Submitted:
06 May 2025
Posted:
06 May 2025
You are already at the latest version
Abstract
Keywords:
1. Introduction
2. Materials and Methods
2.1. Dogs
2.2. Histopathology and Immunohistochemistry
3. Results
3.1. Hemangiomas
3.1.1. Dogs
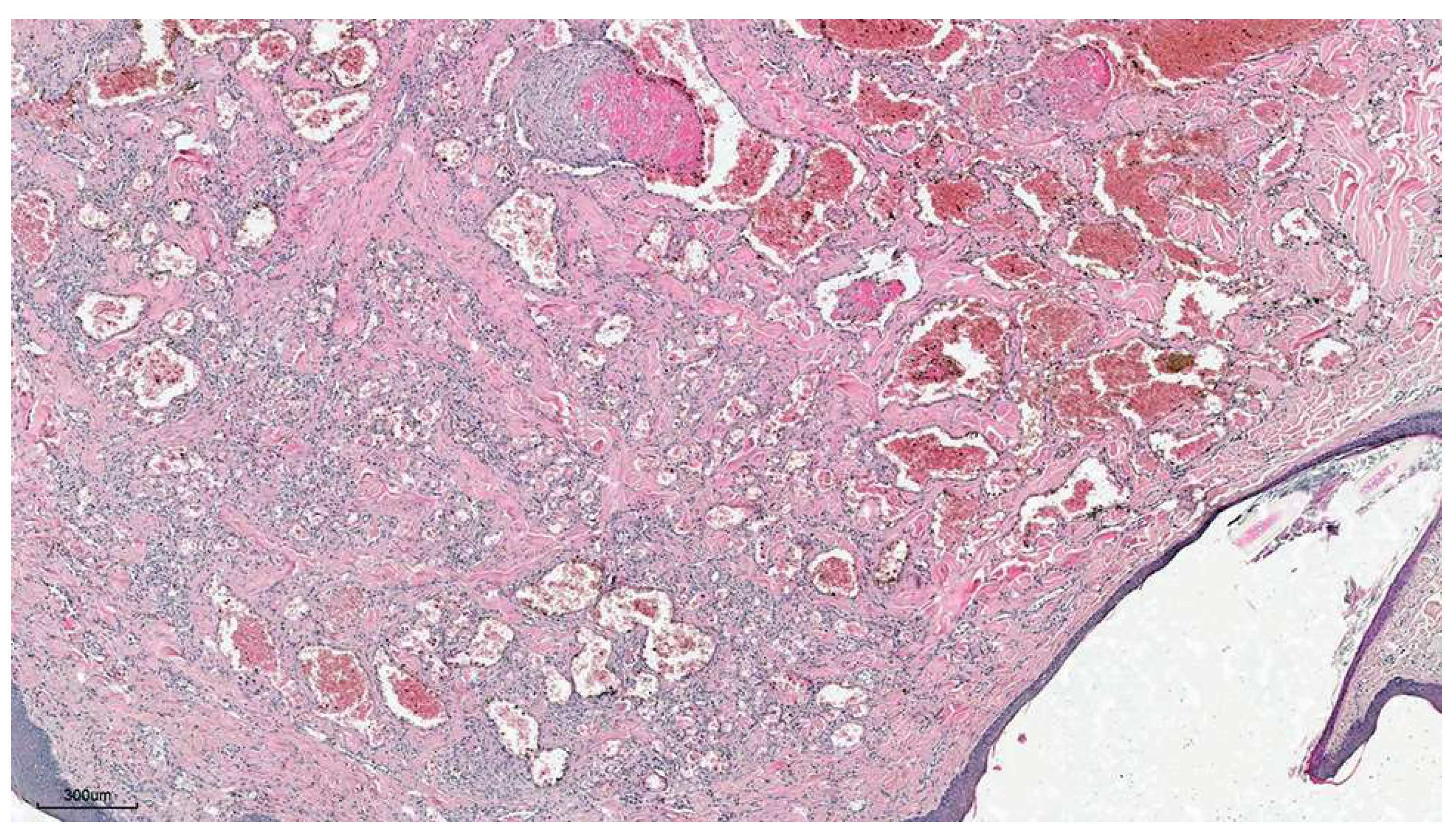
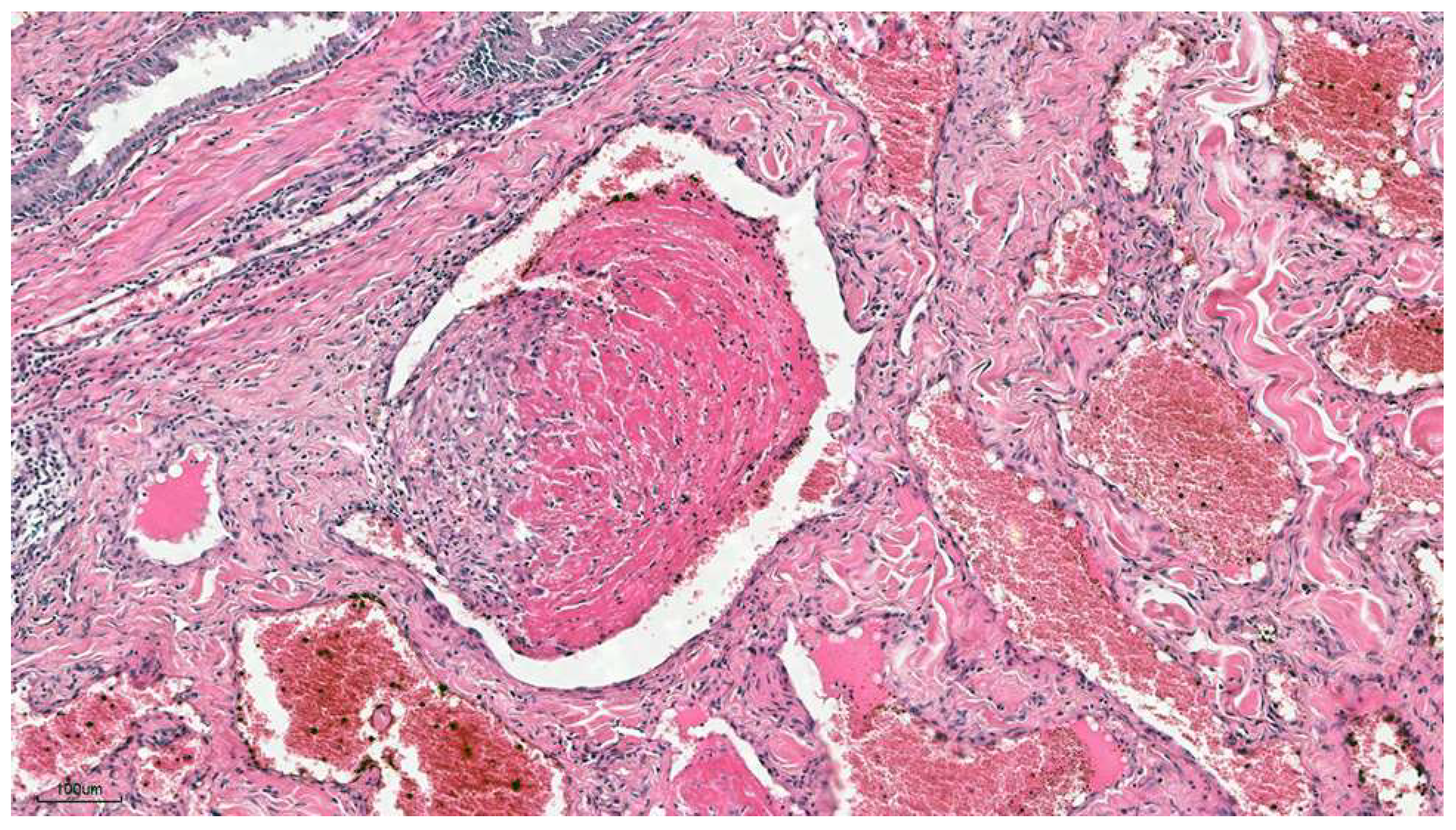
3.1.2. Histopathology
3.1.3. Immunohistochemistry
3.2. Hemangiosarcomas
3.2.1. Dogs
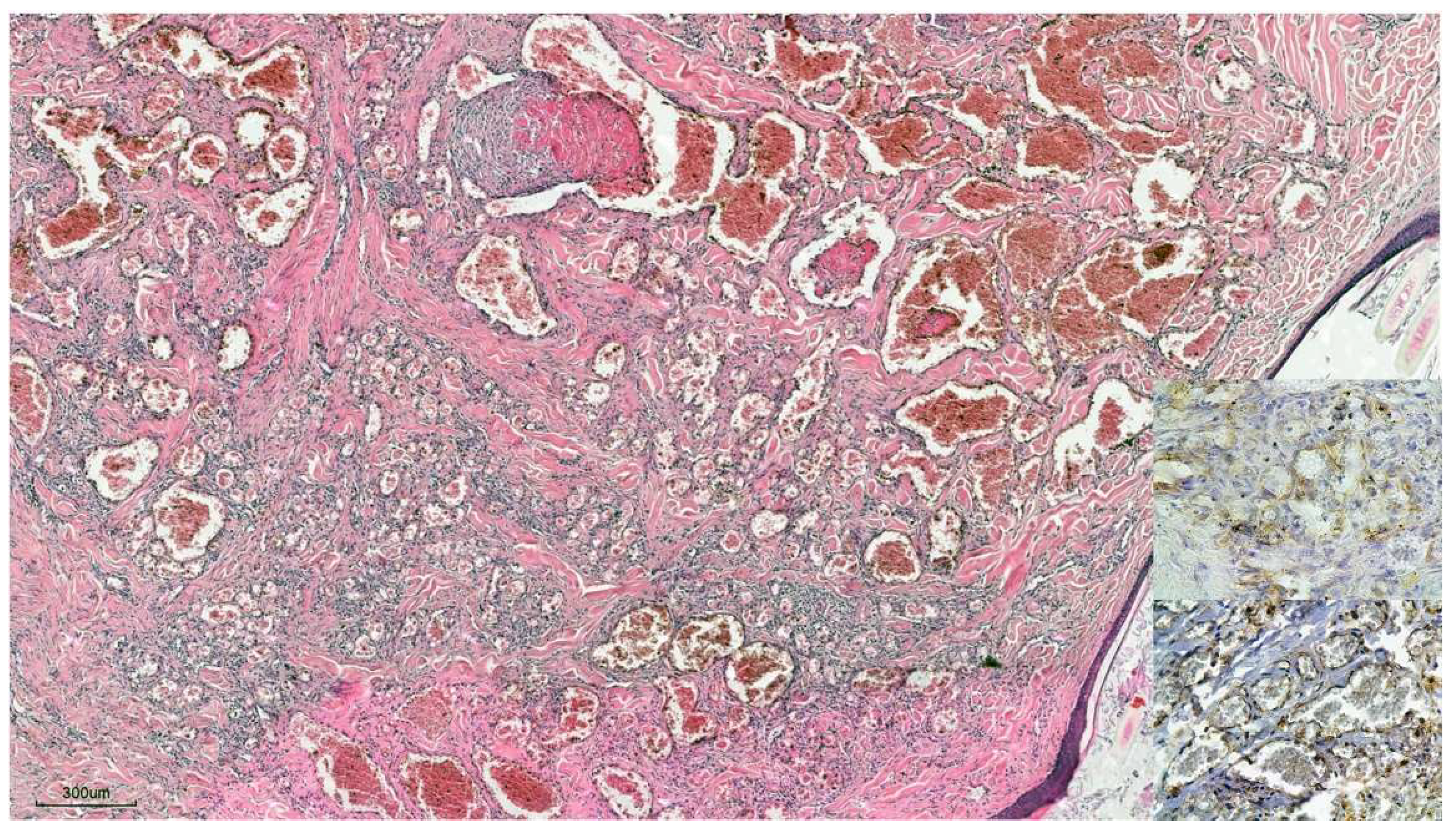
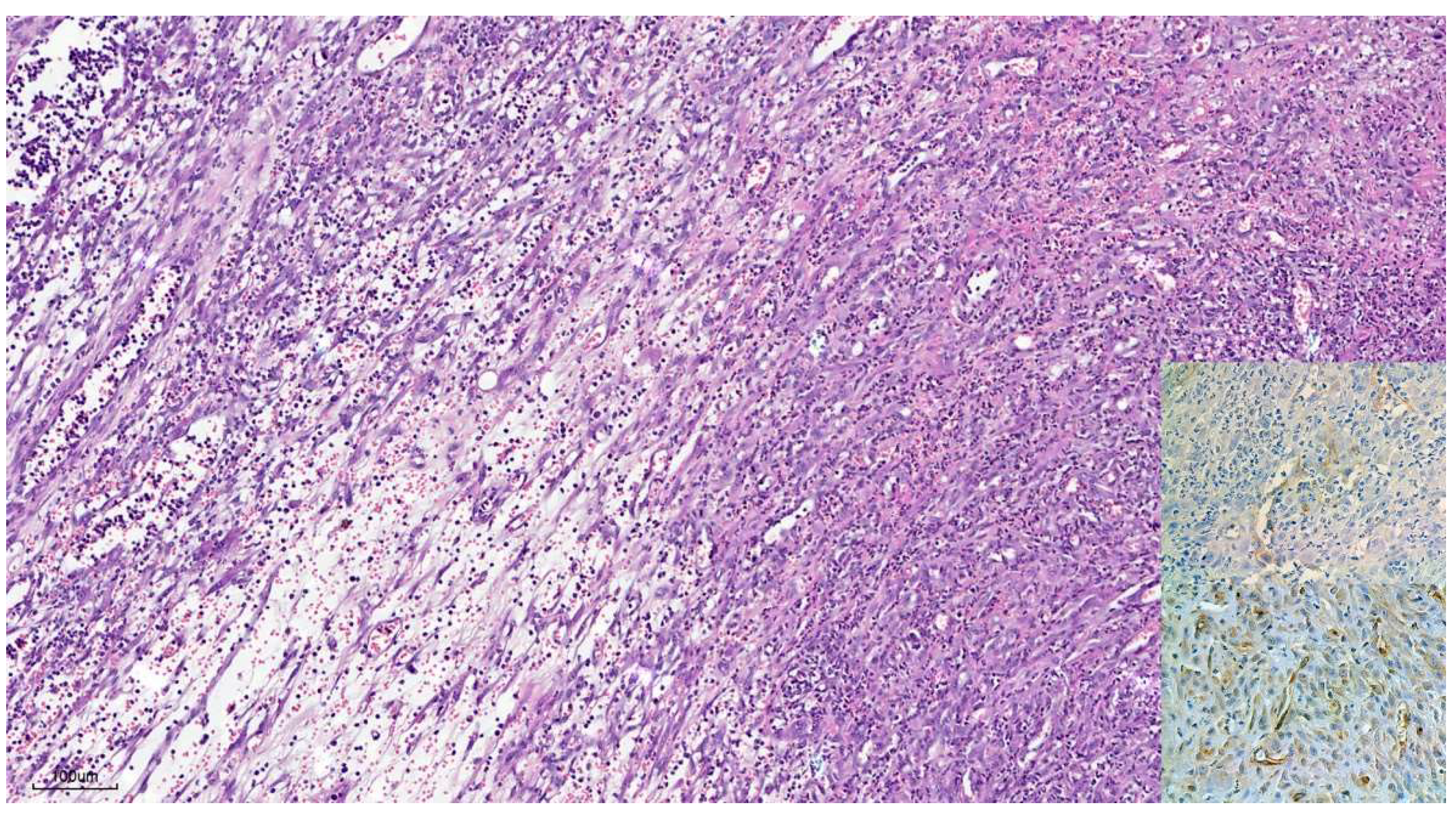
3.2.2. Histopathology
3.2.3. Immunohistochemistry
4. Discussion
5. Conclusions
Author Contributions
Funding
Acknowledgments
Conflicts of Interest
References
- Hendrick, M.J. Mesenchymal Tumors of the Skin and Soft Tissues. In Tumors in Domestic Animals, 5th ed.; Meuten, D.J., Ed. John Wiley & Sons Inc.: Ames, Iowa, USA, 2017; pp. 142–175. [Google Scholar] [CrossRef]
- Mauldin, E.A.; Peters-Kennedy, J. Integumentary System. In Jubb, Kennedy and Palmer’s Pathology of Domestic Animals, 6th ed.; Maxie, M.G., Ed.. Elsevier: Missouri, USA, 2016; Volume 1, pp. 509–736. [Google Scholar] [CrossRef]
- Hargis, A.M.; Ihrke, P.J.; Spangler, W.L.; Stannard, A.A. A retrospective clinicopathologic study of 212 dogs with cutaneous hemangiomas and hemangiosarcomas. Vet Pathol 1992, 29, 316–328. [Google Scholar] [CrossRef]
- Nóbrega, D.F.; Sehaber, V.F.; Madureira, R.; Bracarense, A.P.F.R.L. Canine cutaneous haemangiosarcoma: Biomarkers and survival. J Comp Pathol 2019, 166, 87–96. [Google Scholar] [CrossRef]
- Carloni, A.; Terragni, R.; Morselli-Labate, A.M.; Paninarova, M.; Graham, J.; Valenti, P.; Alberti, M.; Albarello, G.; Millanta, F.; Vignoli, M. Prevalence, distribution, and clinical characteristics of hemangiosarcoma-associated skeletal muscle metastases in 61 dogs: A whole body computed tomographic study. J Vet Intern Med 2019, 33, 812–819. [Google Scholar] [CrossRef] [PubMed]
- Fernandez, S.; Lang, J.M.; Maritato, K.C. Evaluation of nodular splenic lesions in 370 small-breed dogs (<15 kg). J Am Anim Hosp Assoc 2019, 55, 201–209. [Google Scholar] [CrossRef]
- Leyva, F.J.; Loughin, C.A.; Dewey, C.W.; Marino, D.J.; Akerman, M.; Lesser, M. L:. Histopathologic characteristics of biopsies from dogs undergoing surgery with concurrent gross splenic and hepatic masses: 125 cases (2012–2016). BMC Res Notes 2018, 11, 12. [Google Scholar] [CrossRef] [PubMed]
- Day, M.J.; Lucke, V.M.; Pearson, H. A review of pathological diagnoses made from 87 canine splenic biopsies. J Small Anim Pract 1995, 36, 426–433. [Google Scholar] [CrossRef] [PubMed]
- Johnson, K.A.; Powers, B.E.; Withrow, S.J.; Sheetz, M.J.; Curtis, C.R.; WrigleyR.H. Splenomegaly in dogs. Predictors of neoplasia and survival after splenectomy. J Vet Intern Med 1989, 3, 160-166. [CrossRef]
- Iwata, M.; Aikawa, T.; Miyazaki, Y.; Sadahiro, S. Primary colonic hemangiosarcoma in a dog. Can Vet J 2018, 59: 373–378. [PubMed Central]
- Osuga T, Nakamura K, Morita T, Sadahiro S. Diastolic heart failure associated with hemangiosarcoma infiltrating left ventricular walls in a dog. Can Vet J 2017, 58, 1167-1170. [PubMed Central]
- Burchell, R.K.; Kirberger, R.M.; van Rensberg, J.D.D. Haemangiosarcoma of the os penis in a dog: The most common neoplasm of the canine penis. J S Afr Vet Assoc 2014, 85, e1–e4. [Google Scholar] [CrossRef]
- Yamamoto, S.; Hoshi, K.; Hirakawa, A.; Chimura, S.; Kobayashi, M.; Machida, N. Epidemiological, clinical and pathological features of primary cardiac hemangiosarcoma in dogs: A review of 51 cases. J Vet Med Sci 2013, 75, 1433–1441. [Google Scholar] [CrossRef]
- Guinan, J.; Fischetti, A.; Garate, A.P.; Chalhoub, S. Primary peri-aortic hemangiosarcoma in a dog. Can Vet J 2012, 53, 1214–1218. [Google Scholar] [PubMed Central]
- Clifford, C.A.; Mackin, A.J.; Henry, C.J. Treatment of canine hemangiosarcoma: 2000 and beyond. J Vet Intern Med 2000, 14, 479–485. [Google Scholar] [CrossRef]
- van der Gaag, I.; Vos, J.H.; van der Linde-Sipman, J.S.; Koeman, J.P. Canine capillary and combined capillary-cavernous haemangioma. J Comp Pathol 1989, 101, 69–74. [Google Scholar] [CrossRef] [PubMed]
- Aronsohn, M. Cardic hemangiosarcoma in the dog: a review of 38 cases. J Am Vet Med Assoc 1985, 187, 922–926. [Google Scholar] [CrossRef]
- Brown, N,O.; Patnaik, A.K.; MacEwen, E,G. Canine hemangiosarcoma: retrospective analysis of 104 cases. J Am Vet Med Assoc 1985, 186, 56-58. [PubMed]
- Choi, E.W. Deep dermal and subcutaneous canine hemangiosarcoma in the perianal area: diagnosis of perianal mass in a dog. BMC Vet Res 2019, 15, 115. [Google Scholar] [CrossRef]
- Trappler, M.C.; Popovitch, C.A.; Goldschmidt, M.H.; Goldschmidt, K.H.; Risbon, R.E. Scrotal tumors in dogs: A retrospective study of 676 cases (1986–2010). Can Vet J 2014, 55, 1229–1233. [Google Scholar] [PubMed] [PubMed Central]
- Tsuji, N.; Furukawa, S.; Ozaki, K. Cutaneous hemangiosarcoma in a dog. J Toxicol Pathol 2013, 26, 193–195. [Google Scholar] [CrossRef] [PubMed]
- Schultheiss, P.C. A retrospective study of visceral and nonvisceral hemangiosarcoma and hemangiomas in domestic animals. J Vet Diagn Invest 2004, 16, 522–526. [Google Scholar] [CrossRef]
- Ward, H.; Fox, L.E.; Calderwood-Mays, M.B.; Hammer, A.S.; Couto, C.G. Cutaneous hemangiosarcoma in 25 dogs: a retrospective study. J Vet Intern Med 1994, 8, 345–348. [Google Scholar] [CrossRef]
- Valli, V.E.; Bienzle, D.; Meuten, D.J. Tumors of the hemolymphatic system. In Tumors in Domestic Animals, 5th ed.; Meuten, D.J., Ed. John Wiley & Sons Inc.: Ames, Iowa, USA, 2017; pp. 209–321. [Google Scholar] [CrossRef]
- Kim, J.H.; Graef, A.J.; Dickerson, E.B.; Modiano, J.F. . Pathobiology of hemangiosarcoma in dogs: research advances and future perspectives. Vet Sci 2015, 2, 388–405. [Google Scholar] [CrossRef]
- Gorden, B.H.; Kim, J.H.; Sarver, A.L; Frantz, A.M.; Breen, M.; Lindblad-Toh, K.; O'Brien, T.D.; Sharkey, L.C.; Modiano, J.F.; Dickerson, E.B. Identification of three molecular and functional subtypes in canine hemangiosarcoma through gene expression profiling and progenitor cell characterization. Am J Pathol 2014, 184, 985–995. [Google Scholar] [CrossRef]
- Shor, S.; Helefard, S.C.; Gorman, E.; Löhr, C.V. Diagnostic exercise: epithelioid hemangiosarcoma mimicking metastatic prostatic neoplasia in a dog. Vet Pathol 2009, 46, 548–552. [Google Scholar] [CrossRef]
- Warren, A.L.; Summers, B.A. Epithelioid variant of hemangioma and hemangiosarcoma in the dog, horse, and cow. Vet Pathol 2007, 44, 15–24. [Google Scholar] [CrossRef] [PubMed]
- Dickerson, E.B.; Thomas, R.; Fosmire, S.P.; Lamerato-Kozicki, A.R.; Bianco, S.R.; Wojcieszyn, J.W.; Breen, M.; Helfand, S.C.; Modiano, J.F. Mutations of phosphatase and tensin homolog deleted from chromosome 10 in canine hemangiosarcoma. Vet Pathol 2005, 42, 618–632. [Google Scholar] [CrossRef] [PubMed]
- Varela, B.; Larrañaga, C.; Yamasaki, K.; Verdes, J.M. Canine splenic tumors: histopathological study of 9 cases in Uruguay, 2019-2020. Braz J Vet Pathol 2022, 15, 127–132. [Google Scholar] [CrossRef]
- Varela, B.; Larrañaga, C.; Yamasaki, K.; Verdes, J.M. Histopathological case study of canine hemangiosarcoma with multiple organ metastases. Braz J Vet Pathol 2022, 15, 169–173. [Google Scholar] [CrossRef]
- Jennings, R.N.; Miller, M.A.; Ramos-Vara, J.A. Comparison of CD34, CD31, and factor VIII–related antigen immunohistochemical expression in feline vascular neoplasms and CD34 expression in feline nonvascular neoplasms. Vet Pathol 2012, 49, 532–537. [Google Scholar] [CrossRef]
- Ramos-Vara, J.A.; Miller, M.A.; Gilbreath, E.; Patterson, J.S. Immunohistochemical detection of CD34, E-cadherin, claudin-1, glucose transporter 1, laminin, and protein gene product 9.5 in 28 canine and 8 feline meningiomas. Vet Pathol 2010, 47, 725–737. [Google Scholar] [CrossRef]
- Ramos-Vara, J.A.; Beissenherz, M.E. Optimization of immunohistochemical methods using two different antigen retrieval methods on formalin-fixed, paraffin-embedded tissues: experience with 63 markers. J Vet Diagn Invest 2000, 12, 307–311. [Google Scholar] [CrossRef]
- Lather, D.; Nehra, V.; Gupta, R.P.; Jakhar, K.; Agnihotri, D.; Chaudhary, R. Cutaneous haemangioma in a dog - a case report. Haryana Vet 2014, 54, 89–90. [Google Scholar]
- Von Beust, B.R.; Suter, M.M.; Summers, B.A. Factor VIII-related antigen in canine endothelial neoplasms: An immunohistochemical study. Vet Pathol 1988, 25, 251–255. [Google Scholar] [CrossRef]
- Ferrer, L.; Fondevila, D.; Rabanal, R.M.; Vilafranca, M. Immunohistochemical detection of CD31 antigen in normal and neoplastic canine endothelial cells. J Comp Pathol 1995, 112, 319–326. [Google Scholar] [CrossRef]
- Tinsley, A. Canine hemangiosarcoma: a certainly less than ideal, very ugly cancer. Preprints 2020, 1, 1–14. [Google Scholar] [CrossRef]
- Robinson, K.L.; Bryan, M.E.; Atkinson, E.S.; Keeler, M.R.; Hahn, A.W.; Bryan, J.N. Neutering is associated with developing hemangiosarcoma in dogs in the Veterinary Medical Database: An age and time-period matched case-control study (1964–2003). Can Vet J 2022, 61, 499–505. [Google Scholar] [PubMed Central]
- Sprangler, W.L. ; Kass, P,H. Pathologic factors affecting postsplenectomy survival in dogs. J Vet Intern Med 1997, 11, 166–171. [Google Scholar] [CrossRef]
- Sprangler, W.L.; Culbertson, M.R. Prevalence, type, and importance of splenic diseases in dogs: 1,480 cases (1985–1989). J Am Vet Med Assoc 1992, 15, 829–834. [Google Scholar] [CrossRef] [PubMed]
- De Nardi, A.B.; Gomes, C.O.M.S.; Fonseca-Alves, C.E.; de Paiva F.N.; Linhares, S.C.M.; Carra, G.J.U.; Horta, R.D.S.; Sueiro, F.A.R.; Jark, P.C.; Nishiya, A.T.; Vasconcellos, C.H.C.; Ubukata, R.; Batschinski, K.; Sobral, R.A.; Fernandes, S.C.; Biondi, L.R.; Strefezzi, R.F.; Matera, J.M.; Rangel, M.M.M.; Dos Anjos, D.S.; Brunner, C.H.M.; Laufer-Amorim, R.; Cadrobbi, K.G.; Cirillo, J.V.; Martins, M.C.; Filho, N.P.R.; Lessa, D.F.S.; Portela, R.; Carneiro, C.S.; Lucas, S.R.R.; Fukumasu, H.; Feliciano, M.A.R.; 14, Quitzan, J.G.; Dagli, M.L.Z. Diagnosis, prognosis, and treatment of canine hemangiosarcoma: a review based on a consensus organized by the Brazilian Association of Veterinary Oncology, ABROVET. Cancers 2023, 15, 2025. [CrossRef]
- Gruntzig. K.; Graf, R.; Boo, G.; Guscetti, F.;Hässig, M.; Axhausen, K.W.; Fabrikant, S.; Welle, M.; Meier, D.; Folkers, G.; Pospischil, A. Swiss Canine Cancer Registry 1955-2008: occurrence of the most common tumour diagnoses and influence of age, breed, body size, sex and neutering status on tumour development. J Comp Pathol 2016, 155, 156-170. [CrossRef]
- Prymak, C.; McKee, L.J.; Goldschmidt, M.H.; Glickman, L.T. Epidemiologic, clinical, pathologic, and prognostic characteristics of splenic hemangiosarcoma and splenic hematoma in dogs: 217 cases. J Am Vet Med Assoc 1998, 193, 706–712. [Google Scholar] [CrossRef] [PubMed]
- Srebernik, N.; Appleby, E.C. Breed prevalence and sites of haemangioma and haemangiosarcoma in dogs. Vet Rec 1991, 129, 408–409. [Google Scholar] [CrossRef]
- Griffin, M.A.; Culp, W.T.N.; Rebhun, R.B. Canine and feline haemangiosarcoma. Vet Rec 2021, 585, e585. [Google Scholar] [CrossRef]
- Ramos-Vara, J.A.; Miller, M.A.; Dusold, D.M. Immunohistochemical expression of CD31 (PECAM-1) in nonendothelial tumors of dogs. Vet Pathol 2018, 55, 402–408. [Google Scholar] [CrossRef]




| Items | Dogs (%) |
| Breeds (n = 25) | |
| Mixed | 11 (44) |
| German Shepherd | 3 (12) |
| Boxer | 2 (8) |
| Cocker Spaniel | 2 (8) |
| Sharpei | 2 (8) |
| Others | 5 (20) |
| Sex (n = 25) | |
| Male | 13 (52) |
| Female | 12 (48) |
| Localization (n = 25) | |
| Limbs | 10 (40) |
| Trunk | 9 (36) |
| Neck | 3 (12) |
| No information | 3 (12) |
| Histological occurrence site (n = 25) | |
| Dermis | 24 (86) |
| Subcutaneous tissue | 1 (4) |
| Histological grading (n = 25) | |
| Mixed capillary and cavernous types | 23 (92) |
| Capillary type | 1 (4) |
| Cavernous type | 1 (4) |
| Items | Dogs (%) |
| Breeds (n = 24) | |
| Mixed | 10 (42) |
| Pitbull Terrier | 3 (13) |
| Labrador Retriever | 2 (8) |
| Boxer | 2 (8) |
| Others | 7 (29) |
| Sex(n = 24) | |
| Male | 10 (42) |
| Female | 14 (58) |
| Localization (n = 24) | |
| Trunk | 12 (50) |
| Limbs | 8 (34) |
| Scrotum | 2 (8) |
| Lip | 1 (4) |
| No information | 1 (4) |
| Histological types (n = 24) | |
| Mixed capillary, cavernous, and solid types | 9 (39) |
| Mixed cavernous and solid types | 6 (25) |
| Mixed capillary, cavernous, solid, and epithelioid types | 2 (8) |
| Mixed solid and epithelioid types | 2 (8) |
| Mixed capillary, solid, and epithelioid types | 2 (8) |
| Mixed cavernous, solid, and epithelioid types | 1 (4) |
| Capillary type | 1 (4) |
| Epithelioid type | 1 (4) |
Disclaimer/Publisher’s Note: The statements, opinions and data contained in all publications are solely those of the individual author(s) and contributor(s) and not of MDPI and/or the editor(s). MDPI and/or the editor(s) disclaim responsibility for any injury to people or property resulting from any ideas, methods, instructions or products referred to in the content. |
© 2025 by the authors. Licensee MDPI, Basel, Switzerland. This article is an open access article distributed under the terms and conditions of the Creative Commons Attribution (CC BY) license (http://creativecommons.org/licenses/by/4.0/).