Submitted:
06 April 2025
Posted:
07 April 2025
You are already at the latest version
Abstract
Keywords:
1. Introduction
2. Cardiac Tissue Layers and Adipose Depots
2.1. Epicardial Adipose Tissue
2.2. Pericardial Adipose Tissue
2.3. Paracardial Adipose Tissue
2.4. Perivascular Adipose Tissue
3. Cardiac Fat and Cardiovascular Disease
3.1. Heart Failure (HF)
3.2. Coronary Artery Disease
3.3. Atrial Fibrillation
3.4. Ischemic Heart Disease
3.5. Heart Valve Stenosis
3.6. Cardiac Steatosis
3.7. Cardiac Fibrosis
3.8. Cardiac Lipoma
4. Imaging Modalities to Assess CAT
4.1. Assessment Metrics
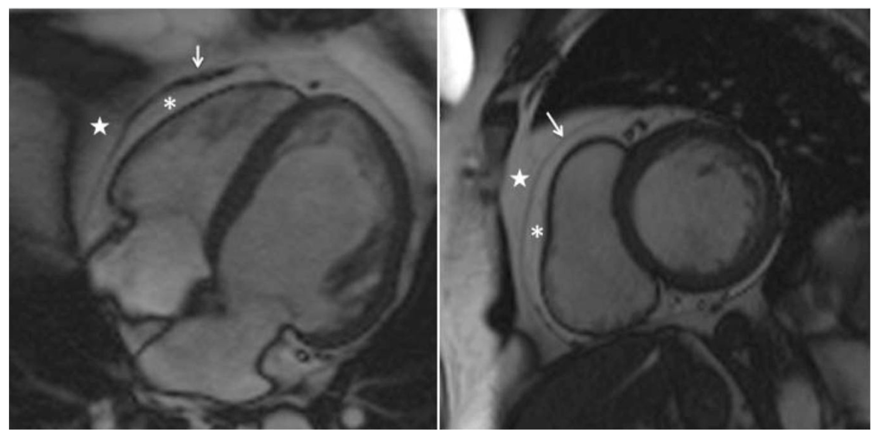
4.2. Cardiac Magnetic Resonance (CMR)
4.2.1. Imaging Techniques
4.2.2. CAT Segmentation
| Author | Tissue | Study | Metrics | Values |
|---|---|---|---|---|
| Feng et al.[91] - 2024 | EAT | Automatic double Res-Unet CNN based on fat maps, Dixon MRI | DSC | 0.8630 |
| Chen et al.[90] - 2023 | PAT | Automatic triple-stage 3SUnet, 2D SA MRI | Precision Recall |
0.766±0.152 0.831±0.126 |
| Daude et al.[92] - 2022 | PAT EAT |
Automatic four-chamber FCNs, cine MRI | DSC MSD (mm) DSC MSD (mm) |
0.7700 1.71 0.8000 2.38 |
| Kulasekara et al.[93] - 2022 | CAT | Automatic 3D U-Net, cine MRI | DSC | 0.7170 |
| Fulton et al.[94] - 2020 | EAT | Automatic double NN, cine MRI | DSC | 0.56±0.12 |
4.2.3. CAT Quantification
| Author | Tissue | Study | Units | Values | Correlation |
|---|---|---|---|---|---|
| Guglielmo et al.[97] - 2024 | EAT | Automated deep learning volume measurement | mL | 43.5±9.0 | p < 0.001 |
| Secchi et al.[98] - 2022 | EAT | Manual volume measurement using open-bore MR, cine MRI | Systole cm3 Diastole cm3 |
88.25 87.00 |
p < 0.124 p < 0.551 |
| Henningsson et al.[96] - 2020 | EAT | Manual volume measurement using cine Dixon technique, 3D Dixon MRI | mL | 145±90 | p < 0.01 |
4.2.4. Limitations
4.3. Computed Tomography (CT Scan)
4.3.1. Imaging Techniques
4.3.2. CAT Segmentation

| Author | Tissue | Study | Metrics | Values | Correlation |
|---|---|---|---|---|---|
| Zhang et al.[108] - 2020 | EAT | Automatic dual U-Nets, CT | DSC | 0.9119 | 0.9304 |
| He et al.[104] -2020 | EAT | Automatic 3D deep attention U-Net, CCTA | DSC Precision Recall |
0.8550 0.8640 0.8950 |
NA |
| Militello et al.[87] - 2019 | EAT | Semi-automatic image analysis, CAC and CCTA | DSC MAD |
0.9374, 0.9248 2.18, 2.87 |
(Pearson) 0.9591 0.9513 |
| Priya et al.[109] - 2019 | EAT PAT |
Adaptive Region Growing Algorithm, NC CT | Accuracy DSC Accuracy DSC |
0.9850 0.9870 0.9640 0.9530 |
NA |
| Norlén et al.[110] - 2016 | Automatic supervised, CCTA | DSC | 0.9900 | 0.9900 | |
| Rodrigues et al.[111] - 2016 | EAT PAT |
Automatic supervised, CT | DSC Accuracy |
0.9810 0.9850 |
NA |
4.3.3. CAT Quantification
| Author | Tissue | Study | Units | Values | Correlation |
|---|---|---|---|---|---|
| Hoori et al.[113] -2022 | EATd | Automatic DeepFat, NC low-dose CS CT | cm3 | 100.2 138.6 |
R = 0.9833 R = 0.9852 |
| Abdulkareem et al.[17] - 2022 | EATv | Automatic Single Multi-task framework, ECG-gated CT | mL | 101.16 | R = 0.9300 |
| Commandeur et al.[106] - 2019 | EATd | Automatic CNN, NC CS CT |
cm3 | 86.75 | R = 0.9740, p < 0.001 |
| Commandeur et al.[114] - 2018 | EATd TATd |
Automatic dual ConvNet, NC CCTA |
cm3 | 130.35 130.94 |
R = 0.945 p < 0.001 |
| D'Errico et al.[115] - 2017 | T–EATd RV–EATd LV–EATd |
Manual volume analysis, NC CCTA |
cm3 | 103.62, 94.96 67.23, 57.41 38.01, 35.27 |
ICC = 0.9900 |
4.3.4. Limitations
4.4. Echocardiography or Ultrasound (US)
4.4.1. Imaging Techniques
4.4.2. CAT Segmentation
4.4.3. CAT Quantification
| Author | Tissue | Study | Units | Values | Correlation |
|---|---|---|---|---|---|
| Average from metanalysis in[130] - 2022 | EAT | Metanalysis of EAT in patients with CAD and Non-CAD groups |
mm | 5.68 avg 3.61 avg |
NA |
| Eren et al.[131] - 2021 | EAT | EAT for atrial fibrillation prediction univariate, multivariate regression ROC EAT > 6.5 mm |
mm mm Sensitivity Specificity |
8.300, 6.100 5.850, 3.521 0.720 0.770 |
p < 0.001 |
| Xiao et al.[16] - 2020 | EAT | EAT thickness and heart disease (control) Coronary heart disease Single vessel disease Double vessel disease Multi vessel disease |
mm | 4.88 6.51 5.66 6.24 6.86 |
p < 0.01 vs control group |
| Parisi et al.[132] - 2020 | EAT | Validation of EAT thickness assessment for predicting CAD | mm | 11.00 (median) 1.00 mm (min) 29.00 mm (max) |
p < 0.001 |
| Meenakshi et al.[133] - 2016 | EAT | EAT thickness as CAD marker | mm | 0.9 min 13.5 max 5.56 avg (men) 5.97 avg (women) |
p (CAD) = 0.0001 p (BMI) = 0.08 |
| Iacobellis et al.[127] - 2003 | RV – EAT |
Epicardial Fat from Echocardiography, thickness | mm | 1.90 min 15.70 max 7.30 avg (men) 6.84 avg (women) |
r (VAT) = 0.798 r (WC) = 0.74 |
4.4.4. Limitations
5. Conclusions
| Feature | MRI | CT | Echocardiography |
|---|---|---|---|
| Radiation Exposure | None | High radiation dose | Minimal or no radiation |
| Examination time | Longer scan time | Fast acquisition time | Real-time imaging |
| Cost | High | Moderate | Low |
| Image Quality | High spatial and temporal resolution, Multiplanar imaging capabilities, High soft tissue contrast, excellent for fat quantification | Good spatial resolution, accurate fat attenuation, good for calcium scoring | Lower resolution, limited depth penetration |
| CAT Assessment | Accurate quantification, can differentiate fat types | Good for assessing fat distribution, but less accurate for quantification | Limited ability to quantify fat, primarily qualitative assessment, free wall of RV thickness |
| CAT quantification | Volume, thickness | Volume, thickness | Thickness |
| Contraindications | Contraindicated for patients with certain metal implants | Can be performed on patients with pacemakers/defibrillators | None |
| Constraints | Difficult for claustrophobic and robust patients, requires specialized cardiac MRI protocols | Motion artifacts can affect image quality, may require contrast agents | Difficulty in imaging obese patients, limited field of view, operator-dependent |
| Availability | Widely available | Widely available | Widely available |
| Infrastructure | Large, requires a shielded room | Moderate size room | Minimal, portable |
| Other Applications | Cardiac function, tissue characterization, perfusion imaging | Chest imaging, vascular imaging | Cardiac function, valve assessment, cardiac chamber dimensions |
Funding
Disclosure Statement
References
- Kim IK, Song BW, Lim S, Kim SW, Lee S. The Role of Epicardial Adipose Tissue-Derived MicroRNAs in the Regulation of Cardiovascular Disease: A Narrative Review. Biology. 2023;12(4):498. [CrossRef]
- Adipose Tissue: What Is It, Location, Function, and More | Osmosis. Accessed June 6, 2024. https://www.osmosis.org/answers/adipose-tissue.
- Sacks H, Symonds ME. Anatomical Locations of Human Brown Adipose Tissue: Functional Relevance and Implications in Obesity and Type 2 Diabetes. Diabetes. 2013;62(6):1783-1790. [CrossRef]
- Farese RV, Walther TC. Lipid Droplets Finally Get a Little R-E-S-P-E-C-T. Cell. 2009;139(5):855-860. [CrossRef]
- Gaborit B, Sengenes C, Ancel P, Jacquier A, Dutour A. Role of Epicardial Adipose Tissue in Health and Disease: A Matter of Fat? In: Comprehensive Physiology. Vol 7. ; 2017:1051-1082. [CrossRef]
- Iacobellis G. Local and systemic effects of the multifaceted epicardial adipose tissue depot. Nat Rev Endocrinol. 2015;11(6):363-371. [CrossRef]
- Cheładze P, Martuszewski A, Poręba R, Gać P. The Importance of the Assessment of Epicardial Adipose Tissue in Scientific Research. J Clin Med. 2022;11(19):5621. [CrossRef]
- Konwerski M, Gąsecka A, Opolski G, Grabowski M, Mazurek T. Role of Epicardial Adipose Tissue in Cardiovascular Diseases: A Review. Biology. 2022;11(3):355. [CrossRef]
- Mazurek T, Zhang L, Zalewski A, et al. Human Epicardial Adipose Tissue Is a Source of Inflammatory Mediators. Circulation. 2003;108(20):2460-2466. [CrossRef]
- Chhabra L, Gurukripa Kowlgi N. Cardiac adipose tissue: Distinction between epicardial and pericardial fat remains important! International Journal of Cardiology. 2015;201:274-275. [CrossRef]
- Krauz K, Kempiński M, Jańczak P, et al. The Role of Epicardial Adipose Tissue in Acute Coronary Syndromes, Post-Infarct Remodeling and Cardiac Regeneration. International Journal of Molecular Sciences. 2024;25(7):3583. [CrossRef]
- Silaghi A, Piercecchi-Marti MD, Grino M, et al. Epicardial adipose tissue extent: relationship with age, body fat distribution, and coronaropathy. Obesity (Silver Spring). 2008;16(11):2424-2430. [CrossRef]
- Rhee TM, Lee JH, Choi EK, et al. Increased Risk of Atrial Fibrillation and Thromboembolism in Patients with Severe Psoriasis: a Nationwide Population-based Study. Sci Rep. 2017;7(1):9973. [CrossRef]
- Gaeta M, Bandera F, Tassinari F, et al. Is epicardial fat depot associated with atrial fibrillation? A systematic review and meta-analysis. Europace. 2017;19(5):747-752. [CrossRef]
- Zhou M, Wang H, Chen J, Zhao L. Epicardial adipose tissue and atrial fibrillation: Possible mechanisms, potential therapies, and future directions. Pacing Clin Electrophysiol. 2020;43(1):133-145. [CrossRef]
- Xiao J, Lu Y, Yang X. Ultrasound Detection of Epicardial Adipose Tissue Combined With Ischemic Modified Albumin in the Diagnosis of Coronary Heart Disease. The Heart Surgery Forum. 2020;23(4):E461-E464. [CrossRef]
- Abdulkareem M, Brahier MS, Zou F, et al. Quantification of Epicardial Adipose Tissue Volume and Attenuation for Cardiac CT Scans Using Deep Learning in a Single Multi-Task Framework. Rev Cardiovasc Med. 2022;23(12):412. [CrossRef]
- Iacobellis G. Epicardial adipose tissue in contemporary cardiology. Nat Rev Cardiol. 2022;19(9):593-606. [CrossRef]
- Mahmoud I, Dykun I, Kärner L, et al. Epicardial adipose tissue differentiates in patients with and without coronary microvascular dysfunction. Int J Obes. 2021;45(9):2058-2063. [CrossRef]
- Song Y, Tan Y, Deng M, et al. Epicardial adipose tissue, metabolic disorders, and cardiovascular diseases: recent advances classified by research methodologies. MedComm. 2023;4(6):e413. [CrossRef]
- van Woerden G, van Veldhuisen DJ, Westenbrink BD, de Boer RA, Rienstra M, Gorter TM. Connecting epicardial adipose tissue and heart failure with preserved ejection fraction: mechanisms, management and modern perspectives. European Journal of Heart Failure. 2022;24(12):2238-2250. [CrossRef]
- Si Y, Feng Z, Liu Y, et al. Inflammatory biomarkers, angiogenesis and lymphangiogenesis in epicardial adipose tissue correlate with coronary artery disease. Sci Rep. 2023;13(1):2831. [CrossRef]
- Drake R, Vogl AW, Mitchell AWM. Gray’s Anatomy for Students E-Book. Elsevier Health Sciences; 2014.
- Stauffer CM, Meshida K, Bernor RL, Granite GE, Boaz NT. Anatomy, Thorax, Pericardiacophrenic Vessels. In: StatPearls. StatPearls Publishing; 2024. Accessed June 20, 2024. http://www.ncbi.nlm.nih.gov/books/NBK559242/.
- Ding J, Kritchevsky SB, Harris TB, et al. The Association of Pericardial Fat With Calcified Coronary Plaque. Obesity. 2008;16(8):1914-1919. [CrossRef]
- Pericardial Rather Than Epicardial Fat is a Cardiometabolic Risk Marker: An MRI vs Echo Study - ClinicalKey. Accessed June 19, 2024. https://www.clinicalkey.com/#!/content/playContent/1-s2.0-S0894731711004718?returnurl=https:%2F%2Flinkinghub.elsevier.com%2Fretrieve%2Fpii%2FS0894731711004718%3Fshowall%3Dtrue&referrer=.
- Yamaguchi Y, Cavallero S, Patterson M, et al. Adipogenesis and epicardial adipose tissue: A novel fate of the epicardium induced by mesenchymal transformation and PPARγ activation. Proceedings of the National Academy of Sciences. 2015;112(7):2070-2075. [CrossRef]
- Mahabadi AA, Massaro JM, Rosito GA, et al. Association of pericardial fat, intrathoracic fat, and visceral abdominal fat with cardiovascular disease burden: the Framingham Heart Study. Eur Heart J. 2009;30(7):850-856. [CrossRef]
- Rodrigues ÉO. On the Automated Segmentation of Epicardial and Mediastinal Cardiac Adipose Tissues Using Classification Algorithms.
- Zhang P, Konja D, Wang Y. Adipose tissue secretory profile and cardiometabolic risk in obesity. Endocrine and Metabolic Science. 2020;1:100061. [CrossRef]
- Alkhalil M, Edmond E, Edgar L, et al. The relationship of perivascular adipose tissue and atherosclerosis in the aorta and carotid arteries, determined by magnetic resonance imaging. Diabetes and Vascular Disease Research. 2018;15(4):286-293. [CrossRef]
- Grigoras A, Amalinei C, Balan RA, Giusca SE, Caruntu ID. Perivascular adipose tissue in cardiovascular diseases-an update. Anatol J Cardiol. 2019;22(5):219-231. [CrossRef]
- Tran KV, Fitzgibbons T, Min SY, DeSouza T, Corvera S. Distinct adipocyte progenitor cells are associated with regional phenotypes of perivascular aortic fat in mice. Molecular Metabolism. 2018;9:199-206. [CrossRef]
- van Dam AD, Boon MR, Berbée JFP, Rensen PCN, van Harmelen V. Targeting white, brown and perivascular adipose tissue in atherosclerosis development. European Journal of Pharmacology. 2017;816:82-92. [CrossRef]
- Virdis A, Duranti E, Rossi C, et al. Tumour necrosis factor-alpha participates on the endothelin-1/nitric oxide imbalance in small arteries from obese patients: role of perivascular adipose tissue. Eur Heart J. 2015;36(13):784-794. [CrossRef]
- Withers SB, Bussey CE, Saxton SN, Melrose HM, Watkins AE, Heagerty AM. Mechanisms of adiponectin-associated perivascular function in vascular disease. Arterioscler Thromb Vasc Biol. 2014;34(8):1637-1642. [CrossRef]
- Ginzburg D, Nowak S, Attenberger U, Luetkens J, Sprinkart AM, Kuetting D. Computer tomography-based assessment of perivascular adipose tissue in patients with abdominal aortic aneurysms. Sci Rep. 2024;14(1):20512. [CrossRef]
- Wen D, An R, Lin S, Yang W, Jia Y, Zheng M. Influence of Different Segmentations on the Diagnostic Performance of Pericoronary Adipose Tissue. Front Cardiovasc Med. 2022;9. [CrossRef]
- Association AH, American Stroke Association. Cardiovascular Disease: A Costly Burden for America Projections Through 2035. chrome-extension://efaidnbmnnnibpcajpcglclefindmkaj/https://www.heart.org/-/media/Files/About-Us/Policy-Research/Fact-Sheets/Public-Health-Advocacy-and-Research/CVD-A-Costly-Burden-for-America-Projections-Through-2035.pdf.
- Heart failure - Symptoms and causes. Mayo Clinic. Accessed June 19, 2024. https://www.mayoclinic.org/diseases-conditions/heart-failure/symptoms-causes/syc-20373142.
- Malik A, Brito D, Vaqar S, Chhabra L. Congestive Heart Failure. In: StatPearls. StatPearls Publishing; 2024. Accessed June 19, 2024. http://www.ncbi.nlm.nih.gov/books/NBK430873/.
- Pugliese NR, Paneni F, Mazzola M, et al. Impact of epicardial adipose tissue on cardiovascular haemodynamics, metabolic profile, and prognosis in heart failure. Eur J Heart Fail. 2021;23(11):1858-1871. [CrossRef]
- Tromp J, Bryant JA, Jin X, et al. Epicardial fat in heart failure with reduced versus preserved ejection fraction. Eur J Heart Fail. 2021;23(5):835-838. [CrossRef]
- What’s Draggin’ Your Heart Down? Cleveland Clinic. Accessed May 29, 2024. https://my.clevelandclinic.org/health/diseases/16898-coronary-artery-disease.
- Coronary artery disease - Symptoms and causes. Mayo Clinic. Accessed May 29, 2024. https://www.mayoclinic.org/diseases-conditions/coronary-artery-disease/symptoms-causes/syc-20350613.
- Mancio J, Azevedo D, Saraiva F, et al. Epicardial adipose tissue volume assessed by computed tomography and coronary artery disease: a systematic review and meta-analysis. European Heart Journal - Cardiovascular Imaging. 2018;19(5):490-497. [CrossRef]
- Ding J, Hsu FC, Harris TB, et al. The association of pericardial fat with incident coronary heart disease: the Multi-Ethnic Study of Atherosclerosis (MESA). Am J Clin Nutr. 2009;90(3):499-504. [CrossRef]
- Wu FZ, Huang YL, Wang YC, et al. Impact of location of epicardial adipose tissue, measured by coronary artery calcium-scoring computed tomography on obstructive coronary artery disease. Am J Cardiol. 2013;112(7):943-949. [CrossRef]
- Hirata Y, Yamada H, Kusunose K, et al. Clinical Utility of Measuring Epicardial Adipose Tissue Thickness with Echocardiography Using a High-Frequency Linear Probe in Patients with Coronary Artery Disease. J Am Soc Echocardiogr. 2015;28(10):1240-1246.e1. [CrossRef]
- Bachar GN, Dicker D, Kornowski R, Atar E. Epicardial adipose tissue as a predictor of coronary artery disease in asymptomatic subjects. Am J Cardiol. 2012;110(4):534-538. [CrossRef]
- Li C, Liu X, Adhikari BK, et al. The role of epicardial adipose tissue dysfunction in cardiovascular diseases: an overview of pathophysiology, evaluation, and management. Front Endocrinol. 2023;14. [CrossRef]
- Large SR, Hosseinpour AR, Wisbey C, Wells FC. Spontaneous cardioversion and mitral valve repair: a role for surgical cardioversion (Cox-maze)? Eur J Cardiothorac Surg. 1997;11(1):76-80. [CrossRef]
- Schneider MP, Hua TA, Böhm M, Wachtell K, Kjeldsen SE, Schmieder RE. Prevention of atrial fibrillation by Renin-Angiotensin system inhibition a meta-analysis. J Am Coll Cardiol. 2010;55(21):2299-2307. [CrossRef]
- Tsao HM, Hu WC, Wu MH, et al. Quantitative analysis of quantity and distribution of epicardial adipose tissue surrounding the left atrium in patients with atrial fibrillation and effect of recurrence after ablation. Am J Cardiol. 2011;107(10):1498-1503. [CrossRef]
- Nakanishi K, Fukuda S, Tanaka A, et al. Peri-atrial epicardial adipose tissue is associated with new-onset nonvalvular atrial fibrillation. Circ J. 2012;76(12):2748-2754. [CrossRef]
- Nagashima K, Okumura Y, Watanabe I, et al. Association between epicardial adipose tissue volumes on 3-dimensional reconstructed CT images and recurrence of atrial fibrillation after catheter ablation. Circ J. 2011;75(11):2559-2565. [CrossRef]
- Steenbergen C, Frangogiannis NG. Chapter 36 - Ischemic Heart Disease. In: Hill JA, Olson EN, eds. Muscle. Academic Press; 2012:495-521. [CrossRef]
- Gul Z, Shams P, Makaryus AN. Silent Myocardial Ischemia. In: StatPearls. StatPearls Publishing; 2024. Accessed June 18, 2024. http://www.ncbi.nlm.nih.gov/books/NBK536915/.
- Tamarappoo B, Dey D, Shmilovich H, et al. Increased pericardial fat volume measured from noncontrast CT predicts myocardial ischemia by SPECT. JACC Cardiovasc Imaging. 2010;3(11):1104-1112. [CrossRef]
- Hell MM, Ding X, Rubeaux M, et al. Epicardial adipose tissue volume but not density is an independent predictor for myocardial ischemia. J Cardiovasc Comput Tomogr. 2016;10(2):141-149. [CrossRef]
- Mitral valve stenosis - Symptoms and causes. Mayo Clinic. Accessed May 29, 2024. https://www.mayoclinic.org/diseases-conditions/mitral-valve-stenosis/symptoms-causes/syc-20353159.
- Mahabadi AA, Kahlert HA, Dykun I, Balcer B, Kahlert P, Rassaf T. Epicardial Adipose Tissue Thickness Independently Predicts Severe Aortic Valve Stenosis. J Heart Valve Dis. 2017;26(3):262-267.
- Nabati M, Salehi A, Hatami G, Dabirian M, Yazdani J, Parsaee H. Epicardial adipose tissue and its association with cardiovascular risk factors and mitral annular calcium deposits. Ultrasound. 2019;27(4):217-224. [CrossRef]
- Aortic valve stenosis - Symptoms and causes. Mayo Clinic. Accessed May 29, 2024. https://www.mayoclinic.org/diseases-conditions/aortic-stenosis/symptoms-causes/syc-20353139.
- Liu CY, Redheuil A, Ouwerkerk R, Lima JAC, Bluemke DA. Myocardial Fat Quantification in Humans: Evaluation by Two-Point Water-Fat Imaging and Localized Proton Spectroscopy. Magn Reson Med. 2010;63(4):892-901. [CrossRef]
- Wu CK, Lee JK, Hsu JC, et al. Myocardial adipose deposition and the development of heart failure with preserved ejection fraction. European Journal of Heart Failure. 2020;22(3):445-454. [CrossRef]
- Schimmel K, Ichimura K, Reddy S, Haddad F, Spiekerkoetter E. Cardiac Fibrosis in the Pressure Overloaded Left and Right Ventricle as a Therapeutic Target. Frontiers in Cardiovascular Medicine. 2022;9:886553. [CrossRef]
- Wu CK, Tsai HY, Su MYM, et al. Evolutional change in epicardial fat and its correlation with myocardial diffuse fibrosis in heart failure patients. Journal of Clinical Lipidology. 2017;11(6):1421-1431. [CrossRef]
- Ismail I, Al-Khafaji K, Mutyala M, et al. Cardiac lipoma. J Community Hosp Intern Med Perspect. 2015;5(5):10.3402/jchimp.v5.28449. [CrossRef]
- Radswiki T. Cardiac lipoma | Radiology Reference Article | Radiopaedia.org. Radiopaedia. [CrossRef]
- Weerakkody Y. Epicardial lipomatosis | Radiology Reference Article | Radiopaedia.org. Radiopaedia. [CrossRef]
- Myerson SG, Roberts R, Moat N, Pennell DJ. Tamponade caused by cardiac lipomatous hypertrophy. J Cardiovasc Magn Reson. 2004;6(2):565-568. [CrossRef]
- Miller CA, Schmitt M. Epicardial Lipomatous Hypertrophy Mimicking Pericardial Effusion. Circulation: Cardiovascular Imaging. 2011;4(1):77-78. [CrossRef]
- Gaillard F. Lipomatous hypertrophy of the interatrial septum | Radiology Reference Article | Radiopaedia.org. Radiopaedia. [CrossRef]
- Buritica JRC. Graphical User Interface for the CVIP MATLAB Toolbox with Application to Syrinx Detection in Veterinary Thermographic Images. Southern Illinois University; 2019. https://www.proquest.com/docview/2287611574.
- Antonopoulos AS, Antoniades C. Cardiac Magnetic Resonance Imaging of Epicardial and Intramyocardial Adiposity as an Early Sign of Myocardial Disease. Circulation: Cardiovascular Imaging. 2018;11(8):e008083. [CrossRef]
- Marwan M, Koenig S, Schreiber K, et al. Quantification of epicardial adipose tissue by cardiac CT: Influence of acquisition parameters and contrast enhancement. European Journal of Radiology. 2019;121:108732. [CrossRef]
- Iacobellis G, Willens HJ. Echocardiographic Epicardial Fat: A Review of Research and Clinical Applications. Journal of the American Society of Echocardiography. 2009;22(12):1311-1319. [CrossRef]
- Cuellar JR, Dinh V, Burri M, Roelandts J, Wendling J, Klingensmith JD. Evaluation of state-of-the-art deep learning models in the segmentation of the left and right ventricles in parasternal short-axis echocardiograms. J Med Imag. 2025;12(02). [CrossRef]
- Pohost GM. The History of Cardiovascular Magnetic Resonance. JACC: Cardiovascular Imaging. 2008;1(5):672-678. [CrossRef]
- Guglielmo M, Lin A, Dey D, et al. Epicardial fat and coronary artery disease: Role of cardiac imaging. Atherosclerosis. 2021;321:30-38. [CrossRef]
- Bertaso AG, Bertol D, Duncan BB, Foppa M. Epicardial Fat: Definition, Measurements and Systematic Review of Main Outcomes. Arquivos Brasileiros de Cardiologia. Published online 2013. [CrossRef]
- Salerno M, Sharif B, Arheden H, et al. Recent Advances in Cardiovascular Magnetic Resonance: Techniques and Applications. Circ: Cardiovascular Imaging. 2017;10(6):e003951. [CrossRef]
- Ahmed N, Carrick D, Layland J, Oldroyd KG, Berry C. The Role of Cardiac Magnetic Resonance Imaging (MRI) in Acute Myocardial Infarction (AMI). Heart, Lung and Circulation. 2013;22(4):243-255. [CrossRef]
- Curtis AD, Cheng HM. Primer and Historical Review on Rapid Cardiac CINE MRI. Magnetic Resonance Imaging. 2022;55(2):373-388. [CrossRef]
- Homsi R, Meier-Schroers M, Gieseke J, et al. 3D-Dixon MRI based volumetry of peri- and epicardial fat. Int J Cardiovasc Imaging. 2016;32(2):291-299. [CrossRef]
- Militello C, Rundo L, Toia P, et al. A semi-automatic approach for epicardial adipose tissue segmentation and quantification on cardiac CT scans. Computers in Biology and Medicine. 2019;114:103424. [CrossRef]
- Malavazos AE, Di Leo G, Secchi F, et al. Relation of Echocardiographic Epicardial Fat Thickness and Myocardial Fat. The American Journal of Cardiology. 2010;105(12):1831-1835. [CrossRef]
- Cuellar JR, Karlapalem A, Umbaugh SE, Marino DJ, Sackman J. Detection of syrinx in thermographic images of canines with Chiari malformation using MATLAB CVIP toolbox GUI. In: Proc. SPIE 11004, Thermosense: Thermal Infrared Applications XLI, 1100405. ; 2019. [CrossRef]
- Chen S, An D, Feng C, Bian Z, Wu LM. Segmentation of Pericardial Adipose Tissue in CMR Images: A Benchmark Dataset MRPEAT and a Triple-Stage Network 3SUnet. IEEE Trans Med Imaging. 2023;42(8):2386-2399. [CrossRef]
- Feng F, Carlhäll CJ, Tan Y, et al. FM-Net: A Fully Automatic Deep Learning Pipeline for Epicardial Adipose Tissue Segmentation. In: Camara O, Puyol-Antón E, Sermesant M, et al., eds. Statistical Atlases and Computational Models of the Heart. Regular and CMRxRecon Challenge Papers. Vol 14507. Lecture Notes in Computer Science. Springer Nature Switzerland; 2024:88-97. [CrossRef]
- Daudé P, Ancel P, Confort Gouny S, et al. Deep-Learning Segmentation of Epicardial Adipose Tissue Using Four-Chamber Cardiac Magnetic Resonance Imaging. Diagnostics. 2022;12(1):126. [CrossRef]
- Kulasekara M, Dinh VQ, Fernandez-del-Valle M, Klingensmith JD. Comparison of two-dimensional and three-dimensional U-Net architectures for segmentation of adipose tissue in cardiac magnetic resonance images. Med Biol Eng Comput. 2022;60(8):2291-2306. [CrossRef]
- Fulton MR, Givan AH, Fernandez-del-Valle M, Klingensmith JD. Segmentation of epicardial adipose tissue in cardiac MRI using deep learning. In: Gimi BS, Krol A, eds. Medical Imaging 2020: Biomedical Applications in Molecular, Structural, and Functional Imaging. SPIE; 2020:25. [CrossRef]
- Requena-Ibáñez JA, Santos-Gallego CG, Rodriguez Cordero AJ, et al. Not only how much, but also how to, when measuring epicardial adipose tissue. Magnetic Resonance Imaging. 2022;86:149-151. [CrossRef]
- Henningsson M, Brundin M, Scheffel T, Edin C, Viola F, Carlhäll CJ. Quantification of epicardial fat using 3D cine Dixon MRI. BMC Med Imaging. 2020;20(1):80. [CrossRef]
- Guglielmo M, Penso M, Carerj ML, et al. DEep LearnIng-based QuaNtification of epicardial adipose tissue predicts MACE in patients undergoing stress CMR. Atherosclerosis. Published online April 2024:117549. [CrossRef]
- Secchi F, Asteria C, Monti CB, et al. Quantification of epicardial adipose tissue in obese patients using an open-bore MR scanner. Eur Radiol Exp. 2022;6(1):25. [CrossRef]
- Militello C, Prinzi F, Sollami G, Rundo L, La Grutta L, Vitabile S. CT Radiomic Features and Clinical Biomarkers for Predicting Coronary Artery Disease. Cogn Comput. 2023;15(1):238-253. [CrossRef]
- Benčević M, Galić I, Habijan M, Pižurica A. Recent Progress in Epicardial and Pericardial Adipose Tissue Segmentation and Quantification Based on Deep Learning: A Systematic Review. Applied Sciences. 2022;12(10):5217. [CrossRef]
- Greco F, Salgado R, Van Hecke W, Del Buono R, Parizel PM, Mallio CA. Epicardial and pericardial fat analysis on CT images and artificial intelligence: a literature review. Quant Imaging Med Surg. 2022;12(3):2075-2089. [CrossRef]
- La Grutta L, Toia P, Farruggia A, et al. Quantification of epicardial adipose tissue in coronary calcium score and CT coronary angiography image data sets: comparison of attenuation values, thickness and volumes. BJR. 2016;89(1062):20150773. [CrossRef]
- Marwan M, Achenbach S. Quantification of epicardial fat by computed tomography: Why, when and how? Journal of Cardiovascular Computed Tomography. 2013;7(1):3-10. [CrossRef]
- He X, Guo B, Lei Y, et al. Automatic epicardial fat segmentation in cardiac CT imaging using 3D deep attention U-Net. In: Landman BA, Išgum I, eds. Medical Imaging 2020: Image Processing. SPIE; 2020:84. [CrossRef]
- Bencevic M, Habijan M, Galic I. Epicardial Adipose Tissue Segmentation from CT Images with A Semi-3D Neural Network. In: 2021 International Symposium ELMAR. IEEE; 2021:87-90. [CrossRef]
- Commandeur F, Goeller M, Razipour A, et al. Fully Automated CT Quantification of Epicardial Adipose Tissue by Deep Learning: A Multicenter Study. Radiology: Artificial Intelligence. 2019;1(6):e190045. [CrossRef]
- Li X, Sun Y, Xu L, et al. Automatic quantification of epicardial adipose tissue volume. Medical Physics. 2021;48(8):4279-4290. [CrossRef]
- Zhang Q, Zhou J, Zhang B, Jia W, Wu E. Automatic Epicardial Fat Segmentation and Quantification of CT Scans Using Dual U-Nets With a Morphological Processing Layer. IEEE Access. 2020;8:128032-128041. [CrossRef]
- Priya C, Sudha S. Adaptive Fruitfly Based Modified Region Growing Algorithm for Cardiac Fat Segmentation Using Optimal Neural Network. J Med Syst. 2019;43(5):104. [CrossRef]
- Norlén A, Alvén J, Molnar D, et al. Automatic pericardium segmentation and quantification of epicardial fat from computed tomography angiography. J Med Imaging (Bellingham). 2016;3(3):034003. [CrossRef]
- Rodrigues ÉO, Morais FFC, Morais NAOS, Conci LS, Neto LV, Conci A. A novel approach for the automated segmentation and volume quantification of cardiac fats on computed tomography. Computer Methods and Programs in Biomedicine. 2016;123:109-128. [CrossRef]
- Vajihi Z, Rosado-Mendez I, Hall TJ, Rivaz H. L1 And L2 Norm Depth-Regularized Estimation Of The Acoustic Attenuation And Backscatter Coefficients Using Dynamic Programming. In: 2019 IEEE 16th International Symposium on Biomedical Imaging (ISBI 2019). IEEE; 2019:1749-1752. [CrossRef]
- Hoori A, Hu T, Lee J, Al-Kindi S, Rajagopalan S, Wilson DL. Deep learning segmentation and quantification method for assessing epicardial adipose tissue in CT calcium score scans. Sci Rep. 2022;12(1):2276. [CrossRef]
- Commandeur F, Goeller M, Betancur J, et al. Deep Learning for Quantification of Epicardial and Thoracic Adipose Tissue From Non-Contrast CT. IEEE Trans Med Imaging. 2018;37(8):1835-1846. [CrossRef]
- D’Errico L, Salituri F, Ciardetti M, et al. Quantitative analysis of epicardial fat volume: effects of scanning protocol and reproducibility of measurements in non-contrast cardiac CT vs. coronary CT angiography. Quant Imaging Med Surg. 2017;7(3):326-335. [CrossRef]
- Insana M. Handbook of Physics in Medicine and Biology - Ultrasonic Imaging. 0 ed. (Splinter R, ed.). CRC Press; 2010. [CrossRef]
- Finel V. 3D ultrafast echocardiography: Doctoral Thesis. Sorbonne; 2018.
- Standard Transthoracic Echocardiogram: Complete Imaging Protocol. Cardiovascular Education. Accessed July 8, 2024. https://ecgwaves.com/topic/the-standard-adult-transthoracic-echocardiogram-a-protocol-to-obtain-a-complete-study/.
- My medical illustrations. Patrick Lynch. January 22, 2017. Accessed July 8, 2024. https://coastfieldguides.com/my-medical-illustrations/.
- Chen C, Qin C, Qiu H, et al. Deep Learning for Cardiac Image Segmentation: A Review. Front Cardiovasc Med. 2020;7. [CrossRef]
- Leclerc S, Smistad E, Pedrosa J, et al. Deep Learning for Segmentation Using an Open Large-Scale Dataset in 2D Echocardiography. IEEE Trans Med Imaging. 2019;38(9):2198-2210. [CrossRef]
- MoosaviTayebi R. Echocardiography Image Segmentation: A Survey. IEEE. Accessed April 18, 2024. https://www.academia.edu/7479069/Echocardiography_Image_Segmentation_A_Survey.
- Painchaud N, Duchateau N, Bernard O, Jodoin PM. Echocardiography Segmentation With Enforced Temporal Consistency. IEEE Trans Med Imaging. 2022;41(10):2867-2878. [CrossRef]
- Zyuzin V, Mukhtarov A, Neustroev D, Chumarnaya T. Segmentation of 2D Echocardiography Images using Residual Blocks in U-Net Architectures. In: 2020 Ural Symposium on Biomedical Engineering, Radioelectronics and Information Technology (USBEREIT). ; 2020:499-502. [CrossRef]
- Cuellar JR, Gillette L, Dinh V, Woodard P, Burri M, Klingensmith JD. Echocardiogram image segmentation and cardiac adipose tissue estimation using spectral analysis and deep learning. Proc SPIE 12932, Medical Imaging 2024: Ultrasonic Imaging and Tomography. Published online April 1, 2024. [CrossRef]
- Klingensmith JD, Karlapalem A, Kulasekara MM, Fernandez-del-Valle M. Spectral analysis of ultrasound radiofrequency backscatter for the identification of epicardial adipose tissue. J Med Imag. 2022;9(01). [CrossRef]
- Iacobellis G, Assael F, Ribaudo MC, et al. Epicardial Fat from Echocardiography: A New Method for Visceral Adipose Tissue Prediction. Obesity Research. 2003;11(2):304-310. [CrossRef]
- Schejbal V. [Epicardial fatty tissue of the right ventricle--morphology, morphometry and functional significance]. Pneumologie. 1989;43(9):490-499.
- Nesti L, Pugliese NR, Chiriacò M, Trico D, Baldi S, Natali A. Epicardial adipose tissue thickness is associated with reduced peak oxygen consumption and systolic reserve in patients with type 2 diabetes and normal heart function. Diabetes Obes Metab. 2023;25(1):177-188. [CrossRef]
- Wang Q, Chi J, Wang C, Yang Y, Tian R, Chen X. Epicardial Adipose Tissue in Patients with Coronary Artery Disease: A Meta-Analysis. J Cardiovasc Dev Dis. 2022;9(8):253. [CrossRef]
- Eren H, Omar MB, Öcal L. Epicardial fat tissue may predict new-onset atrial fibrillation in patients with non-ST-segment elevation myocardial infarction. Archives of the Turkish Society of Cardiology. 2021;49(6):430-438. [CrossRef]
- Parisi V, Petraglia L, Formisano R, et al. Validation of the echocardiographic assessment of epicardial adipose tissue thickness at the Rindfleisch fold for the prediction of coronary artery disease. Nutrition, Metabolism and Cardiovascular Diseases. 2020;30(1):99-105. [CrossRef]
- Meenakshi K, Rajendran M, Srikumar S, Chidambaram S. Epicardial fat thickness: A surrogate marker of coronary artery disease – Assessment by echocardiography. Indian Heart J. 2016;68(3):336-341. [CrossRef]
- Nerlekar N, Baey YW, Brown AJ, et al. Poor Correlation, Reproducibility, and Agreement Between Volumetric Versus Linear Epicardial Adipose Tissue Measurement: A 3D Computed Tomography Versus 2D Echocardiography Comparison. JACC: Cardiovascular Imaging. 2018;11(7):1035-1036. [CrossRef]
- Iacobellis G, Willens HJ, Barbaro G, Sharma AM. Threshold values of high-risk echocardiographic epicardial fat thickness. Obesity (Silver Spring). 2008;16(4):887-892. [CrossRef]









Disclaimer/Publisher’s Note: The statements, opinions and data contained in all publications are solely those of the individual author(s) and contributor(s) and not of MDPI and/or the editor(s). MDPI and/or the editor(s) disclaim responsibility for any injury to people or property resulting from any ideas, methods, instructions or products referred to in the content. |
© 2025 by the authors. Licensee MDPI, Basel, Switzerland. This article is an open access article distributed under the terms and conditions of the Creative Commons Attribution (CC BY) license (http://creativecommons.org/licenses/by/4.0/).
