Submitted:
16 October 2024
Posted:
17 October 2024
You are already at the latest version
Abstract
Keywords:
1. Introduction
2. Materials and Methods
- is the full set of low resolution (LR) frames, described as , where are the p LR images. Each observed LR image is of size . Let the kth LR image be denoted in lexicographic notation as , for and .
- is the desired high resolution (HR) image, of size , written in lexicographical notation as the vector , where and and represent the up-sampling factors in the horizontal and vertical directions, respectively.
- , where is the noise vector for frame k and contains independent zero-mean Gaussian random variables.
- is the degradation matrix which performs the operations of blur, rigid transformation and subsampling.
- 1.
-
The first step of our algorithm is to evaluate the term from the Equation (3), by using rigid registration. Rigid registration, also known as rigid body registration or rigid transformation, is a fundamental technique in medical image processing and computer vision. It is used to align two images by performing translations and rotations while preserving the shape and size of the structures within the images [22].In a 2D plane, a rigid transformation can be represented using a matrix, often referred to as the transformation matrix. For example, a 2D translation can be represented as [23]:Rotation and reflection matrices can also be formulated similarly. The result of the rigid transformation is represented as an affine transformation matrix. This matrix captures the translation and rotation parameters applied to the original image [23].We assume that one of the LR images, (typically the middle one), is produced from the HR image , by applying only downsampling, without transformation. Thus, . Rigid transformation is calculated between and the rest of the LR images. Following that, we get for the remaining images.
- 2.
- The subsequent phase is centered on employing the PnP-ADMM technique. We execute the PnP-ADMM, adhering to the procedure outlined in Algorithm 1 until reaching convergence, in order to minimize the problem described by Eq. (4). The initial HR image guess, , is generated from using the pseudo-inverse of . Here, D represents the denoising operator, introduced and discussed in Section 2.1, and g is formulated as .
| Algorithm 1 PnP-ADMM [24] |
|
2.1. The Denoising Algorithm
2.1.1. The Prior Distribution
2.1.2. Denoising in PnP-ADMM
| Algorithm 1: Variational Bayes Patch Similarity Denoising |
|
Input: Noisy image .
Output: Denoised image .
Initialization:
Image initial estimate: Set , where is the regularization parameter obtained from [21]. Then, set , where is the super-resolved image obtained after setting . Parameter selection: Set , and , , , , and err .
|
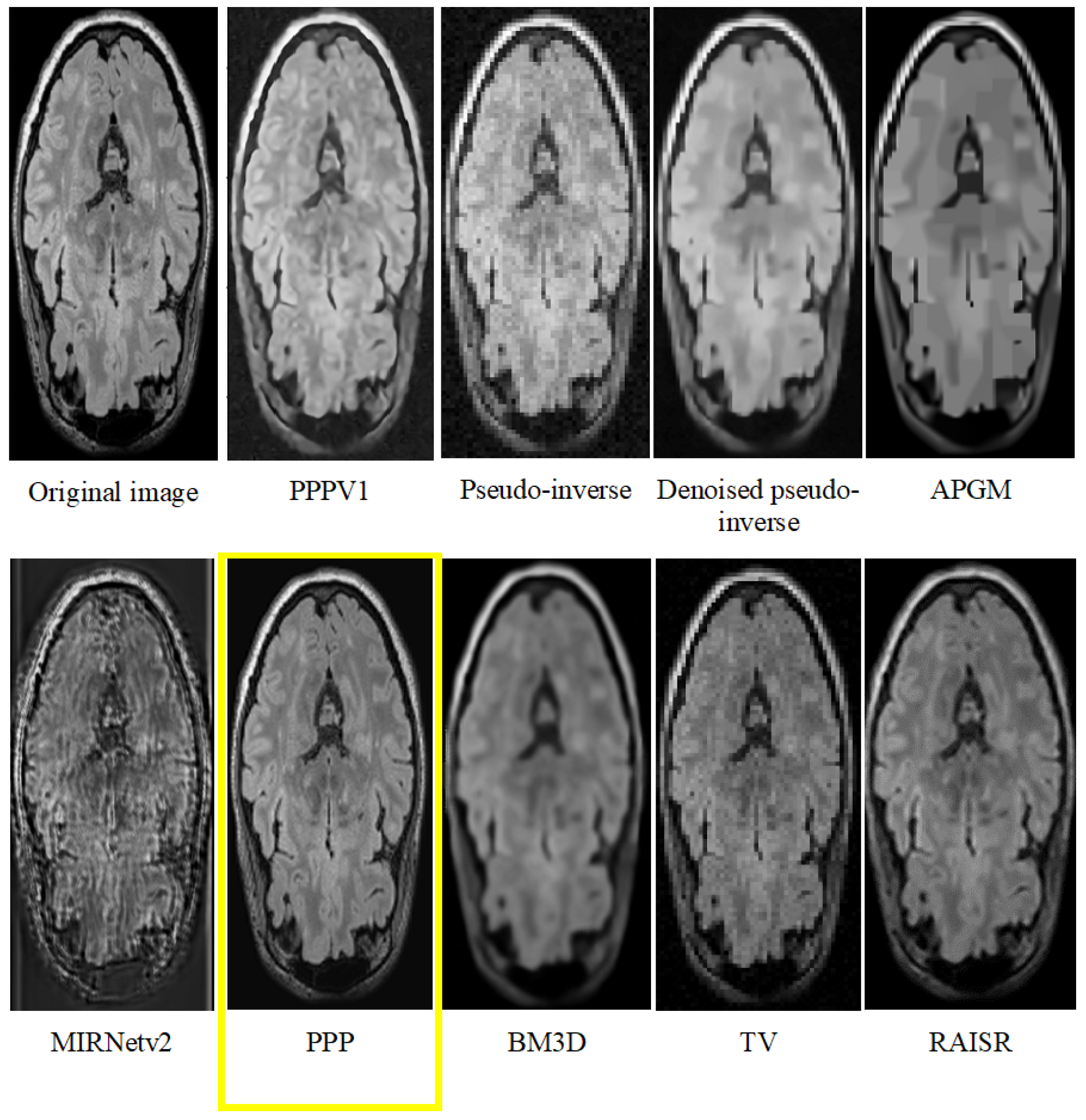
3. Results
4. Discussion
- The experimental results demonstrate the superiority of our approach over existing techniques, underscoring its potential for clinical applications in neuroimaging.
- The practical implications of our results suggest that our method holds great promise for applications where MRI slices quality enhancement is paramount.
- Computational efficiency is another significant advantage of our method. Unlike Deep Neural Network-based methods, our approach does not rely on neural networks and requires no training, making it faster and less resource-intensive.
Author Contributions
Funding
Institutional Review Board Statement
Informed Consent Statement
Data Availability Statement
Acknowledgments
Conflicts of Interest
References
- M. L. S. Aguena, N. D. A. Mascarenhas, J. C. Anacleto, S. S. Fels. MRI Iterative Super Resolution with Wiener Filter Regularization. 2013 XXVI Conference on Graphics, Patterns and Images, 2013.
- M. Ganesh Babu, S. S. Panda, H. B. Bandela. Super Resolution Image Reconstruction Using Iterative Regularization Method and Feed-Forward Neural Networks. J. Phys. Conf. Ser., 1228:012021, 2019.
- K. Ahmadi, E. Salari. Edge-Preserving MRI Super Resolution Using a High Frequency Regularization Technique. University of Toledo, 2019.
- A. Ben-Ezra, H. Greenspan, Y. Rubner. Regularized Super-Resolution of Brain MRI. IEEE Trans. Med. Imag., 2009.
- H. Kawamura et al. Super-Resolution of Magnetic Resonance Images via Convex Optimization. International Journal of Biomedical Imaging, 2018.
- S. Peled, Y. Yeshurun. Super-resolution in MRI: Application to human white matter fiber tract visualization by diffusion tensor imaging. Magn. Reson. Med., 45(1):29-35, 2001.
- K. Scheffler. Super-resolution MRI: Strategies and applications. NeuroImage, 15(2):91-103, 2003.
- C. Liu and D. Sun, "On Bayesian Adaptive Video Super Resolution," *IEEE Transactions on Pattern Analysis and Machine Intelligence*, vol. 36, no. 2, pp. 346-360, 2014. [CrossRef]
- N. P. Galatsanos, V. Z. Mesarović, R. Molina, and A. K. Katsaggelos, "Hierarchical Bayesian image restoration from partially known blurs," *IEEE Transactions on Image Processing*, vol. 9, no. 10, pp. 1784-1797, 2000. [CrossRef]
- A. Zomet, A. Rav-Acha, and S. Peleg, "Robust super-resolution," in *Proc. of the 2001 IEEE Computer Society Conference on Computer Vision and Pattern Recognition. CVPR 2001*, vol. 1, pp. 645-650, 2001. [CrossRef]
- S. Farsiu, D. Robinson, M. Elad, and P. Milanfar, "Robust Shift and Add Approach to Super-Resolution," *Proceedings of SPIE - The International Society for Optical Engineering*, vol. 5203, 2003. [CrossRef]
- S. Farsiu, M. D. Robinson, M. Elad, and P. Milanfar, "Fast and robust multiframe super resolution," *IEEE Transactions on Image Processing*, vol. 13, no. 10, pp. 1327-1344, 2004. [CrossRef]
- U. S. Kamilov, C. A. Bouman, G. T. Buzzard, and B. Wohlberg, "Plug-and-Play Methods for Integrating Physical and Learned Models in Computational Imaging: Theory, algorithms, and applications," IEEE Signal Processing Magazine, vol. 40, no. 1, pp. 85-97, Jan. 2023. [CrossRef]
- K. Dabov, A. Foi, V. Katkovnik, and K. Egiazarian, "Image restoration by sparse 3D transform-domain collaborative filtering," in Proc. Image Processing: Algorithms and Systems VI, J. T. Astola, K. O. Egiazarian, and E. R. Dougherty, Eds., Society of Photo-Optical Instrumentation Engineers (SPIE) Conference Series, vol. 6812, pp. 681207, Feb. 2008. [CrossRef]
- S. Gu, L. Zhang, W. Zuo, and X. Feng, "Weighted Nuclear Norm Minimization with Application to Image Denoising," in *Proc. of the 2014 IEEE Conference on Computer Vision and Pattern Recognition (CVPR)*, pp. 2862-2869, June 2014. [CrossRef]
- L. I. Rudin, S. Osher, and E. Fatemi, "Nonlinear total variation based noise removal algorithms," Physica D: Nonlinear Phenomena, vol. 60, no. 1, pp. 259-268, 1992. [CrossRef]
- S. He and B. Jalali, "Brain MRI Image Super Resolution using Phase Stretch Transform and Transfer Learning," arXiv preprint arXiv:1807.11643, 2018. arXiv:1807.11643, 2018.
- M. Ch. Zerva and L. P. Kondi, “Video super-resolution using plug-and-play priors,” IEEE Access, vol. 12, pp. 11963–11971, 2024. [CrossRef]
- S. C. Park, M. K. Park, and M. G. Kang, "Super-resolution image reconstruction: a technical overview," IEEE Signal Processing Magazine, vol. 20, no. 3, pp. 21-36, 2003. [CrossRef]
- G. Chantas, S. Nikolopoulos, and I. Kompatsiaris, "Heavy-Tailed Self-Similarity Modeling for Single Image Super Resolution," IEEE Transactions on Image Processing, vol. 30, pp. 838-852, Nov. 2020. [CrossRef]
- G.K. Chantas, N. P. Galatsanos, and N. A. Woods, “Super-resolution based on fast registration and maximum a posteriori reconstruction,” IEEE Transactions on Image Processing, vol. 16, no. 7, pp. 1821–1830, 2007.
- K. Anjyo and H. Ochiai, "Rigid Transformation," in Mathematical Basics of Motion and Deformation in Computer Graphics, Second Edition, Cham: Springer International Publishing, 2017, pp. 5-21.
- R. Szeliski, Computer Vision: Algorithms and Applications, 1st ed. Berlin, Heidelberg: Springer-Verlag, 2010, ISBN: 1848829345.
- U. S. Kamilov, H. Mansour, and B. Wohlberg, "A plug-and-play priors approach for solving nonlinear imaging inverse problems," IEEE Signal Process. Lett, vol. 24, no. 12, pp. 1872-1876, 2017.
- T. Balke, F. R. Davis, C. Garcia-Cardona, M. McCann, L. Pfister, and B. E. Wohlberg, "Scientific Computational Imaging Code (SCICO)," Journal of Open Source Software, vol. 7, no. 78, Oct. 2022. [CrossRef]
- K. Clark et al., "The Cancer Imaging Archive (TCIA): Maintaining and Operating a Public Information Repository," Journal of Digital Imaging, vol. 26, no. 6, pp. 1045-1057, 2013.
- S.W. Zamir, A. Arora, S.H. Khan, H. Munawar, F.S. Khan, M.H. Yang, and L. Shao, “Learning Enriched Features for Fast Image Restoration and Enhancement,” IEEE Transactions on Pattern Analysis and Machine Intelligence, 2022. [CrossRef]



| Dataset 1 | Dataset 2 | |||
|---|---|---|---|---|
| Average | St.Dev | Average | St.Dev | |
| PPPV1 | 22.49 | 0.44 | 25.26 | 0.25 |
| PPP | 26.59 | 0.49 | 25.67 | 0.65 |
| Pseudo-inverse | 19.52 | 0.56 | 22.81 | 0.26 |
| Denoised pseudo-inverse | 20.36 | 0.51 | 23.73 | 0.28 |
| APGM | 19.91 | 0.34 | 23.78 | 0.22 |
| BM3D | 20.58 | 0.82 | 23.72 | 0.36 |
| TV | 22.48 | 0.44 | 23.50 | 0.29 |
| RAISR | 21.99 | 0.43 | 25.77 | 0.32 |
| MIRNetv2 | 14.05 | 0.27 | 14.26 | 0.18 |
| Dataset 1 | Dataset 2 | |||
|---|---|---|---|---|
| Average | St.Dev | Average | St.Dev | |
| PPPV1 | 6.14 | 0.15 | 6.66 | 0.17 |
| PPP | 5.82 | 0.15 | 6.39 | 0.16 |
| Pseudo-inverse | 14.13 | 0.36 | 14.08 | 0.35 |
| Denoised pseudo-inverse | 14.13 | 0.36 | 14.08 | 0.35 |
| APGM | 13.86 | 0.35 | 13.03 | 0.33 |
| BM3D | 10.66 | 0.27 | 11.92 | 0.30 |
| TV | 12.22 | 0.31 | 12.82 | 0.32 |
| RAISR | 5.87 | 0.15 | 9.61 | 0.24 |
| MIRNetv2 | 7.18 | 0.18 | 7.95 | 0.20 |
Disclaimer/Publisher’s Note: The statements, opinions and data contained in all publications are solely those of the individual author(s) and contributor(s) and not of MDPI and/or the editor(s). MDPI and/or the editor(s) disclaim responsibility for any injury to people or property resulting from any ideas, methods, instructions or products referred to in the content. |
© 2024 by the authors. Licensee MDPI, Basel, Switzerland. This article is an open access article distributed under the terms and conditions of the Creative Commons Attribution (CC BY) license (https://creativecommons.org/licenses/by/4.0/).