Submitted:
10 January 2024
Posted:
10 January 2024
You are already at the latest version
Abstract
Keywords:
Introduction
Methods
Study Population and Design
Data Collection and Management
Fetal Magnetic Resonance Imaging
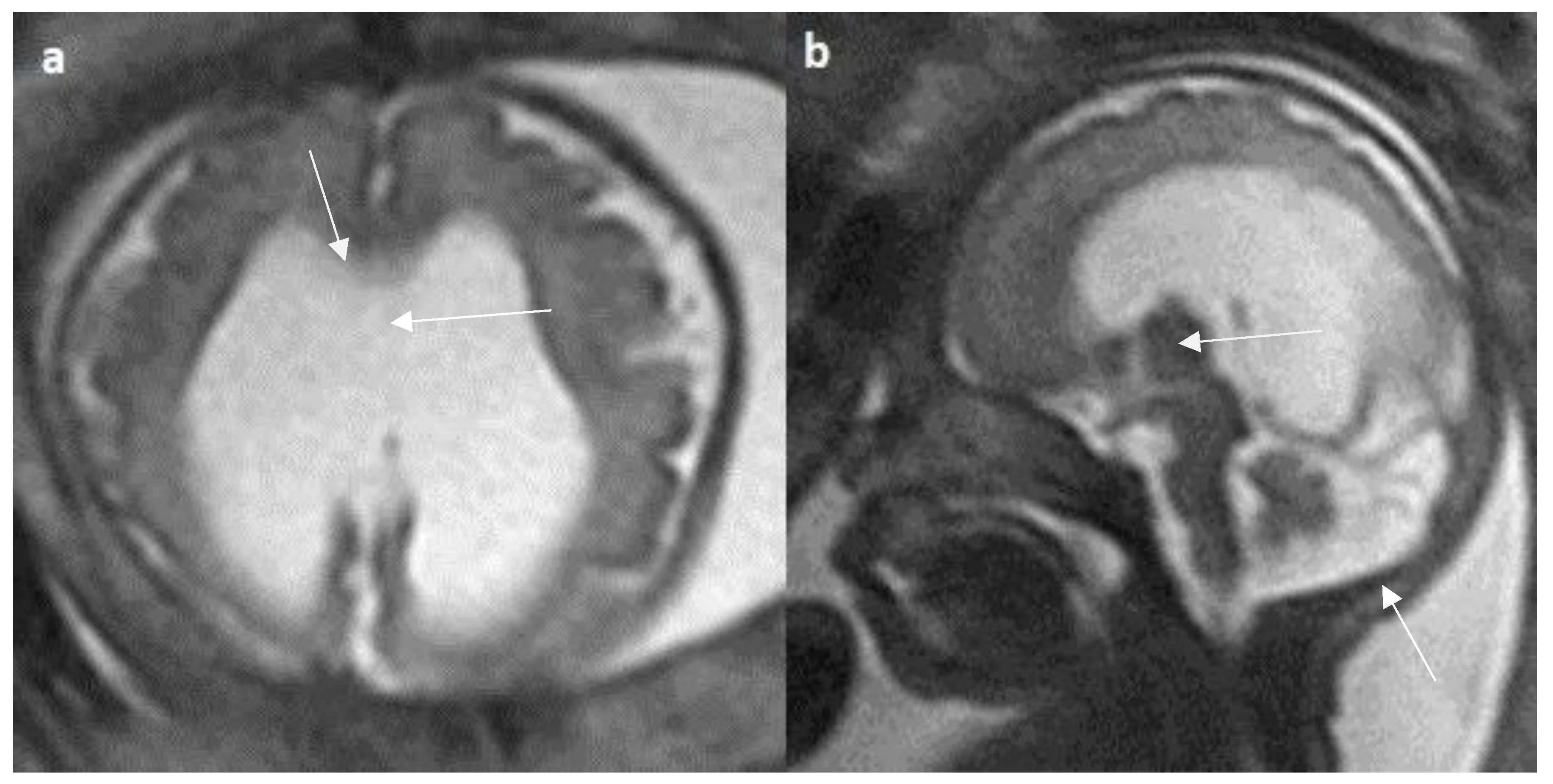
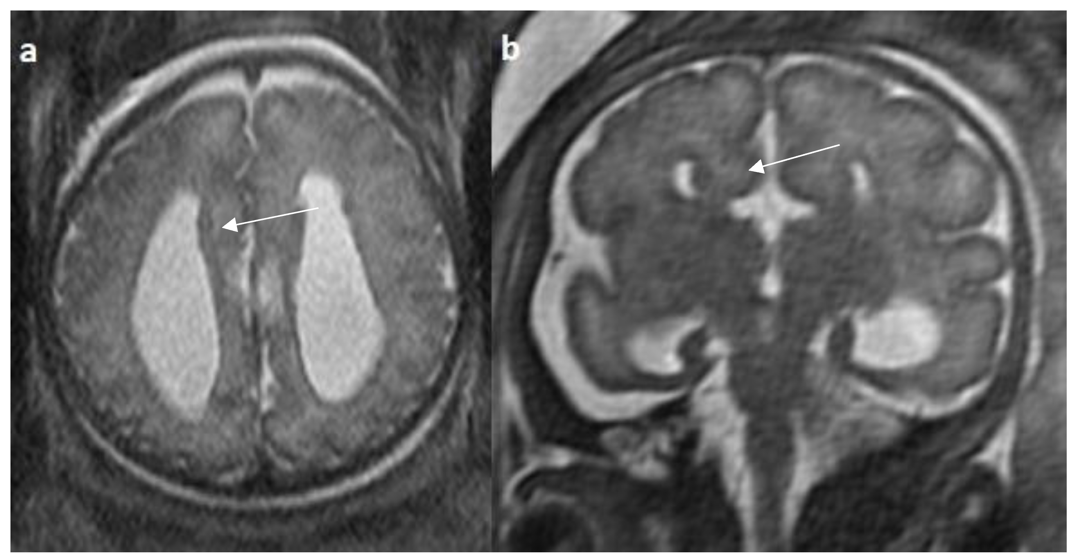
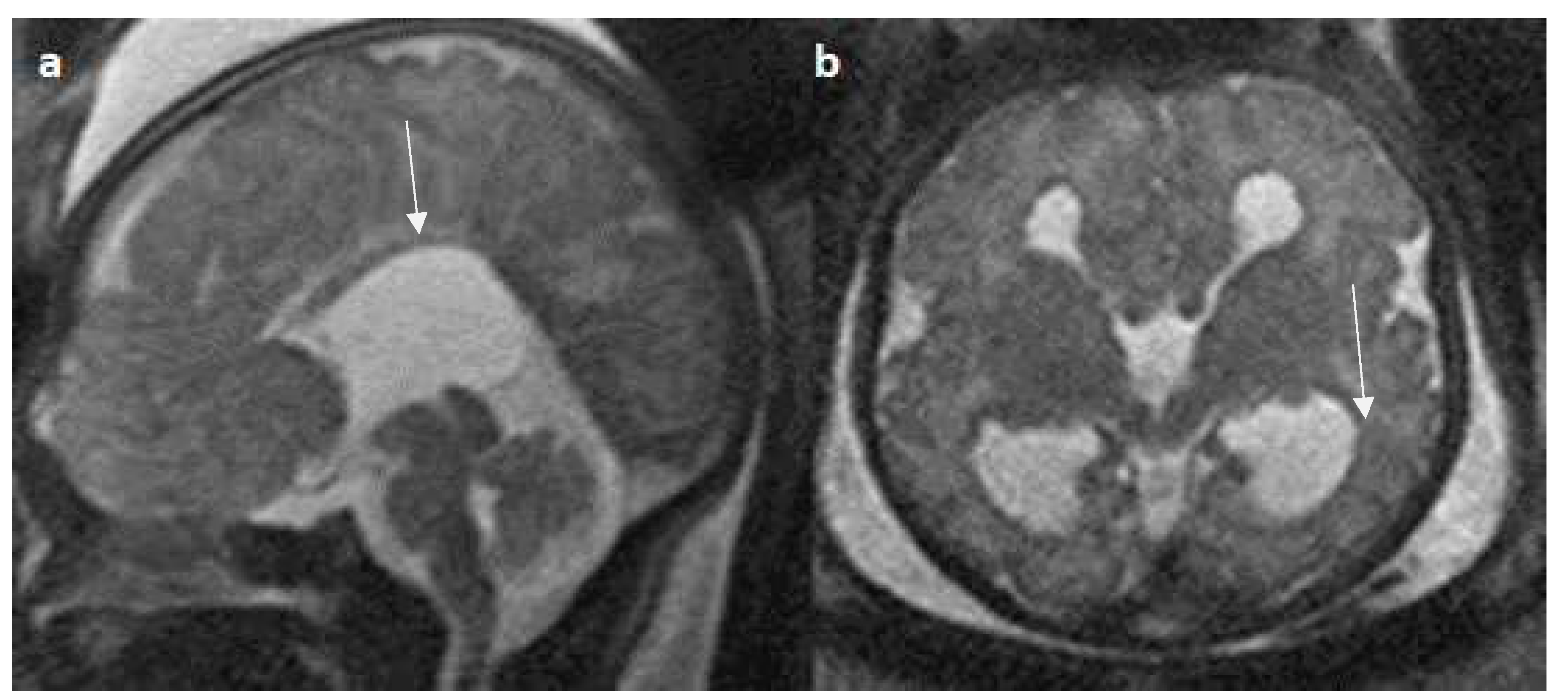
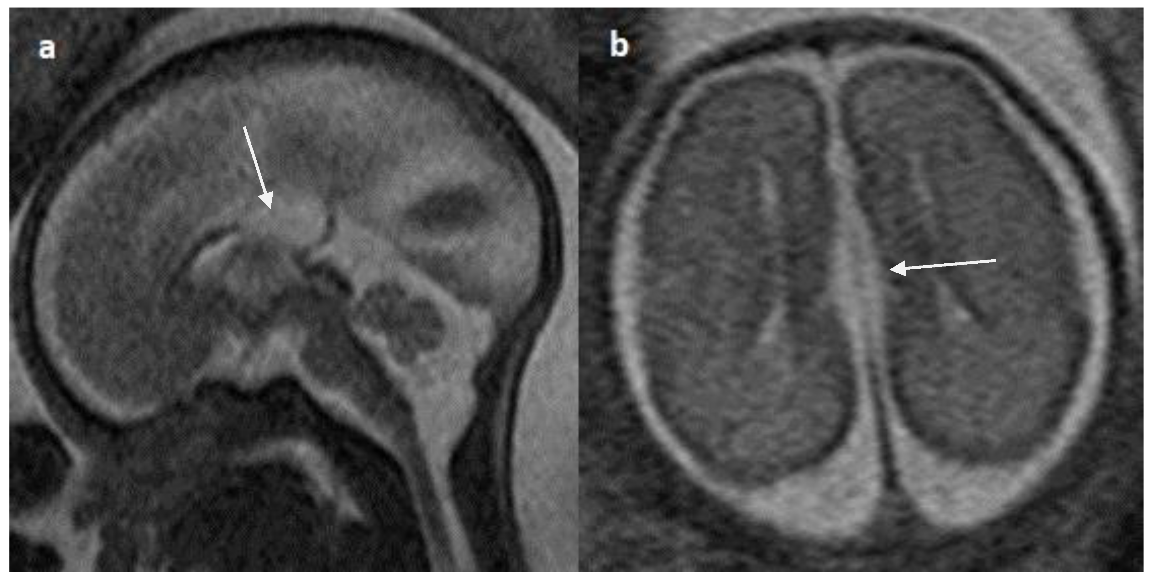
Classification of CCA on Fetal MRI
Statistical Analysis
Results






Discussion
Conclusion
Funding
Conflicts of Interest
References
- Hetts, S.W., et al., Anomalies of the corpus callosum: an MR analysis of the phenotypic spectrum of associated malformations. AJR Am J Roentgenol, 2006. 187(5): p. 1343-8. [CrossRef]
- Fitsiori, A., et al., The corpus callosum: white matter or terra incognita. Br J Radiol, 2011. 84(997): p. 5-18. [CrossRef]
- Richards, L.J., C. Plachez, and T. Ren, Mechanisms regulating the development of the corpus callosum and its agenesis in mouse and human. Clin Genet, 2004. 66(4): p. 276-89. [CrossRef]
- Kier EL, Truwit CL. The normal and abnormal genu of the corpus callosum: an evolutionary, embryologic, anatomic, and MR analysis. AJNR Am J Neuroradiol 1996; 17(9): 1631-1641.
- Ren T, Anderson A, Shen WB, et al. Imaging, anatomical, and molecular analysis of callosal formation in the developing human fetal brain. Anat Rec A Discov Mol Cell Evol Biol 2006; 288(2): 191-204. [CrossRef]
- Georgy, B.A., J.R. Hesselink, and T.L. Jernigan, MR imaging of the corpus callosum. AJR m J Roentgenol, 1993. 160(5): p. 949-55. [CrossRef]
- Lee, S.K., et al., Diffusion-tensor MR imaging and fiber tractography: a new method of describing aberrant fiber connections in developmental CNS anomalies. Radiographics, 2005. 25(1): p. 53-65; discussion 66-8. [CrossRef]
- Rakic, P. and P.I. Yakovlev, Development of the corpus callosum and cavum septi in man. J Comp Neurol, 1968. 132(1): p. 45-72. [CrossRef]
- Paul LK, Brown WS, Adolphs R, et al. Agenesis of the corpus callosum: genetic, development and functional aspects of connectivity. Nat Rev Neurosci. 2007;8(4):287-299. [CrossRef]
- Edwards TJ, Sherr EH, Barkovich AJ, Richards LJ. Clinical, genetic and imaging findings identify new causes for corpus callosum development syndromes. Brain. 2014 Jun;137(Pt 6):1579-613. [CrossRef]
- Glass HC, Shaw GM, Ma C, Sherr EH. Agenesis of the corpus callosum in California 1983-2003: a population-based study. Am J Med Genet A. 2008;146A(19):2495-2500. [CrossRef]
- Jeret, J.S., et al., Frequency of agenesis of the corpus callosum in the developmentally disabled population as determined by computerized tomography. Pediatr Neurosci, 1985. 12(2): p. 101-3. [CrossRef]
- Grogono, J.L., Children with agenesis of the corpus callosum. Dev Med Child Neurol, 1968. 10(5): p. 613-6. [CrossRef]
- Nagwa, S., et al., Imaging features of complete agenesis of corpus callosum in a 3-year-old child. Sudan J Paediatr, 2018. 18(2): p. 69-71. [CrossRef]
- Hofman, J., et al., Corpus Callosum Agenesis: An Insight into the Etiology and Spectrum of Symptoms. Brain Sci, 2020. 10(9). [CrossRef]
- Barkovich AJ. Pediatric Neuroimaging. Philadelphia: Lippincott Williams & Wilkins; 2005.
- Santo S, D'Antonio F, Homfray T, Rich P, Pilu G, Bhide A, Thilaganathan B, Papageorghiou AT. Counseling in fetal medicine: agenesis of the corpus callosum. Ultrasound Obstet Gynecol. 2012 Nov;40(5):513-21. [CrossRef]
- Witelson, S.F., 1989. Hand and sex differences in the isthmus and genu of the human corpus callosum. A postmortem morphological study. Brain. 1989;112 ( Pt 3):799-835. [CrossRef]
- Al-Hashim AH, Blaser S, Raybaud C, et al. Corpus callosum abnormalities: neuroradiological and clinical correlations. Dev Med Child Neurol. 2016;58(5):475-484. [CrossRef]
- Hanna RM, Marsh SE, Swistun D, Al-Gazali L, Zaki MS, Abdel-Salam GM, et al. Distinguishing 3 classes of corpus callosal abnormalities in consanguineous families. Neurology. 2011;76(4):373-82. [CrossRef]
- Neal, J.B., Filippi, C.G. & Mayeux, R. Morphometric variability of neuroimaging features in Children with Agenesis of the Corpus Callosum. BMC Neurol. 2015;15:116. [CrossRef]
- Matter Remodeling in a Dog With Corpus Callosum Hypoplasia and Dysplasia. Front Vet Sci, 2018. 5: p. 260. [CrossRef]
- Byrd SE, Radkowski MA, Flannery A, McLone DG. The clinical and radiological evaluation of absence of the corpus callosum. Eur J Radiol 1990;10:65-73. [CrossRef]
- Volpe P, Campobasso G, De Robertis V, et al. Disorders of prosencephalic development. Prenat Diagn 2009; 29(4): 340-354. [CrossRef]
- Chaudhari BP, Ho ML. Congenital Brain Malformations: An Integrated Diagnostic Approach. Semin Pediatr Neurol 2022;42:100973. [CrossRef]
- Manor C, Rangasami R, Suresh I, Suresh S. Magnetic Resonance Imaging Findings in Fetal Corpus Callosal Developmental Abnormalities: A Pictorial Essay. J Pediatr Neurosci. 2020 Oct-Dec;15(4):352-357. [CrossRef]
- Hyun Yoo J, Hunter J. Imaging spectrum of pediatric corpus callosal pathology: a pictorial review. J Neuroimaging. 2013 Apr;23(2):281-95. [CrossRef]
- Glenn, O.A., Goldstein, R.B., Li, K.C., Young, S.J., Norton, M.E., Busse, R.F., Goldberg, J.D. and Barkovich, A.J., Fetal Magnetic Resonance Imaging in the Evaluation of Fetuses Referred for Sonographically Suspected Abnormalities of the Corpus Callosum. Journal of Ultrasound in Medicine. 2005; 24: 791-804. [CrossRef]
- Vergani P, Ghidini A, Strobelt N, Locatelli A, Mariani S, Bertalero C, Cavallone M: Prognostic indicators in the prenatal diagnosis of agenesis of the corpus callosum. Am J Obstet Gynecol 1994;170:753–758. [CrossRef]
- Gupta JK, Lilford RJ: Assessment and management of fetal agenesis of the corpus callosum. Prenatal Diagn 1995;15:301–312. [CrossRef]
- Serur D, Jeret JS, Wisniewski K: Agenesis of the corpus callosum: Clinical, neuroradiological and cytogenetic studies. Neuropaediatrics 1988;19:87–91. [CrossRef]
- Cohen MM Jr, Kreiborg S: Agenesis of the corpus callosum: Its associated anomalies and syndromes with special reference to the Apert syndrome. Neurosurg Clin North Am 1991;2:565– 568. [CrossRef]
- Geoffrey G: Other syndromes frequently associated with callosal agenesis; in Lassonde M, Jeeves MA (eds): Callosal Agenesis: A Natural Split Brain? New York, Plenum Press, 1994, pp 55–62. [CrossRef]
- Aicardi J, Chevrie JJ: The Aicardi syndrome; in Lassonde M, Jeeves MA (eds): Callosal Agenesis: A 2Natural Split Brain? New York, Plenum Press, 1994, pp 7–15. [CrossRef]
- Sotiriadis A, Makrydimas G. Neurodevelopment after prenatal diagnosis of isolated agenesis of the corpus callosum: an integrative review. Am J Obstet Gynecol 2012; 206: 337.e1–5. [CrossRef]
- Bedeschi MF, Bonaglia MC, Grasso R, Pellegri A, Garghentino RR, Battaglia MA, Panarisi AM, Di Rocco M, Balottin U, Bresolin N, Bassi MT, Borgatti R. Agenesis of the corpus callosum: clinical and genetic study in 63 young patients. Pediatr Neurol. 2006 Mar;34(3):186-93. [CrossRef]
- Parazzini C, Righini A, Rustico M, Consonni D, Triulzi F. Prenatal magnetic resonance imaging: brain normal linear biometric values below 24 gestational weeks. Neuroradiology. 2008;50(10):877–883. [CrossRef]
- Garel C (2004) MRI of the fetal brain: normal development and cerebral pathologies, pathology of the midline cap. Springer, Berlin:131–149. [CrossRef]
- Sira LB, Kozyrev DA, Bashat DB, Constantini S, Roth J, Shiran S.Fetalventriculomegaly and hydrocephalus-What shouldn’t be missed on imaging?. Neurol India.2021;69(supplement): S298–304. [CrossRef]
- Yeh HR, Park HK, Kim HJ, Ko TS, Won HS, Lee MY, Shim JY, Yum MS. Neurodevelopmental outcomes in children with prenatally diagnosed corpus callosal abnormalities. Brain Dev. 2018 Sep;40(8):634-641. [CrossRef]
- Manganaro, L., Bernardo, S., DeVito, C., Antonelli, A., Marchionni, E., Vinci, V., Saldari, M., Di Meglio, L., Giancotti, A., Silvestri, E., Catalano, C., and Pizzuti, A. Role of fetal MRI in the evaluation of isolated and non-isolated corpus callosum dysgenesis: results of a cross-sectional study. Prenat Diagn, 2017;37: 244–252. [CrossRef]
- Tang PH, Bartha AI, Norton ME, Barkovich AJ, Sherr EH, Glenn OA. Agenesis of the corpus callosum: an MR imaging analysis of associated abnormalities in the fetus. AJNR Am J Neuroradiol. 2009. [CrossRef]
- Ibrahim and Emad-Eldin Egyptian Journal of Radiology and Nuclear Medicine. 2020; 51:75. [CrossRef]
- Richards LJ, Plachez C, Ren T. Mechanisms regulating the development of the corpus callosum and its agenesis in mouse and human. Clin Genet 2004;66:276 –289. [CrossRef]
- Settimo, C.; Bonanno, L.; Tresoldi, M.; Muratore, R.; Cucinotta, F.; Tripodi, E.; Piccolo, A.; Anchesi, S.; Impallomeni, C. Early and Innovative Rehabilitation in Warkany Syndrome 2 Associated with Agenesis of the Corpus Callosum: A Case Report. Children 2022, 9, 722. [CrossRef]
- Cereda A, Carey JC. The trisomy 18 syndrome. Orphanet J Rare Dis. 2012 Oct 23;7:81. [CrossRef]
- Nicita F, Di Giacomo M, Palumbo O, Ferri E, Maiorani D, Vigevano F, Carella M, Capuano A. Neurological features of 14q24-q32 interstitial deletion: report of a new case. Mol Cytogenet. 2015 Nov 24;8:93. [CrossRef]
- Ru Li, Fang Fu, Yong-Ling Zhang, Dong-Zhi Li, Can Liao. Prenatal diagnosis of 17q12 duplication and deletion syndrome in two fetuses with congenital anomalies. Taiwanese Journal of Obstetrics and Gynecology. 2014;53(4):579-582. [CrossRef]
- Kamath A, Linden SC, Evans FM, Hall J, Jose SF, Spillane SA, Hardie ADR, Morgan SM, Pilz DT. Chromosome 17q12 duplications: Further delineation of the range of psychiatric and clinical phenotypes. Am J Med Genet B Neuropsychiatr Genet. 2018 Jul;177(5):520-528. [CrossRef]
- Schell-Apacik CC, Wagner K, Bihler M, Ertl-Wagner B, Heinrich U, Klopocki E, Kalscheuer VM, Muenke M, von Voss H. Agenesis and dysgenesis of the corpus callosum: clinical, genetic and neuroimaging findings in a series of 41 patients. Am J Med Genet A. 2008 Oct 1;146A(19):2501-11. [CrossRef]
- Li X, Wang Q. Magnetic Resonance Imaging (MRI) Diagnosis of Fetal Corpus Callosum Abnormalities and Follow-up Analysis. J Child Neurol. 2021 Oct;36(11):1017-1026. [CrossRef]
- Sztriha L. Spectrum of corpus callosum agenesis. Pediatr Neurol. 2005;32(2):94–101. [CrossRef]
- Vahedifard F, Adepoju JO, Supanich M, Ai HA, Liu X, Kocak M, Marathu KK, Byrd SE. Review of deep learning and artificial intelligence models in fetal brain magnetic resonance imaging. World J Clin Cases. 2023 Jun 6;11(16):3725-3735. [CrossRef]
- Da Silva NA, Vassallo J, Sarian LO, Cognard CH, Sevely A. Magnetic resonance imaging of the fetal brain at 3 Tesla. Preliminary experience from a single series. Medicine.2018;97(40):1–6. [CrossRef]
- El Ameen NF, Ibrahim MA, Mouner SM. Fiber Tractography and Diffusion Tensor Imaging in Children with Agenesis and Dysgenesis of Corpus Callosum: A Clinico-Radiological Correlation. Int J Pediatr 2019; 7(8): 9903-15. [CrossRef]
- Rüland AM, Berg C, Gembruch U, Geipel A. Prenatal diagnosis of anomalies of the corpus callosum over a 13-year period. Ultraschall Med. 2016;37(6):598–603 15. [CrossRef]
- Barkovich AJ, Norman D. Anomalies of the corpus callosum: correlation with further anomalies of the brain. AJR Am J Roentgenol. 1988 Jul;151(1):171-9. [CrossRef]
- Kidron D, Shapira D, Ben Sira L et al. Agenesis of the corpus callosum. An autopsy study in fetuses. Virchows Arch 2016;468(2):219-30. [CrossRef]
- Kitova TT, Kitov B, Milkov D, Gaigi S. Postnatally diagnosed agenesis of corpus callosum in fetuses. Fetal Pediatr Pathol 2014;33(4):239-43. [CrossRef]
- Alby C, Malan V, Boutaud L et al. Clinical, genetic and neuropathological findings in a series of 138 fetuses with a corpus callosum malformation. Birth Defects Res A Clin Mol Teratol. 2016;106(1):36-46. [CrossRef]
- Taylor M, David AS. Agenesis of the corpus callosum: a United Kingdom series of 56 cases. J Neurol Neurosurg Psychiatry. 1998 Jan;64(1):131-4. [CrossRef]
- Jacobson, I., Jeeves, M.A. (1994). A New Syndrome: Familial Fronto-Nasal Dermoid Cysts with Agenesis of the Corpus Callosum. In: Lassonde, M., Jeeves, M.A. (eds) Callosal Agenesis. Advances in Behavioral Biology, vol 42. Springer, Boston, MA. [CrossRef]




| Fetuses with Corpus Callosal Abnormalities (N = 24) | Mean + SD or N (%) |
| Mean maternal age at delivery (years) | 30 + 7 |
| Mean WG (weeks) at the time of fetal MRI | 26 + 5 |
| Maternal comorbid diagnoses Preeclampsia Gestational or chronic hypertension Gestational diabetes Maternal cancer Teen pregnancy Elderly pregnancy |
5 (21%) 3 (13%) 3 (13%) 1 (4%) 4 (17%) 5 (21%) |
| Amniocentesis Normal karyotype and CMA Abnormal results |
17 (71%) 7 (29%) |
| Birth Weight (g) | 2947 ± 951 |
| Birth WG (week) | 36 + 5 |
| Male | 13 (55 %) |
| Disposition Inborn live birth MTP Stillbirths |
20 (83%) 2 (8%) 2 (8 %) |
| No. | WG/Sex | Delivery History | CCA Subclass | Associated CNS Anomaly | Associated Non-CNS Anomaly | Genetic Analysis |
| 1 | 36/M | Full term | Complete Agenesis | colpocephaly | 46XY | |
| 2 | 34/F | Full term | Complete Agenesis | ventriculomegaly, heterotopia | 46XX | |
| 3 | 24/M | Full term | Complete Agenesis | IHC, Arachnoid cyst, colpocephaly, ventriculomegaly | Thick nuchal fold, hydronephrosis, | Trisomy 8 |
| 4 | 22/F | Full term | Complete Agenesis | colpocephaly, ventriculomegaly | 46XX | |
| 5 | 20/M | Preterm | Complete Agenesis | IHC, absent septum pellucidum, blake pouch cyst,vermian hypoplasia | Trisomy 18 | |
| 6 | 23/M | Preterm | Complete Agenesis | IHC, colpocephaly | 46 XY | |
| 7 | 31/F | N/A | Complete Agenesis | IHC, colpocephaly | 46 XY | |
| 8 | 22/F | Full term | Complete Agenesis | Heterotopia | 46 XX | |
| 9 | 25/M | Full term | Complete Agenesis | IHC, colpocephaly | 8q partial trisomy syndrome | |
| 10 | 20/M | Full term | Complete Agenesis | IHC | 46 XY | |
| 11 | 24/M | Full term | Complete Agenesis | Large IHC with incorporation of left ventricle into cyst | 46 XY | |
| 12 | 19/F | N/A | Complete Agenesis | Dandy walker variant with distorted medulla, cerebellar hypoplasia | 46XX,47XX+sSMCs | |
| 13 | 27/F | Full term | Complete Agenesis | Sphenoidal meningoencephalocele | Cleft lip, cleft palate | 46XX del 17q12 |
| 14 | 25/M | Full term | Complete Agenesis | Colpocephaly | Nasal dermoid cyst | 46 XY |
| 15 | 29/M (twin) | Full term | Complete Agenesis | IHC, colpocephaly | 46 XY | |
| 16 | 26/M | N/A | Complete Agenesis | IHC, colpocephaly, ventriculomegaly | 46 XY | |
| 17 | 33/M | Full term | Complete Agenesis | Colpocephaly, Absent septum pellucidum, ventriculomegaly | T12 hemivertebrae, thoracic bodies fusion | 46 XY |
| 18 | 27/F | Full term | Complete Agenesis | Colpocephaly, Absent septum pellucidum, ventriculomegaly | 46 XX | |
| 19 | 28/M | Preterm | Complete Agenesis | Colpocephaly, Absent septum pellucidum, heterotopia | Renal anomaly (hydroureteronephrosis) | Trisomy 8 mosaicism |
| 20 | 27/F | Full term | Hypoplasia of splenium | Colpocephaly | 46 XX | |
| 21 | 26/M | N/A | Hypoplasia of splenium | IHC, blake pouch cyst | 46 XY | |
| 22 | 29/F | Preterm | Complete Hypoplasia | Absent septum pellucidum, ventriculomegaly,vermian hypoplasia, aqueductal stenosis | 46 XX del 14q24.3 and q32.1. |
|
| 23 | 22/F | Preterm | Dysplasia | Hemimegalencephaly, germinolytic cyst, schizencephaly | Facial dysmorphism with fused eyes | 46 XX |
| 24 | 26/F | Preterm | Hypoplasia with Dysplasia | Ventriculomegaly, Reduced white matter | 46 XX |
Disclaimer/Publisher’s Note: The statements, opinions and data contained in all publications are solely those of the individual author(s) and contributor(s) and not of MDPI and/or the editor(s). MDPI and/or the editor(s) disclaim responsibility for any injury to people or property resulting from any ideas, methods, instructions or products referred to in the content. |
© 2023 by the authors. Licensee MDPI, Basel, Switzerland. This article is an open access article distributed under the terms and conditions of the Creative Commons Attribution (CC BY) license (http://creativecommons.org/licenses/by/4.0/).