Submitted:
08 January 2025
Posted:
08 January 2025
You are already at the latest version
Abstract
Keywords:
Introduction
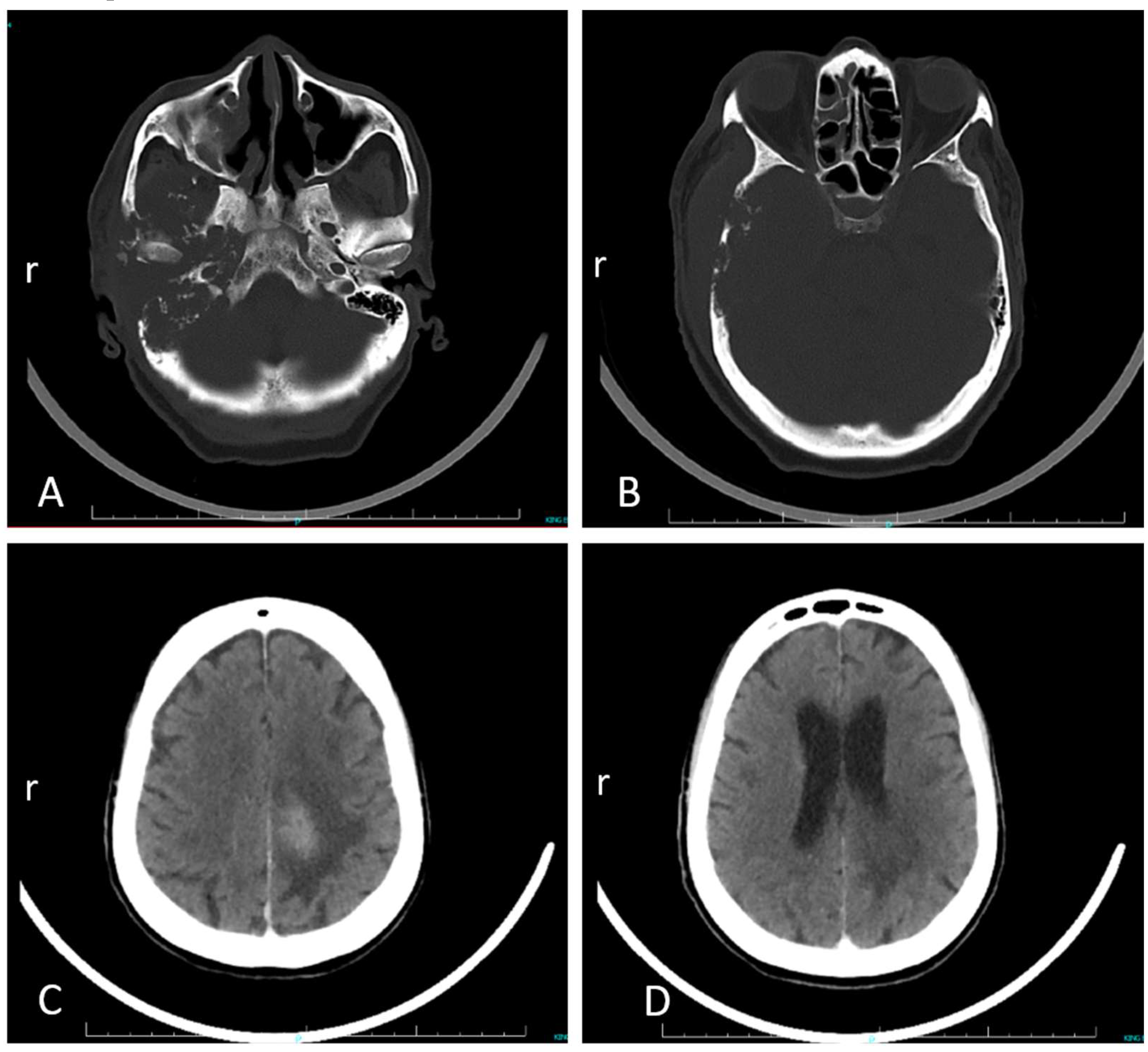
Case report
Materials and Methods
Laboratory methods
Samples
Microscopy
Nematode culture
PCR assays
Sanger sequencing
Whole genome sequencing
Phylogenetic analysis
Results
Microscopy
Culture
Molecular identification and confirmation
PCR and Sanger sequencing
Whole genome sequencing
Phylogenetic analysis
Discussion
Supplementary Materials
Author Contributions
Funding
Institutional Review Board Statement
Informed Consent Statement
Data Availability Statement
Conflicts of Interest
Abbreviations
| MDPI | Multidisciplinary Digital Publishing Institute |
| DOAJ | Directory of open access journals |
References
- van Megen H, van den Elsen S, Holterman M, et al. A phylogenetic tree of nematodes based on about 1200 full-length small subunit ribosomal DNA sequences. Nematology 2009;11(6):927-950.
- Greiner EC, Mays MB, Smart GC Jr, Weisbrode SE. Verminous mastitis in a mare caused by a free-living nematode. J Parasitol 1991;77(2):320-2.
- Gratwick Z, Frean J, du Plessis D, Hewetson M, Schwan V. A case of verminous mastitis in a mare. Equine Vet Educ 2021;33:e248-e252.
- Pilotte N, Papaiakovou M, Grant JR, et al. Improved PCR-based detection of soil transmitted helminth infections using a next-generation sequencing approach to assay design. PLoS Negl Trop Dis 2016;10(3):e0004578.
- Langmead B, Salzberg SL. Fast gapped-read alignment with Bowtie 2. Nat Methods 2012;9(4):357-9.
- Bankevich A, Nurk S, Antipov D, et al. SPAdes: a new genome assembly algorithm and its applications to single-cell sequencing. J Comput Biol 2012;19(5):455-77.
- Simão FA, Waterhouse RM, Ioannidis P, Kriventseva EV, Evgeny M. Zdobnov EM. BUSCO: assessing genome assembly and annotation completeness with single-copy orthologs. Bioinformatics 2015;31:3210–12.
- Stamatakis A. RAxML version 8: a tool for phylogenetic analysis and post-analysis of large phylogenies. Bioinformatics 2014;30(9):1312-3.
- Nguyen LT, Schmidt HA, von Haeseler A, Minh BQ. IQ-TREE: a fast and effective stochastic algorithm for estimating maximum-likelihood phylogenies. Mol Biol Evol 2015;32(1):268-74.
- Lim CK, Crawford A, Moore CV, Gasser RB, Nelson R, Koehler AV, Bradbury RS, Speare R, Dhatrak D, Weldhagen GF. First human case of fatal Halicephalobus gingivalis meningoencephalitis in Australia. J Clin Microbiol 2015;53(5):1768-74.
- Monoranu CM, Müllges W, Keppler M, et al. Fatal human meningoencephalitis due to Halicephalobus nematodes, Germany. Open Forum Infect Dis 2015;2(2):ofv061.
- Onyiche TE, Okute TO, Oseni OS, Okoro DO, Biu AA, Mbaya AW. Parasitic and zoonotic meningoencephalitis in humans and equids: Current knowledge and the role of Halicephalobus gingivalis. Parasite Epidemiol Control 2017;3(1):36-42.
- Nadler SA, Carreno RA, Adams BJ, Kinde H, Baldwin JG, Mundo-Ocampo M. Molecular phylogenetics and diagnosis of soil and clinical isolates of Halicephalobus gingivalis (Nematoda: Cephalobina: Panagrolaimoidea), an opportunistic pathogen of horses. Int J Parasitol 2003;33(10):1115–1125.
- Teschner M, Würfel W, Sedlacek L, Suerbaum S, Tappe D, Hornef MW. Outer ear canal infection with Rhabditis sp. nematodes in a human. J Clin Microbiol 2014;52(5):1793-5.




| Combined data analysis | |||
|---|---|---|---|
| Gene | Species | Identity | BLAST Query Coverage |
| 18S | Cephalobus cubaensis | 98.83% | 96% |
| 28S | Cephalobus cubaensis | 95.80% | 25% |
| Heterocephalobellus sp. | 93.72% | 47% | |
| Zeldia punctata | 92.09% | 85% | |
Disclaimer/Publisher’s Note: The statements, opinions and data contained in all publications are solely those of the individual author(s) and contributor(s) and not of MDPI and/or the editor(s). MDPI and/or the editor(s) disclaim responsibility for any injury to people or property resulting from any ideas, methods, instructions or products referred to in the content. |
© 2025 by the authors. Licensee MDPI, Basel, Switzerland. This article is an open access article distributed under the terms and conditions of the Creative Commons Attribution (CC BY) license (http://creativecommons.org/licenses/by/4.0/).
