Submitted:
26 December 2025
Posted:
29 December 2025
You are already at the latest version
Abstract

Keywords:
1. Introduction
2. Materials and Methods
3. Results
3.1. Characteristics of the Sample
3.2. A comparative Analysis of Sociodemographic and Clinical Variables
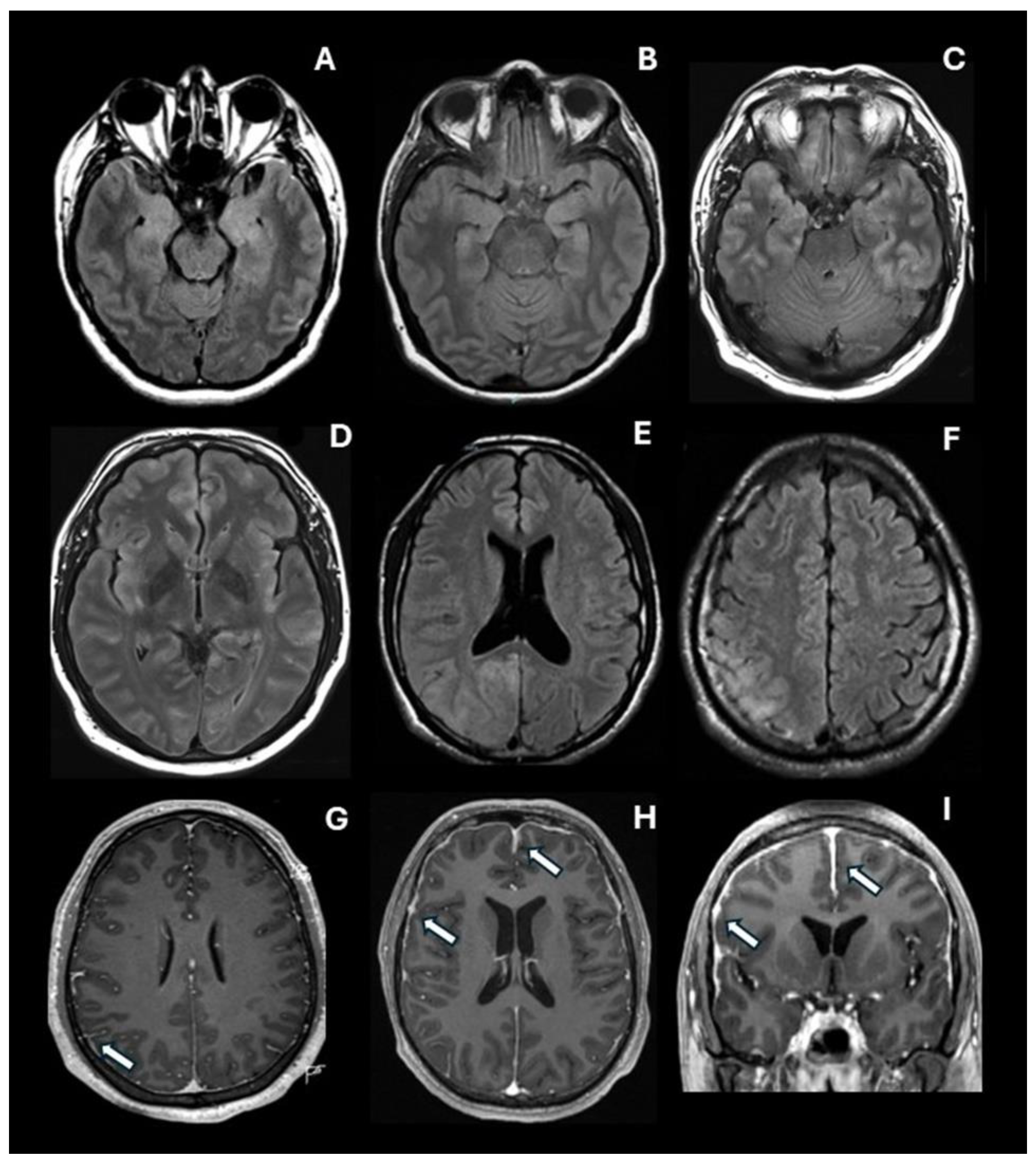
3.3. The Assessment of Brain MRI Findings
3.3. Subanalysis of Patients with Anti-NMDA Receptor Encephalitis vs Patients with a Negative Determination of NMDA Receptor Antibodies
3.4. Subanalysis of Patients with Anti-NMDA Receptor Encephalitis vs Patients with a Primary Psychotic Disorder
4. Discussion

Author Contributions
Funding
Institutional Review Board Statement
Informed Consent Statement
Data Availability Statement
Acknowledgments
Conflicts of Interest
Abbreviations
| ANMDARE | Anti-NMDA receptor encephalitis |
| CSF | Cerebrospinal Fluid |
| MRI | Magnetic Resonance Imaging |
| T2-FLAIR | T2-weighted fluid-attenuated inversion recovery MRI sequence |
References
- Gable, M.S.; Sheriff, H.; Dalmau, J.; Tilley, D.H.; Glaser, C.A. The Frequency of Autoimmune N-Methyl-D-Aspartate Receptor Encephalitis Surpasses That of Individual Viral Etiologies in Young Individuals Enrolled in the California Encephalitis Project. Clin. Infect. Dis. 2012, 54, 899–904. [Google Scholar] [CrossRef]
- Graus, F.; Titulaer, M.J.; Balu, R.; Benseler, S.; Bien, C.G.; Cellucci, T.; Cortese, I.; Dale, R.C.; Gelfand, J.M.; Geschwind, M.; et al. A Clinical Approach to Diagnosis of Autoimmune Encephalitis. Lancet Neurol. 2016, 15, 391–404. [Google Scholar] [CrossRef] [PubMed]
- Titulaer, M.J.; McCracken, L.; Gabilondo, I.; Armangué, T.; Glaser, C.; Iizuka, T.; Honig, L.S.; Benseler, S.M.; Kawachi, I.; Martinez-Hernandez, E.; et al. Treatment and Prognostic Factors for Long-Term Outcome in Patients with Anti-NMDA Receptor Encephalitis: An Observational Cohort Study. Lancet Neurol. 2013. [Google Scholar] [CrossRef] [PubMed]
- Dalmau, J.; Lancaster, E.; Martinez-hernandez, E.; Rosenfeld, M.R.; Balice-gordon, R. Clinical Experience and Laboratory Investigations in Patients with Anti-NMDAR Encephalitis. Lancet Neurol. 2011, 10, 63–74. [Google Scholar] [CrossRef]
- Bacchi, S.; Franke, K.; Wewegama, D.; Needham, E.; Patel, S.; Menon, D. Magnetic Resonance Imaging and Positron Emission Tomography in Anti-NMDA Receptor Encephalitis: A Systematic Review. J. Clin. Neurosci. 2018, 52. [Google Scholar] [CrossRef] [PubMed]
- Irani, S.R.; Bera, K.; Waters, P.; Zuliani, L.; Maxwell, S.; Zandi, M.S.; Friese, M.A.; Galea, I.; Kullmann, D.M.; Beeson, D.; et al. N-Methyl-D-Aspartate Antibody Encephalitis: Temporal Progression of Clinical and Non-Paraneoplastic Disorder of Both Sexes. 2010. [Google Scholar] [CrossRef]
- Pollak, T.A.; Lennox, B.R.; Müller, S.; Benros, M.E.; Prüss, H.; Tebartz van Elst, L.; Klein, H.; Steiner, J.; Frodl, T.; Bogerts, B.; et al. Autoimmune Psychosis: An International Consensus on an Approach to the Diagnosis and Management of Psychosis of Suspected Autoimmune Origin. The Lancet Psychiatry 2020, 7, 93–108. [Google Scholar] [CrossRef]
- Wang, R.; Lai, X. hui; Liu, X.; Li, Y.J.; Chen, C.; Li, C.; Chi, X.S.; Zhou, D.; Hong, Z. Brain Magnetic Resonance-Imaging Findings of Anti-N-Methyl-d-Aspartate Receptor Encephalitis: A Cohort Follow-up Study in Chinese Patients. J. Neurol. 2018, 265. [Google Scholar] [CrossRef]
- Zhang, X.T.; Duan, X.Y.; Ye, X.J.; Xu, X.W.; Shu, X.N.; Wang, X.C.; Li, X.K.; Liu, X.Y. Brain MRI Characteristics of Patients with Anti- N -Methyl-D- Aspartate Receptor Encephalitis and Their Associations with 2-Year Clinical Outcome. Am. J. Neuroradiol. 2018, 1–6. [Google Scholar] [CrossRef]
- Khatib; Pique, L.; Julie; Lundahl, N.; Ciano-Petersen; Criton, G.; Birzu, C.; Aubart, M.; Benaiteau, M.; Picard, G.; Marignier, R.; et al. Abnormal Brain MRI in Anti-NMDA Receptor Encephalitis Clinical and Prognostic Implications. Neurol. Neuroimmunol. neuroinflammation 2025, 1, 1–10. [Google Scholar] [CrossRef]
- McCracken, L.; Titulaer, M.J.; Dalmau, J.; Graus, F.; Lancaster, E.; Balu, R. A Score That Predicts 1-Year Functional Status in Patients with Anti-NMDA Receptor Encephalitis. Neurology 2018, 92, e244–e252. [Google Scholar] [CrossRef]
- Herken, J.; Prüss, H. Red Flags: Clinical Signs for Identifying Autoimmune Encephalitis in Psychiatric Patients. Front. Psychiatry 2017, 8, 1–9. [Google Scholar] [CrossRef] [PubMed]
- Espinola-Nadurille, M.; Restrepo-Martínez, M.; Bayliss, L.; Flores-Montes, E.; Rivas-Alonso, V.; Vargas-Cañas, S.; Hernández, L.; Martínez-Juarez, I.; Gonzalez-Aguilar, A.; Solis-Vivanco, R.; et al. Neuropsychiatric Phenotypes of Anti-NMDAR Encephalitis: A Prospective Study. Psychol. Med. 2023, 53, 4266–4274. [Google Scholar] [CrossRef]
- Irani, S.R.; Bera, K.; Waters, P.; Zuliani, L.; Maxwell, S.; Zandi, M.S.; Friese, M.A.; Galea, I.; Kullmann, D.M.; Beeson, D.; et al. N-Methyl-D-Aspartate Antibody Encephalitis: Temporal Progression of Clinical and Paraclinical Observations in a Predominantly Non-Paraneoplastic Disorder of Both Sexes Sarosh. Brain 2010. [Google Scholar] [CrossRef]
- Probasco, J.C.; Solnes, L.; Nalluri, A.; Cohen, J.; Jones, K.M.; Zan, E.; Javadi, M.S.; Venkatesan, A. Decreased Occipital Lobe Metabolism by FDG-PET/CT. Neurol. Neuroimmunol. NeuroInflammation 2018, 5, 1–9. [Google Scholar] [CrossRef]
- Kerik-Rotenberg, N.; Diaz-Meneses, I.; Hernandez-Ramirez, R.; Muñoz-Casillas, R.; Reynoso-Mejia, C.A.; Flores-Rivera, J.; Espinola-Nadurille, M.; Ramirez-Bermudez, J.; Aguilar-Palomeque, C. A Metabolic Brain Pattern Associated With Anti-N-Methyl-D-Aspartate Receptor Encephalitis. Psychosomatics 2020, 61, 39–48. [Google Scholar] [CrossRef]
- Jha, S.; Nagaraj, C.; Mundlamuri, R.; Alladi, S.; Nashi, S.; Kenchaiah, R.; Mahadevan, A.; Bhat, M.; Saini, J.; Netravathi, M. FDG-PET in Autoimmune Encephalitis: Utility, Pattern of Abnormalities, and Correlation with Autoantibodies. Ann. Indian Acad. Neurol. 2022, 25, 1122–1129. [Google Scholar] [CrossRef] [PubMed]
- Yuan, L.; Mao, G.; Zhang, Y.; Xu, Y.; Chen, Q.; Shan, B.; Cui, T.; Ai, L. Typical Metabolic Pattern of 18F-FDG PET in Anti-NMDAR Encephalitis in the Acute and Subacute Phases and Its Correlation with T2 T2-FLAIR-MRI Features. BMC Neurosci. 2023, 24. [Google Scholar] [CrossRef]
- Abboud, H.; Probasco, J.C.; Irani, S.; Ances, B.; Benavides, D.R.; Bradshaw, M.; Christo, P.P.; Dale, R.C.; Lee, T.; Li, Y.; et al. Autoimmune Encephalitis: Proposed Best Practice Recommendations for Diagnosis and Acute Management 2021, 1–12. [CrossRef]
- Dalmau, J.; Gleichman, A.J.; Hughes, E.G.; Rossi, J.E.; Peng, X.; Lai, M.; Dessain, S.K.; Rosenfeld, M.R.; Balice-Gordon, R.; Lynch, D.R. Anti-NMDA-Receptor Encephalitis: Case Series and Analysis of the Effects of Antibodies. Lancet Neurol. 2008, 7, 1091–1098. [Google Scholar] [CrossRef]
- Iizuka, T.; Kaneko, J.; Tominaga, N.; Someko, H.; Nakamura, M.; Ishima, D.; Kitamura, E.; Masuda, R.; Oguni, E.; Yanagisawa, T.; et al. Association of Progressive Cerebellar Atrophy with Long-Term Outcome in Patients with Anti-N-Methyl-D-Aspartate Receptor Encephalitis. JAMA Neurol. 2016. [Google Scholar] [CrossRef] [PubMed]
- Gomez-Figueroa, E.; Garcia-Estrada, C.; Paredes-Aragon, E.; Salado-Burbano, J.; Cortés-Enriquez, F.; Marrufo-Melendez, O.; Espinola-Nadurille, M.; Ramirez-Bermudez, J.; Rivas-Alonso, V.; Corona, T.; et al. Brain MRI Volumetric Changes in the Follow-up of Patients with Anti-NMDAr Encephalitis. Clin. Neurol. Neurosurg. 2021, 209. [Google Scholar] [CrossRef] [PubMed]
- Gabilondo, I.; Gonza, V.; Vin, M. Analysis of Relapses in Anti-NMDAR Encephalitis. 2011. [Google Scholar] [CrossRef]
- Balu, R.; Mccracken, L.; Lancaster, E.; Graus, F. A Score That Predicts 1-Year Functional Status in Patients with Anti-NMDA Receptor Encephalitis. 2019, 0. [Google Scholar] [CrossRef]
- Trewin, B.P.; Freeman, I.; Ramanathan, S.; Irani, S.R. Immunotherapy in Autoimmune Encephalitis. Curr. Opin. Neurol. 2022, 35, 399–414. [Google Scholar] [CrossRef] [PubMed]


| VARIABLE |
PATIENTS WITH ANTI-NMDAR ENCEPHALITIS N=115 |
CONTROL GROUP N= 115 |
+LR | 95% CI | p-value |
| NEUROPSYCHIATRIC DISTURBANCES | |||||
| Hallucinations | 76 (66.1%) | 60 (52.2%) | 1.27 | 1.02 – 1.58 | 0.032 |
| Delusions | 76 (66.1%) | 75 (65.2%) | 1.01 | 0.84 – 1.22 | 0.890 |
| Manic syndrome | 27 (23.5%) | 22 (19.3%) | 1.23 | 0.74 – 2.02 | 0.441 |
| Depressive syndrome | 20 (17.4%) | 21 (18.4%) | 0.95 | 0.55 – 1.66 | 0.839 |
| Suicidal behavior | 14 (12.3%) | 15 (13.0%) | 0.93 | 0.47 – 1.84 | 0.862 |
| Psychomotor agitation | 79 (68.7%) | 34 (29.6%) | 2.32 | 1.71 – 3.16 | <0.001* |
| Severe cognitive dysfunction | 93 (80.9%) | 59 (51.3%) | 1.58 | 1.29 – 1.92 | <0.001* |
| Catatonia | 76 (66.1%) | 31 (27.0%) | 2.45 | 1.77 – 3.40 | <0.001* |
| NEUROLOGICAL DISTURBANCES | |||||
| Seizures | 70 (60.9%) | 12 (10.4%) | 5.83 | 3.35 – 10.16 | <0.001* |
| Dyskinesia | 71 (61.7%) | 21 (18.3%) | 3.38 | 2.24 – 5.11 | <0.001* |
| Autonomic abnormalities | 61 (53.0%) | 19 (16.5%) | 3.21 | 2.06 – 5.01 | <0.001* |
| COMPLICATIONS | |||||
| ICU requirement | 34 (29.6%) | 9 (7.8%) | 3.78 | 1.90 – 7.52 | <0.001* |
| Coma state | 27 (23.5%) | 5 (4.4%) | 5.40 | 2.16 – 13.53 | <0.001* |
| Death | 8 (7.0%) | 0 (0%) | ∞ | not estimable | 0.004 |
| DIAGNOSTIC STUDIES | |||||
| Abnormal EEG | 99/113 (87.6%) | 40/96 (41.7%) | 2.10 | 1.64 – 2.69 | <0.001* |
| Abnormal CSF | 67 (58.3%) | 18 (15.7%) | 3.72 | 2.37 – 5.85 | <0.001* |
| Abnormal MRI | 65 (56.5%) | 31 (27.0%) | 2.10 | 1.49 – 2.95 | <0.001* |
| VARIABLE |
ANTI-NMDAR ENCEPHALITIS GROUP, N=115 |
CONTROL GROUP, N= 115 |
+LR | 95% CI | P |
| ABNORMALITIES IN LIMBIC AND PARALIMBIC STRUCTURES | |||||
| Medial temporal lobe | 64 (55.7%) | 30 (26.1%) | 2.13 | 1.51 – 3.02 | <0.001* |
| Right amygdala | 41 (35.7%) | 21 (18.3%) | 1.95 | 1.23 – 3.09 | 0.003 |
| Left amygdala | 44 (38.3%) | 20 (17.4%) | 2.20 | 1.39 – 3.49 | <0.001* |
| Right hippocampus | 51 (44.3%) | 26 (22.6%) | 1.96 | 1.32 – 2.91 | <0.001* |
| Left hippocampus | 53 (46.1%) | 26 (22.6%) | 2.04 | 1.38 – 3.02 | <0.001* |
| Right parahippocampal gyrus | 27 (23.5%) | 12 (10.4%) | 2.25 | 1.20 – 4.22 | 0.008 |
| Left parahippocampal gyrus | 32 (27.8%) | 19 (16.5%) | 1.68 | 1.02 – 2.79 | 0.039 |
| Right insular cortex | 36 (31.3%) | 15 (13.0%) | 2.40 | 1.39 – 4.14 | 0.001 |
| Left insular cortex | 46 (40.0%) | 18 (15.7%) | 2.56 | 1.58 – 4.13 | <0.001* |
| Right anterior cingulate cortex | 51 (44.3%) | 19 (16.5%) | 2.68 | 1.70 – 4.25 | <0.001* |
| Left anterior cingulate cortex | 49 (42.6%) | 20 (17.4%) | 2.45 | 1.56 – 3.85 | <0.001* |
| Right middle cingulate cortex | 31 (27.0%) | 14 (12.2%) | 2.21 | 1.25 – 3.94 | 0.005 |
| Left middle cingulate cortex | 28 (24.3%) | 13 (11.3%) | 2.15 | 1.18 – 3.94 | 0.010 |
| Right posterior cingulate cortex | 28 (24.3%) | 9 (7.8%) | 3.11 | 1.54 – 6.30 | 0.001 |
| Left posterior cingulate cortex | 26 (22.6%) | 10 (8.7%) | 2.60 | 1.31 – 5.14 | 0.004 |
| ABNORMALITIES IN NEOCORTICAL STRUCTURES | |||||
| Right dorsolateral prefrontal cortex | 44 (38.3%) | 20 (17.4%) | 2.20 | 1.39 – 3.49 | <0.001* |
| Left dorsolateral prefrontal cortex | 42 (36.5%) | 21 (18.3%) | 2.00 | 1.27 – 3.15 | 0.002 |
| Right orbitofrontal cortex | 24 (20.9%) | 10 (8.7%) | 2.40 | 1.16 – 4.97 | 0.009 |
| Left orbitofrontal cortex | 25 (21.7%) | 8 (7%) | 3.13 | 1.47 – 6.64 | 0.001 |
| Right lateral temporal cortex | 39 (33.9) | 25 (21.7%) | 1.56 | 1.01 – 2.40 | 0.039 |
| Left lateral temporal cortex | 49 (42.6%) | 21 (18.3%) | 2.33 | 1.50 – 3.63 | <0.001* |
| Right parietal cortex | 45 (39.1%) | 18 (15.7%) | 2.50 | 1.54 – 4.05 | <0.001* |
| Left parietal cortex | 44 (38.3%) | 16 (13.9%) | 2.75 | 1.65 – 4.58 | <0.001* |
| Right occipital cortex | 46 (40.0%) | 11 (9.6%) | 4.18 | 2.28 – 7.66 | <0.001* |
| Left occipital cortex | 42 (36.5%) | 12 (10.4%) | 3.50 | 1.95 – 6.30 | <0.001* |
| ABNORMALITIES IN OTHER SUBCORTICAL STRUCTURES | |||||
| Right thalamus | 6 (5.0%) | 0 (0%) | ∞ | Not estimable | 0.013 |
| Left thalamus | 7 (6.1%) | 2 (1.7%) | 3.50 | 0.74 – 16.49 | 0.089 |
| Right striatum | 7 (6.1%) | 1 (0.9%) | 7.00 | 0.88 – 55.99 | 0.031 |
| Left striatum | 8 (7.0%) | 1 (0.9%) | 8.00 | 1.02 – 62.94 | 0.017 |
| Brainstem | 8 (7.0%) | 1 (0.9%) | 8.00 | 1.02 – 62.94 | 0.017 |
| Cerebellum | 10 (8.7%) | 1 (0.9%) | 10.00 | 1.30 – 76.86 | 0.005 |
| MENINGEAL ABNORMALITIES | |||||
| Meningeal enhancement | 32 (27.8%) | 12 (10.4%) | 2.67 | 1.45 – 4.91 | 0.001 |
| Pachymeningeal enhancement | 30 (26.1%) | 12 (10.4%) | 2.50 | 1.35 – 4.64 | 0.002 |
| Leptomeningeal enhancement | 5 (4.3%) | 0 (0%) | ∞ | Not estimable | 0.024 |
| VARIABLE | GROUP A) ANTI-NMDAR ENCEPHALITIS GROUP, N=115 | GROUP B) AUTOIMMUNE ENCEPHALITIS WITHOUT NMDAR ANTIBODIES, N= 40 | GROUP C) PRIMARY PSYCHOTIC DISORDERS, N=75 | P |
| LIMBIC ABNORMALITIES | ||||
| Medial temporal lobe | 65 (56.5%) | 19 (47%) | 11 (14.7%) | A vs B, p= 0.324 A vs C, p < 0.001 |
| Left amygdala | 44 (38.3%) | 12 (30%) | 8 (10.7%) | A vs B p= 0.349 A vs C p < 0.001 |
| Right hippocampus | 51 (44.3%) | 16 (40.0%) | 10 (13.3%) | A vs B, p= 0.633 A vs C, p < 0.001 |
| Left hippocampus | 53 (46.1%) | 17 (42.5%) | 9 (12.0%) | A vs B p= 0.695 A vs C p < 0.001 |
| PARALIMBIC ABNORMALITIES | ||||
| Left insular cortex | 46 (40.0%) | 10 (25%) | 8 (10.7%) | A vs B p= 0.089 A vs C p < 0.001 |
| Right anterior cingulate cortex | 51 (44.3%) | 11 (27.5%) | 8 (10.7%) | A vs B, p= 0.061 A vs C, p < 0.001 |
| Left anterior cingulate cortex | 49 (42.6%) | 11 (27.5%) | 9 (12.0%) | A vs B p= 0.091 A vs C p < 0.001 |
| NEOCORTICAL ABNORMALITIES | ||||
| Right dorsolateral prefrontal cortex | 44 (38.3%) | 9 (22.5%) | 11 (14.7%) | A vs B p= 0.070 A vs C p < 0.001 |
| Left lateral temporal cortex | 49 (42.6%) | 12 (30.0%) | 9 (12.0%) | A vs B p= 0.160 A vs C p < 0.001 |
| Right parietal cortex | 45 (39.1%) | 11 (27.5%) | 7 (9.3%) | A vs B p= 0.187 A vs C p < 0.001 |
| Left parietal cortex | 44 (38.3%) | 8 (20.0%) | 8 (10.7%) | A vs B p= 0.035 A vs C p < 0.001 |
| Right occipital cortex | 46 (40.0%) | 7 (17.5%) | 4 (5.3%) | A vs B p= 0.010 A vs C p < 0.001 |
| Left occipital cortex | 42 (36.5%) | 8 (20.0%) | 4 (5.3%) | A vs B p= 0.054 A vs C p < 0.001 |
| MENINGEAL ENHACENMENT | ||||
| Pachymeningeal enhancement | 30 (26.1%) | 11 (27.5%) | 1 (1.3%) | A vs B p= 0.861 A vs C p <0.001 |
Disclaimer/Publisher’s Note: The statements, opinions and data contained in all publications are solely those of the individual author(s) and contributor(s) and not of MDPI and/or the editor(s). MDPI and/or the editor(s) disclaim responsibility for any injury to people or property resulting from any ideas, methods, instructions or products referred to in the content. |
© 2026 by the authors. Licensee MDPI, Basel, Switzerland. This article is an open access article distributed under the terms and conditions of the Creative Commons Attribution (CC BY) license.
