Submitted:
11 June 2025
Posted:
12 June 2025
You are already at the latest version
Abstract
Keywords:
1. Introduction
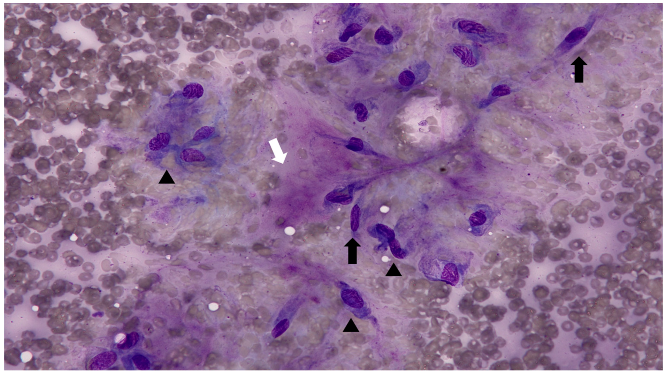
2. Case Description
3. Discussion
4. Conclusions
Abbreviations
| ND | Nodular dermatofibrosis |
| FLCN | Folliculin |
| GAGs | Glycosaminoglycans |
| WES | Whole exome sequencing |
| RCND | Renal cystadenocarcinoma |
| TGF-β1 | Transforming growth factor beta 1 |
| HSF1 | Heat Shock Factor 1 |
| CLU | Clusterin |
References
- Suter, M.; Lott-Stolz, G.; Wild, P. Generalized ND in six Alsatians. Vet. Pathol. 1983, 20(5), 632–634.
- Lium, B.; Moe, L. Hereditary multifocal renal cystadenocarcinomas and ND in the German shepherd dog: Macroscopic and histopathologic changes. Vet. Pathol. 1985, 22(5), 447–455. [CrossRef]
- Cosenza, S.F.; Seely, J.C. Generalized ND and renal cystadenocarcinomas in a German shepherd dog. J. Am. Vet. Med. Assoc. 1986, 189(12), 1587–1590.
- Moe, L.; Lium, B. Hereditary multifocal renal cystadenocarcinomas and ND in 51 German shepherd dogs. J. Small Anim. Pract. 1997, 38(11), 498–505.
- Lingaas, F.; Comstock, K.E.; Kirkness, E.F.; Sørensen, A.; Aarskaug, T.; Hitte, C.; Nickerson, M.L.; Moe, L.; Schmidt, L.S.; Thomas, R.; et al. A mutation in the canine BHD gene is associated with hereditary multifocal renal cystadenocarcinoma and ND in the German Shepherd dog. Hum. Mol. Genet. 2003, 12(23), 3043–3053. [CrossRef]
- Vercelli, A.; Bellone, G.; Abate, O.; Emanuelli, G.; Cagnasso, A. Expression of transforming growth factor-β isoforms in the skin, kidney, pancreas and bladder in a German shepherd dog affected by renal cystadenocarcinoma and ND. J. Vet. Med. A 2003, 50(10), 506–510.
- Levkut, M.; Levkutová, M.; Čechová, M. Immunohistochemistry of ND in a German Shepherd–a case report. Acta Vet. Brno 2022, 91(3), 273–276.
- Ciccarelli, S.; Di Bello, A.; Valastro, C.; Leo, C.; Lenoci, D.; Rana, E.; Franchini, D. Unilateral renal cystadenocarcinoma and ND in a mixed-breed dog carrying a FLCN gene mutation. Vet. Dermatol. 2019, 30(2), 174–e54.
- Jones, B.R.; Alley, M.R.; Craig, A.S. Cutaneous collagen nodules in a dog. J. Small Anim. Pract. 1985, 26(8), 445–451. [CrossRef]
- White, S.D.; Rosychuk, R.A.W.; Schultheiss, P.; Scott, K.V. ND and cystic renal disease in three mixed-breed dogs and a Boxer dog. Vet. Dermatol. 1998, 9(2), 119–126.
- Marks, S.L.; Farman, C.A.; Peaston, A. ND and renal cystadenomas in a Golden Retriever. Vet. Dermatol. 1993, 4(3), 133–137.
- Zanatta, M.; Bettini, G.; Scarpa, F.; Fiorelli, F.; Rubini, G.; Mininni, A.N.; Capitani, O. ND in a dog without a renal tumour or a mutation in the folliculin gene. J. Comp. Pathol. 2013, 148(2–3), 248–251.
- Gómez-Barris, B.R.; Balazs, V.; Villamar, K.C.; Toro-Valdivieso, C. First case of ND with cystic renal disease in a Beagle: An atypical case without FLCN gene mutation. Vet. Med. Sci. 2024, 10(2), e1401. [CrossRef]
- Gardiner, D.W.; Spraker, T.R. Generalized ND in the absence of renal neoplasia in an Australian cattle dog. Vet. Pathol. 2008, 45(6), 901–904.
- Conrado, A.L.V.; Iunes, R.S.; Balduíno, A.L.L.; Santanna, M.C.F.B.; da Silva, J.R.M.C. Serum symmetric dimethylarginine levels in a half-breed German shepherd dog with renal cystadenocarcinoma and ND. Comp. Clin. Pathol. 2020, 29(4), 905–909. [CrossRef]
- Ferreira, M.G.P.A.; Pascoli, A.L.; Olinger, C.; Antunes, A.V.; Reis Filho, N.P.; Rolemberg, D.S.; Costa, M.T.; Nardi, A.B. ND associated to a bilateral renal cystadenoma in a dog: Case report. Int. J. Cancer Res. Mol. Mech. 2020, 5(1).
- Jackson, L.M.; Dhoonmoon, A.; Hale, A.; Dennis, K.A.; Schleicher, E.M.; Nicolae, C.M.; Moldovan, G.L. Loss of MED12 activates the TGFβ pathway to promote chemoresistance and replication fork stability in BRCA-deficient cells. Nucleic Acids Res. 2021, 49(22), 12855–12869. [CrossRef]
- Zhang, H.; Kozono, D.E.; O’Connor, K.W.; Vidal-Cardenas, S.; Rousseau, A.; Hamilton, A.; Moreau, L.; Gaudiano, E.F.; Greenberger, J.; Bagby, G.; et al. TGF-β inhibition rescues hematopoietic stem cell defects and bone marrow failure in Fanconi anemia. Cell Stem Cell 2016, 18(5), 668–681. [CrossRef]
- Li, Y.; Liu, Y.; Chiang, Y.J.; Huang, F.; Li, Y.; Li, X.; Ning, Y.; Zhang, W.; Deng, H.; Chen, Y.G. DNA damage activates TGF-β signaling via ATM-c-Cbl-mediated stabilization of the type II receptor TβRII. Cell Rep. 2019, 28(3), 735–745. [CrossRef]
- Kraya, A.A.; Maxwell, K.N.; Wubbenhorst, B.; Wenz, B.M.; Pluta, J.; Rech, A.J.; Dorfman, L.M.; Lunceford, N.; Barrett, A.; Mitra, N.; et al. Genomic signatures predict the immunogenicity of BRCA-deficient breast cancer. Clin. Cancer Res. 2019, 25(14), 4363–4374. [CrossRef]
- Shaashua, L.; Pevsner-Fischer, M.; Friedman, G.; Levi-Galibov, O.; Nandakumar, S.; Nevo, R.; Brown, L.E.; Zhang, W.; Stein, Y.; Kim, H.S.; et al. BRCA mutational status shapes the stromal microenvironment of pancreatic cancer linking CLU⁺ CAF expression with HSF1 signaling. bioRxiv 2021, 2021–08.




|
Publication Year [Reference No.] |
Breeds | Concomitance with cysts or masses | FLCN gene mutation | The presumed pathogenesis |
| 1983 [1] | German Shepherd | Renal cystadenocarcinoma | Not tested | Autosomal dominant inheritance |
| 1985 [2] | German Shepherd | Renal cystadenocarcinoma | Not tested | Genetic, likely an autosomal dominant disorder Cysts from tubular obstruction by epithelial proliferation |
| 1985 [9] | German Shorthaired Pointer | None | Not tested | Congenital collagen hyperplasia (hamartoma) with excess fiber production |
| 1986 [3] | German Shepherd | Renal cystadenocarcinoma | Not tested | Skin and kidney lesions likely share a genetic basis |
| 1993 [11] | Golden Retriever | Renal cystadenoma | Not tested | Genetic factors or paraneoplastic syndrome Renal tumor–derived factors may trigger skin fibrosis |
| 1997 [4] | German Shepherd | Renal cystadenocarcinoma | Not tested | Autosomal dominant tumor predisposition syndrome |
| 1998 [10] | 3 Mixed-breed dogs and 1 Boxer |
(1) Renal epithelial cysts with epithelial hyperplasia (2) Renal epithelial cysts (3) Renal cystadenomas (4) Renal cystadenocarcinoma and cystic adenomatous hyperplasia |
Not tested | (1) Skin lesions as paraneoplastic effects of the renal tumor (2) Concurrent skin and kidney fibrosis from a shared genetic cause, with renal fibrosis causing tubular obstruction and cysts |
| 2003 [5] | German Shepherd | Renal cystadenocarcinoma | Positive | H255R missense mutation in exon 7 of canine FLCN gene |
|
Publication Year [Reference No.] |
Breeds | Concomitance with cysts or masses | FLCN gene mutation | The presumed pathogenesis |
| 2003 [6] | German Shepherd | Renal cystadenocarcinoma | Not tested | Primary pathogenesis: Local TGF-β1 overexpression in skin |
| 2008 [14] | Australian Cattle Dog | None | Not tested | Haploinsufficiency of FLCN gene |
| 2013 [12] | Golden Retriever | None | Negative | Heterogeneous disorders from multiple genes or unknown causes |
| 2019 [8] | Mixed breed | Renal cystadenocarcinoma | Positive | H255R heterozygous mutation in FLCN gene |
| 2020 [15] | Mixed breed | Renal cystadenocarcinoma | Not tested | FLCN mutation with autosomal dominant inheritance |
| 2020 [16] | Mixed breed | Renal cystadenoma | Not tested | Paraneoplastic syndrome or inherited disorder related to FLCN mutation |
| 2022 [7] | German Shepherd | (1) Nodules in skin, intraperitoneal masses, lungs, bronchial lymph nodes, epiglottis, myocardium, kidney, adrenal glands, and intestinal wall. (2) Cysts in the intraperitoneal cavity |
Not tested | (1) FLCN mutation causing autosomal dominant tumor suppressor loss (2) Local TGF-β1 overexpression (3) CD3+ T cells and CD163+ macrophages mediating inflammation and fibrosis |
| 2024 [13] | Beagle | Renal cysts suspected; no biopsy performed | Negative | Other genetic factors or mechanisms beyond FLCN |
| Case at present | Bichon Frise | Renal cysts suspected; no biopsy performed | Negative | No FLCN mutation; variants found in BRCA2 genes |
Disclaimer/Publisher’s Note: The statements, opinions and data contained in all publications are solely those of the individual author(s) and contributor(s) and not of MDPI and/or the editor(s). MDPI and/or the editor(s) disclaim responsibility for any injury to people or property resulting from any ideas, methods, instructions or products referred to in the content. |
© 2025 by the authors. Licensee MDPI, Basel, Switzerland. This article is an open access article distributed under the terms and conditions of the Creative Commons Attribution (CC BY) license (http://creativecommons.org/licenses/by/4.0/).