Submitted:
14 January 2025
Posted:
15 January 2025
You are already at the latest version
Abstract
Keywords:
1. Introduction
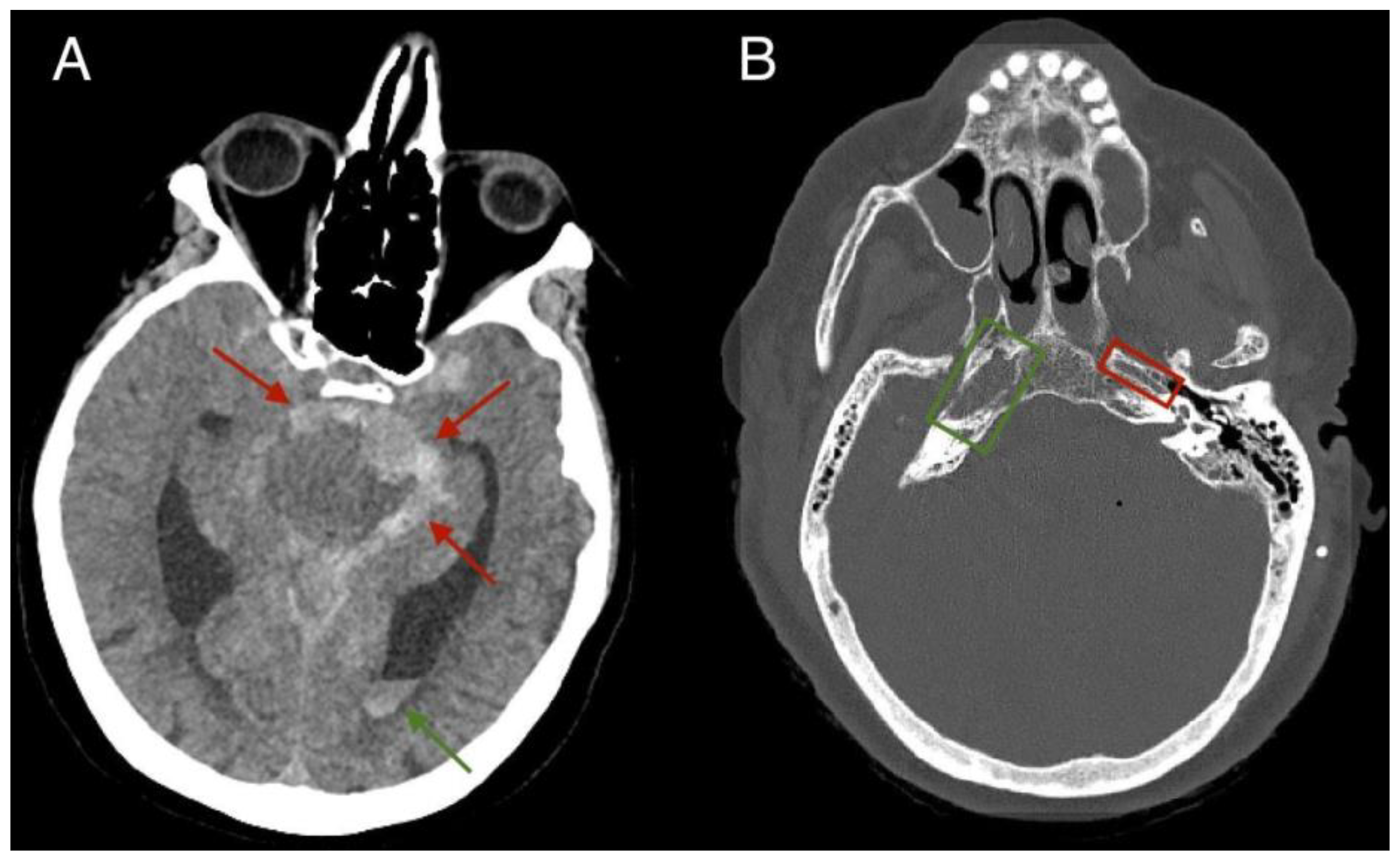
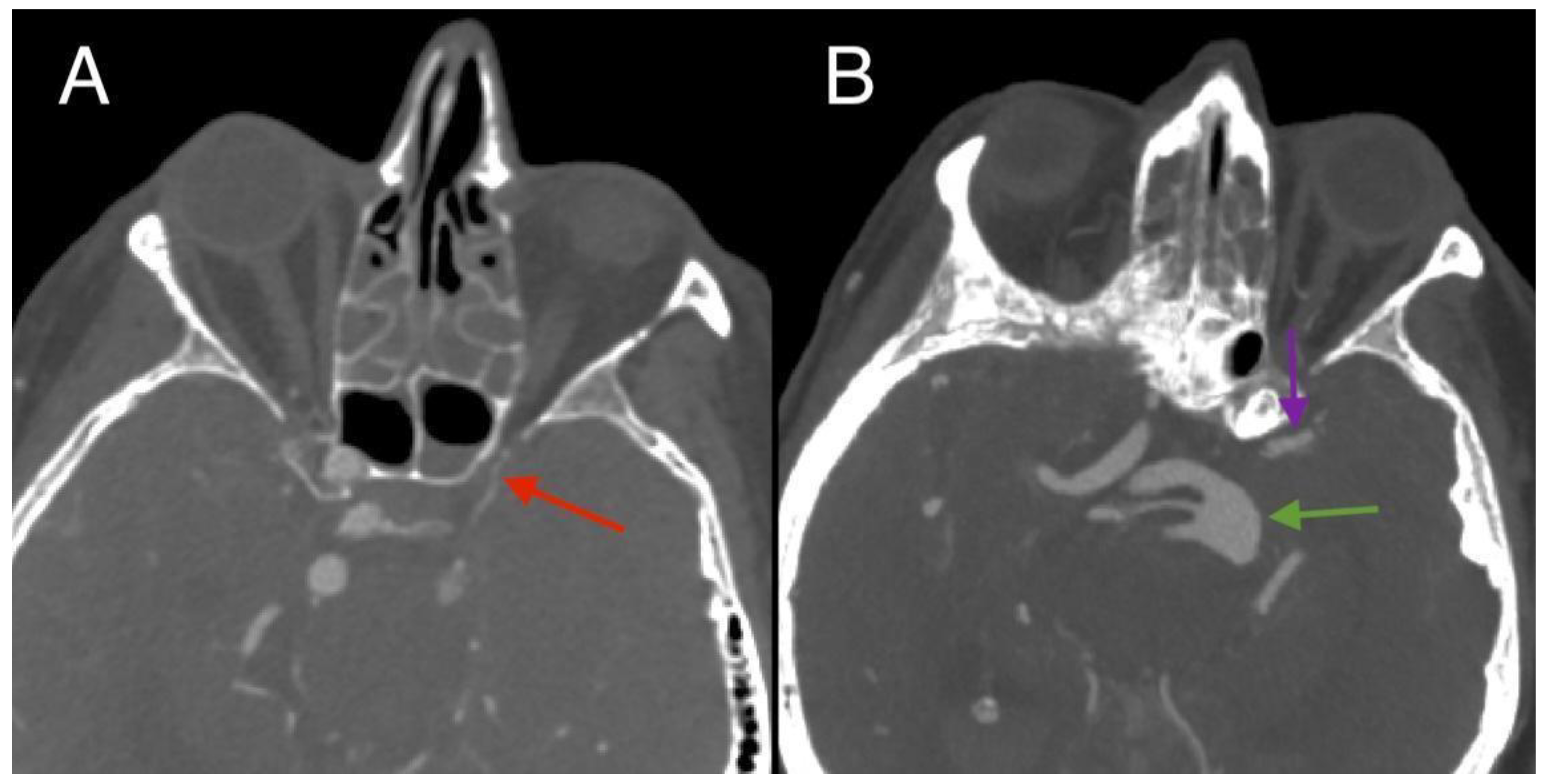
2. Case Report
3. Discussion
4. Conclusions
Author Contributions
Funding
Institutional Review Board Statement
Informed Consent Statement
Data Availability Statement
Conflicts of Interest
References
- Osborn, R.E.; Mojtahedi, S.; Hay, T.C.; Dewitt, J.D. Internal carotid artery hypoplasia. Comput. Radiol. 1986, 10, 283–287. [Google Scholar] [CrossRef]
- Afifi, A.K.; Godersky, J.C.; Menezes, A.; Smoker, W.R.; Bell, W.E.; Jacoby, C.G. Cerebral Hemiatrophy, Hypoplasia of Internal Carotid Artery, and Intracranial Aneurysm. A Rare Association Occurring in an Infant. Arch Neurol. 1987, 44, 232–235. [Google Scholar] [CrossRef] [PubMed]
- Clarós, P.; Bandos, R.; Gilea, I.; Clarós, A., Jr.; Capdevila, A.; Garcı́a Rodriguez, J.; Clarós, A. Major congenital anomalies of the internal carotid artery: Agenesis, aplasia and hypoplasia. Int. J. Pediatr. Otorhinolaryngol. 1999, 49, 69–76. [Google Scholar] [CrossRef]
- Taşar, M.; Yetişer, S.; Taşar, A.; Uğurel, S.; Gönül, E.; Sağlam, M. Congenital absence or hypoplasia of the carotid artery: Radioclinical issues. Am. J. Otolaryngol. 2004, 25, 339–349. [Google Scholar] [CrossRef] [PubMed]
- Zink, W.E.; Komotar, R.J.; Meyers, P.M. Internal Carotid Aplasia/Hypoplasia and Intracranial Saccular Aneurysms: Series of Three New Cases and Systematic Review of the Literature. J. Neuroimaging. 2007, 17, 141–147. [Google Scholar] [CrossRef] [PubMed]
- Czarnecki, E.J.; Silbergleit, R.; Mehta, B.A.; Sanders, W.P. Absence of the supraclinoid internal carotid artery in association with intracranial aneurysms. Neuroradiology 1998, 40, 11–14. [Google Scholar] [CrossRef] [PubMed]
- Cohen, J.E.; Gomori, J.M.; Leker, R.R. Internal carotid artery agenesis: diagnosis, clinical spectrum, associated conditions and its importance in the era of stroke interventions. Neurol. Res. 2010, 32, 1027–1032. [Google Scholar] [CrossRef]
- Nicoletti, G.; Sanguigni, S.; Bruno, F.; Tardi, S.; Malferrari, G. Hypoplasia of the internal carotid artery: collateral circulation and ultrasonographic findings. A case report. J. Ultrasound. 2009, 12, 41–44. [Google Scholar] [CrossRef]
- Bohm, L.A.; Zhou, T.C.; Mingo, T.J.; Dugan, S.L.; Patterson, R.J.; Sidman, J.D.; Roby, B.B. Neuroradiographic findings in 22q11.2 deletion syndrome. Am. J. Med. Genet. A 2017, 173, 2158–2165. [Google Scholar] [CrossRef] [PubMed]
- Omarjee, L.; Fortrat, J.-O.; Larralde, A.; Le Pabic, E.; Kauffenstein, G.; Laot, M.; Navasiolava, N.; Mention, P.-J.; Carrillo Linares, J.L.; Valdivielso, P.; et al. Internal Carotid Artery Hypoplasia: A New Clinical Feature in Pseudoxanthoma Elasticum. J. Stroke. 2019, 21, 108–111. [Google Scholar] [CrossRef] [PubMed]
- Wali, A.R.; Santiago-Dieppa, D.R.; Steinberg, J.A.; Alattar, A.; Cheung, V.J.; Modir, R.; Khalessi, A.A.; Pannell, J.S. Hypoplastic Internal Carotid Artery Co-Presenting with Neurofibromatosis and Intracranial Masses. Cureus 2016, 8, e750. [Google Scholar] [CrossRef] [PubMed]
- Midkiff, R.B.; Boykin, M.W.; McFarland, D.R.; Bauman, J.A. Agenesis of the internal carotid artery with intercavernous anastomosis. AJNR. Am. J. Neuroradiol. 1995, 16, 1356–1359. [Google Scholar] [PubMed]
- Türk, Y.; Küskün, A. Hypoplastic internal carotid artery ending as an ophthalmic artery with multiple cerebral aneurysms, fenestrated Acom and triple A2. BMJ Case Rep. 2021, 14, e243520. [Google Scholar] [CrossRef]
- Lie, T.A.; Hage, J. Congenital anomalies of the carotid arteries. Plast. Reconstr. Surg. 1968, 42, 283. [Google Scholar]
- Zhang, Z.; Liu, Z.; Liu, Z. Imaging Classification of Internal Carotid Artery Hypoplasia Based on Distal Ophthalmic Segment Occlusion. J. Stroke Cerebrovasc. Dis. 2019, 28, 104304. [Google Scholar] [CrossRef]
- Siddiqui, A.; Sobani, Z.A. Bilateral hypoplasia of the internal carotid artery, presenting as a subarachnoid hemorrhage secondary to intracranial aneurysmal formation: a case report. J. Med. Case Rep. 2012, 6, 45. [Google Scholar] [CrossRef] [PubMed]
- Zhang, Z.-Y.; Sato, S.; Liu, L.; Xue, S.; Liu, Z.-J.; Tian, Z.-H.; Liu, W.; Toyoda, K.; Jiao, J.-S. Congenital Hypoplasia of Bilateral Internal Carotid Artery with Migraine-Like Headache with Aura. Chin. Med. J. 2015, 128, 421–422. [Google Scholar] [CrossRef]
- Hou, D.; Mei, Y.; Ji, Y.; Wu, H.; Zhang, H.; Sun, Z.; Li, W.; Li, B.; Ren, C.; Guan, L.; et al. Congenital internal carotid artery hypoplasia. Medicine 2019, 98, e13986. [Google Scholar] [CrossRef]
- Dawson, A.G.; Wilson, A.; Maskova, J.; Murray, A.D.; Reid, J.M.; Kuhan, G. Hypoplastic internal carotid artery stenosis with a low-lying carotid bifurcation causing cerebral ischemia. J. Vasc. Surg. 2012, 56, 1416–1418. [Google Scholar] [CrossRef] [PubMed]
- Paşaoğlu, L.; Toprak, U.; Akdal, B.; Yagiz, G.; Acar, D.; Gurel, F. Unilateral Hypoplasia of the Internal Carotid Artery. IJMPCR. 2015, 3, 132–137. [Google Scholar] [CrossRef]
- Gupta, B.; Yadav, R.; Singhal, M.; Kadam, N.; Gehlot, K.B.; Singh, R. A rare case report of bilateral internal carotid artery hypoplasia in postpartum female: Clinical spectrum and role of various modalities in diagnosis. Brain Circ. 2016, 2, 99–103. [Google Scholar] [CrossRef] [PubMed]
- Whitley, H.; Zazay, A.; Skalický, P.; Malík, J.; Charvát, F.; Beneš, V.; Bradáč, O. Congenital internal carotid artery hypoplasia: A systematic review. Neuroradiol. J. 2022, 36, 5–16. [Google Scholar] [CrossRef]
- Quint, D.J.; Silbergleit, R.; Young, W.C. Absence of the carotid canals at skull base CT. Radiology 1992, 182, 477–481. [Google Scholar] [CrossRef] [PubMed]
- Chen, P.-Y.; Liu, H.-Y.; Lim, K.-E.; Lin, S.-K. Internal Carotid Artery Hypoplasia: Role of Color-Coded Carotid Duplex Sonography. J.Ultrasound Med. 2015, 34, 1839–1851. [Google Scholar] [CrossRef]
- Watanabe, A.; Omata, T.; Koizumi, H.; Nakano, S.; Takeuchi, N.; Kinouchi, H. Bony carotid canal hypoplasia in patients with moyamoya disease. J. Neurosurg. Pediatr. 2010, 5, 591–594. [Google Scholar] [CrossRef]
- Ide, C.; De Coene, B.; Mailleux, P.; Baudrez, V.; Ossemann, M.; Trigaux, J.P. Hypoplasia of the internal carotid artery: a noninvasive diagnosis. Eur. Radiol. 2000, 10, 1865–1870. [Google Scholar] [CrossRef] [PubMed]
- Olin, J.W.; Gornik, H.L.; Bacharach, J.M.; Biller, J.; Fine, L.J.; Gray, B.H.; Gray, W.A.; Gupta, R.; Hamburg, N.M.; Katzen, B.T.; et al. Fibromuscular Dysplasia: State of the Science and Critical Unanswered Questions: A Scientific Statement From the American Heart Association. Circulation 2014, 129, 1048–1078. [Google Scholar] [CrossRef]
- Guillon, B.; Lévy, C.; Bousser, M.-G. Internal carotid artery dissection: an update. J. Neurol. Sci. 1998, 153, 146–158. [Google Scholar] [CrossRef] [PubMed]
- Berry, J.A.; Cortez, V.; Toor, H.; Saini, H.; Siddiqi, J. Moyamoya: An Update and Review. Cureus 2020, 12, e10994. [Google Scholar] [CrossRef] [PubMed]
- Georgiadi, E.; Papavasileiou, G.; Sfyroeras, G.S. Bilateral hypoplasia of the internal carotid artery and ectasia of the internal jugular vein. J. Vasc. Surg. Cases Innov. Tech. 2023, 9, 101252. [Google Scholar] [CrossRef]






Disclaimer/Publisher’s Note: The statements, opinions and data contained in all publications are solely those of the individual author(s) and contributor(s) and not of MDPI and/or the editor(s). MDPI and/or the editor(s) disclaim responsibility for any injury to people or property resulting from any ideas, methods, instructions or products referred to in the content. |
© 2025 by the authors. Licensee MDPI, Basel, Switzerland. This article is an open access article distributed under the terms and conditions of the Creative Commons Attribution (CC BY) license (http://creativecommons.org/licenses/by/4.0/).
