Submitted:
09 December 2024
Posted:
18 December 2024
You are already at the latest version
Abstract
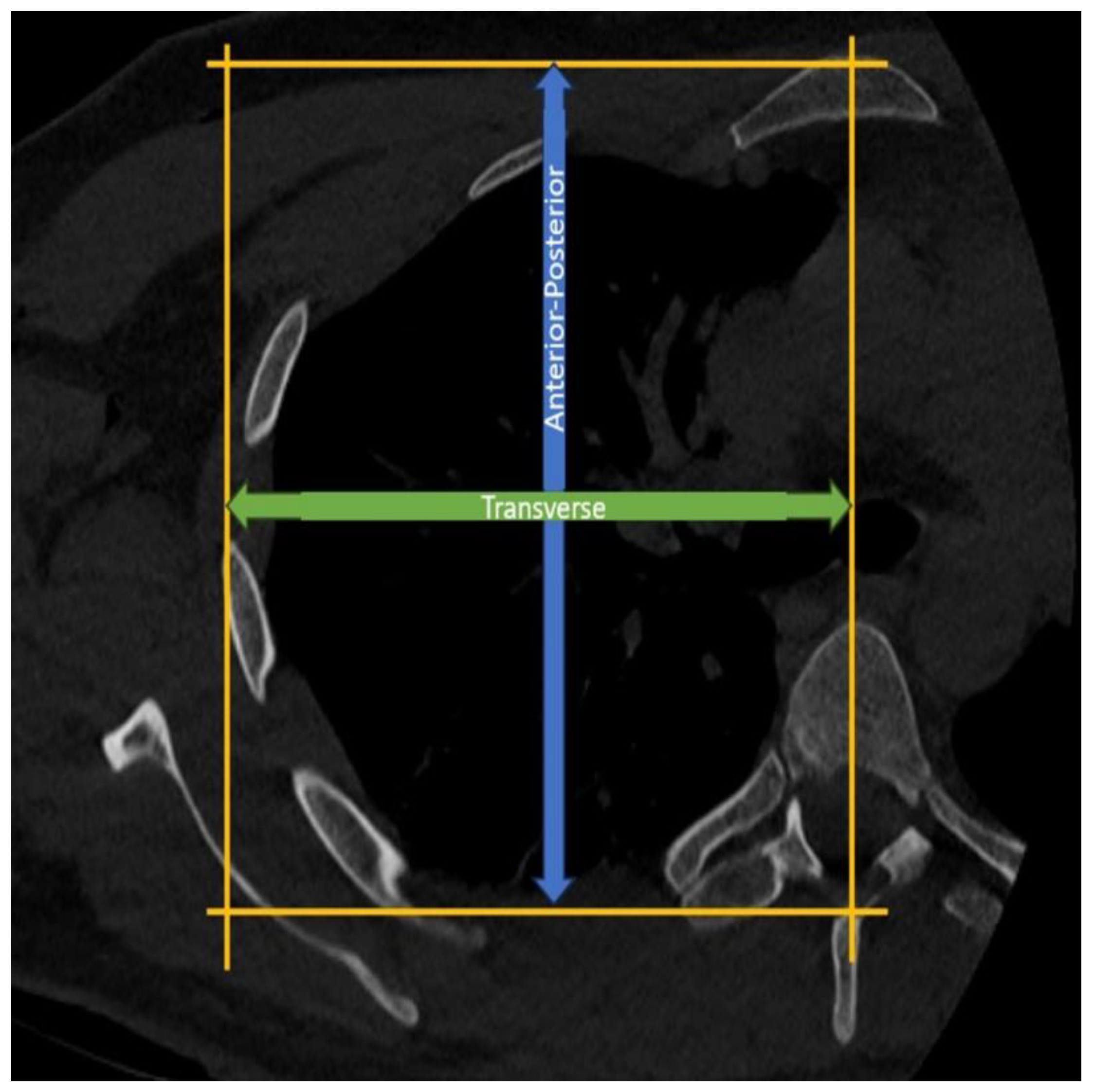
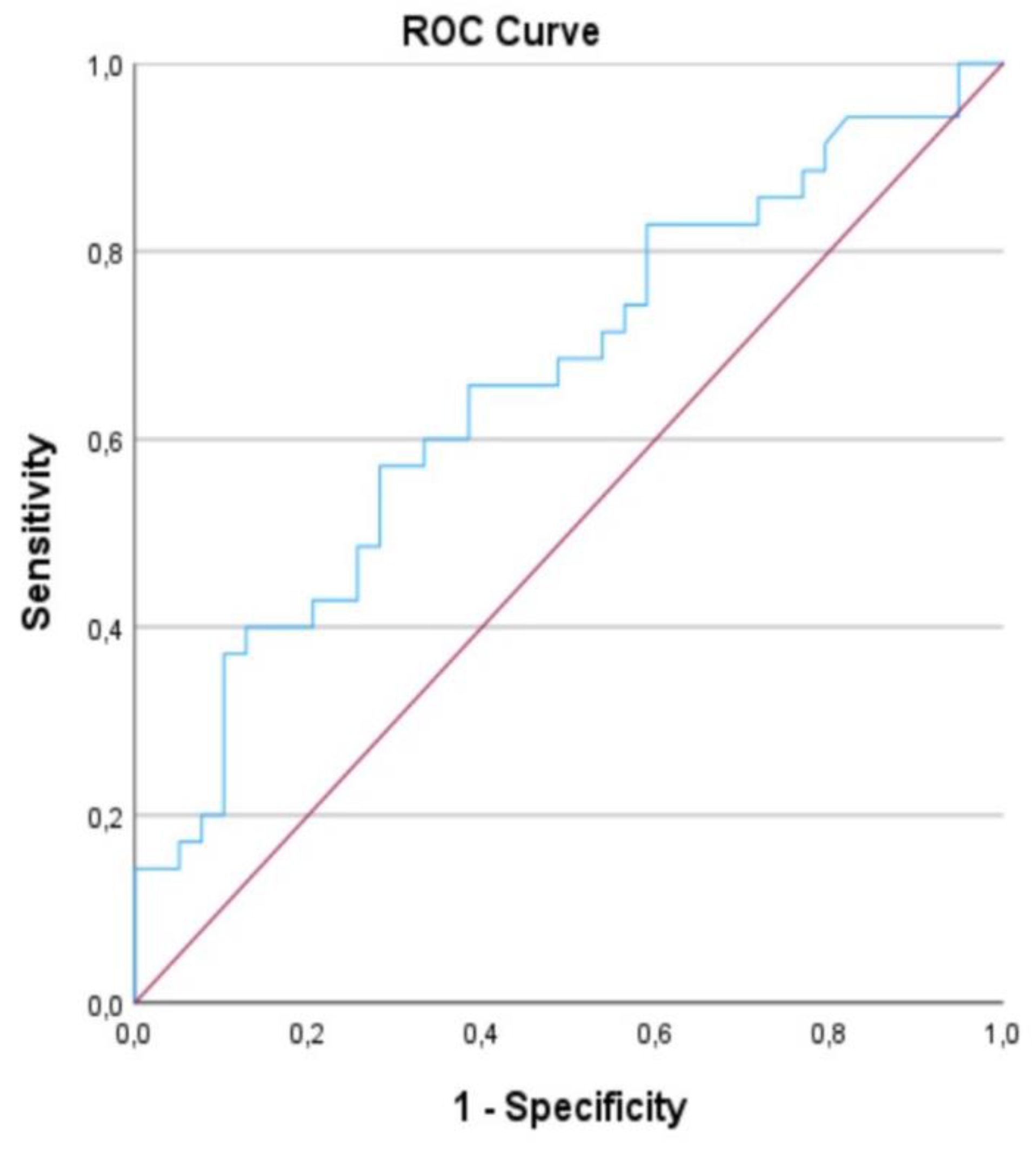
Purpose: This study aimed to determine the relationship between alpha angle (the angle between the screws and the glenoid) and thoracic diameters in patients undergoing the Latarjet procedure. Defining the relationship between thoracic morphology and alpha angle is aimed to fill the gap in the literature to improve surgical outcomes. Methods: This retrospective study analyzed 74 patients who underwent the Latarjet procedure for recurrent anterior shoulder instability between 2022 and 2024. All procedures were performed by the same surgeon using a standardized protocol to ensure consistency of surgical technique across cases. In postoperative chest CT scans, alpha angle, anteroposterior diameter of the thorax, transverse diameter of hemithorax, scapular inclination, and glenoid version were evaluated. Results: The study included predominantly male patients (90%) with a mean age of 26.4±6.4 years who underwent Latarjet procedures predominantly on the right side (60%). Significant associations were observed between thoracic morphology and alpha angle on postoperative CT scans. There was a significant positive correlation between anterior-posterior/transverse diameter ratio (AP/T) and alpha angle (r=0.407, p<0.001), as well as correlations between scapular inclination, glenoid version, thoracoscapular angle, and alpha angle (r=0.275, p=0.018; r=0.241, p=0.039; r= -0.288, p=0.013, respectively). Patients were divided based on an alpha angle threshold of 15 degrees, with results indicating worse outcomes for angles above this threshold. Additionally, the AP/T ratio demonstrated predictive value for poor outcomes (AUC=0.660, p=0.018) with a threshold of 1.2545. Conclusion: This study highlights the direct impact of thoracic morphology on the alpha angle observed on post-Latarjet chest CT scans. Specifically, patients with a higher ratio of anterior-posterior to transverse thoracic diameter (AP/T) show a proportional increase in alpha angle. When the AP/T ratio exceeds 1.25, surgeons may face challenges in achieving the target alpha angle.
Keywords:
1. Introduction
2. Material and Methods
3. Surgical Preparation and Procedure
4. Radiographic Evaluation
4. Statistical Analysis
5. Results
6. Discussion
7. Conclusions
List of Abbreviations
| CT | Computed Tomography |
| PACS | Picture Archiving and Communication Systems |
| AP/T | Anterior-Posterior/Transverse Diameter Ratio |
References
- M. LATARJET, “Treatment of recurrent dislocation of the shoulder.,” Lyon Chir., vol. 49, no. 8, pp. 994–997, 1954.
- L. Hovelius, B. Sandström, A. Olofsson, O. Svensson, and H. Rahme, “The effect of capsular repair, bone block healing, and position on the results of the Bristow-Latarjet procedure (study III): long-term follow-up in 319 shoulders.,” J. shoulder Elb. Surg., vol. 21, no. 5, pp. 647–660, May 2012. [CrossRef]
- S. L. Schmid, M. Farshad, S. Catanzaro, and C. Gerber, “The Latarjet procedure for the treatment of recurrence of anterior instability of the shoulder after operative repair: a retrospective case series of forty-nine consecutive patients.,” J. Bone Joint Surg. Am., vol. 94, no. 11, p. e75, Jun. 2012. [CrossRef]
- K. L. Hsu et al., “Biomechanical comparison between various screw fixation angles for Latarjet procedure: a cadaveric biomechanical study,” J. Shoulder Elb. Surg., vol. 31, no. 9, pp. 1947–1956, 2022. [CrossRef]
- N. Sverzellati et al., “Computed Tomography Measurement of Rib Cage Morphometry in Emphysema,” PLoS One, vol. 8, no. 7, 2013. [CrossRef]
- S. Cerciello, T. B. Edwards, G. Cerciello, and G. Walch, “Scapular position after the open Latarjet procedure: Results of a computed tomography scan study,” J. Shoulder Elb. Surg., vol. 24, no. 2, pp. 199–202, 2015. [CrossRef]
- L. Hovelius, B. Sandström, and M. Saebö, “One hundred eighteen Bristow-Latarjet repairs for recurrent anterior dislocation of the shoulder prospectively followed for fifteen years: Study II-the evolution of dislocation arthropathy,” J. Shoulder Elb. Surg., vol. 15, no. 3, pp. 279–289, 2006. [CrossRef]
- J. Barth, A. Boutsiadis, L. Neyton, L. Lafosse, and G. Walch, “Can a drill guide improve the coracoid graft placement during the latarjet procedure?: A prospective comparative study with the freehand technique,” Orthop. J. Sport. Med., vol. 5, no. 10, pp. 1–7, 2017. [CrossRef]
- T. Rebecca Lauren Emma et al., “Optimising Screw Trajectory in the Bristow-Latarjet Procedure: A Simple Technique to Improve the Alpha Angle,” J. Orthop. Surg. Tech., vol. 5, no. 2, pp. 487–493, 2022. [CrossRef]
- F. Bellemare, A. Jeanneret, and J. Couture, “Sex differences in thoracic dimensions and configuration,” Am. J. Respir. Crit. Care Med., vol. 168, no. 3, pp. 305–312, 2003. [CrossRef]





| Alpha Angle | ≤15 | >15 |
|---|---|---|
| Patients (n) | 39 | 35 |
| Gender (M/F) | 36/3 | 31/4 |
| Age | 26.07 ± 5.90 | 26.80 ± 6.84 |
| Side (Right/Left) | 22/17 | 23/12 |
| AP/T | 1.22 ± 0.10 | 1.29 ± 0.12 |
| Scapular Inclination | 43.20 ± 7.06 | 46.46 ± 8.41 |
| Thoracoscapular Angle | 47.31 ± 7.04 | 43.42 ± 8.67 |
| Glenoid Version | -1.57 ± 5.64 | 0.97 ± 4.78 |
| Alpha Angle | 9.46 ± 3.86 | 25.08 ± 5.42 |
Disclaimer/Publisher’s Note: The statements, opinions and data contained in all publications are solely those of the individual author(s) and contributor(s) and not of MDPI and/or the editor(s). MDPI and/or the editor(s) disclaim responsibility for any injury to people or property resulting from any ideas, methods, instructions or products referred to in the content. |
© 2024 by the authors. Licensee MDPI, Basel, Switzerland. This article is an open access article distributed under the terms and conditions of the Creative Commons Attribution (CC BY) license (http://creativecommons.org/licenses/by/4.0/).