Submitted:
08 July 2025
Posted:
09 July 2025
You are already at the latest version
Abstract
Keywords:
Introduction
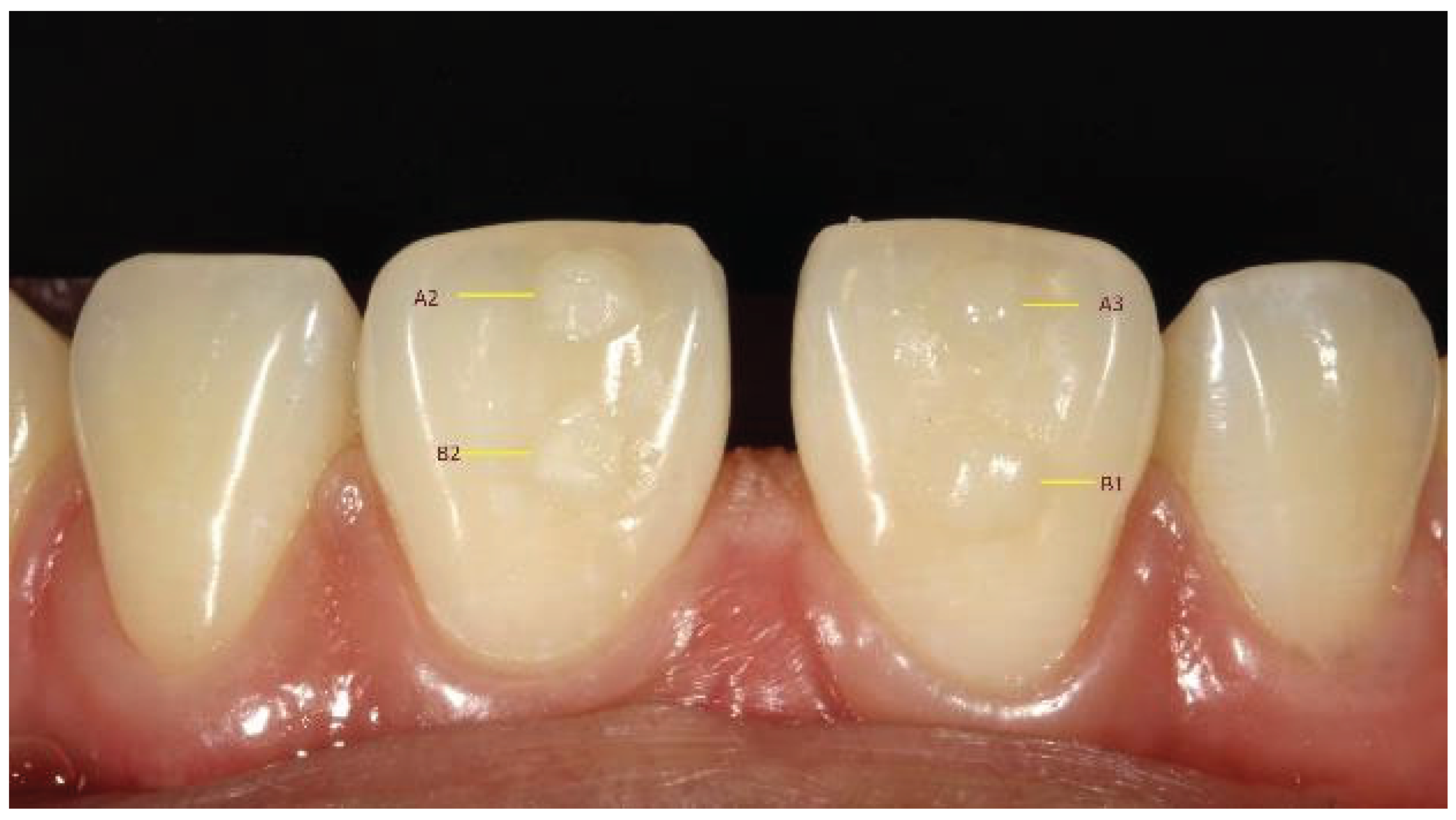
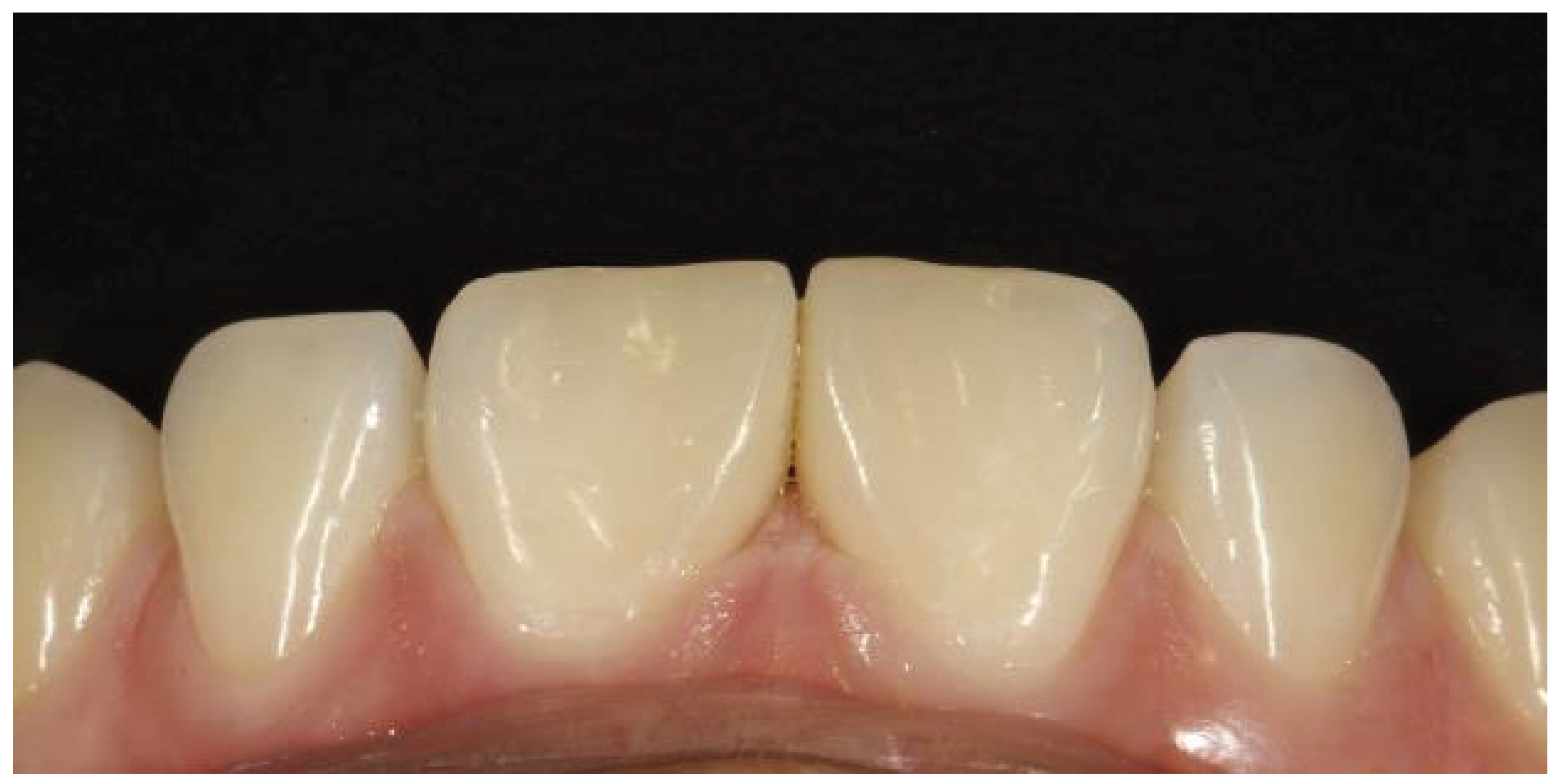
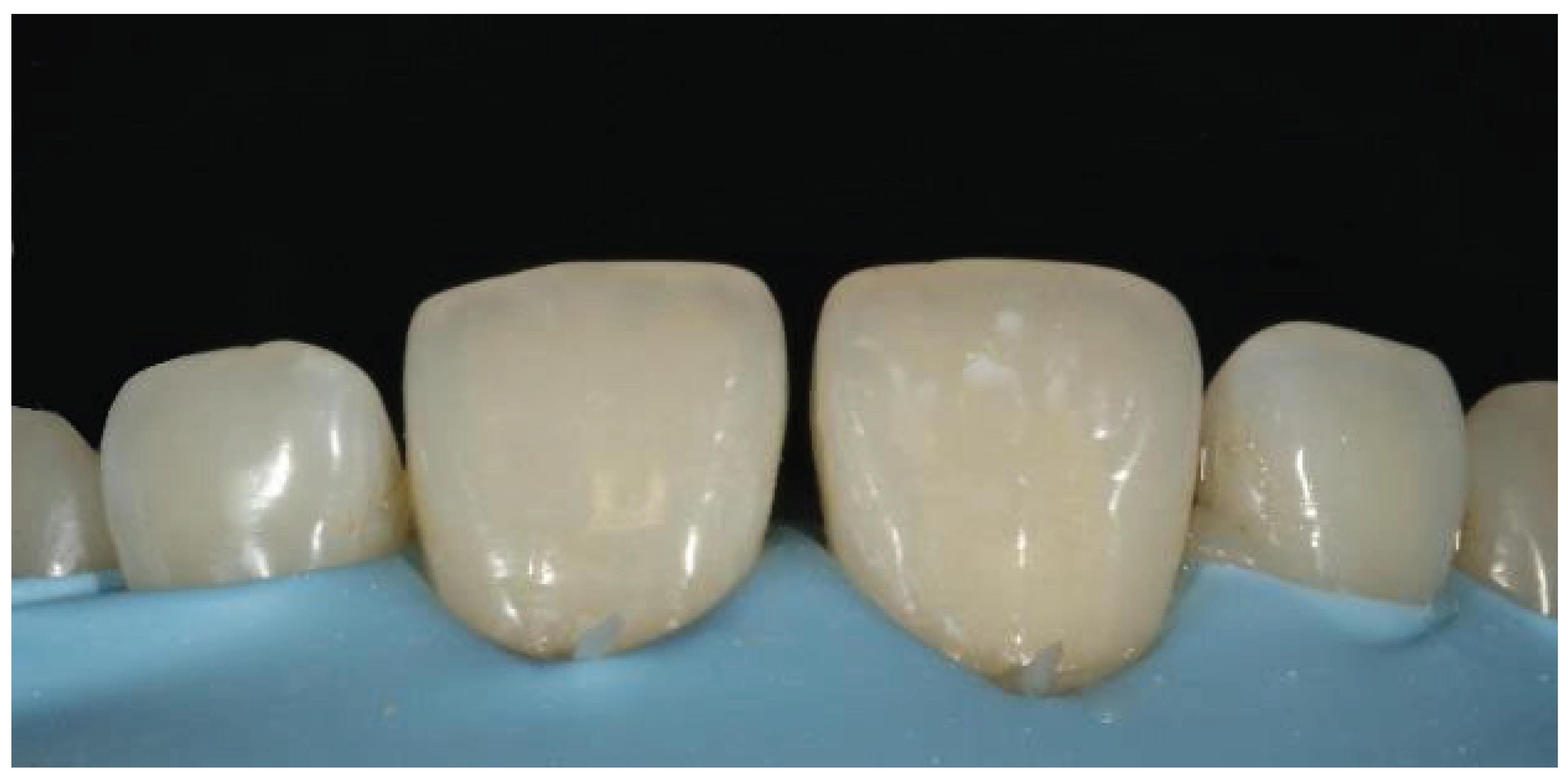
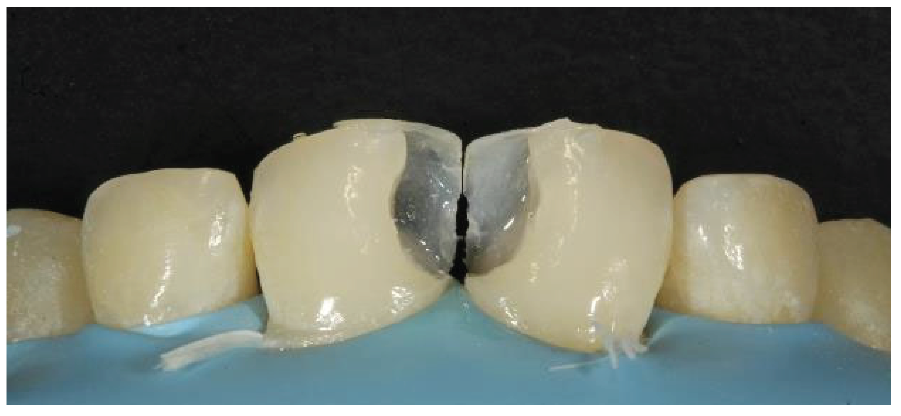
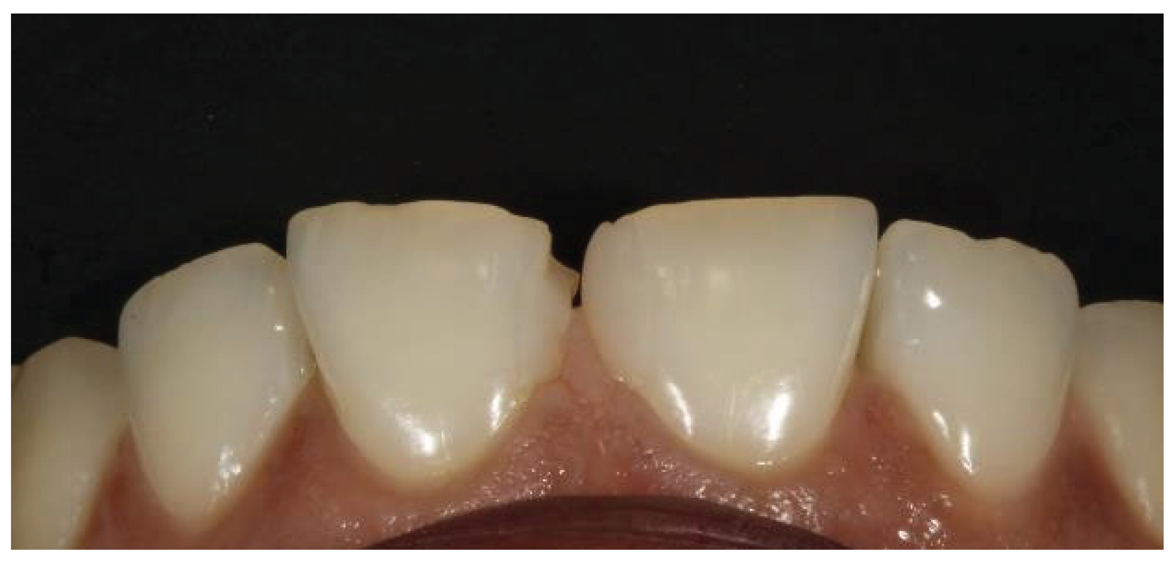
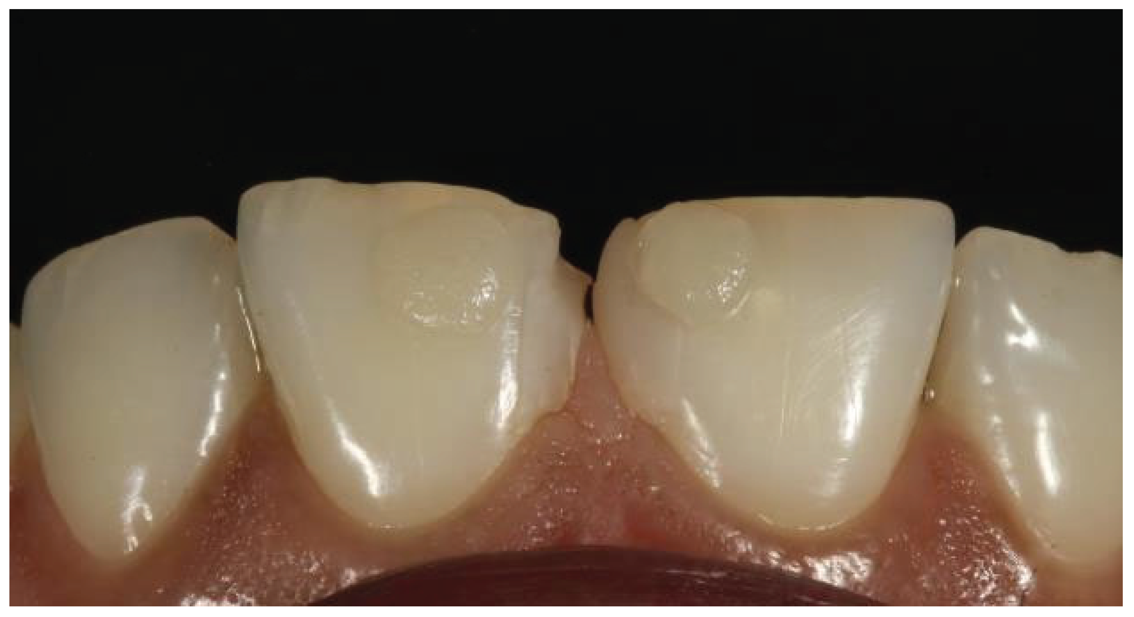
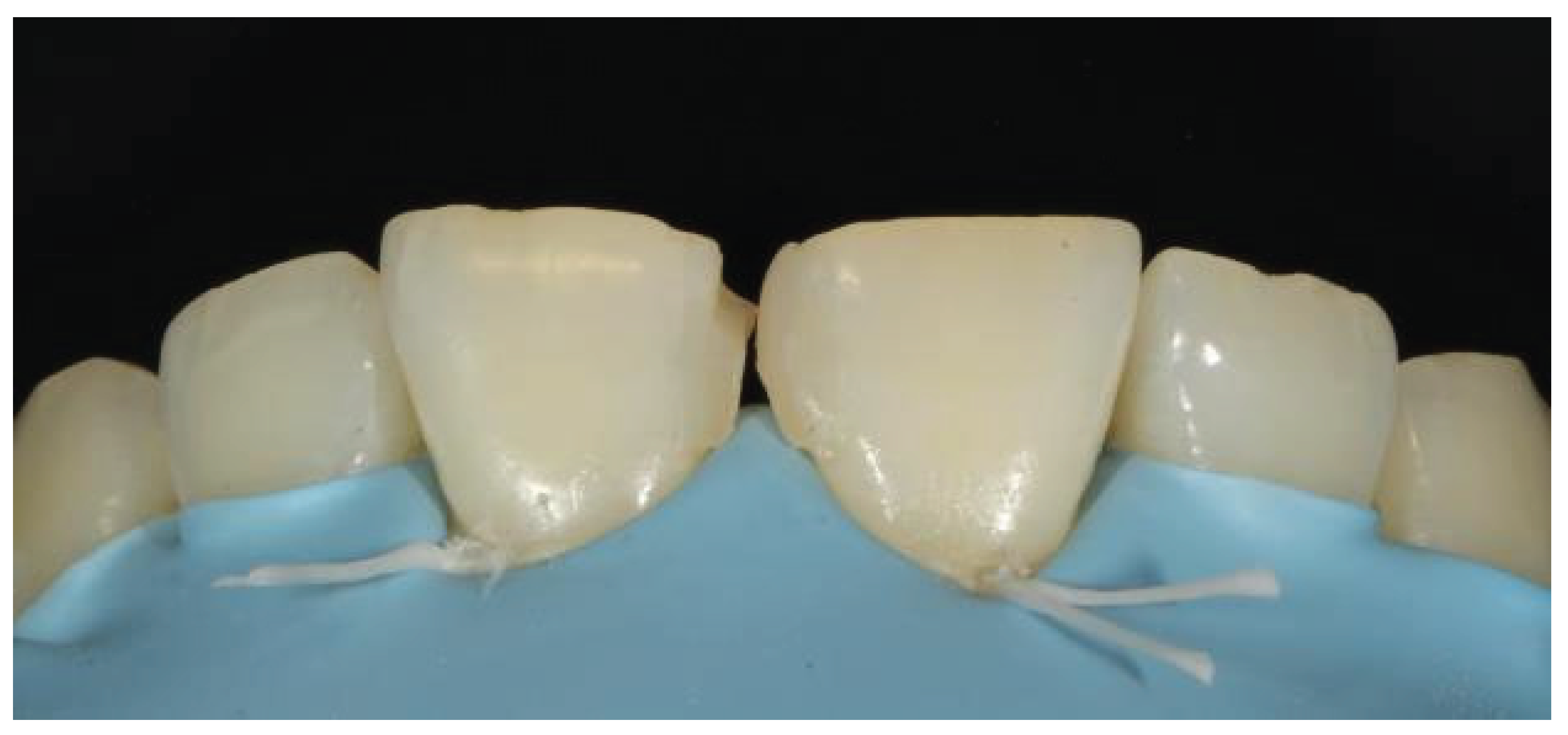
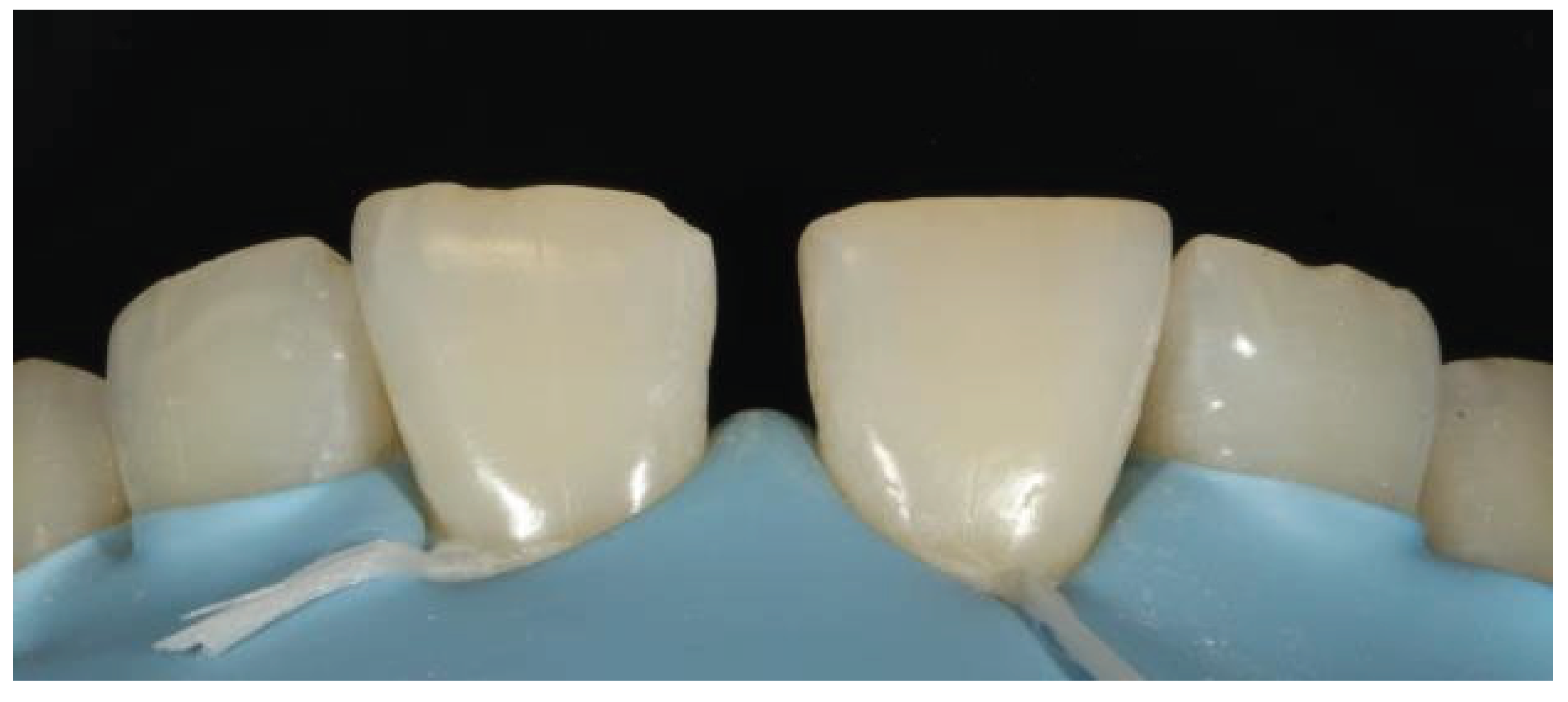
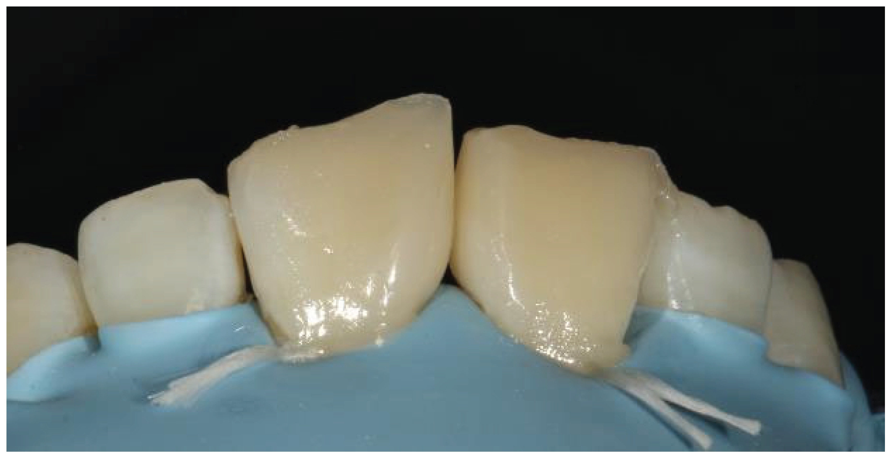
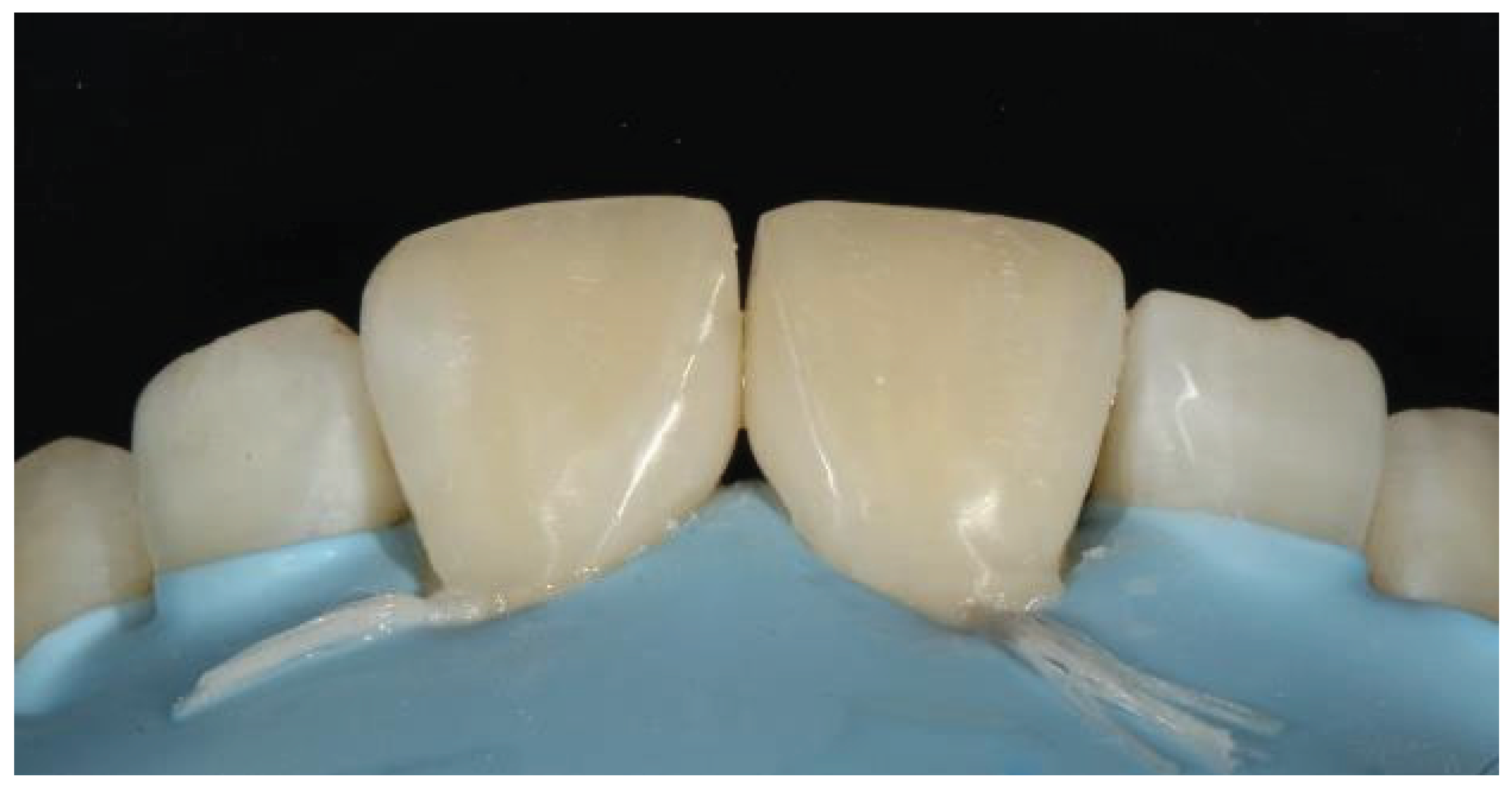
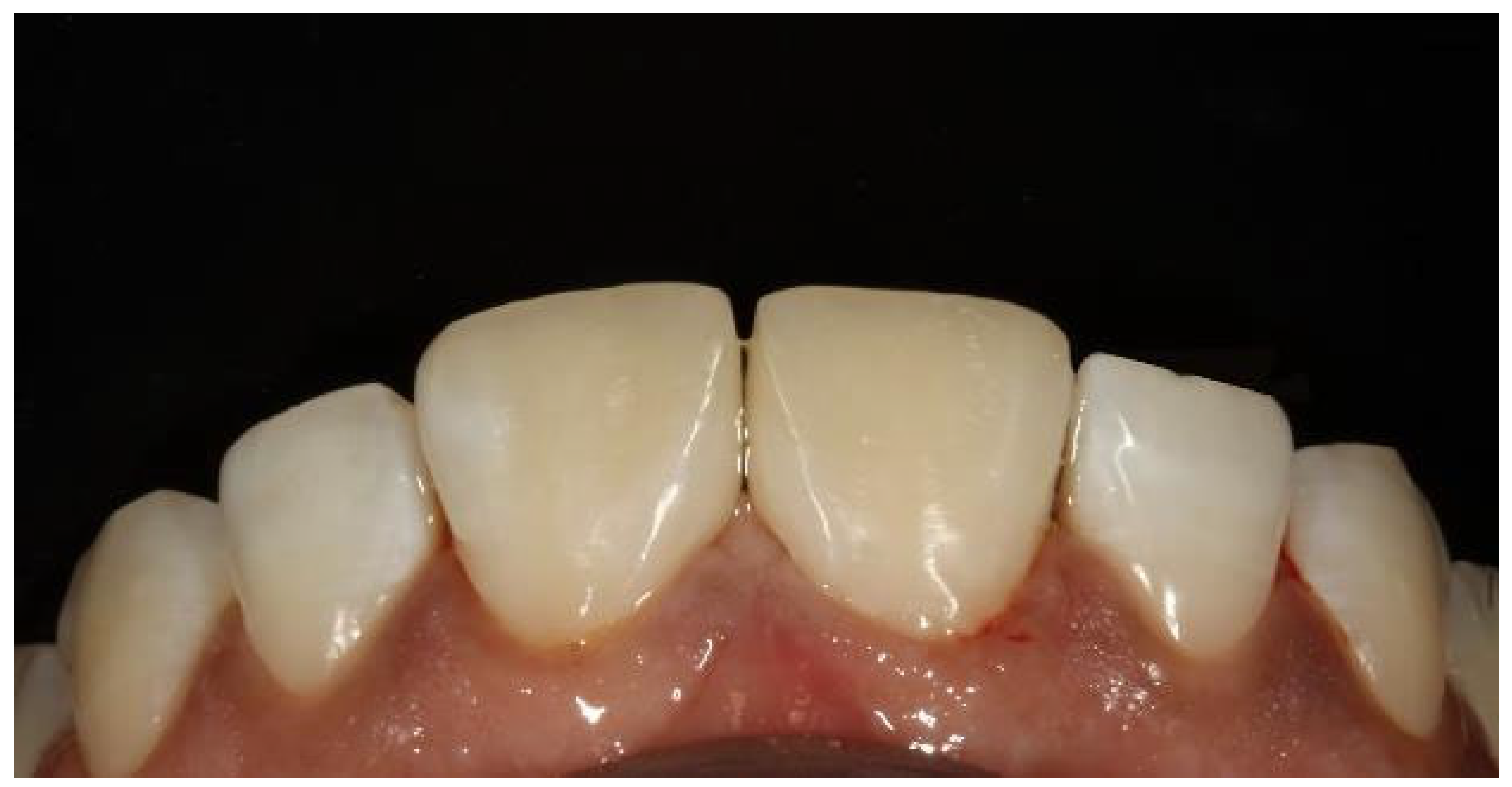
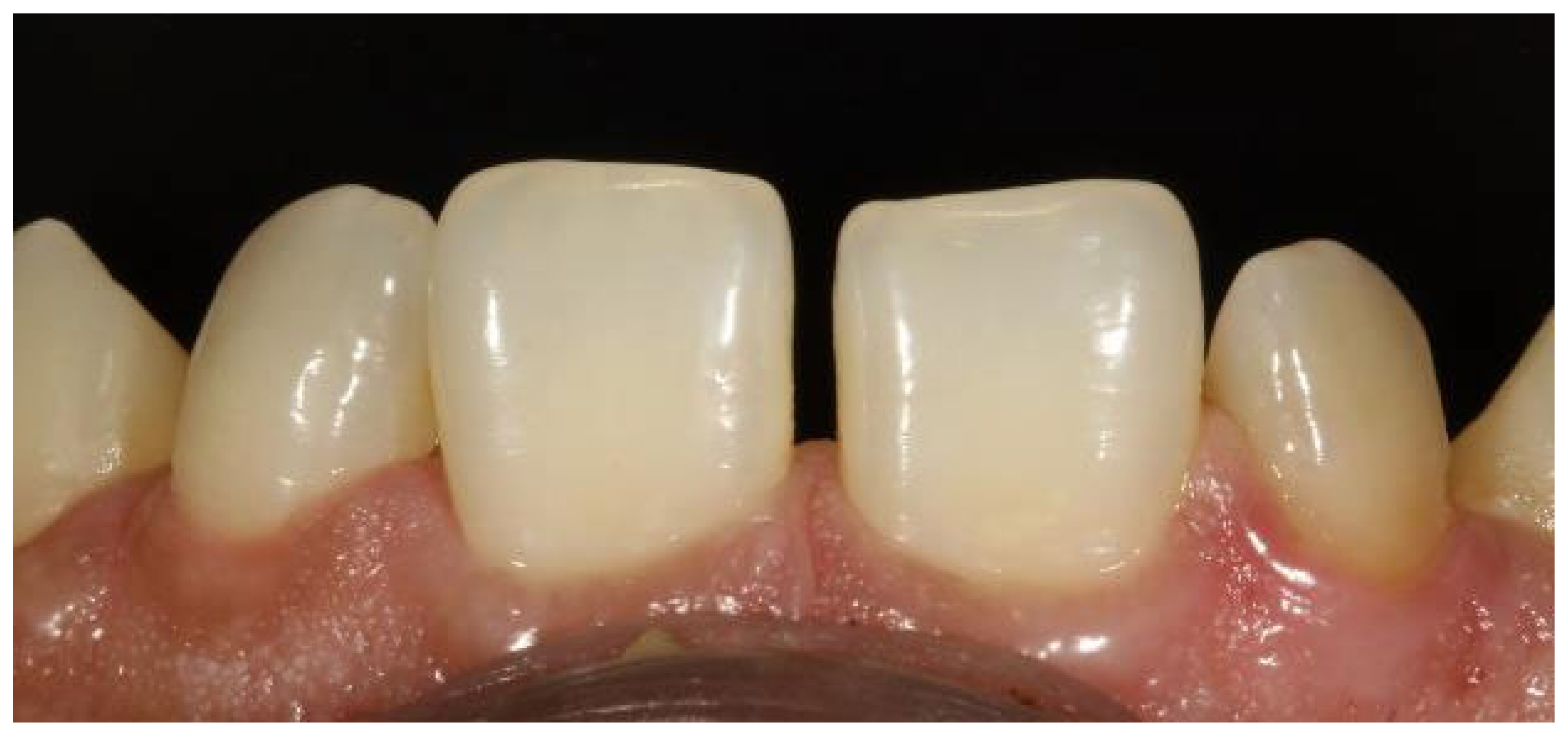
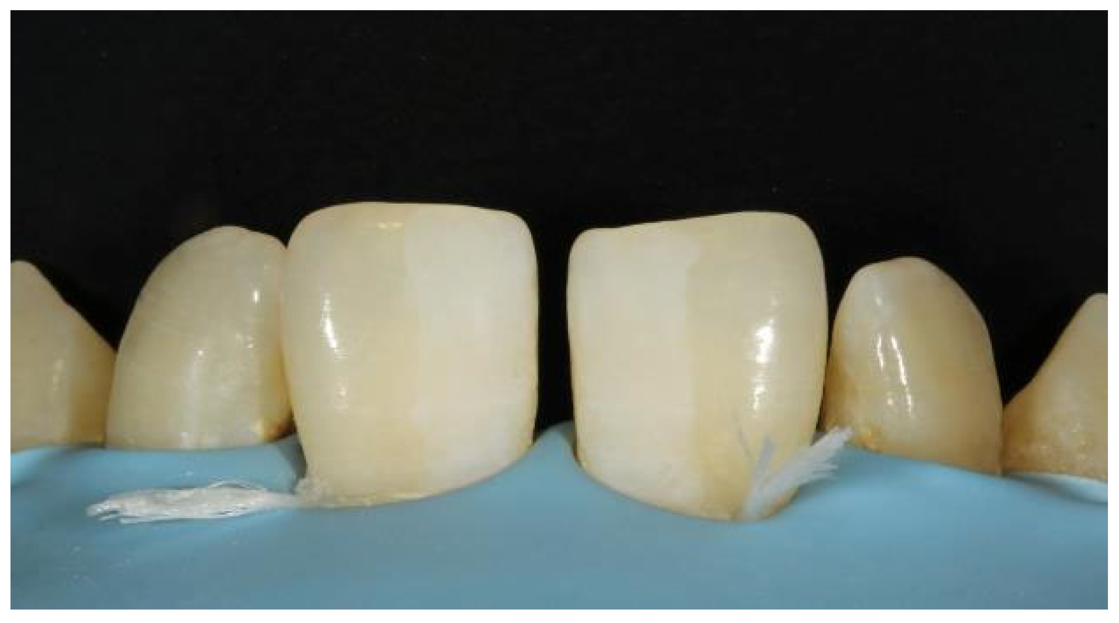
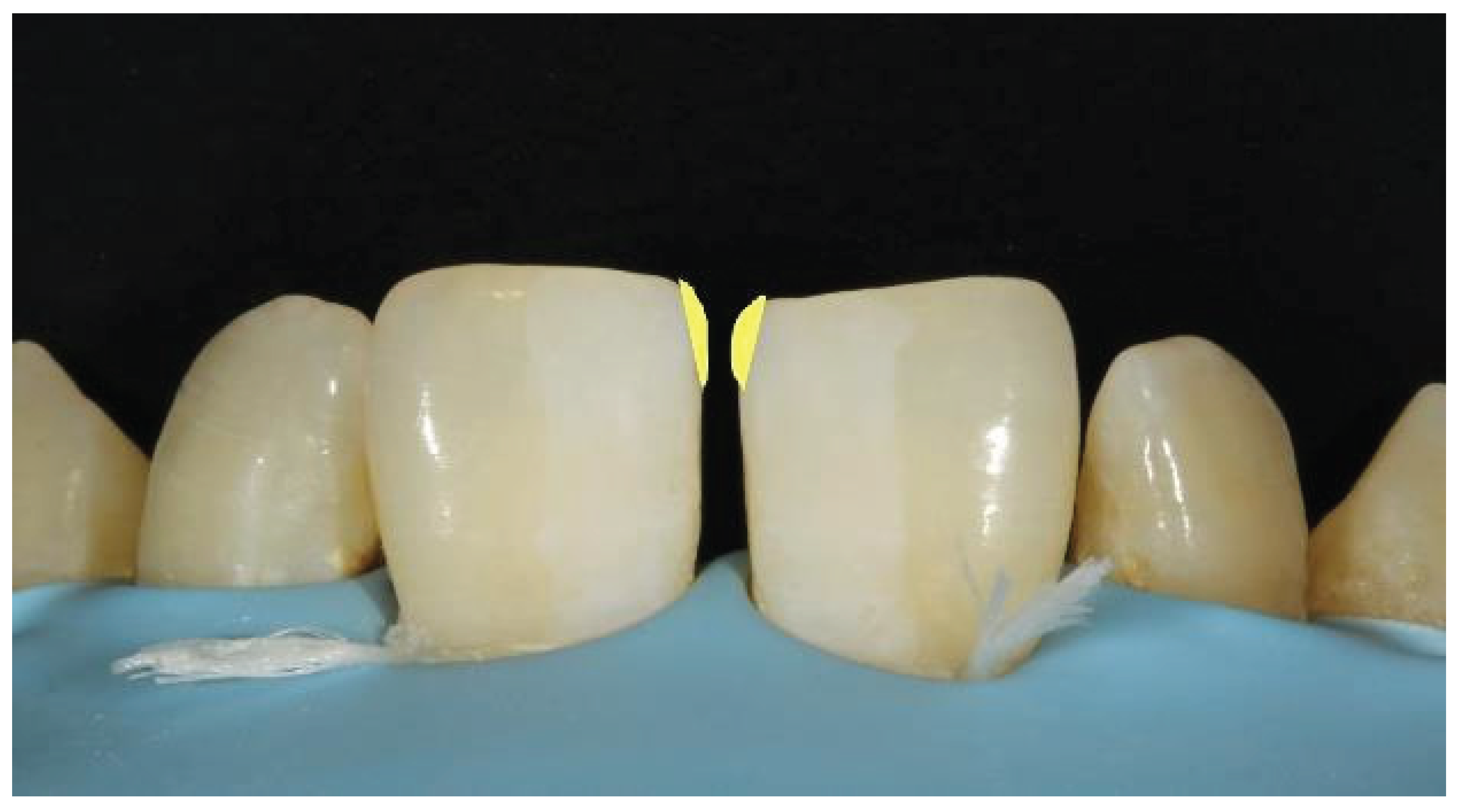
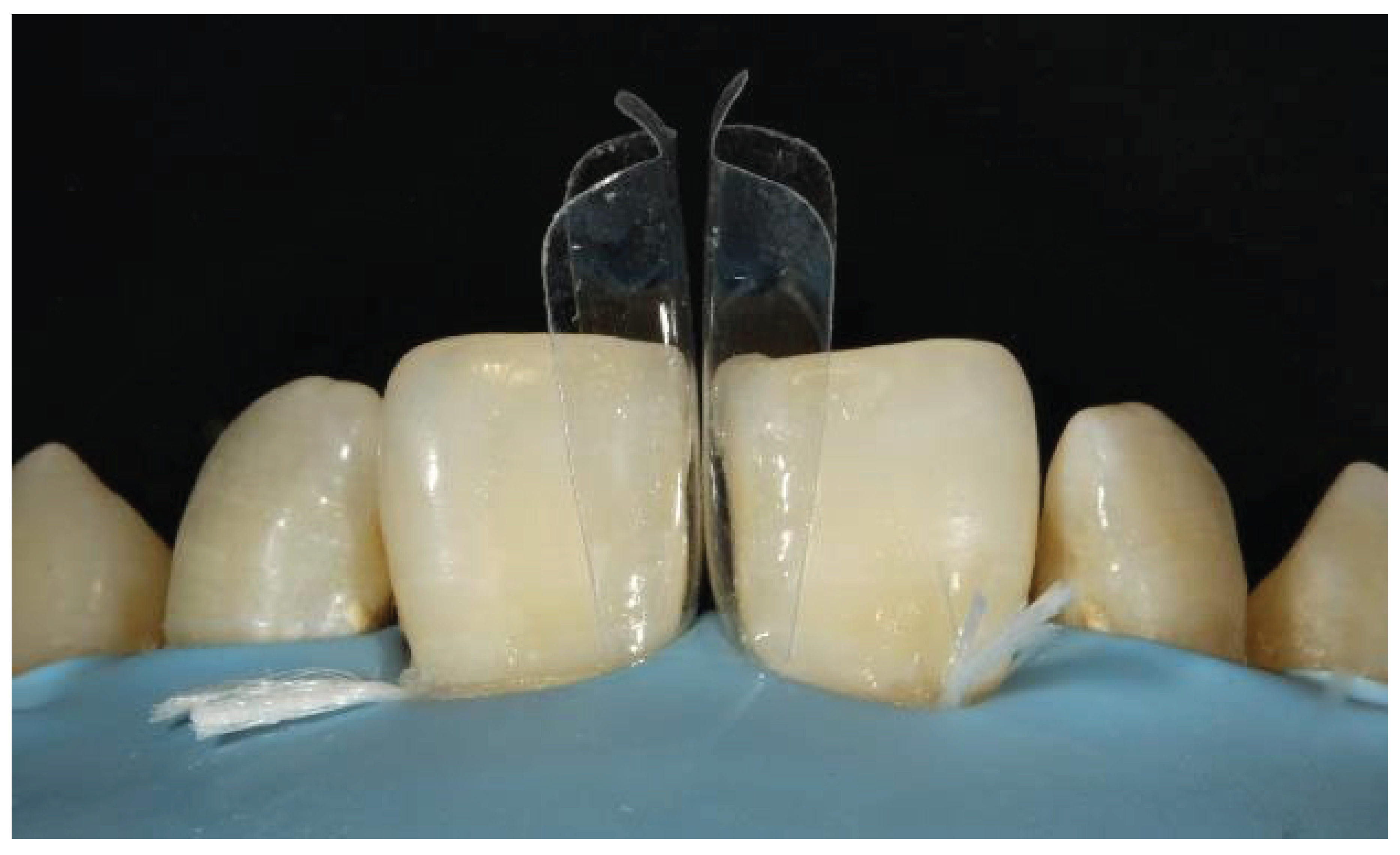
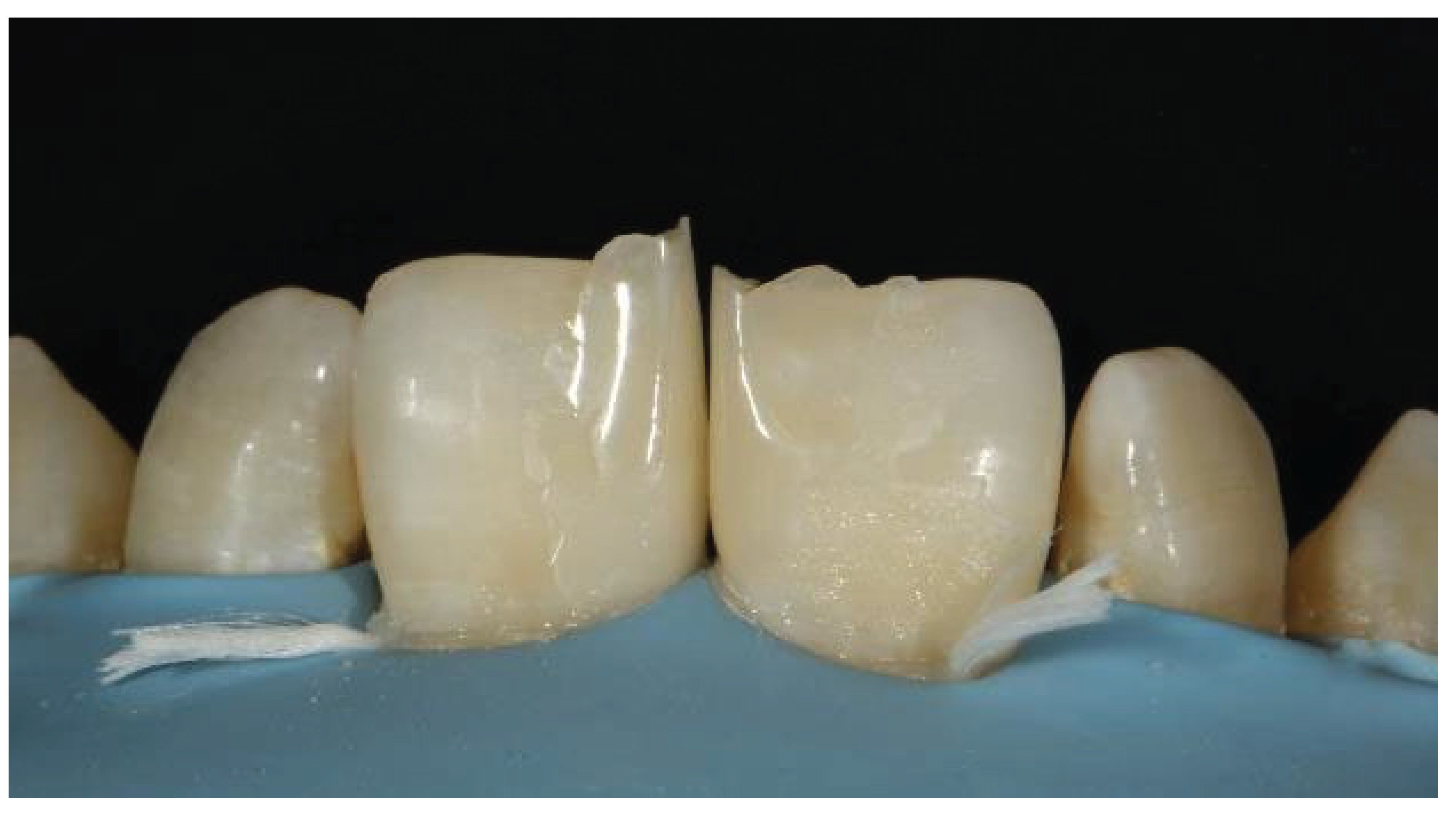
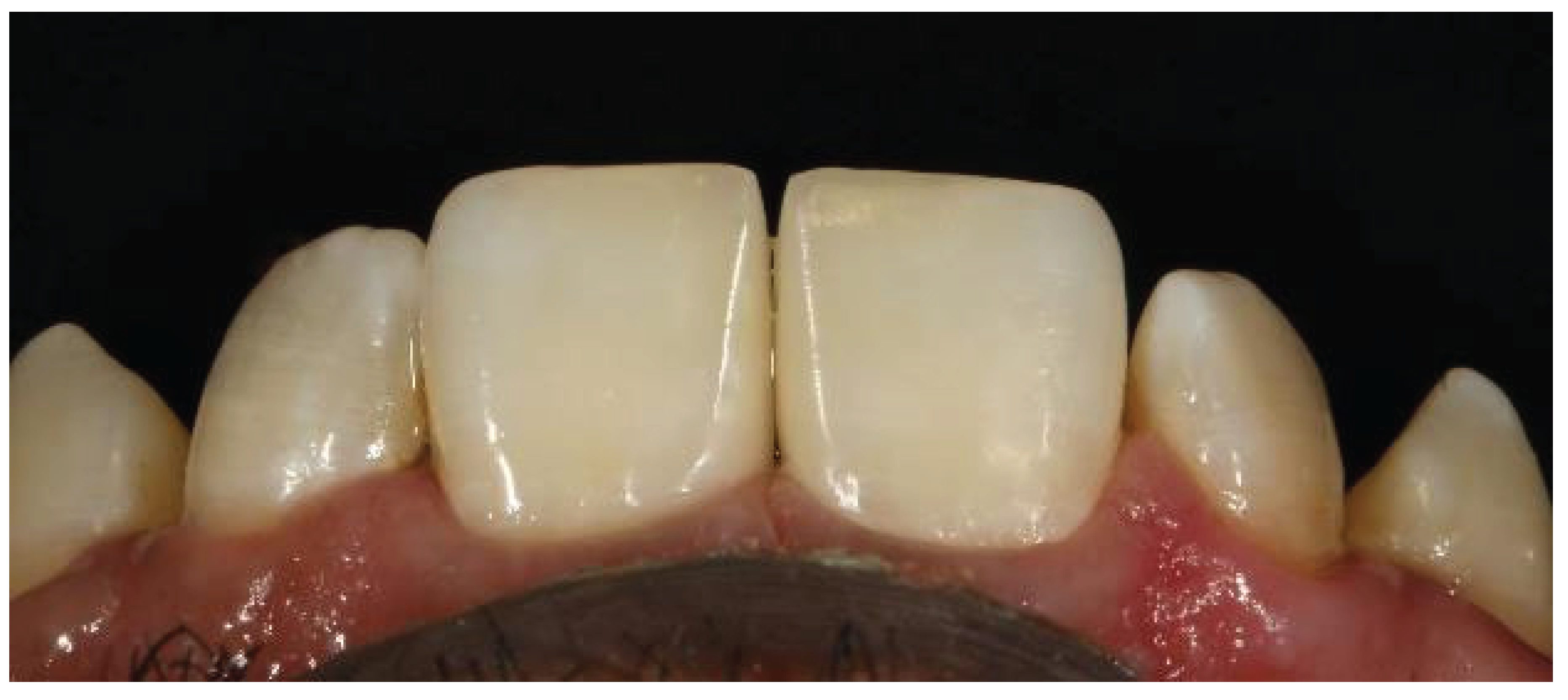
Case 1
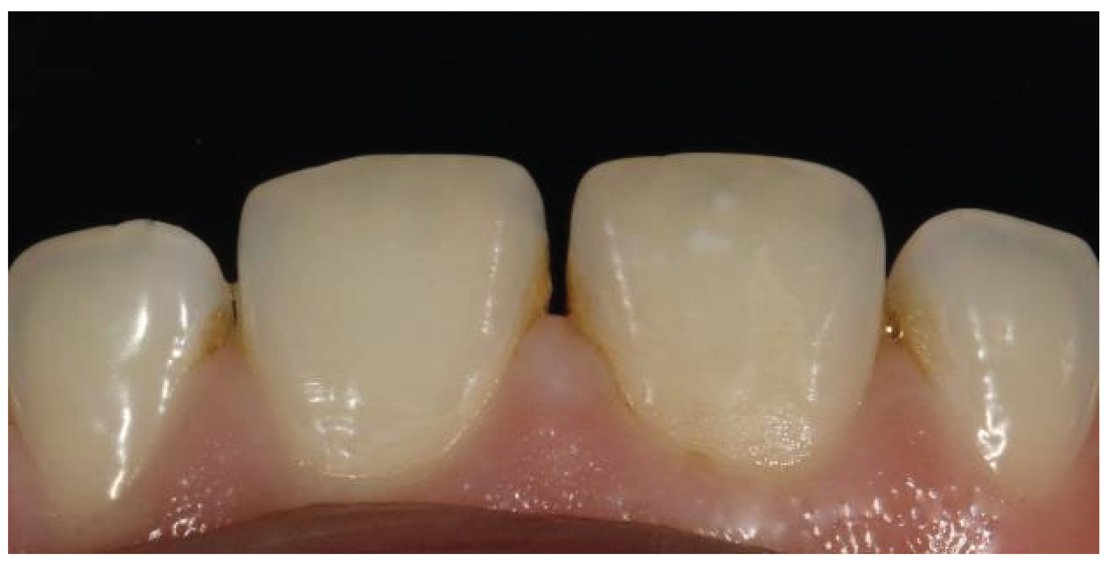
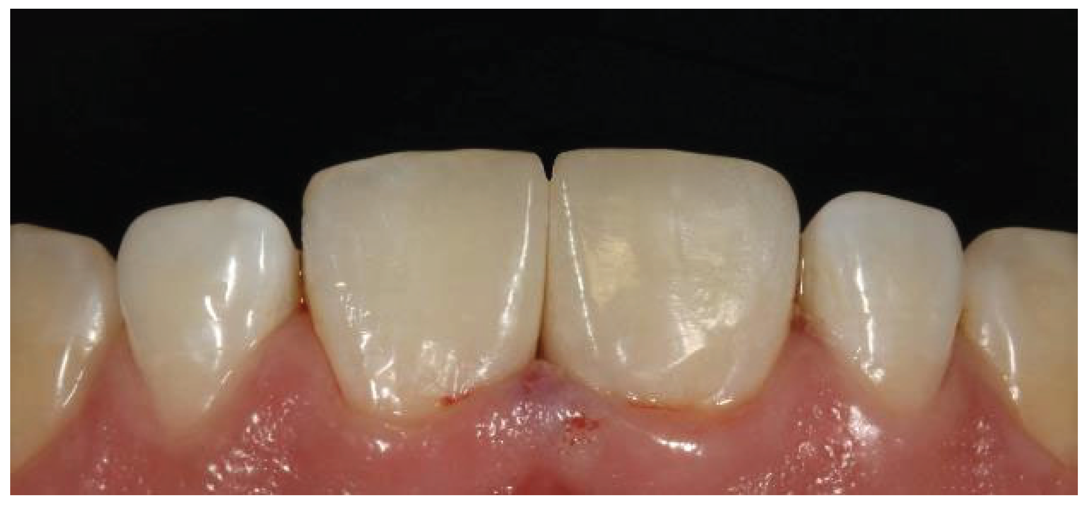
Case 2
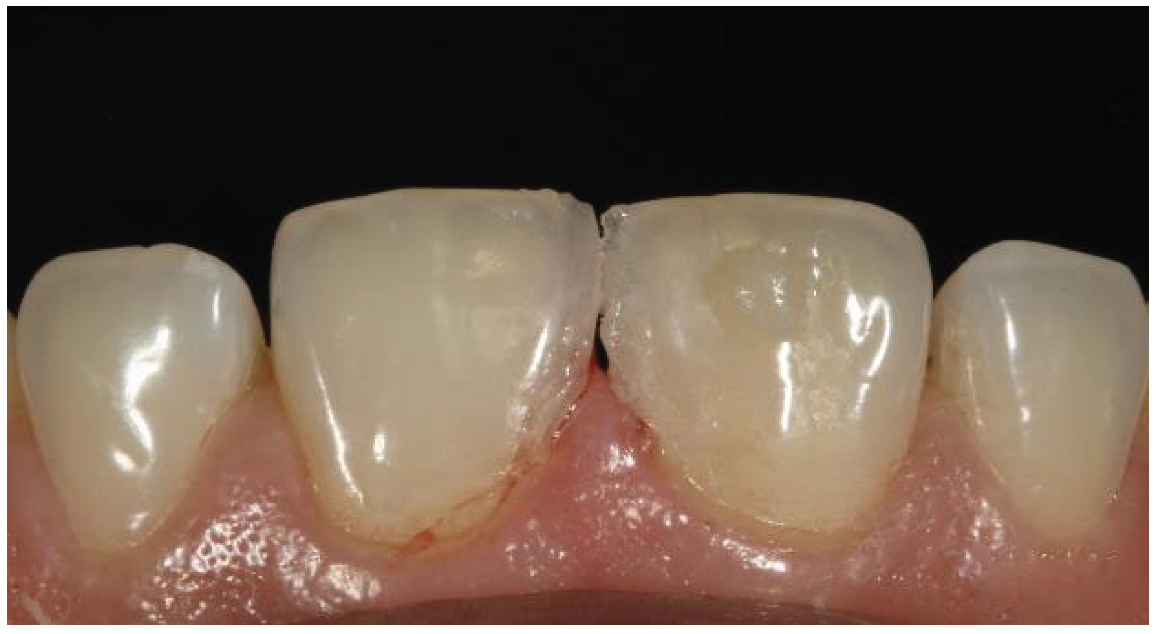
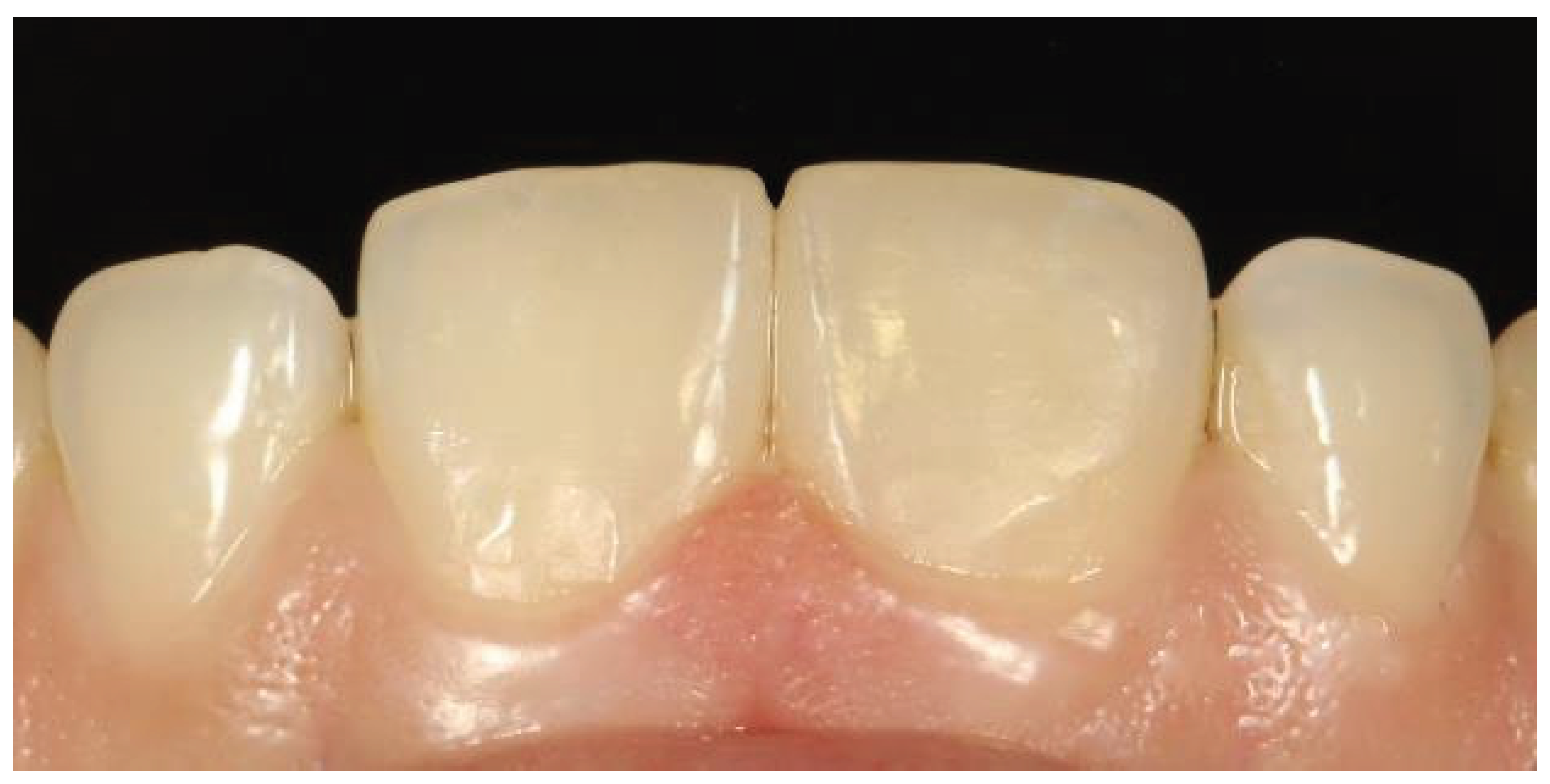
Case 3
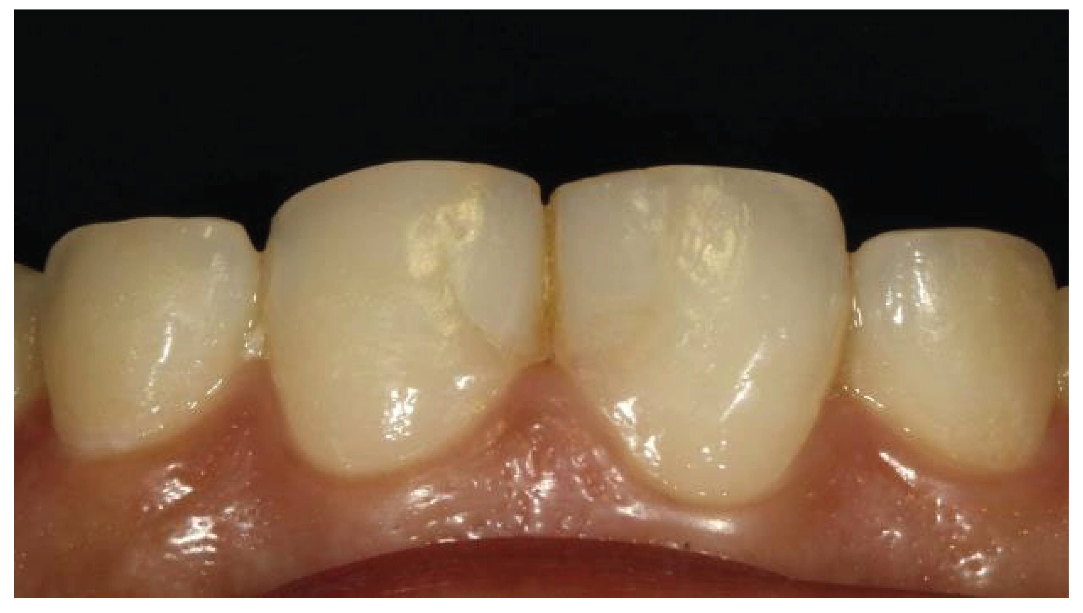
Case 4
Case 5
Discussion
Conclusions
Funding
Ethical Approval
Data Availability Statement
Clinical Trial Number
Informed Consent Statement
References
- Oesterle, L.J.; Shellhart, W.C. Maxillary midline diastemas: A look at the causes. The Journal of the American Dental Association. 1999, 130, 85–94. [Google Scholar] [CrossRef] [PubMed]
- Azzaldeen, A.; Muhamad, A.H. Diastema closure with direct composite: Architectural gingival contouring. J Adv Med Dent Sci Res. 2015, 3, 134–139. [Google Scholar]
- Bhoyar, A.G. Esthetic closure of diastema by porcelain laminate veneers: A case report. PJSR. 2011, 4, 47–50. [Google Scholar]
- de Campos, P.R.; Maia, R.R.; de Menezes, L.R.; Barbosa, I.F.; da Cunha, A.C.; da Silveira Pereira, G.D. Rubber dam isolation--key to success in diastema closure technique with direct composite resin. International Journal of Esthetic Dentistry. 2015, 10. [Google Scholar]
- Buonocore, M.G. A simple method of increasing the adhesion of acrylic filling materials to enamel surfaces. Journal of dental research. 1955, 34, 849–853. [Google Scholar] [CrossRef] [PubMed]
- Chuang, S.F.; Jin, Y.T.; Liu, J.K.; Chang, C.H.; Shieh, D.B. Influence of flowable composite lining thickness on Class II composite restorations. OPERATIVE DENTISTRY-UNIVERSITY OF WASHINGTON-. 2004, 29, 301–308. [Google Scholar]
- Gomaa, M.M.; Mosallam, R.S.; Abou-Auf, E.A.; Hassanien, O.E. Clinical evaluation of “Snowplow” technique versus Bulk-fill technique in restoration of class II cavities: A randomized clinical trial. Journal of International Oral Health. 2024, 16, 158–165. [Google Scholar] [CrossRef]
- Lal, S.M.; Jagadish, S. Direct composite veneering technique producing a smile design with a customised matrix. Journal of Conservative Dentistry and Endodontics. 2006, 9, 87–92. [Google Scholar] [CrossRef]
- Magne, P.; Belser, U.C. Porcelain versus composite inlays/onlays: Effects of mechanical loads on stress distribution, adhesion, and crown flexure. International Journal of Periodontics & Restorative Dentistry 2003, 23. [Google Scholar]
- Berksun, S.; Kedici, P.S.; Saglam, S. Repair of fractured porcelain restorations with composite bonded porcelain laminate contours. The Journal of Prosthetic Dentistry. 1993, 69, 457–458. [Google Scholar] [CrossRef] [PubMed]
- Lempel, E.; Lovász, B.V.; Meszarics, R.; Jeges, S.; Tóth, Á.; Szalma, J. Direct resin composite restorations for fractured maxillary teeth and diastema closure: A 7 years retrospective evaluation of survival and influencing factors. Dental Materials. 2017, 33, 467–476. [Google Scholar] [CrossRef] [PubMed]
- Jordan, R.E. Esthetic composite bonding: Techniques and materials. (No Title). 1993.
- Stappert, C.F.; Ozden, U.; Gerds, T.; Strub, J.R. Longevity and failure load of ceramic veneers with different preparation designs after exposure to masticatory simulation. The Journal of prosthetic dentistry. 2005, 94, 132–139. [Google Scholar] [CrossRef] [PubMed]
- Hickel, R.; Heidemann, D.; Staehle, H.J.; Minnig, P.; Wilson, N.H. Direct composite restorations: Extendes use in anterior and posterior situations. Clinical oral investigations. 2004, 8. [Google Scholar]
- Hemmings, K.W.; Darbar, U.R.; Vaughan, S. Tooth wear treated with direct composite restorations at an increased vertical dimension: Results at 30 months. The Journal of prosthetic dentistry. 2000, 83, 287–293. [Google Scholar] [CrossRef] [PubMed]


















































Disclaimer/Publisher’s Note: The statements, opinions and data contained in all publications are solely those of the individual author(s) and contributor(s) and not of MDPI and/or the editor(s). MDPI and/or the editor(s) disclaim responsibility for any injury to people or property resulting from any ideas, methods, instructions or products referred to in the content. |
© 2025 by the authors. Licensee MDPI, Basel, Switzerland. This article is an open access article distributed under the terms and conditions of the Creative Commons Attribution (CC BY) license (http://creativecommons.org/licenses/by/4.0/).