Submitted:
27 July 2025
Posted:
28 July 2025
You are already at the latest version
Abstract
Keywords:
1. Introduction


2. Materials and Methods
2.1. Patients (Table 2)
2.2. LRT
2.3. Definition of Volumetric Response
2.4. Follow up
2.5. PROMS (Patient Reported Outcome Measure)
3. Results
3.1. Subjective Benefit/PROMS
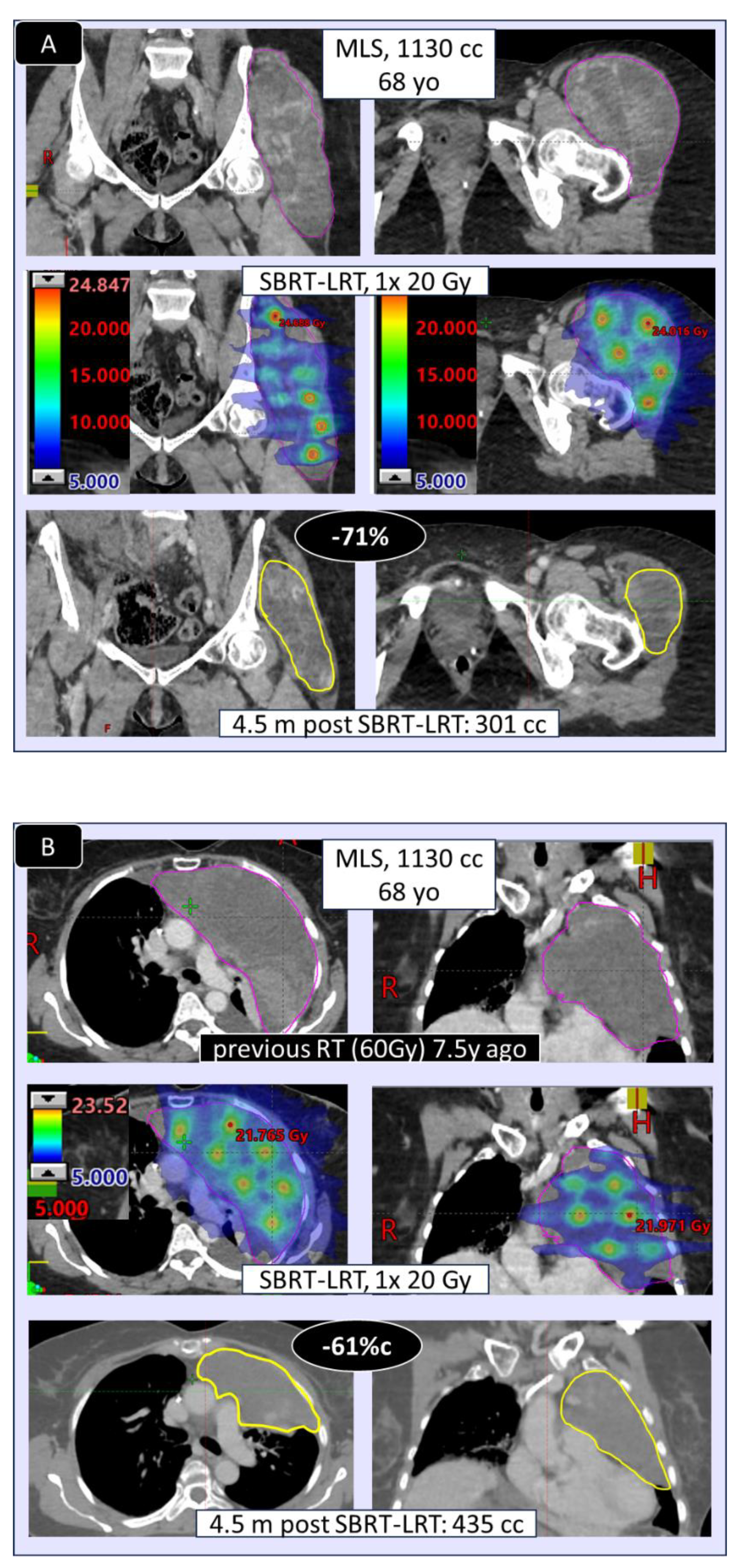
3.2. Radiologic/Volumetric Response, Table 5, Figure 2
| PARAMETER | CARCINOMA | SARCOMA | MELANOMA | ALL analyzed LESIONS |
|---|---|---|---|---|
| FU imaging available | 23/34 (68 %) | 28/31 (90 %) | 12/16 (75 %) | 63/81 (78 %) |
| Volumetric response to LRT | ||||
| •PD (>10% of initial cc) | 3/34 (9 %) | 3/31 (10 %) | 1/16 (6 %) | 7/81 (9 %) |
| •SD (+/-10% of inital cc) | 5/23 (22 %) | 5/28 (18 %) | 2/12 (17 %) | 12/63 (19 %) |
| •Shrinkage (<10% of initial cc) | 17/23 (74 %) | 20/28 (71 %) | 10/12 (83 %) | 47/63 (75 %) |




3.3. Toxicity
4. Discussion
5. Conclusions
Author Contributions
Funding
Conflicts of Interest
Abbreviations
| SFRT | Spatially Fractionated Radiation Therapy |
| LRT | Lattice Radiation Therapy |
| SBRT-LRT | Stereotactic Body Radiation Therapy-LRT |
| SIB | Simultaneously Integrated Boost |
| SIB-LRT | Simultaneously Integrated Boost-LRT |
| F | Fraction (of radiation therapy) |
| PD | Progressive Disease |
| CR | Complete Response |
| SD | Stable Disease |
| OS | Overall survival |
| MLS | myxoid liposarcoma |
| UPS | undifferentiated pleomorphic sarcoma |
| MPNST | malignant peripheral nerve sheet tumor) |
References
- Prezado Y, Grams M, Jouglar E, Martínez-Rovira I, Ortiz R, Joao Seco J, et al. Spatially fractionated radiation therapy: a critical review on current status of clinical and preclinical studies and knowledge gaps. Phys. Med. Biol. 2024;69;10TR02. [CrossRef]
- Studer G, Jeller D, Streller T, Huebner D, and Glanzmann G. Time-Related Outcome Following Palliative Spatially Fractionated Stereotactic Radiation Therapy (Lattice) of Large Tumors−A Case Series. ARO. 2024;9;101566. [CrossRef]
- Kinj R, Casutt A, Nguyen-Ngoc T, Mampuya A, Schiappacasse L, Bourhis J, et al. Salvage LATTICE radiotherapy for a growing tumour despite conventional radio chemo-therapy treatment of lung cancer. Clin Transl Radiat Oncol. 2022;39:100557. [CrossRef]
- Ferini G, Zagardo V, Viola A, Patanè D, Parisi S, Cuccia F, et al. The Promising Effects of Lattice Radiotherapy for Large, Fungating, or Ulcerating Breast Cancers: A Prospective Single-center Study. In Vivo. 2024;38(5):2484-2493. [CrossRef]
- Xu P, Wang S, Zhou J, Yuan K, Wang X, Li L, et al. Spatially fractionated radiotherapy (Lattice SFRT) in the palliative treatment of locally advanced bulky unresectable head and neck cancer. Clin Transl Radiat Oncol. 2024;30;48:100830. [CrossRef]
- Parisi S, Sciacca M, Critelli P, Ferrantelli G, Chillari F, Venuti V, et al. Lattice radiotherapy in inflammatory breast cancer: report of a first case treated with curative aim. Radiat Oncol J. 2024;42(2);160-165. [CrossRef]
- Amendola B, Perez NC, Wu X, Garcia-Serra A, Amendola MA. The Use of Lattice Radiotherapy (LRT) for Loco-Regionally Advanced Bulky Cervical Cancer. CUREUS, Abstract Published 03/06/2024.
- Liu TF, Liao B-C, Lin M-W, Chang Y-L, Yang W-C. Locally advanced thymoma treated with lattice radiotherapy: a case report. Ther Radiol Oncol. 2024;8:8. [CrossRef]
- Raiden B, Descamps C, Ferraris GA, Diaz Vazquez MF, Caussa L, Gilardi A, et al. Clinical Experience with Palliative Treatment of Bulky Tumors Using VMAT-Based Lattice Radiotherapy. RedJ. 2204;120;2S, ASTRO Poster 2512. [CrossRef]
- Ah-med SK, Petersen IA, Grams MP, Finley RR, Haddock MG, Owen D. Spatially Fractionated Radiation Therapy in Sarcomas: A Large Single-Institution Experience. Adv Radiat Oncol. 2023;4;9(3):101401. [CrossRef]
- Amarell K, Guo B, Cho YB, Ramalingam A, Stephans KL, et al. Spatially Fractionated Ra-diotherapy (SFRT) for Large Tumors: A Single Institutional Experience of Dosimetry and Clinical Outcomes. POSTER 2946. RadJ. 2024;120,2S;2946. [CrossRef]
- Majercakova K, Tejedor Aguilar N, Verdum JI, Vivancos Bargalló H, Vila Capel A, Soto MM, et al. Role of Spatially Fractionated Radiotherapy (LATTICE) Treatment in Inoperable Bulky Soft-Tissue Sarcomas. Cancers. 2025;17(4):624. [CrossRef]
- Iori F, Trojani V, Zamagni A, Ciammella P, Iori M, Botti A, Iotti C. Spatially Fractionated Radiation Therapy for Palliation in Patients With Large Cancers: A Retrospective Study. Adv Radiat Oncol. 2024;10(1):101665. [CrossRef]
- Snider JW, Mayr NA, Molitoris J, Chhabra AM, Mossahebi S, Griffin R, et al. The Radiosurgery Society Working Groups on GRID, LATTICE, Microbeam, and FLASH Radiotherapies: Advancements Symposium and Subsequent Progress Made. PRO. 2025; 15(3):300-307. [CrossRef]
- Li W, Piao M, Zhai L, Zhu Y, Lou F, Chen L, et al. Effectiveness and Safety of Lattice Radiotherapy in Treating Large Volume Tumors: A Systematic Review and Meta-analysis Based on Single-arm Clinical Studies. Balkan Med J 2025;42:311-20. [CrossRef]
- Jiang L, Li X, Zhang J, Li W, Dong F, Chen C, et al. Combined high-dose LATTICE radiation therapy (HDLRT) and immune checkpoint blockade for advanced bulky tumors: The concept and a case report. Front Oncol. 2021;10:548132. [CrossRef]
- Dincer N, Ugurluer G, Korkmaz L, Serkizyan A, Atalar B, Gungor G, et al. Magnetic resonance imaging-guided online adaptive lattice stereotactic body radiotherapy in voluminous liver metastasis: two case reports. Cureus.2022;14:e23980. [CrossRef]
- Duriseti S, Kavanaugh JA, Szymanski J, et al. LITE SABR M1: A phase I trial of lattice stereotactic body radiotherapy for large tumors. Radiother Oncol. 2022;167:317-32. [CrossRef]



![]() |
![]() |
| PROM assessment | N patients (n lesions) |
|---|---|
| asymptomatic before LRT | 5 (5) |
| PROM not assessable | 6 (6) |
| no change post LRT | 8 (8) |
| Progress / worse | 2 (2) |
| substantial subjective benefit | 45 (60) |
| SUMMARY | 45/55 (82%) symptomatic patients able to provide PROMs experienced fast substantial durable benefit |
| Parameter | CARCINOMA | SARCOMA | MELANOMA | ALL |
|---|---|---|---|---|
|
N lesions • metastatic • primary |
34 31 3 |
31 24 7 |
16 160 |
81 N= 71 N=10 |
| initial volume (cc) | ||||
| •mean | 702 | 922 | 763 | 780 |
| •median | 343 | 880 | 248 | 415 |
| •range | 33-3418 | 88-3704 | 66-4027 | 33-4027 |
| initial diameter (cm) | ||||
| •mean | 13 | 17 | 12 | 14 |
| •median | 11 | 16 | 10 | 12.5 |
| •range | 7-28 | 7-28 | 7-22 | 7-28 |
| PARAMETER (N total) | SBRT-LRT (A)(1 F, to vertices) | SIB-LRT (B)(4-5 F, to entire mass) | combined (A) followed by (B) |
|---|---|---|---|
| N patients (66) | 24 | 36 | 6 |
| N lesions (81) | 26 | 49 | 6 |
| FU imaging available (64) | 21/26 (81 %) | 39/49 (76 %) | 4/6 (66 %) |
| initial volume, mean/median cc (range) | 1118/543 (33-4027) | 733/435 (54-3704) | 403/489 (81-1289) |
| previous RT (25) | 12/26 (46 %) | 9/49 (18 %) | 4/6 (66 %) |
| Volumetric response to LRT | |||
| •PD (: >10% increase of initial cc) | 5/21 (24 %) | 1/39 (3 %) | 3/4 (75 %) |
| •SD (: +/-10% of inital cc) | 4/21 (19 %) | 8/39 (21 %) | 0/4 |
| •Shrinkage (: >10% decrease) | 12/21 (57 %) | 30/39 (77 %) | 1/4 (25 %) |
| •EXTENT of shrinkage, % (mean/median (range) | 53/50 % (15-100) | 55/39 % (14-100) | - |
| DOD, n=49/66 (74%) | 15/24 (63 %) | 28/36 (78 %) | 6/6 (100 %) |
| OS, mean/median (range), in mo. | 4.7/3.2 (1-23) | 8.5/5.8 (0.4-40.2) | 7.4/7.5 (3.7-11.6) |
Disclaimer/Publisher’s Note: The statements, opinions and data contained in all publications are solely those of the individual author(s) and contributor(s) and not of MDPI and/or the editor(s). MDPI and/or the editor(s) disclaim responsibility for any injury to people or property resulting from any ideas, methods, instructions or products referred to in the content. |
© 2025 by the authors. Licensee MDPI, Basel, Switzerland. This article is an open access article distributed under the terms and conditions of the Creative Commons Attribution (CC BY) license (http://creativecommons.org/licenses/by/4.0/).

