Submitted:
06 June 2025
Posted:
09 June 2025
You are already at the latest version
Abstract
Keywords:
Introduction
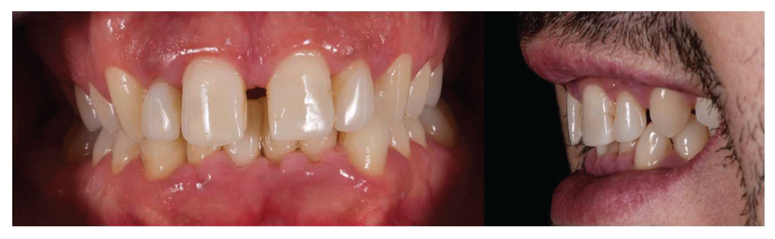
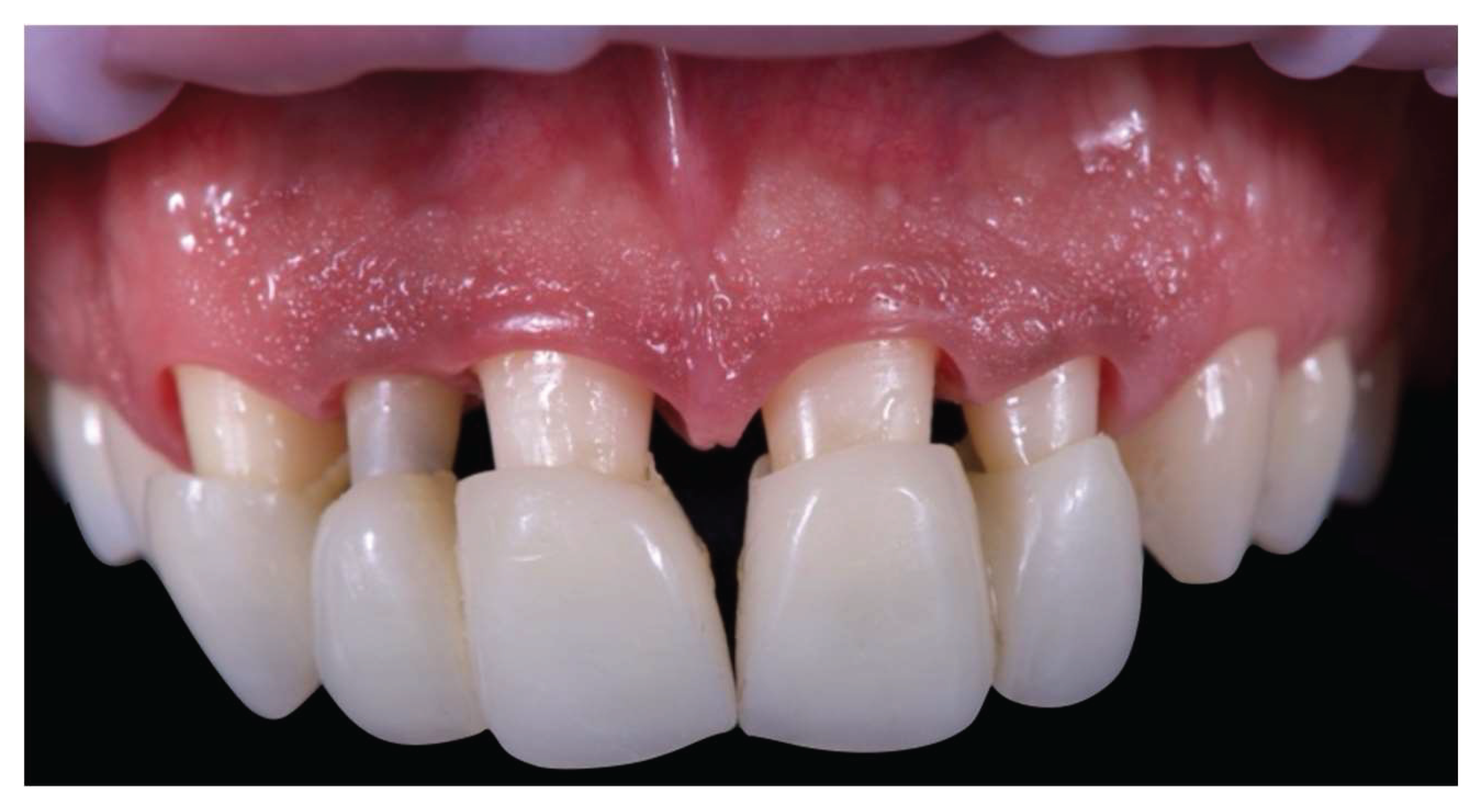
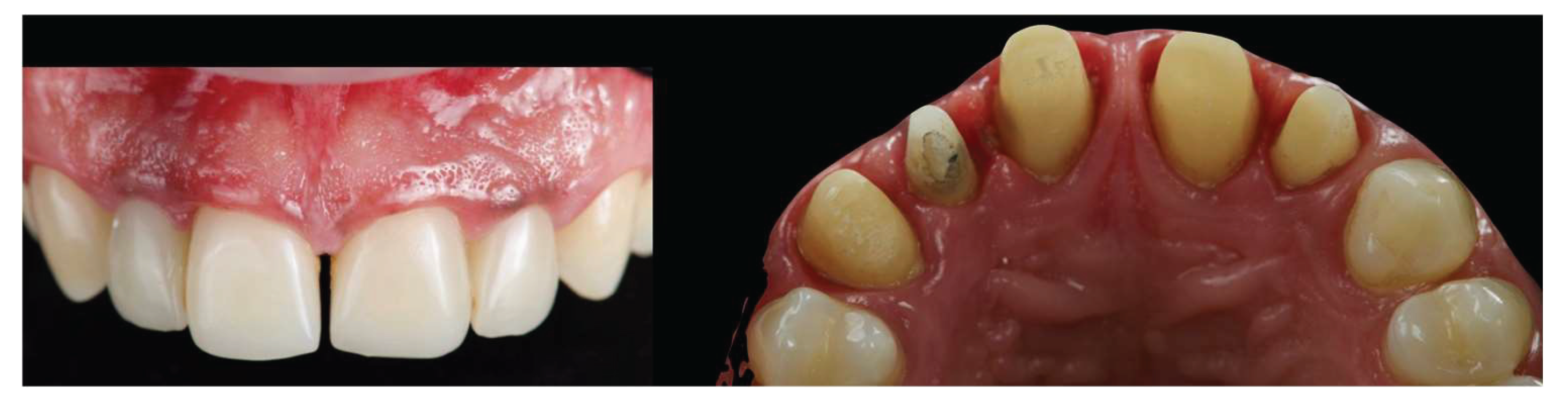
Case Summary
- Initial periodontal therapy.
- First temporary restorations made up of a milled PMMA bridge from tooth 13 to 11 and a second one from tooth 21 to 22.
- Endodontic therapy on tooth 22.
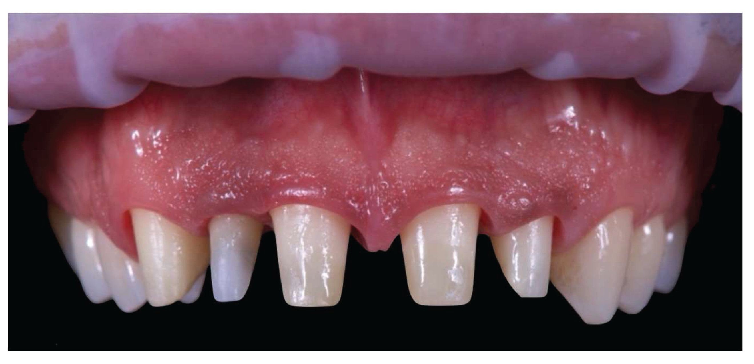
- Second temporary restorations on definitive teeth preparations.
- Definitive restorations made on porcelain fused to zirconia.
- Maintenance periodontal therapy every four months.
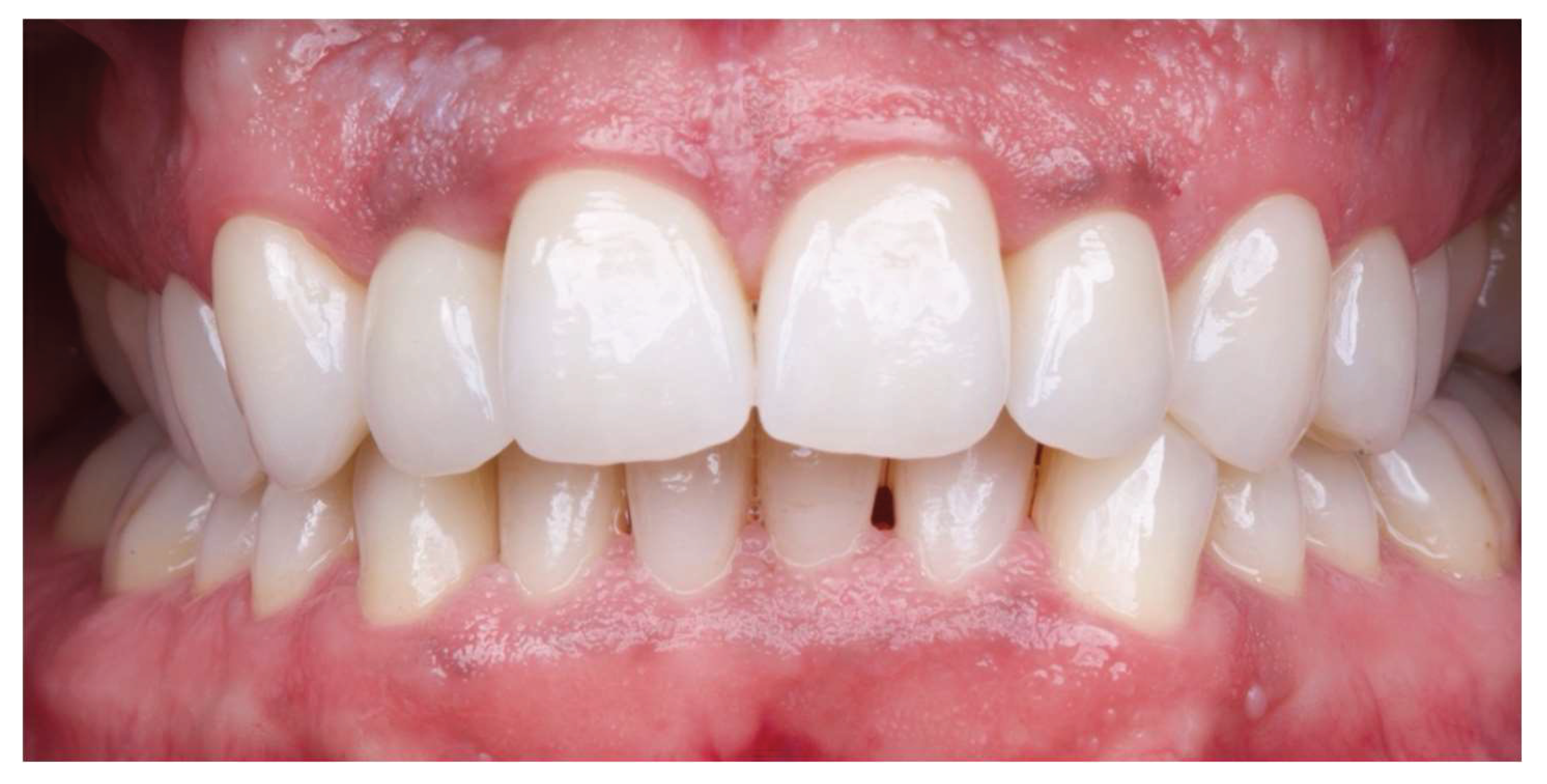
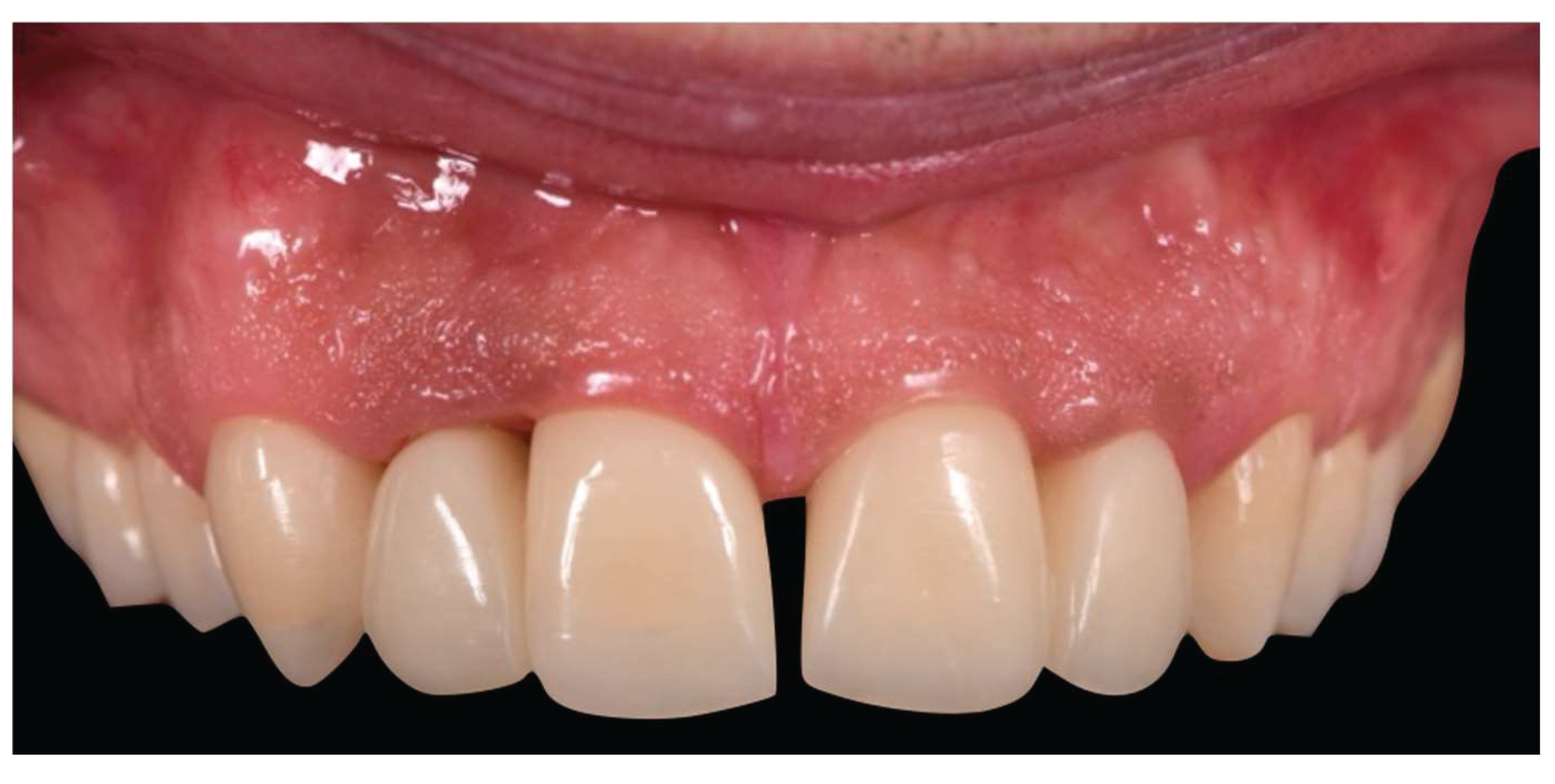
Clinical Procedures



Discussion
Conclusions
References
- Mangano Guest Editor F. Digital Dentistry: The Revolution has Begun. Open Dent J. 2018 Jan 31;12:59-60. PMID: 29492170; PMCID: PMC5814950. [CrossRef]
- Tallarico, M. Computerization and Digital Workflow in Medicine: Focus on Digital Dentistry. Materials 2020, 13, 2172. [CrossRef]
- Kihara H, Hatakeyama W, Komine F, Takafuji K, Takahashi T, Yokota J, Oriso K, Kondo H. Accuracy and practicality of intraoral scanner in dentistry: A literature review. J Prosthodont Res. 2020 Apr;64(2):109-113. Epub 2019 Aug 30. PMID: 31474576. [CrossRef]
- Papaspyridakos P, Vazouras K, Chen YW, Kotina E, Natto Z, Kang K, Chochlidakis K. Digital vs Conventional Implant Impressions: A Systematic Review and Meta-Analysis. J Prosthodont. 2020 Oct;29(8):660-678. Epub 2020 Jul 16. PMID: 32613641. [CrossRef]
- Ahrberg D, Lauer HC, Ahrberg M, Weigl P. Evaluation of fit and efficiency of CAD/CAM fabricated all-ceramic restorations based on direct and indirect digitalization: a double-blinded, randomized clinical trial. Clin Oral Investig. 2016 Mar;20(2):291-300. Epub 2015 Jun 14. PMID: 26070435. [CrossRef]
- Alghazzawi TF. Advancements in CAD/CAM technology: Options for practical implementation. J Prosthodont Res. 2016 Apr;60(2):72-84. Epub 2016 Feb 28. PMID: 26935333. [CrossRef]
- Risciotti E, Squadrito N, Montanari D, Iannello G, Macca U, Tallarico M, Cervino G, Fiorillo L. Digital Protocol to Record Occlusal Analysis in Prosthodontics: A Pilot Study. J Clin Med. 2024 Feb 28;13(5):1370. PMID: 38592229; PMCID: PMC10931913. [CrossRef]
- Zimmermann M, Mehl A, Mörmann WH, Reich S. Intraoral scanning systems - a current overview. Int J Comput Dent. 2015;18(2):101-29. English, German. PMID: 26110925.
- Kordass, B., Bernhardt, O., Ratzmann, A., Hugger, S., & Hugger, A. (2014). Standard and limit values of mandibular condylar and incisal movement capacity. International journal of computerized dentistry, 17(1), 9–20.
- Georg R. (2023). Digital Smile Design: Utilizing Novel Technologies for Ultimate Esthetics. Compendium of continuing education in dentistry (Jamesburg, N.J. : 1995), 44(10), 567–573.
- Abad-Coronel, C., Villacís Manosalvas, J., Palacio Sarmiento, C., Esquivel, J., Loi, I., & Pradíes, G. (2024). Clinical outcomes of the biologically oriented preparation technique (BOPT) in fixed dental prostheses: A systematic review. The Journal of prosthetic dentistry, 132(3), 502–508. [CrossRef]
- Tallarico, M.; Cuccu, M.; Meloni, S.M.; Lumbau, A.I.; Baldoni, E.; Pisano, M.; Fiorillo, L.; Cervino, G. Digital Analysis of a Novel Impression Method Named the Biological-Oriented Digital Impression Technique: A Clinical Audit. Prosthesis 2023, 5, 992-1001. [CrossRef]

















Disclaimer/Publisher’s Note: The statements, opinions and data contained in all publications are solely those of the individual author(s) and contributor(s) and not of MDPI and/or the editor(s). MDPI and/or the editor(s) disclaim responsibility for any injury to people or property resulting from any ideas, methods, instructions or products referred to in the content. |
© 2025 by the authors. Licensee MDPI, Basel, Switzerland. This article is an open access article distributed under the terms and conditions of the Creative Commons Attribution (CC BY) license (http://creativecommons.org/licenses/by/4.0/).