large felids [13], or in the families Primates [10], Phocidae [14,15], Artiodactyla, or Proboscidea. The status of CDV in raccoons was described by many authors in the last century [16,17,18] and in recent studies [1,19].
The primary sources of CDV are ill and recoveredanimals, whichshed large amounts of the virus in all secretions and excretions from as early as day 5 after infection, before the onset of clinical signs. Viral shedding may continue for as long as 3 to 4 months, but usually resolves after 1 to 2 weeks. Secondary sources include all elements of the environment that have come into contact with pathological products, such as active animated vectors (humans during viremia) or passive vectors such as water, food, means of transport and care, contact with bedding or other objects touched by infected animals etc. [5,6,7,8,20]. CDV is highly contagious and transmitted predominantly by aerosols [13].
The virus is transmitted extremely easily through the air by means of secretions from the infected animal. The virus is easily transferred from domestic to wild animals and vice versa. In domestic animals, any unvaccinated dog is prone to CDV disease, but the most susceptible are puppies and dogs that live in poor conditions and are not properly fed. A similar situation is likely to occur in wildlife [15,21].
The incubation period ranges from 3 to 6 days. The virus initially infects lymphoid tissue (monocytes) in the upper respiratory tract and tonsils and is subsequently disseminated via the lymphatics and blood to the entire reticuloendothelial system. In a second stage of cell-associated viremia and fever (8 to 9 days after infection), after which CDV infects cells of the respiratory, gastrointestinal tract, central nervous system, urinary tract, and skin, white blood cells [22].
The clinical signs of distemper are dependent on the virus strain, age and immune status of the host. Many puppies and dogs experience subclinical infection, followed by death. Gastrointestinal tract or respiratory signs may exhibit fever, bilateral serous and nasal ocular discharges, conjunctivitis, and a nonproductive cough. Secondary bacterial infection by virus-induced immunosuppression, can lead to the development of mucopurulent nasal and ocular discharges and bacterial bronchopneumonia, with tachypnea, productive cough, lethargy, and decreased appetite. Viral destruction of the gastrointestinal tract epithelium can result in inappetence, vomiting, diarrhea, electrolyte abnormalities, and dehydration. Dogs that mount an intermediate or delayed immune response may recover from acute illness, but fail to eliminate the virus completely, which leads to a spectrum of more chronic disease manifestations, which often involve the uvea, lymphoid organs, footpads, and especially the central nervous system (CNS) - up to 30% of infected dogs develop CNS signs [5,22].
Positive prognoses increase if it is quickly diagnosed and if the status of the animal’s immune system is good. The only way to prevent the disease in dogs is to vaccinate them, in accordance with routine practice [23,24,25].
The study was conducted to establish the cause of disease in seven raccoons from Timisoara Zoo and the cause of death of two raccoons through a series of laboratory tests and necropsy, in support of the hypothesis that the clinical signs and death of two raccoons were caused by the interspecific infection with CDV.

2. Materials and Methods

The methods included identification techniques of CDV disorders in raccoons to compare them with well-known lesions caused by CDV in dogs. This study was performedafter receiving the approval from the Ethical Committee of the University.

2.1. Case History, Examination, and Preliminary Treatment

The raccoons from Timisoara Zoo live in their delimited area, isolated from other domestic or wild animals but visible to visitors. The Zoo veterinarian reported that two out of seven raccoons (Procyon lotor), aged 7 months, showed clinical signs of impaired digestive system, characterized by severe diarrhea, up to hematemesis, which are common aspects of CDV disease. In five animals, the clinical signs were not observed. For all racoons, the blood samples were collected in EDTA Vacuum Blood Collection Tubes at the beginning of antibiotic treatment, and transported on ice to the infectious diseases laboratory for screening. Although the veterinarian isolated animals in individual cages and attempted treatment with Enrofloxacin (5 mg/kg body weight) and lactated Ringer solution for rehydration (3 ml/kg and hour), twice a day, and two raccoons died after 2 and 3 days, respectively.

2.2. Detection of Canine Distemper Virus by qRT-PCR

CDV in raccoons was detected using the qRT-PCR technique. Blood plasma was obtained after the centrifugation of samples. Viral genome extraction was performed from plasma samples using the QIAamp Viral RNA Kit (Qiagen, Hilden, Germany) following the manufacturer’s instructions. The detection of viral particles was performed using the in vitro diagnostic One step Distemper virus detection kit (Bioingentech Biotechnologies, Concepción, Chile) in a qualitative assay using an Mx3005P Real-Time PCR System (Agilent Technologies, Santa Clara, California, USA) according to the manufacturer’s instructions. Each sample was analyzed in triplicate; a negative control, a positive control and an internal reaction control were used for each run. Results were interpreted according to Ct values as follows: a value lower than 11 and higher than 40 was considered negative, Ct values between 12 and 35 were considered positive, and values higher than 35 and lower than 40 were considered inconclusive.

2.3. Necropsy

Raccoon cadavers were transported in biosecurity conditions in sealed plastic bags from Timisoara Zoo to the Laboratory of Pathological Anatomy of the Faculty of Veterinary Medicine in Timisoara to establish the cause of death. The necropsy was performed according to the mammalian autopsy technique after skinning the carcasses, opening the thoracic and abdominal cavities, and examining the tissues and organs, with increased attention to those with lesions visible macroscopically.

2.4. Toxicological Screening

Since toxicological examination required a short turnaround time, it preceded the PCR examination. The purpose of this rapid intervention was to save the remaining raccoons, in case of intoxication being the cause of clinical manifestations and death. In order to exclude any possible intoxication, prior to obtaining the results from qRT-PCR, and after the necropsy of both dead raccoons, the liver samples were analyzed to identify the main anticoagulant raticides present on the Romanian market (difenacoum, difethialone, diphacinone, brodifacoum, bromadiolone, chlorophacinone).The technique used for this purpose involved high performance liquid chromatography.

2.5. Microbiological and Mycosis Screening

To exclude any possible bacterial infections, the inoculations from the small intestine (duodenal and jejunal fragments), liver and lymph nodes, were performed to isolate the bacterial strains. The primary culture was performed on various media, depending on the species of microorganisms that were suspected to be involved. For the isolation of Escherichia coli, the primary cultivation was performed using nutrient broth and agar media, considering that these microorganisms are not demanding during cultivation due to the rich enzymatic content. All incubations were performed in aerobic conditions for 24 hours at 37°C. Sabouraud-glucose-agar gel (Beckton Dickinson GmbH, Heidelberg, Germany) with chloramphenicol and gentamicin (50 mg of each antibiotic / 1000 ml) were used for mycological examination. Inoculation was performed in aerobic conditions for 48 hours at 37°C.

2.6. Immunohistochemical/Histopathological Examination

For the histopathological examination, samples were collected from the lung and intestine to highlight the inclusions produced by the virus. Techniques applied in staining intestinal and lung samples included: fixation (formalin), embedding (dehydration, clarification, fixing in paraffin and inclusion), sectioning (6 µm with the Slee Mainz microtome) and staining (Hematoxylin – Eosin).
A kit containing a specific immunoglobulin conjugate coupled with peroxidase was used to detect CDV (nucleocapsid) antigens present in infected cells. For this purpose, portions of intestine with macroscopic pathological lesions were collected from the carcasses. From each intestinal portion, sufficient tissue amounts were collected to be included into a 3-part working protocol.
In part I, each sample was fixed in 4% paraformaldehy de for 24 hours, after which the samples were washed in tap water and kept in 50% alcohol (1 hour), 70% alcohol (1 hour), 95% alcohol (1 hour), 100% alcohol (1 hour) and alcohol: toluene (1:1)mixture (1 hour). The samples were then placed in paraffin I enclosures and kept in thermostat at 60°C for two hours and in paraffin II inthermostat at 60°C for one hour. The paraffin employed had the following composition: 100 g paraffin + 5 g wax.
In part II, the blocks were sectioned using a microtome (4 µm thickness), after which they were placed on glass slides. Then, the following steps were taken: paraffin removal with toluene (2 baths for 15 minutes each), rehydration with ethanol (100% 5 minutes, 96% -5minutes, 70% - 5 minutes), washing the slides with distilled water and removing excess water, neutralizing endogenous peroxidase with peroxidase block for 10 minutes, washing with TBS 1 (2 baths for 5 minutes), incubating with protein block for 10 minutes and washing with TBS 1 (2 baths for 5 minutes).
The next step performed in the sectioned slides was to add a conjugate consisting of the primary antibody coupled with peroxidase in a dilution of 1:100. Then, the slides were kept in the refrigerator in trays with water until the next day.
In part III, the slides removed from the refrigerator were subjected to the following steps: washing with TBS 1 (2 baths for 5 minutes), incubation with post primary (30 minutes), washing with TBS 1 (2 baths for 5 minutes) and incubation with novolink polymer containing the primary antibody for 30 minutes, rinsing with TBS 1 (2 baths for 5 minutes), treating the slide with 3.3` diamino-benzidine (DAB) for 5 minutes, washing with distilled water. Subsequently, hematoxylin staining of the nuclei was added to the slides for 40 seconds. Finally, the slides were washed with distilled water (2 baths for 5 minutes), followed by the final washing of the slides with: unyhol, plus and bioclear.

2.7. The Electron-Microscopic Examination

The electron microscopy examination was performed by the Pasteur National Institute in Bucharest, a partner of the Faculty of Veterinary Medicine in Timisoara. Viral particles were visualized in a suspension (sample) by their specific adsorption on the surface of a double membrane electrolytic network (formvar and carbon), followed by fixation, washing, negative staining (deposition of electro dense substances around viral particles) and examination of transmission under the electron microscope. The smaller the electron-dense substance used, the deeper it penetrates the surface structures of the viruses, obtaining more details. For the direct negative staining method by electron microscopy (EM-DNSM), the fragments of lung and intestine were placed in a suspension consisting of quartz sand (Merck, KGaA, Darmstadt, Germany) and phosphate buffered saline (PBS, 5 ml at pH 7.2 -7.4) in sterile conditions. The obtained suspension was harvested and subjected to clarification centrifugation at 400 xg for 20 min at + 400C. From the resulting supernatant, 50 µl suspension was taken, over which electrolytic grids of 150 msh (copper mesh grids) were covered with double membrane (formvar and carbon) for 1-2 min. The grids were contrasted with 2% uranyl acetate in distilled water, followed by the examination under the electron microscope. The lung and intestine fragments collected were fixed for 30 minutes in cold water in PBS, with 2.5% glutaraldehyde. Subsequently, the parts were post fixed in osmium tetraoxide (OsO4) solution, dehydrated by successive passages in ethyl alcohol baths in increasing concentrations, followed by propylene oxide clarification and included in Epon 812. Ultrafine preparations sectioned at the LKB III ultramicrotome were deposited on electrolytic grids and double contrast with the Reynolds solution.

3. Results

3.1. Clinical Outcome

The five raccoons did not show any clinical signs, which meant that the disease did not affect all the animals. Both dead raccoons with clinical signs had good body condition [26] before death, but had a lower body growth status, lagging in development compared to other siblings. Perhaps due to anorexia, they were deprived of the proteins needed for antibody synthesis and this could have affected their immune system. None of the raccoons, healthy or ill, had been vaccinated against CDV, as the disease had not been reported in zoos in raccoons or other disease-susceptible species in this habitat. Possibly, the infection and disease were caused by secondary sources of infection through the active animated vectors (animal caregivers during the possible period of viremia) or the passive abiotic vectors (water, food, means of transport and care, etc.). This can be explained by the fact that the zoo is located on the outskirts of the city of Timisoara in a wooded area and many stray dogs can reach it (unfortunately, the problem of stray dogs in Timisoara is currently still not fully solved). Unvaccinated dogs have a high prevalence of this disease and can be sources of infection. Moreover, they could have come into contact with animal lovers (visitors, caretakers, etc.) who later entered the zoo and came into contact with the raccoons.

3.2. Detection of Canine Distemper Virus by qRT-PCR

Following the analysis by qRT-PCR, viral genome was detected in all seven whole blood samples collected. The results are presented in Table 1 and dead animals are highlighted.
Detecting CDV by qRT-PCR method is a common technique in CDV diagnosis in dogs [27,28] and it can be used in raccoons as well.

3.3. Necropsy Exam

Following the necropsy, several lesions were noted, such as: hemorrhagicgastroenteritis (Figure 1), pulmonary congestion (Figure 2), pharyngeal ulcers, foci of necrosis on the surface of the liver and pancreas. The severity of the clinical signs and the observed anatomo-pathological lesions proved the septicemic evolution of the disease.

3.4. Toxicological Screening

Due to the presence of hemorrhagic lesions, toxicological examinations were performed using the classical method of determining anticoagulants to rule out possible poisoning with raticides. The results were negative.

3.5. Microbiological and Mycosis Exam

Based on the biochemical characteristics of the xylose lysine deoxycholate agar subculture (XLD) (Microbiology Labor-Technik, Arad, Romania), it has been concluded that the isolated bacterial cultures were Escherichia coli. Escherichia coli and Candida spp. were identified by bacteriological examination of samples taken from the intestine, liver, and lymph nodes. The morphological characteristics of the isolated strains, observed on smears stained with methylene blue, revealed the presence of Candida spp. In the case of Candida spp., the samples for the histopathological examination were collected from the brain, lungs and intestines.

3.6. Immunohistochemical/Histopathological Examination

Due to the fact that the histopathological lesions of the digestive tract resemble the lesions of parvovirus, namely the necrosis of the glandular crypts (Figure 3), the immunohistochemical examination was performed to exclude it. However, the results were negative, as they lacked brown areas characteristic to the antigen-antibody reaction in the case of positive samples.
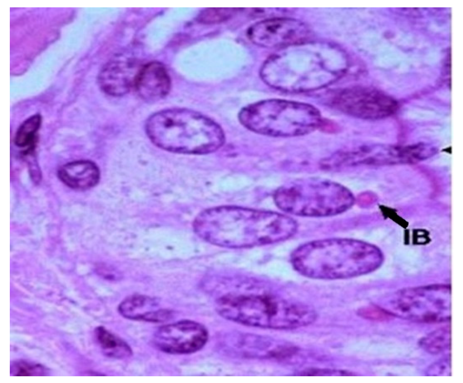
In the lung samples, after performing the histopathological examination, inclusions induced by both intracytoplasmic viruses (eosinophils) and intranuclear viruses were observed (Figure 4 and Figure 5). Examination of the small intestine revealed nematodes of the genus Ascaris spp. Their presence explains the evidence of eosinophils during the histopathological examination. Additionally, even if no signs were reported, histopathological examinations of the brain were performed, but the results were negative. These characteristic lesions occur very rarely, but some adenoviruses may cause inclusions.
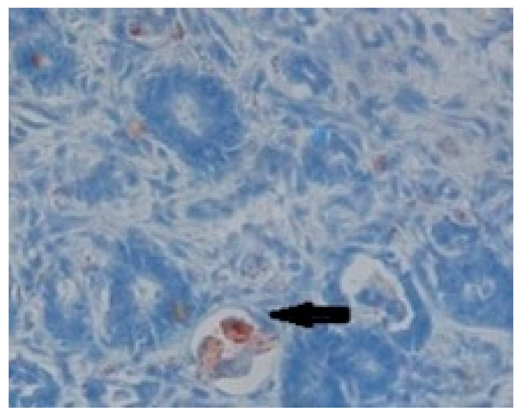
Immunohistochemical analysis allowed the fixation of the primary antibodies coupled with peroxidase by the viral nucleocapsid. Subsequently, the antigen-antibody-peroxidase complexes were visualized with the help of secondary antibodies and by adding 3,3′-diaminobenzidine, which reacts with peroxidase and results in a dark brown granular color indicating the presence of viral antigens in the cytoplasm of the cells. In the examined sections, brown colorwas observed and it was present in the cytoplasm of the cells from the germinal centers of the medullary area (Figure 6). This aspect is considered a confirmation of the CDV, and it represents the presence of viral antigens in the cytoplasm of enterocytes.
The inclusions produced by morbilliviruses have been reported by some researchers in cats [5], while they have not been shown in raccoons. Thus, to confirm the etiological diagnosis with certainty, we utilized electron microscopy.

3.7. The Electron-Microscopic Examination

Following this examination, ultrastructural aspects of enterocytes were highlighted: electron-dense, enveloped agglomerations with spherical geometry, diameter of about 150 nm, characteristic of morbilliviruses that replicate in the cytoplasm by attaching the virus to the host cell (Figure 7), which was also reported by Habermann et al. [29].
Electron microscopic examination revealed viral particles characteristic of morbilliviruses in lung samples.

4. Discussion

The severity of clinical signs is influenced by strain virulence, environmental conditions, host age and immune status in dogs [30] and raccoons. The clinical and lesion manifestations in CDV vary from respiratory to digestive, cutaneous, and nervous. The clinical signs found in raccoons were similar to those found in dogs [8], the animal species that is most commonly affected by this disease, and they included: digestion, vomiting, diarrhea, hematemesis. Due to the fact that death occurred after 2 and 3 days respectively, no clinical signs of nervousness were reported, as these usually set in after approximately 14 days from the onset of the disease [31]. As others report [32], the disease caused by CDV may range from subclinical to severe and is sometimes fatal. Clinical signs may include fever, inappetence, coughing, ocular or nasal discharge, difficult respiration, vomiting, diarrhea, lethargy, and/or neurologic abnormalities. Neurologic disease may occur during the acute infection or may manifest in the weeks following exposure. Clinical signs may also include muscle twitching, weakness, blindness or even seizures. Infection of the tissues of the nasal planum and footpads may result in excessive or thickened tissue. Puppies surviving CDV may have enamel defects of their permanent teeth.
There is no special treatment to cure this disease, but there are ways to treat the symptoms. Depending on the severity of the condition and how advanced the disease is, fluid infusions are recommended if the animal is dehydrated and a drug treatment is administered to control episodes of vomiting and encephalitis. The response to the maintenance treatment and the treatment of symptoms caused by CDV disease differ, depending on the size of the animals, their health, age and how advanced the disease is. To prevent the disease, CDV vaccines must be given at the age of two months with a booster administered two weeks later [29,32,33] in both dogs and raccoons or every 2-4 weeks until the puppy is at least 16 weeks of age, in raccoons [34].
Diagnostic testing for CDV in raccoons can be performed by analyzing nasal swabs as well as tissue samples by PCR, like in dogs. From our experience with the PCR analysis, an ideal sample type varies based on clinical signs. The recommendation for PCR exam is made after observing thefollowing clinical signs: gastrointestinal signs (whole blood and/or feces), respiratory signs (nasal, pharyngeal, or ocular swabs), or neurologic signs (whole blood, urine, and/or a conjunctival SWAB).
Lesions reported during the gross necropsy examination of raccoons included those observed by other researchers in dogs with this disease, e.g., severe dehydration due to severe enteric phenomena, pulmonary congestion, hemorrhagic enteritis [24].
The presence of bacteria and fungi was also reported [35,36]. Like in dogs, the presence of bacteria and fungi did not cause the death of the raccoons, because the lesions presentwere not characteristic. The infection of lymphoid cells by CDV leads to immunosuppression, the severity of which can lead to variability in the clinical disease with the potential viral co-infections with coronavirus (CCoV) [37], adenoviruses (CAdVs) [38], herpesvirus (CaHV-1) [39], rotavirus (RVA) [40], parvovirus (CPV2) [41] or secondary nonviral co-infections like bacterial infection (for this reason the antibiotic treatment is used), up to and including the development of neurological signs in its later stage [42]. Additionally, coccidian, neospora, tenia, or nematodes have been identified [43] as a non-viral co-infestation with CDV.
The histopathological lesions characteristic of CDV infection, namely intracytoplasmic and intranuclear inclusions, corresponded to those mentioned by other researchers in raccoons [25] as well as in dogs [44].
The results obtained by using the IHC technique are similar to the results found in the literature on the use of this method in the diagnosis of CDV [45,46], such as in dogs [44].
Practically, the clinical signs (characterized by severe diarrhea which led to severe dehydration, and eventual death by hypovolemic shock), histopathological results (including immunohistochemical observations),and electron microscopy images are comparable between dogs and raccoons. The implications of the CD viruses in clinical signs, immunological response, and body organs damage (followed by death) are also comparable between dogs and raccoons.
As stated in the literature, during the evolution of CDV, immunity played an important role in triggering the disease and maintaining its severe evolution. Due to the high morbidity and mortality rates and broad host range (domestic dogs and wildlife, in at least six orders and over 20 families of mammals), understanding the epidemiology of CDV is important for its control in both domestic animals and wildlife [47,48,49]. From the epidemiological point a view, canine distemper cases in Timisoara Zoo raccoons increase the risk of transmission to pets in the Timisoara area. Uncontrolled imports [50], unvaccinated or improperly vaccinated dogs between 3 and 6 months of age are at greatest risk of infection [34,51]. Through the reports in literature [34,47,48,52] and through hour case study, the interspecific infection is clearly possible, and the epidemiological risk of infection transmitted by raccoons to dogs is likely to occur through secondary sources like bedding or other objects touched by infected animals.

5. Conclusions

Canine distemper virus generally affects dogs, but it can also be identified in other species such as raccoons in wild or domestic areas. Although vaccination against canine distemper has been used, this infection still represents an important disease for dogs and raccoons, which may be sources of viruses or host animals by means of interspecific infection.
Clinical signs (characterized by severe diarrhea which leads to severe dehydration and eventual death caused by hypovolemic shock), histopathological results (including immunohistochemical observations) and electron microscopyimages are comparable between dogs and racoons. Subclinical infection and severe signs are followed by death in both dogs and raccoons.
High accuracy diagnostic is required. The easiest method to diagnose CDV with the highest accuracy involves performing a PCR assay on the harvested blood, nasal swabs, or tissue samples from raccoons, as well as unvaccinated puppies.

Author Contributions

Conceptualization, S.A and H.I.; methodology, S.A.; validation, H.I.; formal analysis, P.S.A and L.I ; investigation, H.A.S and B.O; resources L,I.; data curation, A.S., A.D and L.B.; writing—original draft preparation, V.O.S.; writing—review and editing, I.O.R.; visualization, P.S.A.; supervision, H.I.; project administration, A.S.; funding acquisition, A.S. All authors have read and agreed to the published version of the manuscript.

Funding

Please add: This research was funded by Experimental Units of Horia Cernescu Research Unit –Contract no. 4833 of 04.09.2014 and the APC was funded by the University of Life Sciences from Timisoara.

Institutional Review Board Statement

The animal study protocol was approved by the Ethical Statement no 73/2020 of the Committee of Experimental Units of the University of Life Sciences from Timisoara- Faculty of Veterinary Medicine in Timisoara.

Data Availability Statement

The data presented was obtained from all subjects involved in this study. Data Availability Statements are available.

Acknowledgments

The authors acknowledge the Experimental Units and University of Life Sciences for financial support. Also, the authors acknowledge the technical support, materials, and sample processing provided by the Laboratories from the Horia Cernescu Research Unit Timisoara and to the Pasteur National Institute in Bucharest.

Conflicts of Interest

The authors declare no conflict of interest.

References

  1. Hamir, A.N. Pathology of neurologic disorders of raccoons (Procyon lotor). J Vet Diagn Invest. 2011, 23(5), 873–884. [Google Scholar] [CrossRef]
  2. Deem, S.L.; Spelman, L.H.; Yates, R.A.; Montali, R.J. Canine distemper in terrestrial carnivores: a review. J. of Wildlife Medicine. 2000, 31(4), 441–451. [Google Scholar]
  3. Carré, H. Sur la maladie des jeuneschiens. C R Acad Sci. 1905;140(689–690):1489–1491.
  4. Patel JR, Heldens JG, Bakonyi T, Rusvai M. Important mammalian veterinary viral immunodiseases and their control. Vaccine 2012, 30, 1767–1781. [Google Scholar] [CrossRef] [PubMed]
  5. Lakatos, B.; Knotek, Z.; Farkas, J.; Ádám, É.; Dobay, O.; Nász, I. Adenovirus infection in cats. An epidemiological survey in the Czech Republic. Acta Vet Brno. 1999, 68(4), 275–280. [Google Scholar] [CrossRef]
  6. Frölich, K.; Czupalla, O.; Haas, L.; Hentschke, J.; Dedek, J.; Fickel, J. Epizootiological investigations of canine distemper virus in free-ranging carnivores from Germany. Vet Microbiol. 2000, 74(4), 283–292. [Google Scholar] [CrossRef] [PubMed]
  7. Munson, L. Feline Morbillivirus infection. In: Williams ES, Barker IK (editor). Infectious Diseases of Wild Mammals. Blackwell Publishing, London, UK; 2001; pp. 59-62.
  8. Creevy, K.E., Evans J.B., Canine Distemper inMDS Manual – Veterinary Manual, Merck & Co., Inc., Rahway, NJ, USA[CrossRef].
  9. Shi, N.; Le, Z.; Xiuhua, Y.; Xiangyu, Z.; Shu, Z.; Daining, Z.; Ming, D. Insight Into an Outbreak of Canine Distemper Virus Infection in Masked Palm Civets in China. Front Vet Sci. 2021, 8, 1–6. [Google Scholar] [CrossRef]
  10. Martinez-Gutierrez, M.; Ruiz-Saenz, J. Diversity of susceptible hosts in canine distemper virus infection: A systematic review and data synthesis. BMC Vet. Res. 2016, 12, 78. [Google Scholar] [CrossRef]
  11. Mochizuki M, Hashimoto M, Hagiwara S, Yoshida Y, Ishiguro S. Genotypes of canine distemper virus determined by analysis of the hemagglutinin genes of recent isolates from dogs in Japan. Journal of Clinical Microbiology 1999, 37, 2936–2942. [Google Scholar] [CrossRef]
  12. Pavlacik, L., Celer, V., Koubek, P., Literak, I. Prevalence of canine distemper virus in wild mustelids in the Czech Republic and a case of canine distemper in young stone martens. VeterinarniMedicina 2007, 52, 69–73. [Google Scholar]
  13. Appel MJG, Summers B. Pathogenicity of morbilliviruses for terrestrial carnivores. Veterinary Microbiology. 1995;44:187–191. [CrossRef]
  14. Harder TC, Osterhaus ADME. Canine distemper virus – a morbillivirus in search of new hosts? Trends in Microbiology. 1997;5:120–124. [CrossRef]
  15. Lempp, C.Spitzbarth, I.; Puff, C.; Cana, A.; Kegler, K., Techangamsuwan, S.; Baumgärtner, W.; Seehusen, F. New Aspects of the Pathogenesis of Canine Distemper Leukoencephalitis. Viruses 2014, 6, 2571–2601. [CrossRef]
  16. Hoff, G.L. , Bigler, W.J., Proctor, S.J. and Stallings, L.P.,. Epizootic of canine distemper virus infection among urban raccoons and gray foxes. Journal of Wildlife Diseases, 1974, 10, 423–428. [Google Scholar] [CrossRef] [PubMed]
  17. Roscoe, D.E. Epizootiology of canine distemper in New Jersey raccoons. Journal of Wildlife Diseases 1993, 29, 390–395. [Google Scholar] [CrossRef] [PubMed]
  18. Schubert, C.A., Barker, I.K., Rosatte, R.C., MacInnes, C.D. and Nudds, T.D. Effect of canine distemper on an urban raccoon population: an experiment. Ecological Applications 1998, 8, 379–387. [CrossRef]
  19. Lednicky, J.A., Dubach, J., Kinsel, M.J., Meehan, T.P., Bocchetta, M., Hungerford, L.L., Sarich, N.A., Witecki, K.E., Braid, M.D., Pedrak, C. and Houde, C.M., Genetically distant American Canine distemper virus lineages have recently caused epizootics with somewhat different characteristics in raccoons living around a large suburban zoo in the USA. Virology journal, 2004.1, pp.1-14.
  20. Gutierrez, M.M.; Saenz, J.R. Diversity of susceptible hosts in canine distemper virus infection: a systematic review and data synthesis. BMC Vet Res 2016, 12, 1–11. [Google Scholar]
  21. Headley, S.A.; Oliveira, T.E.S.; Pereira, A.H.T.; Moreira, J.R.; Michelazzo, M.M.Z.; Pires, B.G.; Marutani, V.H.B.; Xavier, A.A.C.; Di Santis, G.W.; Garcia, J.L.; Alferi, A.A. Canine morbillivirus (canine distemper virus) with concomitant canine adenovirus, canine parvovirus-2, and Neospo-racaninum in puppies: a retrospective immunohistochemical study. Scientific report. 2018, 8, 1–17. [Google Scholar]
  22. Sykes, J.E., Canine Distemper Virus Infectionin in Canine and Feline Infectious Diseases, 2014. [CrossRef]
  23. Jamison, R.K.; Lazar, E.C.; Binn, L.N.; Alexander, A.D. Survey for Antibodies to Canine Viruses in Selected Wild Mammals. J. of Wildlife Diseases. 1973, 9(1), 2–3. [Google Scholar] [CrossRef]
  24. Williams, E.S.; Barker I.K. Infectious Diseases of Wild Mammals. 3rd ed., Iowa State University Press, Ames, Iowa, USA, 2001; pp. 43.
  25. Cranfield, M.R.; Barker, I.K.; Mehren, K.G.; Rapley, WA. Canine Distemper in Wild Raccoons (Procyon lotor) at the Metropolitan Toronto Zoo. Can vet J. 1984, 25(2), 63–66. [Google Scholar]
  26. Pitt, J. A., Serge Lariviėre, S., Messier. F. Survival and Body Condition of Raccoons at the Edge of the Range. The Journal of Wildlife Management 2008, 72, 389–95. [CrossRef]
  27. Wang, J., Wang J., Li R., Liu L., Yuan W. Rapid and sensitive detection of canine distemper virus by real-time reverse transcription recombinase polymerase amplification. BMC Veterinary Research 2017, 13, 241. [CrossRef]
  28. Elia G., Decaro N., Martella V., Cirone F., Lucente M.S., Lorusso E., Di Trani L., Buonavoglia C. Detection of canine distemper virus in dogs by real-time RT-PCR. Journal of Virological Methods 2006, 136, 171–176. [CrossRef]
  29. Habermann, R.T.; Herman, C.M.; Willams, F.P. Distemper in raccoons and foxes suspected of having rabies. J Am Vet Med Assoc. 1958, 132(1), 31–35. [Google Scholar] [PubMed]
  30. Espinal, M.A.; Díaz, F.J.; Ruiz-Saenz, J. Phylogenetic evidence of a new canine distemper virus lineage among domestic dogs in Colombia, South America. Vet. Microbiol. 2014, 172, 168–176. [Google Scholar] [CrossRef] [PubMed]
  31. Shabbir, M.Z.; Rabbani, M.; Ahmad, A.; Ahmed, A.; Muhammad, K.; Anwar, I. Comparative evaluation of clinical samples from naturally infected dogs for early detection of canine distemper virus. Turk. J. Vet. Anim. Sci. 2010, 34(6), 547–552. [Google Scholar] [CrossRef]
  32. Robinson, V.B.; Newberne, J.W.; Brooks, D.M. Distemper in the American raccoon (Procyon Lotor). J Am Vet Med Assoc. 1957, 131(6), 276–278. [Google Scholar] [PubMed]
  33. Maurer, K.E.; Nielsen, S.W. Neurologic disorders in the raccoon in northeastern United States. J Am Vet Med Assoc. 1981, 179(11), 1095–1098. [Google Scholar] [PubMed]
  34. Niederwerder M., Boyer, N., Canine Distemper: A Recent Uptick in the Number of Positive Raccoon Diagnostic Samples Underscores the Importance of Vaccination in Dogs, https://ksvdl.org/resources/news/diagnostic_insights _for_technicians/october2017/raccoons_CDV.html.
  35. Konjević, D.; Sabočanec, R.; Grabarević, Z.; Zurbriggen, A.; Bata, I.; Beck, A.; Kurilj, A.G.; Cvitković, D. Canine distemper in Siberian tiger cubs from Zagreb ZOO: case report. Acta Vet. Brno. 2011, 80(1), 47–50. [Google Scholar] [CrossRef]
  36. Alfano, F.; Fusco, G.; Mari, V.; Occhiogrosso, L.; Miletti, G.; Brunetti, R.; Galiero, G.; Desario, C.; Cirilli, M.; Decaro, N. Circulation of pantropic canine coronavirus in autochthonous and imported dogs, Italy. Transbound. Emerg. Dis. 2020, 67, 1991–1999. [Google Scholar] [CrossRef]
  37. Pratelli, A.; Martella, V.; Pistello, M.; Elia, G.; Decaro, N.; Buonavoglia, D.; Camero, M.; Tempesta, M.; Buonavoglia, C. Identification of coronaviruses in dogs that segregate separately from the canine coronavirus genotype. J. Virol. Methods 2003, 107, 213–222. [Google Scholar] [CrossRef]
  38. Linnè, T. Differences in the E3 regions of the canine adenovirus type 1 and type 2. Virus Res. 1992, 23, 119–133. [Google Scholar] [CrossRef]
  39. Decaro, N.; Amorisco, F.; Desario, C.; Lorusso, E.; Camero, M.; Bellacicco, A.L.; Sciarretta, R.; Lucente, M.S.; Martella, V.; Buonavoglia, C. Development and validation of a real-time PCR assay for specific and sensitive detection of canid herpesvirus 1. J. Virol. Methods 2010, 169, 176–180. [Google Scholar] [CrossRef]
  40. Martella, V.; Bányai, K.; Matthijnssens, J.; Buonavoglia, C.; Ciarlet, M. Zoonotic aspects of rotavirus. Vet. Microbiol. 2010, 140, 246–255. [Google Scholar] [CrossRef]
  41. Decaro, N.; Elia, G.; Martella, V.; Desario, C.; Campolo, M.; Di Trani, L.; Tarsitano, E.; Tempesta, M.; Buonavoglia, C. A real-time PCR assay for rapid detection and quantitation of canine parvovirus type 2 in the feces of dogs. Vet. Microbiol. 2005, 105, 19–28. [Google Scholar] [CrossRef] [PubMed]
  42. Rendon-Marin S., Budaszewski, R.F., CláudioWageck C.C., Ruiz-Saenzet J., Tropism and molecular pathogenesis of canine distemper virus, Virology Journal2019, 16:30. [CrossRef]
  43. Kazacos, K.R.; Wiriz, W.L.; Burger, P.P.; Chrisimas, C.S. Raccoon ascarid larvae as a cause of fatal central nervous system disease in subhuman primates. J Am Vet Med Assoc. 1981, 179(11), 1089–1094. [Google Scholar]
  44. Koutinas, A,F., Baumgärtner, W., Tontis,D., Polizopoulou, Z., Saridomichelakis,M, N., Lekkas, S. Histopathology and immunohistochemistry of canine distemper virus-induced footpad hyperkeratosis (hard Pad disease) in dogs with natural canine distemper. Vet Pathol 2004, 41, 2–9. [CrossRef]
  45. Haines, D.M., Martin, K.M.Chelack. B.J., Sargent, R.A.,Outerbridge,C.A., Clark E.G. Immunohistochemical detection of canine distemper virus in haired skin, nasal mucosa, and footpad epithelium: a method for antemortem diagnosis of infection. J Vet Diagn Invest 1999, 11, 396–399. [CrossRef] [PubMed]
  46. Kadam, R. G.; Karikalan, M.; Siddappa, C.M.; Mahendran, K.; Srivastava, G.; Rajak, K.K.; Rajat, Bhardwaj, Y.; Varshney, R.; War, Z.A.; Singh, R.; Ghosh, M.; Beena, V.; Pawde, A.M.; Singh, K.P.; Sharma, A.K. Molecular and pathological screening of canine distemper virus in Asiatic lions, tigers, leopards, snow leopards, clouded leopards, leopard cats, jungle cats, civet cats, fishing cat, and jaguar of different states, India. Infection, Genetics and Evolution 2022, 98, 3–7. [Google Scholar] [CrossRef] [PubMed]
  47. Duque-Valencia, J.; Sarute, N.; Olarte-Castillo, X.A.; Ruíz-Sáenz, J. Evolution and Interspecies Transmission of Canine Distemper Virus—An Outlook of the Diverse Evolutionary Landscapes of a Multi-Host Virus. Viruses, 2019, 11, 582. [Google Scholar] [CrossRef]
  48. Beineke A., Baumgärtner W., Wohlsein P., Cross-species transmission of canine distemper virus—an update, One Health 2015, 1, 49–59. [CrossRef]
  49. Appel, M.J., Yates, R.A., Foley, G.L., Bernstein, J.J., Santinelli, S., Spelman, L.H., Miller, L.D., Arp, L.H., Anderson, M., Barr, M., Pearce-Kelling, S., Summers, B.A. Canine distemper epizootic in lions, tigers, and leopards in North America. Journal of Veterinary Diagnostic Investigation 1994, 6, 277–288. [CrossRef]
  50. Alfano, F.; Lanave, G.; Lucibelli, M.G.; Miletti, G.; D’Alessio, N.; Gallo, A.; Auriemma, C.; Amoroso, M.G.; Lucente, M.S.; De Carlo, E.; Martella, V.; Decaro, N.; Fusco, G. Canine Distemper Virus in Autochtonous and Imported Dogs, Southern Italy (2014–2021). Animals,2022,12, 2852. [CrossRef]
  51. Alfano, F.; Dowgier, G.; Valentino, M.P.; Galiero, G.; Tinelli, A.; Decaro, N.; Fusco, G. Identification of Pantropic Canine Coronavirus in a Wolf (Canis lupus italicus) in Italy. J. Wildl. Dis. 2019, 55, 504–508. [Google Scholar]
  52. Sanjay, K.S., Yeary, T,J., Canine Distemper Spillover in Domestic Dogs from Urban Wildlife, Vet Clin Small Anim, 2011, 41(6),1069-1086. [CrossRef]
Figure 1. Intestine: Gross lesion, enteritis, hyperemia.
Figure 1. Intestine: Gross lesion, enteritis, hyperemia.
Preprints 75259 g001
Figure 2. Lung in acute disease: Congestion and no other significant lesions.
Figure 2. Lung in acute disease: Congestion and no other significant lesions.
Preprints 75259 g002
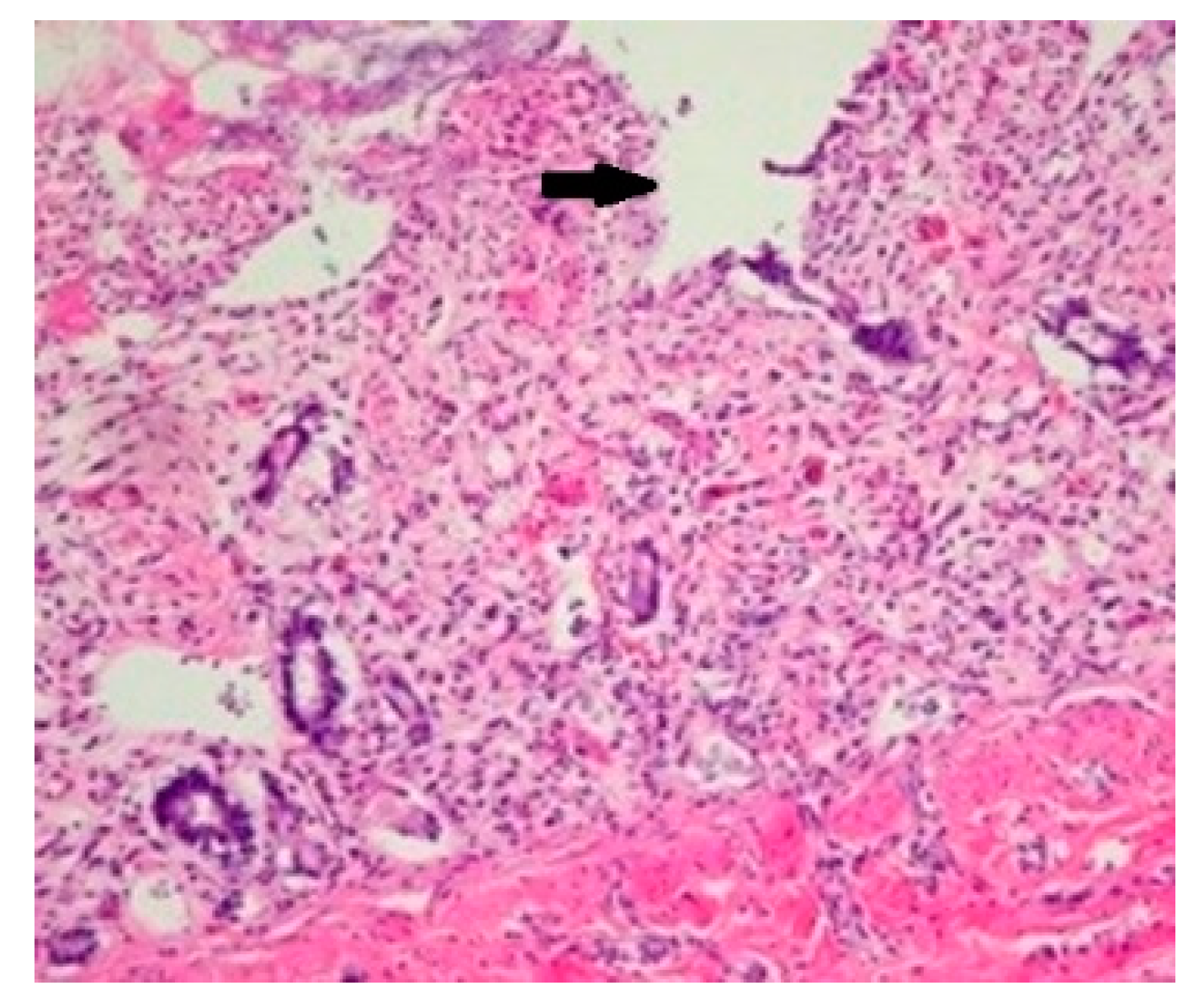
Figure 3. Intestine: Necrosis/loss of intestinal crypts. HE x 10.
Figure 3. Intestine: Necrosis/loss of intestinal crypts. HE x 10.
Preprints 75259 g003
Figure 4. Intestine: Cytoplasmic eosinophilic inclusion bodies. HE x 10.
Figure 4. Intestine: Cytoplasmic eosinophilic inclusion bodies. HE x 10.
Preprints 75259 g004
Figure 5. Intestine: Cytoplasmic eosinophilic and intranuclear inclusion bodies (IB). HE x 20.
Figure 5. Intestine: Cytoplasmic eosinophilic and intranuclear inclusion bodies (IB). HE x 20.
Preprints 75259 g005
Figure 6. Intestine: Immuno-positivity in mononuclear inflammatory cells. (IHC) x 10.
Figure 6. Intestine: Immuno-positivity in mononuclear inflammatory cells. (IHC) x 10.
Preprints 75259 g006
Figure 7. Intestine. Ultrastructural appearance of an enterocyte, electron-dense agglomerations of intracytoplasmic and intranuclear morbilliviruses. Negative staining, x 60000.
Figure 7. Intestine. Ultrastructural appearance of an enterocyte, electron-dense agglomerations of intracytoplasmic and intranuclear morbilliviruses. Negative staining, x 60000.
Preprints 75259 g007
Table 1. qRT-PCR detection results.
Table 1. qRT-PCR detection results.
Sample code Ct value 1 Results
1 (no clinical signs) 33.8 positive
2 (no clinical signs) 31.4 positive
3 (no clinical signs) 32.6 positive
4 (no clinical signs) 34.5 positive
5 (no clinical signs) 32.7 positive
6 (dead animal) 19.4 positive
7 (dead animal) 21.2 positive
1 Ct values lower than 11 and higher than 40 were considered negative, Ct values between 12 and 35 were considered positive, Ct values higher than 35 and lower than 40 were considered inconclusive.
Disclaimer/Publisher’s Note: The statements, opinions and data contained in all publications are solely those of the individual author(s) and contributor(s) and not of MDPI and/or the editor(s). MDPI and/or the editor(s) disclaim responsibility for any injury to people or property resulting from any ideas, methods, instructions or products referred to in the content.
Copyright: This open access article is published under a Creative Commons CC BY 4.0 license, which permit the free download, distribution, and reuse, provided that the author and preprint are cited in any reuse.
Prerpints.org logo

Preprints.org is a free preprint server supported by MDPI in Basel, Switzerland.

Subscribe

Disclaimer

Terms of Use

Privacy Policy

Privacy Settings

© 2026 MDPI (Basel, Switzerland) unless otherwise stated