Submitted:
21 February 2025
Posted:
24 February 2025
You are already at the latest version
Abstract
Keywords:
1. Introduction and Definition
2. Epidemiology
3. Mechanism of Injury
4. Grading8
5. Clinical Presentation
6. On Field Evaluation and Management
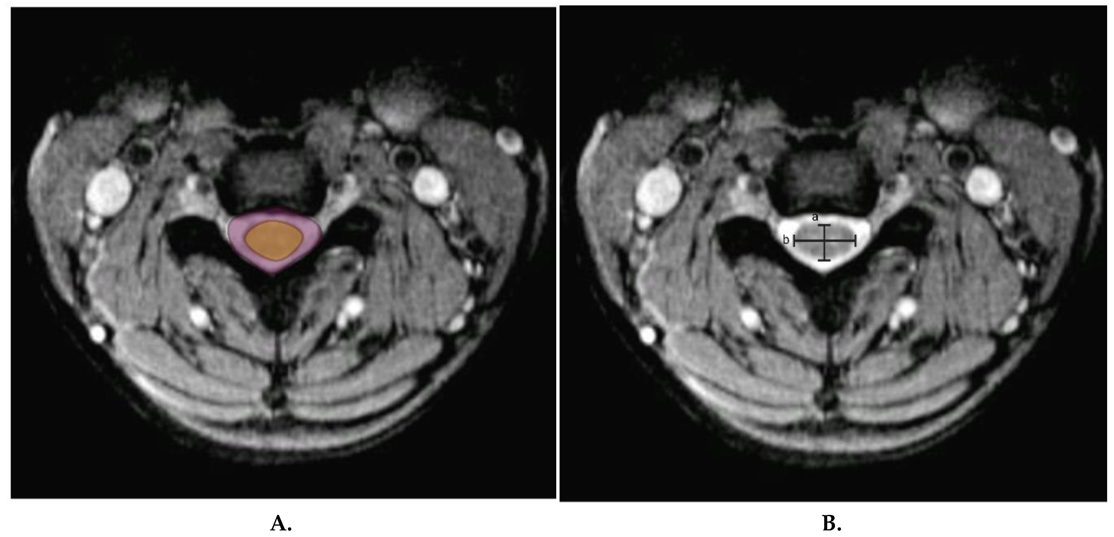
7. Imaging
8. Electrodiagnostic Studies
9. Return to Play
10. Treatment
11. Conclusion
Author Contributions
Funding
Conflicts of Interest
References
- Cantu: R., C.; Li, Y. M.; Abdulhamid, M.; Chin, L. S. Return to play after cervical spine injury in sports. Curr Sports Med Rep 2013, 12, 14–17. [Google Scholar] [CrossRef]
- Green, J.; Zuckerman, S. L.; Dalton, S. L.; Djoko, A.; Folger, D.; Kerr, Z. Y. A 6-year surveillance study of "Stingers" in NCAA American Football. Res Sports Med 2017, 25, 26–36. [Google Scholar] [CrossRef]
- Torg, J. S. Cervical spine injuries and the return to football. Sports Health 2009, 1, 376–383. [Google Scholar] [CrossRef]
- Vaccaro, A. R.; Klein, G. R.; Ciccoti, M.; Pfaff, W. L.; Moulton, M. J.; Hilibrand, A. J.; Watkins, B. Return to play criteria for the athlete with cervical spine injuries resulting in stinger and transient quadriplegia/paresis. Spine J 2002, 2, 351–356. [Google Scholar] [CrossRef] [PubMed]
- Kawasaki, T.; Ota, C.; Yoneda, T.; Maki, N.; Urayama, S.; Nagao, M.; Nagayama, M.; Kaketa, T.; Takazawa, Y.; Kaneko, K. Incidence of Stingers in Young Rugby Players. Am J Sports Med 2015, 43, 2809–2815. [Google Scholar] [CrossRef] [PubMed]
- Thomas, B. E.; McCullen, G. M.; Yuan, H. A. Cervical spine injuries in football players. J Am Acad Orthop Surg 1999, 7, 338–347. [Google Scholar] [CrossRef] [PubMed]
- Schroeder, G. D.; Vaccaro, A. R. Cervical Spine Injuries in the Athlete. J Am Acad Orthop Surg 2016, 24, e122–133. [Google Scholar] [CrossRef]
- Ahearn, B. M.; Starr, H. M.; Seiler, J. G. Traumatic Brachial Plexopathy in Athletes: Current Concepts for Diagnosis and Management of Stingers. J Am Acad Orthop Surg 2019, 27, 677–684. [Google Scholar] [CrossRef]
- Bowles, D. R.; Canseco, J. A.; Alexander, T. D.; Schroeder, G. D.; Hecht, A. C.; Vaccaro, A. R. The Prevalence and Management of Stingers in College and Professional Collision Athletes. Curr Rev Musculoskelet Med 2020, 13, 651–662. [Google Scholar] [CrossRef]
- Kazarian, G. S.; Qureshi, S. Return to Play After Injuries to the Cervical Spine. Clin Spine Surg 2024, 37, 425–432. [Google Scholar] [CrossRef]
- Papadopoulos, E. Brachial Plexus Anatomy A comprehensive Overview. International Journal of Anatomical Variations 2024, 17, 669–670. [Google Scholar]
- Tosti, R.; Rossy, W.; Sanchez, A.; Lee, S. G. Burners, stingers, and other brachial plexus injuries in the contact athlete. Operative Techniques in Sports Medicine 2016, 24, 273–277. [Google Scholar] [CrossRef]
- Adele, M.; Christopher, M.; Scott, R. L.; Dustin, C.; Comstock, R. D. Epidemiology of Cervical Spine Injuries in High School Athletes Over a Ten-Year Period. Pm&R 2018, 10, 365–372. [Google Scholar] [CrossRef]
- Deckey, D. G.; Makovicka, J. L.; Chung, A. S.; Hassebrock, J. D.; Patel, K. A.; Tummala, S. V.; Pena, A.; Asprey, W.; Chhabra, A. Neck and Cervical Spine Injuries in National College Athletic Association Athletes: A 5-Year Epidemiologic Study. Spine (Phila Pa 1976) 2020, 45, 55–64. [Google Scholar] [CrossRef]
- DePasse, J. M.; Durand, W.; Palumbo, M. A.; Daniels, A. H. Sex- and Sport-Specific Epidemiology of Cervical Spine Injuries Sustained During Sporting Activities. World Neurosurg 2019, 122, e540–e545. [Google Scholar] [CrossRef]
- Beaulieu-Jones, B. R.; Rossy, W. H.; Sanchez, G.; Whalen, J. M.; Lavery, K. P.; McHale, K. J.; Vopat, B. G.; Van Allen, J. J.; Akamefula, R. A.; Provencher, M. T. Epidemiology of Injuries Identified at the NFL Scouting Combine and Their Impact on Performance in the National Football League: Evaluation of 2203 Athletes From 2009 to 2015. Orthop J Sports Med 2017, 5, 2325967117708744. [Google Scholar] [CrossRef]
- Starr, H. M., Jr.; Anderson, B.; Courson, R.; Seiler, J. G. Brachial plexus injury: a descriptive study of American football. J Surg Orthop Adv 2014, 23, 90–97. [Google Scholar] [CrossRef] [PubMed]
- Standaert, C. J.; Herring, S. A. Expert opinion and controversies in musculoskeletal and sports medicine: stingers. Archives of physical medicine and rehabilitation 2009, 90, 402–406. [Google Scholar] [CrossRef]
- Presciutti, S. M.; DeLuca, P.; Marchetto, P.; Wilsey, J. T.; Shaffrey, C.; Vaccaro, A. R. Mean subaxial space available for the cord index as a novel method of measuring cervical spine geometry to predict the chronic stinger syndrome in American football players. J Neurosurg Spine 2009, 11, 264–271. [Google Scholar] [CrossRef]
- Meyer, S. A.; Schulte, K. R.; Callaghan, J. J.; Albright, J. P.; Powell, J. W.; Crowley, E. T.; el-Khoury, G. Y. Cervical spinal stenosis and stingers in collegiate football players. Am J Sports Med 1994, 22, 158–166. [Google Scholar] [CrossRef]
- Kelly, J. D. t.; Aliquo, D.; Sitler, M. R.; Odgers, C.; Moyer, R. A. Association of burners with cervical canal and foraminal stenosis. Am J Sports Med 2000, 28, 214–217. [Google Scholar] [CrossRef]
- Markey, K. L.; Di Benedetto, M.; Curl, W. W. Upper trunk brachial plexopathy. The stinger syndrome. Am J Sports Med 1993, 21, 650–655. [Google Scholar] [CrossRef]
- Torg, J. S.; Vegso, J. J.; O'Neill, M. J.; Sennett, B. The epidemiologic, pathologic, biomechanical, and cinematographic analysis of football-induced cervical spine trauma. The American Journal of Sports Medicine 1990, 18, 50–57. [Google Scholar] [CrossRef] [PubMed]
- Levitz, C. L.; Reilly, P. J.; Torg, J. S. The pathomechanics of chronic, recurrent cervical nerve root neurapraxia. The chronic burner syndrome. Am J Sports Med 1997, 25, 73–76. [Google Scholar] [CrossRef]
- Greenberg, J.; Leung, D.; Kendall, J. Predicting chronic stinger syndrome using the mean subaxial space available for the cord index. Sports Health 2011, 3, 264–267. [Google Scholar] [CrossRef]
- Hakkaku, T.; Nakazato, K.; Koyama, K.; Kouzaki, K.; Hiranuma, K. Cervical Intervertebral Disc Degeneration and Low Cervical Extension Independently Associated With a History of Stinger Syndrome. Orthop J Sports Med 2017, 5, 2325967117735830. [Google Scholar] [CrossRef] [PubMed]
- Yang, L. J.; Chang, K. W.; Chung, K. C. A systematic review of nerve transfer and nerve repair for the treatment of adult upper brachial plexus injury. Neurosurgery 2012, 71, 417–429; [Google Scholar] [CrossRef] [PubMed]
- Birch, R.; Dunkerton, M.; Bonney, G.; Jamieson, A. M. Experience with the free vascularized ulnar nerve graft in repair of supraclavicular lesions of the brachial plexus. Clin Orthop Relat Res From NLM. 1988, 96–104. [Google Scholar] [CrossRef]
- Bishop, A. T. Functioning free-muscle transfer for brachial plexus injury. Hand Clin 2005, 21, 91–102. [Google Scholar] [CrossRef]
- Giuffre, J. L.; Kakar, S.; Bishop, A. T.; Spinner, R. J.; Shin, A. Y. Current concepts of the treatment of adult brachial plexus injuries. J Hand Surg Am 2010, 35, 678–688; [Google Scholar] [CrossRef]
- Kato, N.; Htut, M.; Taggart, M.; Carlstedt, T.; Birch, R. The effects of operative delay on the relief of neuropathic pain after injury to the brachial plexus: a review of 148 cases. J Bone Joint Surg Br 2006, 88, 756–759. [Google Scholar] [CrossRef] [PubMed]
- Carr, J. B.; Dines, J. S. Transient brachial plexopathy (stingers/burners). Spinal Conditions in the Athlete: A Clinical Guide to Evaluation, Management and Controversies 2020, 109-121.
- BATEMAN, J. E. Nerve Injuries about the Shoulder in Sports. JBJS 1967, 49, 785–792. [Google Scholar] [CrossRef]
- Weinstein, S. M. Assessment and rehabilitation of the athlete with a “stinger”: a model for the management of noncatastrophic athletic cervical spine injury. Clinics in sports medicine 1998, 17, 127–135. [Google Scholar] [CrossRef]
- Cantu, R. C.; Li, Y. M.; Abdulhamid, M.; Chin, L. S. Return to Play After Cervical Spine Injury in Sports. Current Sports Medicine Reports 2013, 12, 14–17. [Google Scholar] [CrossRef] [PubMed]
- Charbonneau, R. M. E.; McVeigh, S. A.; Thompson, K. Brachial Neuropraxia in Canadian Atlantic University Sport Football Players: What Is the Incidence of “Stingers”? Clinical Journal of Sport Medicine 2012, 22, 472–477. [Google Scholar] [CrossRef]
- Ban, V. S.; Botros, J. A.; Madden, C. J.; Batjer, H. H. Neurosurgical Emergencies in Sports Neurology. Curr Pain Headache Rep 2016, 20, 55. [Google Scholar] [CrossRef]
- Guterman, A.; Smith, R. W. Neurological sequelae of boxing. Sports Med 1987, 4, 194–210. [Google Scholar] [CrossRef] [PubMed]
- Weinstein, S. M.; Cantu, R. C. Cerebral stroke in a semi-pro football player: a case report. Med Sci Sports Exerc 1991, 23, 1119–1121. [Google Scholar] [CrossRef]
- Blatz, D.; Ross, B.; Dadabo, J. Cervical spine trauma evaluation. Handbook of Clinical Neurology 2018, 158, 345–351. [Google Scholar]
- Bailes, J. E.; Petschauer, M.; Guskiewicz, K. M.; Marano, G. Management of cervical spine injuries in athletes. J Athl Train 2007, 42, 126–134. [Google Scholar] [CrossRef]
- Banerjee, R.; Palumbo, M. A.; Fadale, P. D. Catastrophic cervical spine injuries in the collision sport athlete, part 1: epidemiology, functional anatomy, and diagnosis. The American journal of sports medicine 2004, 32, 1077–1087. [Google Scholar] [CrossRef]
- Patel, P. D.; Divi, S. N.; Canseco, J. A.; Donnally, C. J., 3rd; Galetta, M.; Vaccaro, A., Jr.; Schroeder, G. D.; Hsu, W. K.; Hecht, A. C.; Dossett, A. B.; et al. Management of Acute Subaxial Trauma and Spinal Cord Injury in Professional Collision Athletes. Clin Spine Surg 2022, 35, 241–248. [Google Scholar] [CrossRef] [PubMed]
- Swartz, E. E.; Boden, B. P.; Courson, R. W.; Decoster, L. C.; Horodyski, M. B.; Norkus, S. A.; Rehberg, R. S.; Waninger, K. N. National Athletic Trainers' Association position statement: acute management of the cervical spine–injured athlete. Journal of athletic training 2009, 44, 306–331. [Google Scholar] [CrossRef] [PubMed]
- Evans, C.; Chaplin, T.; Zelt, D. Management of Major Vascular Injuries: Neck, Extremities, and Other Things that Bleed. Emerg Med Clin North Am 2018, 36, 181–202. [Google Scholar] [CrossRef] [PubMed]
- Torg, J. S.; Naranja, R. J., Jr.; Pavlov, H.; Galinat, B. J.; Warren, R.; Stine, R. A. The relationship of developmental narrowing of the cervical spinal canal to reversible and irreversible injury of the cervical spinal cord in football players. J Bone Joint Surg Am 1996, 78, 1308–1314. [Google Scholar] [CrossRef]
- Schroeder, G. D.; Canseco, J. A.; Patel, P. D.; Hilibrand, A. S.; Kepler, C. K.; Mirkovic, S. M.; Watkins, R. G. I.; Dossett, A.; Hecht, A. C.; Vaccaro, A. R. Updated Return-to-Play Recommendations for Collision Athletes After Cervical Spine Injury: A Modified Delphi Consensus Study With the Cervical Spine Research Society. Neurosurgery 2020, 87, 647–654. [Google Scholar] [CrossRef]
- Zaremski, J. L.; Horodyski, M.; Herman, D. C. Recurrent stingers in an adolescent American football player: dilemmas of return to play. A case report and review of the literature. Res Sports Med 2017, 25, 384–390. [Google Scholar] [CrossRef]
- HERZOG, R. J.; WIENS, J. J.; DILLINGHAM, M. F.; SONTAG, M. J. Normal Cervical Spine Morphometry and Cervical Spinal Stenosis in Asymptomatic Professional Football Players: Plain Film Radiography, Multiplanar Computed Tomography, and Magnetic Resonance Imaging. Spine 1991, 16, S178–S186. [Google Scholar] [CrossRef]
- Feinberg, J. H. Burners and stingers. Phys Med Rehabil Clin N Am 2000, 11, 771–784. [Google Scholar] [CrossRef]
- Garg, R.; Merrell, G. A.; Hillstrom, H. J.; Wolfe, S. W. Comparison of nerve transfers and nerve grafting for traumatic upper plexus palsy: a systematic review and analysis. JBJS 2011, 93, 819–829. [Google Scholar] [CrossRef]
- Epstein, N. E. Major risks and complications of cervical epidural steroid injections: An updated review. Surg Neurol Int 2018, 9, 86. [Google Scholar] [CrossRef] [PubMed]
- Gorden, J. A.; Straub, S. J.; Swanik, C. B.; Swanik, K. A. Effects of Football Collars on Cervical Hyperextension and Lateral Flexion. J Athl Train 2003, 38, 209–215. [Google Scholar] [PubMed]





| Grade | Nerve Injury | Mode of Treatment |
| I | Neurapraxia | Usually transient with no need for any intervention. Pain control, rest, and physiotherapy as needed if symptoms persist. Consider MRI and other imaging with serial examinations if symptoms persist for >5 minutes. |
| II | Axonotmesis | Pain control, rest and physiotherapy, serial monitoring with Electrodiagnostic Studies, Imaging (MRI, radiographs). |
| IIIA | Neurotmesis | Imaging, Electrodiagnostic Studies, Nerve Repair ± Nerve Transfer*, Pain control and physiotherapy. |
| IIIB | Nerve root avulsion | Imaging, Electrodiagnostic studies, Nerve Transfer*, pain control and physiotherapy |
Disclaimer/Publisher’s Note: The statements, opinions and data contained in all publications are solely those of the individual author(s) and contributor(s) and not of MDPI and/or the editor(s). MDPI and/or the editor(s) disclaim responsibility for any injury to people or property resulting from any ideas, methods, instructions or products referred to in the content. |
© 2025 by the authors. Licensee MDPI, Basel, Switzerland. This article is an open access article distributed under the terms and conditions of the Creative Commons Attribution (CC BY) license (http://creativecommons.org/licenses/by/4.0/).