Submitted:
15 April 2025
Posted:
16 April 2025
You are already at the latest version
Abstract
Keywords:
1. Introduction
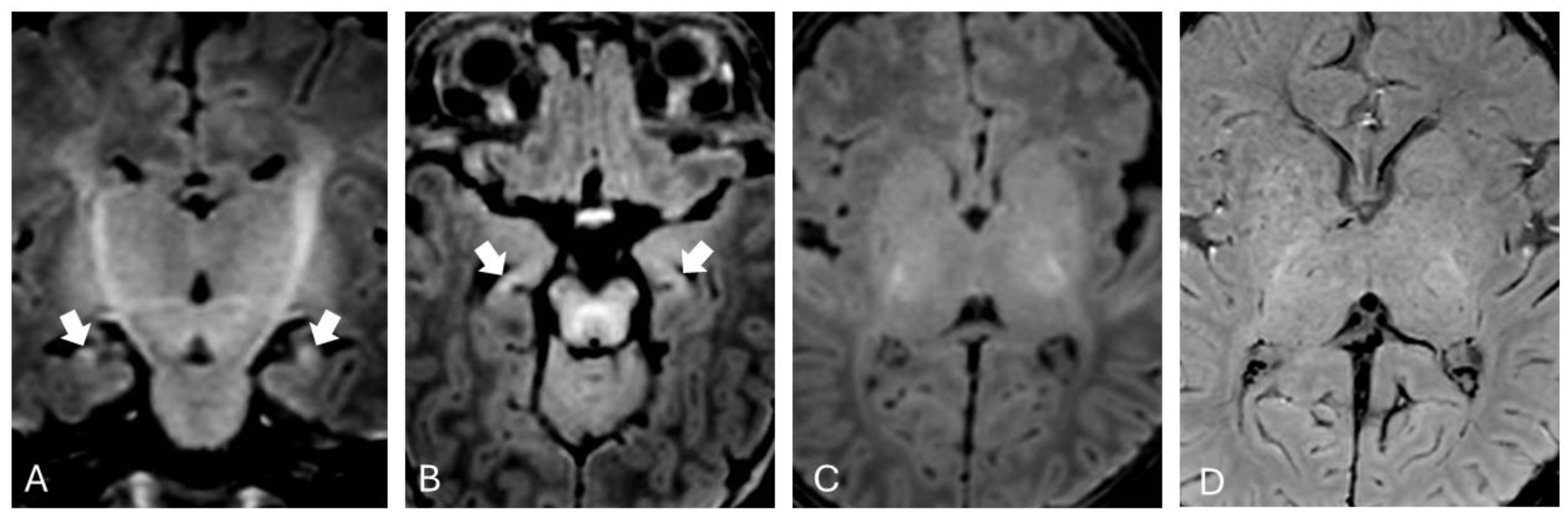
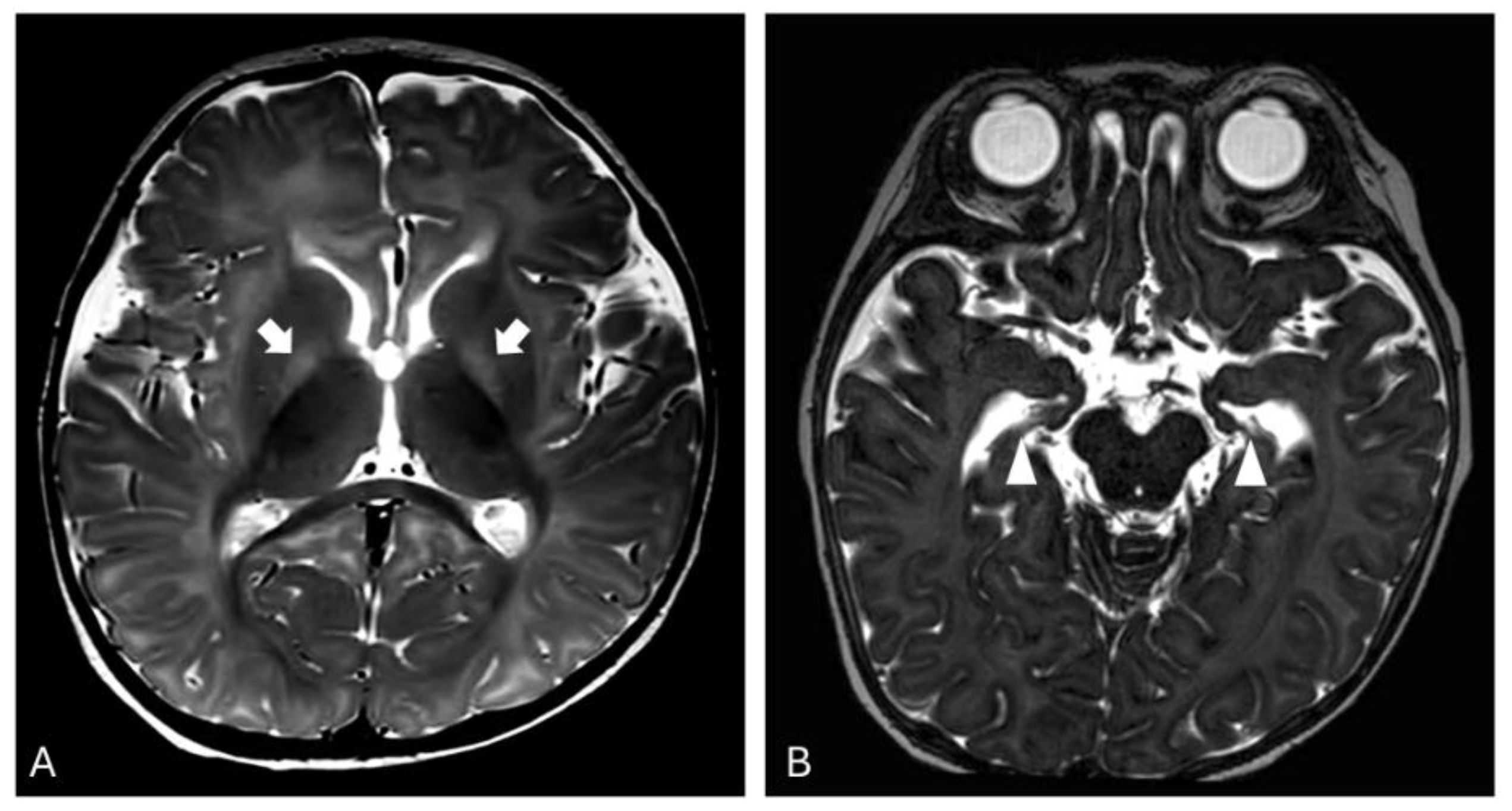
2. Case Report
3. Discussion
4. Conclusions
Author Contributions
Funding
Institutional Review Board Statement
Informed Consent Statement
Data Availability Statement
Acknowledgments
Conflicts of Interest
Abbreviations
| MRI | Magnetic Resonance Imaging |
| MRS | Magnetic Resonance Spectroscopy |
| NICU | Neonatal Intensive Care Unit |
| NAA | N-Acetylaspartate |
| SWI | Susceptibility Weighted Imaging |
| ABR | Auditory brainstem response |
| EEG | Electroencephalogram |
| VEP | Visual Evoked Potentials |
| AGA | Average for Gestational Age |
| QSM | Quantitative Susceptibility Mapping |
References
- B. O. Olusanya, M. Kaplan, and T. W. R. Hansen, “Neonatal hyperbilirubinaemia: a global perspective,” Lancet Child Adolesc Health, vol. 2, no. 8, pp. 610–620, Aug. 2018. [CrossRef]
- M. F. Wolf et al., “Exchange transfusion safety and outcomes in neonatal hyperbilirubinemia,” J Perinatol, vol. 40, no. 10, pp. 1506–1512, Oct. 2020. [CrossRef]
- S. Ü. Sarici et al., “Incidence, course, and prediction of hyperbilirubinemia in near-term and term newborns,” Pediatrics, vol. 113, no. 4, pp. 775–780, Apr. 2004. [CrossRef]
- M. J. Maisels, J. F. Watchko, V. K. Bhutani, and D. K. Stevenson, “An approach to the management of hyperbilirubinemia in the preterm infant less than 35 weeks of gestation,” J Perinatol, vol. 32, no. 9, pp. 660–664, Sep. 2012. [CrossRef]
- M. J. Huang, K. E. Kua, H. C. Teng, K. S. Tang, H. W. Weng, and C. S. Huang, “Risk factors for severe hyperbilirubinemia in neonates,” Pediatr Res, vol. 56, no. 5, pp. 682–689, Nov. 2004. [CrossRef]
- R. Kemper et al., “Clinical Practice Guideline Revision: Management of Hyperbilirubinemia in the Newborn Infant 35 or More Weeks of Gestation,” Pediatrics, vol. 150, no. 3, Sep. 2022. [CrossRef]
- Y. Kasirer, M. Kaplan, and C. Hammerman, “Kernicterus on the Spectrum,” Neoreviews, vol. 24, no. 6, pp. E329–E342, Jun. 2023. [CrossRef]
- G. Assefa Neknek, K. Woldemichael, A. Moges, and D. Zewdneh Solomon, “MRI of bilirubin encephalopathy (kernicterus): A case series of 4 patients from Sub-Saharan Africa, May 2017,” Radiol Case Rep, vol. 13, no. 3, pp. 676–679, Jun. 2018. [CrossRef]
- V. K. Bhutani and L. Johnson, “Kernicterus in the 21st century: frequently asked questions,” J Perinatol, vol. 29 Suppl 1, pp. S20–S24, 2009. [CrossRef]
- S. M. Shapiro, “Definition of the clinical spectrum of kernicterus and bilirubin-induced neurologic dysfunction (BIND),” J Perinatol, vol. 25, no. 1, pp. 54–59, Jan. 2005. [CrossRef]
- S. Sugama, A. Soeda, and Y. Eto, “Magnetic resonance imaging in three children with kernicterus,” Pediatr Neurol, vol. 25, no. 4, pp. 328–331, 2001. [CrossRef]
- K. Yokochi, “Magnetic resonance imaging in children with kernicterus,” Acta Paediatr, vol. 84, no. 8, pp. 937–939, 1995. [CrossRef]
- J. Gburek-Augustat et al., “Acute and Chronic Kernicterus: MR Imaging Evolution of Globus Pallidus Signal Change during Childhood,” AJNR Am J Neuroradiol, vol. 44, no. 9, pp. 1090–1095, Sep. 2023. [CrossRef]
- V. K. Bhutani and L. Johnson, “Synopsis report from the pilot USA Kernicterus Registry,” J Perinatol, vol. 29 Suppl 1, pp. S4–S7, 2009. [CrossRef]
- F. Okolie, J. E. South-Paul, and J. F. Watchko, “Combating the Hidden Health Disparity of Kernicterus in Black Infants: A Review,” JAMA Pediatr, vol. 174, no. 12, pp. 1199–1205, Dec. 2020. [CrossRef]
- Okumura et al., “Kernicterus in preterm infants,” Pediatrics, vol. 123, no. 6, Jun. 2009. [CrossRef]
- E. Bertino et al., “Neonatal anthropometric charts: the Italian neonatal study compared with other European studies,” J Pediatr Gastroenterol Nutr, vol. 51, no. 3, pp. 353–361, Sep. 2010. [CrossRef]
- Y. W. Wu et al., “Risk for cerebral palsy in infants with total serum bilirubin levels at or above the exchange transfusion threshold: a population-based study,” JAMA Pediatr, vol. 169, no. 3, pp. 239–246, Mar. 2015. [CrossRef]
- J. L. Wisnowski, A. Panigrahy, M. J. Painter, and J. F. Watchko, “Magnetic resonance imaging of bilirubin encephalopathy: current limitations and future promise,” Semin Perinatol, vol. 38, no. 7, pp. 422–428, Nov. 2014. [CrossRef]
- J. Gburek-Augustat et al., “Acute and Chronic Kernicterus: MR Imaging Evolution of Globus Pallidus Signal Change during Childhood,” AJNR Am J Neuroradiol, vol. 44, no. 9, pp. 1090–1095, Sep. 2023. [CrossRef]
- L. Zhang, J. Gao, Y. Zhao, Q. Zhang, J. Lu, and X. Yang, “The application of magnetic resonance imaging and diffusion-weighted imaging in the diagnosis of hypoxic-ischemic encephalopathy and kernicterus in premature infants,” Transl Pediatr, vol. 10, no. 4, pp. 958–966, Apr. 2021. [CrossRef]
- X. Wang et al., “Studying neonatal bilirubin encephalopathy with conventional MRI, MRS, and DWI,” Neuroradiology, vol. 50, no. 10, pp. 885–893, Oct. 2008. [CrossRef]
- M. Lequin, F. Groenendaal, J. Dudink, and P. Govaert, “Susceptibility weighted imaging can be a sensitive sequence to detect brain damage in neonates with kernicterus: a case report,” BMC Neurol, vol. 23, no. 1, Dec. 2023. [CrossRef]
- C. Liu, W. Li, K. A. Tong, K. W. Yeom, and S. Kuzminski, “Susceptibility-weighted imaging and quantitative susceptibility mapping in the brain,” J Magn Reson Imaging, vol. 42, no. 1, pp. 23–41, Jul. 2015. [CrossRef]
- M. B. Salmela et al., “All that bleeds is not black: susceptibility weighted imaging of intracranial hemorrhage and the effect of T1 signal,” Clin Imaging, vol. 41, pp. 69–72, Jan. 2017. [CrossRef]
- C. C. T. Hsu et al., “More on Exploiting the T1 Shinethrough and T2* Effects Using Multiecho Susceptibility-Weighted Imaging,” American Journal of Neuroradiology, vol. 42, no. 9, pp. E62–E63, Jun. 2021. [CrossRef]
- P. P. R. Ruetten, J. H. Gillard, and M. J. Graves, “Introduction to Quantitative Susceptibility Mapping and Susceptibility Weighted Imaging,” Br J Radiol, vol. 92, no. 1101, 2019. [CrossRef]


Disclaimer/Publisher’s Note: The statements, opinions and data contained in all publications are solely those of the individual author(s) and contributor(s) and not of MDPI and/or the editor(s). MDPI and/or the editor(s) disclaim responsibility for any injury to people or property resulting from any ideas, methods, instructions or products referred to in the content. |
© 2025 by the authors. Licensee MDPI, Basel, Switzerland. This article is an open access article distributed under the terms and conditions of the Creative Commons Attribution (CC BY) license (http://creativecommons.org/licenses/by/4.0/).