Submitted:
27 September 2024
Posted:
30 September 2024
You are already at the latest version
Abstract
Keywords:
Introduction
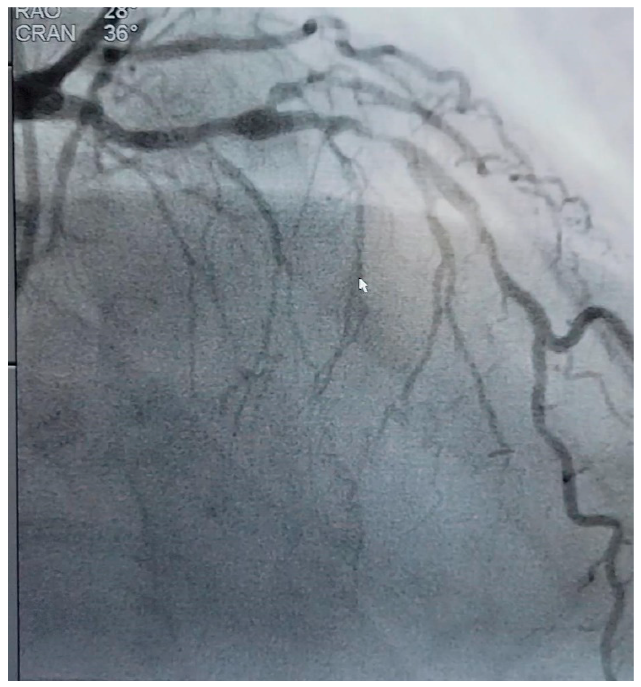
Case Presentation
Discussion
Conclusion
References
- Movahed MR and Butman SM. The pathogenesis and treatment of no-reflow occurring during percutaneous coronary intervention. Cardiovasc Revasc Med. 2008;9(1):56-61. [CrossRef]
- Papapostolou S, Andrianopoulos N, Duffy SJ, Brennan AL, Ajani AE, Clark DJ, Reid CM, Freeman M, Sebastian M, Selkrig L, Yudi MB, Noaman SQ and Chan W. Long-term clinical outcomes of transient and persistent no-reflow following percutaneous coronary intervention (PCI): a multicentre Australian registry. EuroIntervention. 2018 20;14(2):185-193. [CrossRef]
- Movahed MR and Baweja G. Distal administration of very high doses of intracoronary adenosine for the treatment of resistant no-reflow. Exp Clin Cardiol. 2008;13(3):141-143.
- Wilson W and Eccleston D. How to manage no reflow phenomenon with local drug delivery via a rapid exchange catheter. Catheter Cardiovasc Interv. 2011 1;77(2):217-9. [CrossRef]
- Movahed MR. Distal administration of very high doses of adenosine using over-the-wire balloon or export catheter should be the first choice for treatment of patients with resistant no-reflow. Catheter Cardiovasc Interv. 2022 Jan 1;99(1):E43. [CrossRef]
- Movahed MR. Successful distal administration of high doses of adenosine and nicardipine using export catheter for treatment of resistant no-reflow in a vein graft. Am J Cardiovasc Dis. 2022 15;12(1):53-55.
- Kumar D, Ahmed I, Bardooli F, Saghir T, Sial JA, Khan KA, Farooq F, Chachar TS, Karim M, Kumar H, Bai R, Qamar N. Techniques to Treat Slow-Flow/No-Reflow During Primary Percutaneous Coronary Intervention. Cardiovasc Revasc Med. 2023 ;47:1-4. [CrossRef]
- Movahed MR. Successful Distal Administration of High Doses of Adenosine Has Been Reported Using Export or Other Catheters Since 2008. Cardiovasc Revasc Med. 2023 Aug;53:75. [CrossRef]




Disclaimer/Publisher’s Note: The statements, opinions and data contained in all publications are solely those of the individual author(s) and contributor(s) and not of MDPI and/or the editor(s). MDPI and/or the editor(s) disclaim responsibility for any injury to people or property resulting from any ideas, methods, instructions or products referred to in the content. |
© 2024 by the authors. Licensee MDPI, Basel, Switzerland. This article is an open access article distributed under the terms and conditions of the Creative Commons Attribution (CC BY) license (http://creativecommons.org/licenses/by/4.0/).