Submitted:
22 March 2025
Posted:
25 March 2025
You are already at the latest version
Abstract
Keywords:
1. Introduction
2. Materials and methods
2.1. Chemicals and Reagents
2.2. Preparation of NIN and Determination of Active Ingredient Content
2.3. Modeling and Grouping
2.4. Assessment of Disease Activity Index (DAI) in Mice
2.5. Collection and Processing of Mouse Colon Specimens
2.6. Assessment of HI
2.7. ELISA
2.8. Immunohistochemistry
2.9. Statistical Analysis
3. Results
3.1. NIN with Higher Content of Active Ingredients
3.2. NIN Significantly Improves Colitis Symptoms Caused by UC in Mice
3.3. NIN Inhibits Colonic Shortening and Significantly Reduces HI in Mice
3.4. NIN Improves Inflammatory Response by Regulating the Levels of Inflammatory Factors in Mouse Colon Tissues
3.5. NIN Restores the Intestinal Mucosal Barrier by Increasing MUC2 Protein Expression Level
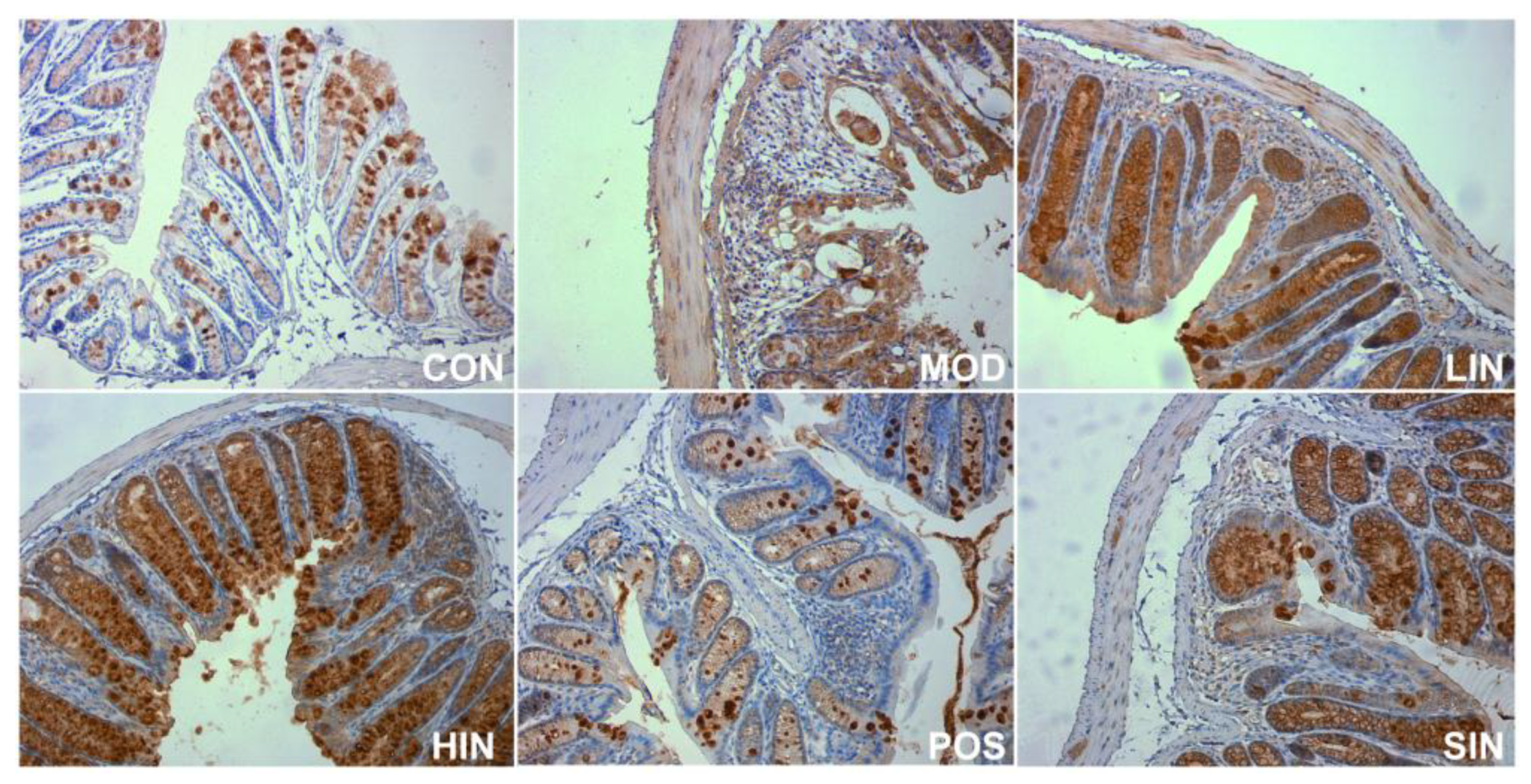
3.6. NIN Increases AhR Protein Expression at the Site of Colonic Injury in UC Mice
4. Discussion
Author Contributions
Acknowledgments
Conflicts of Interest
Abbreviations
| AhR | aryl hydrocarbon receptor |
| CON | normal control group |
| DAI | Disease Activity Index |
| DSS | dextran sulfate sodium salt |
| ELISA | employed enzyme-linked immunosorbent assay |
| H&E | Hematoxylin&Eosin |
| HI | histological inflammation |
| HIN | high-dose group of NIN |
| HPLC | High-Performance Liquid Chromatography |
| IBD | inflammatory bowel disease |
| IN | Indigo naturalis |
| LIN | low-dose group of NIN |
| MOD | model group |
| NIN | Indigo Naturalis prepared using a novel method |
| POS | positive control group |
| SIN | control group of the commercially available standard IN |
| TCM | Traditional Chinese Medicine |
| UC | ulcerative colitis |
References
- Gros, B.; Kaplan, G.G. Ulcerative Colitis in Adults: A Review. JAMA 2023, 330, 951–965. [Google Scholar] [CrossRef]
- Lamb, C.A.; Kennedy, N.A.; Raine, T.; et al. British Society of Gastroenterology consensus guidelines on the management of inflammatory bowel disease in adults. Gut 2019, 68 (Suppl. S3), s1–s106. [Google Scholar] [PubMed]
- Zhang, S.; Zhao, L.; Shen, H.; et al. International clinical practice guideline on the use of traditional Chinese medicine for ulcerative colitis by Board of Specialty Committee of Digestive System Disease of World Federation of Chinese Medicine Societies. Phytother Res. Online ahead of print. 2023. [Google Scholar]
- Guo, M.; Wang, X. Pathological mechanism and targeted drugs of ulcerative colitis: A review. Medicine (Baltimore). 2023, 102, e35020. [Google Scholar] [CrossRef] [PubMed]
- Huang, H.; Fang, M.; Jostins, L.; et al. Fine-mapping inflammatory bowel disease loci to single-variant resolution. Nature 2017, 547, 173–178. [Google Scholar] [CrossRef]
- Ng, S.C.; Shi, H.Y.; Hamidi, N.; et al. Worldwide incidence and prevalence of inflammatory bowel disease in the 21st century: A systematic review of population-based studies. Lancet 2017, 390, 2769–2778. [Google Scholar] [CrossRef]
- Fukuda, T.; Naganuma, M.; Kanai, T. Current new challenges in the management of ulcerative colitis. Intest Res. 2019, 17, 36–44. [Google Scholar] [CrossRef]
- Wang, M.; Fu, R.; Xu, D.; et al. Traditional Chinese Medicine: A promising strategy to regulate the imbalance of bacterial flora, impaired intestinal barrier and immune function attributed to ulcerative colitis through intestinal microecology. J Ethnopharmacol. 2024, 318 Pt A, 116879. [Google Scholar] [CrossRef]
- Gu, S.; Xue, Y.; Gao, Y.; et al. Mechanisms of indigo naturalis on treating ulcerative colitis explored by GEO gene chips combined with network pharmacology and molecular docking. Sci Rep. 2020, 10, 15204. [Google Scholar] [CrossRef]
- Sugimoto, S.; Naganuma, M.; Kiyohara, H.; et al. Clinical Efficacy and Safety of Oral Qing-Dai in Patients with Ulcerative Colitis: A Single-Center Open-Label Prospective Study. Digestion 2016, 93, 193–201. [Google Scholar] [CrossRef]
- Naganuma, M.; Sugimoto, S.; Mitsuyama, K.; et al. Efficacy of Indigo Naturalis in a Multicenter Randomized Controlled Trial of Patients With Ulcerative Colitis. Gastroenterology 2018, 154, 935–947. [Google Scholar] [CrossRef]
- Naganuma, M.; Sugimoto, S.; Fukuda, T.; et al. Indigo naturalis is effective even in treatment-refractory patients with ulcerative colitis: A post hoc analysis from the INDIGO study. J Gastroenterol. 2020, 55, 169–180. [Google Scholar] [CrossRef]
- Kawai, S.; Iijima, H.; Shinzaki, S.; et al. Indigo Naturalis ameliorates murine dextran sodium sulfate-induced colitis via aryl hydrocarbon receptor activation. J Gastroenterol. 2017, 52, 904–919. [Google Scholar] [CrossRef] [PubMed]
- Sugimoto, S.; Naganuma, M.; Kanai, T. Indole compounds may be promising medicines for ulcerative colitis. J Gastroenterol. 2016, 51, 853–861. [Google Scholar] [CrossRef] [PubMed]
- Saiki, J.P.; Andreasson, J.O.; Grimes, K.V.; et al. Treatment-refractory ulcerative colitis responsive to indigo naturalis. BMJ Open Gastroenterol. 2021, 8, e000813. [Google Scholar] [CrossRef]
- Qi-Yue, Y.; Ting, Z.; Ya-Nan, H.; et al. From natural dye to herbal medicine: A systematic review of chemical constituents, pharmacological effects and clinical applications of indigo naturalis. Chin Med. 2020, 15, 127. [Google Scholar] [CrossRef] [PubMed]
- Pan, M.; Pei, W.; Yao, Y.; et al. Rapid and Integrated Quality Assessment of Organic-Inorganic Composite Herbs by FTIR Spectroscopy-Global Chemical Fingerprints Identification and Multiple Marker Components Quantification of Indigo Naturalis (Qing Dai). Molecules 2018, 23, 2743. [Google Scholar] [CrossRef]
- Xu, X.X.; Diao, Y.; Zhou, X.Y. A Preparation Method of Indigo Naturalis. Chinese patent CN109364126B, 8 October 2021. [Google Scholar]
- Chinese Pharmacopoeia Commision. Pharmacopoeia of the People’s Republic of China (2020,Volume I); China Medical Science Press: Beijing, 2020. [Google Scholar]
- Wirtz, S.; Popp, V.; Kindermann, M.; et al. Chemically induced mouse models of acute and chronic intestinal inflammation. Nat Protoc 2017, 12, 1295–1309. [Google Scholar] [CrossRef]
- Sadlack, B.; Merz, H.; Schorle, H.; et al. Ulcerative colitis-like disease in mice with a disrupted interleukin-2 gene. Cell 1993, 75, 253–261. [Google Scholar] [CrossRef]
- Erben, U.; Loddenkemper, C.; Doerfel, K.; et al. A guide to histomorphological evaluation of intestinal inflammation in mouse models. Int J Clin Exp Pathol. 2014, 7, 4557–4576. [Google Scholar]
- Erickson, N.A.; Nyström, E.E.; Mundhenk, L.; et al. The Goblet Cell Protein Clca1 (Alias mClca3 or Gob-5) Is Not Required for Intestinal Mucus Synthesis, Structure and Barrier Function in Naive or DSS-Challenged Mice. PLoS ONE 2015, 10, e0131991. [Google Scholar] [CrossRef] [PubMed]
- Renes, I.B.; Boshuizen, J.A.; Van Nispen, D.J.; et al. Alterations in Muc2 biosynthesis and secretion during dextran sulfate sodium-induced colitis. Am J Physiol Gastrointest Liver Physiol 2002, 282, G382–G389. [Google Scholar] [CrossRef] [PubMed]
- Naganuma, M. Treatment with indigo naturalis for inflammatory bowel disease and other immune diseases. Immunol Med 2019, 42, 16–21. [Google Scholar] [CrossRef] [PubMed]











| Symptoms | 0 points | 1 points | 2 points | 3 points | 4 points |
| Decreased body mass (%) | No | 1-5 | 5-10 | 10-15 | >15 |
| Stool properties | Normal | — | Semi-dilute stools | — | loose stool |
| Blood in stool | Negative, weakly positive | — | Positive, strongly positive | — | bloody stools |
| Inflammatory cell infiltration | Intestinal structure | ||||
|---|---|---|---|---|---|
| Severity level | Degree of infiltration | Rating 1 | Epithelial changes | Mucosal structure | Rating 2 |
| Mild (10-25 %) | Mucosal layer | 1 | Localised erosion | 1 | |
| Moderate (26-50 %) | Mucosal layer and submucosal layer | 2 | celiac disease | ± localised ulceration | 2 |
| Severe (>51 %) | Transmural | 3 | celiac disease | Extensive ulceration ± granulation tissue ± pseudopolyp | 3 |
| Rating 1 + Rating 2 | 0-6 | ||||
| Antibody name | Dilution times | Antibody source (stock number) |
|---|---|---|
| AhR (D5S6H) Rabbit mAb | 1:1000 | CST (#83200) |
| Non-phospho (Active) β-catenin (Ser33/37/Thr41) (D13A1) Rabbit mAb | 1:1000 | CST (#8814) |
| β-actin Rabbit Monoclonal Antibody | 1:1000 | Beyotime (AF5003) |
| Horseradish Peroxidase Labelled Goat Anti-rabbit IgG (H+L) | 1:50 | Beyotime (A0208) |
Disclaimer/Publisher’s Note: The statements, opinions and data contained in all publications are solely those of the individual author(s) and contributor(s) and not of MDPI and/or the editor(s). MDPI and/or the editor(s) disclaim responsibility for any injury to people or property resulting from any ideas, methods, instructions or products referred to in the content. |
© 2025 by the authors. Licensee MDPI, Basel, Switzerland. This article is an open access article distributed under the terms and conditions of the Creative Commons Attribution (CC BY) license (http://creativecommons.org/licenses/by/4.0/).