Submitted:
04 October 2024
Posted:
08 October 2024
You are already at the latest version
Abstract
Keywords:
Introduction
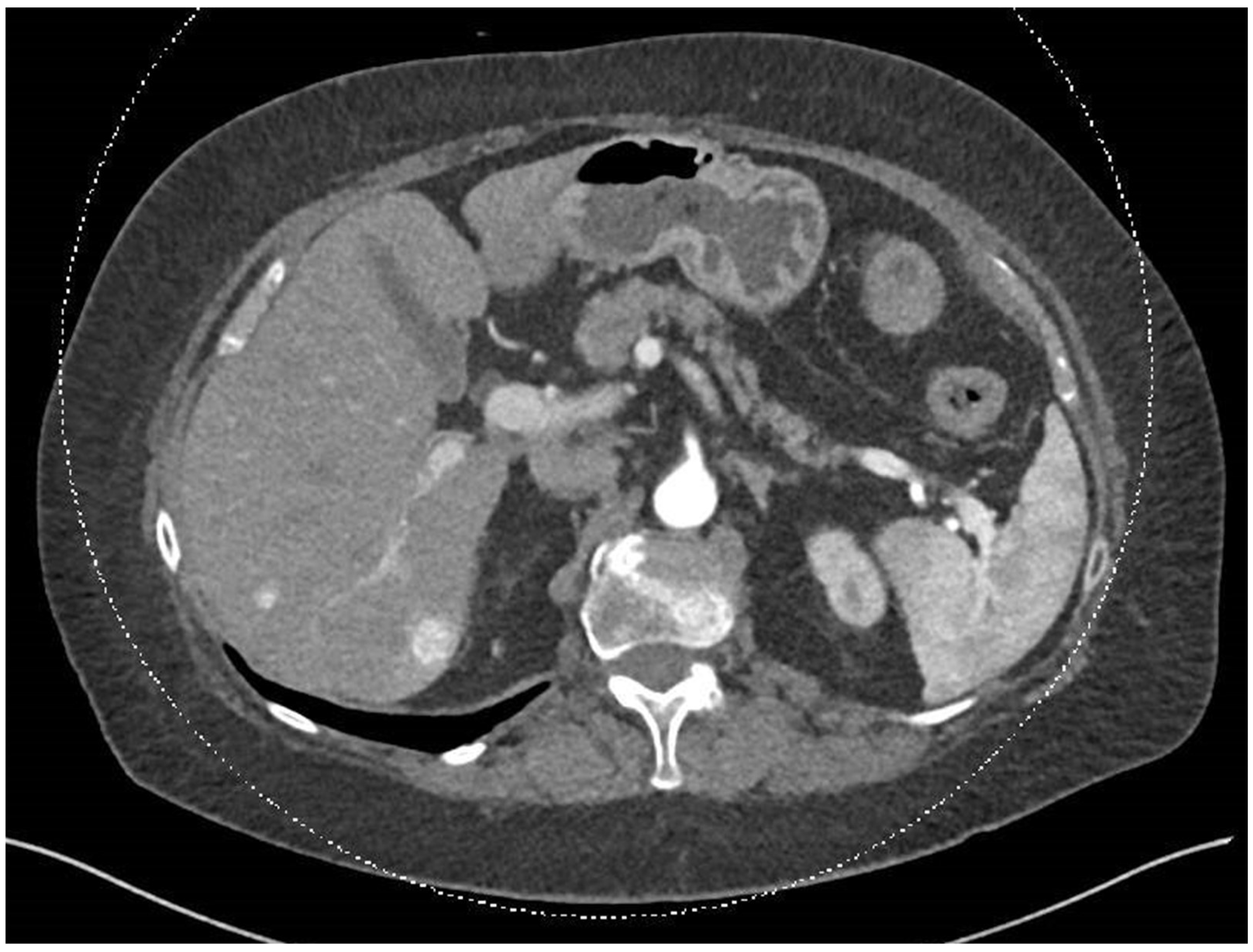
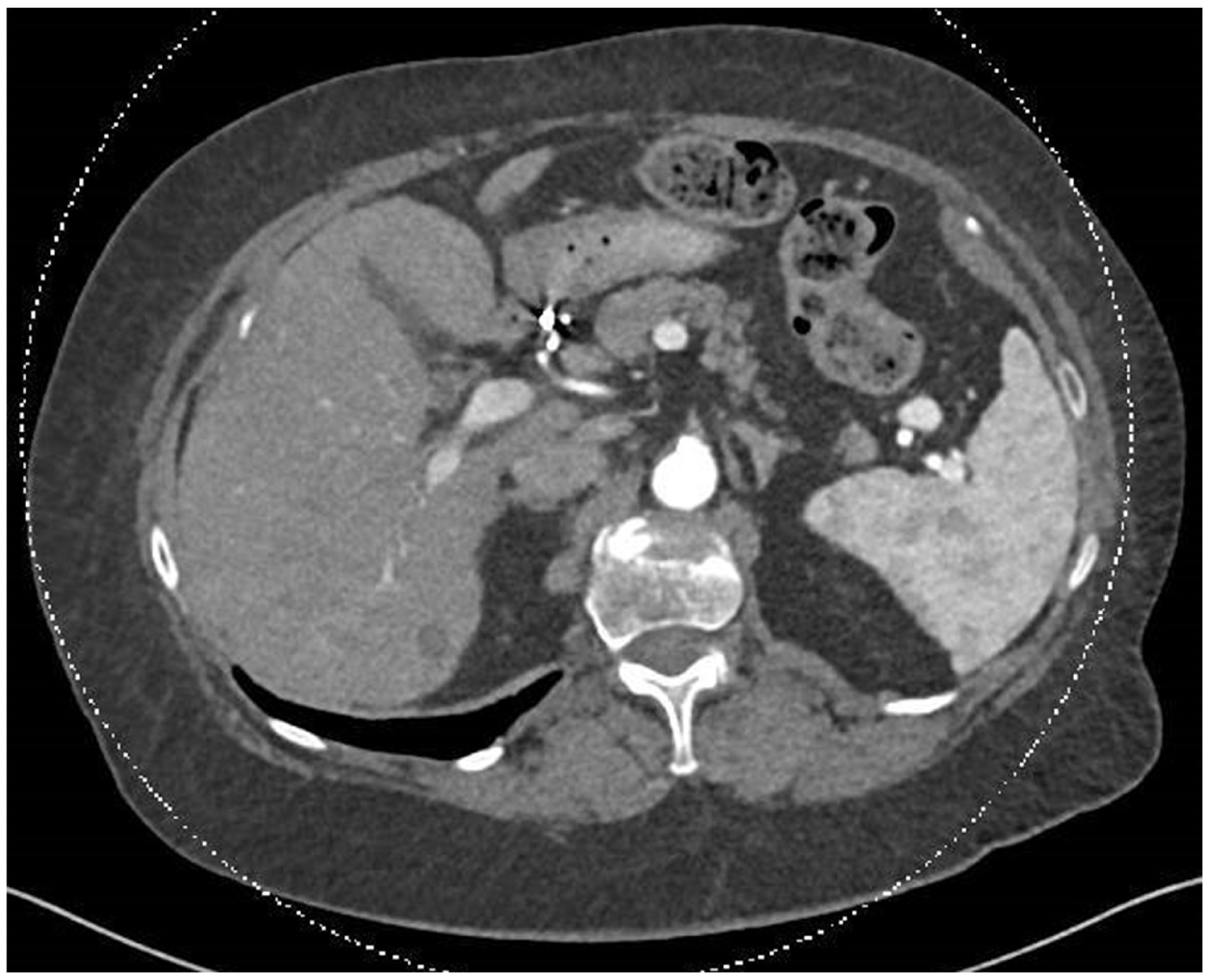
Case Presentation
Discussion
Conclusion
Author Contributions
Ethics Statement
Consent Statement
Acknowledgments
Abbreviations
| SFT | Solitary Fibrous Tumor |
| CT | Computed Tomography |
| MRI | Magnetic Resonance Imaging |
| FDG | Fluorodeoxyglucose |
| PET | Positron Emission Tomography |
| TERT | Telomerase Reverse Transcriptase |
| PFS | Progression-Free Survival |
| mOS | Median Overall Survival |
| ORR | Objective Response Rate |
| SD | Stable Disease |
| EBRT | External Beam Radiation Therapy |
| SIRT | Selective Internal Radiation Therapy |
| HCC | Hepatocellular Carcinoma |
| SBRT | Stereotactic Body Radiation Therapy |
| Tc-99 MMA | Technetium-99m Macroaggregated Albumin |
References
- Bruzzone, A., Varaldo, M., Ferrarazzo, C., Tunesi, G., & Mencoboni, M. (2010). Solitary fibrous tumor. Rare Tumors, 2(4), 64. [CrossRef]
- Abodunrin FO, Killeen RB. Solitary Fibrous Tumors. 2024 May 1. In: StatPearls [Internet]. Treasure Island (FL): StatPearls Publishing; 2024 Jan–. PMID: 36251813. (n.d.).
- Chick, J. F. B., Chauhan, N. R., & Madan, R. (2013). Solitary Fibrous Tumors of the Thorax: Nomenclature, Epidemiology, Radiologic and Pathologic Findings, Differential Diagnoses, and Management. American Journal of Roentgenology, 200(3), W238–W248. [CrossRef]
- England, D. M., Hochholzer, L., & McCarthy, M. J. (1989). Localized Benign and Malignant Fibrous Tumors of the Pleura. The American Journal of Surgical Pathology, 13(8), 640–658. [CrossRef]
- Davanzo, B., Emerson, R. E., Lisy, M., Koniaris, L. G., & Kays, J. K. (2018). Solitary fibrous tumor. Translational Gastroenterology and Hepatology, 3, 94–94. [CrossRef]
- Abodunrin FO, Killeen RB. Solitary Fibrous Tumors. [Updated 2024 May 1]. In: StatPearls [Internet]. Treasure Island (FL): StatPearls Publishing; 2024 Jan-. Available from: https://www.ncbi.nlm.nih.gov/books/NBK585038/#.
- Doyle, L. A. Hélage, S., Revel, M. P., Chabi, M. L., Audureau, É., Ferretti, G., Laurent, F., Alifano, M., Mansuet-Lupo, A., Buy, J. N., & Vadrot, D. (2016). Solitary fibrous tumor of the pleura: Can computed tomography features help predict malignancy? A series of 56 patients with histopathological correlates. Diagnostic and Interventional Imaging, 97(3), 347–353. [CrossRef]
- Wignall, O. J., Moskovic, E. C., Thway, K., & Thomas, J. M. (2010). Solitary Fibrous Tumors of the Soft Tissues: Review of the Imaging and Clinical Features With Histopathologic Correlation. American Journal of Roentgenology, 195(1), W55–W62. [CrossRef]
- Ahmed, T. M., Blanco, A., Weisberg, E. M., & Fishman, E. K. (2023). CT of retroperitoneal solitary fibrous tumor. Radiology Case Reports, 18(6), 2241–2244. [CrossRef]
- Ginat, D. T., Bokhari, A., Bhatt, S., & Dogra, V. (2011). Imaging Features of Solitary Fibrous Tumors. American Journal of Roentgenology, 196(3), 487–495. [CrossRef]
- Tazeler, Z., Tan, G., Aslan, A., & Tan, S. (2016). The utility of 18F-FDG PET/CT in solitary fibrous tumors of the pleura. Revista Española de Medicina Nuclear e Imagen Molecular, 35(3), 165–170. [CrossRef]
- Tariq, M. U., Din, N. U., Abdul-Ghafar, J., & Park, Y.-K. (2021). The many faces of solitary fibrous tumor; diversity of histological features, differential diagnosis and role of molecular studies and surrogate markers in avoiding misdiagnosis and predicting the behavior. Diagnostic Pathology, 16(1), 32. [CrossRef]
- Geramizadeh B, Marzban M, Churg A. Role of Immunohistochemistry in the Diagnosis of Solitary Fibrous Tumor, a Review. Iran J Pathol. 2016 Summer;11(3):195-203. PMID: 27799967; PMCID: PMC5079451.
- Vivero, M., Fletcher, C. D., Mertens, F., & Hornick, J. L. (2014). Nuclear expression of STAT6 distinguishes solitary fibrous tumors from histologic mimics. Modern Pathology, 27(3), 390–395. [CrossRef]
- Doyle, L. A., Tao, D., & Mariño-Enríquez, A. (2014). STAT6 is amplified in a subset of dedifferentiated liposarcoma. Modern Pathology, 27(9), 1231–1237. [CrossRef]
- Briselli, M., Mark, E. J., & Dickersin, G. R. (1981). Solitary fibrous tumors of the pleura: Eight new cases and review of 360 cases in the literature. Cancer, 47(11), 2678–2689. [CrossRef]
- Liu, W.-L., Wu, W., Hong, Q.-C., & Lv, K. (2021). Recurrence rates of surgically resected solitary fibrous tumours of the pleura: a systematic review and meta-analysis. Interactive CardioVascular and Thoracic Surgery, 32(6), 882–888. [CrossRef]
- Tolstrup, J., Loya, A., Aggerholm-Pedersen, N., Preisler, L., & Penninga, L. (2024). Risk factors for recurrent disease after resection of solitary fibrous tumor: a systematic review. Frontiers in Surgery, 11. [CrossRef]
- Bahrami, A., Lee, S., Schaefer, I.-M., Boland, J. M., Patton, K. T., Pounds, S., & Fletcher, C. D. (2016). TERT promoter mutations and prognosis in solitary fibrous tumor. Modern Pathology, 29(12), 1511–1522. [CrossRef]
- Rana, N., Kim, E., Jaboin, J., & Attia, A. (2018). The Role of Adjuvant Radiation in the Management of Solitary Fibrous Tumors of the Central Nervous System: A National Cancer Database Analysis of 155 Patients. Cureus. [CrossRef]
- Park, M. S., Ravi, V., Conley, A., Patel, S. R., Trent, J. C., Lev, D. C., Lazar, A. J., Wang, W.-L., Benjamin, R. S., & Araujo, D. M. (2013). The role of chemotherapy in advanced solitary fibrous tumors: a retrospective analysis. Clinical Sarcoma Research, 3(1), 7. [CrossRef]
- Stacchiotti, S., Libertini, M., Negri, T., Palassini, E., Gronchi, A., Fatigoni, S., Poletti, P., Vincenzi, B., Dei Tos, A. P., Mariani, L., Pilotti, S., & Casali, P. G. (2013). Response to chemotherapy of solitary fibrous tumour: A retrospective study. European Journal of Cancer, 49(10), 2376–2383. [CrossRef]
- de Bernardi, A., Dufresne, A., Mishellany, F., Blay, J.-Y., Ray-Coquard, I., & Brahmi, M. (2022). Novel Therapeutic Options for Solitary Fibrous Tumor: Antiangiogenic Therapy and Beyond. Cancers, 14(4), 1064. [CrossRef]
- Stacchiotti, S., Negri, T., Libertini, M., Palassini, E., Marrari, A., de Troia, B., Gronchi, A., Dei Tos, A. P., Morosi, C., Messina, A., Pilotti, S., & Casali, P. G. (2012). Sunitinib malate in solitary fibrous tumor (SFT). Annals of Oncology, 23(12), 3171–3179. [CrossRef]
- Martin-Broto, J., Cruz, J., Penel, N., le Cesne, A., Hindi, N., Luna, P., Moura, D. S., Bernabeu, D., de Alava, E., Lopez-Guerrero, J. A., Dopazo, J., Peña-Chilet, M., Gutierrez, A., Collini, P., Karanian, M., Redondo, A., Lopez-Pousa, A., Grignani, G., Diaz-Martin, J., … Stacchiotti, S. (2020). Pazopanib for treatment of typical solitary fibrous tumours: a multicentre, single-arm, phase 2 trial. The Lancet Oncology, 21(3), 456–466. [CrossRef]
- Sundram, F. X., & Buscombe, J. R. (2017). Selective internal radiation therapy for liver tumours. Clinical Medicine, 17(5), 449–453. [CrossRef]
- Lau, W. Y., Teoh, Y. L., Win, K. M., Lee, R.-C., de Villa, V. H., Kim, Y. H. J., Liang, P.-C., Santos-Ocampo, R. S., Lo, R. H. G.et al. (2016). Current Role of Selective Internal Radiation with Yttrium-90 in Liver Tumors. Future Oncology, 12(9), 1193–1204. [CrossRef]
- van Hazel, G., Blackwell, A., Anderson, J., Price, D., Moroz, P., Bower, G., Cardaci, G., & Gray, B. (2004). Randomised phase 2 trial of SIR-Spheres® plus fluorouracil/leucovorin chemotherapy versus fluorouracil/leucovorin chemotherapy alone in advanced colorectal cancer. Journal of Surgical Oncology, 88(2), 78–85. [CrossRef]
- Malik, U., & Mohiuddin, M. (2002). External-beam radiotherapy in the management of liver metastases. Seminars in Oncology, 29(2), 196–201. [CrossRef]
- Nair, V. J. (2014). Treatment of metastatic liver tumors using stereotactic ablative radiotherapy. World Journal of Radiology, 6(2), 18. [CrossRef]
- Alrabiah, K., Liao, G., Shen, Q., Chiang, C.-L., & Dawson, L. A. (2022). The evolving role of radiation therapy as treatment for liver metastases. Journal of the National Cancer Center, 2(3), 183–187. [CrossRef]
- Stubbs, R. S., & Wickremesekera, S. K. (2004). Selective internal radiation therapy (SIRT): a new modality for treating patients with colorectal liver metastases. HPB, 6(3), 133–139. [CrossRef]
- Edeline, J., Bridgewater, J., Campillo-Gimenez, B., Neveu, E., Phelip, J.-M., Neuzillet, C., Boudjema, K., Rolland, Y., Valle, J. W., Garin, E., Malka, D., & Lamarca, A. (2023). Chemotherapy with or without selective internal radiation therapy for intrahepatic cholangiocarcinoma: Data from clinical trials. Hepatology. [CrossRef]
- Ricke, J., Klümpen, H. J., Amthauer, H., Bargellini, I., Bartenstein, P., de Toni, E. N., Gasbarrini, A., Pech, M., Peck-Radosavljevic, M., Popovič, P., Rosmorduc, O., Schott, E., Seidensticker, M., Verslype, C., Sangro, B., & Malfertheiner, P. (2019). Impact of combined selective internal radiation therapy and sorafenib on survival in advanced hepatocellular carcinoma. Journal of Hepatology, 71(6), 1164–1174. [CrossRef]
- Sjoquist, K. M., Goldstein, D., & Bester, L. (2010). A Serious Complication of Selected Internal Radiation Therapy: Case Report and Literature Review. The Oncologist, 15(8), 830–835. [CrossRef]
- Lambert, B., Mertens, J., Sturm, E. J., Stienaers, S., Defreyne, L., & D’Asseler, Y. (2010). 99mTc-labelled macroaggregated albumin (MAA) scintigraphy for planning treatment with 90Y microspheres. European Journal of Nuclear Medicine and Molecular Imaging, 37(12), 2328–2333. [CrossRef]
- Pennington, B., Akehurst, R., Wasan, H., Sangro, B., Kennedy, A. S., Sennfält, K., & Bester, L. (2015). Cost-effectiveness of selective internal radiation therapy using yttrium-90 resin microspheres in treating patients with inoperable colorectal liver metastases in the UK. Journal of Medical Economics, 18(10), 797–804. [CrossRef]



Disclaimer/Publisher’s Note: The statements, opinions and data contained in all publications are solely those of the individual author(s) and contributor(s) and not of MDPI and/or the editor(s). MDPI and/or the editor(s) disclaim responsibility for any injury to people or property resulting from any ideas, methods, instructions or products referred to in the content. |
© 2024 by the authors. Licensee MDPI, Basel, Switzerland. This article is an open access article distributed under the terms and conditions of the Creative Commons Attribution (CC BY) license (http://creativecommons.org/licenses/by/4.0/).