Submitted:
16 June 2025
Posted:
19 June 2025
You are already at the latest version
Abstract
Keywords:
Introduction
Material and Methods:
Surgery
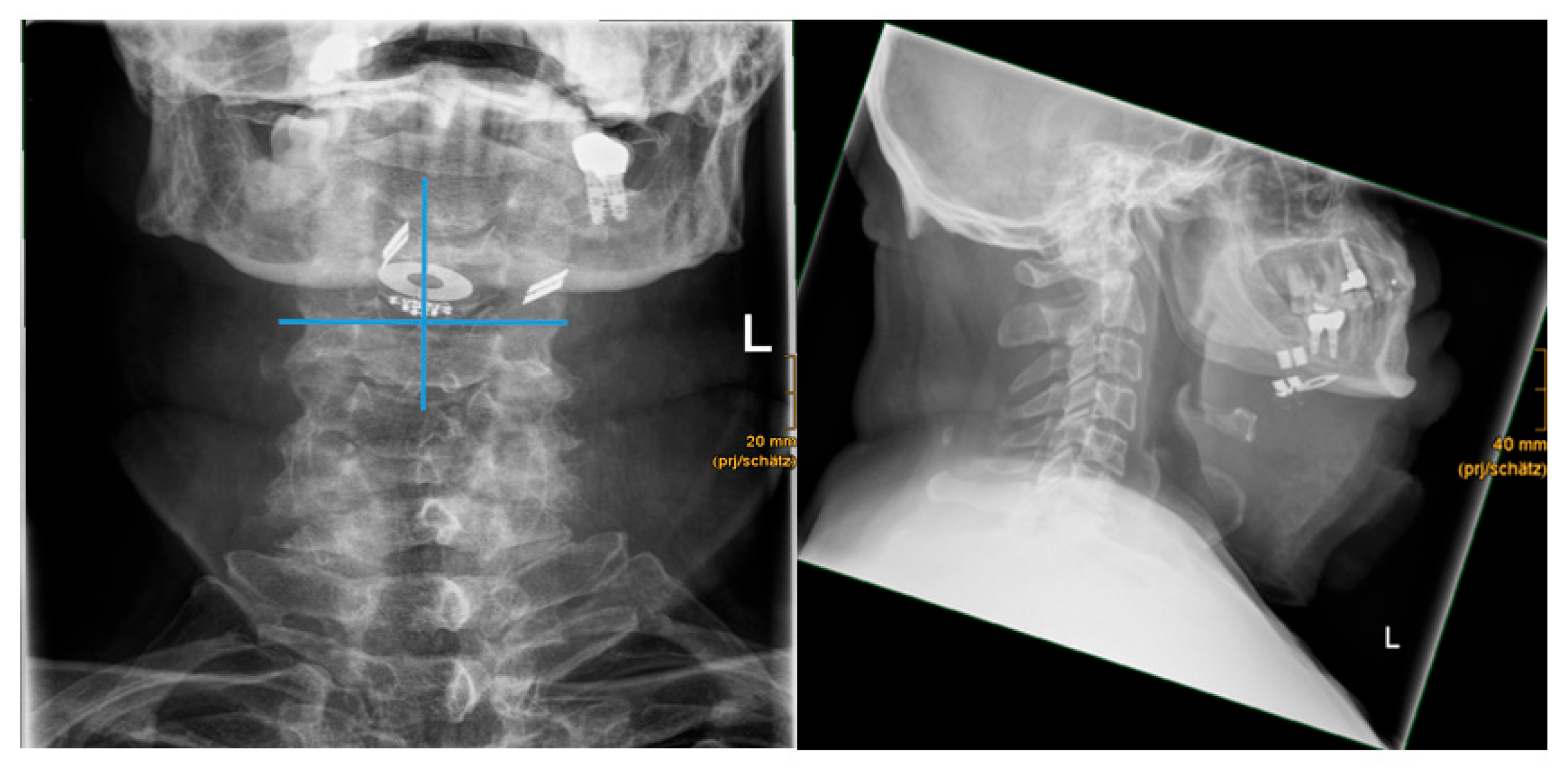
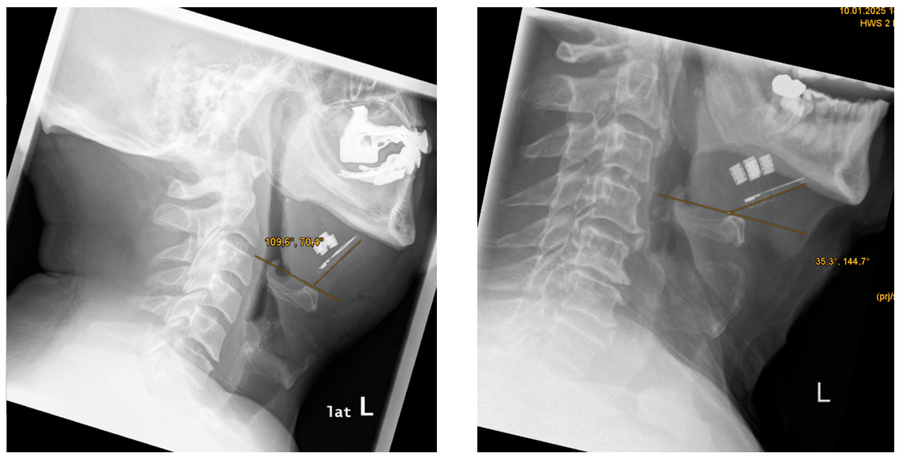
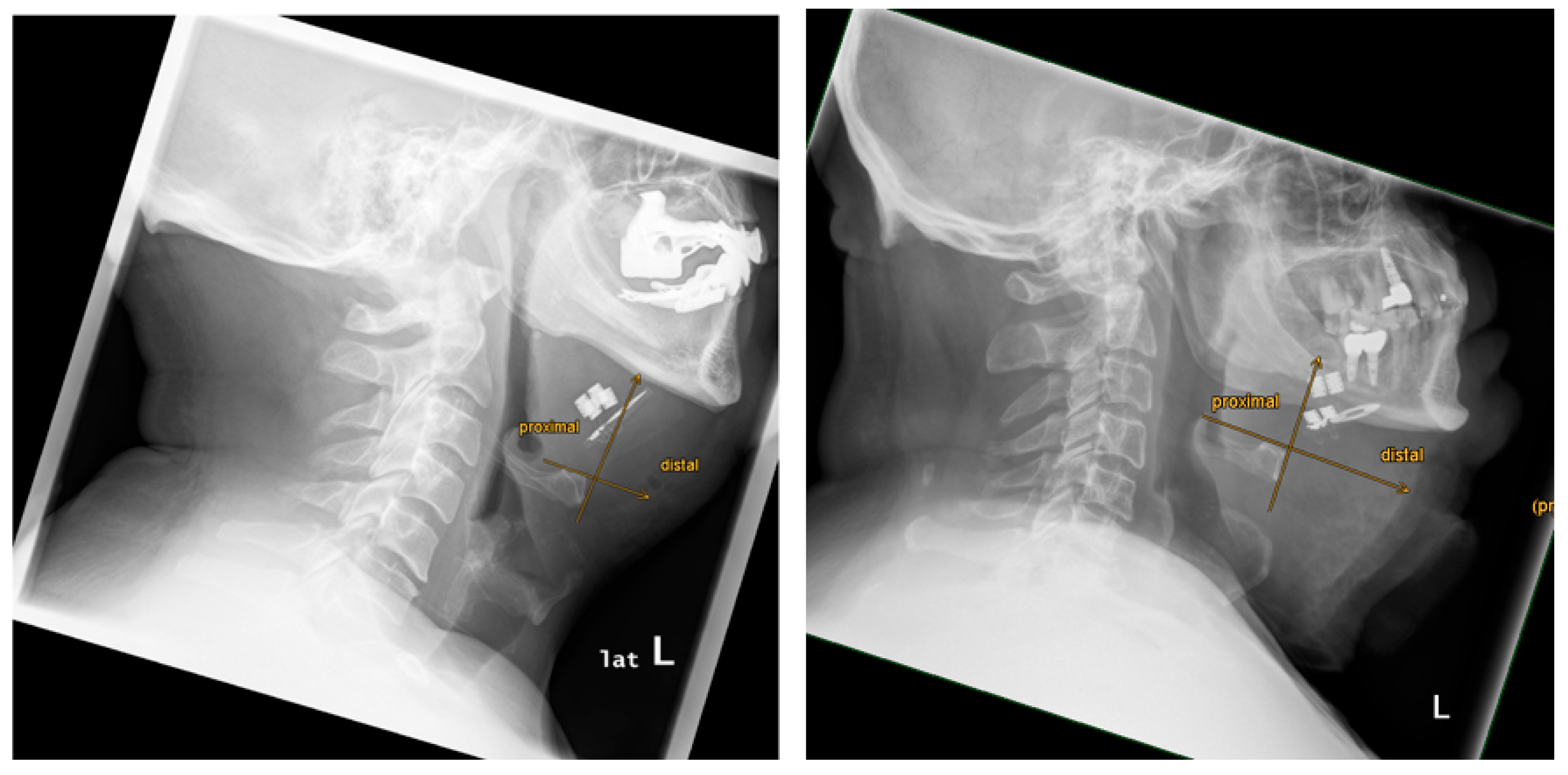
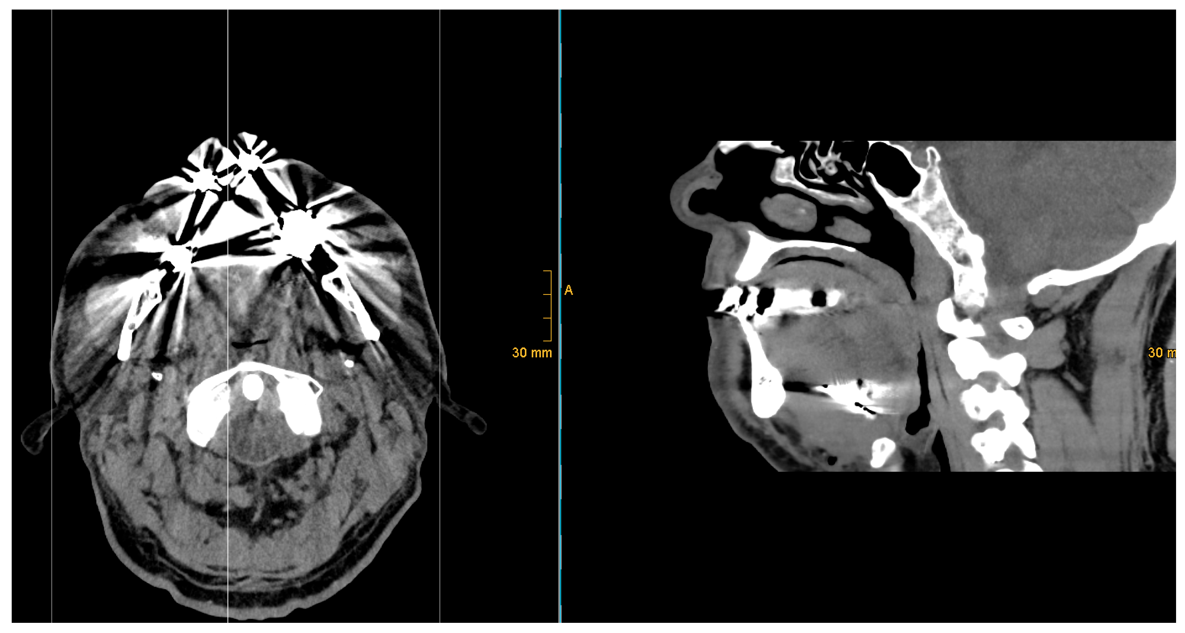
Radiological Imaging
Results:
Discussion:
Conclusion
Author contributions
Ethical approval
Availability of data and materials
Competing interest
Conflict of Interests / Financial Disclosure
References
- Strollo PJ, Rogers RM. Obstructive sleep apnea. N Engl J Med 1996;334:99–104. [CrossRef]
- Schoch OD, Baty F, Niedermann J, Rüdiger JJ, Brutsche MH (2014) Baseline predictors of adherence to positive airway pressure therapy for sleep apnea: a 10-year single-center observational cohort study. Respiration 87(2):121–128. [CrossRef]
- McEvoy RD et al (2016) CPAP for prevention of cardiovascular events in obstructive sleep apnea. N Engl J Med 375(10):919–931. [CrossRef]
- Strollo PJJ et al (2014) Upper-airway stimulation for obstructive sleep apnea. N Engl J Med 370(2):139–149. [CrossRef]
- Hofauer B, Philip P, Wirth M, Knopf A, Heiser C (2017) Effects of upper-airway stimulation on sleep architecture in patients with obstructive sleep apnea. Sleep Breath Schlaf Atm. [CrossRef]
- Katsura M, Sato J, Akahane M, et al. Current and novel techniques for metal artifact reduction at CT: practical guide for radiologists. Radiographics 2018;38:450–61. [CrossRef]
- Lee MJ, Kim S, Lee SA et al (2007) Overcoming artifacts from metallic orthopedic implants at high-field-strength MRimaging and multi-detector CT. Radiographics 27:791–803. [CrossRef]
- Laukamp KR, Zopfs D, Lennartz S, Pennig L, Maintz D, Borggrefe J, Große Hokamp N. Metal artifacts in patients with large dental implants and bridges: combination of metal artifact reduction algorithms and virtual monoenergetic images provides an approach to handle even strongest artifacts. Eur Radiol. 2019 Aug;29(8):4228-4238. [CrossRef] [PubMed]
- Steffen, A., Wozny, A.S., König, I.R. et al. Upper airway stimulation for obstructive sleep apnea—Can radiological position monitoring predict tongue motion one year after implantation?. HNO 68 (Suppl 1), 11–16 (2020). [CrossRef]
- Heiser C, Hofauer B, Lozier L, Woodson BT, Stark T. Nerve monitoring-guided selective hypoglossal nerve stimulation in obstructive sleep apnea patients. Laryngoscope. 2016;126(12):2852-2858. [CrossRef]
- Chang YB, Xu D, Zamyatin AA. Metal artifact reduction algorithm for single energy and dual-energy CT scans. In: Proceedings of the 2012 IEEE Nuclear Science Symposium and Medical Imaging Conference Record (NSS/MIC), Anaheim, California. October 27 to November 3, 2012:3426–29.









| Patient | AHI | BMI | previous implants (e.g. dental implant) | postoperative CT performed | artifacts CT | artifacts CT severity level | artifacts X-ray | postoperative XRAY performed | mandibular length (in mm) | distance mandibula plane-to-hyoid (in mm) | distance chin to hyoid (in mm) | mean distance hyoid to paddle electrode (in mm) | 1_right side_distance hyoid to paddle electrode (in mm) | 2_left side_distance hyoid to paddle electrode (in mm) | Difference right-left side (in mm) | alignement paddle electrode symmetry/asymmetry | angle hyoid-stimulation antenna (in °) | electrode position proximal/distal to mandible | electrode position proximal/distal to hyoid |
|---|---|---|---|---|---|---|---|---|---|---|---|---|---|---|---|---|---|---|---|
| 1 | 33 | 26 | yes | yes | yes | moderate | no | yes | 87,3 | 28,7 | 56,4 | 15,2 | 7,9 | 22,6 | -14,7 | asymmetry | 64,9 | proximal | proximal |
| 2 | 47 | 30 | yes | yes | yes | strong | no | yes | 94,1 | 45,7 | 57,0 | 19,0 | 18,7 | 19,3 | -0,6 | symmetry | 70,4 | proximal | proximal |
| 3 | 51 | 28 | yes | no | n/a | n/a | no | yes | 109,3 | 32,6 | 48,4 | 17,2 | 15,0 | 19,3 | -4,3 | asymmetry | 60,3 | proximal | proximal |
| 4 | 64 | 31 | yes | yes | yes | moderate | no | yes | 113,9 | 55,3 | 76,2 | 25,9 | 18,8 | 32,9 | -14,1 | asymmetry | 73,8 | proximal | proximal |
| 5 | 37 | 32 | yes | yes | yes | strong | no | yes | 93,2 | 23,9 | 54,5 | 15,4 | 13,9 | 16,9 | -3,0 | asymmetry | 35,3 | proximal | proximal |
| 6 | 52 | 25 | yes | yes | yes | moderate | no | yes | 86,0 | 20,3 | 47,1 | 15,8 | 15,6 | 16,0 | -0,4 | symmetry | 19,0 | proximal | distal |
| 7 | 28 | 28 | yes | yes | yes | moderate | no | yes | 102,0 | 36,7 | 64,3 | 16,4 | 14,4 | 18,3 | -3,8 | asymmetry | 40,7 | proximal | distal |
| 8 | 16,5 | 34 | yes | yes | yes | strong | no | yes | 122,3 | 32,1 | 77,9 | 12,5 | 18,4 | 6,6 | 11,8 | asymmetry | 39,9 | proximal | distal |
| 9 | 32 | 29 | yes | yes | yes | moderate | no | yes | 110,5 | 40,3 | 69,4 | 16,6 | 14,9 | 18,2 | -3,2 | asymmetry | 63,5 | proximal | proximal |
Disclaimer/Publisher’s Note: The statements, opinions and data contained in all publications are solely those of the individual author(s) and contributor(s) and not of MDPI and/or the editor(s). MDPI and/or the editor(s) disclaim responsibility for any injury to people or property resulting from any ideas, methods, instructions or products referred to in the content. |
© 2025 by the authors. Licensee MDPI, Basel, Switzerland. This article is an open access article distributed under the terms and conditions of the Creative Commons Attribution (CC BY) license (http://creativecommons.org/licenses/by/4.0/).