Submitted:
07 May 2025
Posted:
13 May 2025
You are already at the latest version
Abstract
Keywords:
Introduction
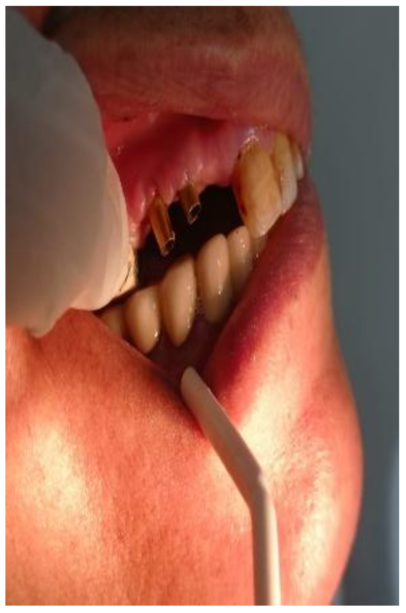
Case Report
- Assess the location of the fractured abutment, either clinically or radiographically by determining whether the fracture part is above or below the implant head.
- As the abutment screw fractures below the implant platform, Ultrasonic tip used counterclockwise for retrieving broken fragments under copious irrigation to avoid thermal damage to the surrounding bone. This is considering a straight forward noninvasive method.
- If the fracture screw still difficult to remove it entirely from the fixture. A cotton swab employed to extract the fragment. Oblique fractures in cotton swab may be more easily managed to help wedging the screw within the oblique part of the wooden swab.
- Finally healing abutment diameter 4 x 2 mm placed in implant to regain emergence profile until new restoration fabrication.
- advantages of this technique: Cost-effective and readily available in every clinic.






Results
- The ultrasonic tip technique has a significant impact by providing a safe and conservative method for removing fractured screw abutments from dental implants.
- This approach allows reuse of the same implant without causing trauma or imposing burdens on the patient.
- Managing fractured implant abutment screws poses a confusing situation for clinicians, particularly given the lack of established protocols regarding the treatment plan.
- Implementing a decision-making framework may offer a structured approach to addressing fractured abutment screws. According to this framework, the techniques for retrieving the fractured site depend on its location relative to the screw head. If the fractured abutment screw fragment cannot be removed, clinicians may opt to either remove the implant and replace it with a new one or abandon the implant and cover it with soft tissue. However, many may avoid choosing a new implant due to its high cost and the need for another surgical procedures.

Discussion
- In clinical practice, it is recommended to reduce the effect by retightening implant screws 10 minutes after the initial torque application.
- Mechanical torque gauges should be used instead of hand drivers for consistently tightening of implant components to the recommended torque values.
- The use of sealers to fill gaps between screws and implant threads, as well as adhesives to increase frictional resistance, has been suggested to minimize screw loosening. Ceka Bond (Preat, San Mateo, CA) is listed as an adhesive paste on the package.
Conclusion
- The use of osseointegrated implants to replace missing natural teeth has become a well-established clinical protocol in dentistry.
- Although implant fractures are rare, they are regarded as a serious complication that results in implant failure. Therefore, prevention is mandatory and depends on precise diagnosis, proper case selection, careful treatment planning, and thorough maintenance.
- The retrieval of a fractured screw is considered one of the most challenging scenarios. A decision-making tree serves as a valuable tool to guide clinicians in managing abutment screw fractures and ensuring the successful rehabilitation of the implant.
Recommendation
- To use dental loupes with a coaxial or light-emitting diode headlamp, or a dental surgical microscope, is highly recommended in cases of deep fractures to improve visualization.
- Further research in this area is recommended to highlight the challenges or simplicity involved in retrieving fractured abutment screws with different techniques applied.
Funding
Ethics Statement
Statement of informed consent
Data Availability
Conflicts of Interest
References
- Peitsinis, Panagiotis Rafail, et al. "Optimizing Implant Placement Timing and Loading Protocols for Successful Functional and Esthetic Outcomes: A Narrative Literature Review." Journal of Clinical Medicine 14.5 (2025): 1442. [CrossRef]
- Pereira, Rafael & Sabri, Hamoun & Nava, Paolo & Alrmali, Abdusalam & Wang, Hom-Lay. Treatment Strategies for Peri-Implant Mucositis: The Final Stop for Preventing Peri-Implantitis. International Journal of Dentistry. 2025. [CrossRef]
- Choi, Sunyoung, Young Suk Kang, and In-Sung Luke Yeo. "Influence of implant–abutment connection biomechanics on biological response: a literature review on interfaces between implants and abutments of titanium and zirconia." Prosthesis 5.2 (2023): 527-38. [CrossRef]
- Abdelfattah, MY. Abdelfattah MY. Different mechanical complications of implant prosthodontics. Int J Dent Res. 2014;2(6):190-6.
- Barreiros P, Neves L, Aroso C, Mendes JM, Silva AS. Comparison in four different implant systems of mechanical resistance to maximal stress in prosthetic screws—an in vitro study. Dentistry Journal. 2020 Oct 9;8(4):116. [CrossRef]
- Alsubaiy EF. Abutment screw loosening in implants: A literature review. Journal of Family Medicine and Primary Care. 2020 Nov 1;9(11):5490-4. [CrossRef]
- Nayana P, Nayak SS, Chatterjee A, Sivaraman K, Srikanth G, Singh C. Retrieval of fractured implant abutment screws: a narrative review. Journal of International Society of Preventive and Community Dentistry. 2022 May 1;12(3):287-94.
- Tabrizi, R.; Behnia, H.; Taherian, S.; Hesami, N. What Are the Incidence and Factors Associated With Implant Fracture? J. Oral Maxillofac. Surg.2017, 75, 1866–72. [CrossRef]
- Lee, J.H.; Kim, Y.T.; Jeong, S.N.; Kim, N.H.; Lee, D.W. Incidence and pattern of implant fractures: A long-term follow-up multicenter study. Clin. Implant Dent. Relat. Res. 2018, 20, 463–9. [CrossRef]
- Raju S, Nair VV, Karunakaran HK, Manjuran NG. Management of perishing implants with abutment screw fracture–A systematic review. The Journal of Indian Prosthodontic Society. 2021 Jul 1;21(3):229-39.
- Martínez-Alcaraz P, Flores-Fraile J, Agustín-Panadero R, Senent-Vicente G, Gómez-Polo C, de la Cruz-Jiménez S, et al. Retrievability of Fractured Abutment Screws and Damage to Implant–Abutment Connections: An In Vitro Comparative Analysis of Conventional vs. Drilling Techniques. Applied Sciences. 2024 Dec 18;14(24):11846.
- Moorthy A, Aljudaibi S, Donnelly-Swift E, Polyzois I, Grufferty B. An in vitro evaluation of 2 methods for retrieving fractured abutment screw fragments from the intaglio of 4 different implant systems. The Journal of Prosthetic Dentistry. 2024 Feb 1;131(2):282-90. [CrossRef]
- Agustín-Panadero R, Baixauli-López M, Gómez-Polo M, Cabanes-Gumbau G, Senent-Vicente G, Roig-Vanaclocha A. In vitro comparison of the efficacy of two fractured implant-prosthesis screw extraction methods: Conventional versus mechanical. The Journal of Prosthetic Dentistry. 2020 Dec 1;124(6):720-6. [CrossRef]
- Sane VD, Nair VS, Khandelwal S, Sane RV. A clinical tip for conservative retrieval of fractured abutment screw. The Journal of Indian Prosthodontic Society. 2023 Oct 1;23(4):398-400. [CrossRef]
Disclaimer/Publisher’s Note: The statements, opinions and data contained in all publications are solely those of the individual author(s) and contributor(s) and not of MDPI and/or the editor(s). MDPI and/or the editor(s) disclaim responsibility for any injury to people or property resulting from any ideas, methods, instructions or products referred to in the content. |
© 2025 by the authors. Licensee MDPI, Basel, Switzerland. This article is an open access article distributed under the terms and conditions of the Creative Commons Attribution (CC BY) license (http://creativecommons.org/licenses/by/4.0/).