Submitted:
17 January 2025
Posted:
20 January 2025
You are already at the latest version
Abstract
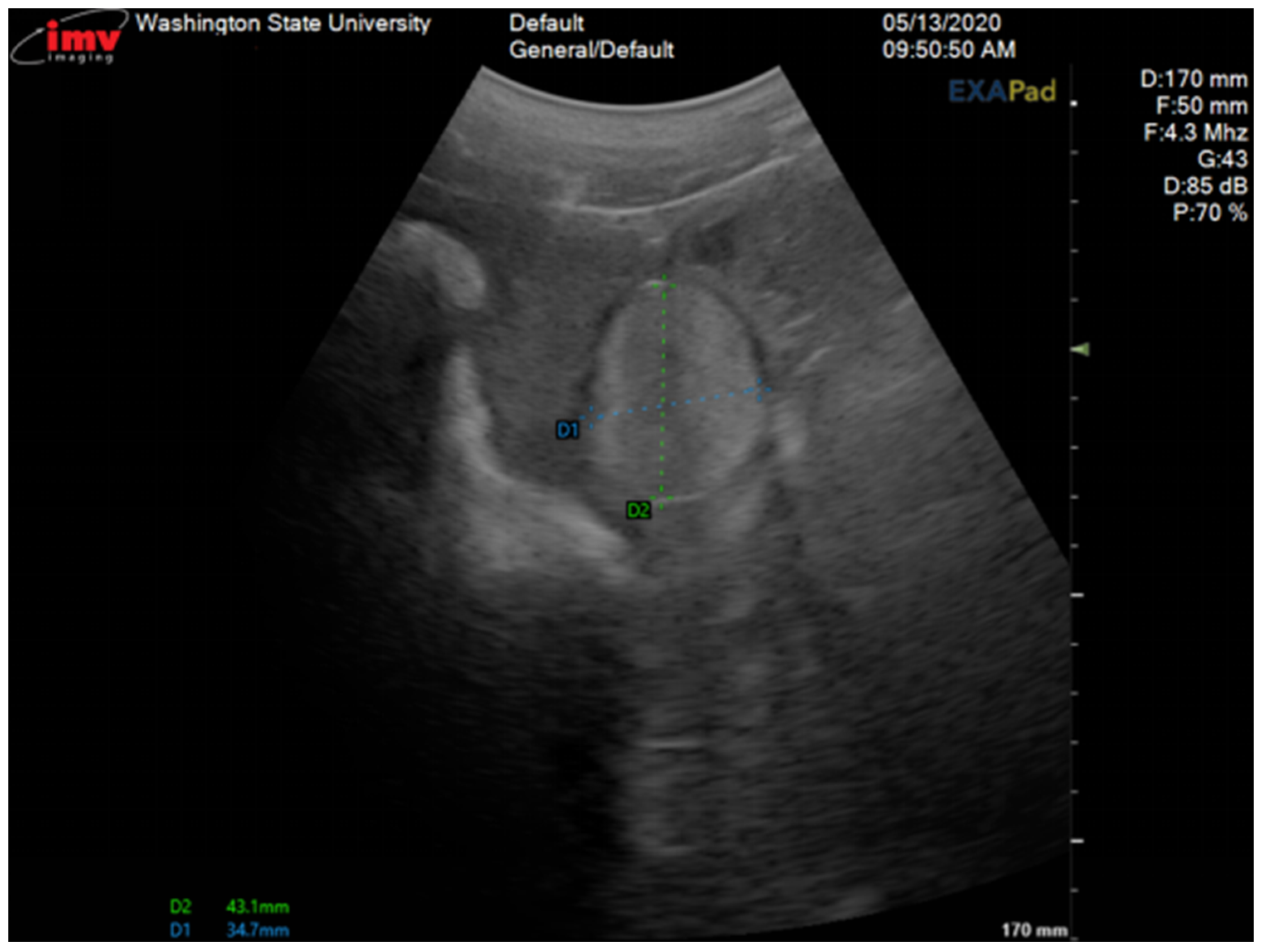
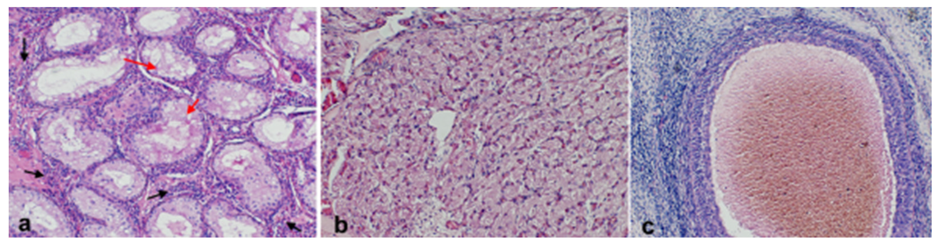
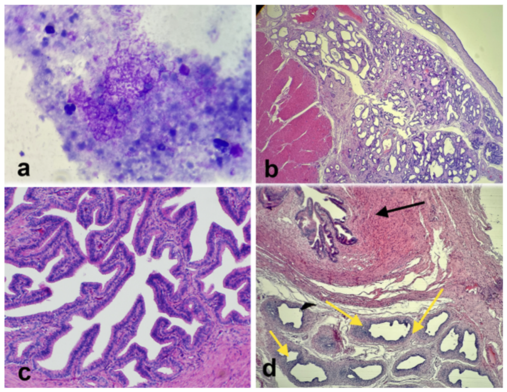
A 2-year-old Large White research gilt was presented to the Comparative Theriogenology service at WSU for infertility. She was produced from the transfer of genetically modified embryos obtained by in vitro fertilization (IVF) that had been treated with CRISPR-Cas9 reagents to mutate the NANOS2 gene. Since birth, the gilt showed a so-called “skyhook” vulva and abnormal estrous cycles. She was artificially inseminated multiple times, starting at 5 months of age, with semen from a proven boar, but never conceived. On transabdominal ultrasonography of the reproductive tract, a unilateral ovotestis was suspected. An exploratory laparotomy was performed and confirmed the presence of ovarian and testicular tissue on her right gonad. The diagnosis was confirmed by histology following unilateral gonadectomy. The cytogenic evaluation revealed the gilt to be XX, 38; SRY-negative. The gilt showed estrus signs 4 months after surgery, and artificial insemination was performed, which resulted in a pregnancy. She delivered six piglets. Necropsy was performed following humane euthanasia. Several abnormalities of the reproductive tract were discovered, including a unilateral mucometra due to a complete septum preventing communication between the right uterine horn and the body of the uterus. This case is novel because it demonstrates that surgical removal is an effective treatment for fertility in SRY-negative XX DSD gilts with partial masculiniza-tion, posing the presence of a normal ovary and a developed oviduct and uterine horn.
Keywords:
1. Introduction
2. Detailed Case Description
2.1. Surgical Procedure
2.2. Histopathology
2.3. Clinical Outcome
3. Discussion
4. Conclusions
Author Contributions
Funding
Institutional Review Board Statement
Acknowledgments
Conflicts of Interest
Abbreviations
| IVF | In vitro fertilization |
| DSD | Disorders of sex development |
| AMH | Anti mullerian hormone |
| WSU | Washington State university |
| CEH | Cystic endometrial hyperplasia |
| IV | Intravenous |
| SQ | Subcutaneous |
| PO | Per os |
| CASA | Computer assisted sperm analysis |
| PI | Principal investigator |
References
- Lyle, S.K. Disorders of Sexual Development in the Dog and Cat. Theriogenology 2007, 68, 338–343. [Google Scholar] [CrossRef] [PubMed]
- Pailhoux, E.; Popescu, P.C.; Parma, P.; Boscher, J.; Legault, C.; Molteni, L.; Fellous, M.; Cotinot, C. Genetic Analysis of 38,XX Males with Genital Ambiguities and True Hermaphrodites in Pigs. Anim. Genet. 1994, 25, 299–305. [Google Scholar] [CrossRef] [PubMed]
- Vaiman, D.; Koutita, O.; Oustry, A.; Elsen, J.-M.; Manfredi, E.; Fellous, M.; Cribiu, E.P. Genetic Mapping of the Autosomal Region Involved in XX Sex-Reversal and Horn Development in Goats. Mamm. Genome 1996, 7, 133–137. [Google Scholar] [CrossRef]
- Albarella, S.; D’Anza, E.; Galdiero, G.; Esposito, L.; De Biase, D.; Paciello, O.; Ciotola, F.; Peretti, V. Cytogenetic Analyses in Ewes with Congenital Abnormalities of the Genital Apparatus. Animals 2019, 9, 776. [Google Scholar] [CrossRef]
- Wilker, C.E.; Meyers-Wallen, V.N.; Schlafer, D.H.; Dykes, N.L.; Kovacs, A.; Ball, B.A. XX Sex Reversal in a Llama. J. Am. Vet. Med. Assoc. 1994, 204, 112–115. [Google Scholar] [CrossRef]
- De Lorenzi, L.; Arrighi, S.; Rossi, E.; Grignani, P.; Previderè, C.; Bonacina, S.; Cremonesi, F.; Parma, P. XY (SRY-Positive) Ovarian Disorder of Sex Development in Cattle. Sex. Dev. 2018, 12, 196–203. [Google Scholar] [CrossRef]
- Villagómez, D.A.F.; Lear, T.L.; Chenier, T.; Lee, S.; McGee, R.B.; Cahill, J.; Foster, R.A.; Reyes, E.; St John, E.; King, W.A. Equine Disorders of Sexual Development in 17 Mares Including XX, SRY-Negative, XY, SRY-Negative and XY, SRY-Positive Genotypes. Sex. Dev. 2011, 5, 16–25. [Google Scholar] [CrossRef] [PubMed]
- De Lorenzi, L.; Banco, B.; Previderè, C.; Bonacina, S.; Romagnoli, S.; Grieco, V.; Parma, P. Testicular XX (SRY-Negative) Disorder of Sex Development in Cat. Sex. Dev. 2017, 11, 210–216. [Google Scholar] [CrossRef]
- Nowacka-Woszuk, J.; Szczerbal, I.; Pausch, H.; Hundi, S.; Hytönen, M.K.; Grzemski, A.; Flisikowski, K.; Lohi, H.; Switonski, M.; Szydlowski, M. Deep Sequencing of a Candidate Region Harboring the SOX9 Gene for the Canine XX Disorder of Sex Development. Anim. Genet. 2017, 48, 330–337. [Google Scholar] [CrossRef] [PubMed]
- Vetro, A.; Dehghani, M.R.; Kraoua, L.; Giorda, R.; Beri, S.; Cardarelli, L.; Merico, M.; Manolakos, E.; Parada-Bustamante, A.; Castro, A.; et al. Testis Development in the Absence of SRY: Chromosomal Rearrangements at SOX9 and SOX3. Eur. J. Hum. Genet. 2015, 23, 1025–1032. [Google Scholar] [CrossRef]
- Pujar, S.; Kothapalli, K.S.; Kirkness, E.; Van Wormer, R.H.; Meyers-Wallen, V.N. Exclusion of Lhx9 as a Candidate Gene for Sry-Negative XX Sex Reversal in the American Cocker Spaniel Model. J. Hered. 2005, 96, 452–454. [Google Scholar] [CrossRef] [PubMed]
- De Lorenzi, L.; Groppetti, D.; Arrighi, S.; Pujar, S.; Nicoloso, L.; Molteni, L.; Pecile, A.; Cremonesi, F.; Parma, P.; Meyers-Wallen, V. Mutations in the RSPO1 Coding Region Are Not the Main Cause of Canine SRY-Negative XX Sex Reversal in Several Breeds. Sex. Dev. 2008, 2, 84–95. [Google Scholar] [CrossRef]
- Rota, A.; Cucuzza, A.S.; Iussich, S.; DeLorenzi, L.; Parma, P. The Case of an Sry-Negative XX Male Pug With an Inguinal Gonad. Reprod. Domest. Anim. 2010, 45, 743–745. [Google Scholar] [CrossRef] [PubMed]
- Kothapalli, K.S.D.; Kirkness, E.; Natale, L.J.; Meyers-Wallen, V.N. Exclusion of PISRT1 as a Candidate Locus for Canine Sry-Negative XX Sex Reversal. Anim. Genet. 2003, 34, 467–469. [Google Scholar] [CrossRef] [PubMed]
- Delachapelle, A.; Hortling, H.; Niemi, M.; Wennstroem, J. XX SEX CHROMOSOMES IN A HUMAN MALE. FIRST CASE. Acta Med. Scand. 1964, 175, SUPPL 412:25-28. [Google Scholar] [CrossRef] [PubMed]
- Schultz, B.A.H.; Roberts, S.; Rodgers, A.; Ataya, K. Pregnancy in True Hermaphrodites and All Male Offspring to Date. Obstet. Gynecol. 2009, 113, 534. [Google Scholar] [CrossRef] [PubMed]
- Ciccarelli, M.; Giassetti, M.I.; Miao, D.; Oatley, M.J.; Robbins, C.; Lopez-Biladeau, B.; Waqas, M.S.; Tibary, A.; Whitelaw, B.; Lillico, S.; et al. Donor-Derived Spermatogenesis Following Stem Cell Transplantation in Sterile NANOS2 Knockout Males. Proc. Natl. Acad. Sci. 2020, 117, 24195–24204. [Google Scholar] [CrossRef]
- Constantinescu, G.M. The Genital Apparatus in the Pig. In Comparative Reproductive Biology; John Wiley & Sons, Ltd, 2007; pp. 27–32 ISBN 978-0-470-39029-0.
- Hulland, T.J. Pregnancy in a Hermaphrodite Sow. Can. Vet. J. 1964, 5, 39–41. [Google Scholar] [PubMed]
- Greeley, S.A.W.; Littlejohn, E.; Husain, A.N.; Waggoner, D.; Gundeti, M.; Rosenfield, R.L. The Effect of the Testis on the Ovary: Structure-Function Relationships in a Neonate with a Unilateral Ovotestis (Ovotesticular Disorder of Sex Development). Horm. Res. Paediatr. 2017, 87, 205–212. [Google Scholar] [CrossRef] [PubMed]
- Hunter, R.H.; Greve, T. Intersexuality in Pigs: Clinical, Physiological and Practical Considerations. Acta Vet. Scand. 1996, 37, 1–12. [Google Scholar] [CrossRef] [PubMed]
- Pailhoux, E.; Vigier, B.; Schibler, L.; Cribiu, E.P.; Cotinot, C.; Vaiman, D. Positional Cloning of the PIS Mutation in Goats and Its Impact on Understanding Mammalian Sex-Differentiation. Genet. Sel. Evol. GSE 2005, 37, S55–S64. [Google Scholar] [CrossRef] [PubMed]
- Halina, W.G.; Barrales, D.W.; Partlow, G.D.; Fisher, K.R. Intersexes in Swine: A Problem in Descriptive Anatomy. Can. J. Comp. Med. 1984, 48, 313–321. [Google Scholar]
- Bansal, N.; Roy, K.S.; Sharma, D.K.; Sharma, R. Anatomical Study on True Hermaphroditism in an Indian Pig (Sus Scrofa Domesticus). J. Vet. Sci. 2005, 6, 83–85. [Google Scholar] [CrossRef] [PubMed]
- Switoński, M.; Jackowiak, H.; Godynicki, S.; Klukowska, J.; Borsiak, K.; Urbaniak, K. Familial Occurrence of Pig Intersexes (38,XX; SRY-Negative) on a Commercial Fattening Farm. Anim. Reprod. Sci. 2002, 69, 117–124. [Google Scholar] [CrossRef]
- Meyers-Wallen, V.N.; Schlafer, D.; Barr, I.; Lovell-Badge, R.; Keyzner, A. Sry-negative XX Sex Reversal in Purebred Dogs. Mol. Reprod. Dev. 1999, 53, 266–273. [Google Scholar] [CrossRef]
- Vaiman, D.; Pailhoux, E. Mammalian Sex Reversal and Intersexuality: Deciphering the Sex-Determination Cascade. Trends Genet. TIG 2000, 16, 488–494. [Google Scholar] [CrossRef] [PubMed]
- Buoen, L.C.; Zhang, T.Q.; Weber, A.F. Buoen, LC, Zhang, TQ, Weber AF, et al. SRY-Negative, XX Intersex Horses: The Need for Pedigree Studies to Examine the Mode of Inheritance of the Condition. Equine Vet. J. 2000, 32, 78–81. [Google Scholar] [CrossRef]
- Wertz, K.; Herrmann, B. Wertz K, Herrmann BG. Large-Scale Screen for Genes Involved in Gonad Development. Mechanisms of Development, 2000;98(1-2), 51-70. Mech. Dev. 2000, 98, 51–70. [Google Scholar] [CrossRef]
- Hassan, M.A.; Lavery, S.A.; Trew, G.H. Congenital Uterine Anomalies and Their Impact on Fertility. Womens Health 2010, 6, 443–461. [Google Scholar] [CrossRef] [PubMed]
- Hammoud, A.O.; Gibson, M.; Peterson, C.M.; Kerber, R.A.; Mineau, G.P.; Hatasaka, H. Quantification of the Familial Contribution to Müllerian Anomalies. Obstet. Gynecol. 2008, 111, 378–384. [Google Scholar] [CrossRef]
- Maddukuri, S.B.; Karegowda, L.H.; Prakashini, K.; Kantipudi, S. Robert’s Uterus: A Rare Congenital Müllerian Duct Anomaly Causing Haematometra. BMJ Case Rep. 2014, bcr2014204489. [Google Scholar] [CrossRef] [PubMed]
- Wood, P.; Hall, J.L.; McMillan, M.; Constantino-Casas, F.; Hughes, K. Presence of Cystic Endometrial Hyperplasia and Uterine Tumours in Older Pet Pigs in the UK. Vet. Rec. Case Rep. 2020, 8, e000924. [Google Scholar] [CrossRef]
- Kurman, R.J. Blaustein’s Pathology of the Female Genital Tract, 5th ed.; Springer Berlin Heidelberg: New York, NY, 2002; ISBN 978-3-319-46333-9. [Google Scholar]
- Chang, K.; Kurtz, H.J.; Mirocha, C.J. Effects of the Mycotoxin Zearalenone on Swine Reproduction. Am. J. Vet. Res. 1979, 40, 1260–1267. [Google Scholar] [PubMed]






Disclaimer/Publisher’s Note: The statements, opinions and data contained in all publications are solely those of the individual author(s) and contributor(s) and not of MDPI and/or the editor(s). MDPI and/or the editor(s) disclaim responsibility for any injury to people or property resulting from any ideas, methods, instructions or products referred to in the content. |
© 2025 by the authors. Licensee MDPI, Basel, Switzerland. This article is an open access article distributed under the terms and conditions of the Creative Commons Attribution (CC BY) license (http://creativecommons.org/licenses/by/4.0/).
