Preprint
Case Report

This version is not peer-reviewed.

Unveiling the Uncommon: Targeting Rare MET Fusions in NSCLC: A Comprehensive Review

Submitted:

05 March 2025

Posted:

06 March 2025

You are already at the latest version

Abstract

Background/Objectives: Advancements in molecular diagnostics and targeted therapies have significantly transformed the management of non-small cell lung cancer (NSCLC). Rare MET rearrangements, including novel fusions such as HLA-DRB1-MET and HLA-DQB2-MET, represent actionable genetic alterations with critical therapeutic implications. This review synthesizes findings from multiple case reports to highlight the efficacy of MET tyrosine kinase inhibitors (TKIs) in MET-driven oncogenesis. Methods: A systematic review of published case reports and studies on MET rearrangements in NSCLC was conducted. Data were analyzed to assess the clinical outcomes of patients treated with MET TKIs, such as crizotinib and tepotinib. Additionally, our case report demonstrates the utility of comprehensive next-generation sequencing (NGS) in identifying rare MET fusions and guiding personalized treatment strategies.Results: Our case illustrates the potential of NGS in detecting rare MET fusions and achieving durable disease control with crizotinib. Comparative analyses indicate the necessity of individualized treatment approaches, particularly in cases involving central nervous system (CNS) involvement and prior treatment history. The review further emphasizes that MET alterations are more frequently identified in never-smoking female patients, where driver mutation detection rates exceed 60%. Conclusions: Precision oncology plays a pivotal role in addressing rare MET rearrangements in NSCLC. Despite advancements, challenges persist in early identification, therapeutic sequencing, and access to advanced diagnostics. Collaborative efforts among researchers, clinicians, and policymakers are crucial to refining treatment strategies and improving patient outcomes.

Keywords: 
;  ;  ;  ;  

1. Introduction

Lung cancer is a leading cause of cancer-related mortality worldwide, responsible for approximately 1.8 million deaths annually. Non-small cell lung cancer (NSCLC) accounts for approximately85% of all lung cancer cases, with adenocarcinoma being the most common histologic subtype [1]. Advances in molecular profiling, particularly next-generation sequencing (NGS), have significantly reshaped the diagnostic and therapeutic landscape of NSCLC.The MET proto-oncogene, which is responsible for encoding a transmembrane receptor tyrosine kinase that plays a critical role in regulating cell growth, survival, and motility [2].
Among the actionable mutations, those alterations affecting the MET proto-oncogene have garnered significant attention due to their oncogenic potential and therapeutic implications. Aberrations such as MET exon 14 skipping mutations, amplifications, and fusions result in constitutive activation of the MET signalling pathway, which contributes to tumor progression[3]. MET fusions, although rare accounting for approximately 0.5% of non-small cell lung cancer (NSCLC) cases frequently involve novel partners like HLA-DRB1 and HLA-DQB2. These partners retain the MET kinase domain and drive oncogenesis through ligand-independent dimerization and activation[4].
Recent findings underscore the mounting importance of MET fusions in various malignancies, including NSCLC. These rare structural rearrangements, accounting for approximately 0.5% of NSCLC cases, have also been identified in other tumor types. A notable example is that of a pediatric glioblastoma patient with a MET fusion who achieved a partial response to the MET inhibitor crizotinib, the potential of targeted therapies in addressing these oncogenic drivers. This underscores the critical need for further research into the therapeutic landscape of MET fusions, especially given the promising, albeit preliminary, outcomes seen in early clinical cases [5,6,7].
Aberrant MET activation has also been associated with cancer cell proliferation and angiogenesis across different tumor types. ATP-competitive tyrosine kinase inhibitors (TKIs) have demonstrated antitumor activity in NSCLC patients with MET alterations, particularly in cases with MET exon 14 skipping mutations. However, the therapeutic impact of MET TKIs in more complex structural rearrangements, such as MET fusions, remains poorly understood and warrants further investigation [8,9].
Crizotinib has a demonstrated favourable response rate in the treatment of lung adenocarcinomas that harbor MET gene alterations. Additionally, other MET-targeting agents, including cabozantinib, savolitinib, capmatinib, and tepotinib, have also shown therapeutic potential in this context [10,11,12].
In this review, we analyse a range of cases from the literature and emphasize a unique case at Medipol University involving an HLA-DRB1-MET fusion. This case exemplifies the role of molecular diagnostics in guiding targeted therapy decisions. Additionally, we aim to contextualize this case within the broader spectrum of MET rearrangements to provide a comprehensive understanding of their therapeutic implications.

2. Clinical Cases and Therapeutic Insights

2.1. Tepotinib in HLA-DRB1-MET Fusion-Positive NSCLC (Blanc-Durand et al.)

A 41-year-old female patient diagnosed with stage IIIA non-small cell lung cancer (NSCLC) and subsequent brain metastases was found to harbor an HLA-DRB1-MET gene fusion. Initial treatment with cisplatin and vinblastine combined with radiotherapy resulted in a partial response, but the disease progressed within seven months, leading to brain, liver, and bone metastases.
Molecular profiling identified the HLA-DRB1-MET fusion, and targeted therapy was initiated.
Crizotinib was administered as the first-line treatment, achieving a complete response for six months. However, disease progression occurred, presenting with symptomatic cerebral metastases. Subsequent to the progression of the disease, tepotinib was introduced as a second-line therapy, resulting in a near-complete intracranial response and significant systemic disease control, which was maintained for a period of nine months. Subsequently, cabozantinib was employed as the third-line therapy, further stabilizing the disease and preserving the patient's quality of life with minimal adverse effects. This case underscores the significance of next-generation sequencing (NGS) in identifying actionable mutations and demonstrates the potential efficacy of tepotinib in managing CNS-involved NSCLC.[13].

2.2. Crizotinib in HLA-DRB1-MET Fusion-Positive NSCLC (Davies et al.)

A 74-year-old female patient who had never smoked exhibited with a history of stage I lung adenocarcinoma, which was treated with a wedge resection of the right lower lobe. Nine years later, a new left upper lobe mass was detected, and following a lobectomy, the tumor was confirmed to be stage II lung adenocarcinoma. Initial testing of the second tumor sample revealed no EGFR mutations or ALK rearrangements. Adjuvant chemotherapy was declined.
Eighteen months later, surveillance imaging revealed multiple new lung lesions and nodal involvement, and a biopsy confirmed adenocarcinoma, morphologically similar to previous samples, without ALK or ROS1 rearrangements. After four cycles of carboplatin-pemetrexed followed by maintenance pemetrexed, disease remained stable but progressed slowly after treatment cessation due to fatigue.
Subsequent next-generation sequencing of a resected tumor specimen identified a novel HLA-DRB1-MET fusion with MET exon 15. Crizotinib was initiated off-label, as the patients tumor was negative for other actionable mutations (EGFR, KRAS, ALK, ROS1, RET). Within six weeks, the patient achieved a complete response, which was maintained for eight months with manageable side effects, including fatigue and mild hypokalemia.
This case underscores the importance of comprehensive NGS in uncovering rare actionable fusions, such as HLA-DRB1-MET, and highlights the efficacy of crizotinib as a targeted therapy for such patients​[4].

2.3. Crizotinib in HLA-DRB1-MET Fusion-Positive NSCLC (Kunte and Stevenson)

A 59-year-old woman with a history of stage IA lung adenocarcinoma initially underwent radiation therapy for recurrent pleural-based nodules. Despite treatment, disease control was not achieved. Molecular profiling with next-generation sequencing (NGS) identified a rare HLA-DRB1-MET gene fusion.
Pembrolizumab monotherapy was initiated, resulting in disease stabilization for a period of eight months before progression occurred. Subsequently, crizotinib was introduced based on the molecular findings, leading to a rapid and significant reduction in pleural lesions, achieving a complete radiographic response within a period of four months. The patient exhibited good tolerance to crizotinib, experiencing only mild, manageable side effects, including fatigue and nausea.
This case underscores the pivotal role of NGS in identifying rare MET fusions and substantiates the efficacy of crizotinib as a targeted therapy for patients with these actionable alterations[14].

2.4. Tepotinib in HLA-DQB2-MET Fusion-Positive NSCLC (Dias e Silva et al.)

A 73-year-old female patient with advanced non-small cell lung cancer (NSCLC) (stage IVA) presented with a large left upper lobe mass, pleural effusion, and mediastinal lymph node involvement. Initial treatment with a combination of carboplatin, pemetrexed, and pembrolizumab resulted in temporary disease stabilization, but progression was noted following maintenance therapy.
Molecular profiling via next-generation sequencing (NGS) identified a novel HLA-DQB2-MET fusion. Tepotinib, a selective MET inhibitor, was initiated at a dose of 450 mg daily. This treatment achieved significant tumor reduction and sustained disease control for over 12 months. The patient exhibited a good tolerance to tepotinib, with no reported treatment-related adverse events reported.
This case underscores the potential of selective MET inhibitors, such as tepotinib, in managing rare MET fusion variants and emphasizes the importance of comprehensive genomic testing in identifying actionable therapeutic targets[15].

2.5. Sequential TKI Therapy in ALK-HLA-DRB1 Fusion-Positive NSCLC (Gao et al.)

A 48-year-old female patient with advanced-stage non-small cell lung cancer (NSCLC) presented with bilateral pulmonary nodules and mediastinal lymphadenopathy. Molecular profiling via next-generation sequencing (NGS) identified a rare ALK-HLA-DRB1 rearrangement, retaining the kinase domain of ALK and driving oncogenesis.
Crizotinib was administered as the patient's initial treatment, resulting in rapid clinical improvement and substantial radiographic response, with disease control a period of six months. Due to economic constraints, the patient was transitioned to ceritinib, which further extended progression-free survival, achieving 18 months of disease control.
This case underscores the efficacy of sequential ALK tyrosine kinase inhibitor (TKI) therapy in managing rare ALK rearrangements and highlights the critical role of precision oncology in improving outcomes for complex cases[16].

2.6. Crizotinib in HLA-DRB1-MET Fusion-Positive NSCLC: Medipol University Experience (Muğlu et al.)

A 59-year-old female patient presented with advanced-stage NSCLC, characterized by mediastinal lymphadenopathy, bone metastases, and a large left lung mass. Initial complaints included persistent cough and back pain. The tumor was negative for EGFR mutations, and ALK and ROS1 gene rearrangements. Programmed death ligand 1 expression (PD-L1), was detected, with a Tumor Proportion Score (TPS) of 40%. The patient was initially evaluated as negative for EGFR, ALK, and ROS1, with a PD-L1 TPS score of 1-50%.
Based on these findings, first-line treatment with carboplatin, pemetrexed, and pembrolizumab was initiated. Following four cycles of chemoimmunotherapy, a partial response was observed. Subsequently, carboplatin was discontinued, and pemetrexed and pembrolizumab were continued. During the 11th cycle of pembrolizumab treatment, disease progression was detected in the primary lung lesion.
Given the patient's profile as a never-smoker and a female, the likelihood of rare driver mutations was considered. Consequently, a comprehensive next-generation sequencing (NGS) was conducted, which revealed CDKN2A underexpression and a positive HLA-DRB1-MET chromosomal rearrangement, leading to the recommendation of crizotinib therapy. The patient's MSS remained stable, and the tumor mutational burden (TMB) was 2.1 mutations/Mb. Further actionable mutations were negative.
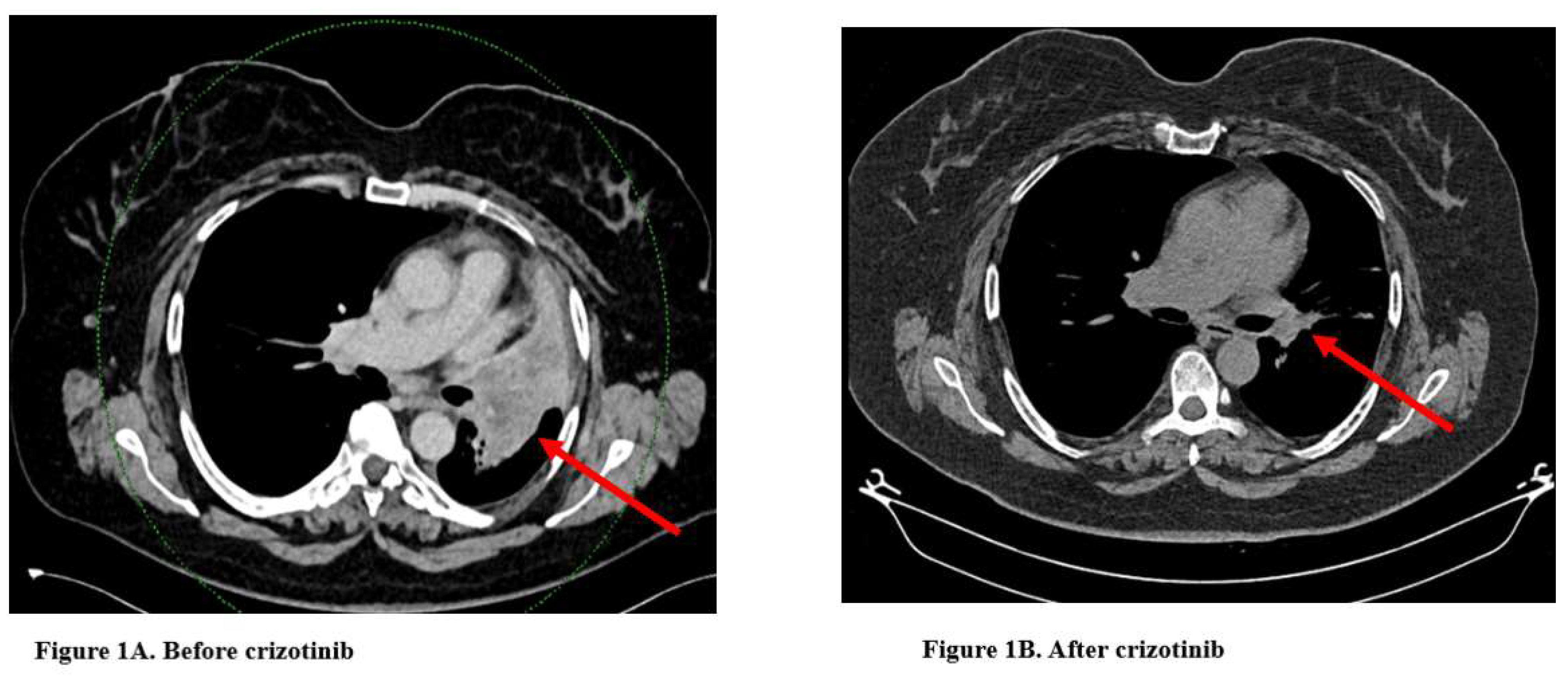
In October 2024, the patient was initiated on crizotinib 2×250 mg tablets, based on the results of the NGS. Within two weeks of treatment, the patient exhibited significant symptomatic relief and substantial tumor regression. No drug-related adverse events were observed. At the three-month follow-up, thoracic CT imaging demonstrated a marked reduction in tumor size compared to three months earlier, accompanied by a completely asymptomatic clinical response. The patient's thoracic CT images before and after treatment are presented in Figure 1, and the PET-CT image at the time of diagnosis is shown in Figure 2.
A subsequent series of imaging tests confirmed a significant decrease in the size of the tumor and a stabilization of the metastatic disease. According to the most recent follow-up, the patient continues to receive crizotinib with excellent tolerance and sustained clinical and radiological response. There is no evidence of new metastatic lesions, and the patient maintains a high quality of life.
This case study underscores the successful integration of chemotherapy, immunotherapy, and molecularly targeted therapy in managing advanced NSCLC, thereby demonstrating the transformative impact of personalized medicine. A comparative analysis of all cases is presented in the following table.

3. Discussion

The present report underscores the potential of personalized therapy in advanced-stage NSCLC, particularly in cases harboring rare gene fusions such as HLA-DRB1-MET. As the fourth reported instance of an HLA-DRB1-MET gene rearrangement in the extant literature, this case underscores the importance of comprehensive molecular profiling and next-generation sequencing (NGS) in identifying actionable mutations and guiding tailored treatment strategies. HLA-DRB1-MET rearrangements, which are rare driver mutations in lung adenocarcinoma, are detected using comprehensive molecular profiling. In this instance, crizotinib was initiated following disease progression on chemo-immunotherapy, leading to significant disease control. The patient remains on crizotinib therapy with ongoing clinical and radiological stability, demonstrating the sustained efficacy of this targeted approach. At the 5th month since treatment initiation, the patient has not progressed, and the partial response persists, with PFS ongoing at 5 months. The patient has not progressed, and the partial response persists, with PFS ongoing at 5 months.
A comparison of the present case to that reported by Kunte et al. reveals notable distinctions. While both cases involved the administration of crizotinib following immunotherapy, Kunte and colleagues administered it after disease progression on monotherapy with pembrolizumab. In contrast, crizotinib was employed in the present case after progression on a chemo-immunotherapy combination[14].
Table 1. Comparative Analysis of Cases.
Table 1. Comparative Analysis of Cases.
Case Age
Gender
Smoking Status Molecular Findings Treatment Response Current Status PFS / Disease Control Duration
Crizotinib in HLA-DRB1-MET Fusion-Positive NSCLC (Davies et al.)[4] 74
Female
Never-smoker HLA-DRB1-MET fusion Pemetrexed, Carboplatin, Crizotinib
(2nd line)
Complete radiographic response within 6 weeks, maintained for 8 months Stable with manageable side effects (fatigue, mild hypokalemia) Crizotinib
PFS: 8mo.
Tepotinib in HLA-DRB1-MET Fusion-Positive NSCLC (Blanc-Durand et al.)[13] 41
Female
Never-smoker HLA-DRB1-MET fusion Crizotinib
(1st line) Tepotinib
(2nd line) Cabozantinib
(3rd line)
Complete intracranial response to tepotinib, sustained control for 9 months Stable with good tolerance to treatment Crizotinib
PFS: 6mo.
Tepotinib
PFS: 9mo.
Cabozantinib
PFS: NR
Crizotinib in HLA-DRB1-MET Fusion-Positive NSCLC (Kunte and Stevenson)[14] 59
Female
Never-smoker HLA-DRB1-MET fusion Curative RT
Pembrolizumab
Crizotinib
(3rd line)
Complete radiographic response within 4 months Stable with mild side effects (fatigue, nausea) Crizotinib
PFS: at least 4 months (Ongoing at last follow-up)
Tepotinib in HLA-DQB2-MET Fusion-Positive NSCLC (Dias e Silva et al.)[15] 73
Female
Never-smoker HLA-DQB2::MET fusion Pemetrexed, Carboplatin, Pembrolizumab and maintenance pembrolizumab plus pemterexed
Tepotinib
Sustained disease control for over 12 months Stable, no treatment-related adverse events Tepotinib
PFS: 12 mo.
Sequential TKI Therapy in ALK-HLA-DRB1 Fusion-Positive NSCLC (Gao et al.)[16] 48
Female
Never-smoker ALK-HLA-DRB1 fusion Crizotinib
(1st line), Ceritinib
(2nd line)
24 months progression-free survival (crizotinib plus ceritinib) Stable after sequential TKI therapy Crizotinib
PFS: 6. Mo
Ceritinib
PFS: 18mo.
Crizotinib in HLA-DRB1-MET Fusion-Positive NSCLC: Medipol University Experience (Muğlu et al.) 59
Female
Never-smoker HLA-DRB1-MET fusion Pemetrexed, Carboplatin, Pembrolizumab,
Crizotinib
(2nd line)
Significant tumor regression and symptomatic relief Ongoing treatment with sustained good response Crizotinib
PFS: at least 5 months (Ongoing at last follow-up)
TKI: Tirozin kinase inhibitor
PFS: Progression-free survival
NR: Not reached
RT:Radiotherapy
NSCLC: Non small cell lung cancer
In a similar vein, Davies et al. reported a dramatic and rapid response to crizotinib in the absence of prior systemic treatments. Conversely, the progression-driven use of crizotinib in this patient exemplifies a more intricate treatment trajectory, underscoring the necessity of integrating targeted therapies within a comprehensive therapeutic framework.[4]. Conversely, Blanc-Durand et al. demonstrated the efficacy of tepotinib in a case involving CNS metastases, where the choice of therapy was influenced by the ability of the drug to penetrate the blood-brain barrier. The absence of CNS involvement in this case allowed crizotinib to achieve effective disease control, emphasizing the need to tailor therapy based on individual clinical profiles[13].
Another comparison involves the report by Dias e Silva et al., where tepotinib was employed following progression on prior systemic treatments[15]. Both cases underscore the critical role of comprehensive genomic analysis in identifying rare fusions. However, the absence of CNS metastases in this instance simplified management and enabled a straight forward treatment strategy. In contrast, the sequential use of crizotinib and ceritinib, as described by Gao et al., involved the administration of crizotinib as a monotherapy, which was found to be sufficient in achieving durable disease control [16].
From a biological perspective, MET fusions, such as HLA-DRB1-MET, act as oncogenic drivers by activating hepatocyte growth factor receptor (HGFR)-mediated signaling. Fusion events involving MET’s exon 15 preserve the kinase domain, leading to constitutive activation and disruption of regulatory regions. The advent of advanced diagnostic techniques, including RNA-based NGS, has been instrumental in detecting this rearrangement. These h assays facilitate the concurrent evaluation of multiple genes, thereby enabling precise therapeutic decisions, particularly in cases where conventional testing might miss rare alterations[17].
The efficacy and safety of targeted therapies, such as crizotinib and tepotinib, have been demonstrated in numerous cases, with improvements in patient outcomes and quality of life. Crizotinib’s established activity against MET exon 14 skipping mutations and rare fusions has been linked to its inhibition of HGFR-mediated signaling. Other MET inhibitors, such as capmatinib, have emerged as promising alternatives, particularly in cases involving CNS metastases or resistance to first line MET inhibitors[18,19].
The rarity of MET rearrangements, which occur in approximately 0.5% of lung adenocarcinomas, underscores the importance of advanced diagnostic tools. Techniques combining RNA and DNA analysis are expanding the scope of detectable alterations, enabling broader applications of precision oncology. This case aligns with global evidence supporting the integration of targeted therapies following standard treatments, showcasing the nuanced strategies required to manage NSCLC with rare MET rearrangements.

4. Conclusion

This review synthesizes evidence from a variety of case reports, emphasizing the transformative impact of molecularly targeted therapies in NSCLC with MET rearrangements. While significant progress has been made in understanding and treating these rare alterations, challenges persist in their early identification, standardized management, and accessibility to advanced diagnostics and therapies. Addressing these challenges will require coordinated efforts in research, healthcare policy, and patient advocacy.
The efficacy of MET TKIs, particularly in cases involving novel fusions such as HLA-DRB1-MET and HLA-DQB2-MET, underscores the potential of precision oncology to deliver highly personalized and effective treatments. The case study presented here further illustrates the importance of a multidisciplinary approach combining advanced diagnostics with innovative therapies. This case exemplifies the efficacy of crizotinib in achieving durable disease control in patients with HLA-DRB1-MET fusions, aligning with global evidence on targeted therapy.
Furthermore, comparative analyses with cases such as those involving tepotinib and sequential TKI therapies underscore the necessity to customize treatment strategies based on individual clinical profiles, including the presence of CNS involvement and prior therapies. For instance, the efficacy of tepotinib in cases with CNS metastases, and the sequential use of TKIs in overcoming resistance, highlight the complexities inherent in the management of MET-altered NSCLC.
Notably in never-smoking female patients with NSCLC, the detection rate of driver mutations can reach up to 60%, underscoring the critical importance of comprehensive NGS profiling in this specific subgroup. Such advanced molecular diagnostics are pivotal for making precise therapeutic decisions and significantly impact survival outcomes. Consequently, the integration of comprehensive NGS into the diagnostic workup of these patients should be prioritized to ensure optimal clinical management and improve overall survival.
As our understanding of MET rearrangements progresses, so too will the strategies to optimize outcomes and improve the quality of life for affected patients. Continued innovation and collaboration among researchers, clinicians, and industry stakeholders are essential to ensure that emerging therapies reach the patients who need them most.
In conclusion, the findings contribute to the growing body of evidence supporting MET TKIs as an effective treatment for NSCLC with MET rearrangements. The adaptive integration of molecular profiling and personalized therapy offers new hope for improved patient outcomes. Future research should aim to optimize therapeutic sequencing, explore the efficacy of emerging MET inhibitors, and further elucidate the mechanisms underlying MET-driven oncogenesis, enhancing the precision and efficacy of cancer care.

Author Contributions

Conceptualization, H.M., B.K., M.H.Y., methodology, H.M. B.K., software, H.M., E.S., validation, E.S., J.H., formal analysis, H.M., E.E.D., M.H.Y., investigation, Ö.F.Ö., J.H., M.H.Y., resources, H.M., B.K., J.H., data curation, Ö.FÖ., H.M., B.K., E.E.D.,E.S., writing—original draft preparation, H.M., Ö.F.Ö.; writing—review and editing, H.M.,J.H., visualization, H.M., E.S., supervision, Ö.F.Ö.; project administration, All authors have read and agreed to the published version of the manuscript.

Funding

None

Institutional Review Board Statement

The study was conducted in accordance with the Declaration of Helsinki. Since this is a case report, ethical approval was not required.

Informed Consent Statement

Informed consent was obtained from all subjects involved in the study.

Data Availability Statement

The data of this study is available from the corresponding author upon a reasonable request.

Acknowledgments

None

Conflicts of Interest

The authors declare no conflict of interest

References

  1. Bade BC, Cruz CSD. Lung cancer 2020: epidemiology, etiology, and prevention. Clinics in chest medicine. 2020;41(1):1-24.
  2. Salgia R. MET in lung cancer: biomarker selection based on scientific rationale. Molecular cancer therapeutics. 2017;16(4):555-65. [CrossRef]
  3. Paik PK, Felip E, Veillon R, Sakai H, Cortot AB, Garassino MC, et al. Tepotinib in non–small-cell lung cancer with MET exon 14 skipping mutations. New England Journal of Medicine. 2020;383(10):931-43.
  4. Davies KD, Ng TL, Estrada-Bernal A, Le AT, Ennever PR, Camidge DR, et al. Dramatic response to crizotinib in a patient with lung cancer positive for an HLA-DRB1-MET gene fusion. JCO precision oncology. 2017;1. [CrossRef]
  5. Stransky N, Cerami E, Schalm S, Kim JL, Lengauer C. The landscape of kinase fusions in cancer. Nature communications. 2014;5(1):4846. [CrossRef]
  6. Recurrent MET fusion genes represent a drug target in pediatric glioblastoma. Nature medicine. 2016;22(11):1314-20.
  7. Zehir A, Benayed R, Shah RH, Syed A, Middha S, Kim HR, et al. Mutational landscape of metastatic cancer revealed from prospective clinical sequencing of 10,000 patients. Nature medicine. 2017;23(6):703-13.
  8. Santarpia M, Massafra M, Gebbia V, D’Aquino A, Garipoli C, Altavilla G, et al. A narrative review of MET inhibitors in non-small cell lung cancer with MET exon 14 skipping mutations. Translational lung cancer research. 2021;10(3):1536. [CrossRef]
  9. Plenker D, Bertrand M, de Langen AJ, Riedel R, Lorenz C, Scheel AH, et al. Structural alterations of MET trigger response to MET kinase inhibition in lung adenocarcinoma patients. Clinical Cancer Research. 2018;24(6):1337-43.
  10. Yu H, Ahn M-J, Kim S-W, Cho BC, Sequist L, Orlov S, et al. TATTON phase Ib expansion cohort: osimertinib plus savolitinib for patients (pts) with EGFR-mutant, MET-amplified NSCLC after progression on prior first/second-generation epidermal growth factor receptor (EGFR) tyrosine kinase inhibitor (TKI). CANCER RESEARCH. 2019;79(13).
  11. Wolf J, Seto T, Han J-Y, Reguart N, Garon EB, Groen HJ, et al. Capmatinib (INC280) in METΔex14-mutated advanced non-small cell lung cancer (NSCLC): Efficacy data from the phase II GEOMETRY mono-1 study. American Society of Clinical Oncology; 2019.
  12. Reungwetwattana T, Liang Y, Zhu V, Ou S-HI. The race to target MET exon 14 skipping alterations in non-small cell lung cancer: the why, the how, the who, the unknown, and the inevitable. Lung cancer. 2017;103:27-37. [CrossRef]
  13. Blanc-Durand F, Alameddine R, Iafrate AJ, Tran-Thanh D, Lo YC, Blais N, et al. Tepotinib Efficacy in a Patient with Non-Small Cell Lung Cancer with Brain Metastasis Harboring an HLA-DRB1-MET Gene Fusion. The Oncologist. 2020;25(11):916-20. [CrossRef]
  14. Kunte S, Stevenson J. A case of HLA-DRB1-MET rearranged lung adenocarcinoma with rapid response to crizotinib. Clinical Lung Cancer. 2021;22(3):e298-e300. [CrossRef]
  15. e Silva DD, Mambetsariev I, Fricke J, Babikian R, Dingal ST, Mazdisnian F, et al. A novel HLA-DQB2:: MET gene fusion variant in lung adenocarcinoma with prolonged response to tepotinib: a case report. Translational Lung Cancer Research. 2024;13(5):1163. [CrossRef]
  16. Gao P, Tang K, Hao Y, Li W, Lv X, Li D, et al. Case Report: Patient With Lung Adenocarcinoma With ALK-HLA-DRB1 Rearrangement Shows Impressive Progression-Free Survival After Sequential Crizotinib and Ceritinib Treatment. Frontiers in Oncology. 2022;12:762338. [CrossRef]
  17. Awad MM. Impaired c-Met receptor degradation mediated by MET Exon 14 mutations in non–small-cell lung cancer. Journal of Clinical Oncology. 2016;34(8):879-81. [CrossRef]
  18. Ettinger D, Wood D. NCCN Guidelines Version 3.2020 Non-Small Cell Lung Cancer. National Comprehensive Cancer Network. 2020:1-244.
  19. Paik PK, Veillon R, Cortot AB, Felip E, Sakai H, Mazieres J, et al. Phase II study of tepotinib in NSCLC patients with MET ex14 mutations. American Society of Clinical Oncology; 2019.
Figure 1. Thoracic CT, (A) Before crizotinib: A right hilar mass (red arrow), likely representing a tumor or lymph node enlargement, causing partial compression of adjacent structures. (B) After crizotinib: Significant reduction in the size of the right hilar mass (red arrow), indicating a positive therapeutic response.
Figure 1. Thoracic CT, (A) Before crizotinib: A right hilar mass (red arrow), likely representing a tumor or lymph node enlargement, causing partial compression of adjacent structures. (B) After crizotinib: Significant reduction in the size of the right hilar mass (red arrow), indicating a positive therapeutic response.
Preprints 151371 g001
Figure 2. PET-CT at the time of diagnosis, A: Left iliac bone metastasis, B: Primary mass in the left lung.
Figure 2. PET-CT at the time of diagnosis, A: Left iliac bone metastasis, B: Primary mass in the left lung.
Preprints 151371 g002
Disclaimer/Publisher’s Note: The statements, opinions and data contained in all publications are solely those of the individual author(s) and contributor(s) and not of MDPI and/or the editor(s). MDPI and/or the editor(s) disclaim responsibility for any injury to people or property resulting from any ideas, methods, instructions or products referred to in the content.
Copyright: This open access article is published under a Creative Commons CC BY 4.0 license, which permit the free download, distribution, and reuse, provided that the author and preprint are cited in any reuse.
Prerpints.org logo

Preprints.org is a free preprint server supported by MDPI in Basel, Switzerland.

Subscribe

Disclaimer

Terms of Use

Privacy Policy

Privacy Settings

© 2026 MDPI (Basel, Switzerland) unless otherwise stated