Submitted:
28 February 2026
Posted:
04 March 2026
You are already at the latest version
Abstract

Keywords:
1. Introduction
2. Materials and Methods
2.1. Materials
2.2. Preparation of Fish Fillet and PV Extraction
2.2.1. Optimization of PV Extraction Parameters
Effect of Extraction Temperature
Effect of Extraction Time
Effect of Solid-to-Solvent Ratio
2.3. Purification of PV
2.4. Preparation of CS-PV-Sugar Conjugates and Control
2.5. Characterization of Structural Changes
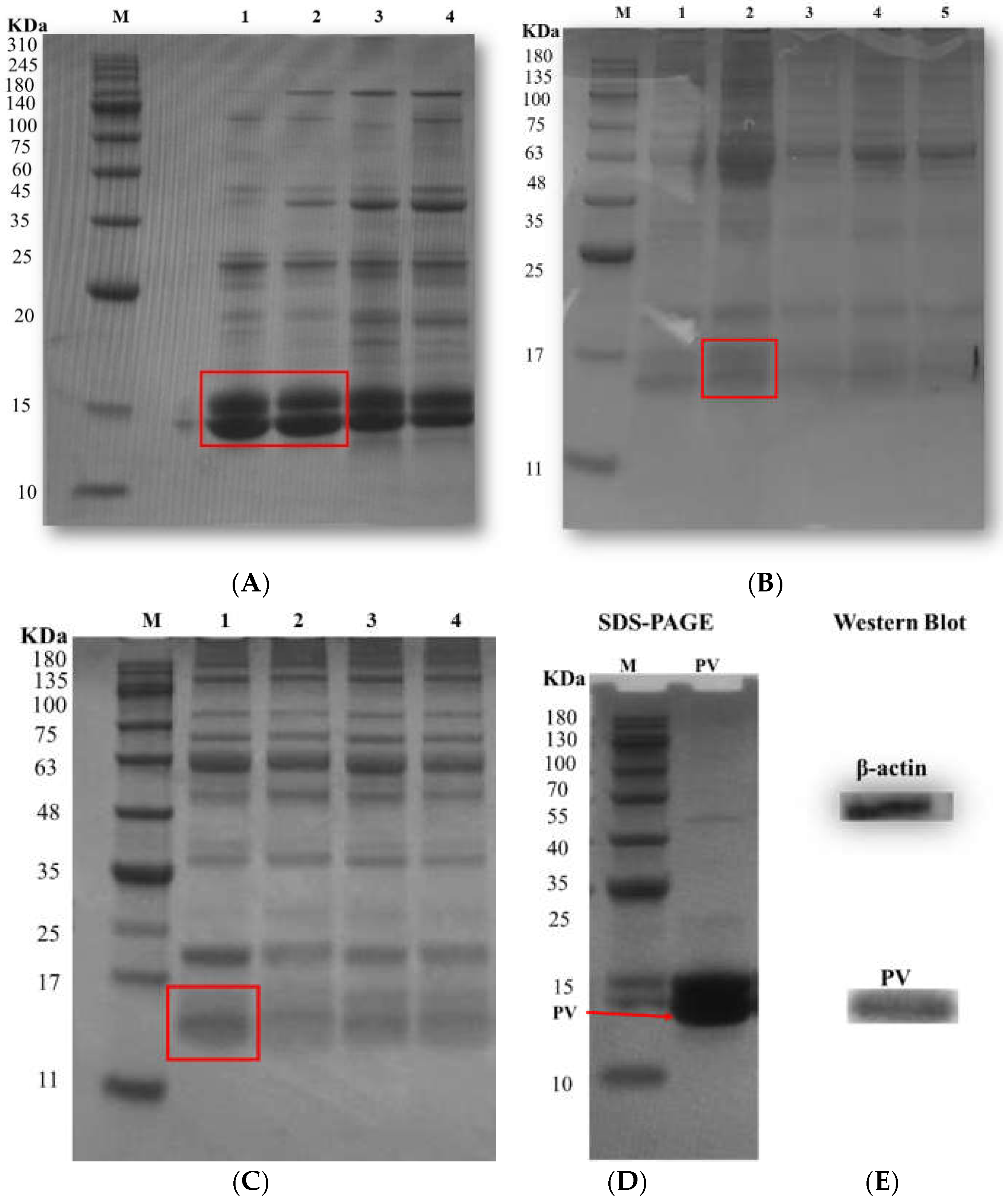
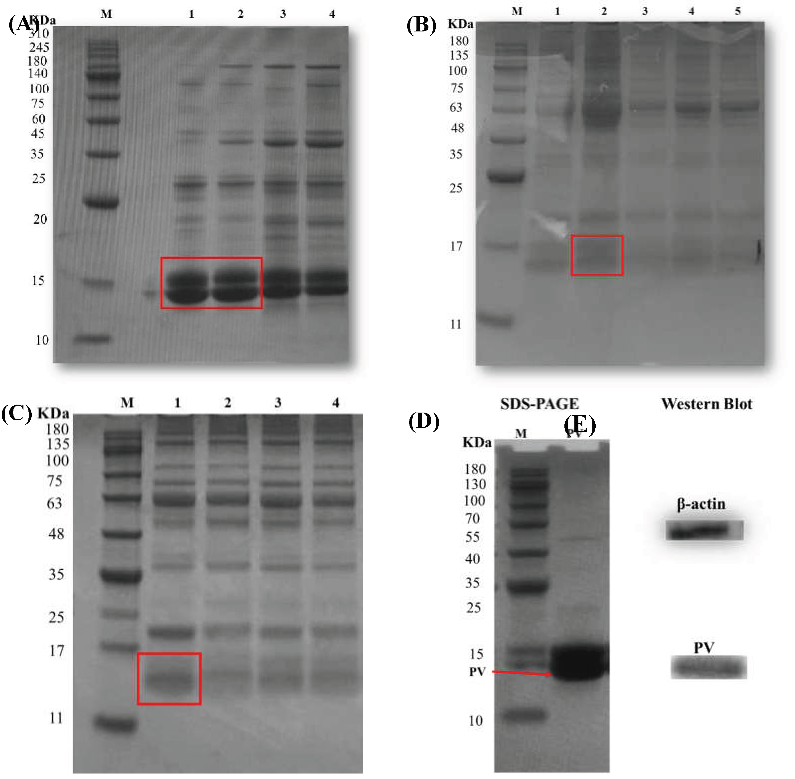
2.5.1. SDS-PAGE Analysis
2.5.2. WB Analysis
2.5.3. Circular Dichroism (CD) Spectroscopy
2.5.4. Fourier Transform Infrared (FTIR) Spectroscopy
2.5.5. Analysis of Free Amino Acid Content
2.6. Analyses of Bioactive Compounds and Antioxidant Activity
2.6.1. Total Phenolic Content (TPC)
2.6.2. 2,2-diphenyl-1-picrylhydrazyl (DPPH) Radical Scavenging Capacity
2.7. Indirect ELISA
2.8. Mediator and Cytokine Release
2.8.1. Cell Culture
2.8.2. β-Hexosaminidase Release
2.8.3. Cytokine Analysis
2.9. Statistical Analysis
3. Results
3.1. Extraction, Purification, and Identification of PV
3.2. Synthesis and Characterization of CS-Sugar-PV Conjugates via the MR
3.2.1. Spectrophotometric Analysis of MR Progression
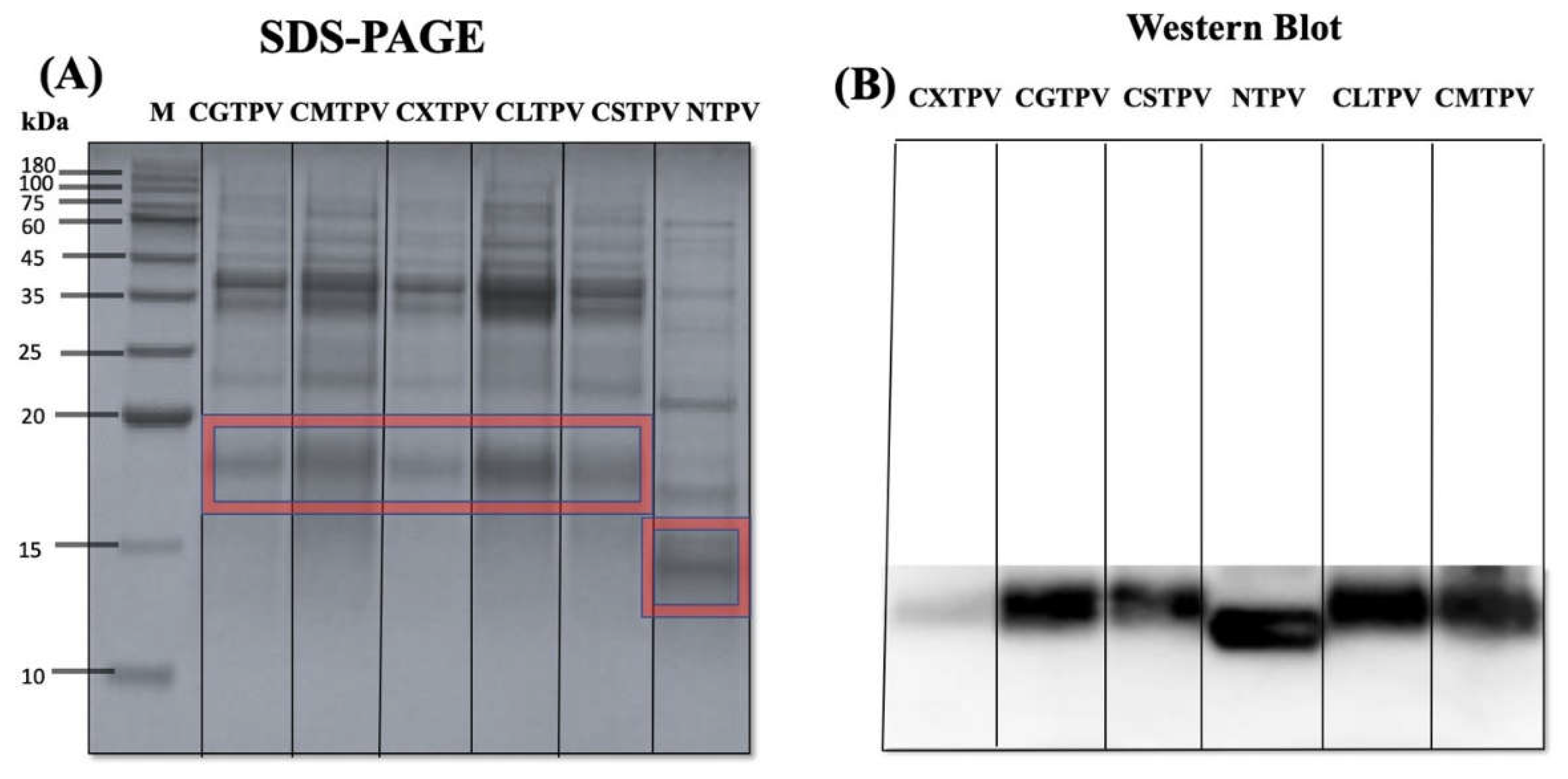
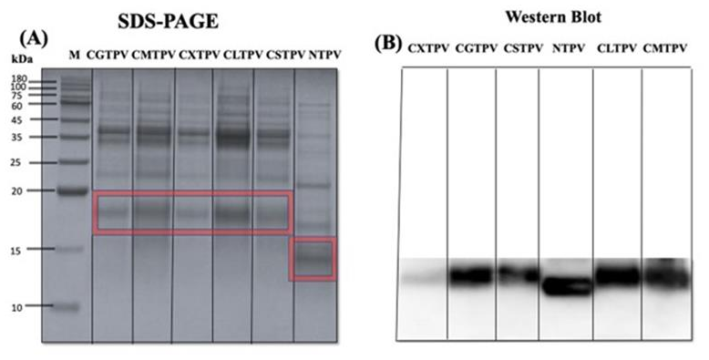
3.2.2. Analysis of Glycation and Native Control by SDS-PAGE and WB
3.3. Conformational Rearrangement of Glycated Conjugates and NTPV
3.3.1. Evidence from CD
3.3.2. Evidence from FTIR
3.4. Free Amino Acid Analysis Reveals Sugar-Dependent Glycation Signatures
3.5. Glycation Confers Potent Antioxidant Activity to PV Conjugates
3.6. Immunological and Functional Profiling of Glycated PV Conjugates
3.6.1. Indirect ELISA Reveals a Sugar-Dependent Reduction in IgE-Binding Capacity
3.6.2. Mast Cell Degranulation Assays Confirm Functional Allergenicity Reduction
3.6.3. Glycated Conjugates Modulate Cytokine Secretion, Suppressing Pro-Allergic Signals and Inducing Tolerogenic Profiles
4. Discussion
5. Conclusions
Supplementary Materials
Author Contributions
Funding
Institutional Review Board Statement
Informed Consent Statement
Data Availability Statement
Acknowledgments
Conflicts of Interest
Abbreviations
| PV | Parvalbumin |
| MR | Maillard Reaction |
| ELISA | Enzyme-linked Immunosorbent Assay |
| MW | Molecular weight |
| DPPH | 2,2-diphenyl-1-picrylhydrazyl |
| TPC | Total Phenolic Content |
| IgE | Immunoglobulin E |
| FTIR | Fourier-Transform Infrared |
| CD | Circular Dichroism |
| SDS-PAGE | Sodium Dodecyl Sulfate-Polyacrylamide Gel Electrophoresis |
| CS | Chitosan |
| HRP | Horseradish peroxidase |
| IL-4 | Interleukin-4 |
| IL-6 | Interleukin-6 |
| RBL-2H3 | Rat Basophilic Leukemia |
| WB | Western Blot |
| MRPs | Maillard Reaction Products |
| PBS | Phosphate Buffered Saline |
| FBS | Fetal Bovine Serum |
| BSA | Bovine Serum Albumin |
| DMEM | Dulbecco’s Modified Eagle’s Medium |
| KBr | Potassium bromide |
| BeStSel | Beta Structure Selection |
| LC-MS | Liquid Chromatography-Mass Spectrometry |
| IgG | Immunoglobulin G |
| Phe | Phenylalanine |
| Tryp | Tryptophan |
| TMB | 3,3’,5,5-Tetramethylbenzidine |
| kDa | kilodaltons |
| CXTPV | Chitosan xylose Turbot parvalbumin |
| CGTPV | Chitosan glucose Turbot Parvalbumin |
| CMTPV | Chitosan maltose Turbot Parvalbumin |
| CSTPV | Chitosan Sucrose Turbot Parvalbumin |
| CLTPV | Chitosan lactose Turbot Parvalbumin |
| NTPV | Native Turbot Parvalbumin |
| AGE | Advanced Glycation End-products |
| EDTA | Ethylenediaminetetraacetic acid |
| Tris-HCL | Tris(hydroxymethyl)aminomethane hydrochloride |
| GAE | Gallic acid equivalents |
References
- Sicherer, SH; Sampson, HA. Food allergy: A review and update on epidemiology, pathogenesis, diagnosis, prevention, and management. Journal of Allergy and Clinical Immunology 2018, 141, 41–58. [Google Scholar] [CrossRef] [PubMed]
- Saptarshi, SR; Sharp, MF; Kamath, SD; Lopata, AL. Antibody reactivity to the major fish allergen parvalbumin is determined by isoforms and impact of thermal processing. Food Chem 2014, 148, 321–328. [Google Scholar] [CrossRef] [PubMed]
- Mukherjee, S; Horka, P; Zdenkova, K; Cermakova, E. Parvalbumin: A Major Fish Allergen and a Forensically Relevant Marker. Genes (Basel) 2023, 14. [Google Scholar] [CrossRef] [PubMed]
- Wai, CYY; Leung, NYH; Leung, ASY; Tang, MF; Marknell DeWitt, Å; Rosa Duque, JS; et al. Fish Allergenicity Ladder and Parvalbumin Epitopes for Predicting Clinical Cross-Reactivity and Reintroduction in Chinese Population. Allergy: European Journal of Allergy and Clinical Immunology 2025, 80, 2810–2823. [Google Scholar] [CrossRef]
- Kuehn, A; Swoboda, I; Arumugam, K; Hilger, C; Hentges, F. Fish allergens at a glance: Variable allergenicity of parvalbumins, the major fish allergens. Front Immunol 2014, 5. [Google Scholar] [CrossRef]
- Teodorowicz, G; Bastiaan-Net, S; Hoppenbrouwers, T; Wichers, HJ. The Maillard reaction and food allergy: Impacts on sensitisation and on elicitation. In Encyclopedia of Food Allergy; Elsevier, 2024; pp. V1:212–V1:224. [Google Scholar] [CrossRef]
- Ames, JM. THE MAILLARD REACTION. n.d.
- Shi, B; Guo, X; Liu, H; Jiang, K; Liu, L; Yan, N; et al. Dissecting Maillard reaction production in fried foods: Formation mechanisms, sensory characteristic attribution, control strategy, and gut homeostasis regulation. Food Chem 2024, 438. [Google Scholar] [CrossRef]
- Yu, C; He, X; Ji, N; Kang, S; Li, D; Zhang, H; et al. Maillard reaction affecting immunobinding activity and digestibility of tropomyosin in Alectryonella plicatula food matrix. Food Science and Human Wellness 2024, 13, 2959–2969. [Google Scholar] [CrossRef]
- Teodorowicz, M; Van Neerven, J; Savelkoul, H. Food processing: The influence of the maillard reaction on immunogenicity and allergenicity of food proteins. Nutrients 2017, 9. [Google Scholar] [CrossRef]
- Aranaz, I; Alcántara, AR; Civera, MC; Arias, C; Elorza, B; Caballero, AH; et al. Chitosan: An overview of its properties and applications. Polymers (Basel) 2021, 13. [Google Scholar] [CrossRef]
- Affes, S; Maalej, H; Li, S; Abdelhedi, R; Nasri, R; Nasri, M. Effect of glucose substitution by low-molecular weight chitosan-derivatives on functional, structural and antioxidant properties of maillard reaction-crosslinked chitosan-based films. Food Chem 2022, 366. [Google Scholar] [CrossRef]
- Fu, L; Wang, C; Wang, J; Ni, S; Wang, Y. Maillard reaction with ribose, galacto-oligosaccharide or chitosan-oligosaccharide reduced the allergenicity of shrimp tropomyosin by inducing conformational changes. Food Chem 2019, 274, 789–795. [Google Scholar] [CrossRef]
- Viturat, S; Thongngam, M; Lumdubwong, N; Zhou, W; Klinkesorn, U. Ultrasound-assisted formation of chitosan-glucose Maillard reaction products to fabricate nanoparticles with enhanced antioxidant activity. Ultrason Sonochem 2023, 97. [Google Scholar] [CrossRef]
- Tai, J; Qiao, D; Huang, X; Hu, H; Li, W; Liang, X; et al. Structural Property, Immunoreactivity and Gastric Digestion Characteristics of Glycated Parvalbumin from Mandarin Fish (Siniperca chuaisi) during Microwave-Assisted Maillard Reaction. Foods 2023, 12. [Google Scholar] [CrossRef]
- Dong, X; Raghavan, V. Modifications of the Structural, Nutritional, and Allergenic Properties of Atlantic Cod Induced by Novel Thermal Glycation Treatments. Foods 2024, 13. [Google Scholar] [CrossRef] [PubMed]
- mei, Chen W; Wang, Y; hong, Shao Y; cai, Tu Z; Liu, J. Glycation combined with phosphorylation: Investigating the structure changes and allergenic potential of Parvalbumin in silver carp (Hypophthalmichthy molitrix). Food Biosci 2024, 58. [Google Scholar] [CrossRef]
- Wu, Y; Lu, Y; Huang, Y; Lin, H; Chen, G; Chen, Y; et al. Glycosylation reduces the allergenicity of turbot (Scophthalmus maximus) parvalbumin by regulating digestibility, cellular mediators release and Th1/Th2 immunobalance. Food Chem 2022, 382. [Google Scholar] [CrossRef] [PubMed]
- Huang, Z; Pang, L; Li, S; Su, Y; Zhao, Q; Zhang, W; et al. Effects of physical processing on food protein allergenicity: A focus on differences between animal and alternative proteins. Food Chem 2024, 460. [Google Scholar] [CrossRef]
- Ma, J; Pavase, TR; Li, ZX; Lin, H. Optimisation of an extraction technique of fish allergens suitable for detection and diagnosis. Czech Journal of Food Sciences 2017, 35, 24–31. [Google Scholar] [CrossRef]
- Swoboda, I; Bugajska-Schretter, A; Verdino, P; Keller, W; Sperr, WR; Valent, P; et al. Recombinant Carp Parvalbumin, the Major Cross-Reactive Fish Allergen: A Tool for Diagnosis and Therapy of Fish Allergy. The Journal of Immunology 2002, 168, 4576–4584. [Google Scholar] [CrossRef]
- Oliver, CM; Melton, LD; Stanley, RA. Creating proteins with novel functionality via the maillard reaction: A review. Crit Rev Food Sci Nutr 2006, 46, 337–350. [Google Scholar] [CrossRef]
- Micsonai, A; Wien, F; Kernya, L; Lee, YH; Goto, Y; Réfrégiers, M; et al. Accurate secondary structure prediction and fold recognition for circular dichroism spectroscopy. Proc Natl Acad Sci U S A 2015, 112, E3095–103. [Google Scholar] [CrossRef] [PubMed]
- McAvan, BS; France, AP; Bellina, B; Barran, PE; Goodacre, R; Doig, AJ. Quantification of protein glycation using vibrational spectroscopy. Analyst 2020, 145, 3686–3696. [Google Scholar] [CrossRef] [PubMed]
- Kong, J; Yu, S. Fourier transform infrared spectroscopic analysis of protein secondary structures. Acta Biochim Biophys Sin (Shanghai) 2007, 39, 549–559. [Google Scholar] [CrossRef] [PubMed]
- How, ZT; Busetti, F; Linge, KL; Kristiana, I; Joll, CA; Charrois, JWA. Analysis of free amino acids in natural waters by liquid chromatography–tandem mass spectrometry. J Chromatogr A 2014, 1370, 135–146. [Google Scholar] [CrossRef]
- Martínez, S; Fuentes, C; Carballo, J. Antioxidant Activity, Total Phenolic Content and Total Flavonoid Content in Sweet Chestnut (Castanea sativa Mill.) Cultivars Grown in Northwest Spain under Different Environmental Conditions. Foods 2022, 11. [Google Scholar] [CrossRef]
- Du, M; Yu, W; Ding, N; Jian, M; Cheng, Y; Gan, J. Antioxidant, aroma, and sensory characteristics of Maillard reaction products from Urechis unicinctus hydrolysates: Development of food flavorings. Front Nutr 2024, 11. [Google Scholar] [CrossRef]
- Song, Y; Li, Z; Gao, Q; Pavase, TR; Lin, H. Effect of malonaldehyde cross-linking on the ability of shrimp tropomyosin to elicit the release of inflammatory mediators and cytokines from activated RBL-2H3 cells. J Sci Food Agric 2016, 96, 4263–4267. [Google Scholar] [CrossRef]
- Passante, E; Ehrhardt, C; Sheridan, H; Frankish, N. RBL-2H3 cells are an imprecise model for mast cell mediator release. Inflammation Research 2009, 58, 611–618. [Google Scholar] [CrossRef]
- Huang, Y; Li, Z; Wu, Y; Li, Y; Pramod, S; Chen, G; et al. Comparative analysis of allergenicity and predicted linear epitopes in α and β Parvalbumin from turbot (Scophthalmus maximus). J Sci Food Agric 2023, 103, 2313–2324. [Google Scholar] [CrossRef]
- Gou, J; Liang, R; Huang, H; Ma, X. Maillard Reaction Induced Changes in Allergenicity of Food. Foods 2022, 11. [Google Scholar] [CrossRef]
- Etxabide, A; Kilmartin, PA; Maté, JI; Prabakar, S; Brimble, M; Naffa, R. Analysis of Advanced Glycation End products in ribose-, glucose- and lactose-crosslinked gelatin to correlate the physical changes induced by Maillard reaction in films. Food Hydrocoll 2021, 117. [Google Scholar] [CrossRef]
- Matsuo, K; Hashimoto, S; Imaura, R; Ibrahim, MIA. Advances in Synchrotron Radiation-Based Vacuum-Ultraviolet Circular Dichroism for Biomolecular Structural Analysis. Chem Asian J 2026, 21. [Google Scholar] [CrossRef] [PubMed]
- Zhang, X; Li, Y; Tao, Y; Wang, Y; Xu, C; Lu, Y. A novel method based on infrared spectroscopic inception-resnet networks for the detection of the major fish allergen parvalbumin. Food Chem 2021, 337. [Google Scholar] [CrossRef] [PubMed]
- Yuan, Y; Hayat, K; Cai, J; Xu, D; Xia, S; Cui, H; et al. Mechanism of pyrazines and thioethers formation promoted by high oxygen concentration in the methionine-glucose Maillard reaction system. J Sci Food Agric 2025, 105, 3296–3305. [Google Scholar] [CrossRef] [PubMed]
- Rumpf, J; Burger, R; Schulze, M. Statistical evaluation of DPPH, ABTS, FRAP, and Folin-Ciocalteu assays to assess the antioxidant capacity of lignins. Int J Biol Macromol 2023, 233. [Google Scholar] [CrossRef]
- Schrama, D; Raposo de Magalhães, C; Cerqueira, M; Carrilho, R; Revets, D; Kuehn, A; et al. Fish Processing and Digestion Affect Parvalbumins Detectability in Gilthead Seabream and European Seabass. Animals 2022, 12. [Google Scholar] [CrossRef]
- Yi, X; Deng, W; Yang, C; Huang, L; Wu, Z; Li, X; et al. Glycitein Attenuates Soybean β-Conglycinin Allergenicity via Structural Remodeling, Immune Modulation, and Gut Microbiota Regulation. J Agric Food Chem 2025, 73, 32287–32301. [Google Scholar] [CrossRef]
- ichi, Kashiwakura J; Yoshihara, M; Saitoh, K; Kagohashi, K; Sasaki, Y; Kobayashi, F; et al. Propolis suppresses cytokine production in activated basophils and basophil-mediated skin and intestinal allergic inflammation in mice. Allergology International 2021, 70, 360–367. [Google Scholar] [CrossRef]
- Wang, X; Zhang, P; Tang, Y; Chen, Y; Zhou, E; Gao, K. Mast cells: A double-edged sword in inflammation and fibrosis. Front Cell Dev Biol 2024, 12. [Google Scholar] [CrossRef]
- Yang, H; Zhang, Y; Zhou, F; Guo, J; Tang, J; Han, Y; et al. Preparation, Bioactivities and Applications in Food Industry of Chitosan-Based Maillard Products: A Review. Molecules 2021, 26. [Google Scholar] [CrossRef]
- Hinkkanen, VI; Savinko, T; Palosuo, K; Alenius, H; Mäkelä, MJ; Karisola, P. Regular Allergen Exposure During Oral Immunotherapy Alters the Transcriptomic Innate Immune Response After Cellular Restimulation in Children With Egg Allergy. J Investig Allergol Clin Immunol 2025. [Google Scholar] [CrossRef]
- Yoshioka, Y; Inoue, M; Yoshioka, H; Kitakaze, T; Furuyashiki, T; Abe, N; et al. Enzymatically synthesized glycogen inhibited degranulation and inflammatory responses through stimulation of intestine. J Clin Biochem Nutr 2020, 67, 67–73. [Google Scholar] [CrossRef] [PubMed]
- Wang, X; Lin, R; Chen, L; Liu, F; Zhong, F. Bifidobacterium animalis Subsp. Lactis Bla36 Postbiotics Ameliorate Allergic Rhinitis in Juvenile Mice by Repairing the Mucosal Barrier and Modulating Inflammatory Pathways. J Agric Food Chem 2025, 73, 29604–29618. [Google Scholar] [CrossRef] [PubMed]
- Revez, JA; Bain, LM; Watson, RM; Towers, M; Collins, T; Killian, KJ; et al. Effects of interleukin-6 receptor blockade on allergen-induced airway responses in mild asthmatics. Clin Transl Immunology 2019, 8. [Google Scholar] [CrossRef]
- Bachus, H; McLaughlin, E; Lewis, C; Papillion, AM; Benveniste, EN; Hill, DD; et al. IL-6 prevents Th2 cell polarization by promoting SOCS3-dependent suppression of IL-2 signaling. Cell Mol Immunol 2023, 20, 651–665. [Google Scholar] [CrossRef]
- Amado, MG; Pazos, M; Carrera, M. Mass Spectrometry-Based Proteomics for Seafood Allergen Detection and Quantification: Current Trends and Technological Frontiers. Int J Mol Sci 2025, 26. [Google Scholar] [CrossRef]
- Lee, J; Roux, S; Descharles, D; Rega, B; Bonazzi, C. Unravelling caramelization and Maillard reactions in glucose and glucose + leucine model cakes: Formation and degradation kinetics of volatile markers extracted during baking. Food Research International 2024, 183. [Google Scholar] [CrossRef]
- Corzo-Martínez, M; Soria, AC; Belloque, J; Villamiel, M; Moreno, FJ. Effect of glycation on the gastrointestinal digestibility and immunoreactivity of bovine β-lactoglobulin. Int Dairy J 2010, 20, 742–752. [Google Scholar] [CrossRef]
- Zhou, J; Bai, Y; Gao, Y; Tian, H; Wang, M; Kang, X; et al. Efficient Hydrolysis of Fish Parvalbumin by Marine Bacterial Protease VSP2V-280: Allergen Removal. Food Sci Nutr 2025, 13. [Google Scholar] [CrossRef]
- Zhao, YJ; Cai, QF; chuan, Jin T; Zhang, LJ; Fei, DX; Liu, GM; et al. Effect of Maillard reaction on the structural and immunological properties of recombinant silver carp parvalbumin. LWT 2017, 75, 25–33. [Google Scholar] [CrossRef]
- Huang, Y; Hu, Y; Liu, J; Liu, H. A Comparison of the Structural Changes and IgG Immunobinding Activity of Parvalbumin in Salangid Icefish (Neosalanx taihuensis) After Glycation and Ultra-High Pressure Treatment. Foods 2025, 14. [Google Scholar] [CrossRef] [PubMed]
- Luo, J; Yao, X; Soladoye, OP; Zhang, Y; Fu, Y. Phosphorylation modification of collagen peptides from fish bone enhances their calcium-chelating and antioxidant activity. LWT 2022, 155. [Google Scholar] [CrossRef]
- Li, X; Qin, Y; Wang, B; Wang, C; Chen, M; Liu, R; et al. Effect of dextran molecular weight on Maillard glycation of soy protein isolate: Structural modifications and flavor-binding behavior. Food Hydrocoll 2026, 172. [Google Scholar] [CrossRef]
- Permyakov, EA; Uversky, VN. What Is Parvalbumin for? Biomolecules 2022, 12. [Google Scholar] [CrossRef]
- Li, LF; Di, Wang M; Zhang, CY; Jin, MY; Chen, HL; Luo, H; et al. Influence of hydroxyl substitution on the inhibition of flavonoids in advanced glycation end-products formation in glucose-lysine-arginine Maillard reaction models. Food Research International 2025, 207. [Google Scholar] [CrossRef]
- Liu, M; Huan, F; Han, TJ; Liu, SH; Li, MS; Yang, Y; et al. Combination Processing Method Reduced IgE-Binding Activity of Litopenaeus vannamei by Modifying Lysine, Arginine, and Cysteine on Multiple Allergen Epitopes. J Agric Food Chem 2021, 69, 4865–4873. [Google Scholar] [CrossRef]
- Lamberts, L; Rombouts, I; Delcour, JA. Study of nonenzymic browning in α-amino acid and γ-aminobutyric acid/sugar model systems. Food Chem 2008, 111, 738–744. [Google Scholar] [CrossRef]
- Zhang, X; Jiang, Q; Liu, J; Wang, H; Lu, H; Liu, D; et al. Effect of Different High-Temperature Heating Methods on the Glycation Reaction and Advanced Glycation Reaction Products of β-Lactoglobulin. Foods 2025, 14. [Google Scholar] [CrossRef]
- Anraku, M; Gebicki, JM; Iohara, D; Tomida, H; Uekama, K; Maruyama, T; et al. Antioxidant activities of chitosans and its derivatives in in vitro and in vivo studies. Carbohydr Polym 2018, 199, 141–149. [Google Scholar] [CrossRef]
- Sugiura, K; Koike, S; Suzuki, T; Ogasawara, Y. Carbonylation of skin collagen induced by reaction with methylglyoxal. Biochem Biophys Res Commun 2021, 562, 100–104. [Google Scholar] [CrossRef]
- Sun, Y; Hayakawa, S; Chuamanochan, M; Fujimoto, M; Innun, A; Izumori, K. Antioxidant effects of Maillard reaction products obtained from ovalbumin and different D-aldohexoses. Biosci Biotechnol Biochem 2006, 70, 598–605. [Google Scholar] [CrossRef]
- Desai, A; Jung, MY; Olivera, A; Gilfillan, AM; Prussin, C; Kirshenbaum, AS; et al. IL-6 promotes an increase in human mast cell numbers and reactivity through suppression of suppressor of cytokine signaling 3. Journal of Allergy and Clinical Immunology 2016, 137, 1863–1871.e6. [Google Scholar] [CrossRef]
- Dong, X; Raghavan, V. Modifications of the Structural, Nutritional, and Allergenic Properties of Atlantic Cod Induced by Novel Thermal Glycation Treatments. Foods 2024, 13. [Google Scholar] [CrossRef]
- Hirano, T; Koyanagi, A; Ago, H; Yamamoto, M; Kitaura, J; Kasai, M; et al. Allosteric inhibition of IgE–FcεRI interactions by simultaneous targeting of IgE F(ab’)2 epitopes. Commun Biol 2024, 7. [Google Scholar] [CrossRef]
- Jo, H; Kim, M; Jeoung, J; Kim, W; Park, YH; Jung, HS; et al. Rocaglamide Suppresses Allergic Reactions by Regulating IL-4 Receptor Signaling. Molecules 2025, 30. [Google Scholar] [CrossRef]







| Sample | α-Helix | β-Sheet | β-Turn | Random COIL |
|---|---|---|---|---|
| NTPV | 29.67 ± 0.82a | 21.10 ± 0.62a | 10.07 ± 0.27a | 35.82 ± 0.99a |
| CGTPV | 6.16 ± 0.21b | 32.12 ± 0.96b | 16.23 ± 0.46b | 41.98 ± 1.09b |
| CLTPV | 4.28 ± 0.11c | 33.81 ± 0.98c | 11.62 ± 0.30c | 46.99 ± 1.44c |
| CMTPV | 3.40 ± 0.09cd | 33.81 ± 0.96c | 13.17 ± 0.38d | 46.28 ± 1.38c |
| CSTPV | 2.05 ± 0.06d | 37.42 ± 1.10d | 14.96 ± 0.41e | 40.94 ± 1.16d |
| CXTPV | 2.21 ± 0.08d | 36.94 ± 1.06d | 14.24 ± 0.40e | 42.61 ± 1.19bd |
| Sample | Β-Sheet | Random Curl | α-Helix | β-Turn |
|---|---|---|---|---|
| NTPV | 18.91±0.07e | 24.31±0.05c | 29.06±0.06bc | 27.88±0.04a |
| CXTPV | 16.57±0.06f | 24.37±0.05c | 31.76±0.04a | 27.43 ±0.03b |
| CGTPV | 22.11±0.04d | 26.46±0.06b | 29.23±0.04b | 22.33±0.04f |
| CMTPV | 25.13±0.05a | 23.36±0.06e | 28.97±0.04c | 22.72±0.06e |
| CLTPV | 24.80±0.04b | 23.80±0.03d | 27.86±0.04d | 23.65±0.05d |
| CSTPV | 24.14±0.04c | 31.86±0.04a | 18.26±0.06e | 25.87±0.04c |
| Amino Acid | NTPV | CGTPV | CSTPV | CXTPV | CLTPV | CMTPV |
|---|---|---|---|---|---|---|
| Phe | 0.43 ± 0.04a | 2.38 ± 0.05b | 1.59 ± 0.04c | 1.35 ± 0.05c | 3.87 ± 0.06d | 1.10 ± 0.04e |
| Tryp | 0.15 ± 0.04a | 0.86 ± 0.04b | 0.24 ± 0.06ac | 0.13 ± 0.04a | 1.35 ± 0.04d | 0.29 ± 0.04c |
| Leucine | 0.96 ± 0.06a | 1.48 ± 0.05b | 0.97 ± 0.04a | 2.06 ± 0.04c | 2.50 ± 0.04d | 0.73 ± 0.03e |
| Glycine | 3.25 ± 0.06a | 8.05 ± 0.04b | 7.50 ± 0.04c | 9.73 ± 0.04d | 4.89 ± 0.04e | 8.77 ± 0.05f |
| Threonine | 0.14 ± 0.03a | 0.66 ± 0.04b | 0.30 ± 0.04c | 0.26 ± 0.04c | 0.77 ± 0.05b | 0.35 ± 0.04c |
| Glutamic | 0.26 ± 0.04a | 0.56 ± 0.06b | 0.66 ± 0.04bc | 0.44 ± 0.04ab | 0.96 ± 0.04c | 2.43 ± 0.04d |
| Histidine | 0.71 ± 0.04a | 1.96 ± 0.04b | 0.83 ± 0.04a | 0.91 ± 0.04a | 4.64 ± 0.04c | 0.84 ± 0.04a |
| Arginine | 1.18 ± 0.04a | 2.86 ± 0.05b | 2.53 ± 0.04c | 1.77 ± 0.04d | 2.48 ± 0.04c | 2.41 ± 0.06c |
| Glutamine | 1.62 ± 0.04a | 1.82 ± 0.04b | 1.85 ± 0.04b | 1.03 ± 0.04c | 1.46 ± 0.04a | 1.12 ± 0.04c |
| Lysine | 2.36 ± 0.06a | 1.34 ± 0.04b | 1.56 ± 0.04c | 1.03 ± 0.04d | 1.46 ± 0.04c | 1.19 ± 0.06d |
| Ornithine | 2.27 ± 0.04a | 3.82 ± 0.06b | 2.63 ± 0.04c | 1.65 ± 0.04d | 4.22 ± 0.06e | 1.87 ± 0.04f |
Disclaimer/Publisher’s Note: The statements, opinions and data contained in all publications are solely those of the individual author(s) and contributor(s) and not of MDPI and/or the editor(s). MDPI and/or the editor(s) disclaim responsibility for any injury to people or property resulting from any ideas, methods, instructions or products referred to in the content. |
© 2026 by the authors. Licensee MDPI, Basel, Switzerland. This article is an open access article distributed under the terms and conditions of the Creative Commons Attribution (CC BY) license.
