Submitted:
18 April 2023
Posted:
19 April 2023
You are already at the latest version
Abstract
Keywords:
1. Introduction
2. Results
2.1. Codon optimization
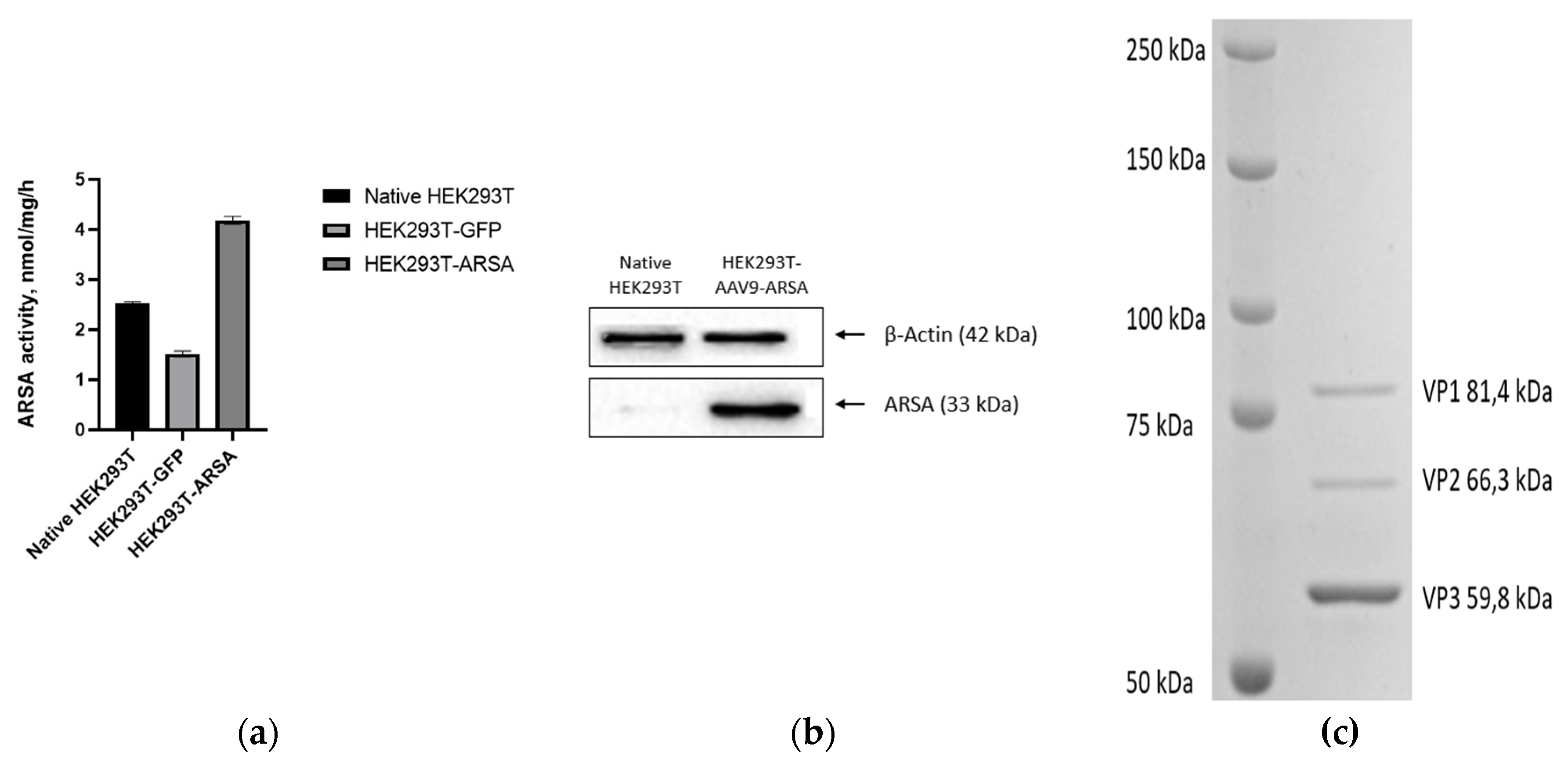
2.2. Analysis of ARSA enzymatic activity
2.3. Biochemical blood analysis
2.4. Pathomorphological analysis
2.5. Assessment of ARSA expression in nervous tissue
3. Discussion
4. Materials and Methods
4.1. Genetic Construct Design and Analysis
4.2. Production of preparative amounts of plasmid constructs required for AAV assembly
4.3. Preparation and purification of recombinant AAV
4.4. Determination of the overall purity of virus particles
4.5. Western blot analysis
4.6. Animals
4.7. Material Sampling
4.8. Determination of ARSA enzymatic activity
4.9. Quantitative polymerase chain reaction (qPCR)
4.10. Biochemical blood analysis and cytokine profile analysis
4.11. Immunofluorescence Analysis
4.12. Statistical Analysis
Author Contributions
Funding
Institutional Review Board Statement
Acknowledgments
Conflicts of interest
References
- Shaimardanova, A.A.; Chulpanova, D.S.; Solovyeva, V.V.; Mullagulova, A.I.; Kitaeva, K.V.; Allegrucci, C.; Rizvanov, A.A. Metachromatic leukodystrophy: Diagnosis, modeling, and treatment approaches. Frontiers in Medicine 2020, 7, 576221. [Google Scholar] [CrossRef] [PubMed]
- Gomez-Ospina, N. Arylsulfatase a deficiency. In Genereviews((r)), Adam, M.P.; Ardinger, H.H.; Pagon, R.A.; Wallace, S.E.; Bean, L.J.H.; Stephens, K.; Amemiya, A., Eds. Seattle (WA), 1993.
- Wanner, M.R.; Karmazyn, B.; Fan, R. Multidetector ct diagnosis of massive hemobilia due to gallbladder polyposis in a child with metachromatic leukodystrophy. Pediatr Radiol 2015, 45, 2017–2020. [Google Scholar] [CrossRef] [PubMed]
- Almarzooqi, S.; Quadri, A.; Albawardi, A. Gallbladder polyps in metachromatic leukodystrophy. Fetal and pediatric pathology 2018, 37, 102–108. [Google Scholar] [CrossRef] [PubMed]
- Kim, J.; Sun, Z.; Ezekian, B.; Schooler, G.R.; Prasad, V.K.; Kurtzberg, J.; Rice, H.E.; Tracy, E.T. Gallbladder abnormalities in children with metachromatic leukodystrophy. J Surg Res 2017, 208, 187–191. [Google Scholar] [CrossRef] [PubMed]
- McFadden, K.; Ranganathan, S. Pathology of the gallbladder in a child with metachromatic leukodystrophy. Pediatric and developmental pathology : the official journal of the Society for Pediatric Pathology and the Paediatric Pathology Society 2015, 18, 228–230. [Google Scholar] [CrossRef] [PubMed]
- Kurian, J.J.; Jacob, T.J.K. An unusual presentation of gall bladder papillomatosis in association with metachromatic leukodystrophy. BMJ Case Rep 2018, 2018. [Google Scholar] [CrossRef]
- van der Knaap, M.S.; Bugiani, M. Leukodystrophies: A proposed classification system based on pathological changes and pathogenetic mechanisms. Acta Neuropathol 2017, 134, 351–382. [Google Scholar] [CrossRef]
- Hyde, T.M.; Ziegler, J.C.; Weinberger, D.R. Psychiatric disturbances in metachromatic leukodystrophy. Insights into the neurobiology of psychosis. Archives of neurology 1992, 49, 401–406. [Google Scholar] [CrossRef]
- Ali Mallick, M.S.; Godil, A.; Khetpal, A.; Rizvi, A.H.; Khan, F. Infantile metachromatic leukodystrophy in an 18 month old girl. J Pak Med Assoc 2016, 66, 1197–1200. [Google Scholar]
- Liaw, H.R.; Lee, H.F.; Chi, C.S.; Tsai, C.R. Late infantile metachromatic leukodystrophy: Clinical manifestations of five taiwanese patients and genetic features in asia. Orphanet journal of rare diseases 2015, 10, 144. [Google Scholar] [CrossRef]
- Barkovich, A.J. Concepts of myelin and myelination in neuroradiology. AJNR Am J Neuroradiol 2000, 21, 1099–1109. [Google Scholar] [PubMed]
- Thibert, K.A.; Raymond, G.V.; Tolar, J.; Miller, W.P.; Orchard, P.J.; Lund, T.C. Cerebral spinal fluid levels of cytokines are elevated in patients with metachromatic leukodystrophy. Sci Rep 2016, 6, 24579. [Google Scholar] [CrossRef]
- Koski, C.L.; Vanguri, P.; Shin, M.L. Activation of the alternative pathway of complement by human peripheral nerve myelin. J Immunol 1985, 134, 1810–1814. [Google Scholar] [CrossRef] [PubMed]
- Beerepoot, S.; Nierkens, S.; Boelens, J.J.; Lindemans, C.; Bugiani, M.; Wolf, N.I. Peripheral neuropathy in metachromatic leukodystrophy: Current status and future perspective. Orphanet journal of rare diseases 2019, 14, 240. [Google Scholar] [CrossRef] [PubMed]
- Doherty, K.; Frazier, S.B.; Clark, M.; Childers, A.; Pruthi, S.; Wenger, D.A.; Duis, J. A closer look at arsa activity in a patient with metachromatic leukodystrophy. Molecular genetics and metabolism reports 2019, 19, 100460. [Google Scholar] [CrossRef] [PubMed]
- Fluharty, A.L.; Meek, W.E.; Kihara, H. Pseudo arylsulfatase a deficiency: Evidence for a structurally altered enzyme. Biochem Biophys Res Commun 1983, 112, 191–197. [Google Scholar] [CrossRef] [PubMed]
- Gieselmann, V.; Polten, A.; Kreysing, J.; von Figura, K. Arylsulfatase a pseudodeficiency: Loss of a polyadenylylation signal and n-glycosylation site. Proc Natl Acad Sci U S A 1989, 86, 9436–9440. [Google Scholar] [CrossRef] [PubMed]
- Shahzad, M.A.; Khaliq, S.; Amar, A.; Mahmood, S. Metachromatic leukodystrophy (mld): A pakistani family with novel arsa gene mutation. Journal of molecular neuroscience : MN 2017, 63, 84–90. [Google Scholar] [CrossRef]
- Alam, S.T.; Akhter, S.; Rahman, M.M.; Islam, K.A.; Siddique, R.; Helaly, L.; Ahmed, S. A rare case of metachromatic leukodystrophy confirmed by arylsulfatase a. Mymensingh medical journal : MMJ 2015, 24, 864–867. [Google Scholar]
- van Rappard, D.F.; de Vries, A.L.C.; Oostrom, K.J.; Boelens, J.J.; Hollak, C.E.M.; van der Knaap, M.S.; Wolf, N.I. Slowly progressive psychiatric symptoms: Think metachromatic leukodystrophy. Journal of the American Academy of Child and Adolescent Psychiatry 2018, 57, 74–76. [Google Scholar] [CrossRef]
- Brown, T.M.; Martin, S.; Fehnel, S.E.; Deal, L.S. Development of the impact of juvenile metachromatic leukodystrophy on physical activities scale. Journal of patient-reported outcomes 2017, 2, 15. [Google Scholar] [CrossRef] [PubMed]
- Kumperscak, H.G.; Paschke, E.; Gradisnik, P.; Vidmar, J.; Bradac, S.U. Adult metachromatic leukodystrophy: Disorganized schizophrenia-like symptoms and postpartum depression in 2 sisters. Journal of psychiatry & neuroscience : JPN 2005, 30, 33–36. [Google Scholar]
- Black, D.N.; Taber, K.H.; Hurley, R.A. Metachromatic leukodystrophy: A model for the study of psychosis. The Journal of neuropsychiatry and clinical neurosciences 2003, 15, 289–293. [Google Scholar] [CrossRef] [PubMed]
- Espejo, L.M.; de la Espriella, R.; Hernandez, J.F. [metachromatic leukodystrophy. Case presentation]. Revista colombiana de psiquiatria 2017, 46, 44–49. [Google Scholar] [CrossRef] [PubMed]
- Bostantjopoulou, S.; Katsarou, Z.; Michelakaki, H.; Kazis, A. Seizures as a presenting feature of late onset metachromatic leukodystrophy. Acta neurologica Scandinavica 2000, 102, 192–195. [Google Scholar] [CrossRef] [PubMed]
- Boucher, A.A.; Miller, W.; Shanley, R.; Ziegler, R.; Lund, T.; Raymond, G.; Orchard, P.J. Long-term outcomes after allogeneic hematopoietic stem cell transplantation for metachromatic leukodystrophy: The largest single-institution cohort report. Orphanet journal of rare diseases 2015, 10, 94. [Google Scholar] [CrossRef] [PubMed]
- Groeschel, S.; Kuhl, J.S.; Bley, A.E.; Kehrer, C.; Weschke, B.; Doring, M.; Bohringer, J.; Schrum, J.; Santer, R.; Kohlschutter, A.; et al. Long-term outcome of allogeneic hematopoietic stem cell transplantation in patients with juvenile metachromatic leukodystrophy compared with nontransplanted control patients. JAMA Neurol 2016, 73, 1133–1140. [Google Scholar] [CrossRef] [PubMed]
- Sevin, C.; Roujeau, T.; Cartier, N.; Baugnon, T.; Adamsbaum, C.; Piraud, M.; Martino, S.; Mouiller, P.; Couzinie, C.; Bellesme, C.; et al. , Intracerebral gene therapy in children with metachromatic leukodystrophy: Results of a phase i/ii trial. Molecular genetics and metabolism 2018, 123, S129–S129. [Google Scholar] [CrossRef]
- Miyake, N.; Miyake, K.; Asakawa, N.; Yamamoto, M.; Shimada, T. Long-term correction of biochemical and neurological abnormalities in mld mice model by neonatal systemic injection of an aav serotype 9 vector. Gene Ther 2014, 21, 427–433. [Google Scholar] [CrossRef]
- Koc, O.N.; Day, J.; Nieder, M.; Gerson, S.L.; Lazarus, H.M.; Krivit, W. Allogeneic mesenchymal stem cell infusion for treatment of metachromatic leukodystrophy (mld) and hurler syndrome (mps-ih). Bone Marrow Transplant 2002, 30, 215–222. [Google Scholar] [CrossRef]
- Meuleman, N.; Vanhaelen, G.; Tondreau, T.; Lewalle, P.; Kwan, J.; Bennani, J.; Martiat, P.; Lagneaux, L.; Bron, D. Reduced intensity conditioning haematopoietic stem cell transplantation with mesenchymal stromal cells infusion for the treatment of metachromatic leukodystrophy: A case report. Haematologica 2008, 93, e11–13. [Google Scholar] [CrossRef] [PubMed]
- Sessa, M.; Lorioli, L.; Fumagalli, F.; Acquati, S.; Redaelli, D.; Baldoli, C.; Canale, S.; Lopez, I.D.; Morena, F.; Calabria, A.; et al. Lentiviral haemopoietic stem-cell gene therapy in early-onset metachromatic leukodystrophy: An ad-hoc analysis of a non-randomised, open-label, phase 1/2 trial. Lancet 2016, 388, 476–487. [Google Scholar] [CrossRef] [PubMed]
- Bellettato, C.M.; Scarpa, M. Possible strategies to cross the blood-brain barrier. Italian journal of pediatrics 2018, 44, 131. [Google Scholar] [CrossRef] [PubMed]
- Dong, X. Current strategies for brain drug delivery. Theranostics 2018, 8, 1481–1493. [Google Scholar] [CrossRef] [PubMed]
- Zingg, B.; Chou, X.L.; Zhang, Z.G.; Mesik, L.; Liang, F.X.; Tao, H.W.; Zhang, L.I. Aav-mediated anterograde transsynaptic tagging: Mapping corticocollicular input-defined neural pathways for defense behaviors. Neuron 2017, 93, 33–47. [Google Scholar] [CrossRef] [PubMed]
- Aschauer, D.F.; Kreuz, S.; Rumpel, S. Analysis of transduction efficiency, tropism and axonal transport of aav serotypes 1, 2, 5, 6, 8 and 9 in the mouse brain. Plos One 2013, 8. [Google Scholar] [CrossRef] [PubMed]
- Sevin, C.; Benraiss, A.; Van Dam, D.; Bonnin, D.; Nagels, G.; Verot, L.; Laurendeau, I.; Vidaud, M.; Gieselmann, V.; Vanier, M.; et al. Intracerebral adeno-associated virus-mediated gene transfer in rapidly progressive forms of metachromatic leukodystrophy. Hum Mol Genet 2006, 15, 53–64. [Google Scholar] [CrossRef] [PubMed]
- Cearley, C.N.; Wolfe, J.H. Transduction characteristics of adeno-associated virus vectors expressing cap serotypes 7, 8, 9, and rh10 in the mouse brain. Mol Ther 2006, 13, 528–537. [Google Scholar] [CrossRef]
- Piguet, F.; Sondhi, D.; Piraud, M.; Fouquet, F.; Hackett, N.R.; Ahouansou, O.; Vanier, M.T.; Bieche, I.; Aubourg, P.; Crystal, R.G.; et al. Correction of brain oligodendrocytes by aavrh.10 intracerebral gene therapy in metachromatic leukodystrophy mice. Hum Gene Ther 2012, 23, 903–914. [Google Scholar] [CrossRef]
- Deverman, B.E.; Pravdo, P.L.; Simpson, B.P.; Kumar, S.R.; Chan, K.Y.; Banerjee, A.; Wu, W.L.; Yang, B.; Huber, N.; Pasca, S.P.; et al. Cre-dependent selection yields aav variants for widespread gene transfer to the adult brain. Nature Biotechnology 2016, 34, 204–+. [Google Scholar] [CrossRef]
- Chan, K.Y.; Jang, M.J.; Yoo, B.B.; Greenbaum, A.; Ravi, N.; Wu, W.L.; Sanchez-Guardado, L.; Lois, C.; Mazmanian, S.K.; Deverman, B.E.; et al. Engineered aavs for efficient noninvasive gene delivery to the central and peripheral nervous systems. Nature Neuroscience 2017, 20, 1172–+. [Google Scholar] [CrossRef] [PubMed]
- Audouard, E.; Oger, V.; Meha, B.; Cartier, N.; Sevin, C.; Piguet, F. Complete correction of brain and spinal cord pathology in metachromatic leukodystrophy mice. Front Mol Neurosci 2021, 14, 677895. [Google Scholar] [CrossRef] [PubMed]
- Matzner, U.; Hartmann, D.; Lullmann-Rauch, R.; Coenen, R.; Rothert, F.; Mansson, J.E.; Fredman, P.; D’Hooge, R.; De Deyn, P.P.; Gieselmann, V. Bone marrow stem cell-based gene transfer in a mouse model for metachromatic leukodystrophy: Effects on visceral and nervous system disease manifestations. Gene Ther 2002, 9, 53–63. [Google Scholar] [CrossRef] [PubMed]
- Biffi, A.; Capotondo, A.; Fasano, S.; del Carro, U.; Marchesini, S.; Azuma, H.; Malaguti, M.C.; Amadio, S.; Brambilla, R.; Grompe, M.; et al. Gene therapy of metachromatic leukodystrophy reverses neurological damage and deficits in mice. J Clin Invest 2006, 116, 3070–3082. [Google Scholar] [CrossRef]
- Tucci, F.; Scaramuzza, S.; Aiuti, A.; Mortellaro, A. Update on clinical ex vivo hematopoietic stem cell gene therapy for inherited monogenic diseases. Mol Ther 2021, 29, 489–504. [Google Scholar] [CrossRef] [PubMed]
- Solovyeva, V.V.; Shaimardanova, A.A.; Chulpanova, D.S.; Kitaeva, K.V.; Chakrabarti, L.; Rizvanov, A.A. New approaches to tay-sachs disease therapy. Front Physiol 2018, 9, 1663. [Google Scholar] [CrossRef] [PubMed]
- Zingg, B.; Chou, X.L.; Zhang, Z.G.; Mesik, L.; Liang, F.; Tao, H.W.; Zhang, L.I. Aav-mediated anterograde transsynaptic tagging: Mapping corticocollicular input-defined neural pathways for defense behaviors. Neuron 2017, 93, 33–47. [Google Scholar] [CrossRef]
- Kantor, B.; Bailey, R.M.; Wimberly, K.; Kalburgi, S.N.; Gray, S.J. Methods for gene transfer to the central nervous system. Adv Genet 2014, 87, 125–197. [Google Scholar]
- Liu, D.; Zhu, M.; Zhang, Y.; Diao, Y. Crossing the blood-brain barrier with aav vectors. Metab Brain Dis 2021, 36, 45–52. [Google Scholar] [CrossRef]
- Saraiva, J.; Nobre, R.J.; Pereira de Almeida, L. Gene therapy for the cns using aavs: The impact of systemic delivery by aav9. J Control Release 2016, 241, 94–109. [Google Scholar] [CrossRef]
- Foust, K.D.; Nurre, E.; Montgomery, C.L.; Hernandez, A.; Chan, C.M.; Kaspar, B.K. Intravascular aav9 preferentially targets neonatal neurons and adult astrocytes. Nat Biotechnol 2009, 27, 59–65. [Google Scholar] [CrossRef] [PubMed]
- Ahmed, S.S.; Li, H.; Cao, C.; Sikoglu, E.M.; Denninger, A.R.; Su, Q.; Eaton, S.; Liso Navarro, A.A.; Xie, J.; Szucs, S.; et al. A single intravenous raav injection as late as p20 achieves efficacious and sustained cns gene therapy in canavan mice. Mol Ther 2013, 21, 2136–2147. [Google Scholar] [CrossRef] [PubMed]
- Hinderer, C.; Bell, P.; Gurda, B.L.; Wang, Q.; Louboutin, J.P.; Zhu, Y.; Bagel, J.; O’Donnell, P.; Sikora, T.; Ruane, T.; et al. Intrathecal gene therapy corrects cns pathology in a feline model of mucopolysaccharidosis i. Mol Ther 2014, 22, 2018–2027. [Google Scholar] [CrossRef] [PubMed]
- Hordeaux, J.; Hinderer, C.; Buza, E.L.; Louboutin, J.P.; Jahan, T.; Bell, P.; Chichester, J.A.; Tarantal, A.F.; Wilson, J.M. Safe and sustained expression of human iduronidase after intrathecal administration of adeno-associated virus serotype 9 in infant rhesus monkeys. Hum Gene Ther 2019, 30, 957–966. [Google Scholar] [CrossRef]
- Bailey, R.M.; Rozenberg, A.; Gray, S.J. Comparison of high-dose intracisterna magna and lumbar puncture intrathecal delivery of aav9 in mice to treat neuropathies. Brain Res 2020, 1739, 146832. [Google Scholar] [CrossRef] [PubMed]
- Schuster, D.J.; Dykstra, J.A.; Riedl, M.S.; Kitto, K.F.; Belur, L.R.; McIvor, R.S.; Elde, R.P.; Fairbanks, C.A.; Vulchanova, L. Biodistribution of adeno-associated virus serotype 9 (aav9) vector after intrathecal and intravenous delivery in mouse. Front Neuroanat 2014, 8, 42. [Google Scholar] [CrossRef] [PubMed]
- Lin, Y.; Li, C.; Wang, W.; Li, J.; Huang, C.; Zheng, X.; Liu, Z.; Song, X.; Chen, Y.; Gao, J.; et al. Intravenous aav9 administration results in safe and widespread distribution of transgene in the brain of mini-pig. Front Cell Dev Biol 2022, 10, 1115348. [Google Scholar] [CrossRef]
- Hinderer, C.; Katz, N.; Buza, E.L.; Dyer, C.; Goode, T.; Bell, P.; Richman, L.K.; Wilson, J.M. Severe toxicity in nonhuman primates and piglets following high-dose intravenous administration of an adeno-associated virus vector expressing human smn. Hum Gene Ther 2018, 29, 285–298. [Google Scholar] [CrossRef]
- Yue, Y.; Shang, C.; Dong, H.; Meng, K. Interleukin-1 in cerebrospinal fluid for evaluating the neurological outcome in traumatic brain injury. Biosci Rep 2019, 39. [Google Scholar] [CrossRef]
- Bartfai, T.; Sanchez-Alavez, M.; Andell-Jonsson, S.; Schultzberg, M.; Vezzani, A.; Danielsson, E.; Conti, B. Interleukin-1 system in cns stress: Seizures, fever, and neurotrauma. Ann N Y Acad Sci 2007, 1113, 173–177. [Google Scholar] [CrossRef]










Disclaimer/Publisher’s Note: The statements, opinions and data contained in all publications are solely those of the individual author(s) and contributor(s) and not of MDPI and/or the editor(s). MDPI and/or the editor(s) disclaim responsibility for any injury to people or property resulting from any ideas, methods, instructions or products referred to in the content. |
© 2023 by the authors. Licensee MDPI, Basel, Switzerland. This article is an open access article distributed under the terms and conditions of the Creative Commons Attribution (CC BY) license (http://creativecommons.org/licenses/by/4.0/).