Submitted:
17 April 2025
Posted:
17 April 2025
You are already at the latest version
Abstract
Keywords:
1. Introduction
2. Case Presentation
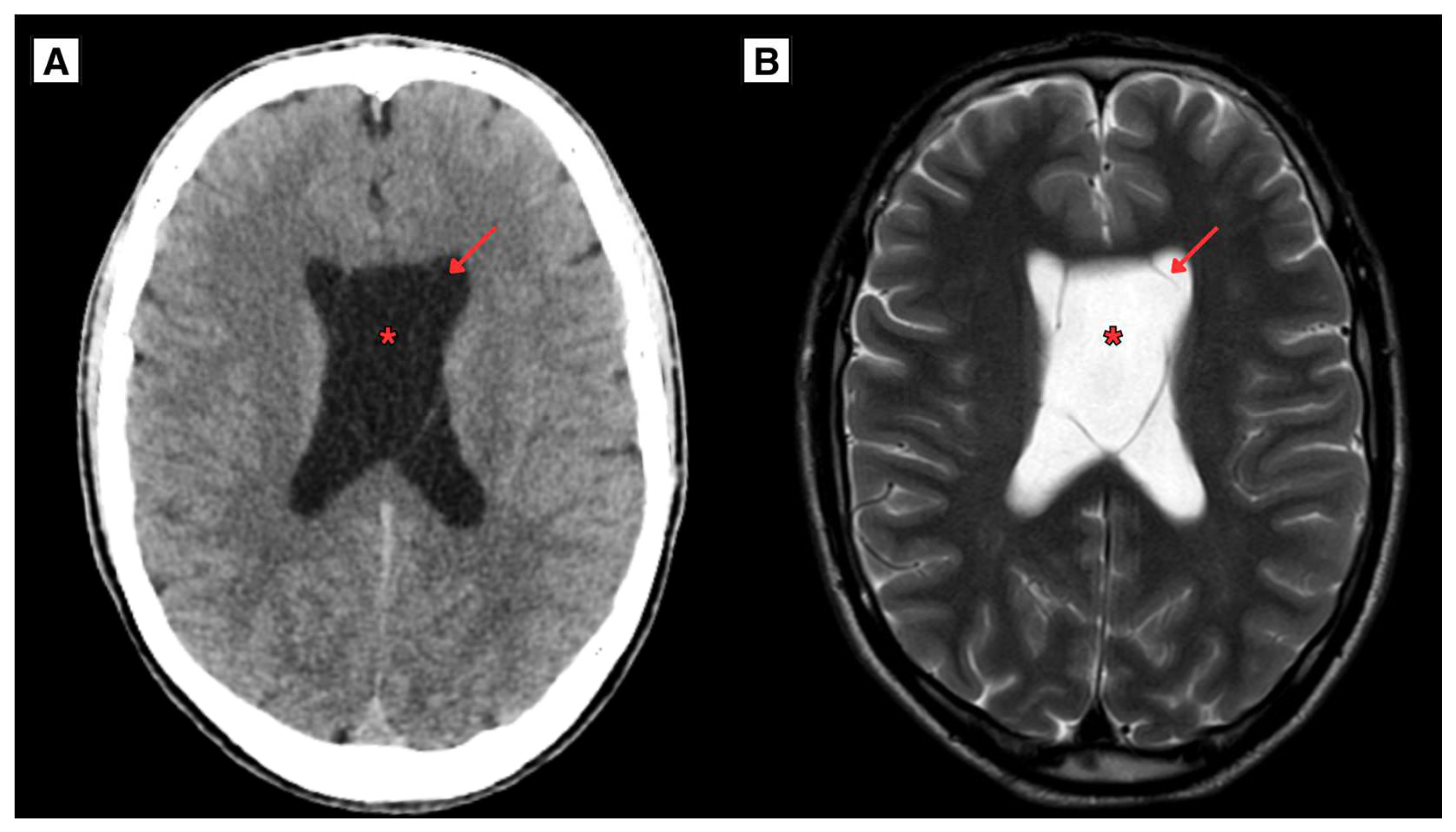
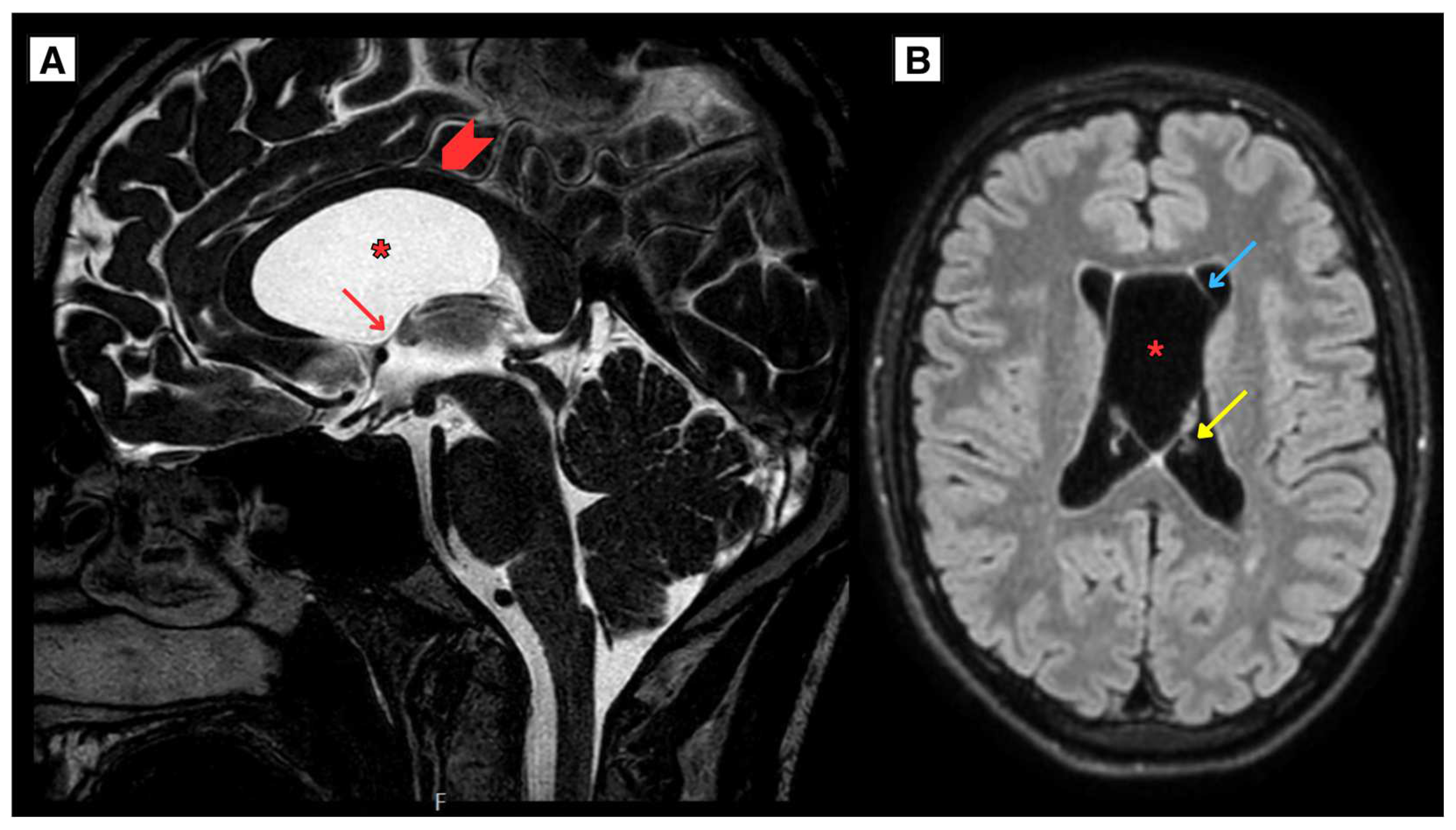
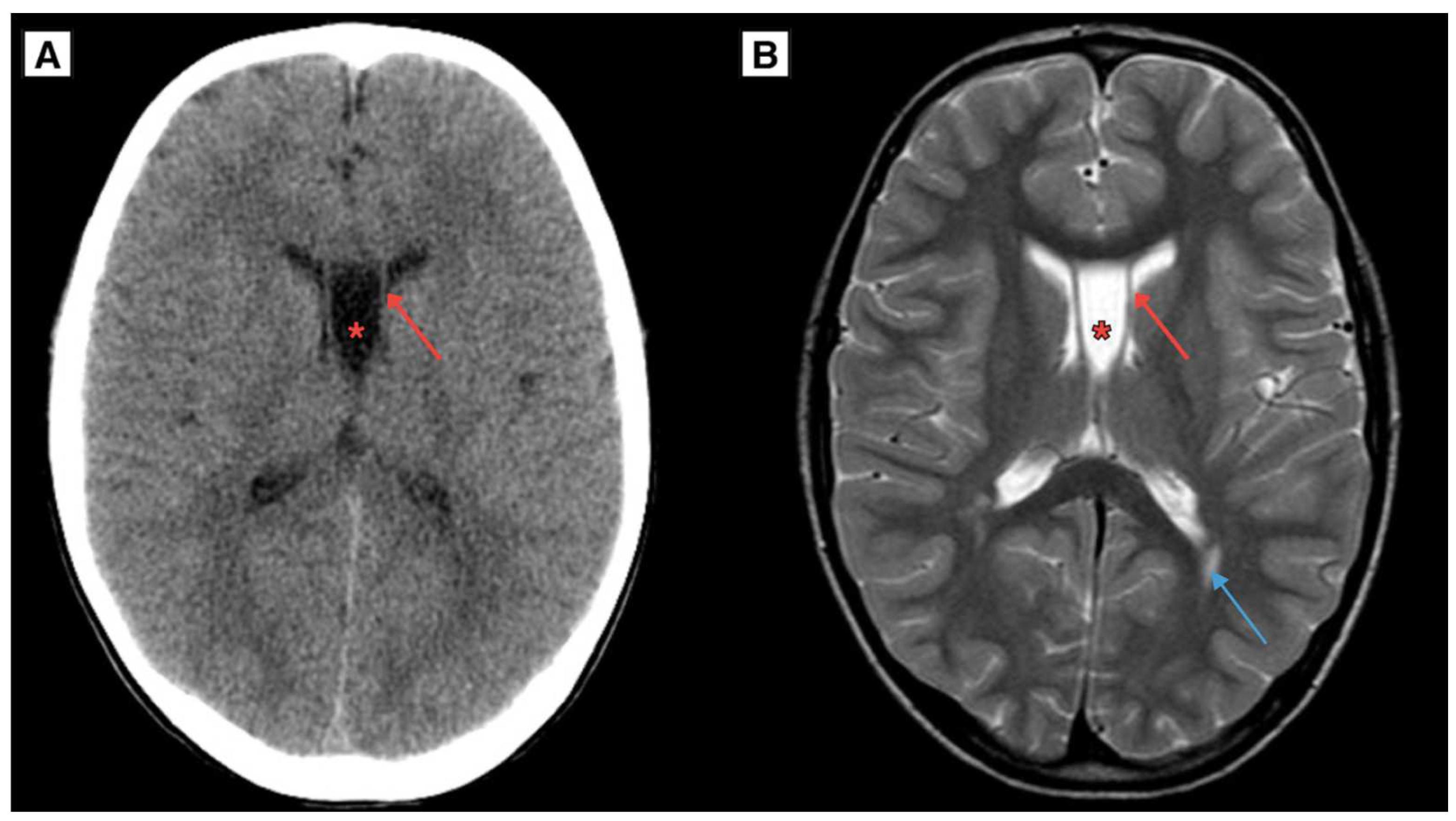
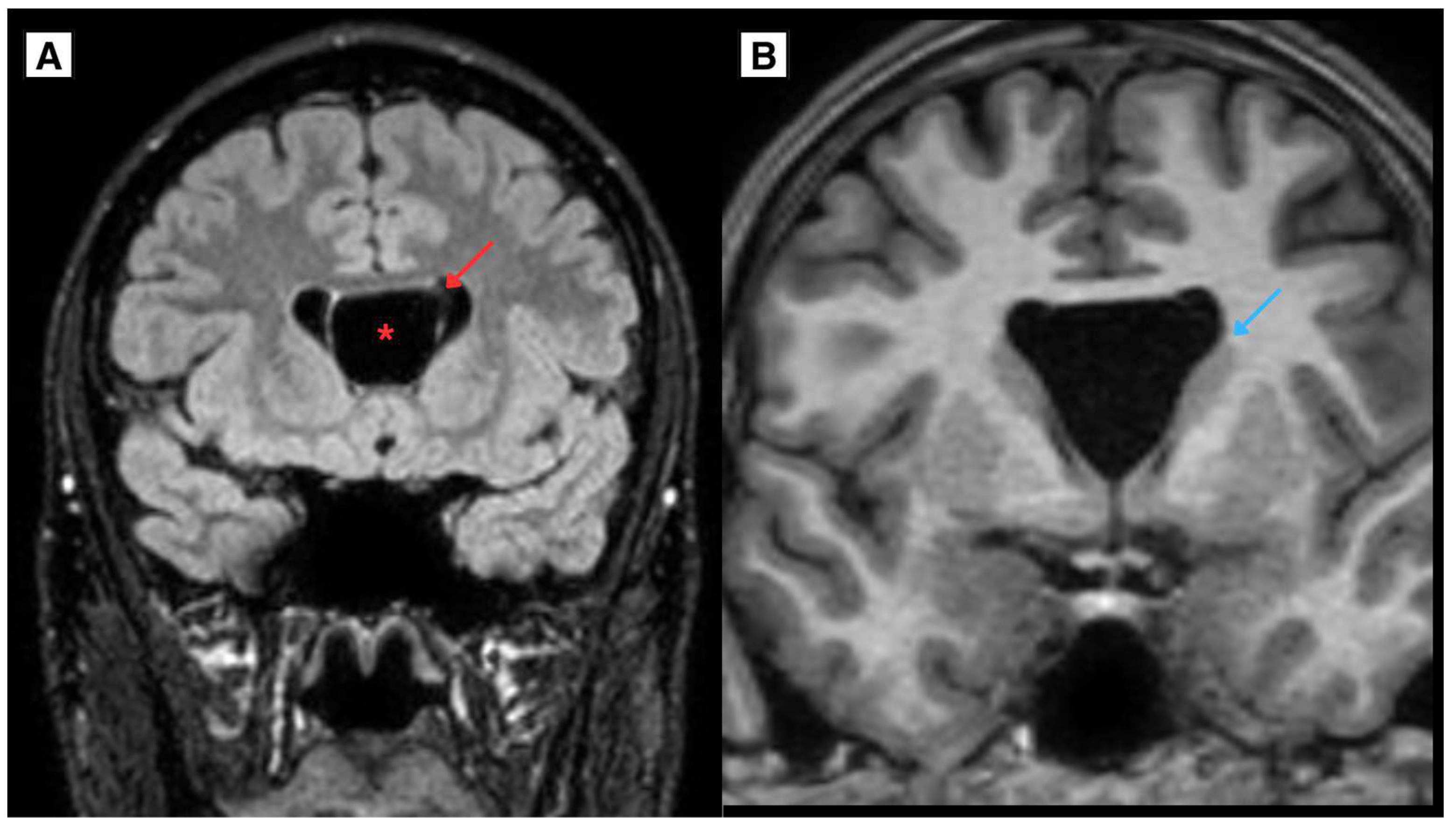
2.1. Retrospective imaging Review
2.2. A Novel Anatomical Pattern in CSP Cyst Imaging
3. Discussion
4. Conclusions
Author Contributions
Funding
Institutional Review Board Statement
Informed Consent Statement
Data Availability Statement
Acknowledgments
Conflicts of Interest
References
- Das, J.M.; Dossani, R.H. Cavum septum pellucidum. StatPearls. Treasure Island, FL: StatPearls Publishing. 2023. Available online: https://www.pubmed.ncbi.nlm.nih.gov/30725733 (accessed on 29 January 2025).
- Simonin, A.; Lind, C.R.P. Surgical management of symptomatic cavum septum pellucidum cysts: systematic review of the literature. Neurosurg. Rev. 2020, 44, 2425–2432. [Google Scholar] [CrossRef] [PubMed]
- Kryukov, E.; Stanishevsky, A.; Гаврилoв, Г.В.; Gizatullin, S. Cysts of septum pellucidum, cavum vergae and cavum veli interpositi. Meta-analysis of 368 cases. Vopr. neirokhirurgii Im. N.N. Burdenko 2020, 84, 111–118. [Google Scholar] [CrossRef] [PubMed]
- Oktem, H.; Dilli, A.; Kurkcuoglu, A.; Pelin, C. Prevalence of Septum Pellucidum Variations: A Retrospective Study. OALib 2018, 05, 1–9. [Google Scholar] [CrossRef]
- Ferreira, D.B.C.d.O.; Medeiros, J.W.; Cwajg, E.; Ferreira-Pinto, P.H.C.; de Carvalho, L.U.; Nigri, F. Cavum septum pellucidum and vergae cyst: A symptomatic case with intracranial hypertension and multiple nerve involvement. Surg. Neurol. Int. 2022, 13, 564. [Google Scholar] [CrossRef] [PubMed]
- Chen, J.-J.; Chen, C.-J.; Chang, H.-F.; Chen, D.-L.; Hsu, Y.-C.; Chang, T.-P. Prevalence of cavum septum pellucidum and/or cavum Vergae in brain computed tomographies of Taiwanese. . 2014, 23, 49–54. [Google Scholar] [PubMed]
- Krejčí, T.; Vacek, P.; Krejčí, O.; Chlachula, M.; Szathmaryová, S.; Lipina, R. Symptomatic cysts of the cavum septi pellucidi, cavum vergae and cavum veli interpositi: A retrospective duocentric study of 10 patients. Clin. Neurol. Neurosurg. 2019, 185, 105494. [Google Scholar] [CrossRef] [PubMed]
- Pillai, B.; Farooque, U.; Sapkota, M.; Hassan, S.A.; Mechtler, L.L. Symptomatic Cavum Septum Pellucidum Cyst: A Rare Presentation. Cureus 2020, 12. [Google Scholar] [CrossRef] [PubMed]
- Wang, L.; Ling, S.-Y.; Niu, C.-S.; Qian, R.-B.; Fu, X.-M. Neuronavigation-Assisted Endoscopic Unilateral Cyst Fenestration for Treatment of Symptomatic Septum Pellucidum Cysts. J. Neurol. Surg. Part A: Central Eur. Neurosurg. 2013, 74, 209–215. [Google Scholar] [CrossRef] [PubMed]
- Kojder, K. CLINICAL AND RADIOLOGICAL CHARACTERISTICS OF THE CYST OF THE SEPTUM PELLUCIDUM IN ENDOSCOPICALLY TREATED PATIENTS. Pomeranian J. Life Sci. 2016, 61, 12–33. [Google Scholar] [CrossRef] [PubMed]
- Wang, K.-C.; Fuh, J.-L.; Lirng, J.-F.; Huang, W.-C.; Wang, S.-J. Headache Profiles in Patients with a Dilatated Cyst of the Cavum Septi Pellucidi. Cephalalgia 2004, 24, 867–874. [Google Scholar] [CrossRef] [PubMed]
- Penchev, P.; Petrov, P.-P.; Velchev, V.; Velev, A. Symptomatic Cavum Vergae Cyst in a Geriatric Patient: A Report of a Rare Case and Conservative Management Approach. Cureus 2024, 16, e57907. [Google Scholar] [CrossRef] [PubMed]
- Fratzoglou, M.; Grunert, P.; dos Santos, A.L.; Hwang, P.; Fries, G. Symptomatic Cysts of the Cavum Septi Pellucidi and Cavum Vergae: The Role of Endoscopic Neurosurgery in the Treatment of Four Consecutive Cases. min - Minim. Invasive Neurosurg. 2003, 46, 243–249. [Google Scholar] [CrossRef] [PubMed]
- Lancon, J.A.; Haines, D.E.; Raila, F.A.; Parent, A.D.; Vedanarayanan, V.V. Expanding cyst of the septum pellucidum. J. Neurosurg. 1996, 85, 1127–1134. [Google Scholar] [CrossRef] [PubMed]
- Shaw, C.-M.; Alvord, E.C. CAVA SEPTI PELLUCIDI ET VERG Æ: THEIR NORMAL AND PATHOLOGICAL STATES. Brain 1969, 92, 213–224. [Google Scholar] [CrossRef] [PubMed]
- Tong, C.K.W.; Singhal, A.; Cochrane, D.D. Endoscopic fenestration of cavum velum interpositum cysts: a case study of two symptomatic patients. Child’s Nerv. Syst. 2012, 28, 1261–1264. [Google Scholar] [CrossRef] [PubMed]
- Epelman, M.; Daneman, A.; Blaser, S.I.; Ortiz-Neira, C.; Konen, O.; Jarrín, J.; Navarro, O.M. Differential Diagnosis of Intracranial Cystic Lesions at Head US: Correlation with CT and MR Imaging. RadioGraphics 2006, 26, 173–196. [Google Scholar] [CrossRef] [PubMed]
- Żytkowski, A.; Clarke, E.; Orkisz, S. Exploring the septum pellucidum: Short review of anatomical insights and the clinical impact of septum pellucidum and cavum septi pellucidi. Transl. Res. Anat. 2024, 37. [Google Scholar] [CrossRef]






Disclaimer/Publisher’s Note: The statements, opinions and data contained in all publications are solely those of the individual author(s) and contributor(s) and not of MDPI and/or the editor(s). MDPI and/or the editor(s) disclaim responsibility for any injury to people or property resulting from any ideas, methods, instructions or products referred to in the content. |
© 2025 by the authors. Licensee MDPI, Basel, Switzerland. This article is an open access article distributed under the terms and conditions of the Creative Commons Attribution (CC BY) license (http://creativecommons.org/licenses/by/4.0/).