Submitted:
06 January 2026
Posted:
07 January 2026
You are already at the latest version
Abstract
Keywords:
1. Introduction
2. Materials and Methods
2.1. Study Design and Case Selection
2.2. Clinical and Pathologic Data Collection
2.3. Histopathologic Evaluation
2.4. Immunohistochemistry
2.5. Staging and Ancillary Studies
2.6. Ethical Approval
2.7. Use of Generative Artificial Intelligence
3. Results
3.1. Cohort Characteristics
3.2. Clinical and Imaging Findings
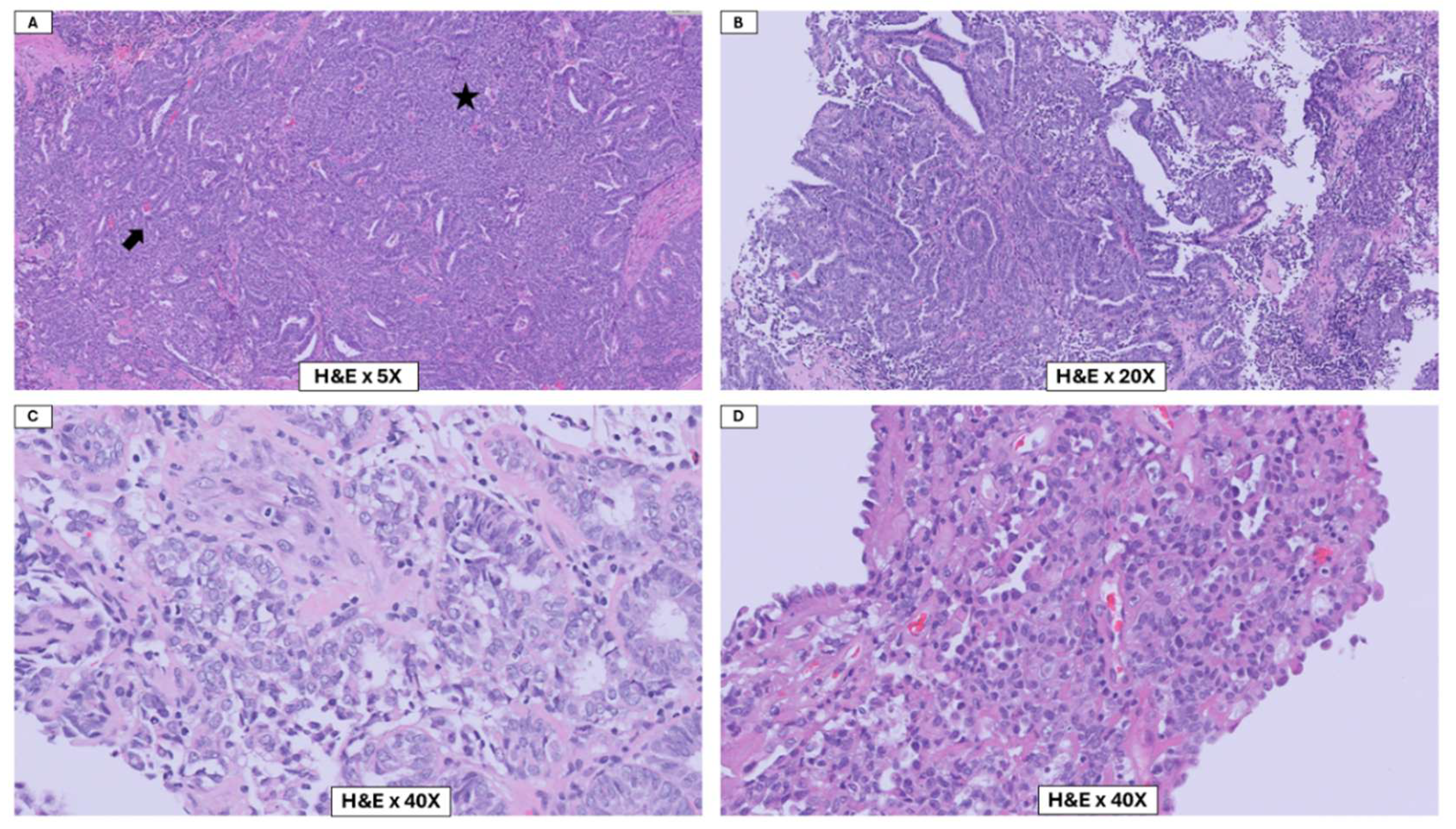
3.3. Histopathologic Findings
3.4. Immunophenotypic Profile
3.5. Surgical Pathology, Treatment, and Outcomes
4. Discussion
5. Conclusions
- MLA is uncommon but likely underrecognized.
- It often presents at an early stage but carries a higher risk of recurrence and metastasis than low-grade endometrioid carcinoma.
- KRAS mutations are highly prevalent; additional alterations in PIK3CA, ARID1A, and CTNNB1 occur in a subset. These observations suggest important prognostic and therapeutic implications, including potential eligibility for targeted therapies directed at KRAS or PI3K/AKT/mTOR pathway alterations.
- The immunophenotypic pattern of PAX8+/TTF-1+/GATA3+/ER– (or ER-focal) is highly characteristic but not entirely specific.
- Endocrine comorbidities, including hypothyroidism, appear in case reports and small series, though systematic data remains limited. Recognition of these associations can improve diagnostic accuracy and promote further research into molecular and endocrine pathways underlying MLA pathogenesis.
Author Contributions
Funding
Institutional Review Board Statement
Informed Consent Statement
Data Availability Statement
Acknowledgments
Conflicts of Interest
Abbreviations
| Abbreviation | Definition |
| MLA | Mesonephric-like adenocarcinoma |
| ER | Estrogen receptor |
| PR | Progesterone receptor |
| AJCC | American Joint Committee on Cancer |
| FIGO | International Federation of Gynecology and Obstetrics |
| PCOS | Polycystic ovary syndrome |
| IHC | Immunohistochemistry |
Appendix A

References
- Y. Dieudonné et al., ‘Immune Defect in Adults With Down Syndrome: Insights Into a Complex Issue’, Front Immunol, vol. 11, May 2020. [CrossRef]
- H. Hasle, J. M. Friedman, J. H. Olsen, and S. A. Rasmussen, ‘Low risk of solid tumors in persons with Down syndrome’, Genetics in Medicine, vol. 18, no. 11, pp. 1151–1157, Nov. 2016. [CrossRef]
- A. C. Xavier, Y. Ge, and J. W. Taub, ‘Down Syndrome and Malignancies: A Unique Clinical Relationship’, The Journal of Molecular Diagnostics, vol. 11, no. 5, pp. 371–380, Sep. 2009. [CrossRef]
- K. Fosu, J. T. Quarshie, K. A. N. Sarpong, and A. R. Aikins, ‘Inverse Comorbidity between Down Syndrome and Solid Tumors: Insights from In Silico Analyses of Down Syndrome Critical Region Genes’, Genes (Basel), vol. 14, no. 4, p. 800, Mar. 2023. [CrossRef]
- D. B. Chapel, N. M. Joseph, T. Krausz, and R. R. Lastra, ‘An Ovarian Adenocarcinoma With Combined Low-grade Serous and Mesonephric Morphologies Suggests a Müllerian Origin for Some Mesonephric Carcinomas.’, Int J Gynecol Pathol, vol. 37, no. 5, pp. 448–459, Sep. 2018. [CrossRef]
- J. Pors, A. Cheng, J. M. Leo, M. A. Kinloch, B. Gilks, and L. Hoang, ‘A Comparison of GATA3, TTF1, CD10, and Calretinin in Identifying Mesonephric and Mesonephric-like Carcinomas of the Gynecologic Tract.’, Am J Surg Pathol, vol. 42, no. 12, pp. 1596–1606, Dec. 2018. [CrossRef]
- V. Patel, B. Kipp, and J. K. Schoolmeester, ‘Corded and hyalinized mesonephric-like adenocarcinoma of the uterine corpus: report of a case mimicking endometrioid carcinoma.’, Hum Pathol, vol. 86, pp. 243–248, Apr. 2019. [CrossRef]
- S. Yamamoto and Y. Sakai, ‘Pulmonary metastasis of mesonephric-like adenocarcinoma arising from the uterine body: a striking mimic of follicular thyroid carcinoma.’, Histopathology, vol. 74, no. 4, pp. 651–653, Mar. 2019. [CrossRef]
- D. L. Kolin, D. C. Costigan, F. Dong, M. R. Nucci, and B. E. Howitt, ‘A Combined Morphologic and Molecular Approach to Retrospectively Identify KRAS-Mutated Mesonephric-like Adenocarcinomas of the Endometrium.’, Am J Surg Pathol, vol. 43, no. 3, pp. 389–398, Mar. 2019. [CrossRef]
- W. G. McCluggage, H. Vosmikova, and J. Laco, ‘Ovarian Combined Low-grade Serous and Mesonephric-like Adenocarcinoma: Further Evidence for A Mullerian Origin of Mesonephric-like Adenocarcinoma.’, Int J Gynecol Pathol, vol. 39, no. 1, pp. 84–92, Jan. 2020. [CrossRef]
- M. Yano et al., ‘Coexistence of endometrial mesonephric-like adenocarcinoma and endometrioid carcinoma suggests a Müllerian duct lineage: a case report.’, Diagn Pathol, vol. 14, no. 1, p. 54, Jun. 2019. [CrossRef]
- B. Kezlarian et al., ‘Cytologic features of upper gynecologic tract adenocarcinomas exhibiting mesonephric-like differentiation.’, Cancer Cytopathol, vol. 127, no. 8, pp. 521–528, Aug. 2019. [CrossRef]
- L.-C. Horn, A. K. Höhn, I. Krücken, M. Stiller, U. Obeck, and C. E. Brambs, ‘Mesonephric-like adenocarcinomas of the uterine corpus: report of a case series and review of the literature indicating poor prognosis for this subtype of endometrial adenocarcinoma.’, J Cancer Res Clin Oncol, vol. 146, no. 4, pp. 971–983, Apr. 2020. [CrossRef]
- P. Dundr et al., ‘Ovarian mesonephric-like adenocarcinoma arising in serous borderline tumor: a case report with complex morphological and molecular analysis.’, Diagn Pathol, vol. 15, no. 1, p. 91, Jul. 2020. [CrossRef]
- K. Seay, T. Akanbi, B. Bustamante, S. Chaudhary, and G. L. Goldberg, ‘Mesonephric-like adenocarcinoma of the ovary with co-existent endometriosis: A case report and review of the literature.’, Gynecol Oncol Rep, vol. 34, p. 100657, Nov. 2020. [CrossRef]
- Q. Chen, Y. Shen, and C. Xie, ‘Mesonephric-like adenocarcinoma of the ovary: A case report and a review of the literature.’, Medicine, vol. 99, no. 48, p. e23450, Nov. 2020. [CrossRef]
- E. Deolet, J. Van Dorpe, and K. Van de Vijver, ‘Mesonephric-Like Adenocarcinoma of the Endometrium: Diagnostic Advances to Spot This Wolf in Sheep’s Clothing. A Review of the Literature.’, J Clin Med, vol. 10, no. 4, Feb. 2021. [CrossRef]
- S. Al Nabhani, A. Doyle, S. Kennedy, R. McVey, J. Crown, and D. Gibbons, ‘Endometrial Mesonephric-like Adenocarcinoma Presenting as an Ocular Lesion: A Case Report.’, Int J Gynecol Pathol, vol. 41, no. 2, pp. 161–167, Mar. 2022. [CrossRef]
- S. Choi, K. Na, S.-W. Kim, and H.-S. Kim, ‘Dedifferentiated Mesonephric-like Adenocarcinoma of the Uterine Corpus.’, Anticancer Res, vol. 41, no. 5, pp. 2719–2726, May 2021. [CrossRef]
- A. d’Amati et al., ‘Mesonephric-Like Carcinosarcoma of the Ovary Associated with Low-Grade Serous Carcinoma: A Case Report.’, Diagnostics (Basel), vol. 11, no. 5, May 2021. [CrossRef]
- E. Deolet et al., ‘Extrauterine Mesonephric-like Neoplasms: Expanding the Morphologic Spectrum.’, Am J Surg Pathol, vol. 46, no. 1, pp. 124–133, Jan. 2022. [CrossRef]
- S. Shen, M. M. Rubinstein, K. J. Park, J. A. Konner, and V. Makker, ‘Sustained response to lenvatinib and pembrolizumab in two patients with KRAS-mutated endometrial mesonephric-like adenocarcinoma.’, Gynecol Oncol Rep, vol. 37, p. 100844, Aug. 2021. [CrossRef]
- M. Ujita, K. Abiko, R. Kuwahara, I. Emoto, Y. Amano, and I. Konishi, ‘Mesonephric-like adenocarcinoma of the ovary in an elderly woman: A case report and a review of the literature.’, J Obstet Gynaecol Res, vol. 47, no. 12, pp. 4490–4495, Dec. 2021. [CrossRef]
- H. Kim, G. E. Bae, Y. Y. Jung, and H.-S. Kim, ‘Ovarian Mesonephric-like Adenocarcinoma With Multifocal Microscopic Involvement of the Fimbrial Surface: Potential for Misdiagnosis of Tubal Intraepithelial Metastasis as Serous Tubal Intraepithelial Carcinoma Associated With Ovarian High-grade Serous Carcinoma.’, In Vivo, vol. 35, no. 6, pp. 3613–3622, 2021. [CrossRef]
- H. G. Kim et al., ‘Mesonephric-like Adenocarcinoma of the Uterine Corpus: Comprehensive Analyses of Clinicopathological, Molecular, and Prognostic Characteristics With Retrospective Review of 237 Endometrial Carcinoma Cases.’, Cancer Genomics Proteomics, vol. 19, no. 4, pp. 526–539, 2022. [CrossRef]
- N. L. Hardy and P. N. Staats, ‘Metastatic mesonephric-like endometrial adenocarcinoma diagnosed on transbronchial needle aspirate cytology.’, Diagn Cytopathol, vol. 50, no. 2, pp. 86–90, Feb. 2022. [CrossRef]
- C. S. Chang, M. E. Carney, and J. L. Killeen, ‘Two Cases of Mesonephric-like Carcinoma Arising From Endometriosis: Case Report and Review of the Literature.’, Int J Gynecol Pathol, vol. 42, no. 1, pp. 101–107, Jan. 2023. [CrossRef]
- A. M. Mills, T. M. Jenkins, B. E. Howitt, J. Fan, K. L. Ring, and I. Cook, ‘Mesonephric-like Endometrial Carcinoma: Results From Immunohistochemical Screening of 300 Endometrial Carcinomas and Carcinosarcomas for This Often Overlooked and Potentially Aggressive Entity.’, Am J Surg Pathol, vol. 46, no. 7, pp. 921–932, Jul. 2022. [CrossRef]
- H. H. Koh, E. Park, and H.-S. Kim, ‘Mesonephric-like Adenocarcinoma of the Ovary: Clinicopathological and Molecular Characteristics.’, Diagnostics (Basel), vol. 12, no. 2, Jan. 2022. [CrossRef]
- E. Arslanian, K. Singh, C. James Sung, and M. R. Quddus, ‘Somatic mutation analysis of Mesonephric-Like adenocarcinoma and associated putative precursor Lesions: Insight into pathogenesis and potential molecular treatment targets.’, Gynecol Oncol Rep, vol. 42, p. 101049, Aug. 2022. [CrossRef]
- S. Restaino et al., ‘Mesonephric-Like Adenocarcinomas a Rare Tumor: The Importance of Diagnosis.’, Int J Environ Res Public Health, vol. 19, no. 21, Nov. 2022. [CrossRef]
- K. Ishida, T. Ashihara, M. So, S. Minamiguchi, N. Matsumura, and T. Nonogaki, ‘Synchronous ovarian and uterine mesonephric-like carcinoma that potentially arose from endometrioid adenofibroma: A case report.’, J Obstet Gynaecol Res, vol. 49, no. 3, pp. 1052–1056, Mar. 2023. [CrossRef]
- S. Stolnicu, R.-J. Bartalis, Q. Ye, A. Da Cruz Paula, B. Weigelt, and R. A. Soslow, ‘Ovarian RASoma With Mesonephric-like Adenocarcinoma and Mixed Mullerian Components: A Case Report With Molecular Analysis Demonstrating Multidirectional Mullerian Differentiation.’, Int J Gynecol Pathol, vol. 42, no. 6, pp. 620–626, Nov. 2023. [CrossRef]
- D. Xing, S. X. Liang, F. F. Gao, and J. I. Epstein, ‘Mesonephric Adenocarcinoma and Mesonephric-like Adenocarcinoma of the Urinary Tract.’, Mod Pathol, vol. 36, no. 1, p. 100031, Jan. 2023. [CrossRef]
- J. Xu, K. J. Park, W. M. Rehrauer, and P. S. Weisman, ‘Mesonephric-like adenocarcinoma of the ovary with squamoid morular metaplasia, aberrant β-catenin expression, and concurrent FGFR2 and CTNNB1 mutations: a case report.’, Virchows Arch, vol. 484, no. 1, pp. 147–150, Jan. 2024. [CrossRef]
- J. Mirkovic et al., ‘Mesonephric-like adenocarcinoma of the female genital tract: novel observations and detailed molecular characterisation of mixed tumours and mesonephric-like carcinosarcomas.’, Histopathology, vol. 82, no. 7, pp. 978–990, Jun. 2023. [CrossRef]
- E. D. Euscher et al., ‘Extrauterine Mesonephric-like Carcinoma: A Comprehensive Single Institution Study of 33 Cases.’, Am J Surg Pathol, vol. 47, no. 6, pp. 635–648, Jun. 2023. [CrossRef]
- H. J. Kim, K. A. Kim, Y. Chun, J. W. Kim, J. Lee, and C. H. Lee, ‘Radiologic Findings of Mesonephric-Like Adenocarcinoma of the Uterine Corpus: A Case Report.’, Journal of the Korean Society of Radiology, vol. 84, no. 3, pp. 698–704, May 2023. [CrossRef]
- A.Sugitani et al., ‘Ovarian Mesonephric-Like Adenocarcinoma With Recurrent Liver Metastases: A Case Report with Analysis of Therapeutic Molecular Targets.’, Int J Surg Pathol, vol. 32, no. 3, pp. 578–585, May 2024. [CrossRef]
- J. Linck and W. Torres, ‘Mesonephric-like adenocarcinoma arising from endometrioid adenofibroma in a patient with in-utero exposure to diethylstilbestrol: A case report’, Case Rep Womens Health, vol. 39, p. e00531, Sep. 2023. [CrossRef]
- H.-H. Koh, E. Park, and H.-S. Kim, ‘Mesonephric-like Adenocarcinoma of the Uterine Corpus: Genomic and Immunohistochemical Profiling with Comprehensive Clinicopathological Analysis of 17 Consecutive Cases from a Single Institution.’, Biomedicines, vol. 11, no. 8, Aug. 2023. [CrossRef]
- C. E. Brambs et al., ‘Mesonephric-like adenocarcinoma of the female genital tract: possible role of KRAS-targeted treatment-detailed molecular analysis of a case series and review of the literature for targetable somatic KRAS-mutations.’, J Cancer Res Clin Oncol, vol. 149, no. 17, pp. 15727–15736, Nov. 2023. [CrossRef]
- Z. Zhao, R. Nadarajah, and I. Busmanis, ‘Synchronous Bilateral Ovarian Mesonephric-like Adenocarcinomas with Separate Origins from High-Grade Mullerian Adenosarcoma and Endometriosis: Report of a Rare Case.’, Int J Gynecol Pathol, vol. 43, no. 4, pp. 382–388, Jul. 2024. [CrossRef]
- S. Nagase, H. Saeki, A. Ura, Y. Terao, T. Matsumoto, and T. Yao, ‘Mixed Mesonephric-like Adenocarcinoma, Clear Cell Carcinoma, and Endometrioid Carcinoma Arising from an Endometriotic Cyst.’, Int J Surg Pathol, vol. 32, no. 6, pp. 1140–1148, Sep. 2024. [CrossRef]
- A. Yamamoto et al., ‘Ovarian Mesonephric-like Adenocarcinoma Recurring With a Rhabdomyosarcoma Component: A Case Report.’, Int J Gynecol Pathol, vol. 43, no. 3, pp. 296–301, May 2024. [CrossRef]
- G. Angelico et al., ‘The first evidence of mismatch repair deficiency in mesonephric-like adenocarcinoma of the endometrium: clinicopathological and molecular features of a case emphasising a possible endometrioid carcinogenesis.’, Histopathology, vol. 84, no. 6, pp. 1068–1070, May 2024. [CrossRef]
- M. R. Quddus, C. A. Mathews, and K. Singh, ‘Ever Expanding Morphologic Patterns of Mesonephric-like Adenocarcinomas of the Uterine Corpus: A Report of Two Tumors and a Brief Review of the Literature.’, Int J Surg Pathol, vol. 32, no. 7, pp. 1398–1403, Oct. 2024. [CrossRef]
- Y. Yang et al., ‘Mesonephric-like adenocarcinoma of the ovary.’, J Ovarian Res, vol. 17, no. 1, p. 57, Mar. 2024. [CrossRef]
- H. Omine et al., ‘Endometrial cytological findings for a mesonephric-like endometrial adenocarcinoma: A case report.’, Diagn Cytopathol, vol. 52, no. 6, pp. E129–E133, Jun. 2024. [CrossRef]
- Y. Lee, M. R. Alam, J.-H. Kim, C. J. Kim, S. L. Lee, and K. Yim, ‘Collision Tumor of the Ovary: Adult Granulosa Cell Tumor and Mesonephric-like Adenocarcinoma.’, Diagnostics (Basel), vol. 14, no. 13, Jul. 2024. [CrossRef]
- M. Tahir et al., ‘Identifying mesonephric-like adenocarcinoma of the endometrium by combining SOX17 and PAX8 immunohistochemistry.’, Histopathology, vol. 86, no. 2, pp. 268–277, Jan. 2025. [CrossRef]
- D. Maharjan, K. Collins, T. Hou, B. Umphress, S. E. Robertson, and S. Segura, ‘Synchronous Bilateral Ovarian Carcinomas With Right Mesonephric-like Adenocarcinoma and Left High-grade Serous Carcinoma: A Case Report and Review of the Literature.’, Int J Gynecol Pathol, vol. 44, no. 2, pp. 193–197, Mar. 2025. [CrossRef]
- A. Ogawa et al., ‘Ovarian Mesonephric-like Adenocarcinoma: Its Prevalence in a Japanese High-Volume Cancer Center and a Literature Review on Therapeutic Targets.’, Curr Oncol, vol. 31, no. 9, pp. 5107–5120, Aug. 2024. [CrossRef]
- M. McFarland, C. M. Quick, and W. G. McCluggage, ‘Hormone receptor-negative, thyroid transcription factor 1-positive uterine and ovarian adenocarcinomas: report of a series of mesonephric-like adenocarcinomas.’, Histopathology, vol. 68, no. 7, pp. 1013–20, Jun. 2016. [CrossRef]
- J. Pors, A. Cheng, J. M. Leo, M. A. Kinloch, B. Gilks, and L. Hoang, ‘A Comparison of GATA3, TTF1, CD10, and Calretinin in Identifying Mesonephric and Mesonephric-like Carcinomas of the Gynecologic Tract.’, Am J Surg Pathol, vol. 42, no. 12, pp. 1596–1606, Dec. 2018. [CrossRef]
- J. Pors et al., ‘Clinicopathologic Characteristics of Mesonephric Adenocarcinomas and Mesonephric-like Adenocarcinomas in the Gynecologic Tract: A Multi-institutional Study.’, Am J Surg Pathol, vol. 45, no. 4, pp. 498–506, Apr. 2021. [CrossRef]
- A. M. Mills, T. M. Jenkins, B. E. Howitt, J. Fan, K. L. Ring, and I. Cook, ‘Mesonephric-like Endometrial Carcinoma: Results From Immunohistochemical Screening of 300 Endometrial Carcinomas and Carcinosarcomas for This Often Overlooked and Potentially Aggressive Entity.’, Am J Surg Pathol, vol. 46, no. 7, pp. 921–932, Jul. 2022. [CrossRef]
- J. Pors, A. Cheng, J. M. Leo, M. A. Kinloch, B. Gilks, and L. Hoang, ‘A Comparison of GATA3, TTF1, CD10, and Calretinin in Identifying Mesonephric and Mesonephric-like Carcinomas of the Gynecologic Tract.’, Am J Surg Pathol, vol. 42, no. 12, pp. 1596–1606, Dec. 2018. [CrossRef]
- D. Wilson and B. Bordoni, Embryology, Mullerian Ducts (Paramesonephric Ducts). 2025.
- A. J. Laham, M. Saber-Ayad, and R. El-Awady, ‘DYRK1A: a down syndrome-related dual protein kinase with a versatile role in tumorigenesis’, Cellular and Molecular Life Sciences, vol. 78, no. 2, pp. 603–619, Jan. 2021. [CrossRef]
- H. Ehara, K. Ohno, and H. Ito, ‘Benign and malignant tumors in Down syndrome: Analysis of the 1514 autopsied cases in Japan’, Pediatrics International, vol. 53, no. 1, pp. 72–77, Feb. 2011. [CrossRef]


| Case | Age | C/P | Comorbidities | Location | TVUS | IHC |
| 1 | 28 | HVB | Down’s Syndrome Hypothyroidism |
Corpus | 3.0 cm mass in endometrial cavity | GATA3: positive ER : negative Napsin-A: negative TTF1: positive P16: patchy P53: |
| 2 | 29 | HVB | PCOS Hypothyroidism |
Corpus | Unremarkable | GATA3: positive ER: negative PR: negative TTF1: Patchy positive |
| 3 | 74 | HVB | Hypothyroidism Breast Cancer (IDC) |
Corpus | Thickened endometrial stripe | GATA3: negative ER: patchy (20%) PR: positive (60%) Napsin-A: patchy TTF1: patchy P16: patchy P53: wild-type |
| S/N | PMID | Authors | # of Cases | Case Source | Age | Other Comorbidities | PAX8 | GATA3 | TTF-1 | ER/PR | MSI | p53 (WT) | FIGO Stage | Molecular |
| 1 | 28863071 | David B Chapel et al. [5] | 1 | Chicago, UCSF | 80 | None | 100% | 100% | 100% | 0% | 100% | NRAS | ||
| 2 | 30148742 | Jennifer et al. [6] | 5 | Univ. of British Columbia | 65.8 (31-91) | None | 100% | 80%* | 100% | 20% | IB, IC, IIIA, IIIA, IVB | |||
| 3 | 30172914 | Patel et al. [7] | 1 | Mayo | 71 | None | 100% | 100% | 100% | 0% | MSS | 100% | ||
| 4 | 30471132 | Yamamoto et al. [8] | 1 | Japan | 70 | None | 100%* | 100%* | 100% | 0% | ||||
| 5 | 30489318 | Kolin et al. [9] | 4 | Boston/Stanford | 60.3 (57-64) | None | 100% | 33%* | 100% | 25% | 100% | IA, IB, IIIC, IVB | KRAS | |
| 6 | 30575604 | McCluggage et al. [10] | 1 | UK | 61 | None | 100% | 100%* | 100% (patchy) | 0% | 100% | KRAS | ||
| 7 | 31174566 | Yano et al. [11] | 1 | Japan | 32 | None | 100% | 100% | 0% | 100% | IA | KRAS | ||
| 8 | 31318491 | Kezlarian et al. [12] | 8 | 55.9 (36-77) | None | 100% | 100% | 33% | 14% | IA, IA, IB, III, III, IIIA, IIIB | ||||
| 9 | 31927619 | Horn et al. [13] | 4 | Germany | 63.3 (54-74) | None | 100% | 100% | 0% | MSS | 100% | IB, IB, II, IIIA | KRAS | |
| 10 | 32693840 | Dundr et al. [14] | 1 | 71 | None | 100% | 0% | 100% | 0% | 100% | IVB | KRAS | ||
| 11 | 33088886 | Seay et al. [15] | 1 | New York | 67 | Endometriosis | 100% | 100%* | 100% (patchy) | 0% | MSS | 100% | IA | |
| 12 | 33235131 | Chen et al. [16] | 1 | China | 29 | None | 100% | 100% | 100% | 0% | 0% | IC | ||
| 13 | 33670088 | Deolet et al. [17] | 1 | Belgium | 76 | None | 100% | 100% | 0% | 0% | MSS | 100% | IV | KRAS |
| 14 | 33935158 | Al Nabhani et al. [18] | 1 | Ireland | 58 | None | 100% | 0% | 100% | 0% | MSS | 100% | IV | KRAS |
| 15 | 33952503 | Choi et al. [19] | 1 | Korea | 54 | None | 100% | 100% | 0% | MSS | 100% | KRAS | ||
| 16 | 34063676 | d’Amati et al. [20] | 1 | Switzerland | 74 | Ovarian serous cystadenoma | 100% | 100% | 100% | 0% | 100% | IIIC | ||
| 17 | 34183523 | Deolet et al. [21] | 5 | UK | 61 (33-82) | Mature teratoma, mixed germ cell tumor, borderline endometrioid neoplasm, high-grade serous carcinoma, endometriosis | 100% | 100% | 80% | 0% | 100% | IA, IVB, IC, IIIC, unstaged | KRAS | |
| 18 | 34430690 | Shen et al. [22] | 2 | Memorial Sloan Kettering | 54 (60, 48) | 100% | 50% | 100% | 0% | KRAS | ||||
| 19 | 34580958 | Mari Ujita et al. [23] | 1 | Japan | 84 | Hypertension, hyperlipidemia | 100% | 0% | 100% | 0% | IC | |||
| 20 | 34697203 | Kim et al. [24] | 1 | Korea | 47 | Adenomyosis | 100% | 100% | 0% | MSS | 100% | KRAS | ||
| 21 | 34829389 | Kim et al. [25] | 25 | 59 (43-77) | None | IA (4), IB (3), II (2), IIIA, IIIB (3), IIIC1 (4), IIIC2 (2), IVB (6) | ||||||||
| 22 | 34928073 | Hardy et al. [26] | 1 | Maryland | 62 | None | 100% | 0% | 100% | 0% | 100% | KRAS | ||
| 23 | 35191427 | Chang et al. [27] | 2 | Hawaii | 54 (51,57) | Fibroids, adnexal mass, adenomyosis, endometriosis; DCIS, endometriosis | 100% | 100% | 100% | 0% | IA, IIIA1 | |||
| 24 | 35195579 | Mills et al. [28] | 2 | Virginia | None | 50% | 100% | 0% | KRAS | |||||
| 25 | 35204416 | Koh et al. [29] | 5 | Korea | 53 (42-61) | endometriosis (80%) | 100% | 100% | 80% | 60% | MSS | 100% | IA, IC, IC, IC, IIB, IVB | |
| 26 | 35732320 | Kim et al. [25] | 7 | Korea | 63 (59-72) | None | 86% | 71% | 14% | 100% | IB (3), IIIA (2), IIIC, IVB | |||
| 27 | 35880223 | Arslanian et al. [30] | 3 | 65 (65-67) | endometriosis (100%), cystadenofibroma (33%) | 100% | 100% | 33% | 33% | 100% | IC, IIA2, IIIA1 | KRAS | ||
| 28 | 36361332 | Restaino et al. [31] | 1 | Italy | 57 | previous hysteroscopy for endometrial polyp | 100% | 100% | 100% | 100% | MSS | 100% | KRAS | |
| 29 | 36597276 | Ishida et al. [32](Ishida et al., 2023) | 1 | Japan | 69 | endometrioid adenofibroma, adenomyosis | 100% | 100% | 0% | KRAS | ||||
| 30 | 36617679 | Stolnicu et al. [33] | 1 | Memorial Sloan Kettering | 63 | endometriosis | 100% | 100% | 0% | I | KRAS | |||
| 31 | 36788068 | Xing et al. [34] | 1 | Johns Hopkins | 72 | endometriosis; previous ovarian mass | 100% | 100% | 0% | 0% | 100% | KRAS | ||
| 32 | 36856760 | Xu et al. [35] | 1 | Wisconsin | 78 | endometrioid adenofibroma, adenomyosis | 100% | 100% | 0% | 0% | MSS | FGFR2and CTNNB1 | ||
| 33 | 36860193 | Mirkovic et al. [36] | 5 | Toronto | 61 (51-66) | endometrial adenocarcinoma (3); sarcoma (2); colon cancer (1) | 100% | 75% | 0% | 100% | IB (1), II (1), IIB (2), IV (1) | KRAS | ||
| 34 | 37026792 | Euscher et al. [37] | 33 | MD Anderson | 59 (37-74) | Endometriosis (64%); occult synchronous endometrial LGEC (9%) | 96% | 94% | 75% | 38% | 100% | I (19) (12 cases), II (7 cases), III (9), IV (4) | KRAS (15),PIK3CA (4); ARID1A (2); CTNNB1 (2); ATM (2) | |
| 35 | 37324981 | Kim et al. [38] | 1 | Korea | 65 | 100% | 100% | 0% | IB | |||||
| 36 | 37345348 | Sugitani et al. [39] | 1 | Japan | 53 | endometriosis, Brenner tumor (5 mm), serous cystadenoma; Adenomyosis and leiomyomas | 100% | 100% | 100% | 0% | MSS | 100% | IC1 | |
| 37 | 37560022 | Linck et al. [40] | 1 | Florida | 65 | in-utero exposure to diethylstilbestrol (DES); endometrioid adenofibroma; uterine fibroids | 100% | 100% | 100% | 0% | ||||
| 38 | 37626765 | Koh et al. [41] | 17 | None | MSS | IA (3/17), IB (6/17), IIIB (3/17), IIIC (2/17), and IVB (3/17) | KRAS(16); PIK3CA (3); PTEN (5) | |||||||
| 39 | 37668797 | Brambs et al. [42] | 8 | 60.3 (52- 74) | None | KRAS | ||||||||
| 40 | 37922943 | Zhao et al. [43] | 1 | Singapore | 58 | Endometriosis, diabetes | 100% | 100% | 100% | 0% | MSS | IC (Left), IIA (right) | ||
| 41 | 37994045 | Nagase et al. [44] | 1 | Japan | 48 | endometriosis, uterine leiomyoma and ovarian mucinous cystadenoma (5 years prior) | 100% | 100% | 0% | 100% | IV | KRAS | ||
| 42 | 38085954 | Yamamoto et al. [45] | 1 | 51 | endometriosis | 100% | 100% | 100% | 100% | 100% | IVB | KRAS | ||
| 43 | 38173293 | Angelico et al. [46] | 1 | Italy | 59 | None | 100% | 100% | 0% | MSI | 100% | IB | ||
| 44 | 38311895 | Quddus et al. [47] | 2 | Rhode Island | 64.5 (62, 67) | Fibroids | 50% | 100% | weak and focal | MSS | 100% | I, IB | KRAS, PTEN | |
| 45 | 38444000 | Yang et al. [48] | 1 | 45 | “Chocolate cyst” removal 5 years ago; concurrent teratoma | 100% | 100% | 100% | weak and focal | MSS | 100% | |||
| 46 | 38454318 | Omine et al. [49] | 1 | Japan | 76 | None | 100% | 100% | 0% | |||||
| 47 | 39001303 | Lee et al. [50] | 1 | Korea | 63 | concomitant granulosa cell tumor | 100% | 100% | 0% | 0% | IIA | |||
| 48 | 39233315 | Tahir et al. [51] | 17 | Ohio | None | 100% | 100% | 59% | 0% | 100% | ||||
| 49 | 39254222 | Maharjan et al. [52] | 1 | Indiana | 56 | None | 100% | 100% | 100% | 0% | 100% | IC2 | KRAS | |
| 50 | 39330006 | Ogawa et al. [53] | 3 | 66.3 (52-76) | endometriosis (3); obesity (2); fibroids (3); adenomyosis (2); breast cancer (1); rheumatoid arthritis (1) | 100% | 100% | 0% | MSS | 100% | ||||
| 51 | 26484981 | McFarland et al. [54] | 12 | Arkansas | 42-72 | Endometriosis (3); adenomyosis (1) | 73% | 92% | 0% | 100% | IA (5), IB (2), II (2) and IIIC (2), IV (1) |
| Reported Comorbidities associated with MLA | Number of cases |
| Müllerian/Gynecologic Associations | |
| Endometriosis | 37 |
| Adenomyosis | 6 |
| Adenofibroma | 3 |
| Uterine fibroids | 3 |
| Endometrial adenocarcinoma | 3 |
| Mature teratoma | 2 |
| Ovarian serous cystadenoma | 1 |
| Borderline endometrioid neoplasm | 1 |
| High-grade serous carcinoma | 1 |
| Mixed germ cell tumor | 1 |
| Non-Gynecologic Neoplasms | |
| Breast cancer | 1 |
| Colon cancer | 1 |
| Metabolic/Autoimmune Disorders | |
| Hypertension | 1 |
| Hyperlipidemia | 1 |
| Diabetes | 1 |
| Rheumatoid arthritis | 1 |
| Environmental/Hormonal Exposure | |
| In-utero diethylstilbestrol (DES) exposure | 1 |
| Unknown | 135 |
| Total | 200 |
Disclaimer/Publisher’s Note: The statements, opinions and data contained in all publications are solely those of the individual author(s) and contributor(s) and not of MDPI and/or the editor(s). MDPI and/or the editor(s) disclaim responsibility for any injury to people or property resulting from any ideas, methods, instructions or products referred to in the content. |
© 2026 by the authors. Licensee MDPI, Basel, Switzerland. This article is an open access article distributed under the terms and conditions of the Creative Commons Attribution (CC BY) license (http://creativecommons.org/licenses/by/4.0/).
