Submitted:
27 December 2025
Posted:
29 December 2025
You are already at the latest version
Abstract
Keywords:
Introduction
Materials and Methods
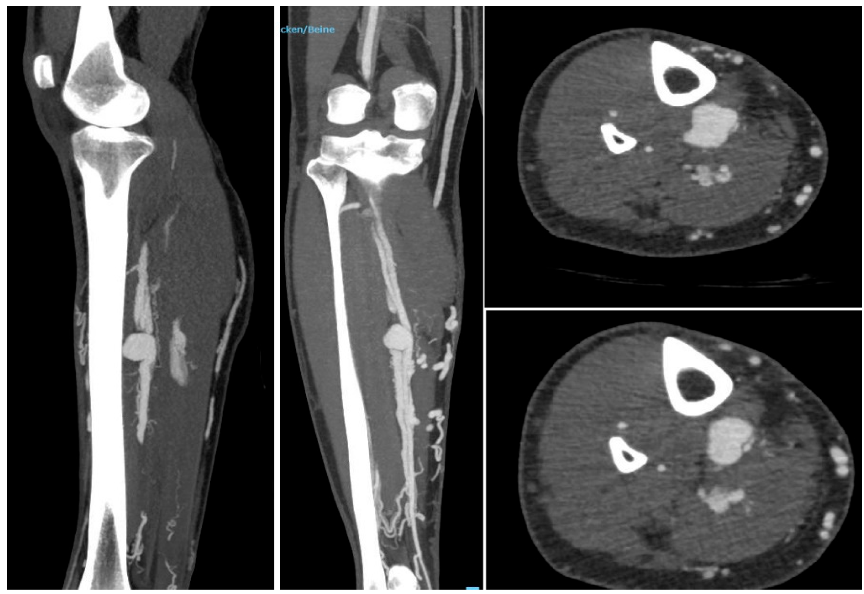
Case Report




Systematic Review
Results




Discussion
Conclusions
Funding
Authors’ Contributions
Ethics Statement
Data Availability Statement
Conflict of Interests
References
- Sadat U. et al. Peroneal artery pseudoaneurysm- a case report and literature review. BMC surgery 2007;7:4.
- Griffith JF, Cheng JC, Lung TK, Chan M (1998) Pseudoaneurysm after high tibial osteotomy and limb lengthening. Clin Orthop Relat Res 354:175–179.
- Han KJ, Won YY, Khang SY (2004) Pseudoaneurysm after tibial nailing. Clin Orthop Relat Res 418:209–212.
- Oehlert WH. A complication of the Fogarty arterial embolectomy catheter. Am Heart J 1972; 84 (4): 484 – 486.
- Chrencik, M. T. et al. Infrapopliteal Arterial Pseudoaneurysm Development Secondary to Blunt Trauma: Case Series and Literature Review Vasc endovascular surg 2020 vol. 54 (4) 367-374.
- Brunoro M. et al. Endovascular Treatment of an Anterior Tibial Artery Pseudoaneurysm Secondary to Penetrating Trauma in a Young Patient: Case Report and Literature Review 2019 Ann Vasc Surg Volume 60, 479.e5-479.e9.
- Maga P. et al. Unusual presentation of polyarteritis nodosa with unilateral pseudoaneurysm of the posterior tibial artery. Pol Arch Med Wewn. 2015; 125 (4): 301-302.
- Hagspiel, K. D. Metachronous bilateral posterior tibial artery aneurysms in Ehlers-Danlos syndrome type IV. 2011 Cardiovasc Intervent Radiol vol. 34 (2) 413-8.
- Rico, J. V. et al. Urgent endovascular treatment of a ruptured tibioperoneal pseudoaneurysm in Behçet's disease. 2011 Ann Vasc Surg vol. 25 (3) 385.e11-4.
- Ferrero, E. Et al. Endovascular treatment of a symptomatic mycotic aneurysm of the peroneal artery 2011 Ann Vasc Surg vol.25 (7) 982.e11-4.
- Domenick N, et al. Endovascular repair of multiple infrageniculate aneurysms in a patient with vascular type Ehlers-Danlos syndrome. J Vasc Surg. 2011 Sep;54(3):848-50. Epub 2011 Mar 31. [CrossRef] [PubMed]
- Singh D, Ferero A. Traumatic pseudoaneurysm of the posterior tibial artery treated by endovascular coil embolization. Foot Ankle Spec. 2013 Feb;6(1):54-8. Epub 2012 Oct 16. [CrossRef] [PubMed]
- Kars HZ, Topaktas S, Dogan K. Aneurysmal peroneal nerve compression. Neurosurgery. 1992;30(6):930-931.
- Madison MK, Wang SK, King JR, Motaganahalli RL, Sawchuk AP. Urgent Endovascular Repair of an Anterior Tibial Artery Aneurysm: Case Report and Literature Review. Vascular and Endovascular Surgery. 2020;54(8):760-764. [CrossRef]
- Nwilati AE, AlQedra D, Shafiei M, AlSaleh FM. True anterior tibial artery aneurysm with rupture and compartment syndrome. J Vasc Surg. 2019;70(5):e198-e199.
- Ono S, Shimogawara T, Yamazoe S, Matsui J. Successful endovascular isolation of a huge true anterior tibial artery aneurysm by the bi-directional approach in a young patient. Catheter Cardiovasc Interv. 2020;95(6):E175-E178.
- Musio D, Perfumo MC, Gazzola V, Pane B, Spinella G, Palombo D. A true giant aneurysm of the anterior tibial artery. Ann Vasc Surg. 2015;29(6):1319 e1315-e1319.
- Gratl A. et al., Treatment options of crural pseudoaneurysms Vasa 2014; 43: 209 – 215.
- Yamamoto Y. Et al. Endovascular coil embolization of a large tibioperoneal trunk pseudoaneurysm. Journal of Vascular Surgery Cases and Innovative Techniques 2020; Volume 6 number 3.
- Micari, A. et al. Tibioperoneal trunk pseudoaneurysm coil embolization 2010 Catheter Cardiovasc Interv vol.75 (2) 276-8.
- Miura, T. et al. Iatrogenic peroneal artery pseudoaneurysm treated by transluminal coil embolization 2013 Cardiovasc Interv Ther vol. 28 (1) 128-30.
- Okugi, S. et al. Endovascular Embolisation for Proximal Anterior Tibial Artery Aneurysm. 2021 Eur J Vasc Endovasc Surg vol. 61 (6) 979.
- de Troia A, Biasi L, Iazzolino L, Azzarone M, Tecchio T, Rossi C, Salcuni P. Endovascular stent grafting of a posterior tibial artery pseudoaneurysm secondary to penetrating trauma: case report and review of the literature. Ann Vasc Surg. 2014 Oct;28(7):1789.e13-7. Epub 2014 Feb 12. [CrossRef] [PubMed]
- Golledge, J et al. Use of a covered stent to treat two large false aneurysms of the anterior tibial artery 2008 J Vasc Surg vol. 47 (5) 1090.
- Joglar F, Kabutey NK, Maree A, Farber A. The role of stent grafts in the management of traumatic tibial artery pseudoaneurysms: case report and review of the literature. Vasc Endovascular Surg 2010; 44 (5): 407 – 409.
- De Roo, R. A. Et al. Exclusion of a crural pseudoaneurysm with a PTFE-covered stent-graft. 2004 J Endovasc Ther vol. 11 (3) 344-7.
- Page MJ, et al. The PRISMA 2020 statement: an updated guideline for reporting systematic reviews. BMJ 2021;372:n71. [CrossRef]
- Parry, D. J. et al. Arterial haemorrhage from a chronic venous ulcer--pseudoaneurysm formation of the posterior tibial artery 2000 Eur J Vasc Endovasc Surg vol. 20 (5) 489-491.
- Hebrang, A. et al. Successful closure of large pseudoaneurysm of peroneal artery using transluminal temporary occlusion of the neck with the catheter. 2001 Eur Radiol 11 (7) 1206-9.
- Rosa P, et al. Starnes B. Endovascular management of a peroneal artery injury due to a military fragment wound. Ann Vasc Surg. 2003 Nov;17(6):678-81. [CrossRef] [PubMed]
- Spirito R, et al. Endovascular treatment of a post-traumatic tibial pseudoaneurysm and arteriovenous fistula: case report and review of the literature. J Vasc Surg. 2007 May;45(5):1076-9. [CrossRef] [PubMed]
- van Hensbroek, P. B. et al. Endovascular treatment of anterior tibial artery pseudoaneurysm following locking compression plating of the tibia 2007 J Orthop Trauma vol. 21 (4) 279-82.
- Barbano B. et al. True posterior tibial artery aneurysm in a young patient: surgical or endovascular treatment? BMJ Case Rep 2009.
- Verma, R. et al. Endovascular coil embolization of pseudoaneurysm of a branch of the anterior tibial artery following total knee replacement 2009 vol. 22 (3) 269-71.
- Goltz, J. P. et al. Emergency and elective implantation of covered stent systems in iatrogenic arterial injuries. 2011 Rofo vol. 183 (7) 618-30.
- Jacobs, E et al. Pseudoaneurysm of the anterior tibial artery after ankle arthroscopy 2011 J Foot Ankle Surg 50 (3) 361-3.
- Chatterjee,S. et al. Coil migration through skin after posterior tibial artery pseudoaneurysm trapping. 2011 Cardiovasc Intervent Radiol vol. 34 suppl. 2 S315-7.
- Ferrero, E. et al. Symptomatic aneurysm of a perforating peroneal artery after a blunt trauma 2012 Ann Vasc Surg vol.26 (2) 277.e1-3.
- De Santis, F. et al. Endovascular exclusion coupled with operative anterior leg compartment decompression in a case of postthromboembolectomy tibialis anterior false aneurysm. 2013 Ann Vasc Surg vol. 27 (7) 973.e1-8.
- Gopal, A. et al. Recalcitrant peroneal artery pseudoaneurysm in a patient with Hemophilia B. 2013 Cardiovasc Revasc Med vol. 14 (6) 359-62.
- Sala F, Salerno CF, Albisetti W. Pseudoaneurysm of the peroneal artery: an unusual complication of open docking site procedure in bone transport with Taylor Spatial Frame. Musculoskelet Surg. 2013 Aug;97(2):183-6. Epub 2011 Aug 5. [CrossRef] [PubMed]
- Kaczynski J, Beveridge E, Holdsworth RJ. Iatrogenic pseudoaneurysm of the peroneal artery. BMJ Case Rep. 2016 Jul 18;2016:bcr2016215836. [CrossRef] [PubMed] [PubMed Central]
- Zhao, R. et al. Pseudoaneurysm of a high-division anterior tibial artery following primary TKA 2017 Orthopade 46 (3) 275-279.
- Yanaka, K. et al. Endovascular Therapy with a Covered Stent Graft for Pseudoaneurysm of the Peroneal Artery Complicating High Tibial Osteotomy-A Case Report 2019 Ann Vasc Surg vol. 58 380.e13-380.e16.
- Cvetic V, Lukic B. Endovascular Management of Tibioperoneal Trunk Pseudoaneurysm with Arteriovenous Fistula. Eur J Vasc Endovasc Surg. 2020 Sep;60(3):429. Epub 2020 Jul 25. [CrossRef] [PubMed]
- Cristiani-Winer, M. Distal peroneal artery pseudoaneurysm. 2021 Acta Ortop Mex vol.35 (3) 290-293.
- Scherer J, Schäfer FP, Kobe AR, Messmer F, Pape HC, Rauer T. Ordinary injury, big surprise - Traumatic false aneurysm and arteriovenous fistula of the posterior tibial artery after civilian trauma: A case report. Trauma Case Rep. 2021 Feb 18;32:100432. [CrossRef] [PubMed] [PubMed Central]
- Plotnik AN, Srinivasa RN, Szeder V, Moriarty J. Preservation of Posterior Tibial Artery Flow Following Dissection With Associated Aneurysmal Degeneration in Ehlers-Danlos Syndrome Type IV Treated With Flow-Diverting Stent. Ann Vasc Surg. 2021 May;73:521-524. Epub 2021 Jan 24. [CrossRef] [PubMed]
- Papageorgopoulou C, Nikolakopoulos K, Ntouvas I, Papadoulas S, Kritikos N. A rare combination of tibial artery aneurysm and traumatic arteriovenous fistula: a case report. Pan Afr Med J. 2022 Jun 15;42:122. [CrossRef] [PubMed] [PubMed Central]
- Park JJ, Perry LD, Tamburrini D, Kumar S. Successful Coil Embolization of a Large Anterior Tibial Artery Pseudoaneurysm After Open Reduction Internal Fixation of a Bi-condylar Tibial Plateau Fracture. Am Surg. 2023 Sep;89(9):3886-3888. Epub 2023 May 9. [CrossRef] [PubMed]
- Green RJ, Sellars J, Vennam S, Bhutia S. Off-label use of PK Papyrus coronary covered stent to treat traumatic pseudoaneurysm of posterior tibial artery. ANZ J Surg. 2023 May;93(5):1398-1399. Epub 2023 Feb 2. [CrossRef] [PubMed]
- Prasad K, Elefteriades JA. The Management of Peripheral Vascular Aneurysms: Present and Future Options. Int J Angiol. 2019 Mar;28(1):3-4. Epub 2019 Feb 22. [CrossRef] [PubMed] [PubMed Central]
- Spronk S, den Hoed PT, Veen HF. Case report: blue toe syndrome caused by a true crural aneurysm.Journal of Vascular Nursing. 2003;21(2):70-71. [CrossRef]
- Zhao, B., Zhang, J., Ma, J., Huang, M., Li, J. and Ma, X.. Comparison of three different treatment methods for traumatic and Iatrogenic peripheral artery pseudoaneurysms. Orthop Surg, 2022;14: 1404-1412. [CrossRef]
| Authors | Year | Age | Sex | Etiology | Involved artery | |
|---|---|---|---|---|---|---|
| 1 | Parry, D. J. et al. | 2000 | 44 | M | Idiopathic | PTA |
| 2 | Hebrang, A. et al. | 2001 | 51 | M | Iatrogenic | A. fib. |
| 3 | Rosa, P. et al. | 2003 | 19 | M | Post-traumatic | A. fib. |
| 4 | De Roo, R. A. et al. | 2004 | 58 | M | Iatrogenic | ATA |
| 5 | Sadat, U. et al. | 2007 | 68 | M | Iatrogenic | A. fib. |
| 6 | Spirito,R. et al. | 2007 | 74 | M | Post-traumatic | ATA |
| 7 | Van Hensbroek, P. B. et al. | 2007 | 55 | M | Iatrogenic | ATA |
| 8 | Golledge, J et al. | 2008 | 42 | M | Post-traumatic | ATA |
| 9 | Barbano B. et al. | 2009 | 28 | M | Idiopathic | PTA |
| 10 | Verma, R. et al. | 2009 | 79 | M | Iatrogenic | ATA |
| 11 | Joglar, F. et al. | 2010 | 39 | M | Post-traumatic | PTA |
| 12 | Micari, A. et al. | 2010 | 68 | M | Idiopathic | TPT |
| 13 | Domenick, N. et al. | 2011 | 33 | F | Ehler-Danlos sy. | PTA |
| 14 | Ferrero, E. et al. | 2011 | 69 | M | Mycotic | A. fib. |
| 15 | Goltz, J. P. et al. | 2011 | 87 | M | Iatrogenic | A. fib. |
| 16 | Hagspiel, K. D. et al. | 2011 | 24 | M | Ehler-Danlos sy. | PTA |
| 17 | Jacobs, E et al. | 2011 | 63 | F | Iatrogenic | ATA |
| 18 | Chatterjee,S. et al. | 2011 | 18 | M | Post-traumatic | PTA |
| 19 | Rico, J. V. et al. | 2011 | 41 | M | Behçet's disease | TPT |
| 20 | Ferrero, E. et al. | 2012 | 48 | M | Post-traumatic | A. fib. |
| 21 | De Santis, F. et al. | 2013 | 68 | M | Iatrogenic | ATA |
| 22 | Gopal, A. et al. | 2013 | 40 | M | Post-traumatic | A. fib. |
| 23 | Miura, T. et al. | 2013 | 82 | M | Iatrogenic | A. fib. |
| 24 | Sala, F. et al. | 2013 | 19 | M | Iatrogenic | A. fib. |
| 25 | Singh, D. et al. | 2013 | 23 | M | Post-traumatic | PTA |
| 26 | de Troia, A. et al. | 2014 | 34 | M | Post-traumatic | PTA |
| 27 | Gratl, A. et al. | 2014 | Range (15–84) | Iatrogenic | 6xA.fib, 3xPTA, 2xTPT, 2xATA | |
| 28 | Maga, P. et al. | 2015 | 32 | M | PAN | PTA |
| 29 | Kaczynski, J. et al. | 2016 | 78 | M | Iatrogenic | A. fib. |
| 30 | Zhao, R. et al. | 2017 | 72 | F | Iatrogenic | ATA |
| 31 | Brunoro M. et al. | 2019 | 18 | F | Post-traumatic | ATA |
| 32 | Yanaka, K. et al. | 2019 | 69 | F | Iatrogenic | A. fib. |
| 33 | Chrencik, M. T. et al. | 2020 | 60 | M | Post-traumatic | PTA |
| 34 | Cvetic, V. et al. | 2020 | 49 | M | Post-traumatic | TPT |
| 35 | Madison, M. K. et al. | 2020 | 26 | M | Ehler-Danlos sy. | ATA |
| 36 | Ono, S. et al. | 2020 | 33 | F | Idiopathic | ATA |
| 37 | Yamamoto, Y. et al. | 2020 | 70 | M | Iatrogenic | TPT |
| 38 | Cristiani-Winer, M. | 2021 | 60 | M | Iatrogenic | A. fib. |
| 39 | Okugi, S. et al. | 2021 | 72 | F | Idiopathic | ATA |
| 40 | Scherer,J. et al. | 2021 | 39 | F | Post-traumatic | PTA |
| 41 | Plotnik, A et al. | 2021 | 38 | M | Ehler-Danlos sy. | PTA |
| 42 | Papageorgopoulou, C et al. | 2022 | 60 | M | Post-traumatic | ATA |
| 43 | Park, J et al. | 2023 | NM | NM | Iatrogenic | ATA |
| 44 | Green, RJ et al. | 2023 | 18 | F | Post-traumatic | PTA |
| Authors | Stent Nr. / Size (mm) | Stent Type | Stent name, manufacturer | Follow-up (months) | Patent Stents | |
|---|---|---|---|---|---|---|
| 1 | De Roo, R. A. et al. | 1 / 4 x 31 | SESG | Symbiot, Boston Scientific | 12 | 1 |
| 2 | Spirito,R. et al. | 1 / 4 x 26 | BESG | Graftmaster, Abbott | 12 | 1 |
| 3 | Van Hensbroek, P. B. et al. | 1 / 3 x 20 | SESG | Symbiot, Boston Scientific | 6 | 1 |
| 4 | Golledge, J et al. | 1 /3 x 19, 1 / 3,5 x 19 |
BESG | Graftmaster, Abbott | 1,5 | 1 |
| 5 | Joglar, F. et al. | 1 / 3 x 19 | BESG | Graftmaster, Abbott | 8 | 1 |
| 6 | Domenick, N. et al. | 1 / 5 x 10 | SESG | Viabahn, WL. Gore | 12 | 1 |
| 7 | Ferrero, E. et al. | 1 / 3 x 26 | BESG | Graftmaster, Abbott | 60 | 1 |
| 8 | Goltz, J. P. et al. | 1 / 3 x 19 | BESG | Graftmaster, Abbott | 1 | 1 |
| 9 | De Santis, F. et al. | 1 / 4 x 19 | BESG | Direct-Stent, In-Situ Techn. | 10 | 1 |
| 10 | de Troia, A. et al. | 1 / 3 x 19 | BESG | Direct-Stent, In-Situ Techn. | 18 | 1 |
| 11 | Gratl, A. et al. | NM | BESG | Graftmaster, Abbott | 7 | 1 |
| 12 | Maga, P. et al. | 1 / 3.5 x 2.8 | BESG | AnuGraft, IGTI | 6 | 1 |
| 13 | Brunoro M. et al. | 1 / 3.5 x 16, 1 / 4 x 24 | BESG | B-Graft, Bentley | 13 | 1 |
| 14 | Yanaka, K. et al. | 1 / 2.8 x 16 | BESG | Graftmaster, Abbott | 4 | 1 |
| 15 | Yamamoto, Y. et al. | 1 / 6 x 40 | SESB | Innova, Boston scientific | 1 | 0 |
| 16 | Scherer,J. et al. | NM | SG | NM | 1 | 1 |
| 17 | Plotnik, A et al. | 1 / 3.5 x 30 | PED | Pipeline Embolization Device (PED), Medtronic | 2 | 1 |
| 18 | Papageorgopoulou,C et al. | NM | SG | NM | 6 | 1 |
| 19 | Green, RJ et al. | 1 / 2.5 x 20 | BESG | Coronary Covered Stent PK Papayrus | 1W | 1 |
Disclaimer/Publisher’s Note: The statements, opinions and data contained in all publications are solely those of the individual author(s) and contributor(s) and not of MDPI and/or the editor(s). MDPI and/or the editor(s) disclaim responsibility for any injury to people or property resulting from any ideas, methods, instructions or products referred to in the content. |
© 2025 by the authors. Licensee MDPI, Basel, Switzerland. This article is an open access article distributed under the terms and conditions of the Creative Commons Attribution (CC BY) license (http://creativecommons.org/licenses/by/4.0/).
